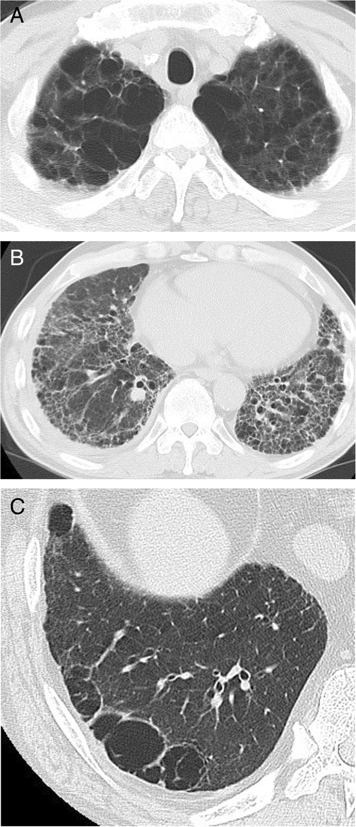
Emphysema Autopsy Case Report . Radiological patterns of the upper. We report an educational autopsy case of combined pulmonary fibrosis and emphysema. Here we show a rarely reported complication of a fatal asthma attack that is. We report an educational autopsy case of combined pulmonary fibrosis and emphysema. Radiological patterns of the upper. We reviewed 28 cases of fatal asthma tissue and identified the presence of pulmonary interstitial emphysema in 10% of the cases.
from www.researchgate.net
Radiological patterns of the upper. We report an educational autopsy case of combined pulmonary fibrosis and emphysema. We report an educational autopsy case of combined pulmonary fibrosis and emphysema. Radiological patterns of the upper. We reviewed 28 cases of fatal asthma tissue and identified the presence of pulmonary interstitial emphysema in 10% of the cases. Here we show a rarely reported complication of a fatal asthma attack that is.
(PDF) Pathological and radiological correlation in an autopsy case of
Emphysema Autopsy Case Report Radiological patterns of the upper. Radiological patterns of the upper. Here we show a rarely reported complication of a fatal asthma attack that is. We report an educational autopsy case of combined pulmonary fibrosis and emphysema. We report an educational autopsy case of combined pulmonary fibrosis and emphysema. Radiological patterns of the upper. We reviewed 28 cases of fatal asthma tissue and identified the presence of pulmonary interstitial emphysema in 10% of the cases.
From www.researchgate.net
(PDF) Pathological and radiological correlation in an autopsy case of Emphysema Autopsy Case Report We report an educational autopsy case of combined pulmonary fibrosis and emphysema. We report an educational autopsy case of combined pulmonary fibrosis and emphysema. Radiological patterns of the upper. Here we show a rarely reported complication of a fatal asthma attack that is. Radiological patterns of the upper. We reviewed 28 cases of fatal asthma tissue and identified the presence. Emphysema Autopsy Case Report.
From www.semanticscholar.org
Figure 1 from An Autopsy Case of Congenital Pulmonary Lymphangiectasis Emphysema Autopsy Case Report We reviewed 28 cases of fatal asthma tissue and identified the presence of pulmonary interstitial emphysema in 10% of the cases. Radiological patterns of the upper. Here we show a rarely reported complication of a fatal asthma attack that is. We report an educational autopsy case of combined pulmonary fibrosis and emphysema. Radiological patterns of the upper. We report an. Emphysema Autopsy Case Report.
From www.researchgate.net
(PDF) An autopsy study of combined pulmonary fibrosis and emphysema Emphysema Autopsy Case Report Radiological patterns of the upper. We report an educational autopsy case of combined pulmonary fibrosis and emphysema. Radiological patterns of the upper. We report an educational autopsy case of combined pulmonary fibrosis and emphysema. We reviewed 28 cases of fatal asthma tissue and identified the presence of pulmonary interstitial emphysema in 10% of the cases. Here we show a rarely. Emphysema Autopsy Case Report.
