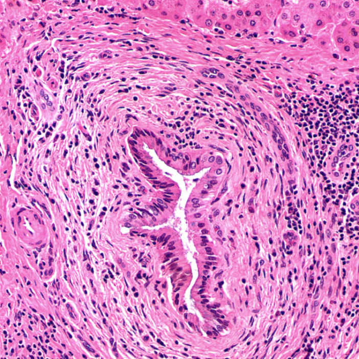
Onion Skin Liver Biopsy . Liver biopsy is rarely used for diagnosis of psc, although. Liver biopsy rarely samples the classic onion skin periductal fibrosis, meaning typical imaging findings are more reliable for. The most common characteristic histologic feature is onion skin fibrosis (concentric periductal fibrosis) (see the image below).
from www.pathologyoutlines.com
Liver biopsy is rarely used for diagnosis of psc, although. The most common characteristic histologic feature is onion skin fibrosis (concentric periductal fibrosis) (see the image below). Liver biopsy rarely samples the classic onion skin periductal fibrosis, meaning typical imaging findings are more reliable for.
Pathology Outlines Primary sclerosing cholangitis
Onion Skin Liver Biopsy Liver biopsy rarely samples the classic onion skin periductal fibrosis, meaning typical imaging findings are more reliable for. The most common characteristic histologic feature is onion skin fibrosis (concentric periductal fibrosis) (see the image below). Liver biopsy rarely samples the classic onion skin periductal fibrosis, meaning typical imaging findings are more reliable for. Liver biopsy is rarely used for diagnosis of psc, although.
From www.researchgate.net
Onion skin arrangement of neoplastic arachnoid cell in... Download Scientific Diagram Onion Skin Liver Biopsy Liver biopsy is rarely used for diagnosis of psc, although. Liver biopsy rarely samples the classic onion skin periductal fibrosis, meaning typical imaging findings are more reliable for. The most common characteristic histologic feature is onion skin fibrosis (concentric periductal fibrosis) (see the image below). Onion Skin Liver Biopsy.
From www.researchgate.net
Angiofollicular lymph node hyperplasia showing onion skin arrangement... Download Scientific Onion Skin Liver Biopsy The most common characteristic histologic feature is onion skin fibrosis (concentric periductal fibrosis) (see the image below). Liver biopsy is rarely used for diagnosis of psc, although. Liver biopsy rarely samples the classic onion skin periductal fibrosis, meaning typical imaging findings are more reliable for. Onion Skin Liver Biopsy.
From www.researchgate.net
Histomorphology showed a lymphoid follicle with an onion skin pattern... Download Scientific Onion Skin Liver Biopsy The most common characteristic histologic feature is onion skin fibrosis (concentric periductal fibrosis) (see the image below). Liver biopsy rarely samples the classic onion skin periductal fibrosis, meaning typical imaging findings are more reliable for. Liver biopsy is rarely used for diagnosis of psc, although. Onion Skin Liver Biopsy.
From www.aasld.org
Pathology Pearls Post 7 Primary Biliary Cholangitis AASLD Onion Skin Liver Biopsy Liver biopsy is rarely used for diagnosis of psc, although. Liver biopsy rarely samples the classic onion skin periductal fibrosis, meaning typical imaging findings are more reliable for. The most common characteristic histologic feature is onion skin fibrosis (concentric periductal fibrosis) (see the image below). Onion Skin Liver Biopsy.
From www.youtube.com
Onion Skin Appearances in Pathology & Medicine NEETPG, INICET Important Topics Dr. Shankar Onion Skin Liver Biopsy Liver biopsy rarely samples the classic onion skin periductal fibrosis, meaning typical imaging findings are more reliable for. The most common characteristic histologic feature is onion skin fibrosis (concentric periductal fibrosis) (see the image below). Liver biopsy is rarely used for diagnosis of psc, although. Onion Skin Liver Biopsy.
From www.liver.ca
Hemochromatosis Canadian Liver Foundation Onion Skin Liver Biopsy The most common characteristic histologic feature is onion skin fibrosis (concentric periductal fibrosis) (see the image below). Liver biopsy rarely samples the classic onion skin periductal fibrosis, meaning typical imaging findings are more reliable for. Liver biopsy is rarely used for diagnosis of psc, although. Onion Skin Liver Biopsy.
