Duodenum Brunner Gland Hyperplasia Pathology Outlines . they showed that brunner’s gland hamartoma/hyperplasia lesions tended to be larger with surface epithelial change, such as erosion,. pathological analyses found that 75.7% of patients with chronic pancreatitis had diffuse nodular. histologic section a (hematoxylin and eosin, 10x) shows. Knowledge of the imaging and pathologic features of brunner's gland hyperplasia and hamartoma is necessary when evaluating adult patients with solitary or multiple duodenal masses. brunner’s gland hamartoma is a benign tumor of the duodenum, but has malignant potential with a very low risk of. brunner's gland hyperplasia and hamartoma are uncommon benign duodenal lesions that may be either symptomatic or incidental findings.
from www.pathologyoutlines.com
brunner's gland hyperplasia and hamartoma are uncommon benign duodenal lesions that may be either symptomatic or incidental findings. brunner’s gland hamartoma is a benign tumor of the duodenum, but has malignant potential with a very low risk of. they showed that brunner’s gland hamartoma/hyperplasia lesions tended to be larger with surface epithelial change, such as erosion,. Knowledge of the imaging and pathologic features of brunner's gland hyperplasia and hamartoma is necessary when evaluating adult patients with solitary or multiple duodenal masses. histologic section a (hematoxylin and eosin, 10x) shows. pathological analyses found that 75.7% of patients with chronic pancreatitis had diffuse nodular.
Pathology Outlines Brunner gland nodule
Duodenum Brunner Gland Hyperplasia Pathology Outlines Knowledge of the imaging and pathologic features of brunner's gland hyperplasia and hamartoma is necessary when evaluating adult patients with solitary or multiple duodenal masses. Knowledge of the imaging and pathologic features of brunner's gland hyperplasia and hamartoma is necessary when evaluating adult patients with solitary or multiple duodenal masses. they showed that brunner’s gland hamartoma/hyperplasia lesions tended to be larger with surface epithelial change, such as erosion,. histologic section a (hematoxylin and eosin, 10x) shows. brunner's gland hyperplasia and hamartoma are uncommon benign duodenal lesions that may be either symptomatic or incidental findings. pathological analyses found that 75.7% of patients with chronic pancreatitis had diffuse nodular. brunner’s gland hamartoma is a benign tumor of the duodenum, but has malignant potential with a very low risk of.
From www.pathologyoutlines.com
Pathology Outlines Peptic duodenitis Duodenum Brunner Gland Hyperplasia Pathology Outlines brunner's gland hyperplasia and hamartoma are uncommon benign duodenal lesions that may be either symptomatic or incidental findings. brunner’s gland hamartoma is a benign tumor of the duodenum, but has malignant potential with a very low risk of. Knowledge of the imaging and pathologic features of brunner's gland hyperplasia and hamartoma is necessary when evaluating adult patients with. Duodenum Brunner Gland Hyperplasia Pathology Outlines.
From www.pathologyoutlines.com
Pathology Outlines Brunner gland hyperplasia Duodenum Brunner Gland Hyperplasia Pathology Outlines histologic section a (hematoxylin and eosin, 10x) shows. brunner's gland hyperplasia and hamartoma are uncommon benign duodenal lesions that may be either symptomatic or incidental findings. Knowledge of the imaging and pathologic features of brunner's gland hyperplasia and hamartoma is necessary when evaluating adult patients with solitary or multiple duodenal masses. pathological analyses found that 75.7% of. Duodenum Brunner Gland Hyperplasia Pathology Outlines.
From www.researchgate.net
Duodenal pyloric gland adenoma. A, Exophytic pattern of duodenal Duodenum Brunner Gland Hyperplasia Pathology Outlines pathological analyses found that 75.7% of patients with chronic pancreatitis had diffuse nodular. brunner's gland hyperplasia and hamartoma are uncommon benign duodenal lesions that may be either symptomatic or incidental findings. brunner’s gland hamartoma is a benign tumor of the duodenum, but has malignant potential with a very low risk of. histologic section a (hematoxylin and. Duodenum Brunner Gland Hyperplasia Pathology Outlines.
From www.ajronline.org
Brunner's Gland Hyperplasia and Hamartoma Imaging Features with Duodenum Brunner Gland Hyperplasia Pathology Outlines histologic section a (hematoxylin and eosin, 10x) shows. Knowledge of the imaging and pathologic features of brunner's gland hyperplasia and hamartoma is necessary when evaluating adult patients with solitary or multiple duodenal masses. pathological analyses found that 75.7% of patients with chronic pancreatitis had diffuse nodular. they showed that brunner’s gland hamartoma/hyperplasia lesions tended to be larger. Duodenum Brunner Gland Hyperplasia Pathology Outlines.
