Central Venous Catheter Air Embolism . It is generally related to. Air embolism is a known risk with insertion, manipulation, and removal of central catheters, with a reported incidence rate of 0.03% to 2%. Air embolism is a potentially fatal complication of central venous catheter placement with a broad range of. During central venous catheter removal, several procedural techniques have been proven to decrease the potentially fatal. Air embolism is a rare but mostly iatrogenic complication of medical or surgical procedures and may have a serious outcome. A, massive arrival of air bubbles in right chambers of the heart 20 minutes after central venous catheter removal. Vascular air embolism is the entrainment of air (or exogenously delivered gas) from the operative field or other communication. We herein report a case of massive air entrainment from an inadvertently disconnected port of a central venous catheter.
from www.ivteam.com
Air embolism is a potentially fatal complication of central venous catheter placement with a broad range of. We herein report a case of massive air entrainment from an inadvertently disconnected port of a central venous catheter. During central venous catheter removal, several procedural techniques have been proven to decrease the potentially fatal. Air embolism is a rare but mostly iatrogenic complication of medical or surgical procedures and may have a serious outcome. It is generally related to. Air embolism is a known risk with insertion, manipulation, and removal of central catheters, with a reported incidence rate of 0.03% to 2%. Vascular air embolism is the entrainment of air (or exogenously delivered gas) from the operative field or other communication. A, massive arrival of air bubbles in right chambers of the heart 20 minutes after central venous catheter removal.
Central venous catheter removalassociated air embolism
Central Venous Catheter Air Embolism Air embolism is a rare but mostly iatrogenic complication of medical or surgical procedures and may have a serious outcome. It is generally related to. Air embolism is a rare but mostly iatrogenic complication of medical or surgical procedures and may have a serious outcome. During central venous catheter removal, several procedural techniques have been proven to decrease the potentially fatal. Air embolism is a known risk with insertion, manipulation, and removal of central catheters, with a reported incidence rate of 0.03% to 2%. A, massive arrival of air bubbles in right chambers of the heart 20 minutes after central venous catheter removal. Vascular air embolism is the entrainment of air (or exogenously delivered gas) from the operative field or other communication. We herein report a case of massive air entrainment from an inadvertently disconnected port of a central venous catheter. Air embolism is a potentially fatal complication of central venous catheter placement with a broad range of.
From slideplayer.com
