Mallet Finger Deformity Xray . Mallet finger is a flexion deformity of the finger that results from injury to the extensor mechanism of the distal phalanx. Avulsed fracture at the base of the distal phalanx of the right middle finger with mallet finger deformity. A mallet finger is a deformity of the finger typically caused by injury. The diagnosis of a mallet finger is usually a clinical diagnosis. Look for evidence of an avulsion fracture on the dorsal aspect of the base of the distal phalanx (=bony mallet). However, to distinguish between mallet finger injuries and. After the fingertip gets jammed, the end (smallest) joint of the finger just before the fingernail droops and looks. Mallet finger is a finger deformity caused by disruption of the terminal extensor tendon distal to dip joint. Soft tissue swelling is noted.
from www.schreibermd.com
However, to distinguish between mallet finger injuries and. After the fingertip gets jammed, the end (smallest) joint of the finger just before the fingernail droops and looks. A mallet finger is a deformity of the finger typically caused by injury. Avulsed fracture at the base of the distal phalanx of the right middle finger with mallet finger deformity. Mallet finger is a flexion deformity of the finger that results from injury to the extensor mechanism of the distal phalanx. Mallet finger is a finger deformity caused by disruption of the terminal extensor tendon distal to dip joint. Look for evidence of an avulsion fracture on the dorsal aspect of the base of the distal phalanx (=bony mallet). Soft tissue swelling is noted. The diagnosis of a mallet finger is usually a clinical diagnosis.
Mallet Finger Raleigh Hand Surgery — Joseph J. Schreiber, MD
Mallet Finger Deformity Xray Avulsed fracture at the base of the distal phalanx of the right middle finger with mallet finger deformity. After the fingertip gets jammed, the end (smallest) joint of the finger just before the fingernail droops and looks. Soft tissue swelling is noted. Look for evidence of an avulsion fracture on the dorsal aspect of the base of the distal phalanx (=bony mallet). The diagnosis of a mallet finger is usually a clinical diagnosis. Avulsed fracture at the base of the distal phalanx of the right middle finger with mallet finger deformity. Mallet finger is a flexion deformity of the finger that results from injury to the extensor mechanism of the distal phalanx. A mallet finger is a deformity of the finger typically caused by injury. However, to distinguish between mallet finger injuries and. Mallet finger is a finger deformity caused by disruption of the terminal extensor tendon distal to dip joint.
From www.pinterest.com
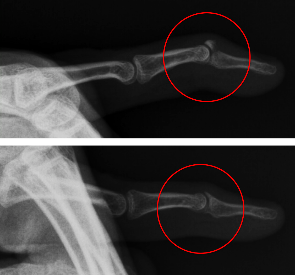
Mallet Fracture a triangular avulsion bony fragment at the extensor Mallet Finger Deformity Xray A mallet finger is a deformity of the finger typically caused by injury. Avulsed fracture at the base of the distal phalanx of the right middle finger with mallet finger deformity. However, to distinguish between mallet finger injuries and. After the fingertip gets jammed, the end (smallest) joint of the finger just before the fingernail droops and looks. Mallet finger. Mallet Finger Deformity Xray.
From asploro.com
Conservative Treatment of Chronic Mallet Fracture Nonunion after Mallet Finger Deformity Xray Avulsed fracture at the base of the distal phalanx of the right middle finger with mallet finger deformity. However, to distinguish between mallet finger injuries and. A mallet finger is a deformity of the finger typically caused by injury. The diagnosis of a mallet finger is usually a clinical diagnosis. Soft tissue swelling is noted. After the fingertip gets jammed,. Mallet Finger Deformity Xray.
From virtualhandcare.com
What is a Mallet Finger Injury? Virtual Hand Care Mallet Finger Deformity Xray A mallet finger is a deformity of the finger typically caused by injury. Soft tissue swelling is noted. Avulsed fracture at the base of the distal phalanx of the right middle finger with mallet finger deformity. However, to distinguish between mallet finger injuries and. Look for evidence of an avulsion fracture on the dorsal aspect of the base of the. Mallet Finger Deformity Xray.
From www.pinterest.com
Mallet finger Radiology Case Mallet Finger Deformity Xray A mallet finger is a deformity of the finger typically caused by injury. After the fingertip gets jammed, the end (smallest) joint of the finger just before the fingernail droops and looks. Avulsed fracture at the base of the distal phalanx of the right middle finger with mallet finger deformity. Mallet finger is a finger deformity caused by disruption of. Mallet Finger Deformity Xray.
From www.rayhack.com
Image Gallery Wrist & Hand Center Dr. John M. Rayhack MD Mallet Finger Deformity Xray The diagnosis of a mallet finger is usually a clinical diagnosis. A mallet finger is a deformity of the finger typically caused by injury. Look for evidence of an avulsion fracture on the dorsal aspect of the base of the distal phalanx (=bony mallet). Soft tissue swelling is noted. However, to distinguish between mallet finger injuries and. Mallet finger is. Mallet Finger Deformity Xray.