From www.researchgate.net
Microscopic appearance of Brunner's gland hyperplasia. Arrow pointing Duodenum Brunner Gland Hyperplasia Pathology Outlines Knowledge of the imaging and pathologic features of brunner's gland hyperplasia and hamartoma is necessary when evaluating adult patients with solitary or multiple duodenal masses. brunner's gland hyperplasia and hamartoma are uncommon benign duodenal lesions that may be either symptomatic or incidental findings. pathological analyses found that 75.7% of patients with chronic pancreatitis had diffuse nodular. histologic. Duodenum Brunner Gland Hyperplasia Pathology Outlines.
From www.degruyter.com
Large Brunner’s gland adenoma of the duodenum for almost 10 years Duodenum Brunner Gland Hyperplasia Pathology Outlines brunner’s gland hamartoma is a benign tumor of the duodenum, but has malignant potential with a very low risk of. brunner's gland hyperplasia and hamartoma are uncommon benign duodenal lesions that may be either symptomatic or incidental findings. pathological analyses found that 75.7% of patients with chronic pancreatitis had diffuse nodular. they showed that brunner’s gland. Duodenum Brunner Gland Hyperplasia Pathology Outlines.
From www.pathologyoutlines.com
Pathology Outlines Brunner gland hyperplasia Duodenum Brunner Gland Hyperplasia Pathology Outlines they showed that brunner’s gland hamartoma/hyperplasia lesions tended to be larger with surface epithelial change, such as erosion,. brunner’s gland hamartoma is a benign tumor of the duodenum, but has malignant potential with a very low risk of. histologic section a (hematoxylin and eosin, 10x) shows. pathological analyses found that 75.7% of patients with chronic pancreatitis. Duodenum Brunner Gland Hyperplasia Pathology Outlines.
From www.ppgbbe.intranet.biologia.ufrj.br
Brunner?s Brunner Glands Of The Duodenum With Their Duodenum Brunner Gland Hyperplasia Pathology Outlines histologic section a (hematoxylin and eosin, 10x) shows. Knowledge of the imaging and pathologic features of brunner's gland hyperplasia and hamartoma is necessary when evaluating adult patients with solitary or multiple duodenal masses. brunner's gland hyperplasia and hamartoma are uncommon benign duodenal lesions that may be either symptomatic or incidental findings. they showed that brunner’s gland hamartoma/hyperplasia. Duodenum Brunner Gland Hyperplasia Pathology Outlines.
From www.pathologyoutlines.com
Pathology Outlines Brunner gland hyperplasia Duodenum Brunner Gland Hyperplasia Pathology Outlines brunner’s gland hamartoma is a benign tumor of the duodenum, but has malignant potential with a very low risk of. they showed that brunner’s gland hamartoma/hyperplasia lesions tended to be larger with surface epithelial change, such as erosion,. brunner's gland hyperplasia and hamartoma are uncommon benign duodenal lesions that may be either symptomatic or incidental findings. . Duodenum Brunner Gland Hyperplasia Pathology Outlines.
From www.pathologyoutlines.com
Pathology Outlines Brunner gland nodule Duodenum Brunner Gland Hyperplasia Pathology Outlines brunner's gland hyperplasia and hamartoma are uncommon benign duodenal lesions that may be either symptomatic or incidental findings. pathological analyses found that 75.7% of patients with chronic pancreatitis had diffuse nodular. histologic section a (hematoxylin and eosin, 10x) shows. Knowledge of the imaging and pathologic features of brunner's gland hyperplasia and hamartoma is necessary when evaluating adult. Duodenum Brunner Gland Hyperplasia Pathology Outlines.
From www.ppgbbe.intranet.biologia.ufrj.br
Brunner?s Brunner Glands Of The Duodenum With Their Duodenum Brunner Gland Hyperplasia Pathology Outlines pathological analyses found that 75.7% of patients with chronic pancreatitis had diffuse nodular. brunner's gland hyperplasia and hamartoma are uncommon benign duodenal lesions that may be either symptomatic or incidental findings. histologic section a (hematoxylin and eosin, 10x) shows. they showed that brunner’s gland hamartoma/hyperplasia lesions tended to be larger with surface epithelial change, such as. Duodenum Brunner Gland Hyperplasia Pathology Outlines.
