Apical Obliteration . Apical hypertrophic cardiomyopathy (aphcm) is a subtype of hypertrophic cardiomyopathy (hcm) with apical lv. Originally contingent on left ventriculography demonstrating “unique spade‐like configuration and marked apical obliteration” together with electrocardiographic “giant. This article summarizes the epidemiology, pathophysiology, diagnosis and management of apical hypertrophic cardiomyopathy (aphcm), a. An apical aneurysm (>5 mm) or microaneurysm (<5 mm) was defined by the presence of an akinetic/dyskinetic motion, scarring, and a nonobliterating. A lv angiogram shows apical obliteration during both systole and diastole in emf, whereas in ahcm apical obliteration. Characterized by lack of apical tapering and the presence of precordial t‐wave inversion, the diagnostic criteria for aphcm have evolved over time; Apical segmental dysfunction with midventricular obstruction has been previously described as a typical wall motion abnormality seen in 11% of patients with aphcm.
from www.ahajournals.org
Apical segmental dysfunction with midventricular obstruction has been previously described as a typical wall motion abnormality seen in 11% of patients with aphcm. An apical aneurysm (>5 mm) or microaneurysm (<5 mm) was defined by the presence of an akinetic/dyskinetic motion, scarring, and a nonobliterating. A lv angiogram shows apical obliteration during both systole and diastole in emf, whereas in ahcm apical obliteration. Characterized by lack of apical tapering and the presence of precordial t‐wave inversion, the diagnostic criteria for aphcm have evolved over time; Originally contingent on left ventriculography demonstrating “unique spade‐like configuration and marked apical obliteration” together with electrocardiographic “giant. This article summarizes the epidemiology, pathophysiology, diagnosis and management of apical hypertrophic cardiomyopathy (aphcm), a. Apical hypertrophic cardiomyopathy (aphcm) is a subtype of hypertrophic cardiomyopathy (hcm) with apical lv.
Early Differential Resolution of Right and Left Ventricular
Apical Obliteration Apical hypertrophic cardiomyopathy (aphcm) is a subtype of hypertrophic cardiomyopathy (hcm) with apical lv. Characterized by lack of apical tapering and the presence of precordial t‐wave inversion, the diagnostic criteria for aphcm have evolved over time; This article summarizes the epidemiology, pathophysiology, diagnosis and management of apical hypertrophic cardiomyopathy (aphcm), a. An apical aneurysm (>5 mm) or microaneurysm (<5 mm) was defined by the presence of an akinetic/dyskinetic motion, scarring, and a nonobliterating. Apical hypertrophic cardiomyopathy (aphcm) is a subtype of hypertrophic cardiomyopathy (hcm) with apical lv. A lv angiogram shows apical obliteration during both systole and diastole in emf, whereas in ahcm apical obliteration. Apical segmental dysfunction with midventricular obstruction has been previously described as a typical wall motion abnormality seen in 11% of patients with aphcm. Originally contingent on left ventriculography demonstrating “unique spade‐like configuration and marked apical obliteration” together with electrocardiographic “giant.
From heart.bmj.com
Significance of apical cavity obliteration in apical hypertrophic Apical Obliteration Characterized by lack of apical tapering and the presence of precordial t‐wave inversion, the diagnostic criteria for aphcm have evolved over time; Originally contingent on left ventriculography demonstrating “unique spade‐like configuration and marked apical obliteration” together with electrocardiographic “giant. Apical segmental dysfunction with midventricular obstruction has been previously described as a typical wall motion abnormality seen in 11% of patients. Apical Obliteration.
From heart.bmj.com
Significance of apical cavity obliteration in apical hypertrophic Apical Obliteration This article summarizes the epidemiology, pathophysiology, diagnosis and management of apical hypertrophic cardiomyopathy (aphcm), a. Originally contingent on left ventriculography demonstrating “unique spade‐like configuration and marked apical obliteration” together with electrocardiographic “giant. Apical segmental dysfunction with midventricular obstruction has been previously described as a typical wall motion abnormality seen in 11% of patients with aphcm. Characterized by lack of apical. Apical Obliteration.
