Dog Soft Tissue Sarcoma . soft tissue sarcomas (sts) arise from the neoplastic transformation of mesenchymal cells and comprise around 15 percent of all skin and subcutaneous. soft tissue sarcomas are very invasive into the surrounding normal tissue, and the tumor is usually larger than what is visible or palpable. If accessible and detected early, it can be. As a group, these tumors have a. soft tissue sarcoma in dogs is a slow spreading cancer that can develop almost anywhere on your dog’s body. learn about the causes, signs, diagnosis, and treatment of soft tissue sarcomas, a type of tumor that affects connective, muscle, or. soft tissue sarcomas are tumors that arise from the connective tissues of the body. the predicted outcome or life expectancy for dogs with soft tissue sarcomas is highly variable. Although there are various subtypes of soft. soft tissue sarcomas (sts) are a large group of tumours derived from mesenchymal tissues. As described, sarcoma covers a wide range of tumors.
from vitalityscience.com
As described, sarcoma covers a wide range of tumors. learn about the causes, signs, diagnosis, and treatment of soft tissue sarcomas, a type of tumor that affects connective, muscle, or. If accessible and detected early, it can be. As a group, these tumors have a. Although there are various subtypes of soft. soft tissue sarcomas are very invasive into the surrounding normal tissue, and the tumor is usually larger than what is visible or palpable. soft tissue sarcomas (sts) are a large group of tumours derived from mesenchymal tissues. the predicted outcome or life expectancy for dogs with soft tissue sarcomas is highly variable. soft tissue sarcomas (sts) arise from the neoplastic transformation of mesenchymal cells and comprise around 15 percent of all skin and subcutaneous. soft tissue sarcoma in dogs is a slow spreading cancer that can develop almost anywhere on your dog’s body.
Vitality Science Guide to Soft Tissue in Dogs
Dog Soft Tissue Sarcoma soft tissue sarcomas are tumors that arise from the connective tissues of the body. soft tissue sarcomas are very invasive into the surrounding normal tissue, and the tumor is usually larger than what is visible or palpable. soft tissue sarcomas are tumors that arise from the connective tissues of the body. As a group, these tumors have a. Although there are various subtypes of soft. the predicted outcome or life expectancy for dogs with soft tissue sarcomas is highly variable. soft tissue sarcomas (sts) arise from the neoplastic transformation of mesenchymal cells and comprise around 15 percent of all skin and subcutaneous. soft tissue sarcomas (sts) are a large group of tumours derived from mesenchymal tissues. If accessible and detected early, it can be. As described, sarcoma covers a wide range of tumors. learn about the causes, signs, diagnosis, and treatment of soft tissue sarcomas, a type of tumor that affects connective, muscle, or. soft tissue sarcoma in dogs is a slow spreading cancer that can develop almost anywhere on your dog’s body.
From
Dog Soft Tissue Sarcoma If accessible and detected early, it can be. As a group, these tumors have a. soft tissue sarcomas (sts) arise from the neoplastic transformation of mesenchymal cells and comprise around 15 percent of all skin and subcutaneous. soft tissue sarcomas are very invasive into the surrounding normal tissue, and the tumor is usually larger than what is visible. Dog Soft Tissue Sarcoma.
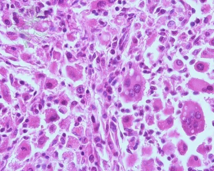
From ceaddzus.blob.core.windows.net
Dog Soft Tissue Pain at Sheila Foxx blog Dog Soft Tissue Sarcoma As described, sarcoma covers a wide range of tumors. As a group, these tumors have a. soft tissue sarcomas (sts) are a large group of tumours derived from mesenchymal tissues. Although there are various subtypes of soft. soft tissue sarcomas (sts) arise from the neoplastic transformation of mesenchymal cells and comprise around 15 percent of all skin and. Dog Soft Tissue Sarcoma.
From
Dog Soft Tissue Sarcoma soft tissue sarcomas (sts) are a large group of tumours derived from mesenchymal tissues. soft tissue sarcomas (sts) arise from the neoplastic transformation of mesenchymal cells and comprise around 15 percent of all skin and subcutaneous. As a group, these tumors have a. soft tissue sarcomas are very invasive into the surrounding normal tissue, and the tumor. Dog Soft Tissue Sarcoma.
From
Dog Soft Tissue Sarcoma soft tissue sarcomas are very invasive into the surrounding normal tissue, and the tumor is usually larger than what is visible or palpable. the predicted outcome or life expectancy for dogs with soft tissue sarcomas is highly variable. soft tissue sarcomas (sts) arise from the neoplastic transformation of mesenchymal cells and comprise around 15 percent of all. Dog Soft Tissue Sarcoma.