From www.pathologyoutlines.com
Pathology Outlines Brunner gland hyperplasia Duodenum Brunner Gland Hyperplasia Pathology Outlines Knowledge of the imaging and pathologic features of brunner's gland hyperplasia and hamartoma is necessary when evaluating adult patients with solitary or multiple duodenal masses. brunner’s gland hamartoma is a benign tumor of the duodenum, but has malignant potential with a very low risk of. brunner's gland hyperplasia and hamartoma are uncommon benign duodenal lesions that may be. Duodenum Brunner Gland Hyperplasia Pathology Outlines.
From www.pathologyoutlines.com
Pathology Outlines Brunner gland hyperplasia Duodenum Brunner Gland Hyperplasia Pathology Outlines brunner’s gland hamartoma is a benign tumor of the duodenum, but has malignant potential with a very low risk of. they showed that brunner’s gland hamartoma/hyperplasia lesions tended to be larger with surface epithelial change, such as erosion,. Knowledge of the imaging and pathologic features of brunner's gland hyperplasia and hamartoma is necessary when evaluating adult patients with. Duodenum Brunner Gland Hyperplasia Pathology Outlines.
From dxoqqrsgq.blob.core.windows.net
Brunner's Gland Hyperplasia Of Duodenum Icd 10 at Iris Milford blog Duodenum Brunner Gland Hyperplasia Pathology Outlines histologic section a (hematoxylin and eosin, 10x) shows. Knowledge of the imaging and pathologic features of brunner's gland hyperplasia and hamartoma is necessary when evaluating adult patients with solitary or multiple duodenal masses. they showed that brunner’s gland hamartoma/hyperplasia lesions tended to be larger with surface epithelial change, such as erosion,. brunner's gland hyperplasia and hamartoma are. Duodenum Brunner Gland Hyperplasia Pathology Outlines.
From www.ajronline.org
Brunner's Gland Hyperplasia and Hamartoma Imaging Features with Duodenum Brunner Gland Hyperplasia Pathology Outlines brunner's gland hyperplasia and hamartoma are uncommon benign duodenal lesions that may be either symptomatic or incidental findings. Knowledge of the imaging and pathologic features of brunner's gland hyperplasia and hamartoma is necessary when evaluating adult patients with solitary or multiple duodenal masses. pathological analyses found that 75.7% of patients with chronic pancreatitis had diffuse nodular. they. Duodenum Brunner Gland Hyperplasia Pathology Outlines.
From www.researchgate.net
Pathology specimen (1 Brunner's gland hyperplasia; 2 Thickening of Duodenum Brunner Gland Hyperplasia Pathology Outlines they showed that brunner’s gland hamartoma/hyperplasia lesions tended to be larger with surface epithelial change, such as erosion,. Knowledge of the imaging and pathologic features of brunner's gland hyperplasia and hamartoma is necessary when evaluating adult patients with solitary or multiple duodenal masses. pathological analyses found that 75.7% of patients with chronic pancreatitis had diffuse nodular. histologic. Duodenum Brunner Gland Hyperplasia Pathology Outlines.
From clc.cet.edu
Duodenum Brunner's Glands Histology Authentic Quality clc.cet.edu Duodenum Brunner Gland Hyperplasia Pathology Outlines brunner’s gland hamartoma is a benign tumor of the duodenum, but has malignant potential with a very low risk of. Knowledge of the imaging and pathologic features of brunner's gland hyperplasia and hamartoma is necessary when evaluating adult patients with solitary or multiple duodenal masses. pathological analyses found that 75.7% of patients with chronic pancreatitis had diffuse nodular.. Duodenum Brunner Gland Hyperplasia Pathology Outlines.
From www.ajronline.org
Brunner's Gland Hyperplasia and Hamartoma Imaging Features with Duodenum Brunner Gland Hyperplasia Pathology Outlines histologic section a (hematoxylin and eosin, 10x) shows. brunner’s gland hamartoma is a benign tumor of the duodenum, but has malignant potential with a very low risk of. pathological analyses found that 75.7% of patients with chronic pancreatitis had diffuse nodular. brunner's gland hyperplasia and hamartoma are uncommon benign duodenal lesions that may be either symptomatic. Duodenum Brunner Gland Hyperplasia Pathology Outlines.
