Aspiration Needle Dog . I imagine that's mostly lab fees, though it does seem very high. In most cases an fna is very quick and can be done without sedation. If your veterinarian has recommended fine needle aspiration (fna) for your dog, it probably means that there is a lump, bump, or other abnormal area that the doctor wants to. Fine needle aspirates (commonly referred to as fnas) are common diagnostic tools performed to obtain cytological information that. Benji has a couple of lumps, my vet did a fine needle aspiration,. Fine needle aspiration for dogs (fna) is a diagnostic procedure in which a veterinarian places a needle into abnormal tissue—usually a mass—to collect a sample of. It’s a safe and relatively inexpensive way to. A fine needle aspirate (fna) is a simple procedure that helps vets find out what’s inside a lump or swelling on your dog. A fine needle aspirate (fna) is a simple way to start investigating a lump. Quickly introduce the needle into the.
from www.cliniciansbrief.com
A fine needle aspirate (fna) is a simple procedure that helps vets find out what’s inside a lump or swelling on your dog. I imagine that's mostly lab fees, though it does seem very high. Benji has a couple of lumps, my vet did a fine needle aspiration,. Quickly introduce the needle into the. In most cases an fna is very quick and can be done without sedation. Fine needle aspirates (commonly referred to as fnas) are common diagnostic tools performed to obtain cytological information that. Fine needle aspiration for dogs (fna) is a diagnostic procedure in which a veterinarian places a needle into abnormal tissue—usually a mass—to collect a sample of. A fine needle aspirate (fna) is a simple way to start investigating a lump. It’s a safe and relatively inexpensive way to. If your veterinarian has recommended fine needle aspiration (fna) for your dog, it probably means that there is a lump, bump, or other abnormal area that the doctor wants to.
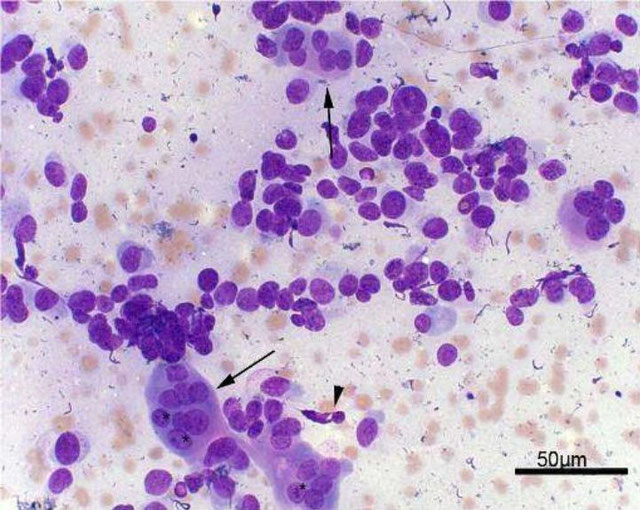
FineNeedle Aspiration of the Liver Clinician's Brief
Aspiration Needle Dog Quickly introduce the needle into the. Fine needle aspirates (commonly referred to as fnas) are common diagnostic tools performed to obtain cytological information that. Benji has a couple of lumps, my vet did a fine needle aspiration,. It’s a safe and relatively inexpensive way to. Fine needle aspiration for dogs (fna) is a diagnostic procedure in which a veterinarian places a needle into abnormal tissue—usually a mass—to collect a sample of. Quickly introduce the needle into the. A fine needle aspirate (fna) is a simple procedure that helps vets find out what’s inside a lump or swelling on your dog. In most cases an fna is very quick and can be done without sedation. If your veterinarian has recommended fine needle aspiration (fna) for your dog, it probably means that there is a lump, bump, or other abnormal area that the doctor wants to. A fine needle aspirate (fna) is a simple way to start investigating a lump. I imagine that's mostly lab fees, though it does seem very high.
