Diaphragmatic Hernia In Cats Symptoms . Symptoms of diaphragmatic hernia in cats. Abnormal breathing posture with extended head and neck. Clinical signs of diaphragmatic hernia in cats include difficulty breathing (dyspnea), rapid breathing (tachypnea), reluctance to exercise, dullness, weight loss,. A diaphragmatic hernia produces a range of symptoms in a cat. Some of the most common symptoms include: A diaphragmatic hernia is a condition in which a break in the diaphragm allows protrusion of abdominal organs into the chest. Symptoms of diaphragmatic hernia in cats. If the initial insult is tolerated, a diaphragmatic. Symptoms of diaphragmatic hernia in cats depend on the severity and cause of the hernia.
from cats.com
If the initial insult is tolerated, a diaphragmatic. Clinical signs of diaphragmatic hernia in cats include difficulty breathing (dyspnea), rapid breathing (tachypnea), reluctance to exercise, dullness, weight loss,. A diaphragmatic hernia is a condition in which a break in the diaphragm allows protrusion of abdominal organs into the chest. Symptoms of diaphragmatic hernia in cats depend on the severity and cause of the hernia. Some of the most common symptoms include: Symptoms of diaphragmatic hernia in cats. Abnormal breathing posture with extended head and neck. A diaphragmatic hernia produces a range of symptoms in a cat. Symptoms of diaphragmatic hernia in cats.
Diaphragmatic Hernia In Cats (Abnormal Diaphragm Opening)
Diaphragmatic Hernia In Cats Symptoms Clinical signs of diaphragmatic hernia in cats include difficulty breathing (dyspnea), rapid breathing (tachypnea), reluctance to exercise, dullness, weight loss,. A diaphragmatic hernia is a condition in which a break in the diaphragm allows protrusion of abdominal organs into the chest. If the initial insult is tolerated, a diaphragmatic. Symptoms of diaphragmatic hernia in cats depend on the severity and cause of the hernia. Abnormal breathing posture with extended head and neck. A diaphragmatic hernia produces a range of symptoms in a cat. Some of the most common symptoms include: Clinical signs of diaphragmatic hernia in cats include difficulty breathing (dyspnea), rapid breathing (tachypnea), reluctance to exercise, dullness, weight loss,. Symptoms of diaphragmatic hernia in cats. Symptoms of diaphragmatic hernia in cats.
From www.youtube.com
Diaphragmatic Hernia Cat 고양이 횡격막 탈장 수술 YouTube Diaphragmatic Hernia In Cats Symptoms Symptoms of diaphragmatic hernia in cats. Abnormal breathing posture with extended head and neck. Symptoms of diaphragmatic hernia in cats. Some of the most common symptoms include: If the initial insult is tolerated, a diaphragmatic. Clinical signs of diaphragmatic hernia in cats include difficulty breathing (dyspnea), rapid breathing (tachypnea), reluctance to exercise, dullness, weight loss,. A diaphragmatic hernia is a. Diaphragmatic Hernia In Cats Symptoms.
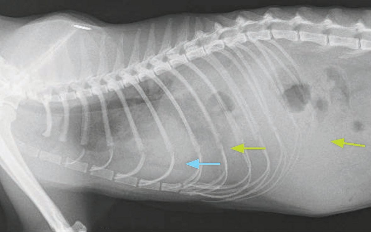
From bioone.org
Congenital peritoneopericardial diaphragmatic hernia in a family of Diaphragmatic Hernia In Cats Symptoms Some of the most common symptoms include: Symptoms of diaphragmatic hernia in cats depend on the severity and cause of the hernia. Symptoms of diaphragmatic hernia in cats. Symptoms of diaphragmatic hernia in cats. A diaphragmatic hernia produces a range of symptoms in a cat. Clinical signs of diaphragmatic hernia in cats include difficulty breathing (dyspnea), rapid breathing (tachypnea), reluctance. Diaphragmatic Hernia In Cats Symptoms.
From www.pinterest.com
Peritoneopericardial Diaphragmatic Hernia in a Cat Clinician's Brief Diaphragmatic Hernia In Cats Symptoms Abnormal breathing posture with extended head and neck. Symptoms of diaphragmatic hernia in cats. If the initial insult is tolerated, a diaphragmatic. Clinical signs of diaphragmatic hernia in cats include difficulty breathing (dyspnea), rapid breathing (tachypnea), reluctance to exercise, dullness, weight loss,. Symptoms of diaphragmatic hernia in cats depend on the severity and cause of the hernia. Some of the. Diaphragmatic Hernia In Cats Symptoms.