From dxoqqrsgq.blob.core.windows.net
Brunner's Gland Hyperplasia Of Duodenum Icd 10 at Iris Milford blog Duodenum Brunner Gland Hyperplasia Pathology Outlines brunner's gland hyperplasia and hamartoma are uncommon benign duodenal lesions that may be either symptomatic or incidental findings. pathological analyses found that 75.7% of patients with chronic pancreatitis had diffuse nodular. Knowledge of the imaging and pathologic features of brunner's gland hyperplasia and hamartoma is necessary when evaluating adult patients with solitary or multiple duodenal masses. histologic. Duodenum Brunner Gland Hyperplasia Pathology Outlines.
From www.ajronline.org
Brunner's Gland Hyperplasia and Hamartoma Imaging Features with Duodenum Brunner Gland Hyperplasia Pathology Outlines brunner's gland hyperplasia and hamartoma are uncommon benign duodenal lesions that may be either symptomatic or incidental findings. brunner’s gland hamartoma is a benign tumor of the duodenum, but has malignant potential with a very low risk of. pathological analyses found that 75.7% of patients with chronic pancreatitis had diffuse nodular. Knowledge of the imaging and pathologic. Duodenum Brunner Gland Hyperplasia Pathology Outlines.
From www.pathologyoutlines.com
Pathology Outlines Peptic duodenitis Duodenum Brunner Gland Hyperplasia Pathology Outlines Knowledge of the imaging and pathologic features of brunner's gland hyperplasia and hamartoma is necessary when evaluating adult patients with solitary or multiple duodenal masses. pathological analyses found that 75.7% of patients with chronic pancreatitis had diffuse nodular. brunner's gland hyperplasia and hamartoma are uncommon benign duodenal lesions that may be either symptomatic or incidental findings. they. Duodenum Brunner Gland Hyperplasia Pathology Outlines.
From radiologykey.com
Brunner Gland Hyperplasia Radiology Key Duodenum Brunner Gland Hyperplasia Pathology Outlines brunner's gland hyperplasia and hamartoma are uncommon benign duodenal lesions that may be either symptomatic or incidental findings. they showed that brunner’s gland hamartoma/hyperplasia lesions tended to be larger with surface epithelial change, such as erosion,. Knowledge of the imaging and pathologic features of brunner's gland hyperplasia and hamartoma is necessary when evaluating adult patients with solitary or. Duodenum Brunner Gland Hyperplasia Pathology Outlines.
From dxoqqrsgq.blob.core.windows.net
Brunner's Gland Hyperplasia Of Duodenum Icd 10 at Iris Milford blog Duodenum Brunner Gland Hyperplasia Pathology Outlines they showed that brunner’s gland hamartoma/hyperplasia lesions tended to be larger with surface epithelial change, such as erosion,. brunner’s gland hamartoma is a benign tumor of the duodenum, but has malignant potential with a very low risk of. histologic section a (hematoxylin and eosin, 10x) shows. pathological analyses found that 75.7% of patients with chronic pancreatitis. Duodenum Brunner Gland Hyperplasia Pathology Outlines.
From www.ajronline.org
Brunner's Gland Hyperplasia and Hamartoma Imaging Features with Duodenum Brunner Gland Hyperplasia Pathology Outlines Knowledge of the imaging and pathologic features of brunner's gland hyperplasia and hamartoma is necessary when evaluating adult patients with solitary or multiple duodenal masses. brunner’s gland hamartoma is a benign tumor of the duodenum, but has malignant potential with a very low risk of. they showed that brunner’s gland hamartoma/hyperplasia lesions tended to be larger with surface. Duodenum Brunner Gland Hyperplasia Pathology Outlines.
From www.cureus.com
Cureus Brunner's Gland Hyperplasia A Massive Duodenal Lesion Duodenum Brunner Gland Hyperplasia Pathology Outlines they showed that brunner’s gland hamartoma/hyperplasia lesions tended to be larger with surface epithelial change, such as erosion,. histologic section a (hematoxylin and eosin, 10x) shows. brunner's gland hyperplasia and hamartoma are uncommon benign duodenal lesions that may be either symptomatic or incidental findings. brunner’s gland hamartoma is a benign tumor of the duodenum, but has. Duodenum Brunner Gland Hyperplasia Pathology Outlines.
From europepmc.org
Pathologic observations of the duodenum in 615 consecutive duodenal Duodenum Brunner Gland Hyperplasia Pathology Outlines brunner's gland hyperplasia and hamartoma are uncommon benign duodenal lesions that may be either symptomatic or incidental findings. histologic section a (hematoxylin and eosin, 10x) shows. they showed that brunner’s gland hamartoma/hyperplasia lesions tended to be larger with surface epithelial change, such as erosion,. brunner’s gland hamartoma is a benign tumor of the duodenum, but has. Duodenum Brunner Gland Hyperplasia Pathology Outlines.