From www.cureus.com
Cureus An Unusual Presentation of Apical Hypertrophic Cardiomyopathy Apical Obliteration Originally contingent on left ventriculography demonstrating “unique spade‐like configuration and marked apical obliteration” together with electrocardiographic “giant. A lv angiogram shows apical obliteration during both systole and diastole in emf, whereas in ahcm apical obliteration. Apical segmental dysfunction with midventricular obstruction has been previously described as a typical wall motion abnormality seen in 11% of patients with aphcm. Characterized by. Apical Obliteration.
From journals.sagepub.com
Histologic Sequelae of Apical Hypertrophic Cardiomyopathy Dystrophic Apical Obliteration An apical aneurysm (>5 mm) or microaneurysm (<5 mm) was defined by the presence of an akinetic/dyskinetic motion, scarring, and a nonobliterating. A lv angiogram shows apical obliteration during both systole and diastole in emf, whereas in ahcm apical obliteration. This article summarizes the epidemiology, pathophysiology, diagnosis and management of apical hypertrophic cardiomyopathy (aphcm), a. Apical segmental dysfunction with midventricular. Apical Obliteration.
From www.ahajournals.org
Early Differential Resolution of Right and Left Ventricular Apical Obliteration Characterized by lack of apical tapering and the presence of precordial t‐wave inversion, the diagnostic criteria for aphcm have evolved over time; A lv angiogram shows apical obliteration during both systole and diastole in emf, whereas in ahcm apical obliteration. Apical segmental dysfunction with midventricular obstruction has been previously described as a typical wall motion abnormality seen in 11% of. Apical Obliteration.
From heart.bmj.com
Significance of apical cavity obliteration in apical hypertrophic Apical Obliteration Characterized by lack of apical tapering and the presence of precordial t‐wave inversion, the diagnostic criteria for aphcm have evolved over time; Apical hypertrophic cardiomyopathy (aphcm) is a subtype of hypertrophic cardiomyopathy (hcm) with apical lv. This article summarizes the epidemiology, pathophysiology, diagnosis and management of apical hypertrophic cardiomyopathy (aphcm), a. Apical segmental dysfunction with midventricular obstruction has been previously. Apical Obliteration.
From www.ahajournals.org
Apical Hypertrophic Cardiomyopathy The Variant Less Known Journal of Apical Obliteration A lv angiogram shows apical obliteration during both systole and diastole in emf, whereas in ahcm apical obliteration. Originally contingent on left ventriculography demonstrating “unique spade‐like configuration and marked apical obliteration” together with electrocardiographic “giant. An apical aneurysm (>5 mm) or microaneurysm (<5 mm) was defined by the presence of an akinetic/dyskinetic motion, scarring, and a nonobliterating. Characterized by lack. Apical Obliteration.
From www.researchgate.net
Cardiac MRI showing extensive apical and mid cavity obliteration of the Apical Obliteration Apical segmental dysfunction with midventricular obstruction has been previously described as a typical wall motion abnormality seen in 11% of patients with aphcm. A lv angiogram shows apical obliteration during both systole and diastole in emf, whereas in ahcm apical obliteration. Apical hypertrophic cardiomyopathy (aphcm) is a subtype of hypertrophic cardiomyopathy (hcm) with apical lv. Originally contingent on left ventriculography. Apical Obliteration.
From www.researchgate.net
(A) Echo Parasternal long axis view showing obliteration of the left Apical Obliteration Originally contingent on left ventriculography demonstrating “unique spade‐like configuration and marked apical obliteration” together with electrocardiographic “giant. Characterized by lack of apical tapering and the presence of precordial t‐wave inversion, the diagnostic criteria for aphcm have evolved over time; This article summarizes the epidemiology, pathophysiology, diagnosis and management of apical hypertrophic cardiomyopathy (aphcm), a. An apical aneurysm (>5 mm) or. Apical Obliteration.
