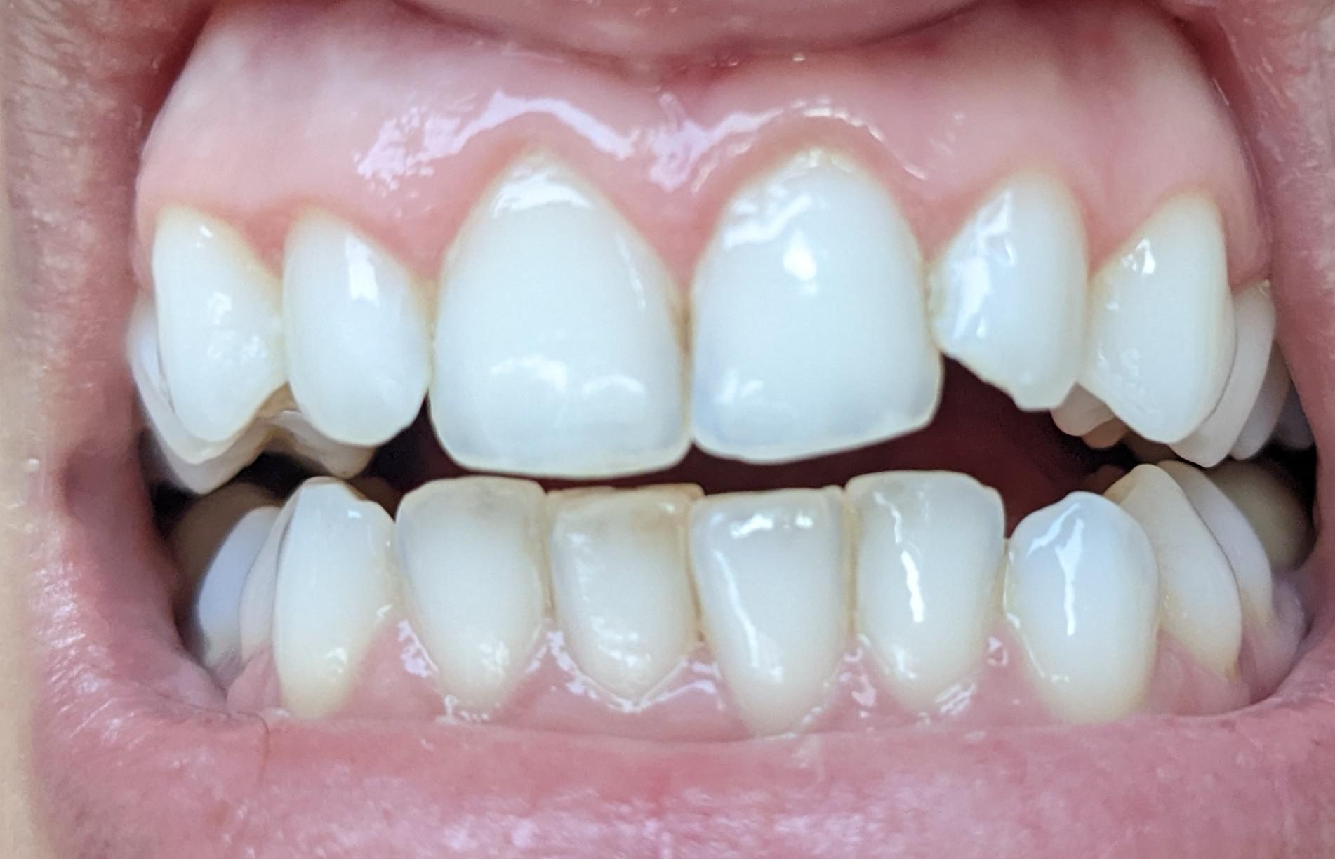
Irritated Gums From Brushing Too Hard . Sore gums can be a sign that you brush your teeth too hard. Brushing and flossing too hard can sometimes cause gum sensitivity. In this case, you might notice soreness during or after caring. Gingivitis can cause bright or dark red, swollen, tender gums that bleed easily, especially when you brush your teeth. Other times, braces or dentures can irritate your gums. Gingivitis is usually caused by poor oral hygiene, such as not flossing or brushing your teeth enough. Healthy gums are firm and pale pink. Common causes of gum pain include: While it’s not a serious condition, it can quickly progress into a more serious.
from alpenglowdentists.com
While it’s not a serious condition, it can quickly progress into a more serious. Gingivitis is usually caused by poor oral hygiene, such as not flossing or brushing your teeth enough. Other times, braces or dentures can irritate your gums. Sore gums can be a sign that you brush your teeth too hard. Common causes of gum pain include: Brushing and flossing too hard can sometimes cause gum sensitivity. Healthy gums are firm and pale pink. Gingivitis can cause bright or dark red, swollen, tender gums that bleed easily, especially when you brush your teeth. In this case, you might notice soreness during or after caring.