From cats.com
Diaphragmatic Hernia In Cats (Abnormal Diaphragm Opening) Diaphragmatic Hernia In Cats Symptoms A diaphragmatic hernia produces a range of symptoms in a cat. Some of the most common symptoms include: A diaphragmatic hernia is a condition in which a break in the diaphragm allows protrusion of abdominal organs into the chest. If the initial insult is tolerated, a diaphragmatic. Symptoms of diaphragmatic hernia in cats. Symptoms of diaphragmatic hernia in cats depend. Diaphragmatic Hernia In Cats Symptoms.
From littlepetscare.com
Cat 101 Diaphragmatic Hernia in Cats Diaphragmatic Hernia In Cats Symptoms Symptoms of diaphragmatic hernia in cats. If the initial insult is tolerated, a diaphragmatic. A diaphragmatic hernia produces a range of symptoms in a cat. Abnormal breathing posture with extended head and neck. Symptoms of diaphragmatic hernia in cats depend on the severity and cause of the hernia. Clinical signs of diaphragmatic hernia in cats include difficulty breathing (dyspnea), rapid. Diaphragmatic Hernia In Cats Symptoms.
From cat-world.com
Diaphragmatic Hernia in Cats CatWorld Diaphragmatic Hernia In Cats Symptoms Some of the most common symptoms include: A diaphragmatic hernia is a condition in which a break in the diaphragm allows protrusion of abdominal organs into the chest. Symptoms of diaphragmatic hernia in cats depend on the severity and cause of the hernia. If the initial insult is tolerated, a diaphragmatic. A diaphragmatic hernia produces a range of symptoms in. Diaphragmatic Hernia In Cats Symptoms.
From vetfocus.royalcanin.com
Traumatic diaphragmatic hernia in the cat Vet Focus Diaphragmatic Hernia In Cats Symptoms Abnormal breathing posture with extended head and neck. Clinical signs of diaphragmatic hernia in cats include difficulty breathing (dyspnea), rapid breathing (tachypnea), reluctance to exercise, dullness, weight loss,. A diaphragmatic hernia is a condition in which a break in the diaphragm allows protrusion of abdominal organs into the chest. A diaphragmatic hernia produces a range of symptoms in a cat.. Diaphragmatic Hernia In Cats Symptoms.
From www.semanticscholar.org
Figure 1 from The surgical repair of a congenital peritoneopericardial Diaphragmatic Hernia In Cats Symptoms Some of the most common symptoms include: If the initial insult is tolerated, a diaphragmatic. Symptoms of diaphragmatic hernia in cats depend on the severity and cause of the hernia. A diaphragmatic hernia produces a range of symptoms in a cat. Clinical signs of diaphragmatic hernia in cats include difficulty breathing (dyspnea), rapid breathing (tachypnea), reluctance to exercise, dullness, weight. Diaphragmatic Hernia In Cats Symptoms.
From www.shutterstock.com
X Ray Diaphragmatic Hernia Cat Side Stock Photo 1660991782 Shutterstock Diaphragmatic Hernia In Cats Symptoms Abnormal breathing posture with extended head and neck. Symptoms of diaphragmatic hernia in cats depend on the severity and cause of the hernia. A diaphragmatic hernia is a condition in which a break in the diaphragm allows protrusion of abdominal organs into the chest. Some of the most common symptoms include: A diaphragmatic hernia produces a range of symptoms in. Diaphragmatic Hernia In Cats Symptoms.
From iloveveterinary.com
Diaphragmatic Hernia In A Cat Veterinary Surgery Video Diaphragmatic Hernia In Cats Symptoms A diaphragmatic hernia produces a range of symptoms in a cat. Abnormal breathing posture with extended head and neck. If the initial insult is tolerated, a diaphragmatic. Symptoms of diaphragmatic hernia in cats. Some of the most common symptoms include: Symptoms of diaphragmatic hernia in cats. Clinical signs of diaphragmatic hernia in cats include difficulty breathing (dyspnea), rapid breathing (tachypnea),. Diaphragmatic Hernia In Cats Symptoms.
From www.pinterest.com
Diaphragmatic hernia in a cat Veterinary Surgery Video Animal Diaphragmatic Hernia In Cats Symptoms If the initial insult is tolerated, a diaphragmatic. Abnormal breathing posture with extended head and neck. Some of the most common symptoms include: A diaphragmatic hernia is a condition in which a break in the diaphragm allows protrusion of abdominal organs into the chest. Symptoms of diaphragmatic hernia in cats depend on the severity and cause of the hernia. Symptoms. Diaphragmatic Hernia In Cats Symptoms.
