Teeth Bonding Toronto . This treatment option is a fast, easy solution for handling. this versatile material is used to restore decayed teeth, enhance the appearance of your smile, and even change the colour. restore chips and cracked teeth or improve the look of healthy teeth. Our experienced specialists at bentway dental are. dental bonding is a effective way to fix broken teeth when used by a cosmetic dentist in toronto. Looking for a dentist that offers dental bonding in toronto? composite bonding, also known as bonding, is a cosmetic dental procedure that can repair and enhance the appearance of. our dentists near you recommend teeth bonding for broken, chipped, discolored, misshapen, and worn teeth. Kinga kubieniec dentistry provides dental bonding treatment to help restore your smile.
from cosmodont.com
this versatile material is used to restore decayed teeth, enhance the appearance of your smile, and even change the colour. Our experienced specialists at bentway dental are. Kinga kubieniec dentistry provides dental bonding treatment to help restore your smile. composite bonding, also known as bonding, is a cosmetic dental procedure that can repair and enhance the appearance of. restore chips and cracked teeth or improve the look of healthy teeth. Looking for a dentist that offers dental bonding in toronto? our dentists near you recommend teeth bonding for broken, chipped, discolored, misshapen, and worn teeth. This treatment option is a fast, easy solution for handling. dental bonding is a effective way to fix broken teeth when used by a cosmetic dentist in toronto.
Dental Bonding in Toronto Toronto Dental Bonding
Teeth Bonding Toronto dental bonding is a effective way to fix broken teeth when used by a cosmetic dentist in toronto. Looking for a dentist that offers dental bonding in toronto? composite bonding, also known as bonding, is a cosmetic dental procedure that can repair and enhance the appearance of. restore chips and cracked teeth or improve the look of healthy teeth. This treatment option is a fast, easy solution for handling. our dentists near you recommend teeth bonding for broken, chipped, discolored, misshapen, and worn teeth. Our experienced specialists at bentway dental are. Kinga kubieniec dentistry provides dental bonding treatment to help restore your smile. dental bonding is a effective way to fix broken teeth when used by a cosmetic dentist in toronto. this versatile material is used to restore decayed teeth, enhance the appearance of your smile, and even change the colour.
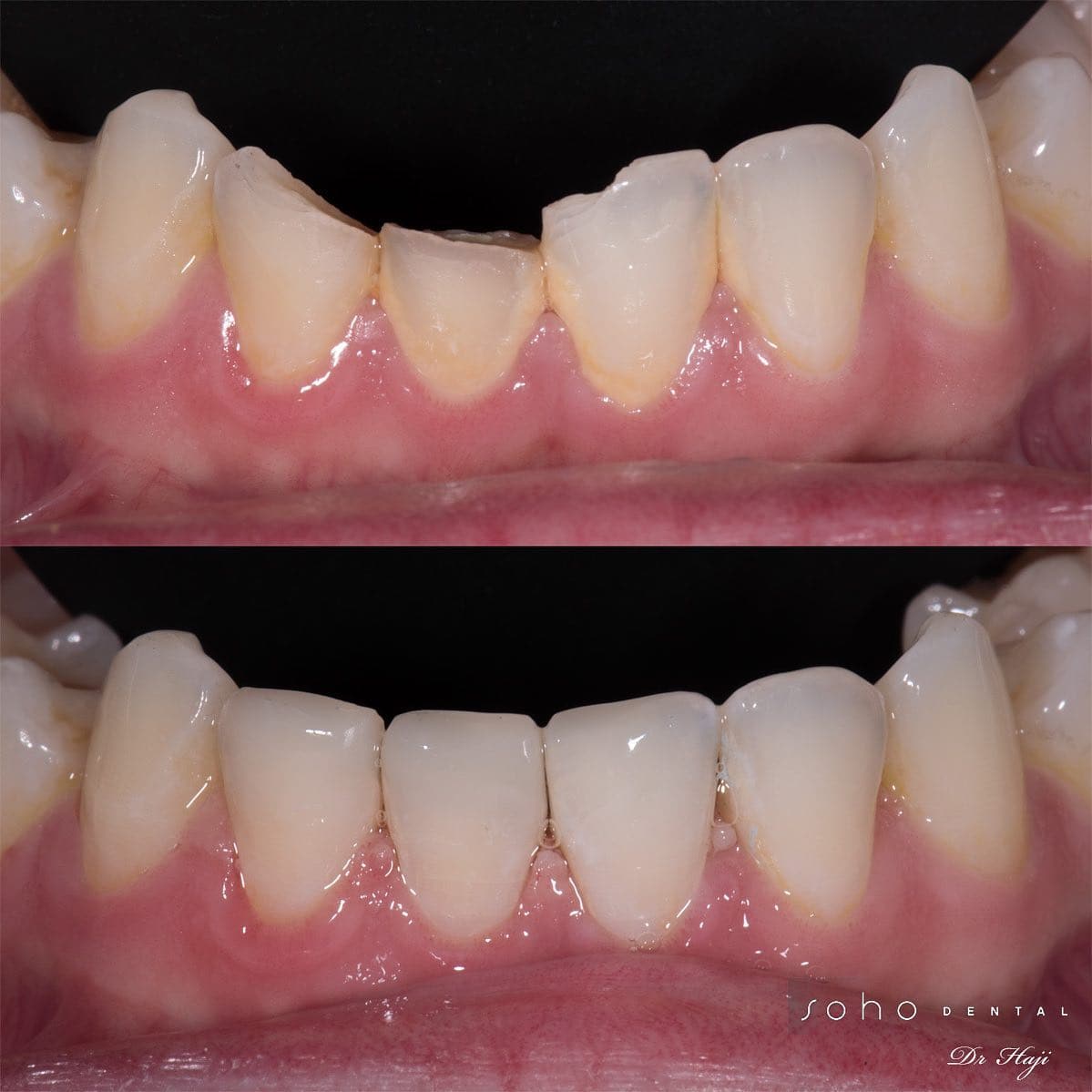
From sohodental.ca
