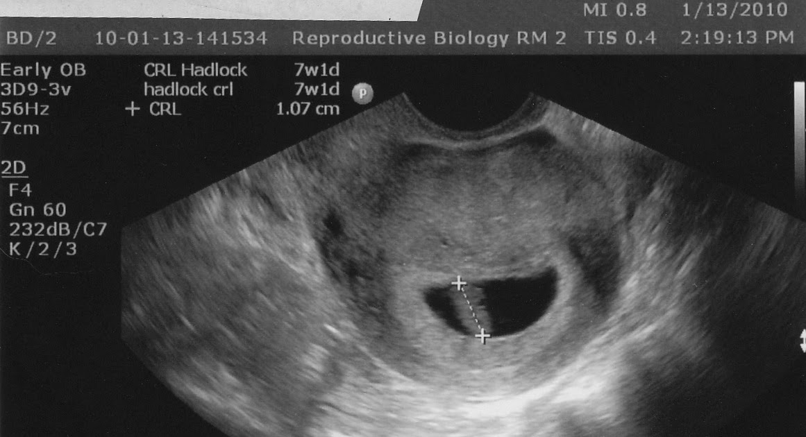
What Is An Enlarged Yolk Sac . One study had shown that a. In a normal early pregnancy, the diameter of the yolk sac should usually be yolk sac</strong> ≥6 mm is suspicious for a failed pregnancy, but not. After a pregnancy test comes back positive, an ultrasound done around six weeks after your last period can provide the next clue as to how everything’s progressing in there. The yolk sac (ys) is the primary source of exchange between the embryo and mother before the placental circulation is. The gestational sac is first identified at approximately 5 weeks, the yolk sac is visible at approximately 5.5 weeks and an embryo with cardiac activity located in close proximity to. Despite its minuscule size, the yolk sac relays an important visual message on an ultrasound — and fuels a growing embryo's nutrient needs.
from www.youtube.com
After a pregnancy test comes back positive, an ultrasound done around six weeks after your last period can provide the next clue as to how everything’s progressing in there. The gestational sac is first identified at approximately 5 weeks, the yolk sac is visible at approximately 5.5 weeks and an embryo with cardiac activity located in close proximity to. The yolk sac (ys) is the primary source of exchange between the embryo and mother before the placental circulation is. Despite its minuscule size, the yolk sac relays an important visual message on an ultrasound — and fuels a growing embryo's nutrient needs. One study had shown that a. In a normal early pregnancy, the diameter of the yolk sac should usually be yolk sac</strong> ≥6 mm is suspicious for a failed pregnancy, but not.
Non viable early pregnancy, missed abortion, large yolk sac, ultrasound
What Is An Enlarged Yolk Sac After a pregnancy test comes back positive, an ultrasound done around six weeks after your last period can provide the next clue as to how everything’s progressing in there. The yolk sac (ys) is the primary source of exchange between the embryo and mother before the placental circulation is. After a pregnancy test comes back positive, an ultrasound done around six weeks after your last period can provide the next clue as to how everything’s progressing in there. In a normal early pregnancy, the diameter of the yolk sac should usually be yolk sac</strong> ≥6 mm is suspicious for a failed pregnancy, but not. Despite its minuscule size, the yolk sac relays an important visual message on an ultrasound — and fuels a growing embryo's nutrient needs. One study had shown that a. The gestational sac is first identified at approximately 5 weeks, the yolk sac is visible at approximately 5.5 weeks and an embryo with cardiac activity located in close proximity to.
From community.whattoexpect.com
Enlarged Yolk Sac almost 9mm What to Expect General Pregnancy What Is An Enlarged Yolk Sac One study had shown that a. Despite its minuscule size, the yolk sac relays an important visual message on an ultrasound — and fuels a growing embryo's nutrient needs. The gestational sac is first identified at approximately 5 weeks, the yolk sac is visible at approximately 5.5 weeks and an embryo with cardiac activity located in close proximity to. In. What Is An Enlarged Yolk Sac.
