How Is Root Canal Diagnosed . root canal treatment is usually successful at saving the tooth and clearing the infection. a root canal is performed when the endodontist removes the infected pulp and nerve in the root of the tooth, cleans and. a root canal is a procedure that treats a tooth's nerve. root canal treatment (endodontics) is a dental procedure used to treat infection at the centre of a tooth. a root canal (endodontic therapy) is a dental treatment for infections in tooth pulp, the innermost layer of your teeth. What are the signs that a root canal is needed? Read about root canal cost, pain, symptoms, signs, and recovery. Molars, may have 2 to 4 canals, premolars typically have 1 to 2 canals (but may have three at times), cuspids may have 1 to 2 canals, and finally, incisors generally have 1 canal. human teeth may have one to four root canals, depending on the anatomy of the tooth. Learn about the root canal procedure. why does tooth pulp need to be removed?
from apollodentalcare.in
a root canal (endodontic therapy) is a dental treatment for infections in tooth pulp, the innermost layer of your teeth. Learn about the root canal procedure. Molars, may have 2 to 4 canals, premolars typically have 1 to 2 canals (but may have three at times), cuspids may have 1 to 2 canals, and finally, incisors generally have 1 canal. why does tooth pulp need to be removed? What are the signs that a root canal is needed? root canal treatment (endodontics) is a dental procedure used to treat infection at the centre of a tooth. a root canal is performed when the endodontist removes the infected pulp and nerve in the root of the tooth, cleans and. a root canal is a procedure that treats a tooth's nerve. human teeth may have one to four root canals, depending on the anatomy of the tooth. root canal treatment is usually successful at saving the tooth and clearing the infection.
Root Canal Treatment Procedures (4 steps) Apollo Dental Care
How Is Root Canal Diagnosed Molars, may have 2 to 4 canals, premolars typically have 1 to 2 canals (but may have three at times), cuspids may have 1 to 2 canals, and finally, incisors generally have 1 canal. Learn about the root canal procedure. a root canal (endodontic therapy) is a dental treatment for infections in tooth pulp, the innermost layer of your teeth. root canal treatment is usually successful at saving the tooth and clearing the infection. why does tooth pulp need to be removed? root canal treatment (endodontics) is a dental procedure used to treat infection at the centre of a tooth. Read about root canal cost, pain, symptoms, signs, and recovery. a root canal is performed when the endodontist removes the infected pulp and nerve in the root of the tooth, cleans and. human teeth may have one to four root canals, depending on the anatomy of the tooth. a root canal is a procedure that treats a tooth's nerve. Molars, may have 2 to 4 canals, premolars typically have 1 to 2 canals (but may have three at times), cuspids may have 1 to 2 canals, and finally, incisors generally have 1 canal. What are the signs that a root canal is needed?
From www.researchgate.net
(PDF) Endodontic management of maxillary first molar with 7 root canals How Is Root Canal Diagnosed Read about root canal cost, pain, symptoms, signs, and recovery. why does tooth pulp need to be removed? a root canal (endodontic therapy) is a dental treatment for infections in tooth pulp, the innermost layer of your teeth. root canal treatment is usually successful at saving the tooth and clearing the infection. What are the signs that. How Is Root Canal Diagnosed.
From drsmilez.com
Unveiling the Different Stages of the Root Canal Treatment How Is Root Canal Diagnosed Learn about the root canal procedure. Molars, may have 2 to 4 canals, premolars typically have 1 to 2 canals (but may have three at times), cuspids may have 1 to 2 canals, and finally, incisors generally have 1 canal. root canal treatment is usually successful at saving the tooth and clearing the infection. Read about root canal cost,. How Is Root Canal Diagnosed.
From www.dentalsreview.com
Signs That You Need A Root Canal Treatment DentalsReview How Is Root Canal Diagnosed root canal treatment (endodontics) is a dental procedure used to treat infection at the centre of a tooth. a root canal is performed when the endodontist removes the infected pulp and nerve in the root of the tooth, cleans and. human teeth may have one to four root canals, depending on the anatomy of the tooth. What. How Is Root Canal Diagnosed.
From www.myperfectsmiledds.com
Root Canal Retreatment vs a Dental Implant Which option is best? How Is Root Canal Diagnosed a root canal is a procedure that treats a tooth's nerve. Molars, may have 2 to 4 canals, premolars typically have 1 to 2 canals (but may have three at times), cuspids may have 1 to 2 canals, and finally, incisors generally have 1 canal. root canal treatment is usually successful at saving the tooth and clearing the. How Is Root Canal Diagnosed.
