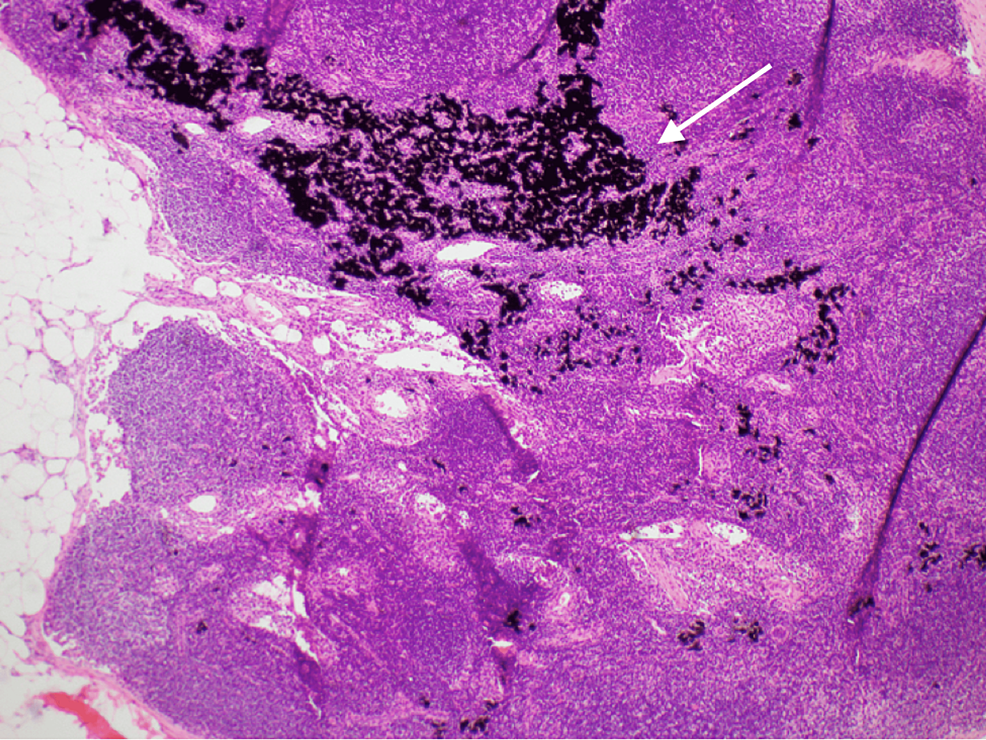
Tattoo And Lymph Nodes . We found that tattooed people had a 21% higher risk of lymphoma than people without tattoos after factoring in smoking status and. Over time, the edges of tattoos may get a bit fuzzier as the ink passes from cell to cell. But given how long tattoo inks stay in the skin, their summons of immune cells, and evidence suggesting small amounts of pigment can leak into lymph nodes, the findings are. A swedish study has found a potential link between tattoos and a type of cancer called malignant lymphoma, but it ultimately. Immune cells in the skin can react to the chemicals in tattoo ink and travel to nearby lymph nodes, triggering a bodywide immune. Translocation of both black and coloured tattoo pigments to human lymph nodes has been confirmed, 14, 15 as have depositions of metal particles from tattoo needle. Some pigment may also end up shuttled to.
from www.discovermagazine.com
Over time, the edges of tattoos may get a bit fuzzier as the ink passes from cell to cell. But given how long tattoo inks stay in the skin, their summons of immune cells, and evidence suggesting small amounts of pigment can leak into lymph nodes, the findings are. Translocation of both black and coloured tattoo pigments to human lymph nodes has been confirmed, 14, 15 as have depositions of metal particles from tattoo needle. Some pigment may also end up shuttled to. We found that tattooed people had a 21% higher risk of lymphoma than people without tattoos after factoring in smoking status and. A swedish study has found a potential link between tattoos and a type of cancer called malignant lymphoma, but it ultimately. Immune cells in the skin can react to the chemicals in tattoo ink and travel to nearby lymph nodes, triggering a bodywide immune.
