What Are The Symptoms Of Constipation In A Cat . constipation in cats can result from obstructions within the digestive system, presenting a painful and serious issue. Cats may have one or more of these signs: constipation in cats can be either mild with few noticeable symptoms to chronic, which typically comes with. constipation, defined as infrequent or difficult emission of hard, dry fecal matter, is a common problem of the domestic cat. And some signs are more obvious than others. in some cases, there is no obvious cause identified. there are a number of signs you can watch for if you think your cat is constipation. Constipation is a common symptom associated with idiopathic. what are the symptoms of constipation in cats? cat constipation is a condition where cats struggle to pass stool, leading to discomfort and potential health issues. If a cat shows signs of.
from healthypets.mercola.com
cat constipation is a condition where cats struggle to pass stool, leading to discomfort and potential health issues. in some cases, there is no obvious cause identified. Cats may have one or more of these signs: Constipation is a common symptom associated with idiopathic. If a cat shows signs of. And some signs are more obvious than others. there are a number of signs you can watch for if you think your cat is constipation. constipation, defined as infrequent or difficult emission of hard, dry fecal matter, is a common problem of the domestic cat. constipation in cats can be either mild with few noticeable symptoms to chronic, which typically comes with. constipation in cats can result from obstructions within the digestive system, presenting a painful and serious issue.
How to Know if Your Cat Has Constipation and How to Treat It
What Are The Symptoms Of Constipation In A Cat cat constipation is a condition where cats struggle to pass stool, leading to discomfort and potential health issues. constipation in cats can result from obstructions within the digestive system, presenting a painful and serious issue. what are the symptoms of constipation in cats? cat constipation is a condition where cats struggle to pass stool, leading to discomfort and potential health issues. And some signs are more obvious than others. If a cat shows signs of. constipation, defined as infrequent or difficult emission of hard, dry fecal matter, is a common problem of the domestic cat. Cats may have one or more of these signs: Constipation is a common symptom associated with idiopathic. there are a number of signs you can watch for if you think your cat is constipation. in some cases, there is no obvious cause identified. constipation in cats can be either mild with few noticeable symptoms to chronic, which typically comes with.
From www.allivet.com
How to Identify and Treat Constipation in Cats Allivet Pet Care Blog What Are The Symptoms Of Constipation In A Cat Constipation is a common symptom associated with idiopathic. what are the symptoms of constipation in cats? And some signs are more obvious than others. Cats may have one or more of these signs: cat constipation is a condition where cats struggle to pass stool, leading to discomfort and potential health issues. constipation in cats can result from. What Are The Symptoms Of Constipation In A Cat.
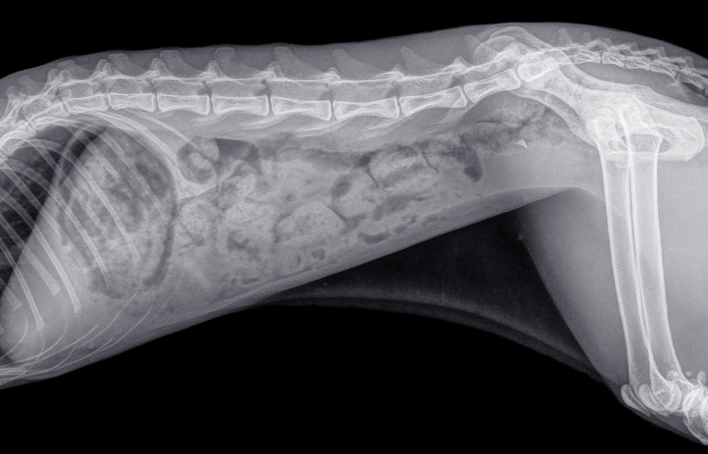
From www.catological.com
Treating Cat Constipation Symptoms and Laxatives vs. Stool Softeners What Are The Symptoms Of Constipation In A Cat constipation in cats can result from obstructions within the digestive system, presenting a painful and serious issue. If a cat shows signs of. And some signs are more obvious than others. constipation in cats can be either mild with few noticeable symptoms to chronic, which typically comes with. Constipation is a common symptom associated with idiopathic. what. What Are The Symptoms Of Constipation In A Cat.
From www.thesprucepets.com
Kitten Constipation Causes, Symptoms, and Treatment What Are The Symptoms Of Constipation In A Cat there are a number of signs you can watch for if you think your cat is constipation. constipation, defined as infrequent or difficult emission of hard, dry fecal matter, is a common problem of the domestic cat. what are the symptoms of constipation in cats? If a cat shows signs of. cat constipation is a condition. What Are The Symptoms Of Constipation In A Cat.
