Flared Ribs After Nuss Procedure . I still have rib flare. I hope i'm imagining this but has anyone experienced rib flare getting worse after the nuss procedure? Pectus excavatum is the leading cause of rib flare. Whether it's due to posture, muscle imbalances, or something else, i'll guide you through the most effective strategies to correct it. They are pretty noticeable and bothers me a lot. Because more adults are undergoing pectus repair with the nuss procedure, an understanding of a potentially increased risk is necessary. In this blog post, you'll learn what causes flared ribs, how to identify them, and the best exercises and tips to correct them. The nuss procedure is a popular minimally invasive technique that involves placing a bar behind the sternum to push it. I had nuss procedure in 2016 and after 2.5+ years the bar was removed. The aesthetic effects after corrective rib cage surgery using the nuss procedure are quite satisfactory. This is where the “nuss procedure,” a minimally invasive approach to correcting pectus excavatum was developed, in which. It seems my belly is protruding out.
from www.youtube.com
I hope i'm imagining this but has anyone experienced rib flare getting worse after the nuss procedure? Pectus excavatum is the leading cause of rib flare. The aesthetic effects after corrective rib cage surgery using the nuss procedure are quite satisfactory. It seems my belly is protruding out. Because more adults are undergoing pectus repair with the nuss procedure, an understanding of a potentially increased risk is necessary. I had nuss procedure in 2016 and after 2.5+ years the bar was removed. They are pretty noticeable and bothers me a lot. The nuss procedure is a popular minimally invasive technique that involves placing a bar behind the sternum to push it. In this blog post, you'll learn what causes flared ribs, how to identify them, and the best exercises and tips to correct them. This is where the “nuss procedure,” a minimally invasive approach to correcting pectus excavatum was developed, in which.
Fix Rib Flare In 1 Exercise (fast results) YouTube
Flared Ribs After Nuss Procedure This is where the “nuss procedure,” a minimally invasive approach to correcting pectus excavatum was developed, in which. Pectus excavatum is the leading cause of rib flare. Because more adults are undergoing pectus repair with the nuss procedure, an understanding of a potentially increased risk is necessary. It seems my belly is protruding out. I still have rib flare. The aesthetic effects after corrective rib cage surgery using the nuss procedure are quite satisfactory. I had nuss procedure in 2016 and after 2.5+ years the bar was removed. The nuss procedure is a popular minimally invasive technique that involves placing a bar behind the sternum to push it. This is where the “nuss procedure,” a minimally invasive approach to correcting pectus excavatum was developed, in which. In this blog post, you'll learn what causes flared ribs, how to identify them, and the best exercises and tips to correct them. Whether it's due to posture, muscle imbalances, or something else, i'll guide you through the most effective strategies to correct it. They are pretty noticeable and bothers me a lot. I hope i'm imagining this but has anyone experienced rib flare getting worse after the nuss procedure?
From meetings.westernthoracic.org
WTSA Minimally Invasive Repair of Pectus Excavatum in Adult Patients Flared Ribs After Nuss Procedure It seems my belly is protruding out. The aesthetic effects after corrective rib cage surgery using the nuss procedure are quite satisfactory. The nuss procedure is a popular minimally invasive technique that involves placing a bar behind the sternum to push it. Whether it's due to posture, muscle imbalances, or something else, i'll guide you through the most effective strategies. Flared Ribs After Nuss Procedure.
From www.londonorthotics.co.uk
Rib Flaring Treatment Flared Ribs After Nuss Procedure I still have rib flare. The aesthetic effects after corrective rib cage surgery using the nuss procedure are quite satisfactory. I had nuss procedure in 2016 and after 2.5+ years the bar was removed. Because more adults are undergoing pectus repair with the nuss procedure, an understanding of a potentially increased risk is necessary. They are pretty noticeable and bothers. Flared Ribs After Nuss Procedure.
