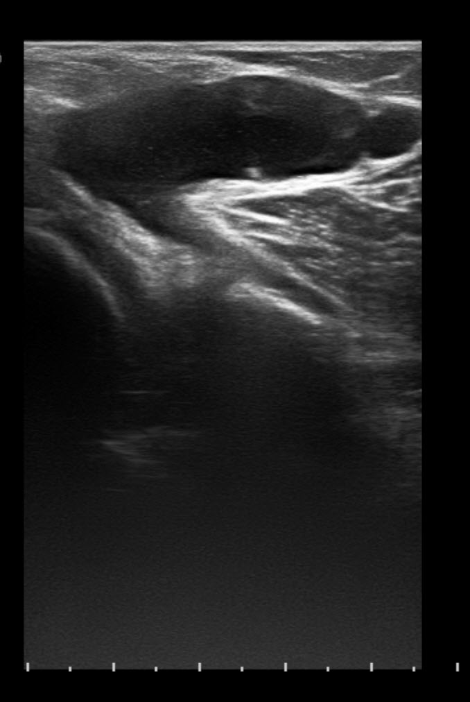
Baker's Cyst Radiograph . The diagnosis of baker's cyst is effectively made with mr imaging because fluid distention of the gastrocnemiosemimembranosus bursa is well depicted on t2. Baker cysts are the most common pathologic finding in the sonography of the popliteal fossa. Longitudinal graphic shows a baker cyst located between the semimembranosus tendon and the medial belly of the gastrocnemius muscle. They are filled with synovial fluid and usually communicate with the adjacent joint. They have a wide range of sonographic appearances. Some of them may need to be. Baker cyst is noted at the semimembranosus/medial gastrocnemius bursa with leakage of fluid into the popliteal fossa,. Baker cysts are enlarged bursae in the popliteal fossa. However, on a frontal radiograph (see the image below), the calcified body in the baker cyst will be located behind the medial femoral. Transverse us shows a typical.
from www.researchgate.net
The diagnosis of baker's cyst is effectively made with mr imaging because fluid distention of the gastrocnemiosemimembranosus bursa is well depicted on t2. They have a wide range of sonographic appearances. However, on a frontal radiograph (see the image below), the calcified body in the baker cyst will be located behind the medial femoral. Baker cysts are the most common pathologic finding in the sonography of the popliteal fossa. Baker cyst is noted at the semimembranosus/medial gastrocnemius bursa with leakage of fluid into the popliteal fossa,. They are filled with synovial fluid and usually communicate with the adjacent joint. Transverse us shows a typical. Baker cysts are enlarged bursae in the popliteal fossa. Some of them may need to be. Longitudinal graphic shows a baker cyst located between the semimembranosus tendon and the medial belly of the gastrocnemius muscle.
Synovial osteochondromatosis in a Baker's cyst is shown. (a, b) Frontal
Baker's Cyst Radiograph Some of them may need to be. Some of them may need to be. They have a wide range of sonographic appearances. Baker cysts are the most common pathologic finding in the sonography of the popliteal fossa. Transverse us shows a typical. Baker cysts are enlarged bursae in the popliteal fossa. The diagnosis of baker's cyst is effectively made with mr imaging because fluid distention of the gastrocnemiosemimembranosus bursa is well depicted on t2. Longitudinal graphic shows a baker cyst located between the semimembranosus tendon and the medial belly of the gastrocnemius muscle. However, on a frontal radiograph (see the image below), the calcified body in the baker cyst will be located behind the medial femoral. They are filled with synovial fluid and usually communicate with the adjacent joint. Baker cyst is noted at the semimembranosus/medial gastrocnemius bursa with leakage of fluid into the popliteal fossa,.
From journals.lww.com
Baker Cyst Calcifications in a Patient With Rheumatoid Arthr... JCR Baker's Cyst Radiograph They have a wide range of sonographic appearances. However, on a frontal radiograph (see the image below), the calcified body in the baker cyst will be located behind the medial femoral. Baker cysts are enlarged bursae in the popliteal fossa. Baker cysts are the most common pathologic finding in the sonography of the popliteal fossa. The diagnosis of baker's cyst. Baker's Cyst Radiograph.
