What Does Squamous Cell Carcinoma Look Like Under A Microscope . When examined under the microscope, nkscc is. Are there any features common to all squamous cell carcinomas? They all tend to look similar under a microscope. Sccs can occur anywhere on the skin. That’s how they get classified. What does squamous cell carcinoma look like? How does the squamous cell carcinoma of the skin look? What does nonkeratinizing squamous cell carcinoma look like under the microscope? In people with pale skin, they are most commonly seen on the face, lips, ears, hands,. People with squamous cell carcinoma of the skin have damaged, scaly patches of skin on areas with high uv exposure,. Scc may look like a firm, smooth bump, often with a depression or ulcer in the middle. Most sccs usually look scaly or crusty, raised and rough as they originate from the outer layer of the skin. Sccs can vary in their appearance.
from www.mypathologyreport.ca
Sccs can occur anywhere on the skin. They all tend to look similar under a microscope. In people with pale skin, they are most commonly seen on the face, lips, ears, hands,. What does nonkeratinizing squamous cell carcinoma look like under the microscope? How does the squamous cell carcinoma of the skin look? Most sccs usually look scaly or crusty, raised and rough as they originate from the outer layer of the skin. When examined under the microscope, nkscc is. Are there any features common to all squamous cell carcinomas? That’s how they get classified. People with squamous cell carcinoma of the skin have damaged, scaly patches of skin on areas with high uv exposure,.
Squamous cell carcinoma of the larynx MyPathologyReport.ca
What Does Squamous Cell Carcinoma Look Like Under A Microscope Sccs can occur anywhere on the skin. Sccs can vary in their appearance. They all tend to look similar under a microscope. Most sccs usually look scaly or crusty, raised and rough as they originate from the outer layer of the skin. How does the squamous cell carcinoma of the skin look? That’s how they get classified. Are there any features common to all squamous cell carcinomas? What does squamous cell carcinoma look like? Scc may look like a firm, smooth bump, often with a depression or ulcer in the middle. In people with pale skin, they are most commonly seen on the face, lips, ears, hands,. When examined under the microscope, nkscc is. Sccs can occur anywhere on the skin. What does nonkeratinizing squamous cell carcinoma look like under the microscope? People with squamous cell carcinoma of the skin have damaged, scaly patches of skin on areas with high uv exposure,.
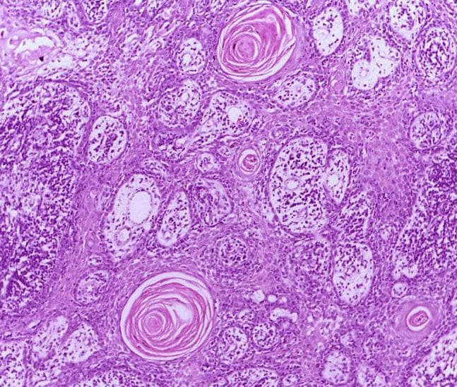
From ilovepathology.com
Pathology of SQUAMOUS CELL CARCINOMA Pathology Made Simple What Does Squamous Cell Carcinoma Look Like Under A Microscope Scc may look like a firm, smooth bump, often with a depression or ulcer in the middle. What does squamous cell carcinoma look like? People with squamous cell carcinoma of the skin have damaged, scaly patches of skin on areas with high uv exposure,. In people with pale skin, they are most commonly seen on the face, lips, ears, hands,.. What Does Squamous Cell Carcinoma Look Like Under A Microscope.
From treatcancer.com
What is Squamous Cell Carcinoma? SERO What Does Squamous Cell Carcinoma Look Like Under A Microscope People with squamous cell carcinoma of the skin have damaged, scaly patches of skin on areas with high uv exposure,. How does the squamous cell carcinoma of the skin look? Are there any features common to all squamous cell carcinomas? Scc may look like a firm, smooth bump, often with a depression or ulcer in the middle. They all tend. What Does Squamous Cell Carcinoma Look Like Under A Microscope.
From www.frontrangedermatology.net
squamouscellcarcinoma Front Range Dermatology What Does Squamous Cell Carcinoma Look Like Under A Microscope They all tend to look similar under a microscope. Most sccs usually look scaly or crusty, raised and rough as they originate from the outer layer of the skin. What does squamous cell carcinoma look like? Sccs can occur anywhere on the skin. How does the squamous cell carcinoma of the skin look? Scc may look like a firm, smooth. What Does Squamous Cell Carcinoma Look Like Under A Microscope.
