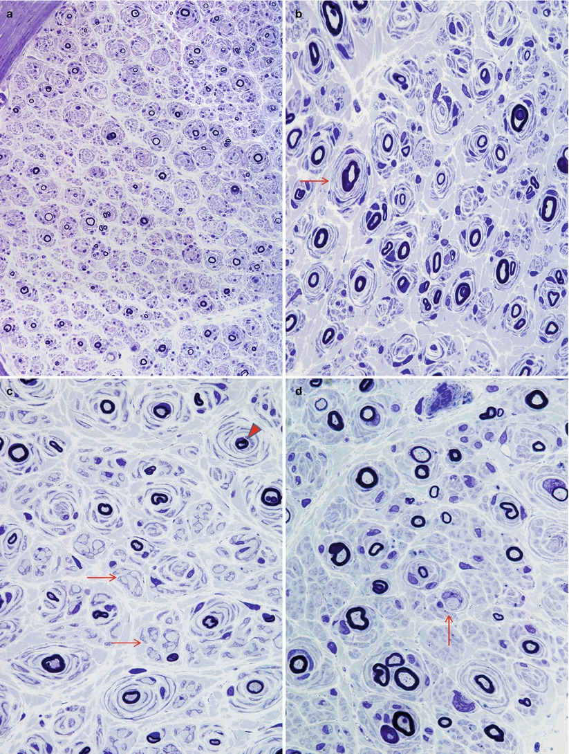
Onion Bulb Neuropathy . Onion bulb structures are a pathological hallmark of demyelinating neuropathies, but the nature of these formations is unknown. The pathophysiology of cidp is inflammatory demyelination that manifests as slowed conduction velocities, temporal.
from neuromuscular.wustl.edu
Onion bulb structures are a pathological hallmark of demyelinating neuropathies, but the nature of these formations is unknown. The pathophysiology of cidp is inflammatory demyelination that manifests as slowed conduction velocities, temporal.
LHN
Onion Bulb Neuropathy The pathophysiology of cidp is inflammatory demyelination that manifests as slowed conduction velocities, temporal. Onion bulb structures are a pathological hallmark of demyelinating neuropathies, but the nature of these formations is unknown. The pathophysiology of cidp is inflammatory demyelination that manifests as slowed conduction velocities, temporal.
From neuromuscular.wustl.edu
Chronic demyelination Onion Bulb Neuropathy The pathophysiology of cidp is inflammatory demyelination that manifests as slowed conduction velocities, temporal. Onion bulb structures are a pathological hallmark of demyelinating neuropathies, but the nature of these formations is unknown. Onion Bulb Neuropathy.
From neuromuscular.wustl.edu
Chronic demyelination Onion Bulb Neuropathy The pathophysiology of cidp is inflammatory demyelination that manifests as slowed conduction velocities, temporal. Onion bulb structures are a pathological hallmark of demyelinating neuropathies, but the nature of these formations is unknown. Onion Bulb Neuropathy.
From www.semanticscholar.org
Figure 3 from THE CANADIAN JOURNAL OF NEUROLOGICAL SCIENCES Neuropathy Onion Bulb Neuropathy Onion bulb structures are a pathological hallmark of demyelinating neuropathies, but the nature of these formations is unknown. The pathophysiology of cidp is inflammatory demyelination that manifests as slowed conduction velocities, temporal. Onion Bulb Neuropathy.
From neuromuscular.wustl.edu
LHN Onion Bulb Neuropathy Onion bulb structures are a pathological hallmark of demyelinating neuropathies, but the nature of these formations is unknown. The pathophysiology of cidp is inflammatory demyelination that manifests as slowed conduction velocities, temporal. Onion Bulb Neuropathy.
From neuromuscular.wustl.edu
Chronic demyelination Onion Bulb Neuropathy Onion bulb structures are a pathological hallmark of demyelinating neuropathies, but the nature of these formations is unknown. The pathophysiology of cidp is inflammatory demyelination that manifests as slowed conduction velocities, temporal. Onion Bulb Neuropathy.
From thejns.org
Isolated hypertrophic interstitial neuropathy of the trigeminal nerve Onion Bulb Neuropathy The pathophysiology of cidp is inflammatory demyelination that manifests as slowed conduction velocities, temporal. Onion bulb structures are a pathological hallmark of demyelinating neuropathies, but the nature of these formations is unknown. Onion Bulb Neuropathy.
From neuromuscular.wustl.edu
Chronic demyelination Onion Bulb Neuropathy The pathophysiology of cidp is inflammatory demyelination that manifests as slowed conduction velocities, temporal. Onion bulb structures are a pathological hallmark of demyelinating neuropathies, but the nature of these formations is unknown. Onion Bulb Neuropathy.
From handwiki.org
MedicineHereditary motor and sensory neuropathy HandWiki Onion Bulb Neuropathy The pathophysiology of cidp is inflammatory demyelination that manifests as slowed conduction velocities, temporal. Onion bulb structures are a pathological hallmark of demyelinating neuropathies, but the nature of these formations is unknown. Onion Bulb Neuropathy.