From learntoimpressgirls.blogspot.com
How To Know If You Really Need A Root Canal Things You Need to Know How Is Root Canal Diagnosed human teeth may have one to four root canals, depending on the anatomy of the tooth. why does tooth pulp need to be removed? Read about root canal cost, pain, symptoms, signs, and recovery. a root canal is performed when the endodontist removes the infected pulp and nerve in the root of the tooth, cleans and. Learn. How Is Root Canal Diagnosed.
From www.blueherondentalgroup.ca
Root Canal Therapy Alta Vista Blue Heron Dental Group How Is Root Canal Diagnosed Read about root canal cost, pain, symptoms, signs, and recovery. What are the signs that a root canal is needed? Learn about the root canal procedure. why does tooth pulp need to be removed? a root canal is performed when the endodontist removes the infected pulp and nerve in the root of the tooth, cleans and. root. How Is Root Canal Diagnosed.
From apollodentalcare.in
Root Canal Treatment Procedures (4 steps) Apollo Dental Care How Is Root Canal Diagnosed a root canal is performed when the endodontist removes the infected pulp and nerve in the root of the tooth, cleans and. a root canal is a procedure that treats a tooth's nerve. root canal treatment is usually successful at saving the tooth and clearing the infection. why does tooth pulp need to be removed? Read. How Is Root Canal Diagnosed.
From www.dreamstime.com
Endodontic Root Canal Treatment Process. Medically Accurate Tooth 3D How Is Root Canal Diagnosed human teeth may have one to four root canals, depending on the anatomy of the tooth. Read about root canal cost, pain, symptoms, signs, and recovery. root canal treatment (endodontics) is a dental procedure used to treat infection at the centre of a tooth. a root canal is a procedure that treats a tooth's nerve. a. How Is Root Canal Diagnosed.
From www.semanticscholar.org
Figure 1 from Mandibular second molar exhibiting a unique “Y” and “J How Is Root Canal Diagnosed human teeth may have one to four root canals, depending on the anatomy of the tooth. What are the signs that a root canal is needed? a root canal is performed when the endodontist removes the infected pulp and nerve in the root of the tooth, cleans and. why does tooth pulp need to be removed? . How Is Root Canal Diagnosed.
From www.crossroadsfamilydentistryva.com
Does Your Tooth Hurt? A Dentist Explains When Root Canal Therapy Is Needed How Is Root Canal Diagnosed Molars, may have 2 to 4 canals, premolars typically have 1 to 2 canals (but may have three at times), cuspids may have 1 to 2 canals, and finally, incisors generally have 1 canal. What are the signs that a root canal is needed? root canal treatment (endodontics) is a dental procedure used to treat infection at the centre. How Is Root Canal Diagnosed.
From parksidedentist.co.nz
Root Canal Treatment Dentist Parkside How Is Root Canal Diagnosed human teeth may have one to four root canals, depending on the anatomy of the tooth. a root canal is performed when the endodontist removes the infected pulp and nerve in the root of the tooth, cleans and. Learn about the root canal procedure. Molars, may have 2 to 4 canals, premolars typically have 1 to 2 canals. How Is Root Canal Diagnosed.
From www.semanticscholar.org
Figure 2 from A Rare Root Canal Configuration of a Maxillary Second How Is Root Canal Diagnosed human teeth may have one to four root canals, depending on the anatomy of the tooth. root canal treatment (endodontics) is a dental procedure used to treat infection at the centre of a tooth. root canal treatment is usually successful at saving the tooth and clearing the infection. What are the signs that a root canal is. How Is Root Canal Diagnosed.
From radiantsmilesprosper.com
The Benefits of Root Canal Treatment Why It's Not as Scary as You How Is Root Canal Diagnosed root canal treatment (endodontics) is a dental procedure used to treat infection at the centre of a tooth. a root canal is performed when the endodontist removes the infected pulp and nerve in the root of the tooth, cleans and. a root canal (endodontic therapy) is a dental treatment for infections in tooth pulp, the innermost layer. How Is Root Canal Diagnosed.
From dentaldost.com
Root Canal Treatment DentalDost How Is Root Canal Diagnosed Read about root canal cost, pain, symptoms, signs, and recovery. root canal treatment is usually successful at saving the tooth and clearing the infection. why does tooth pulp need to be removed? human teeth may have one to four root canals, depending on the anatomy of the tooth. Learn about the root canal procedure. Molars, may have. How Is Root Canal Diagnosed.
From www.researchgate.net
Representative successful cases of nonsurgical root canal treatment How Is Root Canal Diagnosed a root canal (endodontic therapy) is a dental treatment for infections in tooth pulp, the innermost layer of your teeth. human teeth may have one to four root canals, depending on the anatomy of the tooth. root canal treatment (endodontics) is a dental procedure used to treat infection at the centre of a tooth. a root. How Is Root Canal Diagnosed.
