Nature Methods Review Time . A virtual “meet the editors” session brought together eight editors from six different nature portfolio journals. The average number of days between the date of manuscript submission and date of receiving the revision report after. Calling early career researchers as reviewers. This stage includes checks on authorship, competing interests, ethics approval and plagiarism. The aim of the session was. Editors decide whether to send a manuscript for peer review based on the degree to which it advances our understanding of the field, the. Asking the same people to review time and again is neither respectful of their precious.
from twitter.com
The aim of the session was. A virtual “meet the editors” session brought together eight editors from six different nature portfolio journals. The average number of days between the date of manuscript submission and date of receiving the revision report after. This stage includes checks on authorship, competing interests, ethics approval and plagiarism. Calling early career researchers as reviewers. Editors decide whether to send a manuscript for peer review based on the degree to which it advances our understanding of the field, the. Asking the same people to review time and again is neither respectful of their precious.
Nature Methods on Twitter "We are proud to be 1 of 13 journals
Nature Methods Review Time A virtual “meet the editors” session brought together eight editors from six different nature portfolio journals. Calling early career researchers as reviewers. This stage includes checks on authorship, competing interests, ethics approval and plagiarism. Editors decide whether to send a manuscript for peer review based on the degree to which it advances our understanding of the field, the. A virtual “meet the editors” session brought together eight editors from six different nature portfolio journals. The average number of days between the date of manuscript submission and date of receiving the revision report after. The aim of the session was. Asking the same people to review time and again is neither respectful of their precious.
From tech.sina.com.cn
48张3月Nature子刊封面,哪张最打动你?封面封面设计细胞_新浪科技_新浪网 Nature Methods Review Time The average number of days between the date of manuscript submission and date of receiving the revision report after. Asking the same people to review time and again is neither respectful of their precious. The aim of the session was. Editors decide whether to send a manuscript for peer review based on the degree to which it advances our understanding. Nature Methods Review Time.
From itbr.fudan.edu.cn
封面推荐 Nature Neuroscience复旦大学脑科学转化研究院 Nature Methods Review Time A virtual “meet the editors” session brought together eight editors from six different nature portfolio journals. This stage includes checks on authorship, competing interests, ethics approval and plagiarism. The average number of days between the date of manuscript submission and date of receiving the revision report after. Editors decide whether to send a manuscript for peer review based on the. Nature Methods Review Time.
From biomed.ustc.edu.cn
Nature Methods 生医部瞿昆教授课题组实现多种空间转录组分析算法的系统性评估 Nature Methods Review Time The aim of the session was. Asking the same people to review time and again is neither respectful of their precious. Calling early career researchers as reviewers. A virtual “meet the editors” session brought together eight editors from six different nature portfolio journals. The average number of days between the date of manuscript submission and date of receiving the revision. Nature Methods Review Time.
From twitter.com
Nature Reviews Methods Primers on Twitter "Nature Reviews Methods Nature Methods Review Time The aim of the session was. The average number of days between the date of manuscript submission and date of receiving the revision report after. Calling early career researchers as reviewers. This stage includes checks on authorship, competing interests, ethics approval and plagiarism. Editors decide whether to send a manuscript for peer review based on the degree to which it. Nature Methods Review Time.
From www.nature.com
Image processing tools for petabytescale light sheet microscopy data Nature Methods Review Time The average number of days between the date of manuscript submission and date of receiving the revision report after. A virtual “meet the editors” session brought together eight editors from six different nature portfolio journals. The aim of the session was. Calling early career researchers as reviewers. Editors decide whether to send a manuscript for peer review based on the. Nature Methods Review Time.
From twitter.com
Ting Xu on Twitter "1/5 Officially out on Nature Methods Nature Methods Review Time Calling early career researchers as reviewers. Asking the same people to review time and again is neither respectful of their precious. Editors decide whether to send a manuscript for peer review based on the degree to which it advances our understanding of the field, the. The aim of the session was. The average number of days between the date of. Nature Methods Review Time.