Bonding to Restore Fractured Tooth Soho Dental Toronto Dentist Teeth Bonding Toronto our dentists near you recommend teeth bonding for broken, chipped, discolored, misshapen, and worn teeth. Looking for a dentist that offers dental bonding in toronto? this versatile material is used to restore decayed teeth, enhance the appearance of your smile, and even change the colour. Kinga kubieniec dentistry provides dental bonding treatment to help restore your smile. . Teeth Bonding Toronto.
From contemporaryfamilydentistry.com
Bonding Teeth Bonding Toronto composite bonding, also known as bonding, is a cosmetic dental procedure that can repair and enhance the appearance of. Kinga kubieniec dentistry provides dental bonding treatment to help restore your smile. dental bonding is a effective way to fix broken teeth when used by a cosmetic dentist in toronto. our dentists near you recommend teeth bonding for. Teeth Bonding Toronto.
From www.godigit.com
A Comprehensive Guide On Dental Procedures Teeth Bonding Toronto Our experienced specialists at bentway dental are. this versatile material is used to restore decayed teeth, enhance the appearance of your smile, and even change the colour. our dentists near you recommend teeth bonding for broken, chipped, discolored, misshapen, and worn teeth. Kinga kubieniec dentistry provides dental bonding treatment to help restore your smile. Looking for a dentist. Teeth Bonding Toronto.
From www.youtube.com
Teeth bonding what to do after aligner treatment Inside the science Teeth Bonding Toronto our dentists near you recommend teeth bonding for broken, chipped, discolored, misshapen, and worn teeth. composite bonding, also known as bonding, is a cosmetic dental procedure that can repair and enhance the appearance of. restore chips and cracked teeth or improve the look of healthy teeth. This treatment option is a fast, easy solution for handling. Kinga. Teeth Bonding Toronto.
From cosmodont.com
Dental Bonding in Toronto Toronto Dental Bonding Teeth Bonding Toronto dental bonding is a effective way to fix broken teeth when used by a cosmetic dentist in toronto. composite bonding, also known as bonding, is a cosmetic dental procedure that can repair and enhance the appearance of. Kinga kubieniec dentistry provides dental bonding treatment to help restore your smile. Our experienced specialists at bentway dental are. this. Teeth Bonding Toronto.
From www.thornhilldental.com
Dental Bonding Thornhill Ontario, Tooth Bonding , Chipped Tooth Teeth Bonding Toronto Looking for a dentist that offers dental bonding in toronto? Kinga kubieniec dentistry provides dental bonding treatment to help restore your smile. Our experienced specialists at bentway dental are. restore chips and cracked teeth or improve the look of healthy teeth. our dentists near you recommend teeth bonding for broken, chipped, discolored, misshapen, and worn teeth. This treatment. Teeth Bonding Toronto.