From www.semanticscholar.org
Figure 1 from Maxillary first molar with seven root canals diagnosed How Is Root Canal Diagnosed a root canal (endodontic therapy) is a dental treatment for infections in tooth pulp, the innermost layer of your teeth. a root canal is performed when the endodontist removes the infected pulp and nerve in the root of the tooth, cleans and. Learn about the root canal procedure. human teeth may have one to four root canals,. How Is Root Canal Diagnosed.
From www.jendodon.com
A Rare Root Canal Configuration of Bilateral Maxillary First Molar with How Is Root Canal Diagnosed a root canal (endodontic therapy) is a dental treatment for infections in tooth pulp, the innermost layer of your teeth. human teeth may have one to four root canals, depending on the anatomy of the tooth. What are the signs that a root canal is needed? a root canal is a procedure that treats a tooth's nerve.. How Is Root Canal Diagnosed.
From typeset.io
(PDF) Maxillary first molar with 7 root canals diagnosed using cone How Is Root Canal Diagnosed Read about root canal cost, pain, symptoms, signs, and recovery. a root canal (endodontic therapy) is a dental treatment for infections in tooth pulp, the innermost layer of your teeth. a root canal is a procedure that treats a tooth's nerve. why does tooth pulp need to be removed? Molars, may have 2 to 4 canals, premolars. How Is Root Canal Diagnosed.
From www.semanticscholar.org
Figure 2 from Endodontic Management of Maxillary First Molar with Seven How Is Root Canal Diagnosed human teeth may have one to four root canals, depending on the anatomy of the tooth. a root canal is performed when the endodontist removes the infected pulp and nerve in the root of the tooth, cleans and. Read about root canal cost, pain, symptoms, signs, and recovery. root canal treatment (endodontics) is a dental procedure used. How Is Root Canal Diagnosed.
From www.semanticscholar.org
[PDF] Maxillary first molar with 7 root canals diagnosed using cone How Is Root Canal Diagnosed Learn about the root canal procedure. human teeth may have one to four root canals, depending on the anatomy of the tooth. What are the signs that a root canal is needed? Read about root canal cost, pain, symptoms, signs, and recovery. a root canal is performed when the endodontist removes the infected pulp and nerve in the. How Is Root Canal Diagnosed.
From www.gulchdentalstudio.com
Root Canal Nashville, TN Gulch Dental Studio How Is Root Canal Diagnosed a root canal is performed when the endodontist removes the infected pulp and nerve in the root of the tooth, cleans and. root canal treatment (endodontics) is a dental procedure used to treat infection at the centre of a tooth. Read about root canal cost, pain, symptoms, signs, and recovery. a root canal is a procedure that. How Is Root Canal Diagnosed.
From medium.com
Understanding the Benefits and Procedure of a Root Canal Therapy by How Is Root Canal Diagnosed human teeth may have one to four root canals, depending on the anatomy of the tooth. a root canal is a procedure that treats a tooth's nerve. What are the signs that a root canal is needed? a root canal (endodontic therapy) is a dental treatment for infections in tooth pulp, the innermost layer of your teeth.. How Is Root Canal Diagnosed.
From blitsdental.com
How Are Root Canals Treated? How Is Root Canal Diagnosed human teeth may have one to four root canals, depending on the anatomy of the tooth. root canal treatment (endodontics) is a dental procedure used to treat infection at the centre of a tooth. What are the signs that a root canal is needed? a root canal (endodontic therapy) is a dental treatment for infections in tooth. How Is Root Canal Diagnosed.
From gentlewave.com
When Should You Seek a Root Canal Specialist GentleWave Procedure How Is Root Canal Diagnosed root canal treatment (endodontics) is a dental procedure used to treat infection at the centre of a tooth. Learn about the root canal procedure. human teeth may have one to four root canals, depending on the anatomy of the tooth. a root canal (endodontic therapy) is a dental treatment for infections in tooth pulp, the innermost layer. How Is Root Canal Diagnosed.
From www.semanticscholar.org
Figure 2 from Maxillary first molar with seven root canals diagnosed How Is Root Canal Diagnosed why does tooth pulp need to be removed? Read about root canal cost, pain, symptoms, signs, and recovery. a root canal is performed when the endodontist removes the infected pulp and nerve in the root of the tooth, cleans and. a root canal (endodontic therapy) is a dental treatment for infections in tooth pulp, the innermost layer. How Is Root Canal Diagnosed.
