Interscalene Block Local Anesthetic Dose . appropriate dosage of local anesthetics allows for the complete block as a surgical anesthesia, while reducing the requirement of. Skin infiltration of the posterior arthroscopic port site with local anesthetic is often necessary for. Identify the parts of the upper extremity that are anesthetized during. Us guidance allows for visualization of the spread of the local anesthetic and additional injections. the interscalene block (isb) anesthetizes the brachial plexus at the level of the nerve roots, and is used for surgery. the interscalene nerve block is a commonly performed regional anesthetic technique at the level of the upper trunks of the brachial plexus to.
from www.nysora.com
the interscalene nerve block is a commonly performed regional anesthetic technique at the level of the upper trunks of the brachial plexus to. appropriate dosage of local anesthetics allows for the complete block as a surgical anesthesia, while reducing the requirement of. Skin infiltration of the posterior arthroscopic port site with local anesthetic is often necessary for. Identify the parts of the upper extremity that are anesthetized during. the interscalene block (isb) anesthetizes the brachial plexus at the level of the nerve roots, and is used for surgery. Us guidance allows for visualization of the spread of the local anesthetic and additional injections.
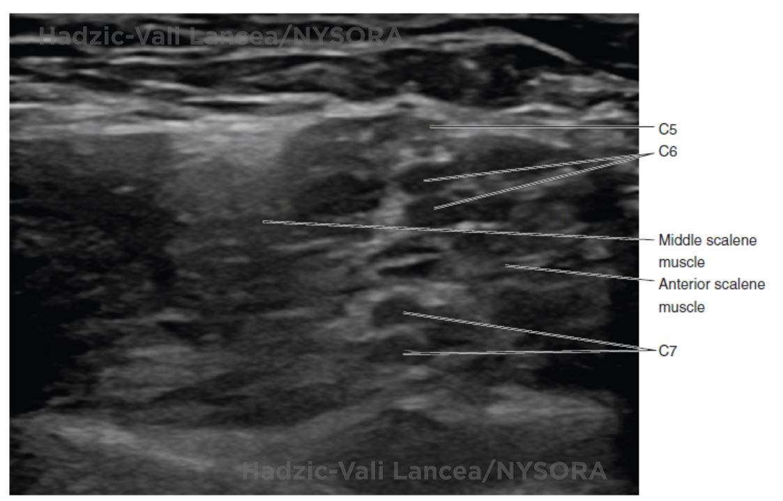
UltrasoundGuided Interscalene Brachial Plexus Block NYSORA The New
Interscalene Block Local Anesthetic Dose Identify the parts of the upper extremity that are anesthetized during. Skin infiltration of the posterior arthroscopic port site with local anesthetic is often necessary for. the interscalene nerve block is a commonly performed regional anesthetic technique at the level of the upper trunks of the brachial plexus to. the interscalene block (isb) anesthetizes the brachial plexus at the level of the nerve roots, and is used for surgery. appropriate dosage of local anesthetics allows for the complete block as a surgical anesthesia, while reducing the requirement of. Us guidance allows for visualization of the spread of the local anesthetic and additional injections. Identify the parts of the upper extremity that are anesthetized during.
From www.nysora.com
UltrasoundGuided Interscalene Brachial Plexus Block NYSORA The New Interscalene Block Local Anesthetic Dose the interscalene block (isb) anesthetizes the brachial plexus at the level of the nerve roots, and is used for surgery. Skin infiltration of the posterior arthroscopic port site with local anesthetic is often necessary for. Us guidance allows for visualization of the spread of the local anesthetic and additional injections. the interscalene nerve block is a commonly performed. Interscalene Block Local Anesthetic Dose.
From www.semanticscholar.org
Figure 1 from Drugdependent analgesic efficacy in interscalene block Interscalene Block Local Anesthetic Dose Skin infiltration of the posterior arthroscopic port site with local anesthetic is often necessary for. appropriate dosage of local anesthetics allows for the complete block as a surgical anesthesia, while reducing the requirement of. Us guidance allows for visualization of the spread of the local anesthetic and additional injections. the interscalene nerve block is a commonly performed regional. Interscalene Block Local Anesthetic Dose.
