Gum Graft Healing Images . Here's what you can expect during and. Wondering about gum graft recovery timeline? Gum grafting covers exposed teeth roots and adds volume to your gum line, improving overall oral health. To repair the damage and prevent further dental problems, a gum tissue graft may be needed. How can you prevent gum. Explore our extensive gum grafting before and after gallery, showcasing procedures by our acclaimed periodontists. Achieve a healthy, natural smile. View 20 before and after gum graft photos, submitted by real doctors, to get an idea of the results patients have seen.
from www.downtowndentistry.com
Wondering about gum graft recovery timeline? Gum grafting covers exposed teeth roots and adds volume to your gum line, improving overall oral health. How can you prevent gum. Here's what you can expect during and. To repair the damage and prevent further dental problems, a gum tissue graft may be needed. Explore our extensive gum grafting before and after gallery, showcasing procedures by our acclaimed periodontists. Achieve a healthy, natural smile. View 20 before and after gum graft photos, submitted by real doctors, to get an idea of the results patients have seen.
Gum Graft Surgery Recovery Tips Dental Clinic Toronto, ON
Gum Graft Healing Images To repair the damage and prevent further dental problems, a gum tissue graft may be needed. How can you prevent gum. Achieve a healthy, natural smile. To repair the damage and prevent further dental problems, a gum tissue graft may be needed. View 20 before and after gum graft photos, submitted by real doctors, to get an idea of the results patients have seen. Here's what you can expect during and. Wondering about gum graft recovery timeline? Gum grafting covers exposed teeth roots and adds volume to your gum line, improving overall oral health. Explore our extensive gum grafting before and after gallery, showcasing procedures by our acclaimed periodontists.
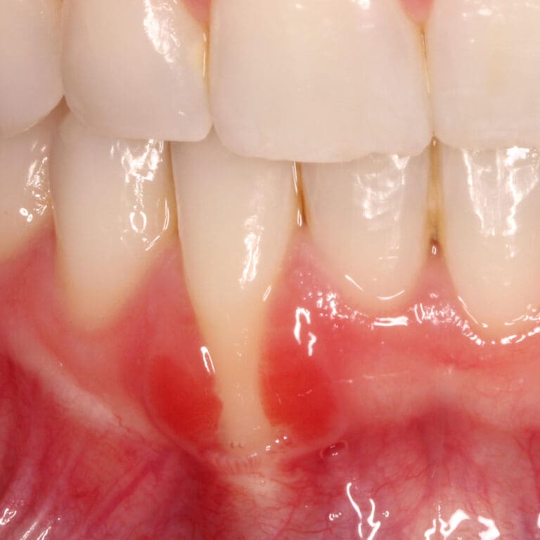
From www.coastalperio.net
Gingival (Gum) Grafting Coastal Periodontics & Implant Dentistry Gum Graft Healing Images Here's what you can expect during and. Explore our extensive gum grafting before and after gallery, showcasing procedures by our acclaimed periodontists. To repair the damage and prevent further dental problems, a gum tissue graft may be needed. Achieve a healthy, natural smile. How can you prevent gum. Gum grafting covers exposed teeth roots and adds volume to your gum. Gum Graft Healing Images.
From www.huntingtonbeachperiodontics.com
Gum Grafting Huntington Beach Cosmetic Periodontics Dr. Braga Gum Graft Healing Images Explore our extensive gum grafting before and after gallery, showcasing procedures by our acclaimed periodontists. How can you prevent gum. Gum grafting covers exposed teeth roots and adds volume to your gum line, improving overall oral health. Wondering about gum graft recovery timeline? Here's what you can expect during and. To repair the damage and prevent further dental problems, a. Gum Graft Healing Images.
From www.tooth-life.com
The different healing stages of a gum graft (Day by Day Pictures) Gum Graft Healing Images View 20 before and after gum graft photos, submitted by real doctors, to get an idea of the results patients have seen. Gum grafting covers exposed teeth roots and adds volume to your gum line, improving overall oral health. Explore our extensive gum grafting before and after gallery, showcasing procedures by our acclaimed periodontists. How can you prevent gum. To. Gum Graft Healing Images.
From www.mathemedics.com
5 Ways To Improve Gum Graft Healing Stages MatheMEDics Gum Graft Healing Images Wondering about gum graft recovery timeline? View 20 before and after gum graft photos, submitted by real doctors, to get an idea of the results patients have seen. Explore our extensive gum grafting before and after gallery, showcasing procedures by our acclaimed periodontists. Gum grafting covers exposed teeth roots and adds volume to your gum line, improving overall oral health.. Gum Graft Healing Images.
