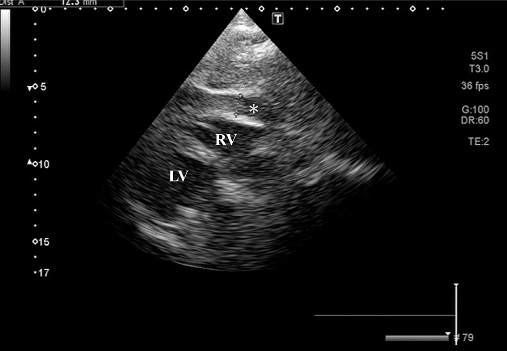
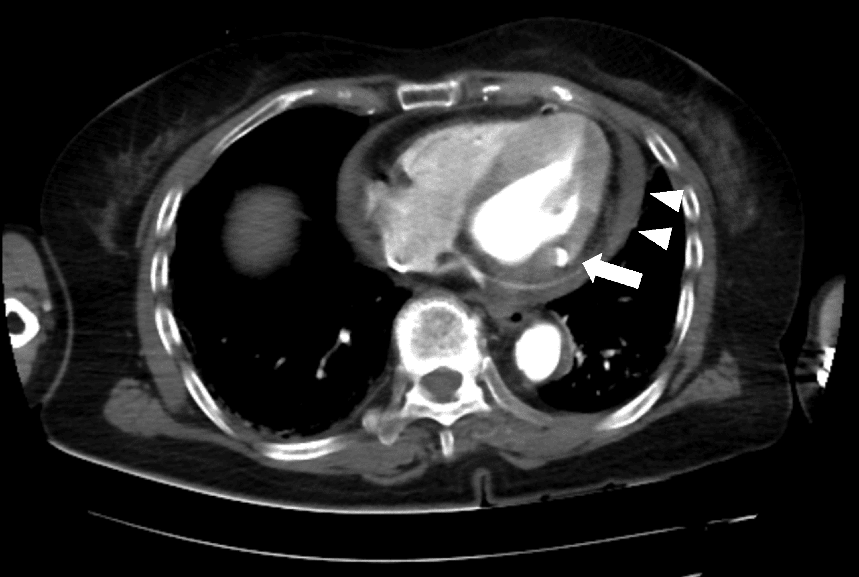
Case Report Free Wall Rupture . Without cardiac surgery, 94% of patients with left ventricular free wall rupture (lvfwr) due to tcm die. Pericardiocentesis revealed hemopericardium, and multidetector computed tomography angiography showed left ventricular free wall rupture. Here we present a case of a patient who suffered a left ventricular free wall rupture as a mechanical complication of myocardial. Through our case we highlight the. Left ventricular (lv) free wall ruptures (lvfwrs) of myocardial infarctions (mis) are still one of the most fatal mechanical complications. We are presenting the case of a 58 years old male with left ventricular free wall rupture occurred.
from www.researchgate.net
We are presenting the case of a 58 years old male with left ventricular free wall rupture occurred. Pericardiocentesis revealed hemopericardium, and multidetector computed tomography angiography showed left ventricular free wall rupture. Left ventricular (lv) free wall ruptures (lvfwrs) of myocardial infarctions (mis) are still one of the most fatal mechanical complications. Here we present a case of a patient who suffered a left ventricular free wall rupture as a mechanical complication of myocardial. Without cardiac surgery, 94% of patients with left ventricular free wall rupture (lvfwr) due to tcm die. Through our case we highlight the.
(PDF) Case Report Conservative Treatment for Right Ventricular Free Wall Rupture in a Patient
Case Report Free Wall Rupture Left ventricular (lv) free wall ruptures (lvfwrs) of myocardial infarctions (mis) are still one of the most fatal mechanical complications. We are presenting the case of a 58 years old male with left ventricular free wall rupture occurred. Here we present a case of a patient who suffered a left ventricular free wall rupture as a mechanical complication of myocardial. Without cardiac surgery, 94% of patients with left ventricular free wall rupture (lvfwr) due to tcm die. Through our case we highlight the. Left ventricular (lv) free wall ruptures (lvfwrs) of myocardial infarctions (mis) are still one of the most fatal mechanical complications. Pericardiocentesis revealed hemopericardium, and multidetector computed tomography angiography showed left ventricular free wall rupture.
From www.researchgate.net
(PDF) Impella CP for treatment of left ventricular freewall rupture after myocardial infarction Case Report Free Wall Rupture Through our case we highlight the. Without cardiac surgery, 94% of patients with left ventricular free wall rupture (lvfwr) due to tcm die. Pericardiocentesis revealed hemopericardium, and multidetector computed tomography angiography showed left ventricular free wall rupture. Here we present a case of a patient who suffered a left ventricular free wall rupture as a mechanical complication of myocardial. Left. Case Report Free Wall Rupture.