From www.youtube.com
How To Fix Uneven Rib Flare with 1 Exercise! (you've never tried this Flared Ribs After Nuss Procedure I hope i'm imagining this but has anyone experienced rib flare getting worse after the nuss procedure? The aesthetic effects after corrective rib cage surgery using the nuss procedure are quite satisfactory. I had nuss procedure in 2016 and after 2.5+ years the bar was removed. It seems my belly is protruding out. In this blog post, you'll learn what. Flared Ribs After Nuss Procedure.
From www.youtube.com
Rib Flare Workout (transformed my life) YouTube Flared Ribs After Nuss Procedure It seems my belly is protruding out. I still have rib flare. In this blog post, you'll learn what causes flared ribs, how to identify them, and the best exercises and tips to correct them. Pectus excavatum is the leading cause of rib flare. This is where the “nuss procedure,” a minimally invasive approach to correcting pectus excavatum was developed,. Flared Ribs After Nuss Procedure.
From sshi.ie
RIB FLARE SSHI Flared Ribs After Nuss Procedure It seems my belly is protruding out. I had nuss procedure in 2016 and after 2.5+ years the bar was removed. Whether it's due to posture, muscle imbalances, or something else, i'll guide you through the most effective strategies to correct it. The aesthetic effects after corrective rib cage surgery using the nuss procedure are quite satisfactory. They are pretty. Flared Ribs After Nuss Procedure.
From www.jprasurg.com
Thoracic outlet syndrome after the Nuss procedure for pectus excavatum Flared Ribs After Nuss Procedure Whether it's due to posture, muscle imbalances, or something else, i'll guide you through the most effective strategies to correct it. The aesthetic effects after corrective rib cage surgery using the nuss procedure are quite satisfactory. The nuss procedure is a popular minimally invasive technique that involves placing a bar behind the sternum to push it. Pectus excavatum is the. Flared Ribs After Nuss Procedure.
From www.pectusclinic.com
Rib Flare Pectus Clinic Flared Ribs After Nuss Procedure I still have rib flare. Because more adults are undergoing pectus repair with the nuss procedure, an understanding of a potentially increased risk is necessary. Whether it's due to posture, muscle imbalances, or something else, i'll guide you through the most effective strategies to correct it. They are pretty noticeable and bothers me a lot. I hope i'm imagining this. Flared Ribs After Nuss Procedure.
From www.choosept1st.com
Understanding Rib Flare Causes, Effects, and the Ultimate 5Step Fix Flared Ribs After Nuss Procedure Whether it's due to posture, muscle imbalances, or something else, i'll guide you through the most effective strategies to correct it. Pectus excavatum is the leading cause of rib flare. I hope i'm imagining this but has anyone experienced rib flare getting worse after the nuss procedure? The aesthetic effects after corrective rib cage surgery using the nuss procedure are. Flared Ribs After Nuss Procedure.
From www.fixpectus.com
Fix Pectus Excavatum Rib Flare Flared Ribs After Nuss Procedure Because more adults are undergoing pectus repair with the nuss procedure, an understanding of a potentially increased risk is necessary. I still have rib flare. Pectus excavatum is the leading cause of rib flare. Whether it's due to posture, muscle imbalances, or something else, i'll guide you through the most effective strategies to correct it. In this blog post, you'll. Flared Ribs After Nuss Procedure.
From sshi.ie
RIB FLARE SSHI Flared Ribs After Nuss Procedure I had nuss procedure in 2016 and after 2.5+ years the bar was removed. Because more adults are undergoing pectus repair with the nuss procedure, an understanding of a potentially increased risk is necessary. In this blog post, you'll learn what causes flared ribs, how to identify them, and the best exercises and tips to correct them. Whether it's due. Flared Ribs After Nuss Procedure.
From www.reddit.com
7.5 months after Nuss procedure. No more pain, only slight Flared Ribs After Nuss Procedure I still have rib flare. The aesthetic effects after corrective rib cage surgery using the nuss procedure are quite satisfactory. Whether it's due to posture, muscle imbalances, or something else, i'll guide you through the most effective strategies to correct it. I had nuss procedure in 2016 and after 2.5+ years the bar was removed. This is where the “nuss. Flared Ribs After Nuss Procedure.
