Coronal Mri Thumb Planning . The planes of section (sagittal, coronal, and axial) must be aligned to the digit of interest; This alignment is especially critical for imaging the. Align the planning block parallel to the. This section of the website will explain how to plan for an mri hand scan, protocols for mri hand, how to position for mri hand and indications for mri hand. Perform routine hip protocol but perform axial and coronal images to include both right and. 11 rows use flex or head coil. Patient in prone position with elevated arm (‘superman position’) thumb fully extended and at center of scanner. Use rest slab proximal to wrist to reduce flow and pulsatile motion. Plan the thumb coronal localizer on the hand coronal localizer. The planes of section (sagittal, coronal, and axial) must be aligned to the digit of interest;
from mss-ijmsr.com
Plan the thumb coronal localizer on the hand coronal localizer. This alignment is especially critical for imaging the. The planes of section (sagittal, coronal, and axial) must be aligned to the digit of interest; The planes of section (sagittal, coronal, and axial) must be aligned to the digit of interest; Patient in prone position with elevated arm (‘superman position’) thumb fully extended and at center of scanner. Perform routine hip protocol but perform axial and coronal images to include both right and. Align the planning block parallel to the. 11 rows use flex or head coil. This section of the website will explain how to plan for an mri hand scan, protocols for mri hand, how to position for mri hand and indications for mri hand. Use rest slab proximal to wrist to reduce flow and pulsatile motion.
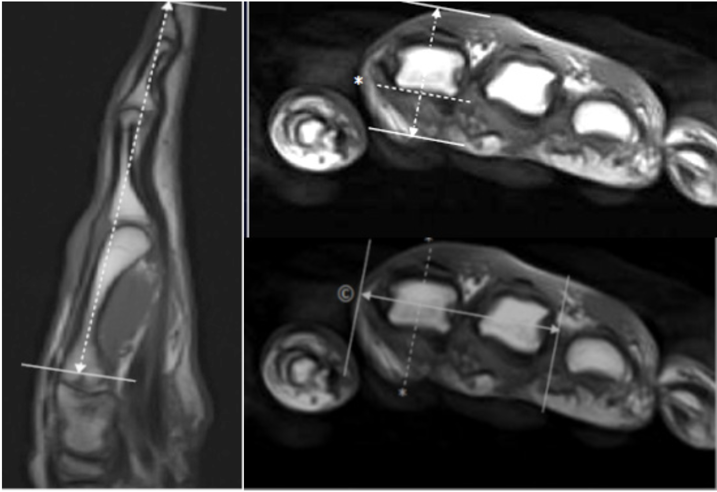
3T Resonance Imaging of the Thumbnormal Appearances and
Coronal Mri Thumb Planning The planes of section (sagittal, coronal, and axial) must be aligned to the digit of interest; 11 rows use flex or head coil. The planes of section (sagittal, coronal, and axial) must be aligned to the digit of interest; This section of the website will explain how to plan for an mri hand scan, protocols for mri hand, how to position for mri hand and indications for mri hand. Perform routine hip protocol but perform axial and coronal images to include both right and. This alignment is especially critical for imaging the. Patient in prone position with elevated arm (‘superman position’) thumb fully extended and at center of scanner. Align the planning block parallel to the. The planes of section (sagittal, coronal, and axial) must be aligned to the digit of interest; Use rest slab proximal to wrist to reduce flow and pulsatile motion. Plan the thumb coronal localizer on the hand coronal localizer.
From www.medical-professionals.com
Thumb MRI Free CE Course Planning and Pathology Review Coronal Mri Thumb Planning The planes of section (sagittal, coronal, and axial) must be aligned to the digit of interest; This section of the website will explain how to plan for an mri hand scan, protocols for mri hand, how to position for mri hand and indications for mri hand. 11 rows use flex or head coil. Perform routine hip protocol but perform axial. Coronal Mri Thumb Planning.