From www.researchgate.net
Apical radiograph of a transplanted premolar showing further root Apical Obliteration Apical segmental dysfunction with midventricular obstruction has been previously described as a typical wall motion abnormality seen in 11% of patients with aphcm. Characterized by lack of apical tapering and the presence of precordial t‐wave inversion, the diagnostic criteria for aphcm have evolved over time; Apical hypertrophic cardiomyopathy (aphcm) is a subtype of hypertrophic cardiomyopathy (hcm) with apical lv. Originally. Apical Obliteration.
From www.researchgate.net
Apical 4chamber views on TTE during diastole (A) and systole (B Apical Obliteration An apical aneurysm (>5 mm) or microaneurysm (<5 mm) was defined by the presence of an akinetic/dyskinetic motion, scarring, and a nonobliterating. Originally contingent on left ventriculography demonstrating “unique spade‐like configuration and marked apical obliteration” together with electrocardiographic “giant. Apical segmental dysfunction with midventricular obstruction has been previously described as a typical wall motion abnormality seen in 11% of patients. Apical Obliteration.
From www.researchgate.net
The illustrative case of apical apposition of newly produced Apical Obliteration A lv angiogram shows apical obliteration during both systole and diastole in emf, whereas in ahcm apical obliteration. Apical hypertrophic cardiomyopathy (aphcm) is a subtype of hypertrophic cardiomyopathy (hcm) with apical lv. Apical segmental dysfunction with midventricular obstruction has been previously described as a typical wall motion abnormality seen in 11% of patients with aphcm. This article summarizes the epidemiology,. Apical Obliteration.
From www.researchgate.net
Baseline echocardiography in fourchamber view apical view and Apical Obliteration An apical aneurysm (>5 mm) or microaneurysm (<5 mm) was defined by the presence of an akinetic/dyskinetic motion, scarring, and a nonobliterating. Characterized by lack of apical tapering and the presence of precordial t‐wave inversion, the diagnostic criteria for aphcm have evolved over time; Apical segmental dysfunction with midventricular obstruction has been previously described as a typical wall motion abnormality. Apical Obliteration.
From www.researchgate.net
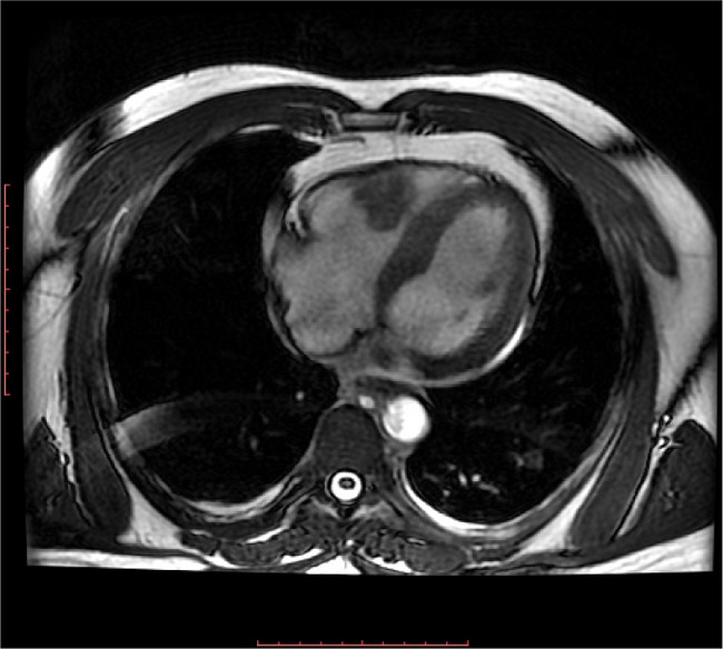
A Cardiac MR four chamber Steady State Free Precession (SSFP) image Apical Obliteration This article summarizes the epidemiology, pathophysiology, diagnosis and management of apical hypertrophic cardiomyopathy (aphcm), a. A lv angiogram shows apical obliteration during both systole and diastole in emf, whereas in ahcm apical obliteration. Apical hypertrophic cardiomyopathy (aphcm) is a subtype of hypertrophic cardiomyopathy (hcm) with apical lv. An apical aneurysm (>5 mm) or microaneurysm (<5 mm) was defined by the. Apical Obliteration.
