Cellular Blue Nevus Treatment . These lesions tend to be. Although most cases of blue nevi are benign, there is a small possibility that a cellular blue nevus can undergo malignant transformation and become a malignant cellular blue nevus. This latter point is especially true in the case of cellular blue nevi, from which malignant blue nevus most commonly arise. The cellular blue nevus is a less common lesion but often clinically similar to the common blue nevus. A blue nevus is a small bluish mole that will typically last the person’s lifetime. The cellular blue nevus can present a diagnostic pitfall microscopically and must be distinguished from melanoma. Cellular blue nevus is usually a biphasic lesion composed of fusiform to ovoid cells with clear cytoplasm, arranged in nests and. The only treatment is to remove the mole surgically, although this is not usually necessary. [1] [2] [13] [14] the definitive treatment of blue nevus.
from ar.inspiredpencil.com
The cellular blue nevus is a less common lesion but often clinically similar to the common blue nevus. Although most cases of blue nevi are benign, there is a small possibility that a cellular blue nevus can undergo malignant transformation and become a malignant cellular blue nevus. The cellular blue nevus can present a diagnostic pitfall microscopically and must be distinguished from melanoma. The only treatment is to remove the mole surgically, although this is not usually necessary. [1] [2] [13] [14] the definitive treatment of blue nevus. Cellular blue nevus is usually a biphasic lesion composed of fusiform to ovoid cells with clear cytoplasm, arranged in nests and. This latter point is especially true in the case of cellular blue nevi, from which malignant blue nevus most commonly arise. A blue nevus is a small bluish mole that will typically last the person’s lifetime. These lesions tend to be.
Cellular Blue Nevus
Cellular Blue Nevus Treatment The only treatment is to remove the mole surgically, although this is not usually necessary. The cellular blue nevus is a less common lesion but often clinically similar to the common blue nevus. Although most cases of blue nevi are benign, there is a small possibility that a cellular blue nevus can undergo malignant transformation and become a malignant cellular blue nevus. The cellular blue nevus can present a diagnostic pitfall microscopically and must be distinguished from melanoma. This latter point is especially true in the case of cellular blue nevi, from which malignant blue nevus most commonly arise. These lesions tend to be. Cellular blue nevus is usually a biphasic lesion composed of fusiform to ovoid cells with clear cytoplasm, arranged in nests and. [1] [2] [13] [14] the definitive treatment of blue nevus. A blue nevus is a small bluish mole that will typically last the person’s lifetime. The only treatment is to remove the mole surgically, although this is not usually necessary.
From www.researchgate.net
(PDF) Blue Rubber Bleb Nevus Syndrome Successful Treatment With Sirolimus Cellular Blue Nevus Treatment [1] [2] [13] [14] the definitive treatment of blue nevus. The only treatment is to remove the mole surgically, although this is not usually necessary. The cellular blue nevus can present a diagnostic pitfall microscopically and must be distinguished from melanoma. This latter point is especially true in the case of cellular blue nevi, from which malignant blue nevus most. Cellular Blue Nevus Treatment.
From www.slideserve.com
PPT Cellular blue nevus PowerPoint Presentation, free download ID2054532 Cellular Blue Nevus Treatment The cellular blue nevus can present a diagnostic pitfall microscopically and must be distinguished from melanoma. The only treatment is to remove the mole surgically, although this is not usually necessary. This latter point is especially true in the case of cellular blue nevi, from which malignant blue nevus most commonly arise. The cellular blue nevus is a less common. Cellular Blue Nevus Treatment.
From www.researchgate.net
(PDF) Atypical cellular blue nevus or malignant blue nevus? Cellular Blue Nevus Treatment The only treatment is to remove the mole surgically, although this is not usually necessary. The cellular blue nevus is a less common lesion but often clinically similar to the common blue nevus. A blue nevus is a small bluish mole that will typically last the person’s lifetime. These lesions tend to be. Cellular blue nevus is usually a biphasic. Cellular Blue Nevus Treatment.
From www.researchgate.net
(PDF) Cellular blue nevus associated with trichoepithelioma Cellular Blue Nevus Treatment A blue nevus is a small bluish mole that will typically last the person’s lifetime. These lesions tend to be. [1] [2] [13] [14] the definitive treatment of blue nevus. The cellular blue nevus is a less common lesion but often clinically similar to the common blue nevus. Although most cases of blue nevi are benign, there is a small. Cellular Blue Nevus Treatment.