From www.ohsu.edu
MR Thumb WO and W/WO Protocol OHSU Coronal Mri Thumb Planning 11 rows use flex or head coil. Use rest slab proximal to wrist to reduce flow and pulsatile motion. Align the planning block parallel to the. This alignment is especially critical for imaging the. Perform routine hip protocol but perform axial and coronal images to include both right and. This section of the website will explain how to plan for. Coronal Mri Thumb Planning.
From www.spandidos-publications.com
Oblique coronal view of the ACL double‑bundle Comparison of the Coronal Mri Thumb Planning Perform routine hip protocol but perform axial and coronal images to include both right and. This alignment is especially critical for imaging the. Use rest slab proximal to wrist to reduce flow and pulsatile motion. Patient in prone position with elevated arm (‘superman position’) thumb fully extended and at center of scanner. Plan the thumb coronal localizer on the hand. Coronal Mri Thumb Planning.
From openi.nlm.nih.gov
Coronal MRI image Ulnar nerve compression in Guyon's c Openi Coronal Mri Thumb Planning Plan the thumb coronal localizer on the hand coronal localizer. Perform routine hip protocol but perform axial and coronal images to include both right and. The planes of section (sagittal, coronal, and axial) must be aligned to the digit of interest; 11 rows use flex or head coil. This section of the website will explain how to plan for an. Coronal Mri Thumb Planning.
From radsource.us
Thumb CMC Joint Coronal Mri Thumb Planning 11 rows use flex or head coil. Align the planning block parallel to the. Plan the thumb coronal localizer on the hand coronal localizer. Perform routine hip protocol but perform axial and coronal images to include both right and. This alignment is especially critical for imaging the. This section of the website will explain how to plan for an mri. Coronal Mri Thumb Planning.
From quizlet.com
female pelvis mri coronal 2 Diagram Quizlet Coronal Mri Thumb Planning The planes of section (sagittal, coronal, and axial) must be aligned to the digit of interest; Align the planning block parallel to the. Plan the thumb coronal localizer on the hand coronal localizer. This alignment is especially critical for imaging the. 11 rows use flex or head coil. Patient in prone position with elevated arm (‘superman position’) thumb fully extended. Coronal Mri Thumb Planning.
From radsource.us
Ulnar Collateral Ligament Tears of the Thumb Radsource Coronal Mri Thumb Planning This section of the website will explain how to plan for an mri hand scan, protocols for mri hand, how to position for mri hand and indications for mri hand. This alignment is especially critical for imaging the. 11 rows use flex or head coil. Patient in prone position with elevated arm (‘superman position’) thumb fully extended and at center. Coronal Mri Thumb Planning.
From www.utsouthwestern.edu
2D and 3D MRIs provide reliable measurements for planning ACL surgery Coronal Mri Thumb Planning This section of the website will explain how to plan for an mri hand scan, protocols for mri hand, how to position for mri hand and indications for mri hand. Patient in prone position with elevated arm (‘superman position’) thumb fully extended and at center of scanner. Perform routine hip protocol but perform axial and coronal images to include both. Coronal Mri Thumb Planning.
From radsource.us
Atypical Scan Angles in Musculoskeletal MRI Radsource Coronal Mri Thumb Planning Align the planning block parallel to the. Use rest slab proximal to wrist to reduce flow and pulsatile motion. The planes of section (sagittal, coronal, and axial) must be aligned to the digit of interest; The planes of section (sagittal, coronal, and axial) must be aligned to the digit of interest; This alignment is especially critical for imaging the. Patient. Coronal Mri Thumb Planning.
From www.mriclinicalcasemap.philips.com
Noninvasive nerve plexus imaging Philips MR Body Map Coronal Mri Thumb Planning The planes of section (sagittal, coronal, and axial) must be aligned to the digit of interest; Perform routine hip protocol but perform axial and coronal images to include both right and. Patient in prone position with elevated arm (‘superman position’) thumb fully extended and at center of scanner. Use rest slab proximal to wrist to reduce flow and pulsatile motion.. Coronal Mri Thumb Planning.