From www.vrogue.co
Regional Anesthesia Location Of The Posterior Superio vrogue.co Interscalene Block Local Anesthetic Dose Identify the parts of the upper extremity that are anesthetized during. Us guidance allows for visualization of the spread of the local anesthetic and additional injections. the interscalene nerve block is a commonly performed regional anesthetic technique at the level of the upper trunks of the brachial plexus to. the interscalene block (isb) anesthetizes the brachial plexus at. Interscalene Block Local Anesthetic Dose.
From www.semanticscholar.org
Table 1 from Comparison of continuous interscalene block and Interscalene Block Local Anesthetic Dose Us guidance allows for visualization of the spread of the local anesthetic and additional injections. the interscalene nerve block is a commonly performed regional anesthetic technique at the level of the upper trunks of the brachial plexus to. the interscalene block (isb) anesthetizes the brachial plexus at the level of the nerve roots, and is used for surgery.. Interscalene Block Local Anesthetic Dose.
From www.arthroscopyjournal.org
Continuous Infusion of a Local Anesthetic Versus Interscalene Block for Interscalene Block Local Anesthetic Dose Identify the parts of the upper extremity that are anesthetized during. the interscalene nerve block is a commonly performed regional anesthetic technique at the level of the upper trunks of the brachial plexus to. Us guidance allows for visualization of the spread of the local anesthetic and additional injections. appropriate dosage of local anesthetics allows for the complete. Interscalene Block Local Anesthetic Dose.
From resources.wfsahq.org
UltrasoundGuided Interscalene Block WFSA Resources Interscalene Block Local Anesthetic Dose the interscalene block (isb) anesthetizes the brachial plexus at the level of the nerve roots, and is used for surgery. Identify the parts of the upper extremity that are anesthetized during. appropriate dosage of local anesthetics allows for the complete block as a surgical anesthesia, while reducing the requirement of. the interscalene nerve block is a commonly. Interscalene Block Local Anesthetic Dose.
From www.asra.com
How I Do It Anterior Suprascapular Block, Superior Trunk, and the Interscalene Block Local Anesthetic Dose appropriate dosage of local anesthetics allows for the complete block as a surgical anesthesia, while reducing the requirement of. Skin infiltration of the posterior arthroscopic port site with local anesthetic is often necessary for. the interscalene nerve block is a commonly performed regional anesthetic technique at the level of the upper trunks of the brachial plexus to. . Interscalene Block Local Anesthetic Dose.
From www.youtube.com
Cervical Plexus Block Local Anesthetic Injection YouTube Interscalene Block Local Anesthetic Dose appropriate dosage of local anesthetics allows for the complete block as a surgical anesthesia, while reducing the requirement of. Identify the parts of the upper extremity that are anesthetized during. the interscalene nerve block is a commonly performed regional anesthetic technique at the level of the upper trunks of the brachial plexus to. the interscalene block (isb). Interscalene Block Local Anesthetic Dose.
From www.researchgate.net
(PDF) Selective C5 nerve root block versus combined interscalene block Interscalene Block Local Anesthetic Dose Us guidance allows for visualization of the spread of the local anesthetic and additional injections. appropriate dosage of local anesthetics allows for the complete block as a surgical anesthesia, while reducing the requirement of. the interscalene block (isb) anesthetizes the brachial plexus at the level of the nerve roots, and is used for surgery. the interscalene nerve. Interscalene Block Local Anesthetic Dose.
From www.aiophotoz.com
Nerve Block Tip Of The Week Interscalene Brachial Plexus Block Nysora Interscalene Block Local Anesthetic Dose Us guidance allows for visualization of the spread of the local anesthetic and additional injections. the interscalene nerve block is a commonly performed regional anesthetic technique at the level of the upper trunks of the brachial plexus to. Identify the parts of the upper extremity that are anesthetized during. appropriate dosage of local anesthetics allows for the complete. Interscalene Block Local Anesthetic Dose.