From nurseinfo.in
FINE NEEDLE ASPIRATION BIOPSY/CYTOLOGY Nurse Info Aspiration Needle Dog I imagine that's mostly lab fees, though it does seem very high. Fine needle aspiration for dogs (fna) is a diagnostic procedure in which a veterinarian places a needle into abnormal tissue—usually a mass—to collect a sample of. Quickly introduce the needle into the. Benji has a couple of lumps, my vet did a fine needle aspiration,. If your veterinarian. Aspiration Needle Dog.
From animalia-life.club
Are Needle Aspiration Safe For Dogs Aspiration Needle Dog Quickly introduce the needle into the. Benji has a couple of lumps, my vet did a fine needle aspiration,. In most cases an fna is very quick and can be done without sedation. If your veterinarian has recommended fine needle aspiration (fna) for your dog, it probably means that there is a lump, bump, or other abnormal area that the. Aspiration Needle Dog.
From www.merit.com
TruCut® Biopsy Device by Merit Medical Aspiration Needle Dog Fine needle aspiration for dogs (fna) is a diagnostic procedure in which a veterinarian places a needle into abnormal tissue—usually a mass—to collect a sample of. It’s a safe and relatively inexpensive way to. I imagine that's mostly lab fees, though it does seem very high. A fine needle aspirate (fna) is a simple way to start investigating a lump.. Aspiration Needle Dog.
From animalia-life.club
Are Needle Aspiration Safe For Dogs Aspiration Needle Dog A fine needle aspirate (fna) is a simple procedure that helps vets find out what’s inside a lump or swelling on your dog. Fine needle aspirates (commonly referred to as fnas) are common diagnostic tools performed to obtain cytological information that. Benji has a couple of lumps, my vet did a fine needle aspiration,. In most cases an fna is. Aspiration Needle Dog.
From animalia-life.club
Are Needle Biopsies Safe For Dogs Aspiration Needle Dog In most cases an fna is very quick and can be done without sedation. Fine needle aspirates (commonly referred to as fnas) are common diagnostic tools performed to obtain cytological information that. Benji has a couple of lumps, my vet did a fine needle aspiration,. If your veterinarian has recommended fine needle aspiration (fna) for your dog, it probably means. Aspiration Needle Dog.
From journal.frontiersin.org
Frontiers Biopsy Needle Advancement during Bone Marrow Aspiration Aspiration Needle Dog A fine needle aspirate (fna) is a simple way to start investigating a lump. Fine needle aspirates (commonly referred to as fnas) are common diagnostic tools performed to obtain cytological information that. Fine needle aspiration for dogs (fna) is a diagnostic procedure in which a veterinarian places a needle into abnormal tissue—usually a mass—to collect a sample of. It’s a. Aspiration Needle Dog.
From www.cliniciansbrief.com
FineNeedle Aspiration of the Liver Clinician's Brief Aspiration Needle Dog In most cases an fna is very quick and can be done without sedation. It’s a safe and relatively inexpensive way to. A fine needle aspirate (fna) is a simple procedure that helps vets find out what’s inside a lump or swelling on your dog. I imagine that's mostly lab fees, though it does seem very high. Fine needle aspirates. Aspiration Needle Dog.
From www.dogcancer.com
Diagnosing Dog Cancer with a Biopsy or Fine Needle Aspirate Aspiration Needle Dog In most cases an fna is very quick and can be done without sedation. Quickly introduce the needle into the. It’s a safe and relatively inexpensive way to. A fine needle aspirate (fna) is a simple way to start investigating a lump. Benji has a couple of lumps, my vet did a fine needle aspiration,. I imagine that's mostly lab. Aspiration Needle Dog.
From todaysveterinarypractice.com
UltrasoundGuided Fine Needle Aspiration and Core Biopsy Today's Aspiration Needle Dog Fine needle aspirates (commonly referred to as fnas) are common diagnostic tools performed to obtain cytological information that. In most cases an fna is very quick and can be done without sedation. A fine needle aspirate (fna) is a simple procedure that helps vets find out what’s inside a lump or swelling on your dog. If your veterinarian has recommended. Aspiration Needle Dog.