Why Do Gums Bleed When Brushing?
Irritated Gums From Brushing Too Hard While it’s not a serious condition, it can quickly progress into a more serious. Other times, braces or dentures can irritate your gums. Common causes of gum pain include: Healthy gums are firm and pale pink. Gingivitis can cause bright or dark red, swollen, tender gums that bleed easily, especially when you brush your teeth. Sore gums can be a sign that you brush your teeth too hard. Gingivitis is usually caused by poor oral hygiene, such as not flossing or brushing your teeth enough. Brushing and flossing too hard can sometimes cause gum sensitivity. In this case, you might notice soreness during or after caring. While it’s not a serious condition, it can quickly progress into a more serious.
From teethwalls.blogspot.com
Brushing Teeth Too Hard Gum Recession TeethWalls Irritated Gums From Brushing Too Hard Common causes of gum pain include: Gingivitis can cause bright or dark red, swollen, tender gums that bleed easily, especially when you brush your teeth. Gingivitis is usually caused by poor oral hygiene, such as not flossing or brushing your teeth enough. Brushing and flossing too hard can sometimes cause gum sensitivity. Other times, braces or dentures can irritate your. Irritated Gums From Brushing Too Hard.
From www.artofsmilespasadena.com
4 Signs You Have Gum Disease and What to Do About It Art of Smiles Irritated Gums From Brushing Too Hard Gingivitis is usually caused by poor oral hygiene, such as not flossing or brushing your teeth enough. While it’s not a serious condition, it can quickly progress into a more serious. Common causes of gum pain include: Brushing and flossing too hard can sometimes cause gum sensitivity. Healthy gums are firm and pale pink. Sore gums can be a sign. Irritated Gums From Brushing Too Hard.
From dentalartssandiego.com
Bleeding Gums Dental Conditions in San Diego Dental Arts San Diego Irritated Gums From Brushing Too Hard In this case, you might notice soreness during or after caring. Common causes of gum pain include: Gingivitis is usually caused by poor oral hygiene, such as not flossing or brushing your teeth enough. Sore gums can be a sign that you brush your teeth too hard. Gingivitis can cause bright or dark red, swollen, tender gums that bleed easily,. Irritated Gums From Brushing Too Hard.
From orthodonticexprts.com
Why Do My Gums Hurt? Possible Causes of Gum Pain Irritated Gums From Brushing Too Hard Gingivitis can cause bright or dark red, swollen, tender gums that bleed easily, especially when you brush your teeth. Other times, braces or dentures can irritate your gums. While it’s not a serious condition, it can quickly progress into a more serious. Brushing and flossing too hard can sometimes cause gum sensitivity. In this case, you might notice soreness during. Irritated Gums From Brushing Too Hard.
From www.slideserve.com
PPT Receding Gums Brushing Too Hard Grow Back PowerPoint Presentation Irritated Gums From Brushing Too Hard Common causes of gum pain include: Other times, braces or dentures can irritate your gums. While it’s not a serious condition, it can quickly progress into a more serious. Sore gums can be a sign that you brush your teeth too hard. Gingivitis is usually caused by poor oral hygiene, such as not flossing or brushing your teeth enough. Brushing. Irritated Gums From Brushing Too Hard.
From www.youtube.com
How Can Brushing Teeth Too Hard Cause Receding Gums? YouTube Irritated Gums From Brushing Too Hard Gingivitis is usually caused by poor oral hygiene, such as not flossing or brushing your teeth enough. Sore gums can be a sign that you brush your teeth too hard. Other times, braces or dentures can irritate your gums. Healthy gums are firm and pale pink. Brushing and flossing too hard can sometimes cause gum sensitivity. Gingivitis can cause bright. Irritated Gums From Brushing Too Hard.
From www.methoddental.com.au
Bleeding gums, gingivitis and how to fix it Method Dental Irritated Gums From Brushing Too Hard Other times, braces or dentures can irritate your gums. Gingivitis is usually caused by poor oral hygiene, such as not flossing or brushing your teeth enough. In this case, you might notice soreness during or after caring. Gingivitis can cause bright or dark red, swollen, tender gums that bleed easily, especially when you brush your teeth. Sore gums can be. Irritated Gums From Brushing Too Hard.