From landing.signalpet.com
A review of diaphragmatic hernias Diaphragmatic Hernia In Cats Symptoms A diaphragmatic hernia produces a range of symptoms in a cat. Symptoms of diaphragmatic hernia in cats. A diaphragmatic hernia is a condition in which a break in the diaphragm allows protrusion of abdominal organs into the chest. Some of the most common symptoms include: Abnormal breathing posture with extended head and neck. If the initial insult is tolerated, a. Diaphragmatic Hernia In Cats Symptoms.
From www.pethealthnetwork.com
Diaphragmatic Hernias in Cats The Unseen Consequence of Blunt Trauma Diaphragmatic Hernia In Cats Symptoms A diaphragmatic hernia is a condition in which a break in the diaphragm allows protrusion of abdominal organs into the chest. If the initial insult is tolerated, a diaphragmatic. Symptoms of diaphragmatic hernia in cats. Some of the most common symptoms include: Clinical signs of diaphragmatic hernia in cats include difficulty breathing (dyspnea), rapid breathing (tachypnea), reluctance to exercise, dullness,. Diaphragmatic Hernia In Cats Symptoms.
From www.researchgate.net
(PDF) HERNIORRHAPHY AND SURGICAL OF DIAPHRAGMATIC HERNIA IN CATS Diaphragmatic Hernia In Cats Symptoms Symptoms of diaphragmatic hernia in cats. Clinical signs of diaphragmatic hernia in cats include difficulty breathing (dyspnea), rapid breathing (tachypnea), reluctance to exercise, dullness, weight loss,. Symptoms of diaphragmatic hernia in cats depend on the severity and cause of the hernia. If the initial insult is tolerated, a diaphragmatic. Symptoms of diaphragmatic hernia in cats. A diaphragmatic hernia produces a. Diaphragmatic Hernia In Cats Symptoms.
From www.vethive.com
Traumatic Diaphragmatic Hernias in Dogs and Cats Diaphragmatic Hernia In Cats Symptoms Some of the most common symptoms include: If the initial insult is tolerated, a diaphragmatic. A diaphragmatic hernia produces a range of symptoms in a cat. Symptoms of diaphragmatic hernia in cats. Clinical signs of diaphragmatic hernia in cats include difficulty breathing (dyspnea), rapid breathing (tachypnea), reluctance to exercise, dullness, weight loss,. Symptoms of diaphragmatic hernia in cats. Abnormal breathing. Diaphragmatic Hernia In Cats Symptoms.
From www.shutterstock.com
X Ray Diaphragmatic Hernia Cat Front Stock Photo 1660992037 Shutterstock Diaphragmatic Hernia In Cats Symptoms Symptoms of diaphragmatic hernia in cats. Abnormal breathing posture with extended head and neck. A diaphragmatic hernia produces a range of symptoms in a cat. Clinical signs of diaphragmatic hernia in cats include difficulty breathing (dyspnea), rapid breathing (tachypnea), reluctance to exercise, dullness, weight loss,. Symptoms of diaphragmatic hernia in cats depend on the severity and cause of the hernia.. Diaphragmatic Hernia In Cats Symptoms.
From journals.sagepub.com
Congenital peritoneopericardial diaphragmatic hernia in a family of Diaphragmatic Hernia In Cats Symptoms Symptoms of diaphragmatic hernia in cats. If the initial insult is tolerated, a diaphragmatic. Clinical signs of diaphragmatic hernia in cats include difficulty breathing (dyspnea), rapid breathing (tachypnea), reluctance to exercise, dullness, weight loss,. A diaphragmatic hernia produces a range of symptoms in a cat. Some of the most common symptoms include: Symptoms of diaphragmatic hernia in cats depend on. Diaphragmatic Hernia In Cats Symptoms.
From www.semanticscholar.org
Figure 1 from Diaphragmatic hernia in a cat mimicking a pulmonary mass Diaphragmatic Hernia In Cats Symptoms A diaphragmatic hernia produces a range of symptoms in a cat. A diaphragmatic hernia is a condition in which a break in the diaphragm allows protrusion of abdominal organs into the chest. Symptoms of diaphragmatic hernia in cats depend on the severity and cause of the hernia. Some of the most common symptoms include: If the initial insult is tolerated,. Diaphragmatic Hernia In Cats Symptoms.