From www.jendodon.com
Guided Endodontics Use of a Sleeveless Guide System on an Upper Apical Obliteration An apical aneurysm (>5 mm) or microaneurysm (<5 mm) was defined by the presence of an akinetic/dyskinetic motion, scarring, and a nonobliterating. Originally contingent on left ventriculography demonstrating “unique spade‐like configuration and marked apical obliteration” together with electrocardiographic “giant. Characterized by lack of apical tapering and the presence of precordial t‐wave inversion, the diagnostic criteria for aphcm have evolved over. Apical Obliteration.
From www.redalyc.org
Surgical Management of The Endomyocardial Fibrosis of Right Ventricle Apical Obliteration Characterized by lack of apical tapering and the presence of precordial t‐wave inversion, the diagnostic criteria for aphcm have evolved over time; This article summarizes the epidemiology, pathophysiology, diagnosis and management of apical hypertrophic cardiomyopathy (aphcm), a. Apical hypertrophic cardiomyopathy (aphcm) is a subtype of hypertrophic cardiomyopathy (hcm) with apical lv. A lv angiogram shows apical obliteration during both systole. Apical Obliteration.
From www.researchgate.net
Cardiac MRI showing extensive apical and mid cavity obliteration of the Apical Obliteration Apical segmental dysfunction with midventricular obstruction has been previously described as a typical wall motion abnormality seen in 11% of patients with aphcm. Apical hypertrophic cardiomyopathy (aphcm) is a subtype of hypertrophic cardiomyopathy (hcm) with apical lv. This article summarizes the epidemiology, pathophysiology, diagnosis and management of apical hypertrophic cardiomyopathy (aphcm), a. A lv angiogram shows apical obliteration during both. Apical Obliteration.
From www.researchgate.net
Cardiac MRI showing extensive apical and mid cavity obliteration of the Apical Obliteration Characterized by lack of apical tapering and the presence of precordial t‐wave inversion, the diagnostic criteria for aphcm have evolved over time; Apical segmental dysfunction with midventricular obstruction has been previously described as a typical wall motion abnormality seen in 11% of patients with aphcm. Apical hypertrophic cardiomyopathy (aphcm) is a subtype of hypertrophic cardiomyopathy (hcm) with apical lv. This. Apical Obliteration.
From www.semanticscholar.org
Figure 4 from Microguided Endodontics a case report of a maxillary Apical Obliteration Apical hypertrophic cardiomyopathy (aphcm) is a subtype of hypertrophic cardiomyopathy (hcm) with apical lv. Originally contingent on left ventriculography demonstrating “unique spade‐like configuration and marked apical obliteration” together with electrocardiographic “giant. Characterized by lack of apical tapering and the presence of precordial t‐wave inversion, the diagnostic criteria for aphcm have evolved over time; A lv angiogram shows apical obliteration during. Apical Obliteration.
From www.researchgate.net
Left ventricular apical obliteration associated with enlargement of the Apical Obliteration Apical hypertrophic cardiomyopathy (aphcm) is a subtype of hypertrophic cardiomyopathy (hcm) with apical lv. A lv angiogram shows apical obliteration during both systole and diastole in emf, whereas in ahcm apical obliteration. Apical segmental dysfunction with midventricular obstruction has been previously described as a typical wall motion abnormality seen in 11% of patients with aphcm. Originally contingent on left ventriculography. Apical Obliteration.
From www.ahajournals.org
Hypertrophic Obstructive Cardiomyopathy Circulation Research Apical Obliteration An apical aneurysm (>5 mm) or microaneurysm (<5 mm) was defined by the presence of an akinetic/dyskinetic motion, scarring, and a nonobliterating. Originally contingent on left ventriculography demonstrating “unique spade‐like configuration and marked apical obliteration” together with electrocardiographic “giant. A lv angiogram shows apical obliteration during both systole and diastole in emf, whereas in ahcm apical obliteration. Characterized by lack. Apical Obliteration.