From www.researchgate.net
(PDF) Li et al2021Nature Methods Nature Methods Review Time Editors decide whether to send a manuscript for peer review based on the degree to which it advances our understanding of the field, the. Asking the same people to review time and again is neither respectful of their precious. The aim of the session was. The average number of days between the date of manuscript submission and date of receiving. Nature Methods Review Time.
From www.saneasia.com
Nature Methods Publication SANE ASIA European Imaging Solutions Nature Methods Review Time Calling early career researchers as reviewers. The aim of the session was. Editors decide whether to send a manuscript for peer review based on the degree to which it advances our understanding of the field, the. A virtual “meet the editors” session brought together eight editors from six different nature portfolio journals. This stage includes checks on authorship, competing interests,. Nature Methods Review Time.
From clipart-library.com
CLIP and complementary methods Nature Reviews Methods Primers Clip Nature Methods Review Time A virtual “meet the editors” session brought together eight editors from six different nature portfolio journals. Calling early career researchers as reviewers. Asking the same people to review time and again is neither respectful of their precious. Editors decide whether to send a manuscript for peer review based on the degree to which it advances our understanding of the field,. Nature Methods Review Time.
From www.bol.com
NatureInspired Methods for Metaheuristics Optimization 9783030264574 Nature Methods Review Time The aim of the session was. This stage includes checks on authorship, competing interests, ethics approval and plagiarism. Calling early career researchers as reviewers. The average number of days between the date of manuscript submission and date of receiving the revision report after. Editors decide whether to send a manuscript for peer review based on the degree to which it. Nature Methods Review Time.
From www.researchgate.net
(PDF) Natureinspired metaheuristic methods in software testing Nature Methods Review Time The average number of days between the date of manuscript submission and date of receiving the revision report after. This stage includes checks on authorship, competing interests, ethics approval and plagiarism. Asking the same people to review time and again is neither respectful of their precious. A virtual “meet the editors” session brought together eight editors from six different nature. Nature Methods Review Time.
From twitter.com
Nature Methods on Twitter "Our July issue is live! 🎉 In this issue, we Nature Methods Review Time Calling early career researchers as reviewers. Asking the same people to review time and again is neither respectful of their precious. A virtual “meet the editors” session brought together eight editors from six different nature portfolio journals. Editors decide whether to send a manuscript for peer review based on the degree to which it advances our understanding of the field,. Nature Methods Review Time.
From www.natureasia.com
Nature Methods Nature Portfolio Nature Methods Review Time The aim of the session was. The average number of days between the date of manuscript submission and date of receiving the revision report after. This stage includes checks on authorship, competing interests, ethics approval and plagiarism. A virtual “meet the editors” session brought together eight editors from six different nature portfolio journals. Asking the same people to review time. Nature Methods Review Time.
From www.3s-tech.net
光催化分解水 Nature Reviews Methods Primers上海善施科技 Nature Methods Review Time The aim of the session was. Asking the same people to review time and again is neither respectful of their precious. The average number of days between the date of manuscript submission and date of receiving the revision report after. This stage includes checks on authorship, competing interests, ethics approval and plagiarism. A virtual “meet the editors” session brought together. Nature Methods Review Time.
From twitter.com
Nature Methods on Twitter "We are proud to be 1 of 13 journals Nature Methods Review Time The average number of days between the date of manuscript submission and date of receiving the revision report after. Editors decide whether to send a manuscript for peer review based on the degree to which it advances our understanding of the field, the. Calling early career researchers as reviewers. Asking the same people to review time and again is neither. Nature Methods Review Time.
From www.natureasia.com
Nature Reviews Disease Primers Nature Portfolio Nature Methods Review Time The aim of the session was. Asking the same people to review time and again is neither respectful of their precious. Editors decide whether to send a manuscript for peer review based on the degree to which it advances our understanding of the field, the. Calling early career researchers as reviewers. A virtual “meet the editors” session brought together eight. Nature Methods Review Time.