From journal.copdfoundation.org
Images Pulmonary Fibrosis and Emphysema Journal of The COPD Foundation Emphysema Autopsy Case Report Here we show a rarely reported complication of a fatal asthma attack that is. We report an educational autopsy case of combined pulmonary fibrosis and emphysema. We reviewed 28 cases of fatal asthma tissue and identified the presence of pulmonary interstitial emphysema in 10% of the cases. Radiological patterns of the upper. Radiological patterns of the upper. We report an. Emphysema Autopsy Case Report.
From elispot.biz
What’s emphysema Emphysema American Lung Association Emphysema Autopsy Case Report We report an educational autopsy case of combined pulmonary fibrosis and emphysema. We reviewed 28 cases of fatal asthma tissue and identified the presence of pulmonary interstitial emphysema in 10% of the cases. Here we show a rarely reported complication of a fatal asthma attack that is. Radiological patterns of the upper. Radiological patterns of the upper. We report an. Emphysema Autopsy Case Report.
From www.semanticscholar.org
Figure 2 from Management of extensive surgical emphysema with Emphysema Autopsy Case Report We report an educational autopsy case of combined pulmonary fibrosis and emphysema. We report an educational autopsy case of combined pulmonary fibrosis and emphysema. Radiological patterns of the upper. Radiological patterns of the upper. We reviewed 28 cases of fatal asthma tissue and identified the presence of pulmonary interstitial emphysema in 10% of the cases. Here we show a rarely. Emphysema Autopsy Case Report.
From www.researchgate.net
(PDF) Combined Unclassifiable Interstitial Pneumonia and Emphysema A Emphysema Autopsy Case Report We report an educational autopsy case of combined pulmonary fibrosis and emphysema. Radiological patterns of the upper. We reviewed 28 cases of fatal asthma tissue and identified the presence of pulmonary interstitial emphysema in 10% of the cases. We report an educational autopsy case of combined pulmonary fibrosis and emphysema. Here we show a rarely reported complication of a fatal. Emphysema Autopsy Case Report.
From www.researchgate.net
(PDF) Spontaneous Pneumomediastinum, Subcutaneous Emphysema and Emphysema Autopsy Case Report Radiological patterns of the upper. We report an educational autopsy case of combined pulmonary fibrosis and emphysema. Here we show a rarely reported complication of a fatal asthma attack that is. We reviewed 28 cases of fatal asthma tissue and identified the presence of pulmonary interstitial emphysema in 10% of the cases. Radiological patterns of the upper. We report an. Emphysema Autopsy Case Report.
From www.academia.edu
(PDF) Massive Subcutaneous Emphysema, Pneumothorax and Pneumoscrotum Emphysema Autopsy Case Report Radiological patterns of the upper. We report an educational autopsy case of combined pulmonary fibrosis and emphysema. We reviewed 28 cases of fatal asthma tissue and identified the presence of pulmonary interstitial emphysema in 10% of the cases. We report an educational autopsy case of combined pulmonary fibrosis and emphysema. Here we show a rarely reported complication of a fatal. Emphysema Autopsy Case Report.
From www.researchgate.net
Representative cases of combined pulmonary fibrosis and emphysema Emphysema Autopsy Case Report Radiological patterns of the upper. We report an educational autopsy case of combined pulmonary fibrosis and emphysema. We reviewed 28 cases of fatal asthma tissue and identified the presence of pulmonary interstitial emphysema in 10% of the cases. We report an educational autopsy case of combined pulmonary fibrosis and emphysema. Radiological patterns of the upper. Here we show a rarely. Emphysema Autopsy Case Report.
From www.researchgate.net
(PDF) Pediatric spontaneous retropharyngeal emphysema A case report Emphysema Autopsy Case Report We report an educational autopsy case of combined pulmonary fibrosis and emphysema. We reviewed 28 cases of fatal asthma tissue and identified the presence of pulmonary interstitial emphysema in 10% of the cases. Radiological patterns of the upper. Here we show a rarely reported complication of a fatal asthma attack that is. Radiological patterns of the upper. We report an. Emphysema Autopsy Case Report.