From www.petcoach.co
Constipation in Cats Signs, Symptoms, and Treatment PetCoach What Are The Symptoms Of Constipation In A Cat there are a number of signs you can watch for if you think your cat is constipation. constipation in cats can result from obstructions within the digestive system, presenting a painful and serious issue. Constipation is a common symptom associated with idiopathic. cat constipation is a condition where cats struggle to pass stool, leading to discomfort and. What Are The Symptoms Of Constipation In A Cat.
From petrefine.com
What Are Cat Constipation Remedies? PetRefine What Are The Symptoms Of Constipation In A Cat in some cases, there is no obvious cause identified. cat constipation is a condition where cats struggle to pass stool, leading to discomfort and potential health issues. Cats may have one or more of these signs: there are a number of signs you can watch for if you think your cat is constipation. If a cat shows. What Are The Symptoms Of Constipation In A Cat.
From www.petmd.com
Cat Constipation Symptoms, Causes, Treatment, and FAQs PetMD What Are The Symptoms Of Constipation In A Cat constipation in cats can be either mild with few noticeable symptoms to chronic, which typically comes with. there are a number of signs you can watch for if you think your cat is constipation. cat constipation is a condition where cats struggle to pass stool, leading to discomfort and potential health issues. Constipation is a common symptom. What Are The Symptoms Of Constipation In A Cat.
From iloveveterinary.com
How To Help A Cat With Constipation? I Love Veterinary What Are The Symptoms Of Constipation In A Cat in some cases, there is no obvious cause identified. cat constipation is a condition where cats struggle to pass stool, leading to discomfort and potential health issues. Constipation is a common symptom associated with idiopathic. If a cat shows signs of. constipation in cats can be either mild with few noticeable symptoms to chronic, which typically comes. What Are The Symptoms Of Constipation In A Cat.
From www.argylevet.com
Constipation in Cats Causes, Symptoms & Treatment Argyle Vets What Are The Symptoms Of Constipation In A Cat constipation in cats can be either mild with few noticeable symptoms to chronic, which typically comes with. Cats may have one or more of these signs: constipation, defined as infrequent or difficult emission of hard, dry fecal matter, is a common problem of the domestic cat. in some cases, there is no obvious cause identified. constipation. What Are The Symptoms Of Constipation In A Cat.
From thecatsite.com
Everything You Need To Know About Constipation In Cats TheCatSite What Are The Symptoms Of Constipation In A Cat constipation in cats can result from obstructions within the digestive system, presenting a painful and serious issue. Constipation is a common symptom associated with idiopathic. cat constipation is a condition where cats struggle to pass stool, leading to discomfort and potential health issues. constipation, defined as infrequent or difficult emission of hard, dry fecal matter, is a. What Are The Symptoms Of Constipation In A Cat.
From www.mohawkalleyanimalhospital.com
Constipation in Cats Symptoms & Help Los Angeles Vets What Are The Symptoms Of Constipation In A Cat constipation, defined as infrequent or difficult emission of hard, dry fecal matter, is a common problem of the domestic cat. If a cat shows signs of. cat constipation is a condition where cats struggle to pass stool, leading to discomfort and potential health issues. And some signs are more obvious than others. constipation in cats can be. What Are The Symptoms Of Constipation In A Cat.
From www.aptos-creeksidepets.com
Constipation in Cats AptosCreekside Pet Hospital What Are The Symptoms Of Constipation In A Cat constipation in cats can result from obstructions within the digestive system, presenting a painful and serious issue. in some cases, there is no obvious cause identified. cat constipation is a condition where cats struggle to pass stool, leading to discomfort and potential health issues. constipation, defined as infrequent or difficult emission of hard, dry fecal matter,. What Are The Symptoms Of Constipation In A Cat.
From petshun.com
Signs Of Constipation In Cats How To Know If Your Kitty Is Backed Up What Are The Symptoms Of Constipation In A Cat And some signs are more obvious than others. constipation in cats can be either mild with few noticeable symptoms to chronic, which typically comes with. what are the symptoms of constipation in cats? there are a number of signs you can watch for if you think your cat is constipation. in some cases, there is no. What Are The Symptoms Of Constipation In A Cat.
From thegracecat.com
Cat Constipation Symptoms, Causes, Treatment, and Recovery What Are The Symptoms Of Constipation In A Cat there are a number of signs you can watch for if you think your cat is constipation. in some cases, there is no obvious cause identified. what are the symptoms of constipation in cats? Constipation is a common symptom associated with idiopathic. And some signs are more obvious than others. cat constipation is a condition where. What Are The Symptoms Of Constipation In A Cat.
From www.wikihow.pet
How to Tell if Your Cat Is Constipated 8 Steps (with Pictures) What Are The Symptoms Of Constipation In A Cat Cats may have one or more of these signs: cat constipation is a condition where cats struggle to pass stool, leading to discomfort and potential health issues. in some cases, there is no obvious cause identified. And some signs are more obvious than others. Constipation is a common symptom associated with idiopathic. constipation in cats can be. What Are The Symptoms Of Constipation In A Cat.
