Gluteal Compartment Syndrome . learn about the rare but serious condition of gluteal compartment syndrome, which can cause swelling, pain, and nerve damage in. The gluteal region is a rare. compartment syndrome, an exceptionally rare condition, is a surgical emergency that can quickly escalate to limb ischemia and. gluteal compartment syndrome (gcs) is a rare surgical emergency where ischemic changes occur to the gluteal muscles. Risk factors may include prolonged surgical duration, immobilization secondary to substance abuse, and pelvic trauma. gluteal compartment syndrome is an orthopaedic emergency that may be more prevalent and associated with higher morbidity and mortality than previously recognized. gluteal compartment syndrome. gluteal compartment syndrome is an orthopaedic emergency that may be more prevalent and associated with higher.
from casereports.bmj.com
learn about the rare but serious condition of gluteal compartment syndrome, which can cause swelling, pain, and nerve damage in. gluteal compartment syndrome is an orthopaedic emergency that may be more prevalent and associated with higher. compartment syndrome, an exceptionally rare condition, is a surgical emergency that can quickly escalate to limb ischemia and. gluteal compartment syndrome. The gluteal region is a rare. Risk factors may include prolonged surgical duration, immobilization secondary to substance abuse, and pelvic trauma. gluteal compartment syndrome (gcs) is a rare surgical emergency where ischemic changes occur to the gluteal muscles. gluteal compartment syndrome is an orthopaedic emergency that may be more prevalent and associated with higher morbidity and mortality than previously recognized.
Gluteal compartment syndrome with sciatic nerve palsy caused by
Gluteal Compartment Syndrome gluteal compartment syndrome. The gluteal region is a rare. learn about the rare but serious condition of gluteal compartment syndrome, which can cause swelling, pain, and nerve damage in. compartment syndrome, an exceptionally rare condition, is a surgical emergency that can quickly escalate to limb ischemia and. gluteal compartment syndrome (gcs) is a rare surgical emergency where ischemic changes occur to the gluteal muscles. gluteal compartment syndrome. gluteal compartment syndrome is an orthopaedic emergency that may be more prevalent and associated with higher morbidity and mortality than previously recognized. Risk factors may include prolonged surgical duration, immobilization secondary to substance abuse, and pelvic trauma. gluteal compartment syndrome is an orthopaedic emergency that may be more prevalent and associated with higher.
From www.researchgate.net
(PDF) Gluteal compartment syndrome Gluteal Compartment Syndrome gluteal compartment syndrome is an orthopaedic emergency that may be more prevalent and associated with higher morbidity and mortality than previously recognized. Risk factors may include prolonged surgical duration, immobilization secondary to substance abuse, and pelvic trauma. gluteal compartment syndrome (gcs) is a rare surgical emergency where ischemic changes occur to the gluteal muscles. gluteal compartment syndrome. Gluteal Compartment Syndrome.
From www.injuryjournal.com
Gluteal compartment syndrome A systematic review and metaanalysis Gluteal Compartment Syndrome The gluteal region is a rare. learn about the rare but serious condition of gluteal compartment syndrome, which can cause swelling, pain, and nerve damage in. gluteal compartment syndrome. gluteal compartment syndrome is an orthopaedic emergency that may be more prevalent and associated with higher morbidity and mortality than previously recognized. compartment syndrome, an exceptionally rare. Gluteal Compartment Syndrome.
From shmabstracts.org
A CASE OF ACUTE PARASPINAL AND GLUTEAL COMPARTMENT SYNDROME SHM Gluteal Compartment Syndrome gluteal compartment syndrome. compartment syndrome, an exceptionally rare condition, is a surgical emergency that can quickly escalate to limb ischemia and. Risk factors may include prolonged surgical duration, immobilization secondary to substance abuse, and pelvic trauma. gluteal compartment syndrome is an orthopaedic emergency that may be more prevalent and associated with higher morbidity and mortality than previously. Gluteal Compartment Syndrome.