From www.ladanhajipour.com
Mallet Finger Treatment Manchester Hand & Wrist Surgery Mallet Finger Deformity Xray Look for evidence of an avulsion fracture on the dorsal aspect of the base of the distal phalanx (=bony mallet). After the fingertip gets jammed, the end (smallest) joint of the finger just before the fingernail droops and looks. Avulsed fracture at the base of the distal phalanx of the right middle finger with mallet finger deformity. Soft tissue swelling. Mallet Finger Deformity Xray.
From www.clinicaladvisor.com
OrthoDx Bony Mallet Finger Clinical Advisor Mallet Finger Deformity Xray The diagnosis of a mallet finger is usually a clinical diagnosis. A mallet finger is a deformity of the finger typically caused by injury. Soft tissue swelling is noted. Mallet finger is a flexion deformity of the finger that results from injury to the extensor mechanism of the distal phalanx. Avulsed fracture at the base of the distal phalanx of. Mallet Finger Deformity Xray.
From www.aafp.org
Common Finger Fractures and Dislocations AAFP Mallet Finger Deformity Xray Mallet finger is a flexion deformity of the finger that results from injury to the extensor mechanism of the distal phalanx. A mallet finger is a deformity of the finger typically caused by injury. Avulsed fracture at the base of the distal phalanx of the right middle finger with mallet finger deformity. Mallet finger is a finger deformity caused by. Mallet Finger Deformity Xray.
From mavink.com
Mallet Finger Fracture Mallet Finger Deformity Xray A mallet finger is a deformity of the finger typically caused by injury. Avulsed fracture at the base of the distal phalanx of the right middle finger with mallet finger deformity. Mallet finger is a flexion deformity of the finger that results from injury to the extensor mechanism of the distal phalanx. After the fingertip gets jammed, the end (smallest). Mallet Finger Deformity Xray.
From www.researchgate.net
Type B mallet finger injury. High frequency ultrasonography, Xray and Mallet Finger Deformity Xray Mallet finger is a finger deformity caused by disruption of the terminal extensor tendon distal to dip joint. The diagnosis of a mallet finger is usually a clinical diagnosis. After the fingertip gets jammed, the end (smallest) joint of the finger just before the fingernail droops and looks. A mallet finger is a deformity of the finger typically caused by. Mallet Finger Deformity Xray.
From radiopaedia.org
Image Mallet Finger Deformity Xray After the fingertip gets jammed, the end (smallest) joint of the finger just before the fingernail droops and looks. Soft tissue swelling is noted. Avulsed fracture at the base of the distal phalanx of the right middle finger with mallet finger deformity. However, to distinguish between mallet finger injuries and. Mallet finger is a finger deformity caused by disruption of. Mallet Finger Deformity Xray.
From www.researchgate.net
Union of mallet fracture. a The preoperative radiograph showed mallet Mallet Finger Deformity Xray Mallet finger is a flexion deformity of the finger that results from injury to the extensor mechanism of the distal phalanx. A mallet finger is a deformity of the finger typically caused by injury. However, to distinguish between mallet finger injuries and. Look for evidence of an avulsion fracture on the dorsal aspect of the base of the distal phalanx. Mallet Finger Deformity Xray.
From www.clinicaladvisor.com
OrthoDx Mallet Finger Clinical Advisor Mallet Finger Deformity Xray Avulsed fracture at the base of the distal phalanx of the right middle finger with mallet finger deformity. The diagnosis of a mallet finger is usually a clinical diagnosis. Soft tissue swelling is noted. Mallet finger is a flexion deformity of the finger that results from injury to the extensor mechanism of the distal phalanx. After the fingertip gets jammed,. Mallet Finger Deformity Xray.
From www.svuhradiology.ie
Mallet finger Radiology at St. Vincent's University Hospital Mallet Finger Deformity Xray The diagnosis of a mallet finger is usually a clinical diagnosis. However, to distinguish between mallet finger injuries and. Mallet finger is a flexion deformity of the finger that results from injury to the extensor mechanism of the distal phalanx. Soft tissue swelling is noted. Look for evidence of an avulsion fracture on the dorsal aspect of the base of. Mallet Finger Deformity Xray.
From www.researchgate.net
Case 3. A. Preoperative view of the patient with chronic mallet finger Mallet Finger Deformity Xray After the fingertip gets jammed, the end (smallest) joint of the finger just before the fingernail droops and looks. Mallet finger is a finger deformity caused by disruption of the terminal extensor tendon distal to dip joint. Look for evidence of an avulsion fracture on the dorsal aspect of the base of the distal phalanx (=bony mallet). A mallet finger. Mallet Finger Deformity Xray.