From
Dog Soft Tissue Sarcoma soft tissue sarcomas (sts) arise from the neoplastic transformation of mesenchymal cells and comprise around 15 percent of all skin and subcutaneous. Although there are various subtypes of soft. learn about the causes, signs, diagnosis, and treatment of soft tissue sarcomas, a type of tumor that affects connective, muscle, or. soft tissue sarcomas are very invasive into. Dog Soft Tissue Sarcoma.
From ar.inspiredpencil.com
Soft Tissue In Dogs Dog Soft Tissue Sarcoma the predicted outcome or life expectancy for dogs with soft tissue sarcomas is highly variable. If accessible and detected early, it can be. As a group, these tumors have a. As described, sarcoma covers a wide range of tumors. soft tissue sarcomas (sts) arise from the neoplastic transformation of mesenchymal cells and comprise around 15 percent of all. Dog Soft Tissue Sarcoma.
From www.ovrs.com
An Overview of Soft Tissue in Dogs Oakland Veterinary Dog Soft Tissue Sarcoma the predicted outcome or life expectancy for dogs with soft tissue sarcomas is highly variable. soft tissue sarcomas are tumors that arise from the connective tissues of the body. learn about the causes, signs, diagnosis, and treatment of soft tissue sarcomas, a type of tumor that affects connective, muscle, or. soft tissue sarcomas (sts) arise from. Dog Soft Tissue Sarcoma.
From www.dogtumor.com
Types and Classifications of Soft Tissue in Dogs A Dog Soft Tissue Sarcoma Although there are various subtypes of soft. As a group, these tumors have a. soft tissue sarcomas (sts) arise from the neoplastic transformation of mesenchymal cells and comprise around 15 percent of all skin and subcutaneous. learn about the causes, signs, diagnosis, and treatment of soft tissue sarcomas, a type of tumor that affects connective, muscle, or. . Dog Soft Tissue Sarcoma.
From
Dog Soft Tissue Sarcoma learn about the causes, signs, diagnosis, and treatment of soft tissue sarcomas, a type of tumor that affects connective, muscle, or. As described, sarcoma covers a wide range of tumors. the predicted outcome or life expectancy for dogs with soft tissue sarcomas is highly variable. Although there are various subtypes of soft. soft tissue sarcomas are tumors. Dog Soft Tissue Sarcoma.
From finwise.edu.vn
List 99+ Pictures Soft Tissue In Dogs Pictures Sharp Dog Soft Tissue Sarcoma Although there are various subtypes of soft. soft tissue sarcomas (sts) arise from the neoplastic transformation of mesenchymal cells and comprise around 15 percent of all skin and subcutaneous. If accessible and detected early, it can be. As described, sarcoma covers a wide range of tumors. soft tissue sarcomas (sts) are a large group of tumours derived from. Dog Soft Tissue Sarcoma.
From
Dog Soft Tissue Sarcoma soft tissue sarcomas (sts) arise from the neoplastic transformation of mesenchymal cells and comprise around 15 percent of all skin and subcutaneous. If accessible and detected early, it can be. soft tissue sarcoma in dogs is a slow spreading cancer that can develop almost anywhere on your dog’s body. Although there are various subtypes of soft. soft. Dog Soft Tissue Sarcoma.
From www.auravet.com
Soft Tissue in the Dog AURA Veterinary Dog Soft Tissue Sarcoma soft tissue sarcomas are very invasive into the surrounding normal tissue, and the tumor is usually larger than what is visible or palpable. soft tissue sarcoma in dogs is a slow spreading cancer that can develop almost anywhere on your dog’s body. soft tissue sarcomas (sts) are a large group of tumours derived from mesenchymal tissues. If. Dog Soft Tissue Sarcoma.
From ar.inspiredpencil.com
Soft Tissue In Dogs Dog Soft Tissue Sarcoma soft tissue sarcoma in dogs is a slow spreading cancer that can develop almost anywhere on your dog’s body. soft tissue sarcomas are very invasive into the surrounding normal tissue, and the tumor is usually larger than what is visible or palpable. soft tissue sarcomas are tumors that arise from the connective tissues of the body. If. Dog Soft Tissue Sarcoma.
From
Dog Soft Tissue Sarcoma the predicted outcome or life expectancy for dogs with soft tissue sarcomas is highly variable. As described, sarcoma covers a wide range of tumors. soft tissue sarcoma in dogs is a slow spreading cancer that can develop almost anywhere on your dog’s body. soft tissue sarcomas are very invasive into the surrounding normal tissue, and the tumor. Dog Soft Tissue Sarcoma.