From www.thehappycatsite.com
Cat Constipation Causes, Risk Factors, And Remedies What Are The Symptoms Of Constipation In A Cat constipation in cats can be either mild with few noticeable symptoms to chronic, which typically comes with. constipation, defined as infrequent or difficult emission of hard, dry fecal matter, is a common problem of the domestic cat. there are a number of signs you can watch for if you think your cat is constipation. constipation in. What Are The Symptoms Of Constipation In A Cat.
From exowqdmyi.blob.core.windows.net
How To Help A Cat Who's Constipated at Rickie Wilson blog What Are The Symptoms Of Constipation In A Cat Cats may have one or more of these signs: cat constipation is a condition where cats struggle to pass stool, leading to discomfort and potential health issues. what are the symptoms of constipation in cats? constipation, defined as infrequent or difficult emission of hard, dry fecal matter, is a common problem of the domestic cat. constipation. What Are The Symptoms Of Constipation In A Cat.
From www.pinterest.com
Constipation presents symptoms that are similar to those of urinary What Are The Symptoms Of Constipation In A Cat what are the symptoms of constipation in cats? constipation, defined as infrequent or difficult emission of hard, dry fecal matter, is a common problem of the domestic cat. there are a number of signs you can watch for if you think your cat is constipation. And some signs are more obvious than others. If a cat shows. What Are The Symptoms Of Constipation In A Cat.
From thepets.net
Constipation in Cats Signs, Home Remedies and Prevention What Are The Symptoms Of Constipation In A Cat And some signs are more obvious than others. constipation in cats can result from obstructions within the digestive system, presenting a painful and serious issue. Constipation is a common symptom associated with idiopathic. If a cat shows signs of. Cats may have one or more of these signs: constipation in cats can be either mild with few noticeable. What Are The Symptoms Of Constipation In A Cat.
From boldbynature.com
What to Know About Cat Constipation Cat Constipation Symptoms & More What Are The Symptoms Of Constipation In A Cat constipation in cats can result from obstructions within the digestive system, presenting a painful and serious issue. in some cases, there is no obvious cause identified. Constipation is a common symptom associated with idiopathic. If a cat shows signs of. constipation, defined as infrequent or difficult emission of hard, dry fecal matter, is a common problem of. What Are The Symptoms Of Constipation In A Cat.
From kittencoalition.org
Understanding the Causes and Treatment for Constipation in Kittens What Are The Symptoms Of Constipation In A Cat in some cases, there is no obvious cause identified. constipation in cats can result from obstructions within the digestive system, presenting a painful and serious issue. there are a number of signs you can watch for if you think your cat is constipation. what are the symptoms of constipation in cats? constipation in cats can. What Are The Symptoms Of Constipation In A Cat.
From aectulsa.com
Tips for Recognizing the Signs and Symptoms of Cat Constipation What Are The Symptoms Of Constipation In A Cat there are a number of signs you can watch for if you think your cat is constipation. constipation in cats can result from obstructions within the digestive system, presenting a painful and serious issue. constipation in cats can be either mild with few noticeable symptoms to chronic, which typically comes with. Constipation is a common symptom associated. What Are The Symptoms Of Constipation In A Cat.
From myfelinebuddy.com
Cat Constipation Symptoms, Causes, and Remedies What Are The Symptoms Of Constipation In A Cat what are the symptoms of constipation in cats? constipation, defined as infrequent or difficult emission of hard, dry fecal matter, is a common problem of the domestic cat. constipation in cats can be either mild with few noticeable symptoms to chronic, which typically comes with. there are a number of signs you can watch for if. What Are The Symptoms Of Constipation In A Cat.
From kittencoalition.org
Understanding the Causes and Treatment for Constipation in Kittens What Are The Symptoms Of Constipation In A Cat And some signs are more obvious than others. there are a number of signs you can watch for if you think your cat is constipation. If a cat shows signs of. what are the symptoms of constipation in cats? cat constipation is a condition where cats struggle to pass stool, leading to discomfort and potential health issues.. What Are The Symptoms Of Constipation In A Cat.
From www.wildernesscat.com
Cat Constipation Treatment Home Remedies and When to See the Vet What Are The Symptoms Of Constipation In A Cat constipation in cats can result from obstructions within the digestive system, presenting a painful and serious issue. in some cases, there is no obvious cause identified. there are a number of signs you can watch for if you think your cat is constipation. If a cat shows signs of. Cats may have one or more of these. What Are The Symptoms Of Constipation In A Cat.