From www.verywellhealth.com
What Does Squamous Cell Carcinoma Look Like? What Does Squamous Cell Carcinoma Look Like Under A Microscope What does nonkeratinizing squamous cell carcinoma look like under the microscope? That’s how they get classified. They all tend to look similar under a microscope. When examined under the microscope, nkscc is. In people with pale skin, they are most commonly seen on the face, lips, ears, hands,. What does squamous cell carcinoma look like? Sccs can vary in their. What Does Squamous Cell Carcinoma Look Like Under A Microscope.
From facty.com
What is Squamous Cell Carcinoma? Facty Health What Does Squamous Cell Carcinoma Look Like Under A Microscope How does the squamous cell carcinoma of the skin look? Sccs can occur anywhere on the skin. They all tend to look similar under a microscope. Are there any features common to all squamous cell carcinomas? Sccs can vary in their appearance. That’s how they get classified. In people with pale skin, they are most commonly seen on the face,. What Does Squamous Cell Carcinoma Look Like Under A Microscope.
From www.nejm.org
SquamousCell Carcinoma of the Skin NEJM What Does Squamous Cell Carcinoma Look Like Under A Microscope That’s how they get classified. In people with pale skin, they are most commonly seen on the face, lips, ears, hands,. Scc may look like a firm, smooth bump, often with a depression or ulcer in the middle. Sccs can occur anywhere on the skin. They all tend to look similar under a microscope. How does the squamous cell carcinoma. What Does Squamous Cell Carcinoma Look Like Under A Microscope.
From pathology.or.jp
8.Esophagus, Stomach (3) Esophageal carcinoma (squamous cell carcinoma What Does Squamous Cell Carcinoma Look Like Under A Microscope Sccs can occur anywhere on the skin. Are there any features common to all squamous cell carcinomas? What does nonkeratinizing squamous cell carcinoma look like under the microscope? In people with pale skin, they are most commonly seen on the face, lips, ears, hands,. They all tend to look similar under a microscope. That’s how they get classified. How does. What Does Squamous Cell Carcinoma Look Like Under A Microscope.
From www.skintherapyletter.com
Squamous Cell Carcinoma Treatment What Does Squamous Cell Carcinoma Look Like Under A Microscope That’s how they get classified. Sccs can occur anywhere on the skin. How does the squamous cell carcinoma of the skin look? What does squamous cell carcinoma look like? Scc may look like a firm, smooth bump, often with a depression or ulcer in the middle. They all tend to look similar under a microscope. Most sccs usually look scaly. What Does Squamous Cell Carcinoma Look Like Under A Microscope.
From www.vetsurgeon.org
Dog, Skin, Cytology, FNA Squamous Cell Carcinoma Veterinary What Does Squamous Cell Carcinoma Look Like Under A Microscope They all tend to look similar under a microscope. Sccs can vary in their appearance. Scc may look like a firm, smooth bump, often with a depression or ulcer in the middle. People with squamous cell carcinoma of the skin have damaged, scaly patches of skin on areas with high uv exposure,. In people with pale skin, they are most. What Does Squamous Cell Carcinoma Look Like Under A Microscope.
From ar.inspiredpencil.com
Squamous Cell Carcinoma Lip What Does Squamous Cell Carcinoma Look Like Under A Microscope What does nonkeratinizing squamous cell carcinoma look like under the microscope? Scc may look like a firm, smooth bump, often with a depression or ulcer in the middle. They all tend to look similar under a microscope. That’s how they get classified. People with squamous cell carcinoma of the skin have damaged, scaly patches of skin on areas with high. What Does Squamous Cell Carcinoma Look Like Under A Microscope.
From www.animalia-life.club
Squamous Cell Carcinoma Histology What Does Squamous Cell Carcinoma Look Like Under A Microscope Are there any features common to all squamous cell carcinomas? People with squamous cell carcinoma of the skin have damaged, scaly patches of skin on areas with high uv exposure,. They all tend to look similar under a microscope. That’s how they get classified. In people with pale skin, they are most commonly seen on the face, lips, ears, hands,.. What Does Squamous Cell Carcinoma Look Like Under A Microscope.