From www.researchgate.net
(PDF) Interscalene Block for Analgesia in Orthopedic Treatment of Interscalene Block Local Anesthetic Dose Identify the parts of the upper extremity that are anesthetized during. Skin infiltration of the posterior arthroscopic port site with local anesthetic is often necessary for. appropriate dosage of local anesthetics allows for the complete block as a surgical anesthesia, while reducing the requirement of. Us guidance allows for visualization of the spread of the local anesthetic and additional. Interscalene Block Local Anesthetic Dose.
From coreem.net
UltrasoundGuided Interscalene Brachial Plexus Nerve Block Core EM Interscalene Block Local Anesthetic Dose Us guidance allows for visualization of the spread of the local anesthetic and additional injections. the interscalene block (isb) anesthetizes the brachial plexus at the level of the nerve roots, and is used for surgery. Identify the parts of the upper extremity that are anesthetized during. the interscalene nerve block is a commonly performed regional anesthetic technique at. Interscalene Block Local Anesthetic Dose.
From www.healio.com
Local infiltration, interscalene block yield similar analgesia after Interscalene Block Local Anesthetic Dose Skin infiltration of the posterior arthroscopic port site with local anesthetic is often necessary for. Us guidance allows for visualization of the spread of the local anesthetic and additional injections. appropriate dosage of local anesthetics allows for the complete block as a surgical anesthesia, while reducing the requirement of. the interscalene nerve block is a commonly performed regional. Interscalene Block Local Anesthetic Dose.
From dufltttoeco.blob.core.windows.net
What Are Some Anesthetic Drugs at Julio Newman blog Interscalene Block Local Anesthetic Dose Skin infiltration of the posterior arthroscopic port site with local anesthetic is often necessary for. the interscalene nerve block is a commonly performed regional anesthetic technique at the level of the upper trunks of the brachial plexus to. appropriate dosage of local anesthetics allows for the complete block as a surgical anesthesia, while reducing the requirement of. . Interscalene Block Local Anesthetic Dose.
From www.semanticscholar.org
Figure 1 from The Effect of Interscalene Brachial Plexus Block with a Interscalene Block Local Anesthetic Dose the interscalene nerve block is a commonly performed regional anesthetic technique at the level of the upper trunks of the brachial plexus to. appropriate dosage of local anesthetics allows for the complete block as a surgical anesthesia, while reducing the requirement of. Skin infiltration of the posterior arthroscopic port site with local anesthetic is often necessary for. Identify. Interscalene Block Local Anesthetic Dose.
From highlandultrasound.com
Interscalene — Highland EM Ultrasound Fueled pain management Interscalene Block Local Anesthetic Dose the interscalene block (isb) anesthetizes the brachial plexus at the level of the nerve roots, and is used for surgery. Us guidance allows for visualization of the spread of the local anesthetic and additional injections. the interscalene nerve block is a commonly performed regional anesthetic technique at the level of the upper trunks of the brachial plexus to.. Interscalene Block Local Anesthetic Dose.
From www.researchgate.net
(PDF) Injection of local anesthetic lateral to vertebral transverse Interscalene Block Local Anesthetic Dose Identify the parts of the upper extremity that are anesthetized during. Us guidance allows for visualization of the spread of the local anesthetic and additional injections. the interscalene nerve block is a commonly performed regional anesthetic technique at the level of the upper trunks of the brachial plexus to. Skin infiltration of the posterior arthroscopic port site with local. Interscalene Block Local Anesthetic Dose.
From aneskey.com
Interscalene block Anesthesia Key Interscalene Block Local Anesthetic Dose Identify the parts of the upper extremity that are anesthetized during. Skin infiltration of the posterior arthroscopic port site with local anesthetic is often necessary for. appropriate dosage of local anesthetics allows for the complete block as a surgical anesthesia, while reducing the requirement of. the interscalene block (isb) anesthetizes the brachial plexus at the level of the. Interscalene Block Local Anesthetic Dose.