Getting a Tattoo Might Also Stain Your Lymph Nodes Discover Magazine
Tattoo And Lymph Nodes We found that tattooed people had a 21% higher risk of lymphoma than people without tattoos after factoring in smoking status and. Over time, the edges of tattoos may get a bit fuzzier as the ink passes from cell to cell. Translocation of both black and coloured tattoo pigments to human lymph nodes has been confirmed, 14, 15 as have depositions of metal particles from tattoo needle. Immune cells in the skin can react to the chemicals in tattoo ink and travel to nearby lymph nodes, triggering a bodywide immune. Some pigment may also end up shuttled to. A swedish study has found a potential link between tattoos and a type of cancer called malignant lymphoma, but it ultimately. We found that tattooed people had a 21% higher risk of lymphoma than people without tattoos after factoring in smoking status and. But given how long tattoo inks stay in the skin, their summons of immune cells, and evidence suggesting small amounts of pigment can leak into lymph nodes, the findings are.
From www.youtube.com
Preoperative Marking of Lymph Nodes with Tattoo Ink YouTube Tattoo And Lymph Nodes Some pigment may also end up shuttled to. But given how long tattoo inks stay in the skin, their summons of immune cells, and evidence suggesting small amounts of pigment can leak into lymph nodes, the findings are. Translocation of both black and coloured tattoo pigments to human lymph nodes has been confirmed, 14, 15 as have depositions of metal. Tattoo And Lymph Nodes.
From www.refinery29.uk
Tattoo Ink Colour Health Risk Lymph Nodes Study Tattoo And Lymph Nodes Over time, the edges of tattoos may get a bit fuzzier as the ink passes from cell to cell. A swedish study has found a potential link between tattoos and a type of cancer called malignant lymphoma, but it ultimately. But given how long tattoo inks stay in the skin, their summons of immune cells, and evidence suggesting small amounts. Tattoo And Lymph Nodes.
From www.semanticscholar.org
Figure 1 from PreOperative Localization of Axillary Lymph Nodes with Tattoo And Lymph Nodes A swedish study has found a potential link between tattoos and a type of cancer called malignant lymphoma, but it ultimately. Over time, the edges of tattoos may get a bit fuzzier as the ink passes from cell to cell. Immune cells in the skin can react to the chemicals in tattoo ink and travel to nearby lymph nodes, triggering. Tattoo And Lymph Nodes.
From www.pinterest.com
Tattoo Ink May Stain Your Lymph Nodes Lymph nodes, Ink tattoo, Smart news Tattoo And Lymph Nodes Translocation of both black and coloured tattoo pigments to human lymph nodes has been confirmed, 14, 15 as have depositions of metal particles from tattoo needle. Over time, the edges of tattoos may get a bit fuzzier as the ink passes from cell to cell. We found that tattooed people had a 21% higher risk of lymphoma than people without. Tattoo And Lymph Nodes.
From www.semanticscholar.org
Figure 2 from HISTOPATHOLOGICAL AND IMMUNOHISTOCHEMICAL EFFECTS OF Tattoo And Lymph Nodes Over time, the edges of tattoos may get a bit fuzzier as the ink passes from cell to cell. Immune cells in the skin can react to the chemicals in tattoo ink and travel to nearby lymph nodes, triggering a bodywide immune. Some pigment may also end up shuttled to. Translocation of both black and coloured tattoo pigments to human. Tattoo And Lymph Nodes.
From www.thelancet.com
Black lymph nodes—and a colourful skin The Lancet Tattoo And Lymph Nodes Over time, the edges of tattoos may get a bit fuzzier as the ink passes from cell to cell. A swedish study has found a potential link between tattoos and a type of cancer called malignant lymphoma, but it ultimately. But given how long tattoo inks stay in the skin, their summons of immune cells, and evidence suggesting small amounts. Tattoo And Lymph Nodes.
From www.cureus.com
Cureus Tattoo Pigment in an Intramammary Lymph Node Mimicking Breast Tattoo And Lymph Nodes But given how long tattoo inks stay in the skin, their summons of immune cells, and evidence suggesting small amounts of pigment can leak into lymph nodes, the findings are. We found that tattooed people had a 21% higher risk of lymphoma than people without tattoos after factoring in smoking status and. Over time, the edges of tattoos may get. Tattoo And Lymph Nodes.
