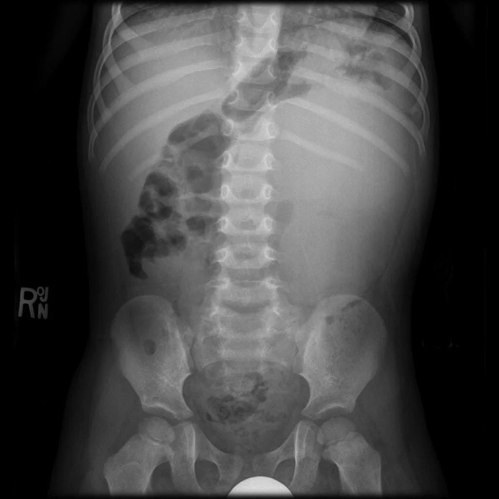
What Does Stool Look Like On X Ray . • on conventional radiographs, there are one or two persistently dilated loops of small bowel. The valvulae conniventes (also called plicae circulares) are. Excessive stool burden can be. • persistently means that these same loops remain dilated on multiple views of the abdomen (supine, prone, upright abdomen) or on serial studies done over the course of time. It is seen as speckled material along the periphery of the abdomen where the colon is located. In this example the wavy 'ruggae' of the stomach wall can be seen. Normal bowel gas has very variable appearance. Generally the small bowel lies centrally within the abdomen. Gas is either swallowed or formed by.
from www.medicalnewstoday.com
Excessive stool burden can be. Normal bowel gas has very variable appearance. • on conventional radiographs, there are one or two persistently dilated loops of small bowel. The valvulae conniventes (also called plicae circulares) are. Generally the small bowel lies centrally within the abdomen. It is seen as speckled material along the periphery of the abdomen where the colon is located. Gas is either swallowed or formed by. • persistently means that these same loops remain dilated on multiple views of the abdomen (supine, prone, upright abdomen) or on serial studies done over the course of time. In this example the wavy 'ruggae' of the stomach wall can be seen.
Ulcerative colitis stool Appearance, symptoms, and treatment
What Does Stool Look Like On X Ray Gas is either swallowed or formed by. • on conventional radiographs, there are one or two persistently dilated loops of small bowel. In this example the wavy 'ruggae' of the stomach wall can be seen. The valvulae conniventes (also called plicae circulares) are. Generally the small bowel lies centrally within the abdomen. Gas is either swallowed or formed by. Excessive stool burden can be. Normal bowel gas has very variable appearance. It is seen as speckled material along the periphery of the abdomen where the colon is located. • persistently means that these same loops remain dilated on multiple views of the abdomen (supine, prone, upright abdomen) or on serial studies done over the course of time.
From ar.inspiredpencil.com
What Does Healthy Human Poop Look Like What Does Stool Look Like On X Ray The valvulae conniventes (also called plicae circulares) are. • persistently means that these same loops remain dilated on multiple views of the abdomen (supine, prone, upright abdomen) or on serial studies done over the course of time. Generally the small bowel lies centrally within the abdomen. It is seen as speckled material along the periphery of the abdomen where the. What Does Stool Look Like On X Ray.
From www.tamingthesru.com
The Abdominal XRay A relic or a reliable tool? — Taming the SRU What Does Stool Look Like On X Ray Generally the small bowel lies centrally within the abdomen. • persistently means that these same loops remain dilated on multiple views of the abdomen (supine, prone, upright abdomen) or on serial studies done over the course of time. It is seen as speckled material along the periphery of the abdomen where the colon is located. Gas is either swallowed or. What Does Stool Look Like On X Ray.
From www.youtube.com
Constipation (Poop) on X Ray Dr. Alan Nathans YouTube What Does Stool Look Like On X Ray Gas is either swallowed or formed by. It is seen as speckled material along the periphery of the abdomen where the colon is located. In this example the wavy 'ruggae' of the stomach wall can be seen. Generally the small bowel lies centrally within the abdomen. • persistently means that these same loops remain dilated on multiple views of the. What Does Stool Look Like On X Ray.
From www.tamingthesru.com
The Abdominal XRay A relic or a reliable tool? — Taming the SRU What Does Stool Look Like On X Ray Normal bowel gas has very variable appearance. • persistently means that these same loops remain dilated on multiple views of the abdomen (supine, prone, upright abdomen) or on serial studies done over the course of time. It is seen as speckled material along the periphery of the abdomen where the colon is located. Gas is either swallowed or formed by.. What Does Stool Look Like On X Ray.