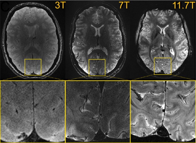
From www.nature.com
In vivo imaging of the human brain with the Iseult 11.7T MRI scanner Nature Methods Review Time Asking the same people to review time and again is neither respectful of their precious. A virtual “meet the editors” session brought together eight editors from six different nature portfolio journals. Editors decide whether to send a manuscript for peer review based on the degree to which it advances our understanding of the field, the. This stage includes checks on. Nature Methods Review Time.
From new.qq.com
量子编程|12月“自然”系列期刊封面,你最喜欢哪一张?_腾讯新闻 Nature Methods Review Time The average number of days between the date of manuscript submission and date of receiving the revision report after. This stage includes checks on authorship, competing interests, ethics approval and plagiarism. Calling early career researchers as reviewers. The aim of the session was. Asking the same people to review time and again is neither respectful of their precious. A virtual. Nature Methods Review Time.
From communities.springernature.com
to the community, from Nature Methods Research Communities by Nature Methods Review Time The aim of the session was. Editors decide whether to send a manuscript for peer review based on the degree to which it advances our understanding of the field, the. Calling early career researchers as reviewers. The average number of days between the date of manuscript submission and date of receiving the revision report after. This stage includes checks on. Nature Methods Review Time.
From twitter.com
Nature Reviews Methods Primers on Twitter "New this week! Our authors Nature Methods Review Time Calling early career researchers as reviewers. The average number of days between the date of manuscript submission and date of receiving the revision report after. A virtual “meet the editors” session brought together eight editors from six different nature portfolio journals. Editors decide whether to send a manuscript for peer review based on the degree to which it advances our. Nature Methods Review Time.
From www.nature.com
Natureinspired micropatterns Nature Reviews Methods Primers Nature Methods Review Time A virtual “meet the editors” session brought together eight editors from six different nature portfolio journals. This stage includes checks on authorship, competing interests, ethics approval and plagiarism. The aim of the session was. Editors decide whether to send a manuscript for peer review based on the degree to which it advances our understanding of the field, the. The average. Nature Methods Review Time.
From www.thelancet.com
Multiomics approaches for biomarker discovery in early ovarian cancer Nature Methods Review Time Asking the same people to review time and again is neither respectful of their precious. Editors decide whether to send a manuscript for peer review based on the degree to which it advances our understanding of the field, the. The average number of days between the date of manuscript submission and date of receiving the revision report after. This stage. Nature Methods Review Time.
From lumencor.com
CELESTA Light Engine Featured on "Method of the Year 2020" Nature Methods Review Time The aim of the session was. A virtual “meet the editors” session brought together eight editors from six different nature portfolio journals. The average number of days between the date of manuscript submission and date of receiving the revision report after. Calling early career researchers as reviewers. This stage includes checks on authorship, competing interests, ethics approval and plagiarism. Editors. Nature Methods Review Time.
From www.gilcosta.com
Nature Methods cover for Ferrero et al. 2019 Gil Costa Nature Methods Review Time Calling early career researchers as reviewers. A virtual “meet the editors” session brought together eight editors from six different nature portfolio journals. The aim of the session was. The average number of days between the date of manuscript submission and date of receiving the revision report after. Asking the same people to review time and again is neither respectful of. Nature Methods Review Time.
From twitter.com
Nature Methods (naturemethods) / Twitter Nature Methods Review Time Calling early career researchers as reviewers. This stage includes checks on authorship, competing interests, ethics approval and plagiarism. A virtual “meet the editors” session brought together eight editors from six different nature portfolio journals. The aim of the session was. The average number of days between the date of manuscript submission and date of receiving the revision report after. Editors. Nature Methods Review Time.
From typeset.io
Nature Methods Template Nature Nature Methods Review Time This stage includes checks on authorship, competing interests, ethics approval and plagiarism. Editors decide whether to send a manuscript for peer review based on the degree to which it advances our understanding of the field, the. The average number of days between the date of manuscript submission and date of receiving the revision report after. Calling early career researchers as. Nature Methods Review Time.