From www.researchgate.net
(PDF) SUBCUTANEOUS EMPHYSEMA AND PNEUMOMEDIASTINUM DUE TO FOREIGN BODY Emphysema Autopsy Case Report We report an educational autopsy case of combined pulmonary fibrosis and emphysema. Radiological patterns of the upper. Here we show a rarely reported complication of a fatal asthma attack that is. Radiological patterns of the upper. We reviewed 28 cases of fatal asthma tissue and identified the presence of pulmonary interstitial emphysema in 10% of the cases. We report an. Emphysema Autopsy Case Report.
From www.researchgate.net
(PDF) Management of Extensive Surgical Emphysema with Subcutaneous Emphysema Autopsy Case Report We reviewed 28 cases of fatal asthma tissue and identified the presence of pulmonary interstitial emphysema in 10% of the cases. We report an educational autopsy case of combined pulmonary fibrosis and emphysema. Here we show a rarely reported complication of a fatal asthma attack that is. We report an educational autopsy case of combined pulmonary fibrosis and emphysema. Radiological. Emphysema Autopsy Case Report.
From www.researchgate.net
(PDF) Atypical emphysema formation in a neversmoker with scleroderma Emphysema Autopsy Case Report Radiological patterns of the upper. We reviewed 28 cases of fatal asthma tissue and identified the presence of pulmonary interstitial emphysema in 10% of the cases. We report an educational autopsy case of combined pulmonary fibrosis and emphysema. Radiological patterns of the upper. Here we show a rarely reported complication of a fatal asthma attack that is. We report an. Emphysema Autopsy Case Report.
From www.researchgate.net
(PDF) CONGENITAL LOBAR EMPHYSEMA MIMICKING PNEUMOTHORAX A CASE REPORT Emphysema Autopsy Case Report We reviewed 28 cases of fatal asthma tissue and identified the presence of pulmonary interstitial emphysema in 10% of the cases. Here we show a rarely reported complication of a fatal asthma attack that is. We report an educational autopsy case of combined pulmonary fibrosis and emphysema. Radiological patterns of the upper. Radiological patterns of the upper. We report an. Emphysema Autopsy Case Report.
From www.semanticscholar.org
Figure 1 from An Autopsy Case of Congenital Pulmonary Lymphangiectasis Emphysema Autopsy Case Report We reviewed 28 cases of fatal asthma tissue and identified the presence of pulmonary interstitial emphysema in 10% of the cases. Radiological patterns of the upper. Radiological patterns of the upper. We report an educational autopsy case of combined pulmonary fibrosis and emphysema. Here we show a rarely reported complication of a fatal asthma attack that is. We report an. Emphysema Autopsy Case Report.
From www.cureus.com
Cureus Subcutaneous Emphysema in Patients With COVID19 Infection A Emphysema Autopsy Case Report We report an educational autopsy case of combined pulmonary fibrosis and emphysema. We report an educational autopsy case of combined pulmonary fibrosis and emphysema. Radiological patterns of the upper. Here we show a rarely reported complication of a fatal asthma attack that is. We reviewed 28 cases of fatal asthma tissue and identified the presence of pulmonary interstitial emphysema in. Emphysema Autopsy Case Report.
From www.researchgate.net
(PDF) Massive subcutaneous emphysema, bilateral pneumothorax Emphysema Autopsy Case Report We report an educational autopsy case of combined pulmonary fibrosis and emphysema. We report an educational autopsy case of combined pulmonary fibrosis and emphysema. We reviewed 28 cases of fatal asthma tissue and identified the presence of pulmonary interstitial emphysema in 10% of the cases. Radiological patterns of the upper. Here we show a rarely reported complication of a fatal. Emphysema Autopsy Case Report.
From www.researchgate.net
(PDF) Case Report Bilateral congenital emphysema Unusual cause for Emphysema Autopsy Case Report We reviewed 28 cases of fatal asthma tissue and identified the presence of pulmonary interstitial emphysema in 10% of the cases. We report an educational autopsy case of combined pulmonary fibrosis and emphysema. We report an educational autopsy case of combined pulmonary fibrosis and emphysema. Radiological patterns of the upper. Here we show a rarely reported complication of a fatal. Emphysema Autopsy Case Report.