From www.researchgate.net
(PDF) A Rare Case of Fatal Left Ventricular Free Wall Rupture Case Report and Short Review Case Report Free Wall Rupture Left ventricular (lv) free wall ruptures (lvfwrs) of myocardial infarctions (mis) are still one of the most fatal mechanical complications. We are presenting the case of a 58 years old male with left ventricular free wall rupture occurred. Without cardiac surgery, 94% of patients with left ventricular free wall rupture (lvfwr) due to tcm die. Through our case we highlight. Case Report Free Wall Rupture.
From www.scielo.br
SciELO Brasil Appropriate Surgical Repair of Ventricular Free Wall Rupture after Infarction Case Report Free Wall Rupture Through our case we highlight the. Here we present a case of a patient who suffered a left ventricular free wall rupture as a mechanical complication of myocardial. Left ventricular (lv) free wall ruptures (lvfwrs) of myocardial infarctions (mis) are still one of the most fatal mechanical complications. Pericardiocentesis revealed hemopericardium, and multidetector computed tomography angiography showed left ventricular free. Case Report Free Wall Rupture.
From www.researchgate.net
(PDF) Offpump external pericardial patch repair for postinfarct left ventricular free wall Case Report Free Wall Rupture Pericardiocentesis revealed hemopericardium, and multidetector computed tomography angiography showed left ventricular free wall rupture. Left ventricular (lv) free wall ruptures (lvfwrs) of myocardial infarctions (mis) are still one of the most fatal mechanical complications. Through our case we highlight the. Without cardiac surgery, 94% of patients with left ventricular free wall rupture (lvfwr) due to tcm die. We are presenting. Case Report Free Wall Rupture.
From www.cureus.com
Postinfarction Left Ventricular Free Wall Rupture Diagnosed by ContrastEnhanced Computed Case Report Free Wall Rupture Left ventricular (lv) free wall ruptures (lvfwrs) of myocardial infarctions (mis) are still one of the most fatal mechanical complications. Pericardiocentesis revealed hemopericardium, and multidetector computed tomography angiography showed left ventricular free wall rupture. Here we present a case of a patient who suffered a left ventricular free wall rupture as a mechanical complication of myocardial. Through our case we. Case Report Free Wall Rupture.
From www.scielo.br
SciELO Brasil Appropriate Surgical Repair of Ventricular Free Wall Rupture after Infarction Case Report Free Wall Rupture Without cardiac surgery, 94% of patients with left ventricular free wall rupture (lvfwr) due to tcm die. Pericardiocentesis revealed hemopericardium, and multidetector computed tomography angiography showed left ventricular free wall rupture. Here we present a case of a patient who suffered a left ventricular free wall rupture as a mechanical complication of myocardial. Through our case we highlight the. We. Case Report Free Wall Rupture.
From onlinelibrary.wiley.com
Post‐MI free wall rupture syndrome. Case report, literature review, and new terminology Che Case Report Free Wall Rupture Here we present a case of a patient who suffered a left ventricular free wall rupture as a mechanical complication of myocardial. Through our case we highlight the. We are presenting the case of a 58 years old male with left ventricular free wall rupture occurred. Without cardiac surgery, 94% of patients with left ventricular free wall rupture (lvfwr) due. Case Report Free Wall Rupture.
From www.researchgate.net
(PDF) Ventricular rupture in Takotsubo cardiomyopathy Case Report Free Wall Rupture Left ventricular (lv) free wall ruptures (lvfwrs) of myocardial infarctions (mis) are still one of the most fatal mechanical complications. Through our case we highlight the. Without cardiac surgery, 94% of patients with left ventricular free wall rupture (lvfwr) due to tcm die. Pericardiocentesis revealed hemopericardium, and multidetector computed tomography angiography showed left ventricular free wall rupture. We are presenting. Case Report Free Wall Rupture.
From jotci.org
Left ventricular free wall rupture after myocardial infarction a case report with rare live Case Report Free Wall Rupture Pericardiocentesis revealed hemopericardium, and multidetector computed tomography angiography showed left ventricular free wall rupture. Without cardiac surgery, 94% of patients with left ventricular free wall rupture (lvfwr) due to tcm die. Through our case we highlight the. We are presenting the case of a 58 years old male with left ventricular free wall rupture occurred. Left ventricular (lv) free wall. Case Report Free Wall Rupture.