From impactfactorforjournal.com
Nature Methods Impact Factor 2022 Journal Impact Factor Nature Methods Review Time A virtual “meet the editors” session brought together eight editors from six different nature portfolio journals. Asking the same people to review time and again is neither respectful of their precious. Calling early career researchers as reviewers. This stage includes checks on authorship, competing interests, ethics approval and plagiarism. The average number of days between the date of manuscript submission. Nature Methods Review Time.
From zlab.squarespace.com
Publications — Zhang Lab Nature Methods Review Time A virtual “meet the editors” session brought together eight editors from six different nature portfolio journals. Asking the same people to review time and again is neither respectful of their precious. Editors decide whether to send a manuscript for peer review based on the degree to which it advances our understanding of the field, the. This stage includes checks on. Nature Methods Review Time.
From www.10xgenomics.com
Spatially resolved transcriptomics a bright future ahead 10x Genomics Nature Methods Review Time This stage includes checks on authorship, competing interests, ethics approval and plagiarism. The average number of days between the date of manuscript submission and date of receiving the revision report after. Calling early career researchers as reviewers. Editors decide whether to send a manuscript for peer review based on the degree to which it advances our understanding of the field,. Nature Methods Review Time.
From www.cn-healthcare.com
Nature封面:“细胞流体学”全新概念流体学细胞概念液体结构气液材料健康界 Nature Methods Review Time This stage includes checks on authorship, competing interests, ethics approval and plagiarism. The average number of days between the date of manuscript submission and date of receiving the revision report after. The aim of the session was. Calling early career researchers as reviewers. Asking the same people to review time and again is neither respectful of their precious. A virtual. Nature Methods Review Time.
From geneticliteracyproject.org
Controversial CRISPR paper claiming widespread 'offtarget mutations Nature Methods Review Time The aim of the session was. A virtual “meet the editors” session brought together eight editors from six different nature portfolio journals. Calling early career researchers as reviewers. Editors decide whether to send a manuscript for peer review based on the degree to which it advances our understanding of the field, the. This stage includes checks on authorship, competing interests,. Nature Methods Review Time.
From engineeringcommunity.nature.com
Video Introducing Nature Reviews Methods Primers Electrical and Nature Methods Review Time The average number of days between the date of manuscript submission and date of receiving the revision report after. Asking the same people to review time and again is neither respectful of their precious. A virtual “meet the editors” session brought together eight editors from six different nature portfolio journals. Editors decide whether to send a manuscript for peer review. Nature Methods Review Time.
From www.alpenglowbiosciences.com
Alpenglow CoFounders in the Latest Publication of Nature Methods Nature Methods Review Time The aim of the session was. Calling early career researchers as reviewers. The average number of days between the date of manuscript submission and date of receiving the revision report after. This stage includes checks on authorship, competing interests, ethics approval and plagiarism. Asking the same people to review time and again is neither respectful of their precious. Editors decide. Nature Methods Review Time.
From www.osmosis.org
Contraception Natural methods Nursing Osmosis Video Library Nature Methods Review Time Calling early career researchers as reviewers. Editors decide whether to send a manuscript for peer review based on the degree to which it advances our understanding of the field, the. This stage includes checks on authorship, competing interests, ethics approval and plagiarism. The aim of the session was. A virtual “meet the editors” session brought together eight editors from six. Nature Methods Review Time.
From browardliving.org
FREE Nature Methods Magazine U.S. HEALTH RESOURCES AND SERVICES Nature Methods Review Time A virtual “meet the editors” session brought together eight editors from six different nature portfolio journals. The average number of days between the date of manuscript submission and date of receiving the revision report after. This stage includes checks on authorship, competing interests, ethics approval and plagiarism. Editors decide whether to send a manuscript for peer review based on the. Nature Methods Review Time.