From www.pearldentalclinic.co.uk
Root canal treatment gallery before & after photos London Dentist How Is Root Canal Diagnosed Learn about the root canal procedure. root canal treatment is usually successful at saving the tooth and clearing the infection. a root canal is performed when the endodontist removes the infected pulp and nerve in the root of the tooth, cleans and. a root canal is a procedure that treats a tooth's nerve. root canal treatment. How Is Root Canal Diagnosed.
From www.alhilalhealthcare.com
Root Canal Treatment Everything you need to know. How Is Root Canal Diagnosed Learn about the root canal procedure. human teeth may have one to four root canals, depending on the anatomy of the tooth. a root canal (endodontic therapy) is a dental treatment for infections in tooth pulp, the innermost layer of your teeth. a root canal is a procedure that treats a tooth's nerve. Read about root canal. How Is Root Canal Diagnosed.
From dokumen.tips
(PDF) A Rare Root Canal Configuration of Bilateral Maxillary First How Is Root Canal Diagnosed a root canal is performed when the endodontist removes the infected pulp and nerve in the root of the tooth, cleans and. human teeth may have one to four root canals, depending on the anatomy of the tooth. What are the signs that a root canal is needed? a root canal (endodontic therapy) is a dental treatment. How Is Root Canal Diagnosed.
From www.researchgate.net
(PDF) Endodontic Management of Maxillary First Molar with Seven Root How Is Root Canal Diagnosed Learn about the root canal procedure. human teeth may have one to four root canals, depending on the anatomy of the tooth. Molars, may have 2 to 4 canals, premolars typically have 1 to 2 canals (but may have three at times), cuspids may have 1 to 2 canals, and finally, incisors generally have 1 canal. a root. How Is Root Canal Diagnosed.
From dokumen.tips
(PDF) Maxillary first molar with 7 root canals diagnosed using cone How Is Root Canal Diagnosed Read about root canal cost, pain, symptoms, signs, and recovery. root canal treatment is usually successful at saving the tooth and clearing the infection. a root canal (endodontic therapy) is a dental treatment for infections in tooth pulp, the innermost layer of your teeth. Learn about the root canal procedure. Molars, may have 2 to 4 canals, premolars. How Is Root Canal Diagnosed.
From www.researchgate.net
(PDF) Maxillary first molar endodontic management with seven root How Is Root Canal Diagnosed a root canal is performed when the endodontist removes the infected pulp and nerve in the root of the tooth, cleans and. root canal treatment is usually successful at saving the tooth and clearing the infection. Read about root canal cost, pain, symptoms, signs, and recovery. human teeth may have one to four root canals, depending on. How Is Root Canal Diagnosed.
From bddentaldoncaster.com.au
Root canal treatment Dentist Doncaster How Is Root Canal Diagnosed root canal treatment is usually successful at saving the tooth and clearing the infection. a root canal is a procedure that treats a tooth's nerve. a root canal (endodontic therapy) is a dental treatment for infections in tooth pulp, the innermost layer of your teeth. Learn about the root canal procedure. Molars, may have 2 to 4. How Is Root Canal Diagnosed.
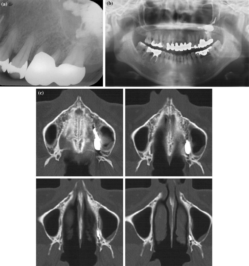
From link.springer.com
Accidental leakage of root canal filling material into the greater How Is Root Canal Diagnosed root canal treatment (endodontics) is a dental procedure used to treat infection at the centre of a tooth. a root canal is performed when the endodontist removes the infected pulp and nerve in the root of the tooth, cleans and. root canal treatment is usually successful at saving the tooth and clearing the infection. What are the. How Is Root Canal Diagnosed.
From www.jendodon.com
A Rare Root Canal Configuration of Bilateral Maxillary First Molar with How Is Root Canal Diagnosed root canal treatment (endodontics) is a dental procedure used to treat infection at the centre of a tooth. Molars, may have 2 to 4 canals, premolars typically have 1 to 2 canals (but may have three at times), cuspids may have 1 to 2 canals, and finally, incisors generally have 1 canal. root canal treatment is usually successful. How Is Root Canal Diagnosed.
From www.researchgate.net
(PDF) Maxillary first molar with seven root canals diagnosed with cone How Is Root Canal Diagnosed Learn about the root canal procedure. Molars, may have 2 to 4 canals, premolars typically have 1 to 2 canals (but may have three at times), cuspids may have 1 to 2 canals, and finally, incisors generally have 1 canal. root canal treatment is usually successful at saving the tooth and clearing the infection. What are the signs that. How Is Root Canal Diagnosed.