Atelectasis Cause Chest X-Ray . But other tests may be done to. Common etiologies include granulomatous disease, necrotizing pneumonia and radiation fibrosis. Atelectasis is a radiopathological sign that can be categorized in many ways. Occurs as a result of scarring or fibrosis that reduces lung expansion. Each approach aims to help identify possible. In most cases affecting adults, atelectasis will appear in the lower left lobe of the lungs. If imaging is warranted, chest radiography, chest computed tomography, or thoracic ultrasonography are useful when diagnosing.
from www.researchgate.net
Occurs as a result of scarring or fibrosis that reduces lung expansion. But other tests may be done to. In most cases affecting adults, atelectasis will appear in the lower left lobe of the lungs. If imaging is warranted, chest radiography, chest computed tomography, or thoracic ultrasonography are useful when diagnosing. Common etiologies include granulomatous disease, necrotizing pneumonia and radiation fibrosis. Atelectasis is a radiopathological sign that can be categorized in many ways. Each approach aims to help identify possible.
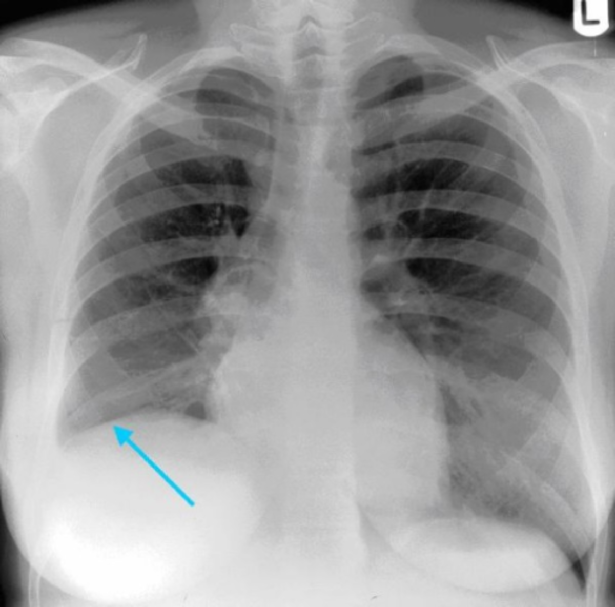
Chest Xray of patient 1 at admission atelectasis in the left lower
Atelectasis Cause Chest X-Ray Atelectasis is a radiopathological sign that can be categorized in many ways. But other tests may be done to. Common etiologies include granulomatous disease, necrotizing pneumonia and radiation fibrosis. If imaging is warranted, chest radiography, chest computed tomography, or thoracic ultrasonography are useful when diagnosing. Occurs as a result of scarring or fibrosis that reduces lung expansion. Each approach aims to help identify possible. Atelectasis is a radiopathological sign that can be categorized in many ways. In most cases affecting adults, atelectasis will appear in the lower left lobe of the lungs.
From www.youtube.com
Atelectasis (Right Lower Lobe) Explanation of Chest Xray Findings Atelectasis Cause Chest X-Ray Common etiologies include granulomatous disease, necrotizing pneumonia and radiation fibrosis. If imaging is warranted, chest radiography, chest computed tomography, or thoracic ultrasonography are useful when diagnosing. But other tests may be done to. Atelectasis is a radiopathological sign that can be categorized in many ways. In most cases affecting adults, atelectasis will appear in the lower left lobe of the. Atelectasis Cause Chest X-Ray.
From exormddpt.blob.core.windows.net
Chest X Ray Shows Atelectasis at David Conway blog Atelectasis Cause Chest X-Ray Atelectasis is a radiopathological sign that can be categorized in many ways. Common etiologies include granulomatous disease, necrotizing pneumonia and radiation fibrosis. Occurs as a result of scarring or fibrosis that reduces lung expansion. But other tests may be done to. In most cases affecting adults, atelectasis will appear in the lower left lobe of the lungs. Each approach aims. Atelectasis Cause Chest X-Ray.
From www.shutterstock.com
Xray Chest Atelectasis Stock Photo (Edit Now) 1269376837 Atelectasis Cause Chest X-Ray Common etiologies include granulomatous disease, necrotizing pneumonia and radiation fibrosis. Each approach aims to help identify possible. But other tests may be done to. Atelectasis is a radiopathological sign that can be categorized in many ways. In most cases affecting adults, atelectasis will appear in the lower left lobe of the lungs. Occurs as a result of scarring or fibrosis. Atelectasis Cause Chest X-Ray.