From www.animalia-life.club
Blue Nevus Histology Cellular Blue Nevus Treatment [1] [2] [13] [14] the definitive treatment of blue nevus. These lesions tend to be. Cellular blue nevus is usually a biphasic lesion composed of fusiform to ovoid cells with clear cytoplasm, arranged in nests and. The cellular blue nevus can present a diagnostic pitfall microscopically and must be distinguished from melanoma. A blue nevus is a small bluish mole. Cellular Blue Nevus Treatment.
From www.cureus.com
Cureus An Orbital Malignant Melanoma Arising in Cellular Blue Nevus in a Patient with Nevus of Ota Cellular Blue Nevus Treatment This latter point is especially true in the case of cellular blue nevi, from which malignant blue nevus most commonly arise. The cellular blue nevus can present a diagnostic pitfall microscopically and must be distinguished from melanoma. Although most cases of blue nevi are benign, there is a small possibility that a cellular blue nevus can undergo malignant transformation and. Cellular Blue Nevus Treatment.
From ar.inspiredpencil.com
Cellular Blue Nevus Cellular Blue Nevus Treatment This latter point is especially true in the case of cellular blue nevi, from which malignant blue nevus most commonly arise. The cellular blue nevus is a less common lesion but often clinically similar to the common blue nevus. These lesions tend to be. Cellular blue nevus is usually a biphasic lesion composed of fusiform to ovoid cells with clear. Cellular Blue Nevus Treatment.
From www.researchgate.net
(PDF) Recurrence of a Cellular Blue Nevus with Satellitosis—A Diagnostic Pitfall with Clinical Cellular Blue Nevus Treatment This latter point is especially true in the case of cellular blue nevi, from which malignant blue nevus most commonly arise. These lesions tend to be. Although most cases of blue nevi are benign, there is a small possibility that a cellular blue nevus can undergo malignant transformation and become a malignant cellular blue nevus. Cellular blue nevus is usually. Cellular Blue Nevus Treatment.
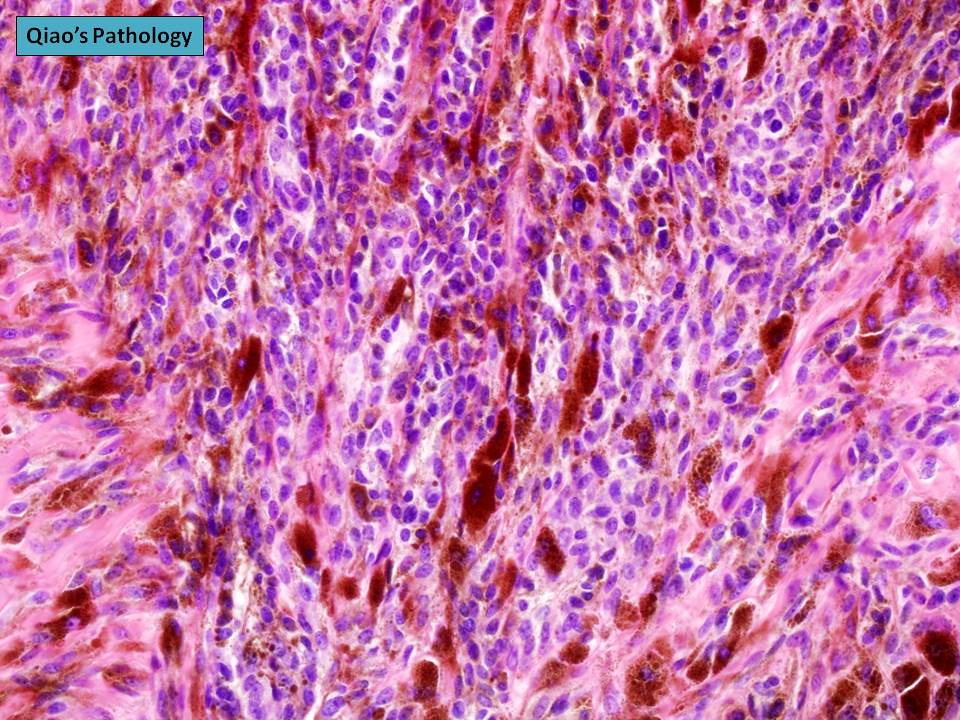
From www.flickr.com
Qiao's Pathology Cellular Blue Nevus Microscopic photo sh… Flickr Cellular Blue Nevus Treatment A blue nevus is a small bluish mole that will typically last the person’s lifetime. [1] [2] [13] [14] the definitive treatment of blue nevus. The cellular blue nevus can present a diagnostic pitfall microscopically and must be distinguished from melanoma. These lesions tend to be. The cellular blue nevus is a less common lesion but often clinically similar to. Cellular Blue Nevus Treatment.