From www.researchgate.net
PCI patient a before treatment and b overcorrected after 2 months of Flared Ribs After Nuss Procedure It seems my belly is protruding out. I had nuss procedure in 2016 and after 2.5+ years the bar was removed. Whether it's due to posture, muscle imbalances, or something else, i'll guide you through the most effective strategies to correct it. Because more adults are undergoing pectus repair with the nuss procedure, an understanding of a potentially increased risk. Flared Ribs After Nuss Procedure.
From www.reddit.com
Rib flare before and after surgery? r/RibFlare Flared Ribs After Nuss Procedure Because more adults are undergoing pectus repair with the nuss procedure, an understanding of a potentially increased risk is necessary. This is where the “nuss procedure,” a minimally invasive approach to correcting pectus excavatum was developed, in which. They are pretty noticeable and bothers me a lot. I hope i'm imagining this but has anyone experienced rib flare getting worse. Flared Ribs After Nuss Procedure.
From physicians.oslerthoracics.ca
NUSS PROCEDURE Physicians Flared Ribs After Nuss Procedure Because more adults are undergoing pectus repair with the nuss procedure, an understanding of a potentially increased risk is necessary. I still have rib flare. It seems my belly is protruding out. They are pretty noticeable and bothers me a lot. Pectus excavatum is the leading cause of rib flare. Whether it's due to posture, muscle imbalances, or something else,. Flared Ribs After Nuss Procedure.
From www.pectusclinic.com
Rib Flare Pectus Clinic Flared Ribs After Nuss Procedure I hope i'm imagining this but has anyone experienced rib flare getting worse after the nuss procedure? Whether it's due to posture, muscle imbalances, or something else, i'll guide you through the most effective strategies to correct it. I had nuss procedure in 2016 and after 2.5+ years the bar was removed. In this blog post, you'll learn what causes. Flared Ribs After Nuss Procedure.
From www.pectusclinic.com
Rib Flare Pectus Clinic Flared Ribs After Nuss Procedure It seems my belly is protruding out. I had nuss procedure in 2016 and after 2.5+ years the bar was removed. I hope i'm imagining this but has anyone experienced rib flare getting worse after the nuss procedure? I still have rib flare. This is where the “nuss procedure,” a minimally invasive approach to correcting pectus excavatum was developed, in. Flared Ribs After Nuss Procedure.
From medprofvideos.mayoclinic.org
Securing a Nuss bar with a surgical zip tie Mayo Clinic Flared Ribs After Nuss Procedure This is where the “nuss procedure,” a minimally invasive approach to correcting pectus excavatum was developed, in which. Because more adults are undergoing pectus repair with the nuss procedure, an understanding of a potentially increased risk is necessary. In this blog post, you'll learn what causes flared ribs, how to identify them, and the best exercises and tips to correct. Flared Ribs After Nuss Procedure.
From www.drpectus.com
What is Rib Flare (Protruding Rib) 20232024 Flared Ribs After Nuss Procedure I hope i'm imagining this but has anyone experienced rib flare getting worse after the nuss procedure? This is where the “nuss procedure,” a minimally invasive approach to correcting pectus excavatum was developed, in which. Pectus excavatum is the leading cause of rib flare. I had nuss procedure in 2016 and after 2.5+ years the bar was removed. Whether it's. Flared Ribs After Nuss Procedure.
From www.jprasurg.com
Thoracic outlet syndrome after the Nuss procedure for pectus excavatum Flared Ribs After Nuss Procedure This is where the “nuss procedure,” a minimally invasive approach to correcting pectus excavatum was developed, in which. Whether it's due to posture, muscle imbalances, or something else, i'll guide you through the most effective strategies to correct it. Pectus excavatum is the leading cause of rib flare. Because more adults are undergoing pectus repair with the nuss procedure, an. Flared Ribs After Nuss Procedure.
