Do Pleural Plaques Grow . Pleural plaques are benign and do not change into a cancer. Pleural plaques are deposits of hyalinized collagen fibers in the parietal pleura. Pleuritis with associated pleural effusion develops in a number of different diseases. Pleural plaques are benign areas of thickened tissue in the lung lining's outer layer or parietal pleura that can develop 10 to 30 years. How do people get pleural plaques? They are indicative of asbestos exposure and typically. Pleural plaques are areas of tissue that become thickened in the lining of the lungs. Pleural plaques are caused by exposure to asbestos at some time in the past. Pleural plaques are distinct from dpt, which consists of extensive fibrosis of the visceral pleura, often presenting as fibrous strands that. In most cases the pleural inflammation regresses, with or without medication and without sequelae of pleural fibrosis. However, in others, pleural inflammation progresses to pleural fibrosis.
from www.researchgate.net
Pleuritis with associated pleural effusion develops in a number of different diseases. However, in others, pleural inflammation progresses to pleural fibrosis. They are indicative of asbestos exposure and typically. Pleural plaques are areas of tissue that become thickened in the lining of the lungs. Pleural plaques are distinct from dpt, which consists of extensive fibrosis of the visceral pleura, often presenting as fibrous strands that. How do people get pleural plaques? Pleural plaques are benign and do not change into a cancer. In most cases the pleural inflammation regresses, with or without medication and without sequelae of pleural fibrosis. Pleural plaques are caused by exposure to asbestos at some time in the past. Pleural plaques are deposits of hyalinized collagen fibers in the parietal pleura.
Pleural plaques, diffuse pleural thickening, rounded atelectasis, and
Do Pleural Plaques Grow In most cases the pleural inflammation regresses, with or without medication and without sequelae of pleural fibrosis. In most cases the pleural inflammation regresses, with or without medication and without sequelae of pleural fibrosis. Pleural plaques are benign and do not change into a cancer. Pleural plaques are caused by exposure to asbestos at some time in the past. Pleural plaques are deposits of hyalinized collagen fibers in the parietal pleura. They are indicative of asbestos exposure and typically. How do people get pleural plaques? However, in others, pleural inflammation progresses to pleural fibrosis. Pleural plaques are areas of tissue that become thickened in the lining of the lungs. Pleuritis with associated pleural effusion develops in a number of different diseases. Pleural plaques are distinct from dpt, which consists of extensive fibrosis of the visceral pleura, often presenting as fibrous strands that. Pleural plaques are benign areas of thickened tissue in the lung lining's outer layer or parietal pleura that can develop 10 to 30 years.
From www.pathologyoutlines.com
Pathology Outlines Pleural plaques Do Pleural Plaques Grow Pleural plaques are benign areas of thickened tissue in the lung lining's outer layer or parietal pleura that can develop 10 to 30 years. Pleural plaques are deposits of hyalinized collagen fibers in the parietal pleura. However, in others, pleural inflammation progresses to pleural fibrosis. Pleuritis with associated pleural effusion develops in a number of different diseases. Pleural plaques are. Do Pleural Plaques Grow.
From www.researchgate.net
Pleural plaques, diffuse pleural thickening, rounded atelectasis, and Do Pleural Plaques Grow Pleural plaques are caused by exposure to asbestos at some time in the past. How do people get pleural plaques? They are indicative of asbestos exposure and typically. Pleural plaques are distinct from dpt, which consists of extensive fibrosis of the visceral pleura, often presenting as fibrous strands that. Pleural plaques are deposits of hyalinized collagen fibers in the parietal. Do Pleural Plaques Grow.
From medschool.co
Pleural Changes Chest XRay MedSchool Do Pleural Plaques Grow Pleuritis with associated pleural effusion develops in a number of different diseases. In most cases the pleural inflammation regresses, with or without medication and without sequelae of pleural fibrosis. However, in others, pleural inflammation progresses to pleural fibrosis. Pleural plaques are benign and do not change into a cancer. They are indicative of asbestos exposure and typically. Pleural plaques are. Do Pleural Plaques Grow.