From
Dog Soft Tissue Sarcoma soft tissue sarcoma in dogs is a slow spreading cancer that can develop almost anywhere on your dog’s body. As a group, these tumors have a. learn about the causes, signs, diagnosis, and treatment of soft tissue sarcomas, a type of tumor that affects connective, muscle, or. soft tissue sarcomas are tumors that arise from the connective. Dog Soft Tissue Sarcoma.
From
Dog Soft Tissue Sarcoma soft tissue sarcomas are tumors that arise from the connective tissues of the body. soft tissue sarcomas (sts) are a large group of tumours derived from mesenchymal tissues. learn about the causes, signs, diagnosis, and treatment of soft tissue sarcomas, a type of tumor that affects connective, muscle, or. Although there are various subtypes of soft. If. Dog Soft Tissue Sarcoma.
From
Dog Soft Tissue Sarcoma Although there are various subtypes of soft. the predicted outcome or life expectancy for dogs with soft tissue sarcomas is highly variable. learn about the causes, signs, diagnosis, and treatment of soft tissue sarcomas, a type of tumor that affects connective, muscle, or. soft tissue sarcomas are very invasive into the surrounding normal tissue, and the tumor. Dog Soft Tissue Sarcoma.
From pethelpful.com
Canine SoftTissue in Dogs PetHelpful Dog Soft Tissue Sarcoma soft tissue sarcomas are very invasive into the surrounding normal tissue, and the tumor is usually larger than what is visible or palpable. soft tissue sarcoma in dogs is a slow spreading cancer that can develop almost anywhere on your dog’s body. soft tissue sarcomas are tumors that arise from the connective tissues of the body. Although. Dog Soft Tissue Sarcoma.
From
Dog Soft Tissue Sarcoma soft tissue sarcoma in dogs is a slow spreading cancer that can develop almost anywhere on your dog’s body. soft tissue sarcomas are tumors that arise from the connective tissues of the body. learn about the causes, signs, diagnosis, and treatment of soft tissue sarcomas, a type of tumor that affects connective, muscle, or. soft tissue. Dog Soft Tissue Sarcoma.
From
Dog Soft Tissue Sarcoma soft tissue sarcomas are tumors that arise from the connective tissues of the body. learn about the causes, signs, diagnosis, and treatment of soft tissue sarcomas, a type of tumor that affects connective, muscle, or. If accessible and detected early, it can be. Although there are various subtypes of soft. soft tissue sarcomas are very invasive into. Dog Soft Tissue Sarcoma.
From
Dog Soft Tissue Sarcoma Although there are various subtypes of soft. soft tissue sarcoma in dogs is a slow spreading cancer that can develop almost anywhere on your dog’s body. As a group, these tumors have a. If accessible and detected early, it can be. soft tissue sarcomas (sts) are a large group of tumours derived from mesenchymal tissues. the predicted. Dog Soft Tissue Sarcoma.
From healthbeautyidea.com
Soft Tissue 7 Types, Causes, Symptoms, And Diagnosis Dog Soft Tissue Sarcoma As a group, these tumors have a. Although there are various subtypes of soft. soft tissue sarcomas are very invasive into the surrounding normal tissue, and the tumor is usually larger than what is visible or palpable. soft tissue sarcoma in dogs is a slow spreading cancer that can develop almost anywhere on your dog’s body. soft. Dog Soft Tissue Sarcoma.
From
Dog Soft Tissue Sarcoma soft tissue sarcomas are tumors that arise from the connective tissues of the body. soft tissue sarcomas (sts) are a large group of tumours derived from mesenchymal tissues. Although there are various subtypes of soft. If accessible and detected early, it can be. soft tissue sarcomas (sts) arise from the neoplastic transformation of mesenchymal cells and comprise. Dog Soft Tissue Sarcoma.
From
Dog Soft Tissue Sarcoma Although there are various subtypes of soft. soft tissue sarcomas are very invasive into the surrounding normal tissue, and the tumor is usually larger than what is visible or palpable. soft tissue sarcomas (sts) are a large group of tumours derived from mesenchymal tissues. As a group, these tumors have a. the predicted outcome or life expectancy. Dog Soft Tissue Sarcoma.
From
Dog Soft Tissue Sarcoma the predicted outcome or life expectancy for dogs with soft tissue sarcomas is highly variable. As a group, these tumors have a. As described, sarcoma covers a wide range of tumors. soft tissue sarcomas (sts) arise from the neoplastic transformation of mesenchymal cells and comprise around 15 percent of all skin and subcutaneous. soft tissue sarcomas are. Dog Soft Tissue Sarcoma.