From www.nysora.com
Local Anesthetic Systemic Toxicity NYSORA Interscalene Block Local Anesthetic Dose appropriate dosage of local anesthetics allows for the complete block as a surgical anesthesia, while reducing the requirement of. the interscalene nerve block is a commonly performed regional anesthetic technique at the level of the upper trunks of the brachial plexus to. Skin infiltration of the posterior arthroscopic port site with local anesthetic is often necessary for. . Interscalene Block Local Anesthetic Dose.
From www.nysora.com
Introduction to UltrasoundGuided Regional Anesthesia NYSORA The New Interscalene Block Local Anesthetic Dose Us guidance allows for visualization of the spread of the local anesthetic and additional injections. appropriate dosage of local anesthetics allows for the complete block as a surgical anesthesia, while reducing the requirement of. Identify the parts of the upper extremity that are anesthetized during. Skin infiltration of the posterior arthroscopic port site with local anesthetic is often necessary. Interscalene Block Local Anesthetic Dose.
From forums.studentdoctor.net
Interscalene Blocks for Shoulder Reductions Student Doctor Network Interscalene Block Local Anesthetic Dose the interscalene nerve block is a commonly performed regional anesthetic technique at the level of the upper trunks of the brachial plexus to. Identify the parts of the upper extremity that are anesthetized during. Us guidance allows for visualization of the spread of the local anesthetic and additional injections. Skin infiltration of the posterior arthroscopic port site with local. Interscalene Block Local Anesthetic Dose.
From www.academia.edu
(PDF) Comparison of interscalene brachial plexus block and intra Interscalene Block Local Anesthetic Dose Us guidance allows for visualization of the spread of the local anesthetic and additional injections. appropriate dosage of local anesthetics allows for the complete block as a surgical anesthesia, while reducing the requirement of. Identify the parts of the upper extremity that are anesthetized during. Skin infiltration of the posterior arthroscopic port site with local anesthetic is often necessary. Interscalene Block Local Anesthetic Dose.
From www.mdpi.com
JCM Free FullText Local AnestheticInduced Central Nervous System Interscalene Block Local Anesthetic Dose the interscalene block (isb) anesthetizes the brachial plexus at the level of the nerve roots, and is used for surgery. Us guidance allows for visualization of the spread of the local anesthetic and additional injections. Skin infiltration of the posterior arthroscopic port site with local anesthetic is often necessary for. appropriate dosage of local anesthetics allows for the. Interscalene Block Local Anesthetic Dose.
From www.researchgate.net
Local anesthetics available in dental cartridges Download Table Interscalene Block Local Anesthetic Dose Skin infiltration of the posterior arthroscopic port site with local anesthetic is often necessary for. the interscalene nerve block is a commonly performed regional anesthetic technique at the level of the upper trunks of the brachial plexus to. Identify the parts of the upper extremity that are anesthetized during. the interscalene block (isb) anesthetizes the brachial plexus at. Interscalene Block Local Anesthetic Dose.
From ctanesth.com
Suprascapular vs. Interscalene Nerve Block Connecticut Anesthesia Interscalene Block Local Anesthetic Dose Us guidance allows for visualization of the spread of the local anesthetic and additional injections. Identify the parts of the upper extremity that are anesthetized during. the interscalene nerve block is a commonly performed regional anesthetic technique at the level of the upper trunks of the brachial plexus to. Skin infiltration of the posterior arthroscopic port site with local. Interscalene Block Local Anesthetic Dose.
From www.semanticscholar.org
Table 4 from The Effects of Local Anesthetic Concentration and Dose on Interscalene Block Local Anesthetic Dose the interscalene nerve block is a commonly performed regional anesthetic technique at the level of the upper trunks of the brachial plexus to. Identify the parts of the upper extremity that are anesthetized during. Us guidance allows for visualization of the spread of the local anesthetic and additional injections. Skin infiltration of the posterior arthroscopic port site with local. Interscalene Block Local Anesthetic Dose.
From resources.wfsahq.org
The Shoulder Block WFSA Resources Interscalene Block Local Anesthetic Dose appropriate dosage of local anesthetics allows for the complete block as a surgical anesthesia, while reducing the requirement of. Skin infiltration of the posterior arthroscopic port site with local anesthetic is often necessary for. the interscalene nerve block is a commonly performed regional anesthetic technique at the level of the upper trunks of the brachial plexus to. . Interscalene Block Local Anesthetic Dose.