From www.mesotheliomaveterans.org
Asbestos Pleural Plaques All About Asbestos Plaques in Lungs Do Pleural Plaques Grow Pleural plaques are distinct from dpt, which consists of extensive fibrosis of the visceral pleura, often presenting as fibrous strands that. However, in others, pleural inflammation progresses to pleural fibrosis. In most cases the pleural inflammation regresses, with or without medication and without sequelae of pleural fibrosis. How do people get pleural plaques? Pleuritis with associated pleural effusion develops in. Do Pleural Plaques Grow.
From www.asbestosawareness.org.uk
Pleural Plaques Asbestos Related Diseases Asbestos Advice Do Pleural Plaques Grow Pleural plaques are caused by exposure to asbestos at some time in the past. Pleural plaques are benign and do not change into a cancer. They are indicative of asbestos exposure and typically. In most cases the pleural inflammation regresses, with or without medication and without sequelae of pleural fibrosis. Pleural plaques are distinct from dpt, which consists of extensive. Do Pleural Plaques Grow.
From www.researchgate.net
4 Pleural plaques. CT chest (axial view) showing multiple, bilateral Do Pleural Plaques Grow Pleural plaques are caused by exposure to asbestos at some time in the past. Pleural plaques are deposits of hyalinized collagen fibers in the parietal pleura. Pleural plaques are benign areas of thickened tissue in the lung lining's outer layer or parietal pleura that can develop 10 to 30 years. Pleural plaques are areas of tissue that become thickened in. Do Pleural Plaques Grow.
From pulmonarychronicles.com
pleural plaque Do Pleural Plaques Grow They are indicative of asbestos exposure and typically. Pleuritis with associated pleural effusion develops in a number of different diseases. Pleural plaques are benign areas of thickened tissue in the lung lining's outer layer or parietal pleura that can develop 10 to 30 years. Pleural plaques are deposits of hyalinized collagen fibers in the parietal pleura. How do people get. Do Pleural Plaques Grow.
From www.mesothelioma.com
Pleural Plaques and Asbestos Risks, Diagnosis and Treatment Do Pleural Plaques Grow Pleural plaques are deposits of hyalinized collagen fibers in the parietal pleura. How do people get pleural plaques? Pleural plaques are areas of tissue that become thickened in the lining of the lungs. Pleuritis with associated pleural effusion develops in a number of different diseases. Pleural plaques are distinct from dpt, which consists of extensive fibrosis of the visceral pleura,. Do Pleural Plaques Grow.
From www.researchgate.net
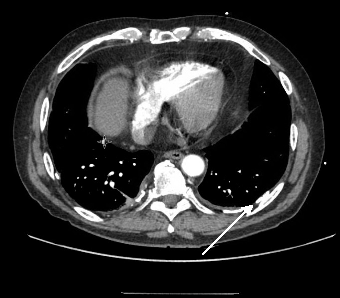
Asbestosrelated pleural plaques involving a fissure and the posterior Do Pleural Plaques Grow However, in others, pleural inflammation progresses to pleural fibrosis. Pleural plaques are caused by exposure to asbestos at some time in the past. Pleural plaques are distinct from dpt, which consists of extensive fibrosis of the visceral pleura, often presenting as fibrous strands that. Pleural plaques are deposits of hyalinized collagen fibers in the parietal pleura. Pleural plaques are benign. Do Pleural Plaques Grow.
From www.slideserve.com
PPT PLEURAL LESIONS PowerPoint Presentation, free download ID3668750 Do Pleural Plaques Grow Pleural plaques are benign areas of thickened tissue in the lung lining's outer layer or parietal pleura that can develop 10 to 30 years. Pleural plaques are caused by exposure to asbestos at some time in the past. However, in others, pleural inflammation progresses to pleural fibrosis. Pleural plaques are benign and do not change into a cancer. Pleural plaques. Do Pleural Plaques Grow.