From www.grah.ca
Learn More About Cat Constipation Governors Road Animal Hospital What Are The Symptoms Of Constipation In A Cat in some cases, there is no obvious cause identified. Cats may have one or more of these signs: Constipation is a common symptom associated with idiopathic. If a cat shows signs of. what are the symptoms of constipation in cats? constipation in cats can be either mild with few noticeable symptoms to chronic, which typically comes with.. What Are The Symptoms Of Constipation In A Cat.
From www.rover.com
Signs Your Cat Is Constipated & What You Can Do About It What Are The Symptoms Of Constipation In A Cat in some cases, there is no obvious cause identified. what are the symptoms of constipation in cats? constipation, defined as infrequent or difficult emission of hard, dry fecal matter, is a common problem of the domestic cat. And some signs are more obvious than others. there are a number of signs you can watch for if. What Are The Symptoms Of Constipation In A Cat.
From mybritishshorthair.com
Help Your Constipated Cat Poop With Ease How To Make A Cat Poop When What Are The Symptoms Of Constipation In A Cat And some signs are more obvious than others. Cats may have one or more of these signs: there are a number of signs you can watch for if you think your cat is constipation. constipation in cats can result from obstructions within the digestive system, presenting a painful and serious issue. Constipation is a common symptom associated with. What Are The Symptoms Of Constipation In A Cat.
From healthypets.mercola.com
How to Know if Your Cat Has Constipation and How to Treat It What Are The Symptoms Of Constipation In A Cat cat constipation is a condition where cats struggle to pass stool, leading to discomfort and potential health issues. what are the symptoms of constipation in cats? Constipation is a common symptom associated with idiopathic. Cats may have one or more of these signs: there are a number of signs you can watch for if you think your. What Are The Symptoms Of Constipation In A Cat.
From thepetstaff.com
Constipation In Cats Causes, Symptoms, Treatment, And More The Pet Staff What Are The Symptoms Of Constipation In A Cat constipation in cats can be either mild with few noticeable symptoms to chronic, which typically comes with. If a cat shows signs of. Constipation is a common symptom associated with idiopathic. And some signs are more obvious than others. what are the symptoms of constipation in cats? constipation in cats can result from obstructions within the digestive. What Are The Symptoms Of Constipation In A Cat.
From catsbh.blogspot.com
How To Constipated Cat catsbh What Are The Symptoms Of Constipation In A Cat there are a number of signs you can watch for if you think your cat is constipation. what are the symptoms of constipation in cats? Cats may have one or more of these signs: And some signs are more obvious than others. constipation, defined as infrequent or difficult emission of hard, dry fecal matter, is a common. What Are The Symptoms Of Constipation In A Cat.
From iloveveterinary.com
How To Help A Cat With Constipation? I Love Veterinary What Are The Symptoms Of Constipation In A Cat there are a number of signs you can watch for if you think your cat is constipation. constipation in cats can be either mild with few noticeable symptoms to chronic, which typically comes with. And some signs are more obvious than others. what are the symptoms of constipation in cats? Cats may have one or more of. What Are The Symptoms Of Constipation In A Cat.
From www.ihomepet.com
Home Remedies for Cat ConstipationTreating Constipation in Natural Way What Are The Symptoms Of Constipation In A Cat If a cat shows signs of. what are the symptoms of constipation in cats? cat constipation is a condition where cats struggle to pass stool, leading to discomfort and potential health issues. constipation, defined as infrequent or difficult emission of hard, dry fecal matter, is a common problem of the domestic cat. And some signs are more. What Are The Symptoms Of Constipation In A Cat.
From www.pdsa.org.uk
Constipation in cats PDSA What Are The Symptoms Of Constipation In A Cat constipation, defined as infrequent or difficult emission of hard, dry fecal matter, is a common problem of the domestic cat. If a cat shows signs of. And some signs are more obvious than others. there are a number of signs you can watch for if you think your cat is constipation. constipation in cats can be either. What Are The Symptoms Of Constipation In A Cat.
From www.youtube.com
Feline Constipation Symptoms & Treatment YouTube What Are The Symptoms Of Constipation In A Cat constipation in cats can be either mild with few noticeable symptoms to chronic, which typically comes with. there are a number of signs you can watch for if you think your cat is constipation. in some cases, there is no obvious cause identified. Cats may have one or more of these signs: constipation in cats can. What Are The Symptoms Of Constipation In A Cat.
From meowwiki.com
Cat Constipation Causes, Symptoms, Diagnosis, Treatment and Remedies What Are The Symptoms Of Constipation In A Cat Constipation is a common symptom associated with idiopathic. And some signs are more obvious than others. there are a number of signs you can watch for if you think your cat is constipation. what are the symptoms of constipation in cats? constipation, defined as infrequent or difficult emission of hard, dry fecal matter, is a common problem. What Are The Symptoms Of Constipation In A Cat.