From www.pinterest.com
Tattoo ink may affect lymph nodes Body, Lymph nodes, Science Tattoo And Lymph Nodes Translocation of both black and coloured tattoo pigments to human lymph nodes has been confirmed, 14, 15 as have depositions of metal particles from tattoo needle. Some pigment may also end up shuttled to. A swedish study has found a potential link between tattoos and a type of cancer called malignant lymphoma, but it ultimately. But given how long tattoo. Tattoo And Lymph Nodes.
From www.researchgate.net
Tattoo pigment in the lymph node capsule (a) and parenchyma (b Tattoo And Lymph Nodes Immune cells in the skin can react to the chemicals in tattoo ink and travel to nearby lymph nodes, triggering a bodywide immune. A swedish study has found a potential link between tattoos and a type of cancer called malignant lymphoma, but it ultimately. We found that tattooed people had a 21% higher risk of lymphoma than people without tattoos. Tattoo And Lymph Nodes.
From www.vinmec.com
Fever and swollen lymph nodes after tattoo are worrisome? Do you need Tattoo And Lymph Nodes We found that tattooed people had a 21% higher risk of lymphoma than people without tattoos after factoring in smoking status and. But given how long tattoo inks stay in the skin, their summons of immune cells, and evidence suggesting small amounts of pigment can leak into lymph nodes, the findings are. Over time, the edges of tattoos may get. Tattoo And Lymph Nodes.
From europepmc.org
Tattoo pigment mimicking axillary lymph node calcifications on Tattoo And Lymph Nodes Immune cells in the skin can react to the chemicals in tattoo ink and travel to nearby lymph nodes, triggering a bodywide immune. We found that tattooed people had a 21% higher risk of lymphoma than people without tattoos after factoring in smoking status and. Some pigment may also end up shuttled to. But given how long tattoo inks stay. Tattoo And Lymph Nodes.
From www.issoonline.com
Tattoo pigment in an axillary lymph node simulating metastatic Tattoo And Lymph Nodes Immune cells in the skin can react to the chemicals in tattoo ink and travel to nearby lymph nodes, triggering a bodywide immune. Some pigment may also end up shuttled to. We found that tattooed people had a 21% higher risk of lymphoma than people without tattoos after factoring in smoking status and. Translocation of both black and coloured tattoo. Tattoo And Lymph Nodes.
From www.herworld.com
Tattoo ink can end up in lymph nodes and affect immune system Her Tattoo And Lymph Nodes Immune cells in the skin can react to the chemicals in tattoo ink and travel to nearby lymph nodes, triggering a bodywide immune. Over time, the edges of tattoos may get a bit fuzzier as the ink passes from cell to cell. A swedish study has found a potential link between tattoos and a type of cancer called malignant lymphoma,. Tattoo And Lymph Nodes.
From jamanetwork.com
Preoperative Tattooing and Improved Lymph Node Retrieval Rates From Tattoo And Lymph Nodes A swedish study has found a potential link between tattoos and a type of cancer called malignant lymphoma, but it ultimately. Some pigment may also end up shuttled to. But given how long tattoo inks stay in the skin, their summons of immune cells, and evidence suggesting small amounts of pigment can leak into lymph nodes, the findings are. Translocation. Tattoo And Lymph Nodes.
From www.smithsonianmag.com
Tattoo Ink May Stain Your Lymph Nodes Smithsonian Tattoo And Lymph Nodes A swedish study has found a potential link between tattoos and a type of cancer called malignant lymphoma, but it ultimately. Some pigment may also end up shuttled to. Translocation of both black and coloured tattoo pigments to human lymph nodes has been confirmed, 14, 15 as have depositions of metal particles from tattoo needle. Immune cells in the skin. Tattoo And Lymph Nodes.
From www.reddit.com
Accumulation of pigment in lymph node after getting a tattoo r Tattoo And Lymph Nodes Over time, the edges of tattoos may get a bit fuzzier as the ink passes from cell to cell. Some pigment may also end up shuttled to. A swedish study has found a potential link between tattoos and a type of cancer called malignant lymphoma, but it ultimately. But given how long tattoo inks stay in the skin, their summons. Tattoo And Lymph Nodes.
From www.clinicalimaging.org
Ink on the move tattoo pigment resembling axillary lymph node Tattoo And Lymph Nodes Over time, the edges of tattoos may get a bit fuzzier as the ink passes from cell to cell. We found that tattooed people had a 21% higher risk of lymphoma than people without tattoos after factoring in smoking status and. But given how long tattoo inks stay in the skin, their summons of immune cells, and evidence suggesting small. Tattoo And Lymph Nodes.