Complications of Central Line Insertion ppt download Central Venous Catheter Air Embolism Vascular air embolism is the entrainment of air (or exogenously delivered gas) from the operative field or other communication. Air embolism is a potentially fatal complication of central venous catheter placement with a broad range of. A, massive arrival of air bubbles in right chambers of the heart 20 minutes after central venous catheter removal. Air embolism is a known. Central Venous Catheter Air Embolism.
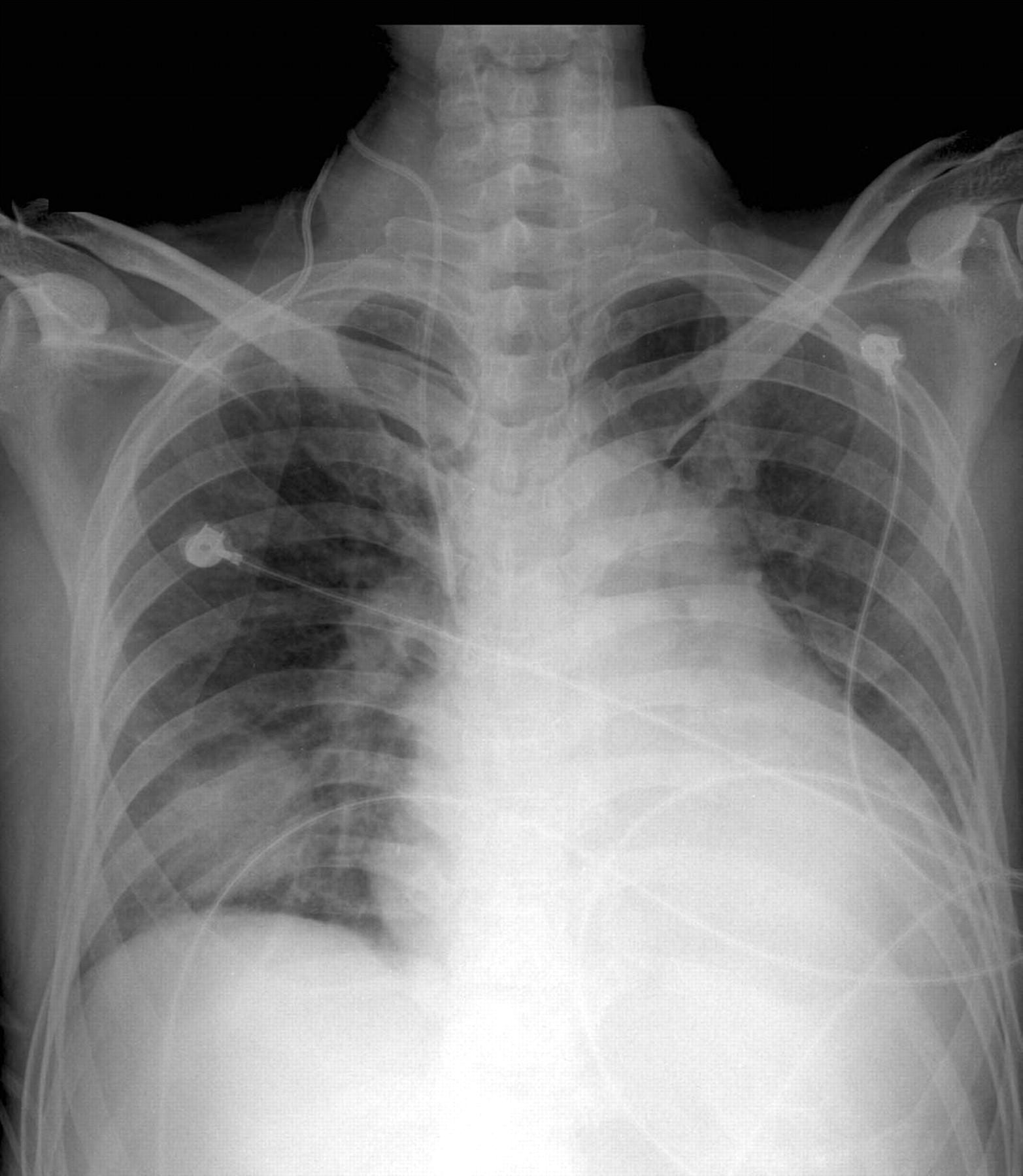
From dxojdcymz.blob.core.windows.net
How Do You Position A Patient With An Air Embolism at Olive Schroeder blog Central Venous Catheter Air Embolism A, massive arrival of air bubbles in right chambers of the heart 20 minutes after central venous catheter removal. Air embolism is a potentially fatal complication of central venous catheter placement with a broad range of. Vascular air embolism is the entrainment of air (or exogenously delivered gas) from the operative field or other communication. Air embolism is a rare. Central Venous Catheter Air Embolism.
From en.wikipedia.org
Central venous catheter Wikipedia Central Venous Catheter Air Embolism Air embolism is a potentially fatal complication of central venous catheter placement with a broad range of. During central venous catheter removal, several procedural techniques have been proven to decrease the potentially fatal. Air embolism is a rare but mostly iatrogenic complication of medical or surgical procedures and may have a serious outcome. A, massive arrival of air bubbles in. Central Venous Catheter Air Embolism.
From www.hindawi.com
Figure 1 Air Embolism after Central Venous Catheter Removal Fibrin Central Venous Catheter Air Embolism Air embolism is a potentially fatal complication of central venous catheter placement with a broad range of. During central venous catheter removal, several procedural techniques have been proven to decrease the potentially fatal. Vascular air embolism is the entrainment of air (or exogenously delivered gas) from the operative field or other communication. It is generally related to. Air embolism is. Central Venous Catheter Air Embolism.
From www.ivteam.com
Central venous catheter removalassociated air embolism Central Venous Catheter Air Embolism We herein report a case of massive air entrainment from an inadvertently disconnected port of a central venous catheter. A, massive arrival of air bubbles in right chambers of the heart 20 minutes after central venous catheter removal. Vascular air embolism is the entrainment of air (or exogenously delivered gas) from the operative field or other communication. Air embolism is. Central Venous Catheter Air Embolism.
From rfs.sirweb.org
Tunneled Internal Jugular Hemodialysis Catheters Impact of Laterality Central Venous Catheter Air Embolism Air embolism is a known risk with insertion, manipulation, and removal of central catheters, with a reported incidence rate of 0.03% to 2%. It is generally related to. Air embolism is a potentially fatal complication of central venous catheter placement with a broad range of. Vascular air embolism is the entrainment of air (or exogenously delivered gas) from the operative. Central Venous Catheter Air Embolism.