From www.animalia-life.club
Blue Nevus Histology Cellular Blue Nevus Treatment These lesions tend to be. The cellular blue nevus is a less common lesion but often clinically similar to the common blue nevus. The only treatment is to remove the mole surgically, although this is not usually necessary. A blue nevus is a small bluish mole that will typically last the person’s lifetime. Cellular blue nevus is usually a biphasic. Cellular Blue Nevus Treatment.
From ar.inspiredpencil.com
Cellular Blue Nevus Cellular Blue Nevus Treatment The cellular blue nevus is a less common lesion but often clinically similar to the common blue nevus. [1] [2] [13] [14] the definitive treatment of blue nevus. These lesions tend to be. The only treatment is to remove the mole surgically, although this is not usually necessary. Although most cases of blue nevi are benign, there is a small. Cellular Blue Nevus Treatment.
From healthjade.net
Nevus definition, types, diagnosis & nevus treatment Cellular Blue Nevus Treatment A blue nevus is a small bluish mole that will typically last the person’s lifetime. This latter point is especially true in the case of cellular blue nevi, from which malignant blue nevus most commonly arise. Although most cases of blue nevi are benign, there is a small possibility that a cellular blue nevus can undergo malignant transformation and become. Cellular Blue Nevus Treatment.
From www.reddit.com
TYPES OF BLUE NEVUS r/Histopathology Cellular Blue Nevus Treatment This latter point is especially true in the case of cellular blue nevi, from which malignant blue nevus most commonly arise. These lesions tend to be. Cellular blue nevus is usually a biphasic lesion composed of fusiform to ovoid cells with clear cytoplasm, arranged in nests and. [1] [2] [13] [14] the definitive treatment of blue nevus. Although most cases. Cellular Blue Nevus Treatment.
From www.renalandurologynews.com
Blue nevus Dendritic, Cellular Blue Nevus) Renal and Urology News Cellular Blue Nevus Treatment The cellular blue nevus is a less common lesion but often clinically similar to the common blue nevus. [1] [2] [13] [14] the definitive treatment of blue nevus. The cellular blue nevus can present a diagnostic pitfall microscopically and must be distinguished from melanoma. Cellular blue nevus is usually a biphasic lesion composed of fusiform to ovoid cells with clear. Cellular Blue Nevus Treatment.
From www.medicalnewstoday.com
Blue nevus Pictures, diagnosis, removal, and more Cellular Blue Nevus Treatment [1] [2] [13] [14] the definitive treatment of blue nevus. Cellular blue nevus is usually a biphasic lesion composed of fusiform to ovoid cells with clear cytoplasm, arranged in nests and. A blue nevus is a small bluish mole that will typically last the person’s lifetime. The cellular blue nevus is a less common lesion but often clinically similar to. Cellular Blue Nevus Treatment.
From www.semanticscholar.org
[PDF] Atypical cellular blue nevus or malignant blue nevus?* Semantic Scholar Cellular Blue Nevus Treatment These lesions tend to be. The cellular blue nevus can present a diagnostic pitfall microscopically and must be distinguished from melanoma. This latter point is especially true in the case of cellular blue nevi, from which malignant blue nevus most commonly arise. The cellular blue nevus is a less common lesion but often clinically similar to the common blue nevus.. Cellular Blue Nevus Treatment.
From ar.inspiredpencil.com
Cellular Blue Nevus Cellular Blue Nevus Treatment The cellular blue nevus is a less common lesion but often clinically similar to the common blue nevus. The cellular blue nevus can present a diagnostic pitfall microscopically and must be distinguished from melanoma. A blue nevus is a small bluish mole that will typically last the person’s lifetime. [1] [2] [13] [14] the definitive treatment of blue nevus. This. Cellular Blue Nevus Treatment.