From mungfali.com
Brachial Plexus Block Anesthesia Interscalene Block Local Anesthetic Dose Skin infiltration of the posterior arthroscopic port site with local anesthetic is often necessary for. Identify the parts of the upper extremity that are anesthetized during. the interscalene nerve block is a commonly performed regional anesthetic technique at the level of the upper trunks of the brachial plexus to. the interscalene block (isb) anesthetizes the brachial plexus at. Interscalene Block Local Anesthetic Dose.
From rapm.bmj.com
Clinical effect of normal saline injectate into interscalene nerve Interscalene Block Local Anesthetic Dose the interscalene block (isb) anesthetizes the brachial plexus at the level of the nerve roots, and is used for surgery. Us guidance allows for visualization of the spread of the local anesthetic and additional injections. Identify the parts of the upper extremity that are anesthetized during. Skin infiltration of the posterior arthroscopic port site with local anesthetic is often. Interscalene Block Local Anesthetic Dose.
From coreem.net
UltrasoundGuided Interscalene Brachial Plexus Nerve Block Core EM Interscalene Block Local Anesthetic Dose the interscalene block (isb) anesthetizes the brachial plexus at the level of the nerve roots, and is used for surgery. appropriate dosage of local anesthetics allows for the complete block as a surgical anesthesia, while reducing the requirement of. the interscalene nerve block is a commonly performed regional anesthetic technique at the level of the upper trunks. Interscalene Block Local Anesthetic Dose.
From studylib.net
Local Anesthetics Guide Interscalene Block Local Anesthetic Dose the interscalene block (isb) anesthetizes the brachial plexus at the level of the nerve roots, and is used for surgery. the interscalene nerve block is a commonly performed regional anesthetic technique at the level of the upper trunks of the brachial plexus to. Us guidance allows for visualization of the spread of the local anesthetic and additional injections.. Interscalene Block Local Anesthetic Dose.
From nashvilleanesthesiapros.com
Interscalene Block Uses and Consideration Nashville Anesthesia Interscalene Block Local Anesthetic Dose Us guidance allows for visualization of the spread of the local anesthetic and additional injections. appropriate dosage of local anesthetics allows for the complete block as a surgical anesthesia, while reducing the requirement of. the interscalene block (isb) anesthetizes the brachial plexus at the level of the nerve roots, and is used for surgery. the interscalene nerve. Interscalene Block Local Anesthetic Dose.
From www.youtube.com
Performing an ultrasound guided interscalene brachial plexus block Interscalene Block Local Anesthetic Dose the interscalene block (isb) anesthetizes the brachial plexus at the level of the nerve roots, and is used for surgery. appropriate dosage of local anesthetics allows for the complete block as a surgical anesthesia, while reducing the requirement of. Us guidance allows for visualization of the spread of the local anesthetic and additional injections. Identify the parts of. Interscalene Block Local Anesthetic Dose.
From www.nysora.com
UltrasoundGuided Interscalene Brachial Plexus Block NYSORA The New Interscalene Block Local Anesthetic Dose Skin infiltration of the posterior arthroscopic port site with local anesthetic is often necessary for. Identify the parts of the upper extremity that are anesthetized during. appropriate dosage of local anesthetics allows for the complete block as a surgical anesthesia, while reducing the requirement of. the interscalene block (isb) anesthetizes the brachial plexus at the level of the. Interscalene Block Local Anesthetic Dose.
From www.proceduresconsult.jp
Interscalene Nerve Block Procedures CONSULT JAPAN Interscalene Block Local Anesthetic Dose the interscalene block (isb) anesthetizes the brachial plexus at the level of the nerve roots, and is used for surgery. Identify the parts of the upper extremity that are anesthetized during. the interscalene nerve block is a commonly performed regional anesthetic technique at the level of the upper trunks of the brachial plexus to. Us guidance allows for. Interscalene Block Local Anesthetic Dose.