From neupsykey.com
Determined Neuropathies Neupsy Key Onion Bulb Neuropathy The pathophysiology of cidp is inflammatory demyelination that manifests as slowed conduction velocities, temporal. Onion bulb structures are a pathological hallmark of demyelinating neuropathies, but the nature of these formations is unknown. Onion Bulb Neuropathy.
From neuromuscular.wustl.edu
Chronic demyelination Onion Bulb Neuropathy Onion bulb structures are a pathological hallmark of demyelinating neuropathies, but the nature of these formations is unknown. The pathophysiology of cidp is inflammatory demyelination that manifests as slowed conduction velocities, temporal. Onion Bulb Neuropathy.
From www.bioline.org.br
+Bioline International Official Site (site updated regularly) Onion Bulb Neuropathy Onion bulb structures are a pathological hallmark of demyelinating neuropathies, but the nature of these formations is unknown. The pathophysiology of cidp is inflammatory demyelination that manifests as slowed conduction velocities, temporal. Onion Bulb Neuropathy.
From www.frontiersin.org
Frontiers Rouxiella badensis, a new bacterial pathogen of onion Onion Bulb Neuropathy The pathophysiology of cidp is inflammatory demyelination that manifests as slowed conduction velocities, temporal. Onion bulb structures are a pathological hallmark of demyelinating neuropathies, but the nature of these formations is unknown. Onion Bulb Neuropathy.
From www.slideserve.com
PPT NERVE PATHOLOGY PowerPoint Presentation, free download ID3539184 Onion Bulb Neuropathy The pathophysiology of cidp is inflammatory demyelination that manifests as slowed conduction velocities, temporal. Onion bulb structures are a pathological hallmark of demyelinating neuropathies, but the nature of these formations is unknown. Onion Bulb Neuropathy.
From www.brainanddevelopment.com
Phenomenon of Schwann cell apoptosis in a case of congenital Onion Bulb Neuropathy Onion bulb structures are a pathological hallmark of demyelinating neuropathies, but the nature of these formations is unknown. The pathophysiology of cidp is inflammatory demyelination that manifests as slowed conduction velocities, temporal. Onion Bulb Neuropathy.
From www.researchgate.net
Labeling of microfilaments in onion bulb scale epidermis cells Onion Bulb Neuropathy The pathophysiology of cidp is inflammatory demyelination that manifests as slowed conduction velocities, temporal. Onion bulb structures are a pathological hallmark of demyelinating neuropathies, but the nature of these formations is unknown. Onion Bulb Neuropathy.
From www.researchgate.net
Diffuse hypertrophic "onion bulb" formations in superficial peroneal Onion Bulb Neuropathy Onion bulb structures are a pathological hallmark of demyelinating neuropathies, but the nature of these formations is unknown. The pathophysiology of cidp is inflammatory demyelination that manifests as slowed conduction velocities, temporal. Onion Bulb Neuropathy.
From neupsykey.com
Neuropathy Associated with Endocrine and Metabolic Disease Neupsy Key Onion Bulb Neuropathy The pathophysiology of cidp is inflammatory demyelination that manifests as slowed conduction velocities, temporal. Onion bulb structures are a pathological hallmark of demyelinating neuropathies, but the nature of these formations is unknown. Onion Bulb Neuropathy.
From www.youtube.com
Onions for Nerve Healing in Neuropathy and Senior Health Doc Cherry Onion Bulb Neuropathy The pathophysiology of cidp is inflammatory demyelination that manifests as slowed conduction velocities, temporal. Onion bulb structures are a pathological hallmark of demyelinating neuropathies, but the nature of these formations is unknown. Onion Bulb Neuropathy.
From www.researchgate.net
The epidermises of onion scales. (A) Red onion bulb. B, Longitudinal Onion Bulb Neuropathy Onion bulb structures are a pathological hallmark of demyelinating neuropathies, but the nature of these formations is unknown. The pathophysiology of cidp is inflammatory demyelination that manifests as slowed conduction velocities, temporal. Onion Bulb Neuropathy.
From www.researchgate.net
a Schwann cell onion bulb (black arrow), abnormal processes of Onion Bulb Neuropathy The pathophysiology of cidp is inflammatory demyelination that manifests as slowed conduction velocities, temporal. Onion bulb structures are a pathological hallmark of demyelinating neuropathies, but the nature of these formations is unknown. Onion Bulb Neuropathy.
From www.researchgate.net
Schematic demonstration of the onion bulb phenomenon at the pons Onion Bulb Neuropathy Onion bulb structures are a pathological hallmark of demyelinating neuropathies, but the nature of these formations is unknown. The pathophysiology of cidp is inflammatory demyelination that manifests as slowed conduction velocities, temporal. Onion Bulb Neuropathy.