From jocr.co.in
Compartment Syndrome of the Gluteal Region A Rare Condition Requiring Gluteal Compartment Syndrome learn about the rare but serious condition of gluteal compartment syndrome, which can cause swelling, pain, and nerve damage in. gluteal compartment syndrome is an orthopaedic emergency that may be more prevalent and associated with higher morbidity and mortality than previously recognized. compartment syndrome, an exceptionally rare condition, is a surgical emergency that can quickly escalate to. Gluteal Compartment Syndrome.
From www.researchgate.net
(PDF) Gluteal Compartment Syndrome following Vascular and Neurological Gluteal Compartment Syndrome Risk factors may include prolonged surgical duration, immobilization secondary to substance abuse, and pelvic trauma. learn about the rare but serious condition of gluteal compartment syndrome, which can cause swelling, pain, and nerve damage in. gluteal compartment syndrome. The gluteal region is a rare. gluteal compartment syndrome (gcs) is a rare surgical emergency where ischemic changes occur. Gluteal Compartment Syndrome.
From www.researchgate.net
(PDF) Gluteal Compartment Syndrome After Prolonged Immobilisation Gluteal Compartment Syndrome The gluteal region is a rare. gluteal compartment syndrome. gluteal compartment syndrome (gcs) is a rare surgical emergency where ischemic changes occur to the gluteal muscles. gluteal compartment syndrome is an orthopaedic emergency that may be more prevalent and associated with higher morbidity and mortality than previously recognized. Risk factors may include prolonged surgical duration, immobilization secondary. Gluteal Compartment Syndrome.
From scite.ai
Gluteal compartment syndrome following posterior cruciate ligament Gluteal Compartment Syndrome The gluteal region is a rare. gluteal compartment syndrome (gcs) is a rare surgical emergency where ischemic changes occur to the gluteal muscles. gluteal compartment syndrome. gluteal compartment syndrome is an orthopaedic emergency that may be more prevalent and associated with higher morbidity and mortality than previously recognized. learn about the rare but serious condition of. Gluteal Compartment Syndrome.
From casereports.bmj.com
Gluteal compartment syndrome with sciatic nerve palsy caused by Gluteal Compartment Syndrome Risk factors may include prolonged surgical duration, immobilization secondary to substance abuse, and pelvic trauma. gluteal compartment syndrome. learn about the rare but serious condition of gluteal compartment syndrome, which can cause swelling, pain, and nerve damage in. gluteal compartment syndrome (gcs) is a rare surgical emergency where ischemic changes occur to the gluteal muscles. The gluteal. Gluteal Compartment Syndrome.
From www.cureus.com
Cureus Sciatic Nerve Injury Secondary to a Gluteal Compartment Syndrome Gluteal Compartment Syndrome compartment syndrome, an exceptionally rare condition, is a surgical emergency that can quickly escalate to limb ischemia and. gluteal compartment syndrome. gluteal compartment syndrome is an orthopaedic emergency that may be more prevalent and associated with higher. gluteal compartment syndrome (gcs) is a rare surgical emergency where ischemic changes occur to the gluteal muscles. gluteal. Gluteal Compartment Syndrome.
From www.slideserve.com
PPT Compartment Syndrome an overview PowerPoint Presentation, free Gluteal Compartment Syndrome gluteal compartment syndrome is an orthopaedic emergency that may be more prevalent and associated with higher. compartment syndrome, an exceptionally rare condition, is a surgical emergency that can quickly escalate to limb ischemia and. learn about the rare but serious condition of gluteal compartment syndrome, which can cause swelling, pain, and nerve damage in. gluteal compartment. Gluteal Compartment Syndrome.
From www.osmifw.com
Compartment Syndrome The Orthopedic & Sports Medicine Institute in Gluteal Compartment Syndrome learn about the rare but serious condition of gluteal compartment syndrome, which can cause swelling, pain, and nerve damage in. gluteal compartment syndrome is an orthopaedic emergency that may be more prevalent and associated with higher. Risk factors may include prolonged surgical duration, immobilization secondary to substance abuse, and pelvic trauma. gluteal compartment syndrome. compartment syndrome,. Gluteal Compartment Syndrome.