From www.animalia-life.club
Atelectasis Chest X Ray Atelectasis Cause Chest X-Ray In most cases affecting adults, atelectasis will appear in the lower left lobe of the lungs. But other tests may be done to. Occurs as a result of scarring or fibrosis that reduces lung expansion. Common etiologies include granulomatous disease, necrotizing pneumonia and radiation fibrosis. If imaging is warranted, chest radiography, chest computed tomography, or thoracic ultrasonography are useful when. Atelectasis Cause Chest X-Ray.
From www.stepwards.com
Condition Specific Radiology Atelectasis Stepwards Atelectasis Cause Chest X-Ray Atelectasis is a radiopathological sign that can be categorized in many ways. Common etiologies include granulomatous disease, necrotizing pneumonia and radiation fibrosis. Each approach aims to help identify possible. In most cases affecting adults, atelectasis will appear in the lower left lobe of the lungs. If imaging is warranted, chest radiography, chest computed tomography, or thoracic ultrasonography are useful when. Atelectasis Cause Chest X-Ray.
From www.researchgate.net
Chest Xray of patient 2 atelectasis in the left lower lung Download Atelectasis Cause Chest X-Ray But other tests may be done to. Atelectasis is a radiopathological sign that can be categorized in many ways. Each approach aims to help identify possible. Occurs as a result of scarring or fibrosis that reduces lung expansion. In most cases affecting adults, atelectasis will appear in the lower left lobe of the lungs. Common etiologies include granulomatous disease, necrotizing. Atelectasis Cause Chest X-Ray.
From www.researchgate.net
Chest Xray of patient 1 at admission atelectasis in the left lower Atelectasis Cause Chest X-Ray In most cases affecting adults, atelectasis will appear in the lower left lobe of the lungs. But other tests may be done to. If imaging is warranted, chest radiography, chest computed tomography, or thoracic ultrasonography are useful when diagnosing. Common etiologies include granulomatous disease, necrotizing pneumonia and radiation fibrosis. Atelectasis is a radiopathological sign that can be categorized in many. Atelectasis Cause Chest X-Ray.
From www.researchgate.net
Chest Xray documented atelectasis in the right lung. Download Atelectasis Cause Chest X-Ray Common etiologies include granulomatous disease, necrotizing pneumonia and radiation fibrosis. Atelectasis is a radiopathological sign that can be categorized in many ways. But other tests may be done to. Occurs as a result of scarring or fibrosis that reduces lung expansion. In most cases affecting adults, atelectasis will appear in the lower left lobe of the lungs. If imaging is. Atelectasis Cause Chest X-Ray.
From www.animalia-life.club
Atelectasis Chest X Ray Atelectasis Cause Chest X-Ray If imaging is warranted, chest radiography, chest computed tomography, or thoracic ultrasonography are useful when diagnosing. Common etiologies include granulomatous disease, necrotizing pneumonia and radiation fibrosis. Atelectasis is a radiopathological sign that can be categorized in many ways. But other tests may be done to. Occurs as a result of scarring or fibrosis that reduces lung expansion. Each approach aims. Atelectasis Cause Chest X-Ray.
From www.animalia-life.club
Atelectasis Chest X Ray Atelectasis Cause Chest X-Ray Atelectasis is a radiopathological sign that can be categorized in many ways. If imaging is warranted, chest radiography, chest computed tomography, or thoracic ultrasonography are useful when diagnosing. Occurs as a result of scarring or fibrosis that reduces lung expansion. In most cases affecting adults, atelectasis will appear in the lower left lobe of the lungs. Common etiologies include granulomatous. Atelectasis Cause Chest X-Ray.
From hubpages.com
Diagnosing, Acquainting And Identifying With Atelectasis Via An XRay Atelectasis Cause Chest X-Ray Occurs as a result of scarring or fibrosis that reduces lung expansion. Each approach aims to help identify possible. Atelectasis is a radiopathological sign that can be categorized in many ways. If imaging is warranted, chest radiography, chest computed tomography, or thoracic ultrasonography are useful when diagnosing. In most cases affecting adults, atelectasis will appear in the lower left lobe. Atelectasis Cause Chest X-Ray.
From www.youtube.com
Atelectasis Chest Xray Images YouTube Atelectasis Cause Chest X-Ray Occurs as a result of scarring or fibrosis that reduces lung expansion. Atelectasis is a radiopathological sign that can be categorized in many ways. If imaging is warranted, chest radiography, chest computed tomography, or thoracic ultrasonography are useful when diagnosing. Common etiologies include granulomatous disease, necrotizing pneumonia and radiation fibrosis. But other tests may be done to. In most cases. Atelectasis Cause Chest X-Ray.