From journals.sagepub.com
Proliferative and Nonproliferative Lesions of the Rat and Mouse Central Onion Bulb Neuropathy The pathophysiology of cidp is inflammatory demyelination that manifests as slowed conduction velocities, temporal. Onion bulb structures are a pathological hallmark of demyelinating neuropathies, but the nature of these formations is unknown. Onion Bulb Neuropathy.
From www.brainanddevelopment.com
Phenomenon of Schwann cell apoptosis in a case of congenital Onion Bulb Neuropathy Onion bulb structures are a pathological hallmark of demyelinating neuropathies, but the nature of these formations is unknown. The pathophysiology of cidp is inflammatory demyelination that manifests as slowed conduction velocities, temporal. Onion Bulb Neuropathy.
From neuromuscular.wustl.edu
Chronic demyelination Onion Bulb Neuropathy Onion bulb structures are a pathological hallmark of demyelinating neuropathies, but the nature of these formations is unknown. The pathophysiology of cidp is inflammatory demyelination that manifests as slowed conduction velocities, temporal. Onion Bulb Neuropathy.
From www.columbia.edu
Hematopathology Onion Bulb Neuropathy The pathophysiology of cidp is inflammatory demyelination that manifests as slowed conduction velocities, temporal. Onion bulb structures are a pathological hallmark of demyelinating neuropathies, but the nature of these formations is unknown. Onion Bulb Neuropathy.
From www.semanticscholar.org
Table 1 from THE CANADIAN JOURNAL OF NEUROLOGICAL SCIENCES Neuropathy Onion Bulb Neuropathy The pathophysiology of cidp is inflammatory demyelination that manifests as slowed conduction velocities, temporal. Onion bulb structures are a pathological hallmark of demyelinating neuropathies, but the nature of these formations is unknown. Onion Bulb Neuropathy.
From www.medicaltalk.net
Onion bulb neuropathy Pathology the Best Onion Bulb Neuropathy The pathophysiology of cidp is inflammatory demyelination that manifests as slowed conduction velocities, temporal. Onion bulb structures are a pathological hallmark of demyelinating neuropathies, but the nature of these formations is unknown. Onion Bulb Neuropathy.
From neuromuscular.wustl.edu
Chronic demyelination Onion Bulb Neuropathy Onion bulb structures are a pathological hallmark of demyelinating neuropathies, but the nature of these formations is unknown. The pathophysiology of cidp is inflammatory demyelination that manifests as slowed conduction velocities, temporal. Onion Bulb Neuropathy.
From www.academia.edu
(PDF) The Evolution of ‘Onion Bulbs’ in the Hereditary Hypertrophic Onion Bulb Neuropathy Onion bulb structures are a pathological hallmark of demyelinating neuropathies, but the nature of these formations is unknown. The pathophysiology of cidp is inflammatory demyelination that manifests as slowed conduction velocities, temporal. Onion Bulb Neuropathy.
From ifunny.co
What Are These Ads? GB Onion Ends Sponsored Neuropathy Tingling It Onion Bulb Neuropathy Onion bulb structures are a pathological hallmark of demyelinating neuropathies, but the nature of these formations is unknown. The pathophysiology of cidp is inflammatory demyelination that manifests as slowed conduction velocities, temporal. Onion Bulb Neuropathy.
From www.alamy.com
Onion bulb sectioned to show early signs of bacterial soft rot Erwinia Onion Bulb Neuropathy The pathophysiology of cidp is inflammatory demyelination that manifests as slowed conduction velocities, temporal. Onion bulb structures are a pathological hallmark of demyelinating neuropathies, but the nature of these formations is unknown. Onion Bulb Neuropathy.
From www.nature.com
NRG1 type I dependent autoparacrine stimulation of Schwann cells in Onion Bulb Neuropathy Onion bulb structures are a pathological hallmark of demyelinating neuropathies, but the nature of these formations is unknown. The pathophysiology of cidp is inflammatory demyelination that manifests as slowed conduction velocities, temporal. Onion Bulb Neuropathy.
From www.nowyouknowneuro.com
Queston 20257Note NowYouKnow Neuro Onion Bulb Neuropathy The pathophysiology of cidp is inflammatory demyelination that manifests as slowed conduction velocities, temporal. Onion bulb structures are a pathological hallmark of demyelinating neuropathies, but the nature of these formations is unknown. Onion Bulb Neuropathy.
From www.semanticscholar.org
Table 1 from THE CANADIAN JOURNAL OF NEUROLOGICAL SCIENCES Neuropathy Onion Bulb Neuropathy The pathophysiology of cidp is inflammatory demyelination that manifests as slowed conduction velocities, temporal. Onion bulb structures are a pathological hallmark of demyelinating neuropathies, but the nature of these formations is unknown. Onion Bulb Neuropathy.
From neupsykey.com
Determined Neuropathies Neupsy Key Onion Bulb Neuropathy The pathophysiology of cidp is inflammatory demyelination that manifests as slowed conduction velocities, temporal. Onion bulb structures are a pathological hallmark of demyelinating neuropathies, but the nature of these formations is unknown. Onion Bulb Neuropathy.