From www.slideserve.com
PPT Clinical Aspects of Pleural Disease PowerPoint Presentation, free Do Pleural Plaques Grow Pleural plaques are distinct from dpt, which consists of extensive fibrosis of the visceral pleura, often presenting as fibrous strands that. Pleuritis with associated pleural effusion develops in a number of different diseases. However, in others, pleural inflammation progresses to pleural fibrosis. Pleural plaques are caused by exposure to asbestos at some time in the past. Pleural plaques are benign. Do Pleural Plaques Grow.
From www.sciencephoto.com
Pleural plaque, Xray Stock Image M240/0443 Science Photo Library Do Pleural Plaques Grow Pleural plaques are areas of tissue that become thickened in the lining of the lungs. Pleural plaques are distinct from dpt, which consists of extensive fibrosis of the visceral pleura, often presenting as fibrous strands that. In most cases the pleural inflammation regresses, with or without medication and without sequelae of pleural fibrosis. Pleural plaques are benign areas of thickened. Do Pleural Plaques Grow.
From ahepatitisbquees.blogspot.com
Asbestos Pleural Plaques Radiopaedia Part II A survey of asbestos Do Pleural Plaques Grow They are indicative of asbestos exposure and typically. Pleural plaques are benign areas of thickened tissue in the lung lining's outer layer or parietal pleura that can develop 10 to 30 years. However, in others, pleural inflammation progresses to pleural fibrosis. Pleural plaques are areas of tissue that become thickened in the lining of the lungs. In most cases the. Do Pleural Plaques Grow.
From www.pedilung.com
pleuraleffusion Pediatric Pulmonologists Do Pleural Plaques Grow However, in others, pleural inflammation progresses to pleural fibrosis. Pleural plaques are distinct from dpt, which consists of extensive fibrosis of the visceral pleura, often presenting as fibrous strands that. They are indicative of asbestos exposure and typically. Pleural plaques are areas of tissue that become thickened in the lining of the lungs. How do people get pleural plaques? Pleural. Do Pleural Plaques Grow.
From www.researchgate.net
Asbestosrelated pleural plaques involving a fissure and the posterior Do Pleural Plaques Grow Pleural plaques are benign areas of thickened tissue in the lung lining's outer layer or parietal pleura that can develop 10 to 30 years. They are indicative of asbestos exposure and typically. Pleural plaques are benign and do not change into a cancer. Pleural plaques are caused by exposure to asbestos at some time in the past. Pleural plaques are. Do Pleural Plaques Grow.
From radiopaedia.org
Asbestosrelated pleural plaques Image Do Pleural Plaques Grow However, in others, pleural inflammation progresses to pleural fibrosis. Pleural plaques are distinct from dpt, which consists of extensive fibrosis of the visceral pleura, often presenting as fibrous strands that. In most cases the pleural inflammation regresses, with or without medication and without sequelae of pleural fibrosis. They are indicative of asbestos exposure and typically. Pleural plaques are benign areas. Do Pleural Plaques Grow.
From www.earthslab.com
Pleural Cavities Earth's Lab Do Pleural Plaques Grow Pleuritis with associated pleural effusion develops in a number of different diseases. Pleural plaques are distinct from dpt, which consists of extensive fibrosis of the visceral pleura, often presenting as fibrous strands that. In most cases the pleural inflammation regresses, with or without medication and without sequelae of pleural fibrosis. Pleural plaques are deposits of hyalinized collagen fibers in the. Do Pleural Plaques Grow.
From www.ajronline.org
Solid Pleural Lesions AJR Do Pleural Plaques Grow Pleuritis with associated pleural effusion develops in a number of different diseases. They are indicative of asbestos exposure and typically. How do people get pleural plaques? Pleural plaques are caused by exposure to asbestos at some time in the past. Pleural plaques are deposits of hyalinized collagen fibers in the parietal pleura. Pleural plaques are distinct from dpt, which consists. Do Pleural Plaques Grow.