From www.researchgate.net
Onion skin classification system of epidermolysis bullosa Download Scientific Diagram Onion Skin Liver Biopsy Liver biopsy is rarely used for diagnosis of psc, although. The most common characteristic histologic feature is onion skin fibrosis (concentric periductal fibrosis) (see the image below). Liver biopsy rarely samples the classic onion skin periductal fibrosis, meaning typical imaging findings are more reliable for. Onion Skin Liver Biopsy.
From basicmedicalkey.com
Primary Sclerosing Cholangitis Basicmedical Key Onion Skin Liver Biopsy Liver biopsy rarely samples the classic onion skin periductal fibrosis, meaning typical imaging findings are more reliable for. The most common characteristic histologic feature is onion skin fibrosis (concentric periductal fibrosis) (see the image below). Liver biopsy is rarely used for diagnosis of psc, although. Onion Skin Liver Biopsy.
From www.researchgate.net
Microscopic findings showing onionskin type periductal fibrosis and... Download Scientific Onion Skin Liver Biopsy Liver biopsy is rarely used for diagnosis of psc, although. The most common characteristic histologic feature is onion skin fibrosis (concentric periductal fibrosis) (see the image below). Liver biopsy rarely samples the classic onion skin periductal fibrosis, meaning typical imaging findings are more reliable for. Onion Skin Liver Biopsy.
From www.pathologyoutlines.com
Pathology Outlines Primary biliary cholangitis Onion Skin Liver Biopsy Liver biopsy rarely samples the classic onion skin periductal fibrosis, meaning typical imaging findings are more reliable for. The most common characteristic histologic feature is onion skin fibrosis (concentric periductal fibrosis) (see the image below). Liver biopsy is rarely used for diagnosis of psc, although. Onion Skin Liver Biopsy.
From pacs.de
onion skin periosteal reaction pacs Onion Skin Liver Biopsy Liver biopsy rarely samples the classic onion skin periductal fibrosis, meaning typical imaging findings are more reliable for. Liver biopsy is rarely used for diagnosis of psc, although. The most common characteristic histologic feature is onion skin fibrosis (concentric periductal fibrosis) (see the image below). Onion Skin Liver Biopsy.
From www.jocmr.org
Overlapping of Primary Biliary Cirrhosis and Small Duct Primary Sclerosing Cholangitis First Onion Skin Liver Biopsy The most common characteristic histologic feature is onion skin fibrosis (concentric periductal fibrosis) (see the image below). Liver biopsy is rarely used for diagnosis of psc, although. Liver biopsy rarely samples the classic onion skin periductal fibrosis, meaning typical imaging findings are more reliable for. Onion Skin Liver Biopsy.
From www.pathologyoutlines.com
Pathology Outlines Primary sclerosing cholangitis Onion Skin Liver Biopsy Liver biopsy is rarely used for diagnosis of psc, although. The most common characteristic histologic feature is onion skin fibrosis (concentric periductal fibrosis) (see the image below). Liver biopsy rarely samples the classic onion skin periductal fibrosis, meaning typical imaging findings are more reliable for. Onion Skin Liver Biopsy.
From www.aasld.org
Pathology Pearls Post 8 Primary Sclerosing Cholangitis (PSC) AASLD Onion Skin Liver Biopsy Liver biopsy rarely samples the classic onion skin periductal fibrosis, meaning typical imaging findings are more reliable for. The most common characteristic histologic feature is onion skin fibrosis (concentric periductal fibrosis) (see the image below). Liver biopsy is rarely used for diagnosis of psc, although. Onion Skin Liver Biopsy.
From www.dovemed.com
Primary Sclerosing Cholangitis Onion Skin Liver Biopsy The most common characteristic histologic feature is onion skin fibrosis (concentric periductal fibrosis) (see the image below). Liver biopsy rarely samples the classic onion skin periductal fibrosis, meaning typical imaging findings are more reliable for. Liver biopsy is rarely used for diagnosis of psc, although. Onion Skin Liver Biopsy.
From www.pathologyoutlines.com
Pathology Outlines Leprosy Onion Skin Liver Biopsy The most common characteristic histologic feature is onion skin fibrosis (concentric periductal fibrosis) (see the image below). Liver biopsy is rarely used for diagnosis of psc, although. Liver biopsy rarely samples the classic onion skin periductal fibrosis, meaning typical imaging findings are more reliable for. Onion Skin Liver Biopsy.