From
Dog Soft Tissue Sarcoma Although there are various subtypes of soft. the predicted outcome or life expectancy for dogs with soft tissue sarcomas is highly variable. As described, sarcoma covers a wide range of tumors. soft tissue sarcomas (sts) are a large group of tumours derived from mesenchymal tissues. If accessible and detected early, it can be. soft tissue sarcomas are. Dog Soft Tissue Sarcoma.
From www.researchgate.net
Photomicrograph of a soft tissue at an injection site in a dog Dog Soft Tissue Sarcoma soft tissue sarcomas (sts) arise from the neoplastic transformation of mesenchymal cells and comprise around 15 percent of all skin and subcutaneous. soft tissue sarcomas are very invasive into the surrounding normal tissue, and the tumor is usually larger than what is visible or palpable. the predicted outcome or life expectancy for dogs with soft tissue sarcomas. Dog Soft Tissue Sarcoma.
From
Dog Soft Tissue Sarcoma soft tissue sarcoma in dogs is a slow spreading cancer that can develop almost anywhere on your dog’s body. As described, sarcoma covers a wide range of tumors. learn about the causes, signs, diagnosis, and treatment of soft tissue sarcomas, a type of tumor that affects connective, muscle, or. soft tissue sarcomas are tumors that arise from. Dog Soft Tissue Sarcoma.
From
Dog Soft Tissue Sarcoma the predicted outcome or life expectancy for dogs with soft tissue sarcomas is highly variable. If accessible and detected early, it can be. learn about the causes, signs, diagnosis, and treatment of soft tissue sarcomas, a type of tumor that affects connective, muscle, or. soft tissue sarcomas are very invasive into the surrounding normal tissue, and the. Dog Soft Tissue Sarcoma.
From
Dog Soft Tissue Sarcoma If accessible and detected early, it can be. soft tissue sarcomas (sts) are a large group of tumours derived from mesenchymal tissues. soft tissue sarcomas are tumors that arise from the connective tissues of the body. Although there are various subtypes of soft. the predicted outcome or life expectancy for dogs with soft tissue sarcomas is highly. Dog Soft Tissue Sarcoma.
From
Dog Soft Tissue Sarcoma soft tissue sarcomas (sts) arise from the neoplastic transformation of mesenchymal cells and comprise around 15 percent of all skin and subcutaneous. soft tissue sarcoma in dogs is a slow spreading cancer that can develop almost anywhere on your dog’s body. As described, sarcoma covers a wide range of tumors. the predicted outcome or life expectancy for. Dog Soft Tissue Sarcoma.
From pethelpful.com
Canine SoftTissue in Dogs PetHelpful Dog Soft Tissue Sarcoma soft tissue sarcoma in dogs is a slow spreading cancer that can develop almost anywhere on your dog’s body. As a group, these tumors have a. soft tissue sarcomas (sts) are a large group of tumours derived from mesenchymal tissues. soft tissue sarcomas are tumors that arise from the connective tissues of the body. As described, sarcoma. Dog Soft Tissue Sarcoma.
From exokltkgo.blob.core.windows.net
Dog Soft Tissue Grade 2 at Marvin Moulton blog Dog Soft Tissue Sarcoma soft tissue sarcomas are tumors that arise from the connective tissues of the body. soft tissue sarcomas (sts) arise from the neoplastic transformation of mesenchymal cells and comprise around 15 percent of all skin and subcutaneous. soft tissue sarcoma in dogs is a slow spreading cancer that can develop almost anywhere on your dog’s body. soft. Dog Soft Tissue Sarcoma.
From
Dog Soft Tissue Sarcoma the predicted outcome or life expectancy for dogs with soft tissue sarcomas is highly variable. soft tissue sarcomas (sts) are a large group of tumours derived from mesenchymal tissues. learn about the causes, signs, diagnosis, and treatment of soft tissue sarcomas, a type of tumor that affects connective, muscle, or. As described, sarcoma covers a wide range. Dog Soft Tissue Sarcoma.
From
Dog Soft Tissue Sarcoma the predicted outcome or life expectancy for dogs with soft tissue sarcomas is highly variable. As described, sarcoma covers a wide range of tumors. If accessible and detected early, it can be. soft tissue sarcomas (sts) arise from the neoplastic transformation of mesenchymal cells and comprise around 15 percent of all skin and subcutaneous. soft tissue sarcomas. Dog Soft Tissue Sarcoma.