From vcahospitals.com
Fine Needle Aspiration (FNA) VCA Animal Hospital Aspiration Needle Dog In most cases an fna is very quick and can be done without sedation. A fine needle aspirate (fna) is a simple procedure that helps vets find out what’s inside a lump or swelling on your dog. Benji has a couple of lumps, my vet did a fine needle aspiration,. It’s a safe and relatively inexpensive way to. Quickly introduce. Aspiration Needle Dog.
From dogdiscoveries.com
Fine Needle Aspiration of the Spleen in Dogs Dog Discoveries Aspiration Needle Dog It’s a safe and relatively inexpensive way to. Benji has a couple of lumps, my vet did a fine needle aspiration,. In most cases an fna is very quick and can be done without sedation. Quickly introduce the needle into the. Fine needle aspirates (commonly referred to as fnas) are common diagnostic tools performed to obtain cytological information that. Fine. Aspiration Needle Dog.
From animalia-life.club
Are Needle Aspiration Safe For Dogs Aspiration Needle Dog Fine needle aspiration for dogs (fna) is a diagnostic procedure in which a veterinarian places a needle into abnormal tissue—usually a mass—to collect a sample of. A fine needle aspirate (fna) is a simple way to start investigating a lump. I imagine that's mostly lab fees, though it does seem very high. In most cases an fna is very quick. Aspiration Needle Dog.
From journals.sagepub.com
Cytologic findings and diagnostic yield in 92 dogs undergoing fine Aspiration Needle Dog Benji has a couple of lumps, my vet did a fine needle aspiration,. Quickly introduce the needle into the. Fine needle aspiration for dogs (fna) is a diagnostic procedure in which a veterinarian places a needle into abnormal tissue—usually a mass—to collect a sample of. In most cases an fna is very quick and can be done without sedation. It’s. Aspiration Needle Dog.
From animalia-life.club
Are Needle Aspiration Safe For Dogs Aspiration Needle Dog Fine needle aspirates (commonly referred to as fnas) are common diagnostic tools performed to obtain cytological information that. Fine needle aspiration for dogs (fna) is a diagnostic procedure in which a veterinarian places a needle into abnormal tissue—usually a mass—to collect a sample of. Benji has a couple of lumps, my vet did a fine needle aspiration,. It’s a safe. Aspiration Needle Dog.
From animalia-life.club
Are Needle Biopsies Safe For Dogs Aspiration Needle Dog Fine needle aspiration for dogs (fna) is a diagnostic procedure in which a veterinarian places a needle into abnormal tissue—usually a mass—to collect a sample of. Fine needle aspirates (commonly referred to as fnas) are common diagnostic tools performed to obtain cytological information that. A fine needle aspirate (fna) is a simple procedure that helps vets find out what’s inside. Aspiration Needle Dog.
From animalia-life.club
How Do Vets Diagnose Lymphoma In Dogs Aspiration Needle Dog Fine needle aspiration for dogs (fna) is a diagnostic procedure in which a veterinarian places a needle into abnormal tissue—usually a mass—to collect a sample of. Quickly introduce the needle into the. A fine needle aspirate (fna) is a simple procedure that helps vets find out what’s inside a lump or swelling on your dog. A fine needle aspirate (fna). Aspiration Needle Dog.
From www.researchgate.net
Needle positioning tests Aspiration test aspiration using a 5 ml Aspiration Needle Dog Fine needle aspirates (commonly referred to as fnas) are common diagnostic tools performed to obtain cytological information that. It’s a safe and relatively inexpensive way to. Fine needle aspiration for dogs (fna) is a diagnostic procedure in which a veterinarian places a needle into abnormal tissue—usually a mass—to collect a sample of. A fine needle aspirate (fna) is a simple. Aspiration Needle Dog.
From animalia-life.club
Are Needle Aspiration Safe For Dogs Aspiration Needle Dog Fine needle aspirates (commonly referred to as fnas) are common diagnostic tools performed to obtain cytological information that. Benji has a couple of lumps, my vet did a fine needle aspiration,. In most cases an fna is very quick and can be done without sedation. I imagine that's mostly lab fees, though it does seem very high. A fine needle. Aspiration Needle Dog.