From www.alamy.it
Onion skin cells immagini e fotografie stock ad alta risoluzione Alamy Onion Skin Liver Biopsy Liver biopsy is rarely used for diagnosis of psc, although. Liver biopsy rarely samples the classic onion skin periductal fibrosis, meaning typical imaging findings are more reliable for. The most common characteristic histologic feature is onion skin fibrosis (concentric periductal fibrosis) (see the image below). Onion Skin Liver Biopsy.
From www.researchgate.net
Onion skin appearance mantle zone thickened with lymphocytes arranged... Download Scientific Onion Skin Liver Biopsy Liver biopsy is rarely used for diagnosis of psc, although. The most common characteristic histologic feature is onion skin fibrosis (concentric periductal fibrosis) (see the image below). Liver biopsy rarely samples the classic onion skin periductal fibrosis, meaning typical imaging findings are more reliable for. Onion Skin Liver Biopsy.
From www.researchgate.net
Histologic "onion skin" appearance characterized by concentric layers... Download Scientific Onion Skin Liver Biopsy The most common characteristic histologic feature is onion skin fibrosis (concentric periductal fibrosis) (see the image below). Liver biopsy rarely samples the classic onion skin periductal fibrosis, meaning typical imaging findings are more reliable for. Liver biopsy is rarely used for diagnosis of psc, although. Onion Skin Liver Biopsy.
From www.cureus.com
Cureus Diagnosing Primary Sclerosing Cholangitis in Children Onion Skin Liver Biopsy Liver biopsy rarely samples the classic onion skin periductal fibrosis, meaning typical imaging findings are more reliable for. Liver biopsy is rarely used for diagnosis of psc, although. The most common characteristic histologic feature is onion skin fibrosis (concentric periductal fibrosis) (see the image below). Onion Skin Liver Biopsy.
From www.researchgate.net
The A), B) liver biopsy shows concentric fibrosis around the... Download Scientific Diagram Onion Skin Liver Biopsy Liver biopsy is rarely used for diagnosis of psc, although. Liver biopsy rarely samples the classic onion skin periductal fibrosis, meaning typical imaging findings are more reliable for. The most common characteristic histologic feature is onion skin fibrosis (concentric periductal fibrosis) (see the image below). Onion Skin Liver Biopsy.
From doctorlib.info
TwelveYearOld Boy JAUNDICE SymptomBased Diagnosis in Pediatrics (CHOP Morning Report) 1st Ed. Onion Skin Liver Biopsy Liver biopsy is rarely used for diagnosis of psc, although. Liver biopsy rarely samples the classic onion skin periductal fibrosis, meaning typical imaging findings are more reliable for. The most common characteristic histologic feature is onion skin fibrosis (concentric periductal fibrosis) (see the image below). Onion Skin Liver Biopsy.
From jcthnet.com
to JCTH Onion Skin Liver Biopsy Liver biopsy is rarely used for diagnosis of psc, although. The most common characteristic histologic feature is onion skin fibrosis (concentric periductal fibrosis) (see the image below). Liver biopsy rarely samples the classic onion skin periductal fibrosis, meaning typical imaging findings are more reliable for. Onion Skin Liver Biopsy.
From www.aasld.org
PATHOLOGY PEARLS HEREDITARY HEMOCHROMATOSIS AASLD Onion Skin Liver Biopsy Liver biopsy is rarely used for diagnosis of psc, although. Liver biopsy rarely samples the classic onion skin periductal fibrosis, meaning typical imaging findings are more reliable for. The most common characteristic histologic feature is onion skin fibrosis (concentric periductal fibrosis) (see the image below). Onion Skin Liver Biopsy.
From www.bmj.com
Other causes of parenchymal liver disease The BMJ Onion Skin Liver Biopsy Liver biopsy rarely samples the classic onion skin periductal fibrosis, meaning typical imaging findings are more reliable for. The most common characteristic histologic feature is onion skin fibrosis (concentric periductal fibrosis) (see the image below). Liver biopsy is rarely used for diagnosis of psc, although. Onion Skin Liver Biopsy.
From www.researchgate.net
Scleroderma diagnosis supported by a kidney biopsy with thrombotic... Download Scientific Diagram Onion Skin Liver Biopsy The most common characteristic histologic feature is onion skin fibrosis (concentric periductal fibrosis) (see the image below). Liver biopsy rarely samples the classic onion skin periductal fibrosis, meaning typical imaging findings are more reliable for. Liver biopsy is rarely used for diagnosis of psc, although. Onion Skin Liver Biopsy.