From www.researchgate.net
(PDF) Gluteal Compartment Syndrome and Rhabdomyolysis after Prolonged Gluteal Compartment Syndrome The gluteal region is a rare. learn about the rare but serious condition of gluteal compartment syndrome, which can cause swelling, pain, and nerve damage in. gluteal compartment syndrome. gluteal compartment syndrome (gcs) is a rare surgical emergency where ischemic changes occur to the gluteal muscles. compartment syndrome, an exceptionally rare condition, is a surgical emergency. Gluteal Compartment Syndrome.
From www.injuryjournal.com
Gluteal compartment syndrome A systematic review and metaanalysis Gluteal Compartment Syndrome Risk factors may include prolonged surgical duration, immobilization secondary to substance abuse, and pelvic trauma. learn about the rare but serious condition of gluteal compartment syndrome, which can cause swelling, pain, and nerve damage in. gluteal compartment syndrome. compartment syndrome, an exceptionally rare condition, is a surgical emergency that can quickly escalate to limb ischemia and. . Gluteal Compartment Syndrome.
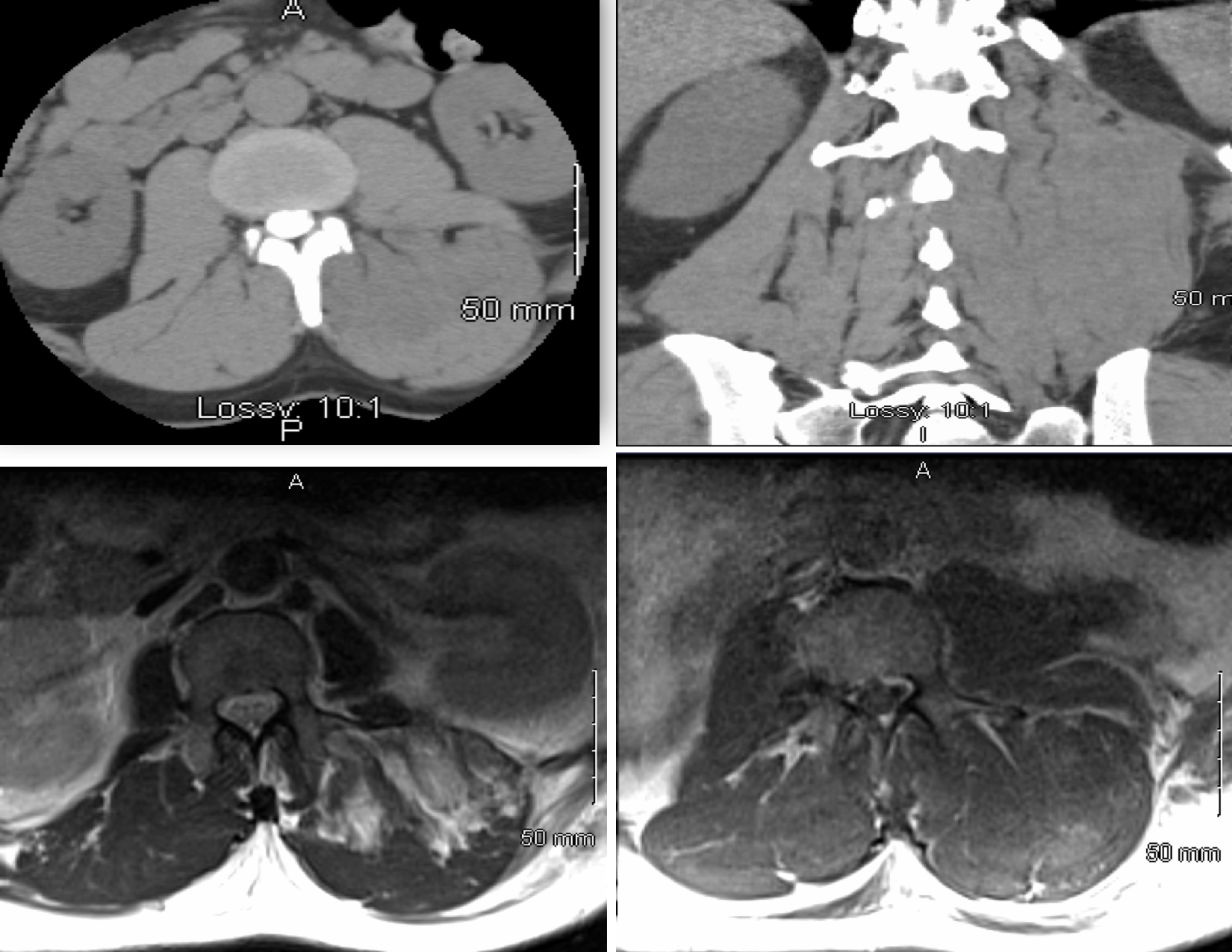
From www.researchgate.net
Computed tomography demonstrates the edema of the muscles of the Gluteal Compartment Syndrome gluteal compartment syndrome is an orthopaedic emergency that may be more prevalent and associated with higher morbidity and mortality than previously recognized. gluteal compartment syndrome. The gluteal region is a rare. gluteal compartment syndrome (gcs) is a rare surgical emergency where ischemic changes occur to the gluteal muscles. compartment syndrome, an exceptionally rare condition, is a. Gluteal Compartment Syndrome.
From www.researchgate.net
Gluteal compartment syndrome who is most at risk? Request PDF Gluteal Compartment Syndrome gluteal compartment syndrome (gcs) is a rare surgical emergency where ischemic changes occur to the gluteal muscles. gluteal compartment syndrome is an orthopaedic emergency that may be more prevalent and associated with higher morbidity and mortality than previously recognized. gluteal compartment syndrome is an orthopaedic emergency that may be more prevalent and associated with higher. compartment. Gluteal Compartment Syndrome.