From 1013.jp
細胞診検査 壱岐動物病院 Aspiration Needle Dog Benji has a couple of lumps, my vet did a fine needle aspiration,. If your veterinarian has recommended fine needle aspiration (fna) for your dog, it probably means that there is a lump, bump, or other abnormal area that the doctor wants to. A fine needle aspirate (fna) is a simple way to start investigating a lump. I imagine that's. Aspiration Needle Dog.
From todaysveterinarypractice.com
Bone Marrow Aspiration in Dogs A StepbyStep Tutorial Aspiration Needle Dog In most cases an fna is very quick and can be done without sedation. It’s a safe and relatively inexpensive way to. Quickly introduce the needle into the. Fine needle aspiration for dogs (fna) is a diagnostic procedure in which a veterinarian places a needle into abnormal tissue—usually a mass—to collect a sample of. If your veterinarian has recommended fine. Aspiration Needle Dog.
From todaysveterinarypractice.com
UltrasoundGuided Fine Needle Aspiration and Core Biopsy Today's Aspiration Needle Dog Fine needle aspiration for dogs (fna) is a diagnostic procedure in which a veterinarian places a needle into abnormal tissue—usually a mass—to collect a sample of. A fine needle aspirate (fna) is a simple procedure that helps vets find out what’s inside a lump or swelling on your dog. A fine needle aspirate (fna) is a simple way to start. Aspiration Needle Dog.
From animalia-life.club
Are Needle Aspiration Safe For Dogs Aspiration Needle Dog Fine needle aspirates (commonly referred to as fnas) are common diagnostic tools performed to obtain cytological information that. If your veterinarian has recommended fine needle aspiration (fna) for your dog, it probably means that there is a lump, bump, or other abnormal area that the doctor wants to. It’s a safe and relatively inexpensive way to. Benji has a couple. Aspiration Needle Dog.
From dogdiscoveries.com
What Does Blood in a Dog's Fine Needle Aspirate Mean? Dog Discoveries Aspiration Needle Dog Fine needle aspiration for dogs (fna) is a diagnostic procedure in which a veterinarian places a needle into abnormal tissue—usually a mass—to collect a sample of. If your veterinarian has recommended fine needle aspiration (fna) for your dog, it probably means that there is a lump, bump, or other abnormal area that the doctor wants to. Quickly introduce the needle. Aspiration Needle Dog.
From animalia-life.club
Are Needle Aspiration Safe For Dogs Aspiration Needle Dog Fine needle aspirates (commonly referred to as fnas) are common diagnostic tools performed to obtain cytological information that. It’s a safe and relatively inexpensive way to. Fine needle aspiration for dogs (fna) is a diagnostic procedure in which a veterinarian places a needle into abnormal tissue—usually a mass—to collect a sample of. In most cases an fna is very quick. Aspiration Needle Dog.
From www.dogcancer.com
Staying Vigilant with Mass Aspirates Aspiration Needle Dog Quickly introduce the needle into the. Benji has a couple of lumps, my vet did a fine needle aspiration,. It’s a safe and relatively inexpensive way to. Fine needle aspiration for dogs (fna) is a diagnostic procedure in which a veterinarian places a needle into abnormal tissue—usually a mass—to collect a sample of. If your veterinarian has recommended fine needle. Aspiration Needle Dog.
From www.youtube.com
FineNeedle Aspiration & Biopsies YouTube Aspiration Needle Dog I imagine that's mostly lab fees, though it does seem very high. Fine needle aspirates (commonly referred to as fnas) are common diagnostic tools performed to obtain cytological information that. Fine needle aspiration for dogs (fna) is a diagnostic procedure in which a veterinarian places a needle into abnormal tissue—usually a mass—to collect a sample of. In most cases an. Aspiration Needle Dog.