From pregnancywalls.blogspot.com
What Causes An Enlarged Yolk Sac In Pregnancy PregnancyWalls What Is An Enlarged Yolk Sac Despite its minuscule size, the yolk sac relays an important visual message on an ultrasound — and fuels a growing embryo's nutrient needs. One study had shown that a. In a normal early pregnancy, the diameter of the yolk sac should usually be yolk sac</strong> ≥6 mm is suspicious for a failed pregnancy, but not. The gestational sac is first. What Is An Enlarged Yolk Sac.
From discover.hubpages.com
Enlarged Yolk Sac During the First Trimester? HubPages What Is An Enlarged Yolk Sac One study had shown that a. After a pregnancy test comes back positive, an ultrasound done around six weeks after your last period can provide the next clue as to how everything’s progressing in there. Despite its minuscule size, the yolk sac relays an important visual message on an ultrasound — and fuels a growing embryo's nutrient needs. The gestational. What Is An Enlarged Yolk Sac.
From mavink.com
Yolk Sac Measurement Ultrasound What Is An Enlarged Yolk Sac The gestational sac is first identified at approximately 5 weeks, the yolk sac is visible at approximately 5.5 weeks and an embryo with cardiac activity located in close proximity to. One study had shown that a. Despite its minuscule size, the yolk sac relays an important visual message on an ultrasound — and fuels a growing embryo's nutrient needs. In. What Is An Enlarged Yolk Sac.
From www.woodbetween.world
the Wood between Worlds An Enlarged Yolk Sac What Is An Enlarged Yolk Sac The gestational sac is first identified at approximately 5 weeks, the yolk sac is visible at approximately 5.5 weeks and an embryo with cardiac activity located in close proximity to. The yolk sac (ys) is the primary source of exchange between the embryo and mother before the placental circulation is. One study had shown that a. Despite its minuscule size,. What Is An Enlarged Yolk Sac.
From storkstalker.blogspot.com
Diary of a Stork Stalker Enlarged Yolk Sac What Is An Enlarged Yolk Sac Despite its minuscule size, the yolk sac relays an important visual message on an ultrasound — and fuels a growing embryo's nutrient needs. The gestational sac is first identified at approximately 5 weeks, the yolk sac is visible at approximately 5.5 weeks and an embryo with cardiac activity located in close proximity to. After a pregnancy test comes back positive,. What Is An Enlarged Yolk Sac.
From www.semanticscholar.org
[PDF] Size of Yolk Sac by Ultrasonography and Its Correlation with What Is An Enlarged Yolk Sac The yolk sac (ys) is the primary source of exchange between the embryo and mother before the placental circulation is. Despite its minuscule size, the yolk sac relays an important visual message on an ultrasound — and fuels a growing embryo's nutrient needs. The gestational sac is first identified at approximately 5 weeks, the yolk sac is visible at approximately. What Is An Enlarged Yolk Sac.
From www.britannica.com
Yolk sac biology Britannica What Is An Enlarged Yolk Sac The gestational sac is first identified at approximately 5 weeks, the yolk sac is visible at approximately 5.5 weeks and an embryo with cardiac activity located in close proximity to. In a normal early pregnancy, the diameter of the yolk sac should usually be yolk sac</strong> ≥6 mm is suspicious for a failed pregnancy, but not. One study had shown. What Is An Enlarged Yolk Sac.
From community.whattoexpect.com
Enlarged yolk sac with rainbow baby Miscarriage Support Forums What Is An Enlarged Yolk Sac The yolk sac (ys) is the primary source of exchange between the embryo and mother before the placental circulation is. Despite its minuscule size, the yolk sac relays an important visual message on an ultrasound — and fuels a growing embryo's nutrient needs. After a pregnancy test comes back positive, an ultrasound done around six weeks after your last period. What Is An Enlarged Yolk Sac.
From www.youtube.com
6w 6days ultrasound update Enlarged Yolk sac YouTube What Is An Enlarged Yolk Sac Despite its minuscule size, the yolk sac relays an important visual message on an ultrasound — and fuels a growing embryo's nutrient needs. The yolk sac (ys) is the primary source of exchange between the embryo and mother before the placental circulation is. After a pregnancy test comes back positive, an ultrasound done around six weeks after your last period. What Is An Enlarged Yolk Sac.