From www.glebehousedentalcare.co.uk
Gum Disease Glebe House Dental Care Dentist Irritated Gums From Brushing Too Hard Other times, braces or dentures can irritate your gums. Healthy gums are firm and pale pink. Brushing and flossing too hard can sometimes cause gum sensitivity. Gingivitis is usually caused by poor oral hygiene, such as not flossing or brushing your teeth enough. Gingivitis can cause bright or dark red, swollen, tender gums that bleed easily, especially when you brush. Irritated Gums From Brushing Too Hard.
From www.pinterest.com
Pin on Sensitive Gums Irritated Gums From Brushing Too Hard While it’s not a serious condition, it can quickly progress into a more serious. Gingivitis can cause bright or dark red, swollen, tender gums that bleed easily, especially when you brush your teeth. Other times, braces or dentures can irritate your gums. In this case, you might notice soreness during or after caring. Common causes of gum pain include: Healthy. Irritated Gums From Brushing Too Hard.
From www.southtrailcrossingdental.com
Everything You Need to Know About Gum Disease South Trail Crossing Dental Irritated Gums From Brushing Too Hard While it’s not a serious condition, it can quickly progress into a more serious. Brushing and flossing too hard can sometimes cause gum sensitivity. Gingivitis is usually caused by poor oral hygiene, such as not flossing or brushing your teeth enough. Gingivitis can cause bright or dark red, swollen, tender gums that bleed easily, especially when you brush your teeth.. Irritated Gums From Brushing Too Hard.
From parkcrestdental.com
Can We Brush Our Teeth Too Hard? by Parkcrest Dental Group Irritated Gums From Brushing Too Hard Gingivitis is usually caused by poor oral hygiene, such as not flossing or brushing your teeth enough. Other times, braces or dentures can irritate your gums. Common causes of gum pain include: Healthy gums are firm and pale pink. Gingivitis can cause bright or dark red, swollen, tender gums that bleed easily, especially when you brush your teeth. Brushing and. Irritated Gums From Brushing Too Hard.
From www.youtube.com
How Brushing Too Hard Damages Your Teeth and How You Can Avoid It YouTube Irritated Gums From Brushing Too Hard Healthy gums are firm and pale pink. Gingivitis can cause bright or dark red, swollen, tender gums that bleed easily, especially when you brush your teeth. Common causes of gum pain include: Sore gums can be a sign that you brush your teeth too hard. Other times, braces or dentures can irritate your gums. Brushing and flossing too hard can. Irritated Gums From Brushing Too Hard.
From alpenglowdentists.com
Why Do Gums Bleed When Brushing? Irritated Gums From Brushing Too Hard Brushing and flossing too hard can sometimes cause gum sensitivity. In this case, you might notice soreness during or after caring. Common causes of gum pain include: Healthy gums are firm and pale pink. While it’s not a serious condition, it can quickly progress into a more serious. Gingivitis can cause bright or dark red, swollen, tender gums that bleed. Irritated Gums From Brushing Too Hard.
From teethwalls.blogspot.com
Brushing Teeth Too Hard Gum Recession TeethWalls Irritated Gums From Brushing Too Hard Healthy gums are firm and pale pink. Common causes of gum pain include: Sore gums can be a sign that you brush your teeth too hard. Other times, braces or dentures can irritate your gums. Gingivitis is usually caused by poor oral hygiene, such as not flossing or brushing your teeth enough. While it’s not a serious condition, it can. Irritated Gums From Brushing Too Hard.
From drchristopherzed.org
The Dangers of Brushing Your Teeth Too Hard Dr. Christopher Zed Irritated Gums From Brushing Too Hard Common causes of gum pain include: Sore gums can be a sign that you brush your teeth too hard. Other times, braces or dentures can irritate your gums. While it’s not a serious condition, it can quickly progress into a more serious. Gingivitis is usually caused by poor oral hygiene, such as not flossing or brushing your teeth enough. Brushing. Irritated Gums From Brushing Too Hard.
From dentagama.com
Why overbrushing your teeth can be dangerous? News Dentagama Irritated Gums From Brushing Too Hard Other times, braces or dentures can irritate your gums. Gingivitis is usually caused by poor oral hygiene, such as not flossing or brushing your teeth enough. Common causes of gum pain include: Healthy gums are firm and pale pink. Gingivitis can cause bright or dark red, swollen, tender gums that bleed easily, especially when you brush your teeth. Brushing and. Irritated Gums From Brushing Too Hard.
From www.drsimonrosenberg.com
The Stages Of Periodontal Disease Upper East Side New York, NY The Irritated Gums From Brushing Too Hard Brushing and flossing too hard can sometimes cause gum sensitivity. Common causes of gum pain include: Sore gums can be a sign that you brush your teeth too hard. In this case, you might notice soreness during or after caring. Healthy gums are firm and pale pink. While it’s not a serious condition, it can quickly progress into a more. Irritated Gums From Brushing Too Hard.