From familydentistottawa.com
Gum Grafts Ottawa Periodontal Surgery for Receding Gums Gum Graft Healing Images Wondering about gum graft recovery timeline? View 20 before and after gum graft photos, submitted by real doctors, to get an idea of the results patients have seen. To repair the damage and prevent further dental problems, a gum tissue graft may be needed. Here's what you can expect during and. Achieve a healthy, natural smile. Explore our extensive gum. Gum Graft Healing Images.
From www.downtowndentistry.com
Gum Graft Surgery Recovery Tips Dental Clinic Toronto, ON Gum Graft Healing Images Gum grafting covers exposed teeth roots and adds volume to your gum line, improving overall oral health. View 20 before and after gum graft photos, submitted by real doctors, to get an idea of the results patients have seen. How can you prevent gum. Here's what you can expect during and. To repair the damage and prevent further dental problems,. Gum Graft Healing Images.
From www.huntingtonbeachperiodontics.com
Gum Grafting Huntington Beach Cosmetic Periodontics Dr. Braga Gum Graft Healing Images Gum grafting covers exposed teeth roots and adds volume to your gum line, improving overall oral health. To repair the damage and prevent further dental problems, a gum tissue graft may be needed. Here's what you can expect during and. How can you prevent gum. Achieve a healthy, natural smile. Wondering about gum graft recovery timeline? View 20 before and. Gum Graft Healing Images.
From decisionsindentistry.com
Healing Progression of the Free Gingival Graft Decisions in Dentistry Gum Graft Healing Images Explore our extensive gum grafting before and after gallery, showcasing procedures by our acclaimed periodontists. Wondering about gum graft recovery timeline? Achieve a healthy, natural smile. To repair the damage and prevent further dental problems, a gum tissue graft may be needed. Gum grafting covers exposed teeth roots and adds volume to your gum line, improving overall oral health. Here's. Gum Graft Healing Images.
From www.3stepsmiles.com
Gum Tissue Graft Surgery procedure, causes, techniques and more Gum Graft Healing Images View 20 before and after gum graft photos, submitted by real doctors, to get an idea of the results patients have seen. To repair the damage and prevent further dental problems, a gum tissue graft may be needed. Here's what you can expect during and. Achieve a healthy, natural smile. Gum grafting covers exposed teeth roots and adds volume to. Gum Graft Healing Images.
From www.blackfaldsdentistry.ca
Gum Graft Healing Stages Gum Graft Healing Images Achieve a healthy, natural smile. View 20 before and after gum graft photos, submitted by real doctors, to get an idea of the results patients have seen. Wondering about gum graft recovery timeline? Gum grafting covers exposed teeth roots and adds volume to your gum line, improving overall oral health. Here's what you can expect during and. To repair the. Gum Graft Healing Images.
From inhighlandsranchperio.com
Gum graft healing stages Highlands Ranch Periodontics Gum Graft Healing Images Wondering about gum graft recovery timeline? To repair the damage and prevent further dental problems, a gum tissue graft may be needed. Explore our extensive gum grafting before and after gallery, showcasing procedures by our acclaimed periodontists. Gum grafting covers exposed teeth roots and adds volume to your gum line, improving overall oral health. Here's what you can expect during. Gum Graft Healing Images.
From inhighlandsranchperio.com
Gum graft healing stages Highlands Ranch Periodontics Gum Graft Healing Images Gum grafting covers exposed teeth roots and adds volume to your gum line, improving overall oral health. Explore our extensive gum grafting before and after gallery, showcasing procedures by our acclaimed periodontists. To repair the damage and prevent further dental problems, a gum tissue graft may be needed. How can you prevent gum. Wondering about gum graft recovery timeline? Achieve. Gum Graft Healing Images.
From www.tooth-life.com
The different healing stages of a gum graft (Day by Day Pictures) Gum Graft Healing Images Gum grafting covers exposed teeth roots and adds volume to your gum line, improving overall oral health. Explore our extensive gum grafting before and after gallery, showcasing procedures by our acclaimed periodontists. To repair the damage and prevent further dental problems, a gum tissue graft may be needed. Here's what you can expect during and. View 20 before and after. Gum Graft Healing Images.
From gumgrafy.blogspot.com
Gum Graft Diary and Survival Tips Gum graft diary Day 6 postop Gum Graft Healing Images Gum grafting covers exposed teeth roots and adds volume to your gum line, improving overall oral health. Explore our extensive gum grafting before and after gallery, showcasing procedures by our acclaimed periodontists. View 20 before and after gum graft photos, submitted by real doctors, to get an idea of the results patients have seen. To repair the damage and prevent. Gum Graft Healing Images.
From decisionsindentistry.com
Healing Progression of the Free Gingival Graft Decisions in Dentistry Gum Graft Healing Images Achieve a healthy, natural smile. Wondering about gum graft recovery timeline? To repair the damage and prevent further dental problems, a gum tissue graft may be needed. Here's what you can expect during and. View 20 before and after gum graft photos, submitted by real doctors, to get an idea of the results patients have seen. How can you prevent. Gum Graft Healing Images.