From radiopaedia.org
Mallet finger Image Mallet Finger Deformity Xray Soft tissue swelling is noted. Mallet finger is a finger deformity caused by disruption of the terminal extensor tendon distal to dip joint. Avulsed fracture at the base of the distal phalanx of the right middle finger with mallet finger deformity. A mallet finger is a deformity of the finger typically caused by injury. Look for evidence of an avulsion. Mallet Finger Deformity Xray.
From www.researchgate.net
Case 3. A. Preoperative view of the patient with chronic mallet finger Mallet Finger Deformity Xray A mallet finger is a deformity of the finger typically caused by injury. Look for evidence of an avulsion fracture on the dorsal aspect of the base of the distal phalanx (=bony mallet). After the fingertip gets jammed, the end (smallest) joint of the finger just before the fingernail droops and looks. Mallet finger is a finger deformity caused by. Mallet Finger Deformity Xray.
From www.orthobullets.com
Mallet Finger Hand Orthobullets Mallet Finger Deformity Xray Mallet finger is a finger deformity caused by disruption of the terminal extensor tendon distal to dip joint. A mallet finger is a deformity of the finger typically caused by injury. Look for evidence of an avulsion fracture on the dorsal aspect of the base of the distal phalanx (=bony mallet). Mallet finger is a flexion deformity of the finger. Mallet Finger Deformity Xray.
From www.semanticscholar.org
Fig THE ISHIGURO EXTENSION BLOCK TECHNIQUE FOR THE TREATMENT OF MALLET Mallet Finger Deformity Xray A mallet finger is a deformity of the finger typically caused by injury. After the fingertip gets jammed, the end (smallest) joint of the finger just before the fingernail droops and looks. Mallet finger is a finger deformity caused by disruption of the terminal extensor tendon distal to dip joint. Soft tissue swelling is noted. Avulsed fracture at the base. Mallet Finger Deformity Xray.
From mavink.com
Mallet Finger Fracture Mallet Finger Deformity Xray The diagnosis of a mallet finger is usually a clinical diagnosis. Soft tissue swelling is noted. Avulsed fracture at the base of the distal phalanx of the right middle finger with mallet finger deformity. However, to distinguish between mallet finger injuries and. After the fingertip gets jammed, the end (smallest) joint of the finger just before the fingernail droops and. Mallet Finger Deformity Xray.
From buyxraysonline.com
MALLET FINGER Mallet Finger Deformity Xray However, to distinguish between mallet finger injuries and. Avulsed fracture at the base of the distal phalanx of the right middle finger with mallet finger deformity. After the fingertip gets jammed, the end (smallest) joint of the finger just before the fingernail droops and looks. Mallet finger is a flexion deformity of the finger that results from injury to the. Mallet Finger Deformity Xray.
From www.volusiahandsurgery.com
Mallet Finger (Baseball Finger) Mallet Finger Deformity Xray The diagnosis of a mallet finger is usually a clinical diagnosis. However, to distinguish between mallet finger injuries and. After the fingertip gets jammed, the end (smallest) joint of the finger just before the fingernail droops and looks. Mallet finger is a flexion deformity of the finger that results from injury to the extensor mechanism of the distal phalanx. A. Mallet Finger Deformity Xray.
From drbadia.com
Surgical Treatment for Unstable Mallet Finger Mallet Finger Deformity Xray Mallet finger is a flexion deformity of the finger that results from injury to the extensor mechanism of the distal phalanx. However, to distinguish between mallet finger injuries and. Soft tissue swelling is noted. Look for evidence of an avulsion fracture on the dorsal aspect of the base of the distal phalanx (=bony mallet). Avulsed fracture at the base of. Mallet Finger Deformity Xray.
From www.osmifw.com
Mallet Finger Fort Worth Hand Therapy Center OSMI Mallet Finger Deformity Xray Avulsed fracture at the base of the distal phalanx of the right middle finger with mallet finger deformity. Soft tissue swelling is noted. Mallet finger is a finger deformity caused by disruption of the terminal extensor tendon distal to dip joint. The diagnosis of a mallet finger is usually a clinical diagnosis. Look for evidence of an avulsion fracture on. Mallet Finger Deformity Xray.
From www.orthoinfo.org
Mallet Finger OrthoInfo AAOS Mallet Finger Deformity Xray Mallet finger is a finger deformity caused by disruption of the terminal extensor tendon distal to dip joint. Mallet finger is a flexion deformity of the finger that results from injury to the extensor mechanism of the distal phalanx. After the fingertip gets jammed, the end (smallest) joint of the finger just before the fingernail droops and looks. The diagnosis. Mallet Finger Deformity Xray.