From www.xiahepublishing.com
Primary Biliary Cirrhosis and Primary Sclerosing Cholangitis a Review Featuring a Women's Onion Skin Liver Biopsy The most common characteristic histologic feature is onion skin fibrosis (concentric periductal fibrosis) (see the image below). Liver biopsy is rarely used for diagnosis of psc, although. Liver biopsy rarely samples the classic onion skin periductal fibrosis, meaning typical imaging findings are more reliable for. Onion Skin Liver Biopsy.
From www.researchgate.net
Upper and middle panel Multiple hemangiomas of the skin a, bone marrow... Download Scientific Onion Skin Liver Biopsy The most common characteristic histologic feature is onion skin fibrosis (concentric periductal fibrosis) (see the image below). Liver biopsy is rarely used for diagnosis of psc, although. Liver biopsy rarely samples the classic onion skin periductal fibrosis, meaning typical imaging findings are more reliable for. Onion Skin Liver Biopsy.
From www.umqaa.com
What is Primary Sclerosing cholangitis (PSC )? Onion Skin Liver Biopsy Liver biopsy rarely samples the classic onion skin periductal fibrosis, meaning typical imaging findings are more reliable for. The most common characteristic histologic feature is onion skin fibrosis (concentric periductal fibrosis) (see the image below). Liver biopsy is rarely used for diagnosis of psc, although. Onion Skin Liver Biopsy.
From www.alamy.com
Onion Cells Stock Photos & Onion Cells Stock Images Alamy Onion Skin Liver Biopsy Liver biopsy rarely samples the classic onion skin periductal fibrosis, meaning typical imaging findings are more reliable for. The most common characteristic histologic feature is onion skin fibrosis (concentric periductal fibrosis) (see the image below). Liver biopsy is rarely used for diagnosis of psc, although. Onion Skin Liver Biopsy.
From www.gastrores.org
Small Duct Primary Sclerosing Cholangitis in Association With Hepatitis C Virus Infection A Onion Skin Liver Biopsy Liver biopsy rarely samples the classic onion skin periductal fibrosis, meaning typical imaging findings are more reliable for. The most common characteristic histologic feature is onion skin fibrosis (concentric periductal fibrosis) (see the image below). Liver biopsy is rarely used for diagnosis of psc, although. Onion Skin Liver Biopsy.
From www.researchgate.net
(PDF) The potency of red onion skin flavonoids in acetaminopheninduced liver injury management Onion Skin Liver Biopsy The most common characteristic histologic feature is onion skin fibrosis (concentric periductal fibrosis) (see the image below). Liver biopsy is rarely used for diagnosis of psc, although. Liver biopsy rarely samples the classic onion skin periductal fibrosis, meaning typical imaging findings are more reliable for. Onion Skin Liver Biopsy.
From www.pathologyoutlines.com
Pathology Outlines Primary sclerosing cholangitis Onion Skin Liver Biopsy The most common characteristic histologic feature is onion skin fibrosis (concentric periductal fibrosis) (see the image below). Liver biopsy is rarely used for diagnosis of psc, although. Liver biopsy rarely samples the classic onion skin periductal fibrosis, meaning typical imaging findings are more reliable for. Onion Skin Liver Biopsy.
From bmjopengastro.bmj.com
Interference with the lower gutliver axis induces remission of primary sclerosing cholangitis Onion Skin Liver Biopsy Liver biopsy is rarely used for diagnosis of psc, although. Liver biopsy rarely samples the classic onion skin periductal fibrosis, meaning typical imaging findings are more reliable for. The most common characteristic histologic feature is onion skin fibrosis (concentric periductal fibrosis) (see the image below). Onion Skin Liver Biopsy.
From www.revistagastroenterologiamexico.org
Overlap syndromes of autoimmune hepatitis diagnosis and treatment Revista de Onion Skin Liver Biopsy Liver biopsy rarely samples the classic onion skin periductal fibrosis, meaning typical imaging findings are more reliable for. Liver biopsy is rarely used for diagnosis of psc, although. The most common characteristic histologic feature is onion skin fibrosis (concentric periductal fibrosis) (see the image below). Onion Skin Liver Biopsy.