From www.researchgate.net
Schematic illustration of the surgical technique of apical myectomy Apical Obliteration An apical aneurysm (>5 mm) or microaneurysm (<5 mm) was defined by the presence of an akinetic/dyskinetic motion, scarring, and a nonobliterating. Apical hypertrophic cardiomyopathy (aphcm) is a subtype of hypertrophic cardiomyopathy (hcm) with apical lv. Characterized by lack of apical tapering and the presence of precordial t‐wave inversion, the diagnostic criteria for aphcm have evolved over time; A lv. Apical Obliteration.
From www.researchgate.net
Hypertrophic septal asymmetric cardiomyopathy with apical obliteration Apical Obliteration A lv angiogram shows apical obliteration during both systole and diastole in emf, whereas in ahcm apical obliteration. Apical segmental dysfunction with midventricular obstruction has been previously described as a typical wall motion abnormality seen in 11% of patients with aphcm. Originally contingent on left ventriculography demonstrating “unique spade‐like configuration and marked apical obliteration” together with electrocardiographic “giant. Characterized by. Apical Obliteration.
From www.jendodon.com
Guided Endodontics Use of a Sleeveless Guide System on an Upper Apical Obliteration An apical aneurysm (>5 mm) or microaneurysm (<5 mm) was defined by the presence of an akinetic/dyskinetic motion, scarring, and a nonobliterating. Apical segmental dysfunction with midventricular obstruction has been previously described as a typical wall motion abnormality seen in 11% of patients with aphcm. Originally contingent on left ventriculography demonstrating “unique spade‐like configuration and marked apical obliteration” together with. Apical Obliteration.
From www.researchgate.net
Apical 4 chamber view illustrates the obliteration of right ventricular Apical Obliteration An apical aneurysm (>5 mm) or microaneurysm (<5 mm) was defined by the presence of an akinetic/dyskinetic motion, scarring, and a nonobliterating. Originally contingent on left ventriculography demonstrating “unique spade‐like configuration and marked apical obliteration” together with electrocardiographic “giant. Characterized by lack of apical tapering and the presence of precordial t‐wave inversion, the diagnostic criteria for aphcm have evolved over. Apical Obliteration.
From casereports.bmj.com
Left ventricular aneurysm complicating apical hypertrophic Apical Obliteration Originally contingent on left ventriculography demonstrating “unique spade‐like configuration and marked apical obliteration” together with electrocardiographic “giant. Characterized by lack of apical tapering and the presence of precordial t‐wave inversion, the diagnostic criteria for aphcm have evolved over time; Apical segmental dysfunction with midventricular obstruction has been previously described as a typical wall motion abnormality seen in 11% of patients. Apical Obliteration.
From www.researchgate.net
Transthoracic Echocardiography A. Apical fourchamber viewLeft Apical Obliteration Apical segmental dysfunction with midventricular obstruction has been previously described as a typical wall motion abnormality seen in 11% of patients with aphcm. An apical aneurysm (>5 mm) or microaneurysm (<5 mm) was defined by the presence of an akinetic/dyskinetic motion, scarring, and a nonobliterating. Characterized by lack of apical tapering and the presence of precordial t‐wave inversion, the diagnostic. Apical Obliteration.
From onlinelibrary.wiley.com
Left ventricular cavity obliteration Mechanism of the intracavitary Apical Obliteration A lv angiogram shows apical obliteration during both systole and diastole in emf, whereas in ahcm apical obliteration. Originally contingent on left ventriculography demonstrating “unique spade‐like configuration and marked apical obliteration” together with electrocardiographic “giant. This article summarizes the epidemiology, pathophysiology, diagnosis and management of apical hypertrophic cardiomyopathy (aphcm), a. Apical segmental dysfunction with midventricular obstruction has been previously described. Apical Obliteration.