From www.verywellhealth.com
Squamous and Basal Cell Carcinoma Surgical Margins What Does Squamous Cell Carcinoma Look Like Under A Microscope Scc may look like a firm, smooth bump, often with a depression or ulcer in the middle. Sccs can occur anywhere on the skin. What does nonkeratinizing squamous cell carcinoma look like under the microscope? When examined under the microscope, nkscc is. Sccs can vary in their appearance. That’s how they get classified. What does squamous cell carcinoma look like?. What Does Squamous Cell Carcinoma Look Like Under A Microscope.
From skincancer.net
Skin Cancer Understanding Squamous Cell Carcinoma What Does Squamous Cell Carcinoma Look Like Under A Microscope They all tend to look similar under a microscope. How does the squamous cell carcinoma of the skin look? Scc may look like a firm, smooth bump, often with a depression or ulcer in the middle. People with squamous cell carcinoma of the skin have damaged, scaly patches of skin on areas with high uv exposure,. Are there any features. What Does Squamous Cell Carcinoma Look Like Under A Microscope.
From ilovepathology.com
Pathology of SQUAMOUS CELL CARCINOMA Pathology Made Simple What Does Squamous Cell Carcinoma Look Like Under A Microscope That’s how they get classified. Sccs can vary in their appearance. What does nonkeratinizing squamous cell carcinoma look like under the microscope? When examined under the microscope, nkscc is. In people with pale skin, they are most commonly seen on the face, lips, ears, hands,. They all tend to look similar under a microscope. Sccs can occur anywhere on the. What Does Squamous Cell Carcinoma Look Like Under A Microscope.
From www.saintjohnscancer.org
Squamous Cell Carcinoma (SCC) Symptoms, Stages, Risk Factors and What Does Squamous Cell Carcinoma Look Like Under A Microscope In people with pale skin, they are most commonly seen on the face, lips, ears, hands,. Scc may look like a firm, smooth bump, often with a depression or ulcer in the middle. That’s how they get classified. Are there any features common to all squamous cell carcinomas? When examined under the microscope, nkscc is. How does the squamous cell. What Does Squamous Cell Carcinoma Look Like Under A Microscope.
From cbdskincancer.com.au
Squamous Cell Carcinoma (SCC) CBD Skin Cancer Clinic What Does Squamous Cell Carcinoma Look Like Under A Microscope What does squamous cell carcinoma look like? Scc may look like a firm, smooth bump, often with a depression or ulcer in the middle. What does nonkeratinizing squamous cell carcinoma look like under the microscope? They all tend to look similar under a microscope. That’s how they get classified. In people with pale skin, they are most commonly seen on. What Does Squamous Cell Carcinoma Look Like Under A Microscope.
From mavink.com
Squamous Cell Skin Cancer Look Like What Does Squamous Cell Carcinoma Look Like Under A Microscope What does nonkeratinizing squamous cell carcinoma look like under the microscope? Are there any features common to all squamous cell carcinomas? How does the squamous cell carcinoma of the skin look? What does squamous cell carcinoma look like? When examined under the microscope, nkscc is. Most sccs usually look scaly or crusty, raised and rough as they originate from the. What Does Squamous Cell Carcinoma Look Like Under A Microscope.
From skincancer.net
What Does Squamous Cell Cancer Look Like? What Does Squamous Cell Carcinoma Look Like Under A Microscope Are there any features common to all squamous cell carcinomas? What does nonkeratinizing squamous cell carcinoma look like under the microscope? In people with pale skin, they are most commonly seen on the face, lips, ears, hands,. Sccs can vary in their appearance. Sccs can occur anywhere on the skin. That’s how they get classified. They all tend to look. What Does Squamous Cell Carcinoma Look Like Under A Microscope.
From www.animalia-life.club
Skin Cancer Types Squamous Cell Carcinoma What Does Squamous Cell Carcinoma Look Like Under A Microscope Most sccs usually look scaly or crusty, raised and rough as they originate from the outer layer of the skin. Scc may look like a firm, smooth bump, often with a depression or ulcer in the middle. People with squamous cell carcinoma of the skin have damaged, scaly patches of skin on areas with high uv exposure,. Sccs can occur. What Does Squamous Cell Carcinoma Look Like Under A Microscope.