From todaysveterinarypractice.com
Bone Marrow Aspiration in Dogs A StepbyStep Tutorial Aspiration Needle Dog I imagine that's mostly lab fees, though it does seem very high. If your veterinarian has recommended fine needle aspiration (fna) for your dog, it probably means that there is a lump, bump, or other abnormal area that the doctor wants to. Fine needle aspirates (commonly referred to as fnas) are common diagnostic tools performed to obtain cytological information that.. Aspiration Needle Dog.
From helpfulhintsforrvns.tumblr.com
A place to find hints, tips and ask questions. PRACTICAL TECHNIQUES Aspiration Needle Dog It’s a safe and relatively inexpensive way to. Benji has a couple of lumps, my vet did a fine needle aspiration,. If your veterinarian has recommended fine needle aspiration (fna) for your dog, it probably means that there is a lump, bump, or other abnormal area that the doctor wants to. In most cases an fna is very quick and. Aspiration Needle Dog.
From todaysveterinarypractice.com
UltrasoundGuided Fine Needle Aspiration and Core Biopsy Today's Aspiration Needle Dog A fine needle aspirate (fna) is a simple procedure that helps vets find out what’s inside a lump or swelling on your dog. In most cases an fna is very quick and can be done without sedation. It’s a safe and relatively inexpensive way to. Fine needle aspiration for dogs (fna) is a diagnostic procedure in which a veterinarian places. Aspiration Needle Dog.
From sarcoma-ultrasonography.jimdofree.com
Retrospective Study of 33 Dogs Diagnosed with (OSA) by Aspiration Needle Dog Benji has a couple of lumps, my vet did a fine needle aspiration,. In most cases an fna is very quick and can be done without sedation. Quickly introduce the needle into the. It’s a safe and relatively inexpensive way to. Fine needle aspiration for dogs (fna) is a diagnostic procedure in which a veterinarian places a needle into abnormal. Aspiration Needle Dog.
From pethelpful.com
What You Need to Know About Dog Fine Needle Aspiration PetHelpful Aspiration Needle Dog If your veterinarian has recommended fine needle aspiration (fna) for your dog, it probably means that there is a lump, bump, or other abnormal area that the doctor wants to. A fine needle aspirate (fna) is a simple procedure that helps vets find out what’s inside a lump or swelling on your dog. In most cases an fna is very. Aspiration Needle Dog.
From todaysveterinarypractice.com
Bone Marrow Aspiration in Dogs A StepbyStep Tutorial Aspiration Needle Dog A fine needle aspirate (fna) is a simple way to start investigating a lump. A fine needle aspirate (fna) is a simple procedure that helps vets find out what’s inside a lump or swelling on your dog. Fine needle aspiration for dogs (fna) is a diagnostic procedure in which a veterinarian places a needle into abnormal tissue—usually a mass—to collect. Aspiration Needle Dog.
From www.bovenmenshop.nl
Fine needle aspiration technique veterinary Bovenmen Shop Aspiration Needle Dog Quickly introduce the needle into the. Fine needle aspiration for dogs (fna) is a diagnostic procedure in which a veterinarian places a needle into abnormal tissue—usually a mass—to collect a sample of. Benji has a couple of lumps, my vet did a fine needle aspiration,. I imagine that's mostly lab fees, though it does seem very high. A fine needle. Aspiration Needle Dog.
From animalia-life.club
Are Needle Aspiration Safe For Dogs Aspiration Needle Dog Quickly introduce the needle into the. It’s a safe and relatively inexpensive way to. In most cases an fna is very quick and can be done without sedation. Fine needle aspirates (commonly referred to as fnas) are common diagnostic tools performed to obtain cytological information that. I imagine that's mostly lab fees, though it does seem very high. A fine. Aspiration Needle Dog.
From www.youtube.com
Fine needle aspiration of a dog lump YouTube Aspiration Needle Dog It’s a safe and relatively inexpensive way to. I imagine that's mostly lab fees, though it does seem very high. A fine needle aspirate (fna) is a simple way to start investigating a lump. Quickly introduce the needle into the. Fine needle aspirates (commonly referred to as fnas) are common diagnostic tools performed to obtain cytological information that. A fine. Aspiration Needle Dog.