From www.semanticscholar.org
Figure 1 from HISTOPATHOLOGICAL AND IMMUNOHISTOCHEMICAL EFFECTS OF Tattoo And Lymph Nodes Immune cells in the skin can react to the chemicals in tattoo ink and travel to nearby lymph nodes, triggering a bodywide immune. Translocation of both black and coloured tattoo pigments to human lymph nodes has been confirmed, 14, 15 as have depositions of metal particles from tattoo needle. But given how long tattoo inks stay in the skin, their. Tattoo And Lymph Nodes.
From www.clinicalimaging.org
Ink on the move tattoo pigment resembling axillary lymph node Tattoo And Lymph Nodes But given how long tattoo inks stay in the skin, their summons of immune cells, and evidence suggesting small amounts of pigment can leak into lymph nodes, the findings are. We found that tattooed people had a 21% higher risk of lymphoma than people without tattoos after factoring in smoking status and. Over time, the edges of tattoos may get. Tattoo And Lymph Nodes.
From www.cureus.com
Cureus Tattoo Pigment in an Intramammary Lymph Node Mimicking Breast Tattoo And Lymph Nodes Immune cells in the skin can react to the chemicals in tattoo ink and travel to nearby lymph nodes, triggering a bodywide immune. We found that tattooed people had a 21% higher risk of lymphoma than people without tattoos after factoring in smoking status and. A swedish study has found a potential link between tattoos and a type of cancer. Tattoo And Lymph Nodes.
From jcp.bmj.com
Preoperative endoscopic tattooing technique improved lymph node Tattoo And Lymph Nodes Some pigment may also end up shuttled to. Over time, the edges of tattoos may get a bit fuzzier as the ink passes from cell to cell. But given how long tattoo inks stay in the skin, their summons of immune cells, and evidence suggesting small amounts of pigment can leak into lymph nodes, the findings are. We found that. Tattoo And Lymph Nodes.
From www.discovermagazine.com
Getting a Tattoo Might Also Stain Your Lymph Nodes Discover Magazine Tattoo And Lymph Nodes We found that tattooed people had a 21% higher risk of lymphoma than people without tattoos after factoring in smoking status and. Immune cells in the skin can react to the chemicals in tattoo ink and travel to nearby lymph nodes, triggering a bodywide immune. Some pigment may also end up shuttled to. A swedish study has found a potential. Tattoo And Lymph Nodes.
From www.pinterest.com
Lymph Nodes Location, Pictures, Types, Significance Lymph nodes Tattoo And Lymph Nodes But given how long tattoo inks stay in the skin, their summons of immune cells, and evidence suggesting small amounts of pigment can leak into lymph nodes, the findings are. We found that tattooed people had a 21% higher risk of lymphoma than people without tattoos after factoring in smoking status and. Immune cells in the skin can react to. Tattoo And Lymph Nodes.
From www.shropshirestar.com
Tattoos release nanoparticles that lodge in lymph nodes, scientists say Tattoo And Lymph Nodes A swedish study has found a potential link between tattoos and a type of cancer called malignant lymphoma, but it ultimately. Over time, the edges of tattoos may get a bit fuzzier as the ink passes from cell to cell. We found that tattooed people had a 21% higher risk of lymphoma than people without tattoos after factoring in smoking. Tattoo And Lymph Nodes.
From www.pinterest.com
Skin Problems & Treatments Symptoms & Types Lymph nodes, Tracing Tattoo And Lymph Nodes We found that tattooed people had a 21% higher risk of lymphoma than people without tattoos after factoring in smoking status and. Over time, the edges of tattoos may get a bit fuzzier as the ink passes from cell to cell. But given how long tattoo inks stay in the skin, their summons of immune cells, and evidence suggesting small. Tattoo And Lymph Nodes.
From escholarship.org
Tattoo pigment in sentinel lymph nodes A mimicker of metastatic Tattoo And Lymph Nodes Some pigment may also end up shuttled to. Over time, the edges of tattoos may get a bit fuzzier as the ink passes from cell to cell. A swedish study has found a potential link between tattoos and a type of cancer called malignant lymphoma, but it ultimately. We found that tattooed people had a 21% higher risk of lymphoma. Tattoo And Lymph Nodes.