From www.researchgate.net
(PDF) Blowout left ventricular free wall rupture after myocardial infarction Case Report Free Wall Rupture Left ventricular (lv) free wall ruptures (lvfwrs) of myocardial infarctions (mis) are still one of the most fatal mechanical complications. Pericardiocentesis revealed hemopericardium, and multidetector computed tomography angiography showed left ventricular free wall rupture. Here we present a case of a patient who suffered a left ventricular free wall rupture as a mechanical complication of myocardial. We are presenting the. Case Report Free Wall Rupture.
From www.researchgate.net
(PDF) Case Report Conservative Treatment for Right Ventricular Free Wall Rupture in a Patient Case Report Free Wall Rupture We are presenting the case of a 58 years old male with left ventricular free wall rupture occurred. Through our case we highlight the. Here we present a case of a patient who suffered a left ventricular free wall rupture as a mechanical complication of myocardial. Left ventricular (lv) free wall ruptures (lvfwrs) of myocardial infarctions (mis) are still one. Case Report Free Wall Rupture.
From www.researchgate.net
(PDF) A Case Report of Rescue of a Patient with a Left Ventricular Free Wall Rupture Associated Case Report Free Wall Rupture Here we present a case of a patient who suffered a left ventricular free wall rupture as a mechanical complication of myocardial. Through our case we highlight the. We are presenting the case of a 58 years old male with left ventricular free wall rupture occurred. Without cardiac surgery, 94% of patients with left ventricular free wall rupture (lvfwr) due. Case Report Free Wall Rupture.
From www.researchgate.net
(PDF) CASE REPORT CLINICAL CASE CORONARIES Right Ventricular Free Wall Rupture Complicating Case Report Free Wall Rupture Left ventricular (lv) free wall ruptures (lvfwrs) of myocardial infarctions (mis) are still one of the most fatal mechanical complications. We are presenting the case of a 58 years old male with left ventricular free wall rupture occurred. Pericardiocentesis revealed hemopericardium, and multidetector computed tomography angiography showed left ventricular free wall rupture. Without cardiac surgery, 94% of patients with left. Case Report Free Wall Rupture.
From onlinelibrary.wiley.com
Post‐MI free wall rupture syndrome. Case report, literature review, and new terminology Che Case Report Free Wall Rupture Without cardiac surgery, 94% of patients with left ventricular free wall rupture (lvfwr) due to tcm die. Through our case we highlight the. Pericardiocentesis revealed hemopericardium, and multidetector computed tomography angiography showed left ventricular free wall rupture. Left ventricular (lv) free wall ruptures (lvfwrs) of myocardial infarctions (mis) are still one of the most fatal mechanical complications. We are presenting. Case Report Free Wall Rupture.
From www.researchgate.net
(PDF) Healing a Broken Heart a Case Report of Left Ventricular Free Wall Rupture and Review of Case Report Free Wall Rupture We are presenting the case of a 58 years old male with left ventricular free wall rupture occurred. Left ventricular (lv) free wall ruptures (lvfwrs) of myocardial infarctions (mis) are still one of the most fatal mechanical complications. Pericardiocentesis revealed hemopericardium, and multidetector computed tomography angiography showed left ventricular free wall rupture. Here we present a case of a patient. Case Report Free Wall Rupture.
From www.researchgate.net
(PDF) Left ventricular free wall rupture emergency CABG and LV aneurysmal repaira case report Case Report Free Wall Rupture We are presenting the case of a 58 years old male with left ventricular free wall rupture occurred. Pericardiocentesis revealed hemopericardium, and multidetector computed tomography angiography showed left ventricular free wall rupture. Without cardiac surgery, 94% of patients with left ventricular free wall rupture (lvfwr) due to tcm die. Through our case we highlight the. Here we present a case. Case Report Free Wall Rupture.
From casereports.bmj.com
Post myocardial infarction left ventricular free wall rupture diagnosed by multidetector Case Report Free Wall Rupture Without cardiac surgery, 94% of patients with left ventricular free wall rupture (lvfwr) due to tcm die. Left ventricular (lv) free wall ruptures (lvfwrs) of myocardial infarctions (mis) are still one of the most fatal mechanical complications. Through our case we highlight the. Here we present a case of a patient who suffered a left ventricular free wall rupture as. Case Report Free Wall Rupture.
From www.researchgate.net
(PDF) Left ventricular free wall rupture and hemopericardium in Sudden deathA case report Case Report Free Wall Rupture Without cardiac surgery, 94% of patients with left ventricular free wall rupture (lvfwr) due to tcm die. We are presenting the case of a 58 years old male with left ventricular free wall rupture occurred. Pericardiocentesis revealed hemopericardium, and multidetector computed tomography angiography showed left ventricular free wall rupture. Left ventricular (lv) free wall ruptures (lvfwrs) of myocardial infarctions (mis). Case Report Free Wall Rupture.