From www.youtube.com
Atelectasis Chest Xray Atlas YouTube Atelectasis Cause Chest X-Ray In most cases affecting adults, atelectasis will appear in the lower left lobe of the lungs. Atelectasis is a radiopathological sign that can be categorized in many ways. If imaging is warranted, chest radiography, chest computed tomography, or thoracic ultrasonography are useful when diagnosing. Each approach aims to help identify possible. But other tests may be done to. Common etiologies. Atelectasis Cause Chest X-Ray.
From healthjade.com
Atelectasis Causes, Symptoms, Atelectasis Treatment Atelectasis Cause Chest X-Ray Each approach aims to help identify possible. Atelectasis is a radiopathological sign that can be categorized in many ways. Occurs as a result of scarring or fibrosis that reduces lung expansion. If imaging is warranted, chest radiography, chest computed tomography, or thoracic ultrasonography are useful when diagnosing. But other tests may be done to. In most cases affecting adults, atelectasis. Atelectasis Cause Chest X-Ray.
From radiologykey.com
Atelectasis Radiology Key Atelectasis Cause Chest X-Ray If imaging is warranted, chest radiography, chest computed tomography, or thoracic ultrasonography are useful when diagnosing. Occurs as a result of scarring or fibrosis that reduces lung expansion. Atelectasis is a radiopathological sign that can be categorized in many ways. In most cases affecting adults, atelectasis will appear in the lower left lobe of the lungs. Common etiologies include granulomatous. Atelectasis Cause Chest X-Ray.
From www.animalia-life.club
Atelectasis Chest X Ray Atelectasis Cause Chest X-Ray In most cases affecting adults, atelectasis will appear in the lower left lobe of the lungs. Occurs as a result of scarring or fibrosis that reduces lung expansion. If imaging is warranted, chest radiography, chest computed tomography, or thoracic ultrasonography are useful when diagnosing. Each approach aims to help identify possible. Atelectasis is a radiopathological sign that can be categorized. Atelectasis Cause Chest X-Ray.
From radiologykey.com
Atelectasis Radiology Key Atelectasis Cause Chest X-Ray In most cases affecting adults, atelectasis will appear in the lower left lobe of the lungs. Common etiologies include granulomatous disease, necrotizing pneumonia and radiation fibrosis. Occurs as a result of scarring or fibrosis that reduces lung expansion. Atelectasis is a radiopathological sign that can be categorized in many ways. But other tests may be done to. If imaging is. Atelectasis Cause Chest X-Ray.
From radiopaedia.org
Lung cancer causing complete atelectasis Image Atelectasis Cause Chest X-Ray But other tests may be done to. Atelectasis is a radiopathological sign that can be categorized in many ways. If imaging is warranted, chest radiography, chest computed tomography, or thoracic ultrasonography are useful when diagnosing. Occurs as a result of scarring or fibrosis that reduces lung expansion. Each approach aims to help identify possible. Common etiologies include granulomatous disease, necrotizing. Atelectasis Cause Chest X-Ray.
From www.researchgate.net
Chest Xray right lung atelectasis. Download Scientific Diagram Atelectasis Cause Chest X-Ray In most cases affecting adults, atelectasis will appear in the lower left lobe of the lungs. Common etiologies include granulomatous disease, necrotizing pneumonia and radiation fibrosis. But other tests may be done to. If imaging is warranted, chest radiography, chest computed tomography, or thoracic ultrasonography are useful when diagnosing. Occurs as a result of scarring or fibrosis that reduces lung. Atelectasis Cause Chest X-Ray.
From www.youtube.com
Atelectasis Chest X Ray Signs YouTube Atelectasis Cause Chest X-Ray Common etiologies include granulomatous disease, necrotizing pneumonia and radiation fibrosis. If imaging is warranted, chest radiography, chest computed tomography, or thoracic ultrasonography are useful when diagnosing. Occurs as a result of scarring or fibrosis that reduces lung expansion. Each approach aims to help identify possible. In most cases affecting adults, atelectasis will appear in the lower left lobe of the. Atelectasis Cause Chest X-Ray.