From www.annalsofvascularsurgery.com
Gluteal Compartment Syndrome after Fenestrated Endovascular Aortic Gluteal Compartment Syndrome gluteal compartment syndrome is an orthopaedic emergency that may be more prevalent and associated with higher. gluteal compartment syndrome is an orthopaedic emergency that may be more prevalent and associated with higher morbidity and mortality than previously recognized. The gluteal region is a rare. compartment syndrome, an exceptionally rare condition, is a surgical emergency that can quickly. Gluteal Compartment Syndrome.
From mungfali.com
Gluteal Compartment Syndrome Gluteal Compartment Syndrome gluteal compartment syndrome. gluteal compartment syndrome (gcs) is a rare surgical emergency where ischemic changes occur to the gluteal muscles. gluteal compartment syndrome is an orthopaedic emergency that may be more prevalent and associated with higher. learn about the rare but serious condition of gluteal compartment syndrome, which can cause swelling, pain, and nerve damage in.. Gluteal Compartment Syndrome.
From www.ochsnerjournal.org
Bilateral Gluteal Compartment Syndrome Following Right Total Knee Gluteal Compartment Syndrome gluteal compartment syndrome is an orthopaedic emergency that may be more prevalent and associated with higher. gluteal compartment syndrome (gcs) is a rare surgical emergency where ischemic changes occur to the gluteal muscles. The gluteal region is a rare. gluteal compartment syndrome is an orthopaedic emergency that may be more prevalent and associated with higher morbidity and. Gluteal Compartment Syndrome.
From www.mdpi.com
Healthcare Free FullText Gluteal Compartment Syndrome and Gluteal Compartment Syndrome gluteal compartment syndrome (gcs) is a rare surgical emergency where ischemic changes occur to the gluteal muscles. The gluteal region is a rare. compartment syndrome, an exceptionally rare condition, is a surgical emergency that can quickly escalate to limb ischemia and. gluteal compartment syndrome is an orthopaedic emergency that may be more prevalent and associated with higher. Gluteal Compartment Syndrome.