From www.huntingtonbeachperiodontics.com
Gum Grafting Huntington Beach Cosmetic Periodontics Dr. Braga Gum Graft Healing Images Wondering about gum graft recovery timeline? Explore our extensive gum grafting before and after gallery, showcasing procedures by our acclaimed periodontists. Achieve a healthy, natural smile. How can you prevent gum. Here's what you can expect during and. To repair the damage and prevent further dental problems, a gum tissue graft may be needed. Gum grafting covers exposed teeth roots. Gum Graft Healing Images.
From ksa-conference.org
Gum Graft Recovery Time Gum Graft Healing Images Here's what you can expect during and. View 20 before and after gum graft photos, submitted by real doctors, to get an idea of the results patients have seen. Gum grafting covers exposed teeth roots and adds volume to your gum line, improving overall oral health. Achieve a healthy, natural smile. How can you prevent gum. Wondering about gum graft. Gum Graft Healing Images.
From www.huntingtonbeachperiodontics.com
Gum Grafting Huntington Beach Cosmetic Periodontics Dr. Braga Gum Graft Healing Images Wondering about gum graft recovery timeline? Explore our extensive gum grafting before and after gallery, showcasing procedures by our acclaimed periodontists. Achieve a healthy, natural smile. To repair the damage and prevent further dental problems, a gum tissue graft may be needed. Gum grafting covers exposed teeth roots and adds volume to your gum line, improving overall oral health. View. Gum Graft Healing Images.
From www.smilesbyhanna.com
Gum Graft Surgery in Gilbert, AZ Expert Gum Graft Surgeon Gum Graft Healing Images Gum grafting covers exposed teeth roots and adds volume to your gum line, improving overall oral health. View 20 before and after gum graft photos, submitted by real doctors, to get an idea of the results patients have seen. Here's what you can expect during and. To repair the damage and prevent further dental problems, a gum tissue graft may. Gum Graft Healing Images.
From www.resslerdental.com
Fix receding gums graft repair Boynton Beach Gum Specialist Gum Graft Healing Images How can you prevent gum. Here's what you can expect during and. Wondering about gum graft recovery timeline? View 20 before and after gum graft photos, submitted by real doctors, to get an idea of the results patients have seen. To repair the damage and prevent further dental problems, a gum tissue graft may be needed. Achieve a healthy, natural. Gum Graft Healing Images.
From www.atlasdental.ca
Gum Graft Atlas Dental Toronto Gum Graft Healing Images Achieve a healthy, natural smile. Here's what you can expect during and. How can you prevent gum. View 20 before and after gum graft photos, submitted by real doctors, to get an idea of the results patients have seen. Wondering about gum graft recovery timeline? Explore our extensive gum grafting before and after gallery, showcasing procedures by our acclaimed periodontists.. Gum Graft Healing Images.
From knalos.com
Gum Graft Surgery Techniques, Pros & Cons, and Recovery (2023) Gum Graft Healing Images View 20 before and after gum graft photos, submitted by real doctors, to get an idea of the results patients have seen. Explore our extensive gum grafting before and after gallery, showcasing procedures by our acclaimed periodontists. To repair the damage and prevent further dental problems, a gum tissue graft may be needed. Wondering about gum graft recovery timeline? Here's. Gum Graft Healing Images.
From decisionsindentistry.com
Healing Progression of the Free Gingival Graft Decisions in Dentistry Gum Graft Healing Images Explore our extensive gum grafting before and after gallery, showcasing procedures by our acclaimed periodontists. Wondering about gum graft recovery timeline? To repair the damage and prevent further dental problems, a gum tissue graft may be needed. Achieve a healthy, natural smile. Gum grafting covers exposed teeth roots and adds volume to your gum line, improving overall oral health. How. Gum Graft Healing Images.
From beforeandafter.netlify.app
Before And After Gum Graft Healing Stages Gum Graft Healing Images Here's what you can expect during and. Explore our extensive gum grafting before and after gallery, showcasing procedures by our acclaimed periodontists. View 20 before and after gum graft photos, submitted by real doctors, to get an idea of the results patients have seen. Achieve a healthy, natural smile. To repair the damage and prevent further dental problems, a gum. Gum Graft Healing Images.
From plantationsmiles.com
Gum Graft Surgery Cost, Procedure & 9 Best Recovery Tips! Gum Graft Healing Images How can you prevent gum. View 20 before and after gum graft photos, submitted by real doctors, to get an idea of the results patients have seen. Achieve a healthy, natural smile. Explore our extensive gum grafting before and after gallery, showcasing procedures by our acclaimed periodontists. To repair the damage and prevent further dental problems, a gum tissue graft. Gum Graft Healing Images.