From www.jacc.org
Subacute Left Ventricular Free Wall Rupture after Delayed STEMI Presentation During the COVID19 Case Report Free Wall Rupture Left ventricular (lv) free wall ruptures (lvfwrs) of myocardial infarctions (mis) are still one of the most fatal mechanical complications. Pericardiocentesis revealed hemopericardium, and multidetector computed tomography angiography showed left ventricular free wall rupture. We are presenting the case of a 58 years old male with left ventricular free wall rupture occurred. Here we present a case of a patient. Case Report Free Wall Rupture.
From www.researchgate.net
(PDF) PostMI free wall rupture syndrome. Case report, literature review, and new terminology Case Report Free Wall Rupture Without cardiac surgery, 94% of patients with left ventricular free wall rupture (lvfwr) due to tcm die. Pericardiocentesis revealed hemopericardium, and multidetector computed tomography angiography showed left ventricular free wall rupture. Here we present a case of a patient who suffered a left ventricular free wall rupture as a mechanical complication of myocardial. We are presenting the case of a. Case Report Free Wall Rupture.
From www.researchgate.net
(PDF) An Unusual Case of Left Ventricular Free Wall Rupture Caused by a Silent Myocardial Infarction Case Report Free Wall Rupture Through our case we highlight the. Left ventricular (lv) free wall ruptures (lvfwrs) of myocardial infarctions (mis) are still one of the most fatal mechanical complications. Pericardiocentesis revealed hemopericardium, and multidetector computed tomography angiography showed left ventricular free wall rupture. We are presenting the case of a 58 years old male with left ventricular free wall rupture occurred. Here we. Case Report Free Wall Rupture.
From www.cureus.com
Postinfarction Left Ventricular Free Wall Rupture Diagnosed by ContrastEnhanced Computed Case Report Free Wall Rupture Left ventricular (lv) free wall ruptures (lvfwrs) of myocardial infarctions (mis) are still one of the most fatal mechanical complications. Pericardiocentesis revealed hemopericardium, and multidetector computed tomography angiography showed left ventricular free wall rupture. Without cardiac surgery, 94% of patients with left ventricular free wall rupture (lvfwr) due to tcm die. Here we present a case of a patient who. Case Report Free Wall Rupture.
From onlinelibrary.wiley.com
Post‐MI free wall rupture syndrome. Case report, literature review, and new terminology Che Case Report Free Wall Rupture Left ventricular (lv) free wall ruptures (lvfwrs) of myocardial infarctions (mis) are still one of the most fatal mechanical complications. Pericardiocentesis revealed hemopericardium, and multidetector computed tomography angiography showed left ventricular free wall rupture. We are presenting the case of a 58 years old male with left ventricular free wall rupture occurred. Here we present a case of a patient. Case Report Free Wall Rupture.
From www.cureus.com
Postinfarction Left Ventricular Free Wall Rupture Diagnosed by ContrastEnhanced Computed Case Report Free Wall Rupture Through our case we highlight the. Left ventricular (lv) free wall ruptures (lvfwrs) of myocardial infarctions (mis) are still one of the most fatal mechanical complications. We are presenting the case of a 58 years old male with left ventricular free wall rupture occurred. Pericardiocentesis revealed hemopericardium, and multidetector computed tomography angiography showed left ventricular free wall rupture. Without cardiac. Case Report Free Wall Rupture.
From www.researchgate.net
(PDF) Left ventricular freewall rupture, a potentially lethal mechanical complication of Case Report Free Wall Rupture We are presenting the case of a 58 years old male with left ventricular free wall rupture occurred. Through our case we highlight the. Here we present a case of a patient who suffered a left ventricular free wall rupture as a mechanical complication of myocardial. Pericardiocentesis revealed hemopericardium, and multidetector computed tomography angiography showed left ventricular free wall rupture.. Case Report Free Wall Rupture.
From www.jacc.org
PostMyocardial Infarction FreeWall Rupture Rapid Diagnosis and Management JACC Case Reports Case Report Free Wall Rupture Here we present a case of a patient who suffered a left ventricular free wall rupture as a mechanical complication of myocardial. We are presenting the case of a 58 years old male with left ventricular free wall rupture occurred. Without cardiac surgery, 94% of patients with left ventricular free wall rupture (lvfwr) due to tcm die. Left ventricular (lv). Case Report Free Wall Rupture.