From www.researchgate.net
(PDF) Subcutaneous Emphysema Following Percutaneous Endoscopic Emphysema Autopsy Case Report Radiological patterns of the upper. We report an educational autopsy case of combined pulmonary fibrosis and emphysema. Radiological patterns of the upper. Here we show a rarely reported complication of a fatal asthma attack that is. We report an educational autopsy case of combined pulmonary fibrosis and emphysema. We reviewed 28 cases of fatal asthma tissue and identified the presence. Emphysema Autopsy Case Report.
From www.researchgate.net
(PDF) An Autopsy Case of Congenital Pulmonary Lymphangiectasis Emphysema Autopsy Case Report Radiological patterns of the upper. Radiological patterns of the upper. We reviewed 28 cases of fatal asthma tissue and identified the presence of pulmonary interstitial emphysema in 10% of the cases. Here we show a rarely reported complication of a fatal asthma attack that is. We report an educational autopsy case of combined pulmonary fibrosis and emphysema. We report an. Emphysema Autopsy Case Report.
From www.researchgate.net
(PDF) Lung cancer, pulmonary emphysema and pleural effusion An autopsy Emphysema Autopsy Case Report We reviewed 28 cases of fatal asthma tissue and identified the presence of pulmonary interstitial emphysema in 10% of the cases. Radiological patterns of the upper. We report an educational autopsy case of combined pulmonary fibrosis and emphysema. Here we show a rarely reported complication of a fatal asthma attack that is. Radiological patterns of the upper. We report an. Emphysema Autopsy Case Report.
From bmcpulmmed.biomedcentral.com
An autopsy study of combined pulmonary fibrosis and emphysema Emphysema Autopsy Case Report Radiological patterns of the upper. Here we show a rarely reported complication of a fatal asthma attack that is. We report an educational autopsy case of combined pulmonary fibrosis and emphysema. We report an educational autopsy case of combined pulmonary fibrosis and emphysema. Radiological patterns of the upper. We reviewed 28 cases of fatal asthma tissue and identified the presence. Emphysema Autopsy Case Report.
From www.semanticscholar.org
Figure 4 from An Autopsy Case of Congenital Pulmonary Lymphangiectasis Emphysema Autopsy Case Report Radiological patterns of the upper. Here we show a rarely reported complication of a fatal asthma attack that is. We report an educational autopsy case of combined pulmonary fibrosis and emphysema. Radiological patterns of the upper. We report an educational autopsy case of combined pulmonary fibrosis and emphysema. We reviewed 28 cases of fatal asthma tissue and identified the presence. Emphysema Autopsy Case Report.
From www.researchgate.net
(PDF) Scholars Journal of Medical Case Reports Spontaneous Emphysema Autopsy Case Report We report an educational autopsy case of combined pulmonary fibrosis and emphysema. We reviewed 28 cases of fatal asthma tissue and identified the presence of pulmonary interstitial emphysema in 10% of the cases. Radiological patterns of the upper. Here we show a rarely reported complication of a fatal asthma attack that is. We report an educational autopsy case of combined. Emphysema Autopsy Case Report.
From clinmedjournals.org
Benign, SelfResolving Subcutaneous Emphysema and Abdominal Crepitus Emphysema Autopsy Case Report Here we show a rarely reported complication of a fatal asthma attack that is. Radiological patterns of the upper. We report an educational autopsy case of combined pulmonary fibrosis and emphysema. We reviewed 28 cases of fatal asthma tissue and identified the presence of pulmonary interstitial emphysema in 10% of the cases. We report an educational autopsy case of combined. Emphysema Autopsy Case Report.
From link.springer.com
An autopsy study of combined pulmonary fibrosis and emphysema Emphysema Autopsy Case Report We reviewed 28 cases of fatal asthma tissue and identified the presence of pulmonary interstitial emphysema in 10% of the cases. We report an educational autopsy case of combined pulmonary fibrosis and emphysema. Here we show a rarely reported complication of a fatal asthma attack that is. We report an educational autopsy case of combined pulmonary fibrosis and emphysema. Radiological. Emphysema Autopsy Case Report.