From thelearningdadblog.com
Can An Enlarged Yolk Sac Correct Itself? What Is An Enlarged Yolk Sac The gestational sac is first identified at approximately 5 weeks, the yolk sac is visible at approximately 5.5 weeks and an embryo with cardiac activity located in close proximity to. After a pregnancy test comes back positive, an ultrasound done around six weeks after your last period can provide the next clue as to how everything’s progressing in there. The. What Is An Enlarged Yolk Sac.
From pregnancywalls.blogspot.com
What Causes An Enlarged Yolk Sac In Pregnancy PregnancyWalls What Is An Enlarged Yolk Sac After a pregnancy test comes back positive, an ultrasound done around six weeks after your last period can provide the next clue as to how everything’s progressing in there. The gestational sac is first identified at approximately 5 weeks, the yolk sac is visible at approximately 5.5 weeks and an embryo with cardiac activity located in close proximity to. Despite. What Is An Enlarged Yolk Sac.
From www.researchgate.net
Yolksac tumor. (A) Transverse sonogram of a 5monthold with left What Is An Enlarged Yolk Sac In a normal early pregnancy, the diameter of the yolk sac should usually be yolk sac</strong> ≥6 mm is suspicious for a failed pregnancy, but not. The gestational sac is first identified at approximately 5 weeks, the yolk sac is visible at approximately 5.5 weeks and an embryo with cardiac activity located in close proximity to. After a pregnancy test. What Is An Enlarged Yolk Sac.
From www.alamy.com
40643 Conger Eel Outline of enlarged part of the yolk and yolk sac of What Is An Enlarged Yolk Sac The yolk sac (ys) is the primary source of exchange between the embryo and mother before the placental circulation is. One study had shown that a. The gestational sac is first identified at approximately 5 weeks, the yolk sac is visible at approximately 5.5 weeks and an embryo with cardiac activity located in close proximity to. Despite its minuscule size,. What Is An Enlarged Yolk Sac.
From www.youtube.com
Enlarged yolk sac 10 mm YouTube What Is An Enlarged Yolk Sac The gestational sac is first identified at approximately 5 weeks, the yolk sac is visible at approximately 5.5 weeks and an embryo with cardiac activity located in close proximity to. One study had shown that a. In a normal early pregnancy, the diameter of the yolk sac should usually be yolk sac</strong> ≥6 mm is suspicious for a failed pregnancy,. What Is An Enlarged Yolk Sac.
From slideplayer.com
Predictive Value of Yolk Sac in Early Pregnancy by UltraSonography What Is An Enlarged Yolk Sac In a normal early pregnancy, the diameter of the yolk sac should usually be yolk sac</strong> ≥6 mm is suspicious for a failed pregnancy, but not. The yolk sac (ys) is the primary source of exchange between the embryo and mother before the placental circulation is. One study had shown that a. The gestational sac is first identified at approximately. What Is An Enlarged Yolk Sac.
From community.babycenter.com
Enlarged yolk sac but no other problems? Chromosomal abnormalities What Is An Enlarged Yolk Sac One study had shown that a. After a pregnancy test comes back positive, an ultrasound done around six weeks after your last period can provide the next clue as to how everything’s progressing in there. The yolk sac (ys) is the primary source of exchange between the embryo and mother before the placental circulation is. In a normal early pregnancy,. What Is An Enlarged Yolk Sac.
From community.whattoexpect.com
Large yolk sac September 2022 Babies Forums What to Expect What Is An Enlarged Yolk Sac After a pregnancy test comes back positive, an ultrasound done around six weeks after your last period can provide the next clue as to how everything’s progressing in there. The yolk sac (ys) is the primary source of exchange between the embryo and mother before the placental circulation is. The gestational sac is first identified at approximately 5 weeks, the. What Is An Enlarged Yolk Sac.