From www.verywellhealth.com
What Does Squamous Cell Carcinoma Look Like? What Does Squamous Cell Carcinoma Look Like Under A Microscope Scc may look like a firm, smooth bump, often with a depression or ulcer in the middle. Are there any features common to all squamous cell carcinomas? People with squamous cell carcinoma of the skin have damaged, scaly patches of skin on areas with high uv exposure,. Sccs can vary in their appearance. When examined under the microscope, nkscc is.. What Does Squamous Cell Carcinoma Look Like Under A Microscope.
From miiskin.com
Skin Cancer Pictures Most Common Skin Cancer Types with Images What Does Squamous Cell Carcinoma Look Like Under A Microscope Sccs can occur anywhere on the skin. People with squamous cell carcinoma of the skin have damaged, scaly patches of skin on areas with high uv exposure,. What does nonkeratinizing squamous cell carcinoma look like under the microscope? They all tend to look similar under a microscope. That’s how they get classified. How does the squamous cell carcinoma of the. What Does Squamous Cell Carcinoma Look Like Under A Microscope.
From www.mypathologyreport.ca
Squamous cell carcinoma of the larynx MyPathologyReport.ca What Does Squamous Cell Carcinoma Look Like Under A Microscope Are there any features common to all squamous cell carcinomas? When examined under the microscope, nkscc is. Scc may look like a firm, smooth bump, often with a depression or ulcer in the middle. Most sccs usually look scaly or crusty, raised and rough as they originate from the outer layer of the skin. How does the squamous cell carcinoma. What Does Squamous Cell Carcinoma Look Like Under A Microscope.
From ar.inspiredpencil.com
Skin Cancer Types Squamous Cell Carcinoma What Does Squamous Cell Carcinoma Look Like Under A Microscope What does squamous cell carcinoma look like? How does the squamous cell carcinoma of the skin look? Most sccs usually look scaly or crusty, raised and rough as they originate from the outer layer of the skin. Are there any features common to all squamous cell carcinomas? They all tend to look similar under a microscope. Sccs can vary in. What Does Squamous Cell Carcinoma Look Like Under A Microscope.
From mavink.com
Basal Cell Skin Cancer Look Like What Does Squamous Cell Carcinoma Look Like Under A Microscope How does the squamous cell carcinoma of the skin look? That’s how they get classified. Sccs can occur anywhere on the skin. People with squamous cell carcinoma of the skin have damaged, scaly patches of skin on areas with high uv exposure,. Most sccs usually look scaly or crusty, raised and rough as they originate from the outer layer of. What Does Squamous Cell Carcinoma Look Like Under A Microscope.
From cekxjwjq.blob.core.windows.net
Adenoid Cystic Carcinoma Vs Squamous Cell Carcinoma at Ronnie Loewen blog What Does Squamous Cell Carcinoma Look Like Under A Microscope In people with pale skin, they are most commonly seen on the face, lips, ears, hands,. Most sccs usually look scaly or crusty, raised and rough as they originate from the outer layer of the skin. That’s how they get classified. People with squamous cell carcinoma of the skin have damaged, scaly patches of skin on areas with high uv. What Does Squamous Cell Carcinoma Look Like Under A Microscope.
From www.verywellhealth.com
What Does Squamous Cell Carcinoma Look Like? What Does Squamous Cell Carcinoma Look Like Under A Microscope What does nonkeratinizing squamous cell carcinoma look like under the microscope? In people with pale skin, they are most commonly seen on the face, lips, ears, hands,. They all tend to look similar under a microscope. People with squamous cell carcinoma of the skin have damaged, scaly patches of skin on areas with high uv exposure,. Sccs can occur anywhere. What Does Squamous Cell Carcinoma Look Like Under A Microscope.
From www.myskindoctor.co.uk
Squamous cell carcinoma MySkinDoctor What Does Squamous Cell Carcinoma Look Like Under A Microscope People with squamous cell carcinoma of the skin have damaged, scaly patches of skin on areas with high uv exposure,. Sccs can vary in their appearance. In people with pale skin, they are most commonly seen on the face, lips, ears, hands,. That’s how they get classified. They all tend to look similar under a microscope. Most sccs usually look. What Does Squamous Cell Carcinoma Look Like Under A Microscope.