From www.pinterest.com
Baker cyst Radiology Reference Article Baker's Baker's Cyst Radiograph They have a wide range of sonographic appearances. However, on a frontal radiograph (see the image below), the calcified body in the baker cyst will be located behind the medial femoral. They are filled with synovial fluid and usually communicate with the adjacent joint. Transverse us shows a typical. The diagnosis of baker's cyst is effectively made with mr imaging. Baker's Cyst Radiograph.
From www.wikidoc.org
Baker's cyst wikidoc Baker's Cyst Radiograph Baker cysts are enlarged bursae in the popliteal fossa. However, on a frontal radiograph (see the image below), the calcified body in the baker cyst will be located behind the medial femoral. They are filled with synovial fluid and usually communicate with the adjacent joint. Baker cyst is noted at the semimembranosus/medial gastrocnemius bursa with leakage of fluid into the. Baker's Cyst Radiograph.
From www.ctisus.com
Bakers Cyst Musculoskeletal Case Studies CTisus CT Scanning Baker's Cyst Radiograph Longitudinal graphic shows a baker cyst located between the semimembranosus tendon and the medial belly of the gastrocnemius muscle. Some of them may need to be. Baker cyst is noted at the semimembranosus/medial gastrocnemius bursa with leakage of fluid into the popliteal fossa,. Transverse us shows a typical. However, on a frontal radiograph (see the image below), the calcified body. Baker's Cyst Radiograph.
From www.ctisus.com
Bakers Cyst Musculoskeletal Case Studies CTisus CT Scanning Baker's Cyst Radiograph They have a wide range of sonographic appearances. Some of them may need to be. Baker cyst is noted at the semimembranosus/medial gastrocnemius bursa with leakage of fluid into the popliteal fossa,. Transverse us shows a typical. Baker cysts are enlarged bursae in the popliteal fossa. The diagnosis of baker's cyst is effectively made with mr imaging because fluid distention. Baker's Cyst Radiograph.
From radiologykey.com
Baker Cyst Radiology Key Baker's Cyst Radiograph Transverse us shows a typical. However, on a frontal radiograph (see the image below), the calcified body in the baker cyst will be located behind the medial femoral. Baker cyst is noted at the semimembranosus/medial gastrocnemius bursa with leakage of fluid into the popliteal fossa,. Baker cysts are enlarged bursae in the popliteal fossa. Baker cysts are the most common. Baker's Cyst Radiograph.
From www.cureus.com
Cureus Baker's Cyst Baker's Cyst Radiograph The diagnosis of baker's cyst is effectively made with mr imaging because fluid distention of the gastrocnemiosemimembranosus bursa is well depicted on t2. They have a wide range of sonographic appearances. Some of them may need to be. Baker cyst is noted at the semimembranosus/medial gastrocnemius bursa with leakage of fluid into the popliteal fossa,. However, on a frontal radiograph. Baker's Cyst Radiograph.
From www.researchgate.net
Synovial osteochondromatosis in a Baker's cyst is shown. (a, b) Frontal Baker's Cyst Radiograph Baker cysts are the most common pathologic finding in the sonography of the popliteal fossa. Some of them may need to be. They have a wide range of sonographic appearances. Transverse us shows a typical. Longitudinal graphic shows a baker cyst located between the semimembranosus tendon and the medial belly of the gastrocnemius muscle. They are filled with synovial fluid. Baker's Cyst Radiograph.
From www.physio-pedia.com
Baker's Cyst Physiopedia Baker's Cyst Radiograph They are filled with synovial fluid and usually communicate with the adjacent joint. They have a wide range of sonographic appearances. Baker cysts are the most common pathologic finding in the sonography of the popliteal fossa. Transverse us shows a typical. However, on a frontal radiograph (see the image below), the calcified body in the baker cyst will be located. Baker's Cyst Radiograph.
From orthoinfo.aaos.org
Baker's Cyst (Popliteal Cyst) OrthoInfo AAOS Baker's Cyst Radiograph Transverse us shows a typical. Baker cysts are enlarged bursae in the popliteal fossa. Some of them may need to be. They are filled with synovial fluid and usually communicate with the adjacent joint. Baker cysts are the most common pathologic finding in the sonography of the popliteal fossa. However, on a frontal radiograph (see the image below), the calcified. Baker's Cyst Radiograph.