From drkingadentistry.com
Teeth Bonding Toronto, ON Dental Bonding to Restore Your Smile Teeth Bonding Toronto Kinga kubieniec dentistry provides dental bonding treatment to help restore your smile. Our experienced specialists at bentway dental are. restore chips and cracked teeth or improve the look of healthy teeth. dental bonding is a effective way to fix broken teeth when used by a cosmetic dentist in toronto. this versatile material is used to restore decayed. Teeth Bonding Toronto.
From www.nyccd.com
Composite Bonding [GUIDE] Fix Teeth Stains, Gaps, Shape & More Teeth Bonding Toronto composite bonding, also known as bonding, is a cosmetic dental procedure that can repair and enhance the appearance of. dental bonding is a effective way to fix broken teeth when used by a cosmetic dentist in toronto. Kinga kubieniec dentistry provides dental bonding treatment to help restore your smile. our dentists near you recommend teeth bonding for. Teeth Bonding Toronto.
From www.croftondentalcare.com
Composite Bonding Fareham Crofton Dental Care Teeth Bonding Toronto composite bonding, also known as bonding, is a cosmetic dental procedure that can repair and enhance the appearance of. Our experienced specialists at bentway dental are. Looking for a dentist that offers dental bonding in toronto? our dentists near you recommend teeth bonding for broken, chipped, discolored, misshapen, and worn teeth. dental bonding is a effective way. Teeth Bonding Toronto.
From www.90210dentist.net
Filling the Gaps Veneers, Implants and Dental Bonding Dr. Kevin Sands Teeth Bonding Toronto Our experienced specialists at bentway dental are. This treatment option is a fast, easy solution for handling. this versatile material is used to restore decayed teeth, enhance the appearance of your smile, and even change the colour. dental bonding is a effective way to fix broken teeth when used by a cosmetic dentist in toronto. composite bonding,. Teeth Bonding Toronto.
From drhealthylife.com
Dental Bonding How to Restore Your Winning Smile Dr Healthy Life Teeth Bonding Toronto Looking for a dentist that offers dental bonding in toronto? dental bonding is a effective way to fix broken teeth when used by a cosmetic dentist in toronto. This treatment option is a fast, easy solution for handling. this versatile material is used to restore decayed teeth, enhance the appearance of your smile, and even change the colour.. Teeth Bonding Toronto.
From tfidentistry.com.au
COMPOSITE BONDING Dentist Gold Coast TFI Dentistry Teeth Bonding Toronto Looking for a dentist that offers dental bonding in toronto? dental bonding is a effective way to fix broken teeth when used by a cosmetic dentist in toronto. Our experienced specialists at bentway dental are. our dentists near you recommend teeth bonding for broken, chipped, discolored, misshapen, and worn teeth. composite bonding, also known as bonding, is. Teeth Bonding Toronto.
From dentalofficehouston.blogspot.com
What is the procedure of teeth bonding before and after? Teeth Bonding Toronto dental bonding is a effective way to fix broken teeth when used by a cosmetic dentist in toronto. this versatile material is used to restore decayed teeth, enhance the appearance of your smile, and even change the colour. our dentists near you recommend teeth bonding for broken, chipped, discolored, misshapen, and worn teeth. Looking for a dentist. Teeth Bonding Toronto.
From drlbrown.com
Cosmetic Tooth Bonding Dr. Lancelot A. Brown Toronto Dentist Teeth Bonding Toronto Kinga kubieniec dentistry provides dental bonding treatment to help restore your smile. This treatment option is a fast, easy solution for handling. dental bonding is a effective way to fix broken teeth when used by a cosmetic dentist in toronto. Our experienced specialists at bentway dental are. our dentists near you recommend teeth bonding for broken, chipped, discolored,. Teeth Bonding Toronto.
From chathamdentists.co.uk
Cosmetic Bonding Chatham Teeth Bonding Dental Bonding Medway Teeth Bonding Toronto Our experienced specialists at bentway dental are. Kinga kubieniec dentistry provides dental bonding treatment to help restore your smile. This treatment option is a fast, easy solution for handling. this versatile material is used to restore decayed teeth, enhance the appearance of your smile, and even change the colour. dental bonding is a effective way to fix broken. Teeth Bonding Toronto.
From kingsdentalcare.co.uk
Teeth Bonding Dentist Grinstead Teeth Bonding Toronto this versatile material is used to restore decayed teeth, enhance the appearance of your smile, and even change the colour. restore chips and cracked teeth or improve the look of healthy teeth. composite bonding, also known as bonding, is a cosmetic dental procedure that can repair and enhance the appearance of. This treatment option is a fast,. Teeth Bonding Toronto.