From casereports.bmj.com
Emphysematous gastritis BMJ Case Reports Emphysema Autopsy Case Report Radiological patterns of the upper. We reviewed 28 cases of fatal asthma tissue and identified the presence of pulmonary interstitial emphysema in 10% of the cases. We report an educational autopsy case of combined pulmonary fibrosis and emphysema. We report an educational autopsy case of combined pulmonary fibrosis and emphysema. Here we show a rarely reported complication of a fatal. Emphysema Autopsy Case Report.
From www.semanticscholar.org
Figure 1 from An Autopsy Case of Congenital Pulmonary Lymphangiectasis Emphysema Autopsy Case Report Radiological patterns of the upper. We report an educational autopsy case of combined pulmonary fibrosis and emphysema. We report an educational autopsy case of combined pulmonary fibrosis and emphysema. We reviewed 28 cases of fatal asthma tissue and identified the presence of pulmonary interstitial emphysema in 10% of the cases. Here we show a rarely reported complication of a fatal. Emphysema Autopsy Case Report.
From www.researchgate.net
(PDF) Iatrogenic EmphysemaA Rare Clinical Case Report Emphysema Autopsy Case Report Here we show a rarely reported complication of a fatal asthma attack that is. Radiological patterns of the upper. Radiological patterns of the upper. We report an educational autopsy case of combined pulmonary fibrosis and emphysema. We reviewed 28 cases of fatal asthma tissue and identified the presence of pulmonary interstitial emphysema in 10% of the cases. We report an. Emphysema Autopsy Case Report.
From www.studocu.com
Empyema and subcutaneous emphysema case report (2017 ) CASE REPORT A Emphysema Autopsy Case Report Here we show a rarely reported complication of a fatal asthma attack that is. We report an educational autopsy case of combined pulmonary fibrosis and emphysema. Radiological patterns of the upper. Radiological patterns of the upper. We report an educational autopsy case of combined pulmonary fibrosis and emphysema. We reviewed 28 cases of fatal asthma tissue and identified the presence. Emphysema Autopsy Case Report.
From es.scribd.com
Case Study Emphysema Chronic Obstructive Pulmonary Disease Eating Emphysema Autopsy Case Report We report an educational autopsy case of combined pulmonary fibrosis and emphysema. We report an educational autopsy case of combined pulmonary fibrosis and emphysema. Here we show a rarely reported complication of a fatal asthma attack that is. Radiological patterns of the upper. We reviewed 28 cases of fatal asthma tissue and identified the presence of pulmonary interstitial emphysema in. Emphysema Autopsy Case Report.
From casereports.bmj.com
Subcutaneous emphysema and pneumomediastinum as rare complications of Emphysema Autopsy Case Report We reviewed 28 cases of fatal asthma tissue and identified the presence of pulmonary interstitial emphysema in 10% of the cases. Radiological patterns of the upper. We report an educational autopsy case of combined pulmonary fibrosis and emphysema. We report an educational autopsy case of combined pulmonary fibrosis and emphysema. Here we show a rarely reported complication of a fatal. Emphysema Autopsy Case Report.
From journals.sagepub.com
Acute subcutaneous emphysema A rare clinical presentation of large Emphysema Autopsy Case Report We reviewed 28 cases of fatal asthma tissue and identified the presence of pulmonary interstitial emphysema in 10% of the cases. Radiological patterns of the upper. We report an educational autopsy case of combined pulmonary fibrosis and emphysema. Here we show a rarely reported complication of a fatal asthma attack that is. Radiological patterns of the upper. We report an. Emphysema Autopsy Case Report.
From casereports.bmj.com
Pneumothorax associated with giant bullous emphysema and mediastinum Emphysema Autopsy Case Report We report an educational autopsy case of combined pulmonary fibrosis and emphysema. We reviewed 28 cases of fatal asthma tissue and identified the presence of pulmonary interstitial emphysema in 10% of the cases. We report an educational autopsy case of combined pulmonary fibrosis and emphysema. Radiological patterns of the upper. Radiological patterns of the upper. Here we show a rarely. Emphysema Autopsy Case Report.