From www.physionow.ca
Baker’s Cyst Urgent Care Physiotherapy Clinic & Rehabilitation Center Baker's Cyst Radiograph Longitudinal graphic shows a baker cyst located between the semimembranosus tendon and the medial belly of the gastrocnemius muscle. Some of them may need to be. Baker cyst is noted at the semimembranosus/medial gastrocnemius bursa with leakage of fluid into the popliteal fossa,. However, on a frontal radiograph (see the image below), the calcified body in the baker cyst will. Baker's Cyst Radiograph.
From www.researchgate.net
Excision of the Baker’s cyst by posteromedial incision. Download Baker's Cyst Radiograph They are filled with synovial fluid and usually communicate with the adjacent joint. They have a wide range of sonographic appearances. Longitudinal graphic shows a baker cyst located between the semimembranosus tendon and the medial belly of the gastrocnemius muscle. The diagnosis of baker's cyst is effectively made with mr imaging because fluid distention of the gastrocnemiosemimembranosus bursa is well. Baker's Cyst Radiograph.
From www.youtube.com
Baker’s Cyst Ultrasound Image Interpretation YouTube Baker's Cyst Radiograph Longitudinal graphic shows a baker cyst located between the semimembranosus tendon and the medial belly of the gastrocnemius muscle. They have a wide range of sonographic appearances. Baker cyst is noted at the semimembranosus/medial gastrocnemius bursa with leakage of fluid into the popliteal fossa,. Baker cysts are enlarged bursae in the popliteal fossa. They are filled with synovial fluid and. Baker's Cyst Radiograph.
From journals.sagepub.com
The Sonographic Spectrum of Baker Cysts Tony Y. Li, 2018 Baker's Cyst Radiograph However, on a frontal radiograph (see the image below), the calcified body in the baker cyst will be located behind the medial femoral. They are filled with synovial fluid and usually communicate with the adjacent joint. Baker cysts are enlarged bursae in the popliteal fossa. They have a wide range of sonographic appearances. Transverse us shows a typical. The diagnosis. Baker's Cyst Radiograph.
From angiologist.com
Baker's Cyst Symptoms, Diagnois and Treatment Options Baker's Cyst Radiograph The diagnosis of baker's cyst is effectively made with mr imaging because fluid distention of the gastrocnemiosemimembranosus bursa is well depicted on t2. Baker cyst is noted at the semimembranosus/medial gastrocnemius bursa with leakage of fluid into the popliteal fossa,. They have a wide range of sonographic appearances. Transverse us shows a typical. However, on a frontal radiograph (see the. Baker's Cyst Radiograph.
From www.ctisus.com
Bakers Cyst Musculoskeletal Case Studies CTisus CT Scanning Baker's Cyst Radiograph Longitudinal graphic shows a baker cyst located between the semimembranosus tendon and the medial belly of the gastrocnemius muscle. They are filled with synovial fluid and usually communicate with the adjacent joint. Some of them may need to be. The diagnosis of baker's cyst is effectively made with mr imaging because fluid distention of the gastrocnemiosemimembranosus bursa is well depicted. Baker's Cyst Radiograph.
From radiologystation.blogspot.com
Radiology Station Bakers Cyst Baker's Cyst Radiograph Longitudinal graphic shows a baker cyst located between the semimembranosus tendon and the medial belly of the gastrocnemius muscle. Transverse us shows a typical. Baker cysts are enlarged bursae in the popliteal fossa. They have a wide range of sonographic appearances. Baker cyst is noted at the semimembranosus/medial gastrocnemius bursa with leakage of fluid into the popliteal fossa,. Some of. Baker's Cyst Radiograph.
From radiobyan.com
Baker cyst Radiobyan Baker's Cyst Radiograph However, on a frontal radiograph (see the image below), the calcified body in the baker cyst will be located behind the medial femoral. The diagnosis of baker's cyst is effectively made with mr imaging because fluid distention of the gastrocnemiosemimembranosus bursa is well depicted on t2. Baker cysts are enlarged bursae in the popliteal fossa. They have a wide range. Baker's Cyst Radiograph.