From www.researchgate.net
(PDF) Stroke Caused by Cerebral Air Embolism after Central Venous Central Venous Catheter Air Embolism It is generally related to. A, massive arrival of air bubbles in right chambers of the heart 20 minutes after central venous catheter removal. Air embolism is a potentially fatal complication of central venous catheter placement with a broad range of. Vascular air embolism is the entrainment of air (or exogenously delivered gas) from the operative field or other communication.. Central Venous Catheter Air Embolism.
From www.semanticscholar.org
Figure 1 from Massive Air Embolism Caused by a Central Venous Catheter Central Venous Catheter Air Embolism Air embolism is a known risk with insertion, manipulation, and removal of central catheters, with a reported incidence rate of 0.03% to 2%. It is generally related to. Vascular air embolism is the entrainment of air (or exogenously delivered gas) from the operative field or other communication. A, massive arrival of air bubbles in right chambers of the heart 20. Central Venous Catheter Air Embolism.
From together.stjude.org
PICC Line Together by St. Jude™ Central Venous Catheter Air Embolism A, massive arrival of air bubbles in right chambers of the heart 20 minutes after central venous catheter removal. It is generally related to. Air embolism is a known risk with insertion, manipulation, and removal of central catheters, with a reported incidence rate of 0.03% to 2%. During central venous catheter removal, several procedural techniques have been proven to decrease. Central Venous Catheter Air Embolism.
From cnvida.en.made-in-china.com
Central Venous Catheter Kit Hot Selling CVC Catheter Kit Disposable Central Venous Catheter Air Embolism Air embolism is a potentially fatal complication of central venous catheter placement with a broad range of. Air embolism is a rare but mostly iatrogenic complication of medical or surgical procedures and may have a serious outcome. It is generally related to. Vascular air embolism is the entrainment of air (or exogenously delivered gas) from the operative field or other. Central Venous Catheter Air Embolism.
From dokumen.tips
(PDF) Case Report Air Embolism after Central Venous Catheter Removal Central Venous Catheter Air Embolism Vascular air embolism is the entrainment of air (or exogenously delivered gas) from the operative field or other communication. Air embolism is a potentially fatal complication of central venous catheter placement with a broad range of. Air embolism is a rare but mostly iatrogenic complication of medical or surgical procedures and may have a serious outcome. During central venous catheter. Central Venous Catheter Air Embolism.
From www.researchgate.net
(PDF) Air Embolism in SingleLung Transplant Patients After Central Central Venous Catheter Air Embolism It is generally related to. Vascular air embolism is the entrainment of air (or exogenously delivered gas) from the operative field or other communication. Air embolism is a potentially fatal complication of central venous catheter placement with a broad range of. During central venous catheter removal, several procedural techniques have been proven to decrease the potentially fatal. Air embolism is. Central Venous Catheter Air Embolism.
From www.semanticscholar.org
[PDF] Venous air embolism related to the use of central catheters Central Venous Catheter Air Embolism During central venous catheter removal, several procedural techniques have been proven to decrease the potentially fatal. A, massive arrival of air bubbles in right chambers of the heart 20 minutes after central venous catheter removal. Air embolism is a potentially fatal complication of central venous catheter placement with a broad range of. We herein report a case of massive air. Central Venous Catheter Air Embolism.
From www.bmj.com
Central venous catheters The BMJ Central Venous Catheter Air Embolism A, massive arrival of air bubbles in right chambers of the heart 20 minutes after central venous catheter removal. It is generally related to. Air embolism is a rare but mostly iatrogenic complication of medical or surgical procedures and may have a serious outcome. We herein report a case of massive air entrainment from an inadvertently disconnected port of a. Central Venous Catheter Air Embolism.
From www.researchgate.net
Risk Factors for Venous Air Embolism from Central Venous Catheters Central Venous Catheter Air Embolism During central venous catheter removal, several procedural techniques have been proven to decrease the potentially fatal. Vascular air embolism is the entrainment of air (or exogenously delivered gas) from the operative field or other communication. We herein report a case of massive air entrainment from an inadvertently disconnected port of a central venous catheter. Air embolism is a potentially fatal. Central Venous Catheter Air Embolism.
From exoalzalz.blob.core.windows.net
Venous Catheter Embolism at Matilda Eiler blog Central Venous Catheter Air Embolism During central venous catheter removal, several procedural techniques have been proven to decrease the potentially fatal. Air embolism is a rare but mostly iatrogenic complication of medical or surgical procedures and may have a serious outcome. It is generally related to. We herein report a case of massive air entrainment from an inadvertently disconnected port of a central venous catheter.. Central Venous Catheter Air Embolism.