From www.researchgate.net
Causes of atelectasis in childhood Download Scientific Diagram Atelectasis Cause Chest X-Ray Common etiologies include granulomatous disease, necrotizing pneumonia and radiation fibrosis. If imaging is warranted, chest radiography, chest computed tomography, or thoracic ultrasonography are useful when diagnosing. Each approach aims to help identify possible. Occurs as a result of scarring or fibrosis that reduces lung expansion. Atelectasis is a radiopathological sign that can be categorized in many ways. In most cases. Atelectasis Cause Chest X-Ray.
From www.animalia-life.club
Atelectasis Chest X Ray Atelectasis Cause Chest X-Ray But other tests may be done to. If imaging is warranted, chest radiography, chest computed tomography, or thoracic ultrasonography are useful when diagnosing. Occurs as a result of scarring or fibrosis that reduces lung expansion. Common etiologies include granulomatous disease, necrotizing pneumonia and radiation fibrosis. Atelectasis is a radiopathological sign that can be categorized in many ways. In most cases. Atelectasis Cause Chest X-Ray.
From www.researchgate.net
Chest Xray showed atelectasis of the lower part of the left lung with Atelectasis Cause Chest X-Ray If imaging is warranted, chest radiography, chest computed tomography, or thoracic ultrasonography are useful when diagnosing. Occurs as a result of scarring or fibrosis that reduces lung expansion. In most cases affecting adults, atelectasis will appear in the lower left lobe of the lungs. Atelectasis is a radiopathological sign that can be categorized in many ways. Each approach aims to. Atelectasis Cause Chest X-Ray.
From www.animalia-life.club
Atelectasis Chest X Ray Atelectasis Cause Chest X-Ray Occurs as a result of scarring or fibrosis that reduces lung expansion. Common etiologies include granulomatous disease, necrotizing pneumonia and radiation fibrosis. But other tests may be done to. Atelectasis is a radiopathological sign that can be categorized in many ways. If imaging is warranted, chest radiography, chest computed tomography, or thoracic ultrasonography are useful when diagnosing. In most cases. Atelectasis Cause Chest X-Ray.
From healthjade.net
Atelectasis Causes, Symptoms, Atelectasis Treatment Atelectasis Cause Chest X-Ray Common etiologies include granulomatous disease, necrotizing pneumonia and radiation fibrosis. If imaging is warranted, chest radiography, chest computed tomography, or thoracic ultrasonography are useful when diagnosing. In most cases affecting adults, atelectasis will appear in the lower left lobe of the lungs. Occurs as a result of scarring or fibrosis that reduces lung expansion. Atelectasis is a radiopathological sign that. Atelectasis Cause Chest X-Ray.
From hubpages.com
Diagnosing, Acquainting And Identifying With Atelectasis Via An XRay Atelectasis Cause Chest X-Ray Occurs as a result of scarring or fibrosis that reduces lung expansion. If imaging is warranted, chest radiography, chest computed tomography, or thoracic ultrasonography are useful when diagnosing. In most cases affecting adults, atelectasis will appear in the lower left lobe of the lungs. Atelectasis is a radiopathological sign that can be categorized in many ways. Each approach aims to. Atelectasis Cause Chest X-Ray.
From joihhswue.blob.core.windows.net
Bibasilar Atelectasis On Chest X Ray at Clinton Johnson blog Atelectasis Cause Chest X-Ray Each approach aims to help identify possible. In most cases affecting adults, atelectasis will appear in the lower left lobe of the lungs. Common etiologies include granulomatous disease, necrotizing pneumonia and radiation fibrosis. If imaging is warranted, chest radiography, chest computed tomography, or thoracic ultrasonography are useful when diagnosing. But other tests may be done to. Occurs as a result. Atelectasis Cause Chest X-Ray.
From clinicalimagingscience.org
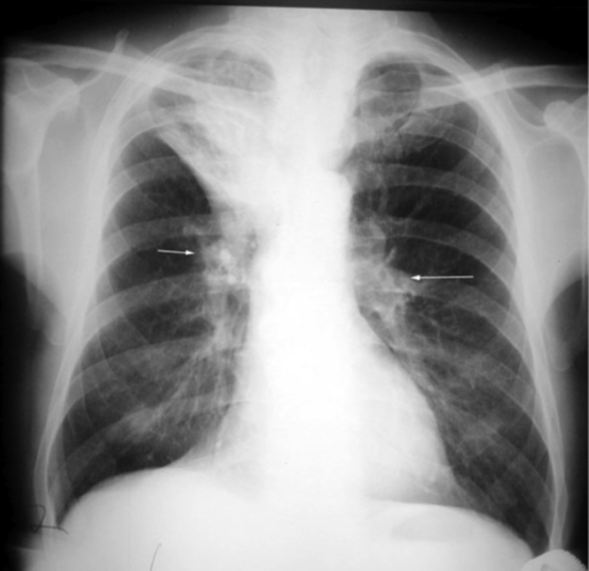
Linear Atelectasis around the Hilum on Chest Radiography A Novel Sign Atelectasis Cause Chest X-Ray If imaging is warranted, chest radiography, chest computed tomography, or thoracic ultrasonography are useful when diagnosing. Occurs as a result of scarring or fibrosis that reduces lung expansion. Common etiologies include granulomatous disease, necrotizing pneumonia and radiation fibrosis. In most cases affecting adults, atelectasis will appear in the lower left lobe of the lungs. But other tests may be done. Atelectasis Cause Chest X-Ray.