From www.onlymyhealth.com
5 Signs That You Are Brushing Too Hard OnlyMyHealth Irritated Gums From Brushing Too Hard Gingivitis can cause bright or dark red, swollen, tender gums that bleed easily, especially when you brush your teeth. In this case, you might notice soreness during or after caring. Common causes of gum pain include: Other times, braces or dentures can irritate your gums. While it’s not a serious condition, it can quickly progress into a more serious. Sore. Irritated Gums From Brushing Too Hard.
From www.catonsvilledentalcare.com
The Consequences Of Brushing Your Teeth Too Hard Catonsville Dental Care Irritated Gums From Brushing Too Hard While it’s not a serious condition, it can quickly progress into a more serious. Healthy gums are firm and pale pink. Common causes of gum pain include: Gingivitis is usually caused by poor oral hygiene, such as not flossing or brushing your teeth enough. Gingivitis can cause bright or dark red, swollen, tender gums that bleed easily, especially when you. Irritated Gums From Brushing Too Hard.
From www.rmperiohealth.com
Woman_with_irritated_gums__ Rocky Mountain Periodontal Specialists Irritated Gums From Brushing Too Hard Gingivitis is usually caused by poor oral hygiene, such as not flossing or brushing your teeth enough. Gingivitis can cause bright or dark red, swollen, tender gums that bleed easily, especially when you brush your teeth. Other times, braces or dentures can irritate your gums. Brushing and flossing too hard can sometimes cause gum sensitivity. Healthy gums are firm and. Irritated Gums From Brushing Too Hard.
From www.apsense.com
Receding Gums Symptoms, Causes & Treatment by James Denlinger Irritated Gums From Brushing Too Hard Gingivitis is usually caused by poor oral hygiene, such as not flossing or brushing your teeth enough. In this case, you might notice soreness during or after caring. Sore gums can be a sign that you brush your teeth too hard. Gingivitis can cause bright or dark red, swollen, tender gums that bleed easily, especially when you brush your teeth.. Irritated Gums From Brushing Too Hard.
From www.theoralcarecentre.com.sg
The Oral Care Centre Singapore Dental Specialist, Beyond Aesthetics Irritated Gums From Brushing Too Hard Gingivitis can cause bright or dark red, swollen, tender gums that bleed easily, especially when you brush your teeth. Brushing and flossing too hard can sometimes cause gum sensitivity. Healthy gums are firm and pale pink. Common causes of gum pain include: Gingivitis is usually caused by poor oral hygiene, such as not flossing or brushing your teeth enough. Sore. Irritated Gums From Brushing Too Hard.
From arboretumdentist.com
Signs Of Brushing Too Hard What To Look For Caldwell, Bills Irritated Gums From Brushing Too Hard Brushing and flossing too hard can sometimes cause gum sensitivity. Healthy gums are firm and pale pink. While it’s not a serious condition, it can quickly progress into a more serious. Gingivitis can cause bright or dark red, swollen, tender gums that bleed easily, especially when you brush your teeth. Sore gums can be a sign that you brush your. Irritated Gums From Brushing Too Hard.
From theoaksdentalcenter.com
6 Ways How to Improve Your Gum Health The Oaks Dental Center Irritated Gums From Brushing Too Hard While it’s not a serious condition, it can quickly progress into a more serious. Brushing and flossing too hard can sometimes cause gum sensitivity. Gingivitis is usually caused by poor oral hygiene, such as not flossing or brushing your teeth enough. Other times, braces or dentures can irritate your gums. Sore gums can be a sign that you brush your. Irritated Gums From Brushing Too Hard.
From www.youtube.com
Why do my gums always bleed after I brush? (626) 7950221 Gum Irritated Gums From Brushing Too Hard Brushing and flossing too hard can sometimes cause gum sensitivity. Other times, braces or dentures can irritate your gums. While it’s not a serious condition, it can quickly progress into a more serious. Healthy gums are firm and pale pink. Gingivitis is usually caused by poor oral hygiene, such as not flossing or brushing your teeth enough. In this case,. Irritated Gums From Brushing Too Hard.
From www.slideserve.com
PPT What Causes Bleeding Gums PowerPoint Presentation, free download Irritated Gums From Brushing Too Hard Sore gums can be a sign that you brush your teeth too hard. Gingivitis is usually caused by poor oral hygiene, such as not flossing or brushing your teeth enough. While it’s not a serious condition, it can quickly progress into a more serious. Healthy gums are firm and pale pink. Brushing and flossing too hard can sometimes cause gum. Irritated Gums From Brushing Too Hard.