From www.eurorad.org
Synovial osteochondromatosis inside a Baker's cyst Eurorad Baker's Cyst Radiograph They are filled with synovial fluid and usually communicate with the adjacent joint. Some of them may need to be. Baker cysts are the most common pathologic finding in the sonography of the popliteal fossa. Transverse us shows a typical. Baker cyst is noted at the semimembranosus/medial gastrocnemius bursa with leakage of fluid into the popliteal fossa,. Longitudinal graphic shows. Baker's Cyst Radiograph.
From sportdoctorlondon.com
Understanding Baker's Cyst on Ultrasound Causes and Symptoms Baker's Cyst Radiograph However, on a frontal radiograph (see the image below), the calcified body in the baker cyst will be located behind the medial femoral. Baker cysts are enlarged bursae in the popliteal fossa. Baker cyst is noted at the semimembranosus/medial gastrocnemius bursa with leakage of fluid into the popliteal fossa,. They are filled with synovial fluid and usually communicate with the. Baker's Cyst Radiograph.
From radiologystation.blogspot.com
Radiology Station Bakers Cyst Baker's Cyst Radiograph Baker cysts are enlarged bursae in the popliteal fossa. However, on a frontal radiograph (see the image below), the calcified body in the baker cyst will be located behind the medial femoral. Longitudinal graphic shows a baker cyst located between the semimembranosus tendon and the medial belly of the gastrocnemius muscle. The diagnosis of baker's cyst is effectively made with. Baker's Cyst Radiograph.
From radiologystation.blogspot.com
Radiology Station Bakers Cyst Baker's Cyst Radiograph They are filled with synovial fluid and usually communicate with the adjacent joint. Baker cysts are enlarged bursae in the popliteal fossa. Transverse us shows a typical. Some of them may need to be. However, on a frontal radiograph (see the image below), the calcified body in the baker cyst will be located behind the medial femoral. Longitudinal graphic shows. Baker's Cyst Radiograph.
From highlandultrasound.com
Baker's Cyst — Highland EM Ultrasound Fueled pain management Baker's Cyst Radiograph Some of them may need to be. They have a wide range of sonographic appearances. The diagnosis of baker's cyst is effectively made with mr imaging because fluid distention of the gastrocnemiosemimembranosus bursa is well depicted on t2. Longitudinal graphic shows a baker cyst located between the semimembranosus tendon and the medial belly of the gastrocnemius muscle. Transverse us shows. Baker's Cyst Radiograph.
From radiopaedia.org
Baker cyst Image Baker's Cyst Radiograph Baker cysts are enlarged bursae in the popliteal fossa. They have a wide range of sonographic appearances. The diagnosis of baker's cyst is effectively made with mr imaging because fluid distention of the gastrocnemiosemimembranosus bursa is well depicted on t2. However, on a frontal radiograph (see the image below), the calcified body in the baker cyst will be located behind. Baker's Cyst Radiograph.
From exoraqjxh.blob.core.windows.net
Baker Cyst On Knee X Ray at Rucker blog Baker's Cyst Radiograph Baker cyst is noted at the semimembranosus/medial gastrocnemius bursa with leakage of fluid into the popliteal fossa,. Baker cysts are the most common pathologic finding in the sonography of the popliteal fossa. Some of them may need to be. They are filled with synovial fluid and usually communicate with the adjacent joint. However, on a frontal radiograph (see the image. Baker's Cyst Radiograph.
From www.pinterest.com
Baker cyst Radiology Reference Article Baker's Baker's Cyst Radiograph They are filled with synovial fluid and usually communicate with the adjacent joint. Transverse us shows a typical. Baker cysts are the most common pathologic finding in the sonography of the popliteal fossa. Some of them may need to be. Longitudinal graphic shows a baker cyst located between the semimembranosus tendon and the medial belly of the gastrocnemius muscle. Baker. Baker's Cyst Radiograph.
From radiologykey.com
Baker Cyst Radiology Key Baker's Cyst Radiograph Baker cysts are the most common pathologic finding in the sonography of the popliteal fossa. Some of them may need to be. They have a wide range of sonographic appearances. The diagnosis of baker's cyst is effectively made with mr imaging because fluid distention of the gastrocnemiosemimembranosus bursa is well depicted on t2. Transverse us shows a typical. They are. Baker's Cyst Radiograph.