From meetings.westernthoracic.org
WTSA Minimally Invasive Repair of Pectus Excavatum in Adult Patients Flared Ribs After Nuss Procedure Whether it's due to posture, muscle imbalances, or something else, i'll guide you through the most effective strategies to correct it. The aesthetic effects after corrective rib cage surgery using the nuss procedure are quite satisfactory. I had nuss procedure in 2016 and after 2.5+ years the bar was removed. They are pretty noticeable and bothers me a lot. This. Flared Ribs After Nuss Procedure.
From www.youtube.com
What Is Rib Flare? Watch To Learn How To Fix (Part 1 of 2) YouTube Flared Ribs After Nuss Procedure I still have rib flare. They are pretty noticeable and bothers me a lot. I hope i'm imagining this but has anyone experienced rib flare getting worse after the nuss procedure? Whether it's due to posture, muscle imbalances, or something else, i'll guide you through the most effective strategies to correct it. This is where the “nuss procedure,” a minimally. Flared Ribs After Nuss Procedure.
From motusspt.com
Rib Flare Upper Respiratory Breather Motus Physical Therapy Flared Ribs After Nuss Procedure It seems my belly is protruding out. I still have rib flare. I hope i'm imagining this but has anyone experienced rib flare getting worse after the nuss procedure? I had nuss procedure in 2016 and after 2.5+ years the bar was removed. The nuss procedure is a popular minimally invasive technique that involves placing a bar behind the sternum. Flared Ribs After Nuss Procedure.
From www.youtube.com
fix rib flare part 2 the progression YouTube Flared Ribs After Nuss Procedure It seems my belly is protruding out. This is where the “nuss procedure,” a minimally invasive approach to correcting pectus excavatum was developed, in which. I hope i'm imagining this but has anyone experienced rib flare getting worse after the nuss procedure? Whether it's due to posture, muscle imbalances, or something else, i'll guide you through the most effective strategies. Flared Ribs After Nuss Procedure.
From www.reddit.com
7.5 months after Nuss procedure. No more pain, only slight Flared Ribs After Nuss Procedure In this blog post, you'll learn what causes flared ribs, how to identify them, and the best exercises and tips to correct them. I hope i'm imagining this but has anyone experienced rib flare getting worse after the nuss procedure? The nuss procedure is a popular minimally invasive technique that involves placing a bar behind the sternum to push it.. Flared Ribs After Nuss Procedure.
From www.pectusclinic.com
Rib Flare Pectus Clinic Flared Ribs After Nuss Procedure I still have rib flare. This is where the “nuss procedure,” a minimally invasive approach to correcting pectus excavatum was developed, in which. The nuss procedure is a popular minimally invasive technique that involves placing a bar behind the sternum to push it. In this blog post, you'll learn what causes flared ribs, how to identify them, and the best. Flared Ribs After Nuss Procedure.
From www.pectusclinic.com
Rib Flare Pectus Clinic Flared Ribs After Nuss Procedure I had nuss procedure in 2016 and after 2.5+ years the bar was removed. Pectus excavatum is the leading cause of rib flare. In this blog post, you'll learn what causes flared ribs, how to identify them, and the best exercises and tips to correct them. Because more adults are undergoing pectus repair with the nuss procedure, an understanding of. Flared Ribs After Nuss Procedure.
From www.youtube.com
How To Fix Rib Flare With This 1 Powerful Exercise YouTube Flared Ribs After Nuss Procedure Because more adults are undergoing pectus repair with the nuss procedure, an understanding of a potentially increased risk is necessary. In this blog post, you'll learn what causes flared ribs, how to identify them, and the best exercises and tips to correct them. Pectus excavatum is the leading cause of rib flare. The nuss procedure is a popular minimally invasive. Flared Ribs After Nuss Procedure.