From quizlet.com
DXI 210 pelvis and hip, coronal MRI 3 Diagram Quizlet Coronal Mri Thumb Planning This section of the website will explain how to plan for an mri hand scan, protocols for mri hand, how to position for mri hand and indications for mri hand. Patient in prone position with elevated arm (‘superman position’) thumb fully extended and at center of scanner. Align the planning block parallel to the. Perform routine hip protocol but perform. Coronal Mri Thumb Planning.
From www.mriclinicalcasemap.philips.com
Comprehensive wrist imaging Philips MR Body Map Coronal Mri Thumb Planning Align the planning block parallel to the. This section of the website will explain how to plan for an mri hand scan, protocols for mri hand, how to position for mri hand and indications for mri hand. Use rest slab proximal to wrist to reduce flow and pulsatile motion. Patient in prone position with elevated arm (‘superman position’) thumb fully. Coronal Mri Thumb Planning.
From quizlet.com
Coronal MRI Scan Diagram Quizlet Coronal Mri Thumb Planning Plan the thumb coronal localizer on the hand coronal localizer. 11 rows use flex or head coil. This section of the website will explain how to plan for an mri hand scan, protocols for mri hand, how to position for mri hand and indications for mri hand. Use rest slab proximal to wrist to reduce flow and pulsatile motion. Patient. Coronal Mri Thumb Planning.
From radsource.us
Thumb CMC Joint Coronal Mri Thumb Planning Align the planning block parallel to the. Patient in prone position with elevated arm (‘superman position’) thumb fully extended and at center of scanner. Plan the thumb coronal localizer on the hand coronal localizer. The planes of section (sagittal, coronal, and axial) must be aligned to the digit of interest; Perform routine hip protocol but perform axial and coronal images. Coronal Mri Thumb Planning.
From www.mriclinicalcasemap.philips.com
Thumb imaging Philips MR Body Map Coronal Mri Thumb Planning 11 rows use flex or head coil. The planes of section (sagittal, coronal, and axial) must be aligned to the digit of interest; This section of the website will explain how to plan for an mri hand scan, protocols for mri hand, how to position for mri hand and indications for mri hand. Patient in prone position with elevated arm. Coronal Mri Thumb Planning.
From quizlet.com
MRI coronal at 3rd ventricular level Diagram Quizlet Coronal Mri Thumb Planning Align the planning block parallel to the. Perform routine hip protocol but perform axial and coronal images to include both right and. Plan the thumb coronal localizer on the hand coronal localizer. The planes of section (sagittal, coronal, and axial) must be aligned to the digit of interest; Use rest slab proximal to wrist to reduce flow and pulsatile motion.. Coronal Mri Thumb Planning.
From mss-ijmsr.com
3T Resonance Imaging of the Thumbnormal Appearances and Coronal Mri Thumb Planning This section of the website will explain how to plan for an mri hand scan, protocols for mri hand, how to position for mri hand and indications for mri hand. This alignment is especially critical for imaging the. Use rest slab proximal to wrist to reduce flow and pulsatile motion. The planes of section (sagittal, coronal, and axial) must be. Coronal Mri Thumb Planning.
From www.ohsu.edu
MR Finger (Not Thumb) WO and W/WO Protocol OHSU Coronal Mri Thumb Planning This alignment is especially critical for imaging the. The planes of section (sagittal, coronal, and axial) must be aligned to the digit of interest; Patient in prone position with elevated arm (‘superman position’) thumb fully extended and at center of scanner. Plan the thumb coronal localizer on the hand coronal localizer. Align the planning block parallel to the. Use rest. Coronal Mri Thumb Planning.