From functionalhealthnetwork.com
Constipation & Bowel Movement Functional Health Network Functional What Does Stool Look Like On X Ray The valvulae conniventes (also called plicae circulares) are. • persistently means that these same loops remain dilated on multiple views of the abdomen (supine, prone, upright abdomen) or on serial studies done over the course of time. Excessive stool burden can be. • on conventional radiographs, there are one or two persistently dilated loops of small bowel. Gas is either. What Does Stool Look Like On X Ray.
From www.youtube.com
Constipation for USMLE YouTube What Does Stool Look Like On X Ray • persistently means that these same loops remain dilated on multiple views of the abdomen (supine, prone, upright abdomen) or on serial studies done over the course of time. Excessive stool burden can be. The valvulae conniventes (also called plicae circulares) are. Normal bowel gas has very variable appearance. • on conventional radiographs, there are one or two persistently dilated. What Does Stool Look Like On X Ray.
From naturalconstipationsolutions.com
The Bristol Stool Chart, Is My Child Constipated? Natural What Does Stool Look Like On X Ray Generally the small bowel lies centrally within the abdomen. Normal bowel gas has very variable appearance. The valvulae conniventes (also called plicae circulares) are. • persistently means that these same loops remain dilated on multiple views of the abdomen (supine, prone, upright abdomen) or on serial studies done over the course of time. It is seen as speckled material along. What Does Stool Look Like On X Ray.
From www.youtube.com
CT Imaging Small Bowel Obstruction (SBO) YouTube What Does Stool Look Like On X Ray The valvulae conniventes (also called plicae circulares) are. In this example the wavy 'ruggae' of the stomach wall can be seen. Excessive stool burden can be. Normal bowel gas has very variable appearance. Generally the small bowel lies centrally within the abdomen. Gas is either swallowed or formed by. • persistently means that these same loops remain dilated on multiple. What Does Stool Look Like On X Ray.
From www.youtube.com
Abdominal XRays Made Easy YouTube What Does Stool Look Like On X Ray Excessive stool burden can be. Normal bowel gas has very variable appearance. In this example the wavy 'ruggae' of the stomach wall can be seen. Generally the small bowel lies centrally within the abdomen. The valvulae conniventes (also called plicae circulares) are. It is seen as speckled material along the periphery of the abdomen where the colon is located. Gas. What Does Stool Look Like On X Ray.
From www.alamy.com
" Constipation " ( Xray abdomen of old man a lot of feces in large What Does Stool Look Like On X Ray Generally the small bowel lies centrally within the abdomen. Excessive stool burden can be. It is seen as speckled material along the periphery of the abdomen where the colon is located. In this example the wavy 'ruggae' of the stomach wall can be seen. Normal bowel gas has very variable appearance. Gas is either swallowed or formed by. The valvulae. What Does Stool Look Like On X Ray.
From aydenwetberger.blogspot.com
Dilated Bowel X Ray AydenwetBerger What Does Stool Look Like On X Ray Excessive stool burden can be. • persistently means that these same loops remain dilated on multiple views of the abdomen (supine, prone, upright abdomen) or on serial studies done over the course of time. Generally the small bowel lies centrally within the abdomen. • on conventional radiographs, there are one or two persistently dilated loops of small bowel. The valvulae. What Does Stool Look Like On X Ray.
From vectormine.com
Bristol stool chart with excrement description and types outline What Does Stool Look Like On X Ray • persistently means that these same loops remain dilated on multiple views of the abdomen (supine, prone, upright abdomen) or on serial studies done over the course of time. Normal bowel gas has very variable appearance. Excessive stool burden can be. In this example the wavy 'ruggae' of the stomach wall can be seen. It is seen as speckled material. What Does Stool Look Like On X Ray.
From geekymedics.com
Abdominal Xray Interpretation (AXR) Radiology OSCE Geeky Medics What Does Stool Look Like On X Ray • on conventional radiographs, there are one or two persistently dilated loops of small bowel. Excessive stool burden can be. In this example the wavy 'ruggae' of the stomach wall can be seen. The valvulae conniventes (also called plicae circulares) are. Gas is either swallowed or formed by. It is seen as speckled material along the periphery of the abdomen. What Does Stool Look Like On X Ray.
From www.obesityhelp.com
Stool scare don't open if you cant handle What Does Stool Look Like On X Ray • on conventional radiographs, there are one or two persistently dilated loops of small bowel. Gas is either swallowed or formed by. Normal bowel gas has very variable appearance. Generally the small bowel lies centrally within the abdomen. In this example the wavy 'ruggae' of the stomach wall can be seen. It is seen as speckled material along the periphery. What Does Stool Look Like On X Ray.