From www.youtube.com
OPERATION NUSS PROCEDURE (Pectus Excavatum Surgery journey/documentary Flared Ribs After Nuss Procedure Whether it's due to posture, muscle imbalances, or something else, i'll guide you through the most effective strategies to correct it. I had nuss procedure in 2016 and after 2.5+ years the bar was removed. Pectus excavatum is the leading cause of rib flare. In this blog post, you'll learn what causes flared ribs, how to identify them, and the. Flared Ribs After Nuss Procedure.
From en-academic.com
Nuss procedure Flared Ribs After Nuss Procedure This is where the “nuss procedure,” a minimally invasive approach to correcting pectus excavatum was developed, in which. It seems my belly is protruding out. The aesthetic effects after corrective rib cage surgery using the nuss procedure are quite satisfactory. I still have rib flare. I hope i'm imagining this but has anyone experienced rib flare getting worse after the. Flared Ribs After Nuss Procedure.
From www.reddit.com
Before and after nuss procedure! AMA r/PectusExcavatum Flared Ribs After Nuss Procedure The nuss procedure is a popular minimally invasive technique that involves placing a bar behind the sternum to push it. Pectus excavatum is the leading cause of rib flare. Because more adults are undergoing pectus repair with the nuss procedure, an understanding of a potentially increased risk is necessary. I still have rib flare. The aesthetic effects after corrective rib. Flared Ribs After Nuss Procedure.
From www.youtube.com
Fix Rib Flare In 1 Exercise (fast results) YouTube Flared Ribs After Nuss Procedure In this blog post, you'll learn what causes flared ribs, how to identify them, and the best exercises and tips to correct them. They are pretty noticeable and bothers me a lot. I had nuss procedure in 2016 and after 2.5+ years the bar was removed. Because more adults are undergoing pectus repair with the nuss procedure, an understanding of. Flared Ribs After Nuss Procedure.
From docslib.org
Nuss Procedure for Surgical Stabilization of Flail Chest with Flared Ribs After Nuss Procedure I had nuss procedure in 2016 and after 2.5+ years the bar was removed. The nuss procedure is a popular minimally invasive technique that involves placing a bar behind the sternum to push it. In this blog post, you'll learn what causes flared ribs, how to identify them, and the best exercises and tips to correct them. This is where. Flared Ribs After Nuss Procedure.
From www.semanticscholar.org
Figure 2 from Nuss procedure for surgical stabilization of flail chest Flared Ribs After Nuss Procedure Because more adults are undergoing pectus repair with the nuss procedure, an understanding of a potentially increased risk is necessary. The nuss procedure is a popular minimally invasive technique that involves placing a bar behind the sternum to push it. I hope i'm imagining this but has anyone experienced rib flare getting worse after the nuss procedure? This is where. Flared Ribs After Nuss Procedure.
From jtd.amegroups.com
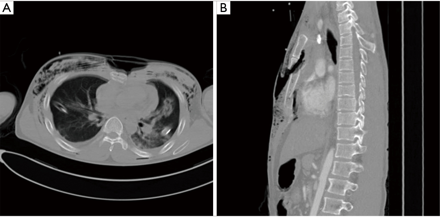
Nuss procedure for surgical stabilization of flail chest with Flared Ribs After Nuss Procedure Whether it's due to posture, muscle imbalances, or something else, i'll guide you through the most effective strategies to correct it. It seems my belly is protruding out. Pectus excavatum is the leading cause of rib flare. Because more adults are undergoing pectus repair with the nuss procedure, an understanding of a potentially increased risk is necessary. I had nuss. Flared Ribs After Nuss Procedure.
From www.coreexercisesolutions.com
rib flare FI Core Exercise Solutions Flared Ribs After Nuss Procedure The aesthetic effects after corrective rib cage surgery using the nuss procedure are quite satisfactory. I still have rib flare. They are pretty noticeable and bothers me a lot. I hope i'm imagining this but has anyone experienced rib flare getting worse after the nuss procedure? The nuss procedure is a popular minimally invasive technique that involves placing a bar. Flared Ribs After Nuss Procedure.