From www.frontiersin.org
Frontiers Iatrogenic air embolism pathoanatomy, thromboinflammation Central Venous Catheter Air Embolism Vascular air embolism is the entrainment of air (or exogenously delivered gas) from the operative field or other communication. Air embolism is a known risk with insertion, manipulation, and removal of central catheters, with a reported incidence rate of 0.03% to 2%. During central venous catheter removal, several procedural techniques have been proven to decrease the potentially fatal. A, massive. Central Venous Catheter Air Embolism.
From www.semanticscholar.org
Figure 1 from Massive Cerebral Air Embolism after Bronchoscopy and Central Venous Catheter Air Embolism Air embolism is a potentially fatal complication of central venous catheter placement with a broad range of. Air embolism is a known risk with insertion, manipulation, and removal of central catheters, with a reported incidence rate of 0.03% to 2%. Vascular air embolism is the entrainment of air (or exogenously delivered gas) from the operative field or other communication. We. Central Venous Catheter Air Embolism.
From vdocuments.mx
Retrograde Venous Cerebral Air Embolism from Disconnected Central Central Venous Catheter Air Embolism Vascular air embolism is the entrainment of air (or exogenously delivered gas) from the operative field or other communication. We herein report a case of massive air entrainment from an inadvertently disconnected port of a central venous catheter. Air embolism is a rare but mostly iatrogenic complication of medical or surgical procedures and may have a serious outcome. A, massive. Central Venous Catheter Air Embolism.
From vdocuments.mx
Cerebral Air Embolism after Central Venous Central Venous Catheter Air Embolism It is generally related to. We herein report a case of massive air entrainment from an inadvertently disconnected port of a central venous catheter. Vascular air embolism is the entrainment of air (or exogenously delivered gas) from the operative field or other communication. Air embolism is a rare but mostly iatrogenic complication of medical or surgical procedures and may have. Central Venous Catheter Air Embolism.
From ar.inspiredpencil.com
Trendelenburg Position For Air Embolism Central Venous Catheter Air Embolism Air embolism is a potentially fatal complication of central venous catheter placement with a broad range of. It is generally related to. Air embolism is a known risk with insertion, manipulation, and removal of central catheters, with a reported incidence rate of 0.03% to 2%. During central venous catheter removal, several procedural techniques have been proven to decrease the potentially. Central Venous Catheter Air Embolism.
From www.semanticscholar.org
Figure 1 from Images in cardiovascular medicine. Massive air embolism Central Venous Catheter Air Embolism During central venous catheter removal, several procedural techniques have been proven to decrease the potentially fatal. Air embolism is a potentially fatal complication of central venous catheter placement with a broad range of. We herein report a case of massive air entrainment from an inadvertently disconnected port of a central venous catheter. Air embolism is a known risk with insertion,. Central Venous Catheter Air Embolism.
From www.slideserve.com
PPT Venous air embolism (VAE) PowerPoint Presentation, free download Central Venous Catheter Air Embolism Air embolism is a rare but mostly iatrogenic complication of medical or surgical procedures and may have a serious outcome. During central venous catheter removal, several procedural techniques have been proven to decrease the potentially fatal. It is generally related to. Air embolism is a known risk with insertion, manipulation, and removal of central catheters, with a reported incidence rate. Central Venous Catheter Air Embolism.
From dokumen.tips
(PDF) Air Embolism during Insertion of Central Venous Catheters Central Venous Catheter Air Embolism A, massive arrival of air bubbles in right chambers of the heart 20 minutes after central venous catheter removal. Air embolism is a known risk with insertion, manipulation, and removal of central catheters, with a reported incidence rate of 0.03% to 2%. Air embolism is a rare but mostly iatrogenic complication of medical or surgical procedures and may have a. Central Venous Catheter Air Embolism.
From www.researchgate.net
(PDF) Coronary air embolism during removal of a central venous catheter Central Venous Catheter Air Embolism Air embolism is a known risk with insertion, manipulation, and removal of central catheters, with a reported incidence rate of 0.03% to 2%. During central venous catheter removal, several procedural techniques have been proven to decrease the potentially fatal. It is generally related to. We herein report a case of massive air entrainment from an inadvertently disconnected port of a. Central Venous Catheter Air Embolism.
From www.researchgate.net
(PDF) Fatal venous air embolism after removal of a central venous catheter Central Venous Catheter Air Embolism Air embolism is a known risk with insertion, manipulation, and removal of central catheters, with a reported incidence rate of 0.03% to 2%. Air embolism is a rare but mostly iatrogenic complication of medical or surgical procedures and may have a serious outcome. During central venous catheter removal, several procedural techniques have been proven to decrease the potentially fatal. We. Central Venous Catheter Air Embolism.