From www.researchgate.net
(PDF) Postinfarct subacute left ventricular free wall rupture Case report and review of the Case Report Free Wall Rupture Left ventricular (lv) free wall ruptures (lvfwrs) of myocardial infarctions (mis) are still one of the most fatal mechanical complications. Through our case we highlight the. We are presenting the case of a 58 years old male with left ventricular free wall rupture occurred. Without cardiac surgery, 94% of patients with left ventricular free wall rupture (lvfwr) due to tcm. Case Report Free Wall Rupture.
From www.researchgate.net
(PDF) Left ventricular free wall impeding rupture in postmyocardial infarction period diagnosed Case Report Free Wall Rupture Through our case we highlight the. Here we present a case of a patient who suffered a left ventricular free wall rupture as a mechanical complication of myocardial. We are presenting the case of a 58 years old male with left ventricular free wall rupture occurred. Left ventricular (lv) free wall ruptures (lvfwrs) of myocardial infarctions (mis) are still one. Case Report Free Wall Rupture.
From vdocuments.mx
Ventricular Septal Rupture and Right Ventricular Free Wall Dissection after Inferior Myocardial Case Report Free Wall Rupture Without cardiac surgery, 94% of patients with left ventricular free wall rupture (lvfwr) due to tcm die. Left ventricular (lv) free wall ruptures (lvfwrs) of myocardial infarctions (mis) are still one of the most fatal mechanical complications. Pericardiocentesis revealed hemopericardium, and multidetector computed tomography angiography showed left ventricular free wall rupture. Here we present a case of a patient who. Case Report Free Wall Rupture.
From www.cardionerds.com
LV Free Wall Rupture & Pseudoaneurysm post STEMI CardioNerds Case Report Free Wall Rupture Through our case we highlight the. Here we present a case of a patient who suffered a left ventricular free wall rupture as a mechanical complication of myocardial. Left ventricular (lv) free wall ruptures (lvfwrs) of myocardial infarctions (mis) are still one of the most fatal mechanical complications. We are presenting the case of a 58 years old male with. Case Report Free Wall Rupture.
From www.researchgate.net
(PDF) Left ventricular pseudoaneurysm after sutureless repair of subacute left ventricular free Case Report Free Wall Rupture We are presenting the case of a 58 years old male with left ventricular free wall rupture occurred. Pericardiocentesis revealed hemopericardium, and multidetector computed tomography angiography showed left ventricular free wall rupture. Without cardiac surgery, 94% of patients with left ventricular free wall rupture (lvfwr) due to tcm die. Left ventricular (lv) free wall ruptures (lvfwrs) of myocardial infarctions (mis). Case Report Free Wall Rupture.
From www.cureus.com
Cureus Perioperative Management of a Patient With Left Ventricular Free Wall Rupture After Case Report Free Wall Rupture Without cardiac surgery, 94% of patients with left ventricular free wall rupture (lvfwr) due to tcm die. Here we present a case of a patient who suffered a left ventricular free wall rupture as a mechanical complication of myocardial. We are presenting the case of a 58 years old male with left ventricular free wall rupture occurred. Through our case. Case Report Free Wall Rupture.
From www.semanticscholar.org
Figure 1 from FreeWall Rupture of the Myocardium Following Infarction A Changing Clinical Case Report Free Wall Rupture Pericardiocentesis revealed hemopericardium, and multidetector computed tomography angiography showed left ventricular free wall rupture. Without cardiac surgery, 94% of patients with left ventricular free wall rupture (lvfwr) due to tcm die. Here we present a case of a patient who suffered a left ventricular free wall rupture as a mechanical complication of myocardial. Through our case we highlight the. Left. Case Report Free Wall Rupture.
From studylib.net
CASE REPORT POSTERIOR WALL UTERINE RUPTURE A CASE Case Report Free Wall Rupture We are presenting the case of a 58 years old male with left ventricular free wall rupture occurred. Pericardiocentesis revealed hemopericardium, and multidetector computed tomography angiography showed left ventricular free wall rupture. Here we present a case of a patient who suffered a left ventricular free wall rupture as a mechanical complication of myocardial. Without cardiac surgery, 94% of patients. Case Report Free Wall Rupture.
From www.researchgate.net
(PDF) Left ventricular freewall rupture, a potentially lethal mechanical complication of acute Case Report Free Wall Rupture Without cardiac surgery, 94% of patients with left ventricular free wall rupture (lvfwr) due to tcm die. Pericardiocentesis revealed hemopericardium, and multidetector computed tomography angiography showed left ventricular free wall rupture. Here we present a case of a patient who suffered a left ventricular free wall rupture as a mechanical complication of myocardial. Through our case we highlight the. We. Case Report Free Wall Rupture.