From www.ohsu.edu
MR Thumb WO and W/WO Protocol OHSU Coronal Mri Thumb Planning The planes of section (sagittal, coronal, and axial) must be aligned to the digit of interest; Align the planning block parallel to the. Plan the thumb coronal localizer on the hand coronal localizer. This alignment is especially critical for imaging the. Perform routine hip protocol but perform axial and coronal images to include both right and. 11 rows use flex. Coronal Mri Thumb Planning.
From quizlet.com
coronal MRI 4 Diagram Quizlet Coronal Mri Thumb Planning Align the planning block parallel to the. The planes of section (sagittal, coronal, and axial) must be aligned to the digit of interest; The planes of section (sagittal, coronal, and axial) must be aligned to the digit of interest; Plan the thumb coronal localizer on the hand coronal localizer. 11 rows use flex or head coil. Use rest slab proximal. Coronal Mri Thumb Planning.
From www.researchgate.net
Coronal T2 weighted fatsuppressed MRI of the thumb demonstrating the Coronal Mri Thumb Planning The planes of section (sagittal, coronal, and axial) must be aligned to the digit of interest; 11 rows use flex or head coil. Align the planning block parallel to the. Plan the thumb coronal localizer on the hand coronal localizer. The planes of section (sagittal, coronal, and axial) must be aligned to the digit of interest; Use rest slab proximal. Coronal Mri Thumb Planning.
From www.mriclinicalcasemap.philips.com
High resolution shoulder imaging Philips MR Body Map Coronal Mri Thumb Planning The planes of section (sagittal, coronal, and axial) must be aligned to the digit of interest; This alignment is especially critical for imaging the. Patient in prone position with elevated arm (‘superman position’) thumb fully extended and at center of scanner. This section of the website will explain how to plan for an mri hand scan, protocols for mri hand,. Coronal Mri Thumb Planning.
From casereports.bmj.com
Bilateral Motor Cortex Control for Left Thumb Movement An Incidental Coronal Mri Thumb Planning Plan the thumb coronal localizer on the hand coronal localizer. This alignment is especially critical for imaging the. The planes of section (sagittal, coronal, and axial) must be aligned to the digit of interest; Patient in prone position with elevated arm (‘superman position’) thumb fully extended and at center of scanner. Use rest slab proximal to wrist to reduce flow. Coronal Mri Thumb Planning.
From www.ncbi.nlm.nih.gov
Figure 4, [Coronal T2weighted MRI scan showing...]. Glioblastoma Coronal Mri Thumb Planning Patient in prone position with elevated arm (‘superman position’) thumb fully extended and at center of scanner. Align the planning block parallel to the. Perform routine hip protocol but perform axial and coronal images to include both right and. Use rest slab proximal to wrist to reduce flow and pulsatile motion. Plan the thumb coronal localizer on the hand coronal. Coronal Mri Thumb Planning.
From quizlet.com
Coronal brain MRI Diagram Quizlet Coronal Mri Thumb Planning Align the planning block parallel to the. Patient in prone position with elevated arm (‘superman position’) thumb fully extended and at center of scanner. Use rest slab proximal to wrist to reduce flow and pulsatile motion. The planes of section (sagittal, coronal, and axial) must be aligned to the digit of interest; This alignment is especially critical for imaging the.. Coronal Mri Thumb Planning.
From quizlet.com
FIG. 9.103 Coronal, T1weighted MRI of brachioradialis muscle, left arm Coronal Mri Thumb Planning The planes of section (sagittal, coronal, and axial) must be aligned to the digit of interest; This section of the website will explain how to plan for an mri hand scan, protocols for mri hand, how to position for mri hand and indications for mri hand. This alignment is especially critical for imaging the. Use rest slab proximal to wrist. Coronal Mri Thumb Planning.
From quizlet.com
Label T1 Coronal MRI of Hip Diagram Quizlet Coronal Mri Thumb Planning This alignment is especially critical for imaging the. Plan the thumb coronal localizer on the hand coronal localizer. Use rest slab proximal to wrist to reduce flow and pulsatile motion. Perform routine hip protocol but perform axial and coronal images to include both right and. The planes of section (sagittal, coronal, and axial) must be aligned to the digit of. Coronal Mri Thumb Planning.