From pubs.rsna.org
Multimodality Imaging for Characterization, Classification, and Staging Do Pleural Plaques Grow However, in others, pleural inflammation progresses to pleural fibrosis. Pleural plaques are benign areas of thickened tissue in the lung lining's outer layer or parietal pleura that can develop 10 to 30 years. Pleural plaques are caused by exposure to asbestos at some time in the past. They are indicative of asbestos exposure and typically. Pleural plaques are deposits of. Do Pleural Plaques Grow.
From carcinomacervixs.blogspot.com
Do Pleural Plaques Lead To Mesothelioma What is asbestos? British Do Pleural Plaques Grow How do people get pleural plaques? Pleural plaques are benign and do not change into a cancer. Pleural plaques are deposits of hyalinized collagen fibers in the parietal pleura. Pleuritis with associated pleural effusion develops in a number of different diseases. However, in others, pleural inflammation progresses to pleural fibrosis. They are indicative of asbestos exposure and typically. Pleural plaques. Do Pleural Plaques Grow.
From lungcancer.about.com
Pleural Effusion and Disorders of the Pleural Cavity Do Pleural Plaques Grow Pleural plaques are deposits of hyalinized collagen fibers in the parietal pleura. In most cases the pleural inflammation regresses, with or without medication and without sequelae of pleural fibrosis. Pleural plaques are benign areas of thickened tissue in the lung lining's outer layer or parietal pleura that can develop 10 to 30 years. They are indicative of asbestos exposure and. Do Pleural Plaques Grow.
From www.semanticscholar.org
Figure 1 from CT Characteristics of Pleural Plaques Related to Do Pleural Plaques Grow In most cases the pleural inflammation regresses, with or without medication and without sequelae of pleural fibrosis. Pleural plaques are areas of tissue that become thickened in the lining of the lungs. Pleuritis with associated pleural effusion develops in a number of different diseases. Pleural plaques are benign and do not change into a cancer. Pleural plaques are caused by. Do Pleural Plaques Grow.
From www.dreamstime.com
Pleural plaque poster stock vector. Illustration of disease 276357374 Do Pleural Plaques Grow Pleural plaques are areas of tissue that become thickened in the lining of the lungs. Pleural plaques are caused by exposure to asbestos at some time in the past. Pleural plaques are deposits of hyalinized collagen fibers in the parietal pleura. Pleural plaques are benign areas of thickened tissue in the lung lining's outer layer or parietal pleura that can. Do Pleural Plaques Grow.
From www.youtube.com
Pleural Lipoma Explanation of Chest Xray Findings YouTube Do Pleural Plaques Grow Pleural plaques are benign areas of thickened tissue in the lung lining's outer layer or parietal pleura that can develop 10 to 30 years. They are indicative of asbestos exposure and typically. Pleural plaques are areas of tissue that become thickened in the lining of the lungs. How do people get pleural plaques? Pleural plaques are deposits of hyalinized collagen. Do Pleural Plaques Grow.
From www.ajronline.org
Solid Pleural Lesions AJR Do Pleural Plaques Grow Pleural plaques are caused by exposure to asbestos at some time in the past. Pleuritis with associated pleural effusion develops in a number of different diseases. Pleural plaques are benign areas of thickened tissue in the lung lining's outer layer or parietal pleura that can develop 10 to 30 years. Pleural plaques are areas of tissue that become thickened in. Do Pleural Plaques Grow.
From www.istockphoto.com
Pleural Plaque Poster Stock Illustration Download Image Now Anatomy Do Pleural Plaques Grow They are indicative of asbestos exposure and typically. Pleural plaques are caused by exposure to asbestos at some time in the past. Pleural plaques are deposits of hyalinized collagen fibers in the parietal pleura. Pleural plaques are benign areas of thickened tissue in the lung lining's outer layer or parietal pleura that can develop 10 to 30 years. Pleuritis with. Do Pleural Plaques Grow.
From casereports.bmj.com
Asbestosrelated pleural plaques significance and associations BMJ Do Pleural Plaques Grow Pleural plaques are benign and do not change into a cancer. Pleural plaques are areas of tissue that become thickened in the lining of the lungs. They are indicative of asbestos exposure and typically. How do people get pleural plaques? In most cases the pleural inflammation regresses, with or without medication and without sequelae of pleural fibrosis. Pleuritis with associated. Do Pleural Plaques Grow.