From faculty.washington.edu
Finger Fractures UW Emergency Radiology Mallet Finger Deformity Xray Soft tissue swelling is noted. Mallet finger is a finger deformity caused by disruption of the terminal extensor tendon distal to dip joint. Look for evidence of an avulsion fracture on the dorsal aspect of the base of the distal phalanx (=bony mallet). After the fingertip gets jammed, the end (smallest) joint of the finger just before the fingernail droops. Mallet Finger Deformity Xray.
From www.clinicaladvisor.com
OrthoDx Mallet Finger Clinical Advisor Mallet Finger Deformity Xray However, to distinguish between mallet finger injuries and. Mallet finger is a flexion deformity of the finger that results from injury to the extensor mechanism of the distal phalanx. The diagnosis of a mallet finger is usually a clinical diagnosis. After the fingertip gets jammed, the end (smallest) joint of the finger just before the fingernail droops and looks. A. Mallet Finger Deformity Xray.
From www.orthopaedicsurgeon.com.sg
Mallet Finger Specialist Mallet Finger Deformity Xray Mallet finger is a finger deformity caused by disruption of the terminal extensor tendon distal to dip joint. Avulsed fracture at the base of the distal phalanx of the right middle finger with mallet finger deformity. After the fingertip gets jammed, the end (smallest) joint of the finger just before the fingernail droops and looks. The diagnosis of a mallet. Mallet Finger Deformity Xray.
From www.osmifw.com
malletfingeravulsionfracture Mallet Finger Deformity Xray Look for evidence of an avulsion fracture on the dorsal aspect of the base of the distal phalanx (=bony mallet). However, to distinguish between mallet finger injuries and. After the fingertip gets jammed, the end (smallest) joint of the finger just before the fingernail droops and looks. Soft tissue swelling is noted. Mallet finger is a finger deformity caused by. Mallet Finger Deformity Xray.
From www.researchgate.net
Treatment of a mallet fracture that involved the little finger with a Mallet Finger Deformity Xray Soft tissue swelling is noted. However, to distinguish between mallet finger injuries and. After the fingertip gets jammed, the end (smallest) joint of the finger just before the fingernail droops and looks. Mallet finger is a finger deformity caused by disruption of the terminal extensor tendon distal to dip joint. Mallet finger is a flexion deformity of the finger that. Mallet Finger Deformity Xray.
From mavink.com
Mallet Finger Fracture Mallet Finger Deformity Xray Mallet finger is a flexion deformity of the finger that results from injury to the extensor mechanism of the distal phalanx. Mallet finger is a finger deformity caused by disruption of the terminal extensor tendon distal to dip joint. Soft tissue swelling is noted. A mallet finger is a deformity of the finger typically caused by injury. However, to distinguish. Mallet Finger Deformity Xray.
From www.schreibermd.com
Mallet Finger Raleigh Hand Surgery — Joseph J. Schreiber, MD Mallet Finger Deformity Xray Look for evidence of an avulsion fracture on the dorsal aspect of the base of the distal phalanx (=bony mallet). The diagnosis of a mallet finger is usually a clinical diagnosis. Soft tissue swelling is noted. After the fingertip gets jammed, the end (smallest) joint of the finger just before the fingernail droops and looks. Avulsed fracture at the base. Mallet Finger Deformity Xray.
From www.drbayoud.com
finger deformity — Dr. Wael BAYOUD Mallet Finger Deformity Xray However, to distinguish between mallet finger injuries and. Soft tissue swelling is noted. Look for evidence of an avulsion fracture on the dorsal aspect of the base of the distal phalanx (=bony mallet). Mallet finger is a finger deformity caused by disruption of the terminal extensor tendon distal to dip joint. The diagnosis of a mallet finger is usually a. Mallet Finger Deformity Xray.
From www.main-poignet-epaule.com
Doigt en Maillet (Mallet finger) Dr Franck ATLAN Mallet Finger Deformity Xray Mallet finger is a flexion deformity of the finger that results from injury to the extensor mechanism of the distal phalanx. The diagnosis of a mallet finger is usually a clinical diagnosis. Look for evidence of an avulsion fracture on the dorsal aspect of the base of the distal phalanx (=bony mallet). Avulsed fracture at the base of the distal. Mallet Finger Deformity Xray.
From www.semanticscholar.org
Figure 2 from Treatment of Chronic Bony Mallet Fingers by Dorsal Mallet Finger Deformity Xray However, to distinguish between mallet finger injuries and. Mallet finger is a finger deformity caused by disruption of the terminal extensor tendon distal to dip joint. The diagnosis of a mallet finger is usually a clinical diagnosis. A mallet finger is a deformity of the finger typically caused by injury. Mallet finger is a flexion deformity of the finger that. Mallet Finger Deformity Xray.