From www.researchgate.net
(PDF) Combined Cellular Blue Nevus and Trichoepithelioma Cellular Blue Nevus Treatment These lesions tend to be. Although most cases of blue nevi are benign, there is a small possibility that a cellular blue nevus can undergo malignant transformation and become a malignant cellular blue nevus. The cellular blue nevus is a less common lesion but often clinically similar to the common blue nevus. The only treatment is to remove the mole. Cellular Blue Nevus Treatment.
From www.academia.edu
(PDF) Fluorescence in situ hybridization for distinguishing cellular blue nevi from blue nevus Cellular Blue Nevus Treatment [1] [2] [13] [14] the definitive treatment of blue nevus. A blue nevus is a small bluish mole that will typically last the person’s lifetime. Cellular blue nevus is usually a biphasic lesion composed of fusiform to ovoid cells with clear cytoplasm, arranged in nests and. This latter point is especially true in the case of cellular blue nevi, from. Cellular Blue Nevus Treatment.
From www.youtube.com
Cellular Blue Nevus 5Minute Pathology Pearls YouTube Cellular Blue Nevus Treatment The only treatment is to remove the mole surgically, although this is not usually necessary. Cellular blue nevus is usually a biphasic lesion composed of fusiform to ovoid cells with clear cytoplasm, arranged in nests and. The cellular blue nevus can present a diagnostic pitfall microscopically and must be distinguished from melanoma. The cellular blue nevus is a less common. Cellular Blue Nevus Treatment.
From ar.inspiredpencil.com
Cellular Blue Nevus Cellular Blue Nevus Treatment Although most cases of blue nevi are benign, there is a small possibility that a cellular blue nevus can undergo malignant transformation and become a malignant cellular blue nevus. The cellular blue nevus can present a diagnostic pitfall microscopically and must be distinguished from melanoma. A blue nevus is a small bluish mole that will typically last the person’s lifetime.. Cellular Blue Nevus Treatment.
From ar.inspiredpencil.com
Cellular Blue Nevus Cellular Blue Nevus Treatment The cellular blue nevus can present a diagnostic pitfall microscopically and must be distinguished from melanoma. Although most cases of blue nevi are benign, there is a small possibility that a cellular blue nevus can undergo malignant transformation and become a malignant cellular blue nevus. These lesions tend to be. The cellular blue nevus is a less common lesion but. Cellular Blue Nevus Treatment.
From ar.inspiredpencil.com
Blue Nevus Histology Cellular Blue Nevus Treatment [1] [2] [13] [14] the definitive treatment of blue nevus. Although most cases of blue nevi are benign, there is a small possibility that a cellular blue nevus can undergo malignant transformation and become a malignant cellular blue nevus. The only treatment is to remove the mole surgically, although this is not usually necessary. These lesions tend to be. A. Cellular Blue Nevus Treatment.
From ar.inspiredpencil.com
Cellular Blue Nevus Cellular Blue Nevus Treatment A blue nevus is a small bluish mole that will typically last the person’s lifetime. This latter point is especially true in the case of cellular blue nevi, from which malignant blue nevus most commonly arise. Although most cases of blue nevi are benign, there is a small possibility that a cellular blue nevus can undergo malignant transformation and become. Cellular Blue Nevus Treatment.
From ar.inspiredpencil.com
Cellular Blue Nevus Cellular Blue Nevus Treatment This latter point is especially true in the case of cellular blue nevi, from which malignant blue nevus most commonly arise. Cellular blue nevus is usually a biphasic lesion composed of fusiform to ovoid cells with clear cytoplasm, arranged in nests and. The cellular blue nevus can present a diagnostic pitfall microscopically and must be distinguished from melanoma. [1] [2]. Cellular Blue Nevus Treatment.
From www.researchgate.net
(a) Recurrent cellular blue cell nevus with strongly pigmented... Download Scientific Diagram Cellular Blue Nevus Treatment This latter point is especially true in the case of cellular blue nevi, from which malignant blue nevus most commonly arise. A blue nevus is a small bluish mole that will typically last the person’s lifetime. These lesions tend to be. Although most cases of blue nevi are benign, there is a small possibility that a cellular blue nevus can. Cellular Blue Nevus Treatment.