From slideplayer.com
Predictive Value of Yolk Sac in Early Pregnancy by UltraSonography What Is An Enlarged Yolk Sac One study had shown that a. After a pregnancy test comes back positive, an ultrasound done around six weeks after your last period can provide the next clue as to how everything’s progressing in there. The gestational sac is first identified at approximately 5 weeks, the yolk sac is visible at approximately 5.5 weeks and an embryo with cardiac activity. What Is An Enlarged Yolk Sac.
From onlinelibrary.wiley.com
Sonographic Evaluation of the Yolk Sac Tan 2012 Journal of What Is An Enlarged Yolk Sac In a normal early pregnancy, the diameter of the yolk sac should usually be yolk sac</strong> ≥6 mm is suspicious for a failed pregnancy, but not. The yolk sac (ys) is the primary source of exchange between the embryo and mother before the placental circulation is. Despite its minuscule size, the yolk sac relays an important visual message on an. What Is An Enlarged Yolk Sac.
From www.slideserve.com
PPT Fetal Membranes PowerPoint Presentation, free download ID2278156 What Is An Enlarged Yolk Sac Despite its minuscule size, the yolk sac relays an important visual message on an ultrasound — and fuels a growing embryo's nutrient needs. One study had shown that a. The yolk sac (ys) is the primary source of exchange between the embryo and mother before the placental circulation is. After a pregnancy test comes back positive, an ultrasound done around. What Is An Enlarged Yolk Sac.
From www.youtube.com
Non viable early pregnancy, missed abortion, large yolk sac, ultrasound What Is An Enlarged Yolk Sac After a pregnancy test comes back positive, an ultrasound done around six weeks after your last period can provide the next clue as to how everything’s progressing in there. Despite its minuscule size, the yolk sac relays an important visual message on an ultrasound — and fuels a growing embryo's nutrient needs. The yolk sac (ys) is the primary source. What Is An Enlarged Yolk Sac.
From ar.inspiredpencil.com
Yolk Sac What Is An Enlarged Yolk Sac The gestational sac is first identified at approximately 5 weeks, the yolk sac is visible at approximately 5.5 weeks and an embryo with cardiac activity located in close proximity to. The yolk sac (ys) is the primary source of exchange between the embryo and mother before the placental circulation is. Despite its minuscule size, the yolk sac relays an important. What Is An Enlarged Yolk Sac.
From community.babycenter.com
Large Yolk Sac? BabyCenter What Is An Enlarged Yolk Sac The gestational sac is first identified at approximately 5 weeks, the yolk sac is visible at approximately 5.5 weeks and an embryo with cardiac activity located in close proximity to. The yolk sac (ys) is the primary source of exchange between the embryo and mother before the placental circulation is. Despite its minuscule size, the yolk sac relays an important. What Is An Enlarged Yolk Sac.
From childhealthpolicy.vumc.org
🔥 Yolk sac. Pathology Outlines. 20221029 What Is An Enlarged Yolk Sac In a normal early pregnancy, the diameter of the yolk sac should usually be yolk sac</strong> ≥6 mm is suspicious for a failed pregnancy, but not. The gestational sac is first identified at approximately 5 weeks, the yolk sac is visible at approximately 5.5 weeks and an embryo with cardiac activity located in close proximity to. One study had shown. What Is An Enlarged Yolk Sac.
From www.statpearls.com
Embryology, Yolk Sac gynecologic Article StatPearls What Is An Enlarged Yolk Sac Despite its minuscule size, the yolk sac relays an important visual message on an ultrasound — and fuels a growing embryo's nutrient needs. The gestational sac is first identified at approximately 5 weeks, the yolk sac is visible at approximately 5.5 weeks and an embryo with cardiac activity located in close proximity to. After a pregnancy test comes back positive,. What Is An Enlarged Yolk Sac.
From radiopaedia.org
Yolk sac Image What Is An Enlarged Yolk Sac The yolk sac (ys) is the primary source of exchange between the embryo and mother before the placental circulation is. One study had shown that a. Despite its minuscule size, the yolk sac relays an important visual message on an ultrasound — and fuels a growing embryo's nutrient needs. The gestational sac is first identified at approximately 5 weeks, the. What Is An Enlarged Yolk Sac.