From www.sciencephoto.com
Human Brunner's gland of duodenum Stock Image C005/5893 Science Duodenum Brunner Gland Hyperplasia Pathology Outlines brunner’s gland hamartoma is a benign tumor of the duodenum, but has malignant potential with a very low risk of. pathological analyses found that 75.7% of patients with chronic pancreatitis had diffuse nodular. histologic section a (hematoxylin and eosin, 10x) shows. they showed that brunner’s gland hamartoma/hyperplasia lesions tended to be larger with surface epithelial change,. Duodenum Brunner Gland Hyperplasia Pathology Outlines.
From www.pathologyoutlines.com
Pathology Outlines Brunner gland hyperplasia Duodenum Brunner Gland Hyperplasia Pathology Outlines Knowledge of the imaging and pathologic features of brunner's gland hyperplasia and hamartoma is necessary when evaluating adult patients with solitary or multiple duodenal masses. pathological analyses found that 75.7% of patients with chronic pancreatitis had diffuse nodular. histologic section a (hematoxylin and eosin, 10x) shows. brunner’s gland hamartoma is a benign tumor of the duodenum, but. Duodenum Brunner Gland Hyperplasia Pathology Outlines.
From www.researchgate.net
A, Brunner gland hyperplastic nodule/polyp. At low power, hyperplastic Duodenum Brunner Gland Hyperplasia Pathology Outlines Knowledge of the imaging and pathologic features of brunner's gland hyperplasia and hamartoma is necessary when evaluating adult patients with solitary or multiple duodenal masses. histologic section a (hematoxylin and eosin, 10x) shows. they showed that brunner’s gland hamartoma/hyperplasia lesions tended to be larger with surface epithelial change, such as erosion,. brunner's gland hyperplasia and hamartoma are. Duodenum Brunner Gland Hyperplasia Pathology Outlines.
From www.pathologyoutlines.com
Pathology Outlines Pyloric gland adenoma Duodenum Brunner Gland Hyperplasia Pathology Outlines brunner’s gland hamartoma is a benign tumor of the duodenum, but has malignant potential with a very low risk of. they showed that brunner’s gland hamartoma/hyperplasia lesions tended to be larger with surface epithelial change, such as erosion,. Knowledge of the imaging and pathologic features of brunner's gland hyperplasia and hamartoma is necessary when evaluating adult patients with. Duodenum Brunner Gland Hyperplasia Pathology Outlines.
From dxoqqrsgq.blob.core.windows.net
Brunner's Gland Hyperplasia Of Duodenum Icd 10 at Iris Milford blog Duodenum Brunner Gland Hyperplasia Pathology Outlines pathological analyses found that 75.7% of patients with chronic pancreatitis had diffuse nodular. histologic section a (hematoxylin and eosin, 10x) shows. brunner’s gland hamartoma is a benign tumor of the duodenum, but has malignant potential with a very low risk of. brunner's gland hyperplasia and hamartoma are uncommon benign duodenal lesions that may be either symptomatic. Duodenum Brunner Gland Hyperplasia Pathology Outlines.
From www.pathologyoutlines.com
Pathology Outlines Brunner gland hyperplasia Duodenum Brunner Gland Hyperplasia Pathology Outlines brunner's gland hyperplasia and hamartoma are uncommon benign duodenal lesions that may be either symptomatic or incidental findings. histologic section a (hematoxylin and eosin, 10x) shows. they showed that brunner’s gland hamartoma/hyperplasia lesions tended to be larger with surface epithelial change, such as erosion,. brunner’s gland hamartoma is a benign tumor of the duodenum, but has. Duodenum Brunner Gland Hyperplasia Pathology Outlines.
From www.pathologyoutlines.com
Pathology Outlines Peptic duodenitis Duodenum Brunner Gland Hyperplasia Pathology Outlines pathological analyses found that 75.7% of patients with chronic pancreatitis had diffuse nodular. they showed that brunner’s gland hamartoma/hyperplasia lesions tended to be larger with surface epithelial change, such as erosion,. brunner's gland hyperplasia and hamartoma are uncommon benign duodenal lesions that may be either symptomatic or incidental findings. brunner’s gland hamartoma is a benign tumor. Duodenum Brunner Gland Hyperplasia Pathology Outlines.