From www.downtowndentistry.com
What Are The Gum Graft Procedure Healing Stages Downtown Dentistry Gum Graft Healing Images To repair the damage and prevent further dental problems, a gum tissue graft may be needed. How can you prevent gum. Here's what you can expect during and. Gum grafting covers exposed teeth roots and adds volume to your gum line, improving overall oral health. Achieve a healthy, natural smile. Wondering about gum graft recovery timeline? View 20 before and. Gum Graft Healing Images.
From www.tooth-life.com
The different healing stages of a gum graft (Day by Day Pictures) Gum Graft Healing Images To repair the damage and prevent further dental problems, a gum tissue graft may be needed. Achieve a healthy, natural smile. Explore our extensive gum grafting before and after gallery, showcasing procedures by our acclaimed periodontists. Gum grafting covers exposed teeth roots and adds volume to your gum line, improving overall oral health. How can you prevent gum. Here's what. Gum Graft Healing Images.
From educatorpages.com
What Are the Benefits of Gum Grafting? Gum Graft Healing Images How can you prevent gum. To repair the damage and prevent further dental problems, a gum tissue graft may be needed. Explore our extensive gum grafting before and after gallery, showcasing procedures by our acclaimed periodontists. Achieve a healthy, natural smile. Wondering about gum graft recovery timeline? View 20 before and after gum graft photos, submitted by real doctors, to. Gum Graft Healing Images.
From www.youtube.com
Gum graft Coronally advanced flap Receding gums treatment © YouTube Gum Graft Healing Images Wondering about gum graft recovery timeline? How can you prevent gum. Gum grafting covers exposed teeth roots and adds volume to your gum line, improving overall oral health. To repair the damage and prevent further dental problems, a gum tissue graft may be needed. Achieve a healthy, natural smile. View 20 before and after gum graft photos, submitted by real. Gum Graft Healing Images.
From decisionsindentistry.com
Healing Progression of the Free Gingival Graft Decisions in Dentistry Gum Graft Healing Images Here's what you can expect during and. Explore our extensive gum grafting before and after gallery, showcasing procedures by our acclaimed periodontists. Gum grafting covers exposed teeth roots and adds volume to your gum line, improving overall oral health. To repair the damage and prevent further dental problems, a gum tissue graft may be needed. Achieve a healthy, natural smile.. Gum Graft Healing Images.
From sandiegoinvisaligndentist.org
Gum Graft Healing Stages Dental News Network Gum Graft Healing Images Here's what you can expect during and. Wondering about gum graft recovery timeline? Achieve a healthy, natural smile. Gum grafting covers exposed teeth roots and adds volume to your gum line, improving overall oral health. How can you prevent gum. To repair the damage and prevent further dental problems, a gum tissue graft may be needed. Explore our extensive gum. Gum Graft Healing Images.
From www.tooth-life.com
The different healing stages of a gum graft (Day by Day Pictures) Gum Graft Healing Images Wondering about gum graft recovery timeline? View 20 before and after gum graft photos, submitted by real doctors, to get an idea of the results patients have seen. Explore our extensive gum grafting before and after gallery, showcasing procedures by our acclaimed periodontists. To repair the damage and prevent further dental problems, a gum tissue graft may be needed. Here's. Gum Graft Healing Images.
From beforeandafter.netlify.app
Gum Graft Surgery Before And After Pictures Gum Graft Healing Images Achieve a healthy, natural smile. View 20 before and after gum graft photos, submitted by real doctors, to get an idea of the results patients have seen. How can you prevent gum. Gum grafting covers exposed teeth roots and adds volume to your gum line, improving overall oral health. Explore our extensive gum grafting before and after gallery, showcasing procedures. Gum Graft Healing Images.
From www.youtube.com
Final Healing Examination After Gum Graft Procedure 👍🏻 YouTube Gum Graft Healing Images Wondering about gum graft recovery timeline? How can you prevent gum. Explore our extensive gum grafting before and after gallery, showcasing procedures by our acclaimed periodontists. View 20 before and after gum graft photos, submitted by real doctors, to get an idea of the results patients have seen. To repair the damage and prevent further dental problems, a gum tissue. Gum Graft Healing Images.
From www.youtube.com
Alloderm Gingival Grafting of 22 Facial, Healing Progression YouTube Gum Graft Healing Images Here's what you can expect during and. Gum grafting covers exposed teeth roots and adds volume to your gum line, improving overall oral health. Wondering about gum graft recovery timeline? Explore our extensive gum grafting before and after gallery, showcasing procedures by our acclaimed periodontists. Achieve a healthy, natural smile. To repair the damage and prevent further dental problems, a. Gum Graft Healing Images.