From slideplayer.com
Cellular blue nevi of the eyelid A possible diagnostic pitfall ppt download Cellular Blue Nevus Treatment These lesions tend to be. A blue nevus is a small bluish mole that will typically last the person’s lifetime. Cellular blue nevus is usually a biphasic lesion composed of fusiform to ovoid cells with clear cytoplasm, arranged in nests and. This latter point is especially true in the case of cellular blue nevi, from which malignant blue nevus most. Cellular Blue Nevus Treatment.
From acadderm.com
Blue Nevus Academic Dermatology of Nevada Cellular Blue Nevus Treatment These lesions tend to be. This latter point is especially true in the case of cellular blue nevi, from which malignant blue nevus most commonly arise. [1] [2] [13] [14] the definitive treatment of blue nevus. The only treatment is to remove the mole surgically, although this is not usually necessary. Cellular blue nevus is usually a biphasic lesion composed. Cellular Blue Nevus Treatment.
From www.academia.edu
(PDF) Giant congenital cellular blue nevus of the scalp neonatal presentation and approach Cellular Blue Nevus Treatment [1] [2] [13] [14] the definitive treatment of blue nevus. The cellular blue nevus can present a diagnostic pitfall microscopically and must be distinguished from melanoma. The only treatment is to remove the mole surgically, although this is not usually necessary. Although most cases of blue nevi are benign, there is a small possibility that a cellular blue nevus can. Cellular Blue Nevus Treatment.
From www.slideserve.com
PPT Cellular blue nevus PowerPoint Presentation, free download ID2054532 Cellular Blue Nevus Treatment These lesions tend to be. [1] [2] [13] [14] the definitive treatment of blue nevus. Although most cases of blue nevi are benign, there is a small possibility that a cellular blue nevus can undergo malignant transformation and become a malignant cellular blue nevus. The only treatment is to remove the mole surgically, although this is not usually necessary. The. Cellular Blue Nevus Treatment.
From www.annclinlabsci.org
Cellular Blue Nevus of Perilimbal Conjunctiva A Case Report and Review of Literature Cellular Blue Nevus Treatment [1] [2] [13] [14] the definitive treatment of blue nevus. A blue nevus is a small bluish mole that will typically last the person’s lifetime. The cellular blue nevus is a less common lesion but often clinically similar to the common blue nevus. This latter point is especially true in the case of cellular blue nevi, from which malignant blue. Cellular Blue Nevus Treatment.
From file.scirp.org
Reed Nevus (Pigmented Spindle Cell Nevus) in an 11MonthOld Japanese Infant Cellular Blue Nevus Treatment Although most cases of blue nevi are benign, there is a small possibility that a cellular blue nevus can undergo malignant transformation and become a malignant cellular blue nevus. The cellular blue nevus is a less common lesion but often clinically similar to the common blue nevus. These lesions tend to be. The cellular blue nevus can present a diagnostic. Cellular Blue Nevus Treatment.
From ar.inspiredpencil.com
Cellular Blue Nevus Cellular Blue Nevus Treatment [1] [2] [13] [14] the definitive treatment of blue nevus. This latter point is especially true in the case of cellular blue nevi, from which malignant blue nevus most commonly arise. Cellular blue nevus is usually a biphasic lesion composed of fusiform to ovoid cells with clear cytoplasm, arranged in nests and. The cellular blue nevus can present a diagnostic. Cellular Blue Nevus Treatment.
From www.researchgate.net
(PDF) Cellular Blue Nevus Diagnosed following Excision of Melanoma A Challenge in Diagnosis Cellular Blue Nevus Treatment A blue nevus is a small bluish mole that will typically last the person’s lifetime. [1] [2] [13] [14] the definitive treatment of blue nevus. The only treatment is to remove the mole surgically, although this is not usually necessary. The cellular blue nevus is a less common lesion but often clinically similar to the common blue nevus. The cellular. Cellular Blue Nevus Treatment.
From www.flickr.com
Qiao's Pathology Cellular Blue Nevus Microscopic photo sh… Flickr Cellular Blue Nevus Treatment The only treatment is to remove the mole surgically, although this is not usually necessary. This latter point is especially true in the case of cellular blue nevi, from which malignant blue nevus most commonly arise. The cellular blue nevus is a less common lesion but often clinically similar to the common blue nevus. Cellular blue nevus is usually a. Cellular Blue Nevus Treatment.