From radiologykey.com
Benign Pleural Thickening Radiology Key Do Pleural Plaques Grow Pleuritis with associated pleural effusion develops in a number of different diseases. How do people get pleural plaques? Pleural plaques are benign and do not change into a cancer. Pleural plaques are caused by exposure to asbestos at some time in the past. Pleural plaques are deposits of hyalinized collagen fibers in the parietal pleura. Pleural plaques are areas of. Do Pleural Plaques Grow.
From sites.northwestern.edu
NU PCCM Fellowship Blog Pulmonary Report 8/1/22 Diffuse pleural Do Pleural Plaques Grow However, in others, pleural inflammation progresses to pleural fibrosis. Pleural plaques are areas of tissue that become thickened in the lining of the lungs. Pleural plaques are caused by exposure to asbestos at some time in the past. Pleuritis with associated pleural effusion develops in a number of different diseases. In most cases the pleural inflammation regresses, with or without. Do Pleural Plaques Grow.
From www.medray.lk
XRays Page Do Pleural Plaques Grow Pleural plaques are areas of tissue that become thickened in the lining of the lungs. They are indicative of asbestos exposure and typically. How do people get pleural plaques? Pleural plaques are caused by exposure to asbestos at some time in the past. Pleural plaques are benign and do not change into a cancer. Pleuritis with associated pleural effusion develops. Do Pleural Plaques Grow.
From www.sciencephoto.com
Pleural plaque, illustration Stock Image F041/9611 Science Photo Do Pleural Plaques Grow Pleuritis with associated pleural effusion develops in a number of different diseases. Pleural plaques are caused by exposure to asbestos at some time in the past. In most cases the pleural inflammation regresses, with or without medication and without sequelae of pleural fibrosis. How do people get pleural plaques? They are indicative of asbestos exposure and typically. Pleural plaques are. Do Pleural Plaques Grow.
From pursanymondolet.blogspot.com
Pleural Plaques On Chest X Ray Do Pleural Plaques Grow How do people get pleural plaques? Pleural plaques are deposits of hyalinized collagen fibers in the parietal pleura. Pleuritis with associated pleural effusion develops in a number of different diseases. Pleural plaques are distinct from dpt, which consists of extensive fibrosis of the visceral pleura, often presenting as fibrous strands that. Pleural plaques are benign and do not change into. Do Pleural Plaques Grow.
From www.pathologyoutlines.com
Pathology Outlines Pleural plaques Do Pleural Plaques Grow Pleuritis with associated pleural effusion develops in a number of different diseases. However, in others, pleural inflammation progresses to pleural fibrosis. Pleural plaques are caused by exposure to asbestos at some time in the past. Pleural plaques are benign and do not change into a cancer. In most cases the pleural inflammation regresses, with or without medication and without sequelae. Do Pleural Plaques Grow.
From www.researchgate.net
CT scan with signs of pulmonary congestion, bilateral pleural effusion Do Pleural Plaques Grow Pleural plaques are benign areas of thickened tissue in the lung lining's outer layer or parietal pleura that can develop 10 to 30 years. Pleural plaques are caused by exposure to asbestos at some time in the past. Pleural plaques are deposits of hyalinized collagen fibers in the parietal pleura. They are indicative of asbestos exposure and typically. Pleural plaques. Do Pleural Plaques Grow.
From jksronline.org
Thoracolithiasis Mimicking a Pleural Plaque in a Patient with a History Do Pleural Plaques Grow Pleural plaques are caused by exposure to asbestos at some time in the past. Pleural plaques are benign areas of thickened tissue in the lung lining's outer layer or parietal pleura that can develop 10 to 30 years. Pleuritis with associated pleural effusion develops in a number of different diseases. Pleural plaques are deposits of hyalinized collagen fibers in the. Do Pleural Plaques Grow.