From motusspt.com
Compartment Syndrome Motus Physical Therapy Gluteal Compartment Syndrome gluteal compartment syndrome is an orthopaedic emergency that may be more prevalent and associated with higher. learn about the rare but serious condition of gluteal compartment syndrome, which can cause swelling, pain, and nerve damage in. Risk factors may include prolonged surgical duration, immobilization secondary to substance abuse, and pelvic trauma. gluteal compartment syndrome is an orthopaedic. Gluteal Compartment Syndrome.
From www.clinicaledge.co
Clinical Edge Infographic Deep gluteal syndrome with Benoy Mathew Gluteal Compartment Syndrome gluteal compartment syndrome is an orthopaedic emergency that may be more prevalent and associated with higher. gluteal compartment syndrome. Risk factors may include prolonged surgical duration, immobilization secondary to substance abuse, and pelvic trauma. learn about the rare but serious condition of gluteal compartment syndrome, which can cause swelling, pain, and nerve damage in. gluteal compartment. Gluteal Compartment Syndrome.
From scite.ai
Gluteal compartment syndrome after lumbar laminectomy [scite report] Gluteal Compartment Syndrome gluteal compartment syndrome is an orthopaedic emergency that may be more prevalent and associated with higher. gluteal compartment syndrome is an orthopaedic emergency that may be more prevalent and associated with higher morbidity and mortality than previously recognized. gluteal compartment syndrome. gluteal compartment syndrome (gcs) is a rare surgical emergency where ischemic changes occur to the. Gluteal Compartment Syndrome.
From www.jvascsurg.org
Bilateral gluteal compartment syndrome after elective unilateral Gluteal Compartment Syndrome Risk factors may include prolonged surgical duration, immobilization secondary to substance abuse, and pelvic trauma. gluteal compartment syndrome is an orthopaedic emergency that may be more prevalent and associated with higher morbidity and mortality than previously recognized. compartment syndrome, an exceptionally rare condition, is a surgical emergency that can quickly escalate to limb ischemia and. gluteal compartment. Gluteal Compartment Syndrome.
From www.semanticscholar.org
Figure 1 from Gluteal and Thigh Compartment Syndrome in a Young Adult Gluteal Compartment Syndrome gluteal compartment syndrome. gluteal compartment syndrome is an orthopaedic emergency that may be more prevalent and associated with higher morbidity and mortality than previously recognized. gluteal compartment syndrome is an orthopaedic emergency that may be more prevalent and associated with higher. gluteal compartment syndrome (gcs) is a rare surgical emergency where ischemic changes occur to the. Gluteal Compartment Syndrome.
From boneandspine.com
Compartment Syndrome Presentation and Treatment Bone and Spine Gluteal Compartment Syndrome Risk factors may include prolonged surgical duration, immobilization secondary to substance abuse, and pelvic trauma. compartment syndrome, an exceptionally rare condition, is a surgical emergency that can quickly escalate to limb ischemia and. The gluteal region is a rare. gluteal compartment syndrome is an orthopaedic emergency that may be more prevalent and associated with higher. gluteal compartment. Gluteal Compartment Syndrome.
From www.semanticscholar.org
Figure 1 from Gluteal compartment syndrome following bone marrow biopsy Gluteal Compartment Syndrome The gluteal region is a rare. gluteal compartment syndrome is an orthopaedic emergency that may be more prevalent and associated with higher morbidity and mortality than previously recognized. compartment syndrome, an exceptionally rare condition, is a surgical emergency that can quickly escalate to limb ischemia and. gluteal compartment syndrome (gcs) is a rare surgical emergency where ischemic. Gluteal Compartment Syndrome.
From www.researchgate.net
(PDF) Gluteal Compartment SyndromeThe Missing Diagnosis. Case Gluteal Compartment Syndrome gluteal compartment syndrome is an orthopaedic emergency that may be more prevalent and associated with higher. gluteal compartment syndrome (gcs) is a rare surgical emergency where ischemic changes occur to the gluteal muscles. Risk factors may include prolonged surgical duration, immobilization secondary to substance abuse, and pelvic trauma. compartment syndrome, an exceptionally rare condition, is a surgical. Gluteal Compartment Syndrome.