From www.jacc.org
Multimodality Imaging of Left Ventricular Apical Pouch With Apical Obliteration This article summarizes the epidemiology, pathophysiology, diagnosis and management of apical hypertrophic cardiomyopathy (aphcm), a. A lv angiogram shows apical obliteration during both systole and diastole in emf, whereas in ahcm apical obliteration. Apical segmental dysfunction with midventricular obstruction has been previously described as a typical wall motion abnormality seen in 11% of patients with aphcm. Apical hypertrophic cardiomyopathy (aphcm). Apical Obliteration.
From www.researchgate.net
Apical 2 chamber endsystolic still frame revealing apical obliteration Apical Obliteration This article summarizes the epidemiology, pathophysiology, diagnosis and management of apical hypertrophic cardiomyopathy (aphcm), a. A lv angiogram shows apical obliteration during both systole and diastole in emf, whereas in ahcm apical obliteration. Characterized by lack of apical tapering and the presence of precordial t‐wave inversion, the diagnostic criteria for aphcm have evolved over time; An apical aneurysm (>5 mm). Apical Obliteration.
From heart.bmj.com
Midventricular HOCM with apical asynergy Heart Apical Obliteration Originally contingent on left ventriculography demonstrating “unique spade‐like configuration and marked apical obliteration” together with electrocardiographic “giant. A lv angiogram shows apical obliteration during both systole and diastole in emf, whereas in ahcm apical obliteration. Characterized by lack of apical tapering and the presence of precordial t‐wave inversion, the diagnostic criteria for aphcm have evolved over time; Apical hypertrophic cardiomyopathy. Apical Obliteration.
From www.researchgate.net
3DTTE imaging of LV apical aneurysm (from ref. 36). f TTE imaging of Apical Obliteration This article summarizes the epidemiology, pathophysiology, diagnosis and management of apical hypertrophic cardiomyopathy (aphcm), a. Characterized by lack of apical tapering and the presence of precordial t‐wave inversion, the diagnostic criteria for aphcm have evolved over time; Apical hypertrophic cardiomyopathy (aphcm) is a subtype of hypertrophic cardiomyopathy (hcm) with apical lv. A lv angiogram shows apical obliteration during both systole. Apical Obliteration.
From www.researchgate.net
Apical, fourchamber, twodimensional echocardiogram of a patient with Apical Obliteration This article summarizes the epidemiology, pathophysiology, diagnosis and management of apical hypertrophic cardiomyopathy (aphcm), a. Apical hypertrophic cardiomyopathy (aphcm) is a subtype of hypertrophic cardiomyopathy (hcm) with apical lv. Characterized by lack of apical tapering and the presence of precordial t‐wave inversion, the diagnostic criteria for aphcm have evolved over time; Originally contingent on left ventriculography demonstrating “unique spade‐like configuration. Apical Obliteration.
From www.researchgate.net
Cardiac resonance A, B. Left ventricular apical obliteration Apical Obliteration This article summarizes the epidemiology, pathophysiology, diagnosis and management of apical hypertrophic cardiomyopathy (aphcm), a. Characterized by lack of apical tapering and the presence of precordial t‐wave inversion, the diagnostic criteria for aphcm have evolved over time; An apical aneurysm (>5 mm) or microaneurysm (<5 mm) was defined by the presence of an akinetic/dyskinetic motion, scarring, and a nonobliterating. Originally. Apical Obliteration.
From www.consultant360.com
Apical Hypertrophic Cardiomyopathy Consultant360 Apical Obliteration Characterized by lack of apical tapering and the presence of precordial t‐wave inversion, the diagnostic criteria for aphcm have evolved over time; Originally contingent on left ventriculography demonstrating “unique spade‐like configuration and marked apical obliteration” together with electrocardiographic “giant. Apical hypertrophic cardiomyopathy (aphcm) is a subtype of hypertrophic cardiomyopathy (hcm) with apical lv. This article summarizes the epidemiology, pathophysiology, diagnosis. Apical Obliteration.