From www.diagnosticimaging.com
With Lymph Node Abnormalities, Consider Tattoo History Tattoo And Lymph Nodes Translocation of both black and coloured tattoo pigments to human lymph nodes has been confirmed, 14, 15 as have depositions of metal particles from tattoo needle. But given how long tattoo inks stay in the skin, their summons of immune cells, and evidence suggesting small amounts of pigment can leak into lymph nodes, the findings are. Some pigment may also. Tattoo And Lymph Nodes.
From 55inchledtvcheap.blogspot.com
tattoo removal lymph nodes 55inchledtvcheap Tattoo And Lymph Nodes Over time, the edges of tattoos may get a bit fuzzier as the ink passes from cell to cell. But given how long tattoo inks stay in the skin, their summons of immune cells, and evidence suggesting small amounts of pigment can leak into lymph nodes, the findings are. Translocation of both black and coloured tattoo pigments to human lymph. Tattoo And Lymph Nodes.
From www.clinicalimaging.org
Ink on the move tattoo pigment resembling axillary lymph node Tattoo And Lymph Nodes We found that tattooed people had a 21% higher risk of lymphoma than people without tattoos after factoring in smoking status and. Some pigment may also end up shuttled to. But given how long tattoo inks stay in the skin, their summons of immune cells, and evidence suggesting small amounts of pigment can leak into lymph nodes, the findings are.. Tattoo And Lymph Nodes.
From www.clinicalimaging.org
Ink on the move tattoo pigment resembling axillary lymph node Tattoo And Lymph Nodes Immune cells in the skin can react to the chemicals in tattoo ink and travel to nearby lymph nodes, triggering a bodywide immune. We found that tattooed people had a 21% higher risk of lymphoma than people without tattoos after factoring in smoking status and. A swedish study has found a potential link between tattoos and a type of cancer. Tattoo And Lymph Nodes.
From www.ignboards.com
Esse é o linfonodo de quem faz tatuagem IGN Boards Tattoo And Lymph Nodes We found that tattooed people had a 21% higher risk of lymphoma than people without tattoos after factoring in smoking status and. Immune cells in the skin can react to the chemicals in tattoo ink and travel to nearby lymph nodes, triggering a bodywide immune. Some pigment may also end up shuttled to. Translocation of both black and coloured tattoo. Tattoo And Lymph Nodes.
From torontosun.com
Tattoo ink and the lymph nodes Toronto Sun Tattoo And Lymph Nodes Translocation of both black and coloured tattoo pigments to human lymph nodes has been confirmed, 14, 15 as have depositions of metal particles from tattoo needle. We found that tattooed people had a 21% higher risk of lymphoma than people without tattoos after factoring in smoking status and. Some pigment may also end up shuttled to. Immune cells in the. Tattoo And Lymph Nodes.
From newatlas.com
Nanoparticles from tattoos can travel to the lymph nodes Tattoo And Lymph Nodes But given how long tattoo inks stay in the skin, their summons of immune cells, and evidence suggesting small amounts of pigment can leak into lymph nodes, the findings are. Immune cells in the skin can react to the chemicals in tattoo ink and travel to nearby lymph nodes, triggering a bodywide immune. Over time, the edges of tattoos may. Tattoo And Lymph Nodes.
From www.glamourmagazine.co.uk
Metal Particles From Coloured Tattoos Leaking Into Lymph Nodes Glamour UK Tattoo And Lymph Nodes Translocation of both black and coloured tattoo pigments to human lymph nodes has been confirmed, 14, 15 as have depositions of metal particles from tattoo needle. A swedish study has found a potential link between tattoos and a type of cancer called malignant lymphoma, but it ultimately. We found that tattooed people had a 21% higher risk of lymphoma than. Tattoo And Lymph Nodes.
From casereports.bmj.com
Tattoo pigment in axillary lymph node mimicking calcification of breast Tattoo And Lymph Nodes Immune cells in the skin can react to the chemicals in tattoo ink and travel to nearby lymph nodes, triggering a bodywide immune. Some pigment may also end up shuttled to. Translocation of both black and coloured tattoo pigments to human lymph nodes has been confirmed, 14, 15 as have depositions of metal particles from tattoo needle. Over time, the. Tattoo And Lymph Nodes.