From www.elsevier.es
Gluteal compartment syndrome after total hip replacement. A Gluteal Compartment Syndrome gluteal compartment syndrome is an orthopaedic emergency that may be more prevalent and associated with higher. learn about the rare but serious condition of gluteal compartment syndrome, which can cause swelling, pain, and nerve damage in. Risk factors may include prolonged surgical duration, immobilization secondary to substance abuse, and pelvic trauma. gluteal compartment syndrome. gluteal compartment. Gluteal Compartment Syndrome.
From casesjournal.biomedcentral.com
Gluteal compartment syndrome a case report Cases Journal Full Text Gluteal Compartment Syndrome gluteal compartment syndrome. gluteal compartment syndrome is an orthopaedic emergency that may be more prevalent and associated with higher morbidity and mortality than previously recognized. learn about the rare but serious condition of gluteal compartment syndrome, which can cause swelling, pain, and nerve damage in. gluteal compartment syndrome (gcs) is a rare surgical emergency where ischemic. Gluteal Compartment Syndrome.
From www.cureus.com
Cureus Sciatic Nerve Injury Secondary to a Gluteal Compartment Syndrome Gluteal Compartment Syndrome learn about the rare but serious condition of gluteal compartment syndrome, which can cause swelling, pain, and nerve damage in. The gluteal region is a rare. gluteal compartment syndrome. compartment syndrome, an exceptionally rare condition, is a surgical emergency that can quickly escalate to limb ischemia and. gluteal compartment syndrome is an orthopaedic emergency that may. Gluteal Compartment Syndrome.
From casereports.bmj.com
Gluteal compartment syndrome with sciatic nerve palsy caused by Gluteal Compartment Syndrome gluteal compartment syndrome is an orthopaedic emergency that may be more prevalent and associated with higher morbidity and mortality than previously recognized. gluteal compartment syndrome is an orthopaedic emergency that may be more prevalent and associated with higher. Risk factors may include prolonged surgical duration, immobilization secondary to substance abuse, and pelvic trauma. learn about the rare. Gluteal Compartment Syndrome.
From orthopaedicprinciples.com
Compartment Syndrome — Gluteal Compartment Syndrome learn about the rare but serious condition of gluteal compartment syndrome, which can cause swelling, pain, and nerve damage in. gluteal compartment syndrome is an orthopaedic emergency that may be more prevalent and associated with higher. gluteal compartment syndrome is an orthopaedic emergency that may be more prevalent and associated with higher morbidity and mortality than previously. Gluteal Compartment Syndrome.
From casereports.bmj.com
Gluteal compartment syndrome with severe rhabdomyolysis BMJ Case Reports Gluteal Compartment Syndrome The gluteal region is a rare. gluteal compartment syndrome is an orthopaedic emergency that may be more prevalent and associated with higher morbidity and mortality than previously recognized. Risk factors may include prolonged surgical duration, immobilization secondary to substance abuse, and pelvic trauma. gluteal compartment syndrome. gluteal compartment syndrome is an orthopaedic emergency that may be more. Gluteal Compartment Syndrome.
From www.scribd.com
Gluteal compartment syndrome PDF Wound Anatomical Terms Of Motion Gluteal Compartment Syndrome gluteal compartment syndrome (gcs) is a rare surgical emergency where ischemic changes occur to the gluteal muscles. learn about the rare but serious condition of gluteal compartment syndrome, which can cause swelling, pain, and nerve damage in. The gluteal region is a rare. gluteal compartment syndrome. gluteal compartment syndrome is an orthopaedic emergency that may be. Gluteal Compartment Syndrome.
From www.researchgate.net
(PDF) Gluteal Compartment Syndrome Secondary to Pelvic Trauma Gluteal Compartment Syndrome gluteal compartment syndrome. gluteal compartment syndrome is an orthopaedic emergency that may be more prevalent and associated with higher. The gluteal region is a rare. gluteal compartment syndrome (gcs) is a rare surgical emergency where ischemic changes occur to the gluteal muscles. compartment syndrome, an exceptionally rare condition, is a surgical emergency that can quickly escalate. Gluteal Compartment Syndrome.