From www.researchgate.net
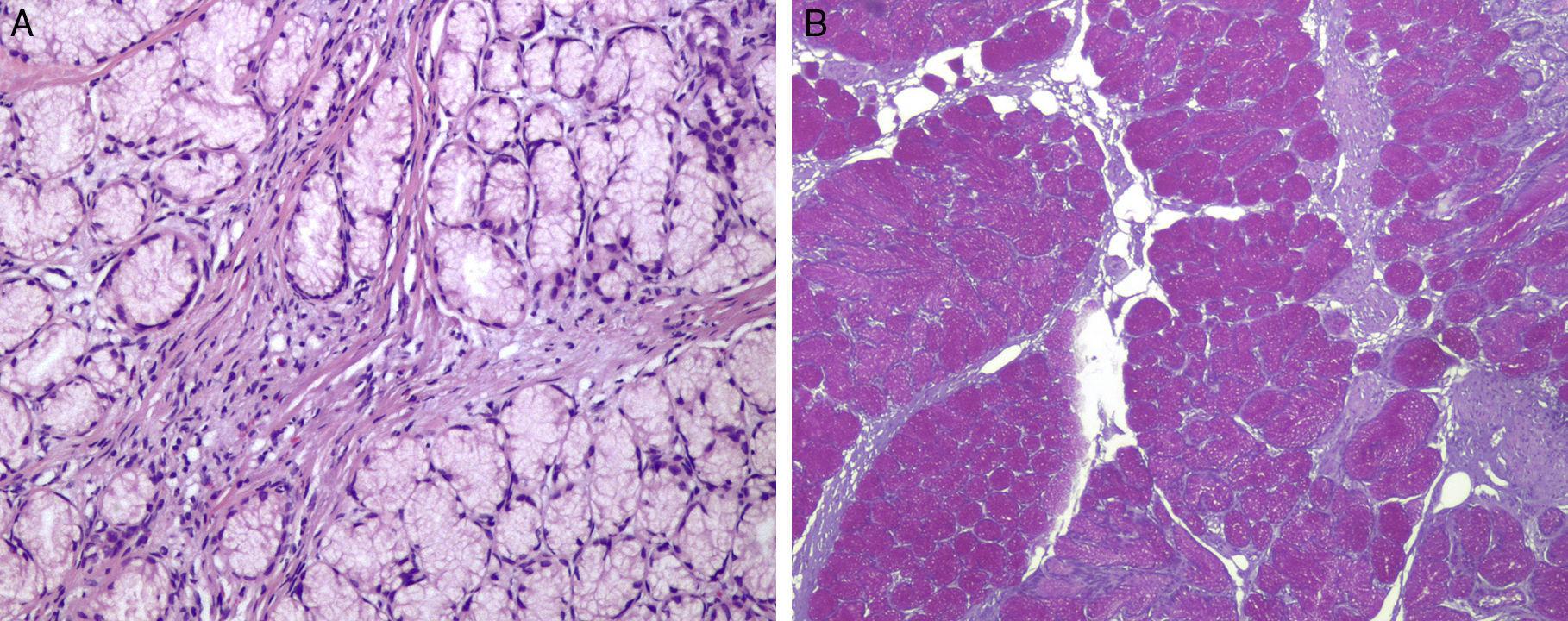
Histological images of Brunner's gland hyperplasia in the duodenum. (A Duodenum Brunner Gland Hyperplasia Pathology Outlines Knowledge of the imaging and pathologic features of brunner's gland hyperplasia and hamartoma is necessary when evaluating adult patients with solitary or multiple duodenal masses. pathological analyses found that 75.7% of patients with chronic pancreatitis had diffuse nodular. they showed that brunner’s gland hamartoma/hyperplasia lesions tended to be larger with surface epithelial change, such as erosion,. brunner's. Duodenum Brunner Gland Hyperplasia Pathology Outlines.
From www.pathologyoutlines.com
Pathology Outlines Peptic duodenitis Duodenum Brunner Gland Hyperplasia Pathology Outlines brunner’s gland hamartoma is a benign tumor of the duodenum, but has malignant potential with a very low risk of. Knowledge of the imaging and pathologic features of brunner's gland hyperplasia and hamartoma is necessary when evaluating adult patients with solitary or multiple duodenal masses. brunner's gland hyperplasia and hamartoma are uncommon benign duodenal lesions that may be. Duodenum Brunner Gland Hyperplasia Pathology Outlines.