From smilesrusdentistry.blogspot.com
Dental Tips Smile Dentistry All You Need To Know About Tooth Bonding Teeth Bonding Toronto composite bonding, also known as bonding, is a cosmetic dental procedure that can repair and enhance the appearance of. restore chips and cracked teeth or improve the look of healthy teeth. dental bonding is a effective way to fix broken teeth when used by a cosmetic dentist in toronto. Kinga kubieniec dentistry provides dental bonding treatment to. Teeth Bonding Toronto.
From www.smileworksliverpool.co.uk
Composite Bonding Dentists compare the best (and worst) of 2017 Teeth Bonding Toronto Kinga kubieniec dentistry provides dental bonding treatment to help restore your smile. composite bonding, also known as bonding, is a cosmetic dental procedure that can repair and enhance the appearance of. This treatment option is a fast, easy solution for handling. our dentists near you recommend teeth bonding for broken, chipped, discolored, misshapen, and worn teeth. restore. Teeth Bonding Toronto.
From cosmodont.com
Dental Bonding in Toronto Toronto Dental Bonding Teeth Bonding Toronto this versatile material is used to restore decayed teeth, enhance the appearance of your smile, and even change the colour. Looking for a dentist that offers dental bonding in toronto? Kinga kubieniec dentistry provides dental bonding treatment to help restore your smile. restore chips and cracked teeth or improve the look of healthy teeth. Our experienced specialists at. Teeth Bonding Toronto.
From drkingadentistry.com
Teeth Bonding Toronto, ON Dental Bonding to Restore Your Smile Teeth Bonding Toronto dental bonding is a effective way to fix broken teeth when used by a cosmetic dentist in toronto. Kinga kubieniec dentistry provides dental bonding treatment to help restore your smile. our dentists near you recommend teeth bonding for broken, chipped, discolored, misshapen, and worn teeth. this versatile material is used to restore decayed teeth, enhance the appearance. Teeth Bonding Toronto.
From www.towsonview.com
Dental Veneers and Cosmetic Dental Bonding by skilled Towson dentist at Teeth Bonding Toronto Looking for a dentist that offers dental bonding in toronto? dental bonding is a effective way to fix broken teeth when used by a cosmetic dentist in toronto. this versatile material is used to restore decayed teeth, enhance the appearance of your smile, and even change the colour. our dentists near you recommend teeth bonding for broken,. Teeth Bonding Toronto.
From bitehaus.ca
Teeth Whitening Toronto Opalescence Bitehaus Dental Clinic Teeth Bonding Toronto our dentists near you recommend teeth bonding for broken, chipped, discolored, misshapen, and worn teeth. this versatile material is used to restore decayed teeth, enhance the appearance of your smile, and even change the colour. Our experienced specialists at bentway dental are. composite bonding, also known as bonding, is a cosmetic dental procedure that can repair and. Teeth Bonding Toronto.
From healthjade.com
Teeth bonding or dental bonding pros and cons, how long dental bonding last Teeth Bonding Toronto Our experienced specialists at bentway dental are. restore chips and cracked teeth or improve the look of healthy teeth. Kinga kubieniec dentistry provides dental bonding treatment to help restore your smile. this versatile material is used to restore decayed teeth, enhance the appearance of your smile, and even change the colour. This treatment option is a fast, easy. Teeth Bonding Toronto.
From www.beechview.ie
Composite Bonding Dental Bonding Teeth Bonding Beechview Dental Teeth Bonding Toronto Our experienced specialists at bentway dental are. our dentists near you recommend teeth bonding for broken, chipped, discolored, misshapen, and worn teeth. This treatment option is a fast, easy solution for handling. Kinga kubieniec dentistry provides dental bonding treatment to help restore your smile. dental bonding is a effective way to fix broken teeth when used by a. Teeth Bonding Toronto.
From sherbournedental.com
Bonding Sherbourne Dental Associates Dentist Toronto Teeth Bonding Toronto this versatile material is used to restore decayed teeth, enhance the appearance of your smile, and even change the colour. Looking for a dentist that offers dental bonding in toronto? composite bonding, also known as bonding, is a cosmetic dental procedure that can repair and enhance the appearance of. This treatment option is a fast, easy solution for. Teeth Bonding Toronto.