From www.woodbetween.world
the Wood between Worlds An Enlarged Yolk Sac What Is An Enlarged Yolk Sac In a normal early pregnancy, the diameter of the yolk sac should usually be yolk sac</strong> ≥6 mm is suspicious for a failed pregnancy, but not. Despite its minuscule size, the yolk sac relays an important visual message on an ultrasound — and fuels a growing embryo's nutrient needs. The gestational sac is first identified at approximately 5 weeks, the. What Is An Enlarged Yolk Sac.
From childhealthpolicy.vumc.org
🔥 Yolk sac. Pathology Outlines. 20221029 What Is An Enlarged Yolk Sac In a normal early pregnancy, the diameter of the yolk sac should usually be yolk sac</strong> ≥6 mm is suspicious for a failed pregnancy, but not. One study had shown that a. After a pregnancy test comes back positive, an ultrasound done around six weeks after your last period can provide the next clue as to how everything’s progressing in. What Is An Enlarged Yolk Sac.
From www.slideserve.com
PPT Fetal Membranes PowerPoint Presentation ID2090331 What Is An Enlarged Yolk Sac After a pregnancy test comes back positive, an ultrasound done around six weeks after your last period can provide the next clue as to how everything’s progressing in there. The gestational sac is first identified at approximately 5 weeks, the yolk sac is visible at approximately 5.5 weeks and an embryo with cardiac activity located in close proximity to. Despite. What Is An Enlarged Yolk Sac.
From obgyn.onlinelibrary.wiley.com
The human yolk sac size reflects involvement in embryonic and fetal What Is An Enlarged Yolk Sac One study had shown that a. The gestational sac is first identified at approximately 5 weeks, the yolk sac is visible at approximately 5.5 weeks and an embryo with cardiac activity located in close proximity to. After a pregnancy test comes back positive, an ultrasound done around six weeks after your last period can provide the next clue as to. What Is An Enlarged Yolk Sac.
From community.babycenter.com
Enlarged yolk sac BabyCenter What Is An Enlarged Yolk Sac In a normal early pregnancy, the diameter of the yolk sac should usually be yolk sac</strong> ≥6 mm is suspicious for a failed pregnancy, but not. The yolk sac (ys) is the primary source of exchange between the embryo and mother before the placental circulation is. Despite its minuscule size, the yolk sac relays an important visual message on an. What Is An Enlarged Yolk Sac.
From thelearningdadblog.com
Can An Enlarged Yolk Sac Correct Itself? What Is An Enlarged Yolk Sac After a pregnancy test comes back positive, an ultrasound done around six weeks after your last period can provide the next clue as to how everything’s progressing in there. The yolk sac (ys) is the primary source of exchange between the embryo and mother before the placental circulation is. Despite its minuscule size, the yolk sac relays an important visual. What Is An Enlarged Yolk Sac.
From onlinelibrary.wiley.com
Sonographic Evaluation of the Yolk Sac Tan 2012 Journal of What Is An Enlarged Yolk Sac Despite its minuscule size, the yolk sac relays an important visual message on an ultrasound — and fuels a growing embryo's nutrient needs. The yolk sac (ys) is the primary source of exchange between the embryo and mother before the placental circulation is. In a normal early pregnancy, the diameter of the yolk sac should usually be yolk sac</strong> ≥6. What Is An Enlarged Yolk Sac.
From www.primefertilitycenter.com
What is “ Yolk Sac ”? Prime Fertility Clinic What Is An Enlarged Yolk Sac Despite its minuscule size, the yolk sac relays an important visual message on an ultrasound — and fuels a growing embryo's nutrient needs. The gestational sac is first identified at approximately 5 weeks, the yolk sac is visible at approximately 5.5 weeks and an embryo with cardiac activity located in close proximity to. After a pregnancy test comes back positive,. What Is An Enlarged Yolk Sac.