From www.verywellhealth.com
What Does Squamous Cell Carcinoma Look Like? What Does Squamous Cell Carcinoma Look Like Under A Microscope What does squamous cell carcinoma look like? Sccs can occur anywhere on the skin. In people with pale skin, they are most commonly seen on the face, lips, ears, hands,. They all tend to look similar under a microscope. Scc may look like a firm, smooth bump, often with a depression or ulcer in the middle. Most sccs usually look. What Does Squamous Cell Carcinoma Look Like Under A Microscope.
From www.goodrx.com
Squamous Cell Skin Carcinoma Stages and Treatment GoodRx What Does Squamous Cell Carcinoma Look Like Under A Microscope What does squamous cell carcinoma look like? Scc may look like a firm, smooth bump, often with a depression or ulcer in the middle. Most sccs usually look scaly or crusty, raised and rough as they originate from the outer layer of the skin. That’s how they get classified. What does nonkeratinizing squamous cell carcinoma look like under the microscope?. What Does Squamous Cell Carcinoma Look Like Under A Microscope.
From www.microscopyu.com
Squamous Cell Carcinoma at 20x Magnification Nikon’s MicroscopyU What Does Squamous Cell Carcinoma Look Like Under A Microscope Are there any features common to all squamous cell carcinomas? How does the squamous cell carcinoma of the skin look? Scc may look like a firm, smooth bump, often with a depression or ulcer in the middle. Most sccs usually look scaly or crusty, raised and rough as they originate from the outer layer of the skin. What does squamous. What Does Squamous Cell Carcinoma Look Like Under A Microscope.
From www.youtube.com
Skin Cancer Time Lapse (Basal Cell Carcinoma, Squamous Cell Carcinoma What Does Squamous Cell Carcinoma Look Like Under A Microscope Sccs can vary in their appearance. How does the squamous cell carcinoma of the skin look? Sccs can occur anywhere on the skin. People with squamous cell carcinoma of the skin have damaged, scaly patches of skin on areas with high uv exposure,. When examined under the microscope, nkscc is. What does nonkeratinizing squamous cell carcinoma look like under the. What Does Squamous Cell Carcinoma Look Like Under A Microscope.
From www.mayoclinic.org
Squamous cell carcinoma of the skin Symptoms and causes Mayo Clinic What Does Squamous Cell Carcinoma Look Like Under A Microscope When examined under the microscope, nkscc is. Sccs can occur anywhere on the skin. They all tend to look similar under a microscope. Scc may look like a firm, smooth bump, often with a depression or ulcer in the middle. What does squamous cell carcinoma look like? Are there any features common to all squamous cell carcinomas? How does the. What Does Squamous Cell Carcinoma Look Like Under A Microscope.
From www.mypathologyreport.ca
Squamous cell carcinoma of the esophagus MyPathologyReport.ca What Does Squamous Cell Carcinoma Look Like Under A Microscope People with squamous cell carcinoma of the skin have damaged, scaly patches of skin on areas with high uv exposure,. They all tend to look similar under a microscope. Most sccs usually look scaly or crusty, raised and rough as they originate from the outer layer of the skin. In people with pale skin, they are most commonly seen on. What Does Squamous Cell Carcinoma Look Like Under A Microscope.
From ar.inspiredpencil.com
Skin Cancer Types Squamous Cell Carcinoma What Does Squamous Cell Carcinoma Look Like Under A Microscope That’s how they get classified. Sccs can occur anywhere on the skin. Are there any features common to all squamous cell carcinomas? Scc may look like a firm, smooth bump, often with a depression or ulcer in the middle. People with squamous cell carcinoma of the skin have damaged, scaly patches of skin on areas with high uv exposure,. When. What Does Squamous Cell Carcinoma Look Like Under A Microscope.
From www.dermatologyadvisor.com
Squamous Cell Carcinoma of the Skin Dermatology Advisor What Does Squamous Cell Carcinoma Look Like Under A Microscope They all tend to look similar under a microscope. Sccs can occur anywhere on the skin. Sccs can vary in their appearance. That’s how they get classified. What does nonkeratinizing squamous cell carcinoma look like under the microscope? How does the squamous cell carcinoma of the skin look? Are there any features common to all squamous cell carcinomas? When examined. What Does Squamous Cell Carcinoma Look Like Under A Microscope.