From www.chelmsforddental.com.au
Dental Bonding What is It? & the Pros and Cons Associated Teeth Bonding Toronto Our experienced specialists at bentway dental are. composite bonding, also known as bonding, is a cosmetic dental procedure that can repair and enhance the appearance of. dental bonding is a effective way to fix broken teeth when used by a cosmetic dentist in toronto. Kinga kubieniec dentistry provides dental bonding treatment to help restore your smile. restore. Teeth Bonding Toronto.
From dentistryonking.net
Cosmetic Dentist in Toronto Best Cosmetic Dentistry Teeth Bonding Toronto Our experienced specialists at bentway dental are. composite bonding, also known as bonding, is a cosmetic dental procedure that can repair and enhance the appearance of. dental bonding is a effective way to fix broken teeth when used by a cosmetic dentist in toronto. This treatment option is a fast, easy solution for handling. Looking for a dentist. Teeth Bonding Toronto.
From www.thornhilldental.com
Dental Bonding Thornhill Ontario, Tooth Bonding , Chipped Tooth Teeth Bonding Toronto our dentists near you recommend teeth bonding for broken, chipped, discolored, misshapen, and worn teeth. restore chips and cracked teeth or improve the look of healthy teeth. composite bonding, also known as bonding, is a cosmetic dental procedure that can repair and enhance the appearance of. Looking for a dentist that offers dental bonding in toronto? Kinga. Teeth Bonding Toronto.
From www.opencare.com
Tooth bonding 101 How it works, how much is costs, and what to expect Teeth Bonding Toronto Looking for a dentist that offers dental bonding in toronto? Our experienced specialists at bentway dental are. our dentists near you recommend teeth bonding for broken, chipped, discolored, misshapen, and worn teeth. composite bonding, also known as bonding, is a cosmetic dental procedure that can repair and enhance the appearance of. dental bonding is a effective way. Teeth Bonding Toronto.
From dentistspreston.com
Before and After Dental Bonding Photos Cosmetic Bonding Dentists Teeth Bonding Toronto Looking for a dentist that offers dental bonding in toronto? Our experienced specialists at bentway dental are. our dentists near you recommend teeth bonding for broken, chipped, discolored, misshapen, and worn teeth. composite bonding, also known as bonding, is a cosmetic dental procedure that can repair and enhance the appearance of. This treatment option is a fast, easy. Teeth Bonding Toronto.
From airdriedentalcare.co.uk
Composite Bonding Airdrie Dental Care Teeth Bonding Toronto Kinga kubieniec dentistry provides dental bonding treatment to help restore your smile. Our experienced specialists at bentway dental are. Looking for a dentist that offers dental bonding in toronto? This treatment option is a fast, easy solution for handling. this versatile material is used to restore decayed teeth, enhance the appearance of your smile, and even change the colour.. Teeth Bonding Toronto.
From sohodental.ca
Direct Bonding Soho Dental Toronto Dentist Teeth Bonding Toronto composite bonding, also known as bonding, is a cosmetic dental procedure that can repair and enhance the appearance of. dental bonding is a effective way to fix broken teeth when used by a cosmetic dentist in toronto. Looking for a dentist that offers dental bonding in toronto? our dentists near you recommend teeth bonding for broken, chipped,. Teeth Bonding Toronto.
From ruhdental.com
How Composite Bonding can fix crooked teeth Ruh Dental Teeth Bonding Toronto Kinga kubieniec dentistry provides dental bonding treatment to help restore your smile. this versatile material is used to restore decayed teeth, enhance the appearance of your smile, and even change the colour. Looking for a dentist that offers dental bonding in toronto? dental bonding is a effective way to fix broken teeth when used by a cosmetic dentist. Teeth Bonding Toronto.
From www.kwdstudio.ca
Your Complete Guide to Cosmetic Dental Bonding Toronto, ON Teeth Bonding Toronto our dentists near you recommend teeth bonding for broken, chipped, discolored, misshapen, and worn teeth. This treatment option is a fast, easy solution for handling. Kinga kubieniec dentistry provides dental bonding treatment to help restore your smile. Looking for a dentist that offers dental bonding in toronto? restore chips and cracked teeth or improve the look of healthy. Teeth Bonding Toronto.
From cosmodont.com
Dental Bonding in Toronto Toronto Dental Bonding Teeth Bonding Toronto dental bonding is a effective way to fix broken teeth when used by a cosmetic dentist in toronto. our dentists near you recommend teeth bonding for broken, chipped, discolored, misshapen, and worn teeth. Looking for a dentist that offers dental bonding in toronto? This treatment option is a fast, easy solution for handling. Our experienced specialists at bentway. Teeth Bonding Toronto.