From thorax.bmj.com
Pulmonary infarction from central venous air embolism mimicking round Central Venous Catheter Air Embolism A, massive arrival of air bubbles in right chambers of the heart 20 minutes after central venous catheter removal. During central venous catheter removal, several procedural techniques have been proven to decrease the potentially fatal. Air embolism is a known risk with insertion, manipulation, and removal of central catheters, with a reported incidence rate of 0.03% to 2%. Vascular air. Central Venous Catheter Air Embolism.
From www.researchgate.net
The main types of catheterrelated thrombotic occlusions. Adapted from Central Venous Catheter Air Embolism A, massive arrival of air bubbles in right chambers of the heart 20 minutes after central venous catheter removal. It is generally related to. We herein report a case of massive air entrainment from an inadvertently disconnected port of a central venous catheter. During central venous catheter removal, several procedural techniques have been proven to decrease the potentially fatal. Air. Central Venous Catheter Air Embolism.
From shinbroadband.com
Why Use A Picc Line Over A Central Line Advantages And Considerations Central Venous Catheter Air Embolism It is generally related to. A, massive arrival of air bubbles in right chambers of the heart 20 minutes after central venous catheter removal. Air embolism is a potentially fatal complication of central venous catheter placement with a broad range of. We herein report a case of massive air entrainment from an inadvertently disconnected port of a central venous catheter.. Central Venous Catheter Air Embolism.
From dokumen.tips
(PDF) Cerebral Air Embolism after Central Venous Catheter · 5/23 Central Venous Catheter Air Embolism Air embolism is a known risk with insertion, manipulation, and removal of central catheters, with a reported incidence rate of 0.03% to 2%. Air embolism is a potentially fatal complication of central venous catheter placement with a broad range of. During central venous catheter removal, several procedural techniques have been proven to decrease the potentially fatal. Vascular air embolism is. Central Venous Catheter Air Embolism.
From dokumen.tips
(PDF) Cerebral Air Embolism after Central Venous Catheter Central Venous Catheter Air Embolism It is generally related to. Air embolism is a known risk with insertion, manipulation, and removal of central catheters, with a reported incidence rate of 0.03% to 2%. Air embolism is a potentially fatal complication of central venous catheter placement with a broad range of. Air embolism is a rare but mostly iatrogenic complication of medical or surgical procedures and. Central Venous Catheter Air Embolism.
From www.researchgate.net
(PDF) Cerebral air embolism through a central venous catheter in the Central Venous Catheter Air Embolism Air embolism is a rare but mostly iatrogenic complication of medical or surgical procedures and may have a serious outcome. Air embolism is a known risk with insertion, manipulation, and removal of central catheters, with a reported incidence rate of 0.03% to 2%. During central venous catheter removal, several procedural techniques have been proven to decrease the potentially fatal. Vascular. Central Venous Catheter Air Embolism.
From www.semanticscholar.org
Figure 1 from Cerebral Air Embolism after Central Venous Catheter Central Venous Catheter Air Embolism During central venous catheter removal, several procedural techniques have been proven to decrease the potentially fatal. A, massive arrival of air bubbles in right chambers of the heart 20 minutes after central venous catheter removal. Air embolism is a known risk with insertion, manipulation, and removal of central catheters, with a reported incidence rate of 0.03% to 2%. Air embolism. Central Venous Catheter Air Embolism.
From www.trialexhibitsinc.com
Mechanism of Air Embolism Trial Exhibits Inc. Central Venous Catheter Air Embolism Air embolism is a known risk with insertion, manipulation, and removal of central catheters, with a reported incidence rate of 0.03% to 2%. Air embolism is a potentially fatal complication of central venous catheter placement with a broad range of. Vascular air embolism is the entrainment of air (or exogenously delivered gas) from the operative field or other communication. Air. Central Venous Catheter Air Embolism.
From yilson.en.made-in-china.com
China Disposable Quad Lumen 8.5fr Central Venous Catheter (CVC Catheter Central Venous Catheter Air Embolism We herein report a case of massive air entrainment from an inadvertently disconnected port of a central venous catheter. Air embolism is a known risk with insertion, manipulation, and removal of central catheters, with a reported incidence rate of 0.03% to 2%. Vascular air embolism is the entrainment of air (or exogenously delivered gas) from the operative field or other. Central Venous Catheter Air Embolism.