From casereports.bmj.com
Simultaneous combined complete tear of radial and ulnar collateral Coronal Mri Thumb Planning Plan the thumb coronal localizer on the hand coronal localizer. Use rest slab proximal to wrist to reduce flow and pulsatile motion. Align the planning block parallel to the. Patient in prone position with elevated arm (‘superman position’) thumb fully extended and at center of scanner. 11 rows use flex or head coil. This alignment is especially critical for imaging. Coronal Mri Thumb Planning.
From www.bmj.com
Coronal T2 weighted resonance image of the brain The BMJ Coronal Mri Thumb Planning Use rest slab proximal to wrist to reduce flow and pulsatile motion. Plan the thumb coronal localizer on the hand coronal localizer. Align the planning block parallel to the. 11 rows use flex or head coil. The planes of section (sagittal, coronal, and axial) must be aligned to the digit of interest; This alignment is especially critical for imaging the.. Coronal Mri Thumb Planning.
From www.jhandsurg.org
Gamekeeper’s Thumb—A TreatmentOriented Resonance Imaging Coronal Mri Thumb Planning 11 rows use flex or head coil. The planes of section (sagittal, coronal, and axial) must be aligned to the digit of interest; Patient in prone position with elevated arm (‘superman position’) thumb fully extended and at center of scanner. Align the planning block parallel to the. This section of the website will explain how to plan for an mri. Coronal Mri Thumb Planning.
From openi.nlm.nih.gov
Coronal MRI image demonstrating the intracanalicular ma Openi Coronal Mri Thumb Planning This alignment is especially critical for imaging the. Use rest slab proximal to wrist to reduce flow and pulsatile motion. Align the planning block parallel to the. Perform routine hip protocol but perform axial and coronal images to include both right and. The planes of section (sagittal, coronal, and axial) must be aligned to the digit of interest; 11 rows. Coronal Mri Thumb Planning.
From quizlet.com
MRI KNEE CORONAL 5 Diagram Quizlet Coronal Mri Thumb Planning 11 rows use flex or head coil. The planes of section (sagittal, coronal, and axial) must be aligned to the digit of interest; The planes of section (sagittal, coronal, and axial) must be aligned to the digit of interest; Perform routine hip protocol but perform axial and coronal images to include both right and. This section of the website will. Coronal Mri Thumb Planning.
From quizlet.com
coronal MRI 5 Diagram Quizlet Coronal Mri Thumb Planning Use rest slab proximal to wrist to reduce flow and pulsatile motion. 11 rows use flex or head coil. Perform routine hip protocol but perform axial and coronal images to include both right and. This section of the website will explain how to plan for an mri hand scan, protocols for mri hand, how to position for mri hand and. Coronal Mri Thumb Planning.
From neurosurgery.ufl.edu
Pediatric Craniosynostosis UF Pediatric Neurosurgery » Pediatric Coronal Mri Thumb Planning This alignment is especially critical for imaging the. Perform routine hip protocol but perform axial and coronal images to include both right and. The planes of section (sagittal, coronal, and axial) must be aligned to the digit of interest; Plan the thumb coronal localizer on the hand coronal localizer. Use rest slab proximal to wrist to reduce flow and pulsatile. Coronal Mri Thumb Planning.
From quizlet.com
Diagram of Brain Coronal MRI Quizlet Coronal Mri Thumb Planning The planes of section (sagittal, coronal, and axial) must be aligned to the digit of interest; Plan the thumb coronal localizer on the hand coronal localizer. Perform routine hip protocol but perform axial and coronal images to include both right and. This section of the website will explain how to plan for an mri hand scan, protocols for mri hand,. Coronal Mri Thumb Planning.