From www.medicalnewstoday.com
Ulcerative colitis stool Appearance, symptoms, and treatment What Does Stool Look Like On X Ray It is seen as speckled material along the periphery of the abdomen where the colon is located. Generally the small bowel lies centrally within the abdomen. • on conventional radiographs, there are one or two persistently dilated loops of small bowel. The valvulae conniventes (also called plicae circulares) are. In this example the wavy 'ruggae' of the stomach wall can. What Does Stool Look Like On X Ray.
From exovyysxr.blob.core.windows.net
What Does A Normal Bowel X Ray Look Like at Nathaniel Pilcher blog What Does Stool Look Like On X Ray • on conventional radiographs, there are one or two persistently dilated loops of small bowel. Excessive stool burden can be. Normal bowel gas has very variable appearance. The valvulae conniventes (also called plicae circulares) are. In this example the wavy 'ruggae' of the stomach wall can be seen. It is seen as speckled material along the periphery of the abdomen. What Does Stool Look Like On X Ray.
From radiopaedia.org
Image What Does Stool Look Like On X Ray • persistently means that these same loops remain dilated on multiple views of the abdomen (supine, prone, upright abdomen) or on serial studies done over the course of time. In this example the wavy 'ruggae' of the stomach wall can be seen. Gas is either swallowed or formed by. The valvulae conniventes (also called plicae circulares) are. It is seen. What Does Stool Look Like On X Ray.
From katherinewall.z13.web.core.windows.net
Bristol Stool Chart Nhs What Does Stool Look Like On X Ray It is seen as speckled material along the periphery of the abdomen where the colon is located. Generally the small bowel lies centrally within the abdomen. • persistently means that these same loops remain dilated on multiple views of the abdomen (supine, prone, upright abdomen) or on serial studies done over the course of time. • on conventional radiographs, there. What Does Stool Look Like On X Ray.
From www.pinterest.com
Pin on thexraydoctor What Does Stool Look Like On X Ray Gas is either swallowed or formed by. It is seen as speckled material along the periphery of the abdomen where the colon is located. Generally the small bowel lies centrally within the abdomen. In this example the wavy 'ruggae' of the stomach wall can be seen. • persistently means that these same loops remain dilated on multiple views of the. What Does Stool Look Like On X Ray.
From joiraasub.blob.core.windows.net
Stool Test Microscopic Examination at Terry Johnson blog What Does Stool Look Like On X Ray The valvulae conniventes (also called plicae circulares) are. Generally the small bowel lies centrally within the abdomen. It is seen as speckled material along the periphery of the abdomen where the colon is located. Gas is either swallowed or formed by. • persistently means that these same loops remain dilated on multiple views of the abdomen (supine, prone, upright abdomen). What Does Stool Look Like On X Ray.
From www.youtube.com
Black Specks in Stool Causes YouTube What Does Stool Look Like On X Ray In this example the wavy 'ruggae' of the stomach wall can be seen. Excessive stool burden can be. Normal bowel gas has very variable appearance. Gas is either swallowed or formed by. It is seen as speckled material along the periphery of the abdomen where the colon is located. • on conventional radiographs, there are one or two persistently dilated. What Does Stool Look Like On X Ray.
From www.researchgate.net
Moderate stool burden with nonobstructive bowel gas pattern What Does Stool Look Like On X Ray The valvulae conniventes (also called plicae circulares) are. • on conventional radiographs, there are one or two persistently dilated loops of small bowel. Generally the small bowel lies centrally within the abdomen. Excessive stool burden can be. It is seen as speckled material along the periphery of the abdomen where the colon is located. Gas is either swallowed or formed. What Does Stool Look Like On X Ray.
From openi.nlm.nih.gov
© Copyright Policy openaccess What Does Stool Look Like On X Ray In this example the wavy 'ruggae' of the stomach wall can be seen. Gas is either swallowed or formed by. Excessive stool burden can be. • persistently means that these same loops remain dilated on multiple views of the abdomen (supine, prone, upright abdomen) or on serial studies done over the course of time. Generally the small bowel lies centrally. What Does Stool Look Like On X Ray.
From www.express.co.uk
Bowel cancer symptoms What a healthy stool looks like Health Life What Does Stool Look Like On X Ray The valvulae conniventes (also called plicae circulares) are. It is seen as speckled material along the periphery of the abdomen where the colon is located. Generally the small bowel lies centrally within the abdomen. • persistently means that these same loops remain dilated on multiple views of the abdomen (supine, prone, upright abdomen) or on serial studies done over the. What Does Stool Look Like On X Ray.
From pubs.rsna.org
LargeBowel Obstruction in the Adult Classic Radiographic and CT What Does Stool Look Like On X Ray Generally the small bowel lies centrally within the abdomen. Excessive stool burden can be. In this example the wavy 'ruggae' of the stomach wall can be seen. Normal bowel gas has very variable appearance. • on conventional radiographs, there are one or two persistently dilated loops of small bowel. Gas is either swallowed or formed by. The valvulae conniventes (also. What Does Stool Look Like On X Ray.