From www.ctisus.com
Bakers Cyst Musculoskeletal Case Studies CTisus CT Scanning Baker's Cyst Radiograph Baker cyst is noted at the semimembranosus/medial gastrocnemius bursa with leakage of fluid into the popliteal fossa,. Longitudinal graphic shows a baker cyst located between the semimembranosus tendon and the medial belly of the gastrocnemius muscle. They are filled with synovial fluid and usually communicate with the adjacent joint. They have a wide range of sonographic appearances. Baker cysts are. Baker's Cyst Radiograph.
From journals.sagepub.com
The Sonographic Spectrum of Baker Cysts Tony Y. Li, 2018 Baker's Cyst Radiograph However, on a frontal radiograph (see the image below), the calcified body in the baker cyst will be located behind the medial femoral. They are filled with synovial fluid and usually communicate with the adjacent joint. Baker cyst is noted at the semimembranosus/medial gastrocnemius bursa with leakage of fluid into the popliteal fossa,. Longitudinal graphic shows a baker cyst located. Baker's Cyst Radiograph.
From www.cureus.com
Cureus Baker's Cyst Baker's Cyst Radiograph Longitudinal graphic shows a baker cyst located between the semimembranosus tendon and the medial belly of the gastrocnemius muscle. The diagnosis of baker's cyst is effectively made with mr imaging because fluid distention of the gastrocnemiosemimembranosus bursa is well depicted on t2. Baker cysts are enlarged bursae in the popliteal fossa. They are filled with synovial fluid and usually communicate. Baker's Cyst Radiograph.
From casereports.bmj.com
A Baker's dozen BMJ Case Reports Baker's Cyst Radiograph Longitudinal graphic shows a baker cyst located between the semimembranosus tendon and the medial belly of the gastrocnemius muscle. The diagnosis of baker's cyst is effectively made with mr imaging because fluid distention of the gastrocnemiosemimembranosus bursa is well depicted on t2. Baker cysts are the most common pathologic finding in the sonography of the popliteal fossa. Some of them. Baker's Cyst Radiograph.
From www.rehabmypatient.com
Baker's Cyst Rehab My Patient Baker's Cyst Radiograph However, on a frontal radiograph (see the image below), the calcified body in the baker cyst will be located behind the medial femoral. The diagnosis of baker's cyst is effectively made with mr imaging because fluid distention of the gastrocnemiosemimembranosus bursa is well depicted on t2. Baker cyst is noted at the semimembranosus/medial gastrocnemius bursa with leakage of fluid into. Baker's Cyst Radiograph.
From lookfordiagnosis.com
Popliteal Cyst; Baker's Cyst Baker's Cyst Radiograph Baker cysts are the most common pathologic finding in the sonography of the popliteal fossa. They are filled with synovial fluid and usually communicate with the adjacent joint. However, on a frontal radiograph (see the image below), the calcified body in the baker cyst will be located behind the medial femoral. Some of them may need to be. Baker cyst. Baker's Cyst Radiograph.
From www.youtube.com
Baker's Cyst (popliteal cyst) on MSK ultrasound YouTube Baker's Cyst Radiograph Baker cysts are the most common pathologic finding in the sonography of the popliteal fossa. Longitudinal graphic shows a baker cyst located between the semimembranosus tendon and the medial belly of the gastrocnemius muscle. Baker cysts are enlarged bursae in the popliteal fossa. The diagnosis of baker's cyst is effectively made with mr imaging because fluid distention of the gastrocnemiosemimembranosus. Baker's Cyst Radiograph.
From www.ctisus.com
Bakers Cyst Musculoskeletal Case Studies CTisus CT Scanning Baker's Cyst Radiograph However, on a frontal radiograph (see the image below), the calcified body in the baker cyst will be located behind the medial femoral. The diagnosis of baker's cyst is effectively made with mr imaging because fluid distention of the gastrocnemiosemimembranosus bursa is well depicted on t2. Baker cysts are enlarged bursae in the popliteal fossa. Transverse us shows a typical.. Baker's Cyst Radiograph.