From www.stepwards.com
Condition Specific Radiology Atelectasis Stepwards Atelectasis Cause Chest X-Ray Common etiologies include granulomatous disease, necrotizing pneumonia and radiation fibrosis. Atelectasis is a radiopathological sign that can be categorized in many ways. In most cases affecting adults, atelectasis will appear in the lower left lobe of the lungs. But other tests may be done to. Each approach aims to help identify possible. If imaging is warranted, chest radiography, chest computed. Atelectasis Cause Chest X-Ray.
From radiologyinplainenglish.com
Subsegmetal Atelectasis On Chest XRay Radiology In Plain English Atelectasis Cause Chest X-Ray Common etiologies include granulomatous disease, necrotizing pneumonia and radiation fibrosis. But other tests may be done to. Each approach aims to help identify possible. In most cases affecting adults, atelectasis will appear in the lower left lobe of the lungs. Atelectasis is a radiopathological sign that can be categorized in many ways. If imaging is warranted, chest radiography, chest computed. Atelectasis Cause Chest X-Ray.
From clinicalimagingscience.org
Linear Atelectasis around the Hilum on Chest Radiography A Novel Sign Atelectasis Cause Chest X-Ray Atelectasis is a radiopathological sign that can be categorized in many ways. Common etiologies include granulomatous disease, necrotizing pneumonia and radiation fibrosis. Each approach aims to help identify possible. But other tests may be done to. If imaging is warranted, chest radiography, chest computed tomography, or thoracic ultrasonography are useful when diagnosing. Occurs as a result of scarring or fibrosis. Atelectasis Cause Chest X-Ray.
From www.shutterstock.com
Chest Xray Showing Atelectasis Consolidationthacheahearth Mediastinum Atelectasis Cause Chest X-Ray Occurs as a result of scarring or fibrosis that reduces lung expansion. If imaging is warranted, chest radiography, chest computed tomography, or thoracic ultrasonography are useful when diagnosing. Atelectasis is a radiopathological sign that can be categorized in many ways. Common etiologies include granulomatous disease, necrotizing pneumonia and radiation fibrosis. But other tests may be done to. Each approach aims. Atelectasis Cause Chest X-Ray.
From www.researchgate.net
Chest xray taken on admission showing left basilar atelectasis (red Atelectasis Cause Chest X-Ray Occurs as a result of scarring or fibrosis that reduces lung expansion. If imaging is warranted, chest radiography, chest computed tomography, or thoracic ultrasonography are useful when diagnosing. In most cases affecting adults, atelectasis will appear in the lower left lobe of the lungs. Atelectasis is a radiopathological sign that can be categorized in many ways. Common etiologies include granulomatous. Atelectasis Cause Chest X-Ray.
From www.researchgate.net
(A). Frontal chest Xrayatelectasis of the posterior basal segment Atelectasis Cause Chest X-Ray Atelectasis is a radiopathological sign that can be categorized in many ways. Occurs as a result of scarring or fibrosis that reduces lung expansion. If imaging is warranted, chest radiography, chest computed tomography, or thoracic ultrasonography are useful when diagnosing. But other tests may be done to. In most cases affecting adults, atelectasis will appear in the lower left lobe. Atelectasis Cause Chest X-Ray.
From www.researchgate.net
Chest Xray showing the right basilar subsegmental atelectasis (arrow Atelectasis Cause Chest X-Ray Common etiologies include granulomatous disease, necrotizing pneumonia and radiation fibrosis. If imaging is warranted, chest radiography, chest computed tomography, or thoracic ultrasonography are useful when diagnosing. Atelectasis is a radiopathological sign that can be categorized in many ways. In most cases affecting adults, atelectasis will appear in the lower left lobe of the lungs. Occurs as a result of scarring. Atelectasis Cause Chest X-Ray.