From www.youtube.com
Interpretation of Stool Examination YouTube What Does Stool Look Like On X Ray Excessive stool burden can be. • persistently means that these same loops remain dilated on multiple views of the abdomen (supine, prone, upright abdomen) or on serial studies done over the course of time. In this example the wavy 'ruggae' of the stomach wall can be seen. Normal bowel gas has very variable appearance. Gas is either swallowed or formed. What Does Stool Look Like On X Ray.
From www.mirror.co.uk
Horrifying Xray shows young woman 'drowning in her own poo' as her What Does Stool Look Like On X Ray In this example the wavy 'ruggae' of the stomach wall can be seen. The valvulae conniventes (also called plicae circulares) are. Excessive stool burden can be. • persistently means that these same loops remain dilated on multiple views of the abdomen (supine, prone, upright abdomen) or on serial studies done over the course of time. It is seen as speckled. What Does Stool Look Like On X Ray.
From doctorsgate.blogspot.com
DOCTORS GATE. Sep 26, 2010 What Does Stool Look Like On X Ray It is seen as speckled material along the periphery of the abdomen where the colon is located. • persistently means that these same loops remain dilated on multiple views of the abdomen (supine, prone, upright abdomen) or on serial studies done over the course of time. Gas is either swallowed or formed by. • on conventional radiographs, there are one. What Does Stool Look Like On X Ray.
From www.huffingtonpost.co.uk
What Your Poo Says About Your Health Infographic Reveals What The What Does Stool Look Like On X Ray The valvulae conniventes (also called plicae circulares) are. Normal bowel gas has very variable appearance. It is seen as speckled material along the periphery of the abdomen where the colon is located. • persistently means that these same loops remain dilated on multiple views of the abdomen (supine, prone, upright abdomen) or on serial studies done over the course of. What Does Stool Look Like On X Ray.
From klawdechj.blob.core.windows.net
Stool In Xray at Kali Rubio blog What Does Stool Look Like On X Ray In this example the wavy 'ruggae' of the stomach wall can be seen. Excessive stool burden can be. The valvulae conniventes (also called plicae circulares) are. • persistently means that these same loops remain dilated on multiple views of the abdomen (supine, prone, upright abdomen) or on serial studies done over the course of time. Normal bowel gas has very. What Does Stool Look Like On X Ray.
From www.nejm.org
Case Challenge — A 9YearOld Girl with Intermittent Abdominal Pain — NEJM What Does Stool Look Like On X Ray In this example the wavy 'ruggae' of the stomach wall can be seen. • persistently means that these same loops remain dilated on multiple views of the abdomen (supine, prone, upright abdomen) or on serial studies done over the course of time. Excessive stool burden can be. Generally the small bowel lies centrally within the abdomen. Gas is either swallowed. What Does Stool Look Like On X Ray.
From mexalex.com
KUB RadiographyAbdominal Xraynier Xray Mex Alex What Does Stool Look Like On X Ray It is seen as speckled material along the periphery of the abdomen where the colon is located. • persistently means that these same loops remain dilated on multiple views of the abdomen (supine, prone, upright abdomen) or on serial studies done over the course of time. • on conventional radiographs, there are one or two persistently dilated loops of small. What Does Stool Look Like On X Ray.
From www.reddit.com
stool burden Xray result. transverse wall thickening and “relative What Does Stool Look Like On X Ray Excessive stool burden can be. • persistently means that these same loops remain dilated on multiple views of the abdomen (supine, prone, upright abdomen) or on serial studies done over the course of time. It is seen as speckled material along the periphery of the abdomen where the colon is located. • on conventional radiographs, there are one or two. What Does Stool Look Like On X Ray.
From www.wikidoc.org
Constipation abdominal x ray wikidoc What Does Stool Look Like On X Ray Normal bowel gas has very variable appearance. In this example the wavy 'ruggae' of the stomach wall can be seen. • persistently means that these same loops remain dilated on multiple views of the abdomen (supine, prone, upright abdomen) or on serial studies done over the course of time. Gas is either swallowed or formed by. The valvulae conniventes (also. What Does Stool Look Like On X Ray.
From www.pinterest.com
An Overview of the Bristol Stool Chart Bristol Stool Scale, Bristol What Does Stool Look Like On X Ray Gas is either swallowed or formed by. Excessive stool burden can be. In this example the wavy 'ruggae' of the stomach wall can be seen. It is seen as speckled material along the periphery of the abdomen where the colon is located. Generally the small bowel lies centrally within the abdomen. • on conventional radiographs, there are one or two. What Does Stool Look Like On X Ray.