From www.dentistsnearby.com
Gum Problems, Toothbrushing Technique & How to Choose A Toothbrush Irritated Gums From Brushing Too Hard While it’s not a serious condition, it can quickly progress into a more serious. Brushing and flossing too hard can sometimes cause gum sensitivity. Gingivitis can cause bright or dark red, swollen, tender gums that bleed easily, especially when you brush your teeth. Sore gums can be a sign that you brush your teeth too hard. Gingivitis is usually caused. Irritated Gums From Brushing Too Hard.
From www.teethtalkgirl.com
9 Ways To Stop Bleeding Gums From Brushing Teeth Irritated Gums From Brushing Too Hard Gingivitis is usually caused by poor oral hygiene, such as not flossing or brushing your teeth enough. Sore gums can be a sign that you brush your teeth too hard. Brushing and flossing too hard can sometimes cause gum sensitivity. Gingivitis can cause bright or dark red, swollen, tender gums that bleed easily, especially when you brush your teeth. Other. Irritated Gums From Brushing Too Hard.
From www.pinterest.com
Brushing too hard harms your teeth and gums. It can lead to decay, Irritated Gums From Brushing Too Hard Common causes of gum pain include: While it’s not a serious condition, it can quickly progress into a more serious. Healthy gums are firm and pale pink. Gingivitis can cause bright or dark red, swollen, tender gums that bleed easily, especially when you brush your teeth. Brushing and flossing too hard can sometimes cause gum sensitivity. Other times, braces or. Irritated Gums From Brushing Too Hard.
From www.reddit.com
irritated gums for about 2 months post COVID19. I get dental cleanings Irritated Gums From Brushing Too Hard Gingivitis can cause bright or dark red, swollen, tender gums that bleed easily, especially when you brush your teeth. In this case, you might notice soreness during or after caring. Healthy gums are firm and pale pink. While it’s not a serious condition, it can quickly progress into a more serious. Gingivitis is usually caused by poor oral hygiene, such. Irritated Gums From Brushing Too Hard.
From plantationsmiles.com
How To Fix Receding Gums At Home & Other Possible Treatments! Irritated Gums From Brushing Too Hard In this case, you might notice soreness during or after caring. Other times, braces or dentures can irritate your gums. Common causes of gum pain include: Gingivitis can cause bright or dark red, swollen, tender gums that bleed easily, especially when you brush your teeth. Gingivitis is usually caused by poor oral hygiene, such as not flossing or brushing your. Irritated Gums From Brushing Too Hard.
From visual.ly
Why do your gums bleed when you brush your teeth Visual.ly Irritated Gums From Brushing Too Hard While it’s not a serious condition, it can quickly progress into a more serious. Gingivitis can cause bright or dark red, swollen, tender gums that bleed easily, especially when you brush your teeth. In this case, you might notice soreness during or after caring. Common causes of gum pain include: Brushing and flossing too hard can sometimes cause gum sensitivity.. Irritated Gums From Brushing Too Hard.
From www.sarasotadentistry.com
Why are My Gums Sore and What Does it Mean? Sarasota Dentistry Irritated Gums From Brushing Too Hard In this case, you might notice soreness during or after caring. Common causes of gum pain include: Other times, braces or dentures can irritate your gums. Gingivitis can cause bright or dark red, swollen, tender gums that bleed easily, especially when you brush your teeth. Sore gums can be a sign that you brush your teeth too hard. Healthy gums. Irritated Gums From Brushing Too Hard.
From www.pickettfamilydental.com
Gums Bleeding While Brushing or Flossing Pickett Family Dental Irritated Gums From Brushing Too Hard Healthy gums are firm and pale pink. Other times, braces or dentures can irritate your gums. Brushing and flossing too hard can sometimes cause gum sensitivity. Gingivitis is usually caused by poor oral hygiene, such as not flossing or brushing your teeth enough. While it’s not a serious condition, it can quickly progress into a more serious. Sore gums can. Irritated Gums From Brushing Too Hard.
From askanorthodontist.com
Can toothbrushing too hard cause damage to my gums? Ask an Irritated Gums From Brushing Too Hard Other times, braces or dentures can irritate your gums. Gingivitis can cause bright or dark red, swollen, tender gums that bleed easily, especially when you brush your teeth. Gingivitis is usually caused by poor oral hygiene, such as not flossing or brushing your teeth enough. Common causes of gum pain include: In this case, you might notice soreness during or. Irritated Gums From Brushing Too Hard.