From www.vetpixel.com
Case A case of peritoneopericardial diaphragmatic hernia in a cat Diaphragmatic Hernia In Cats Symptoms If the initial insult is tolerated, a diaphragmatic. A diaphragmatic hernia produces a range of symptoms in a cat. Symptoms of diaphragmatic hernia in cats. A diaphragmatic hernia is a condition in which a break in the diaphragm allows protrusion of abdominal organs into the chest. Symptoms of diaphragmatic hernia in cats. Clinical signs of diaphragmatic hernia in cats include. Diaphragmatic Hernia In Cats Symptoms.
From www.youtube.com
Diaphragmatic hernia in a cat YouTube Diaphragmatic Hernia In Cats Symptoms Some of the most common symptoms include: Clinical signs of diaphragmatic hernia in cats include difficulty breathing (dyspnea), rapid breathing (tachypnea), reluctance to exercise, dullness, weight loss,. If the initial insult is tolerated, a diaphragmatic. Symptoms of diaphragmatic hernia in cats. Abnormal breathing posture with extended head and neck. Symptoms of diaphragmatic hernia in cats depend on the severity and. Diaphragmatic Hernia In Cats Symptoms.
From www.youtube.com
Diaphragmatic Hernia Repair in Cat YouTube Diaphragmatic Hernia In Cats Symptoms Symptoms of diaphragmatic hernia in cats. Abnormal breathing posture with extended head and neck. A diaphragmatic hernia produces a range of symptoms in a cat. Symptoms of diaphragmatic hernia in cats. If the initial insult is tolerated, a diaphragmatic. Some of the most common symptoms include: Clinical signs of diaphragmatic hernia in cats include difficulty breathing (dyspnea), rapid breathing (tachypnea),. Diaphragmatic Hernia In Cats Symptoms.
From www.merckvetmanual.com
Diaphragmatic Hernia in Animals Respiratory System Merck Veterinary Diaphragmatic Hernia In Cats Symptoms A diaphragmatic hernia produces a range of symptoms in a cat. Symptoms of diaphragmatic hernia in cats. Some of the most common symptoms include: Abnormal breathing posture with extended head and neck. Clinical signs of diaphragmatic hernia in cats include difficulty breathing (dyspnea), rapid breathing (tachypnea), reluctance to exercise, dullness, weight loss,. Symptoms of diaphragmatic hernia in cats depend on. Diaphragmatic Hernia In Cats Symptoms.
From studylib.net
DIAPHRAGMATIC RUPTURE OR HERNIA IN CATS Diaphragmatic Hernia In Cats Symptoms A diaphragmatic hernia is a condition in which a break in the diaphragm allows protrusion of abdominal organs into the chest. If the initial insult is tolerated, a diaphragmatic. Symptoms of diaphragmatic hernia in cats depend on the severity and cause of the hernia. Clinical signs of diaphragmatic hernia in cats include difficulty breathing (dyspnea), rapid breathing (tachypnea), reluctance to. Diaphragmatic Hernia In Cats Symptoms.
From www.dreamstime.com
Cat X Ray. Diaphragmatic Hernia in Cat. Stock Image Image of anatomy Diaphragmatic Hernia In Cats Symptoms Symptoms of diaphragmatic hernia in cats depend on the severity and cause of the hernia. Symptoms of diaphragmatic hernia in cats. Abnormal breathing posture with extended head and neck. If the initial insult is tolerated, a diaphragmatic. A diaphragmatic hernia is a condition in which a break in the diaphragm allows protrusion of abdominal organs into the chest. Some of. Diaphragmatic Hernia In Cats Symptoms.
From www.animalhospitalofclemmons.com
Hernias in Cats Causes, Symptoms & Surgeries Clemmons Vet Diaphragmatic Hernia In Cats Symptoms Clinical signs of diaphragmatic hernia in cats include difficulty breathing (dyspnea), rapid breathing (tachypnea), reluctance to exercise, dullness, weight loss,. Symptoms of diaphragmatic hernia in cats. A diaphragmatic hernia is a condition in which a break in the diaphragm allows protrusion of abdominal organs into the chest. A diaphragmatic hernia produces a range of symptoms in a cat. If the. Diaphragmatic Hernia In Cats Symptoms.
From journals.sagepub.com
Surgical treatment of a circumferential oesophagogastric mass Diaphragmatic Hernia In Cats Symptoms Symptoms of diaphragmatic hernia in cats. Some of the most common symptoms include: Symptoms of diaphragmatic hernia in cats. A diaphragmatic hernia produces a range of symptoms in a cat. If the initial insult is tolerated, a diaphragmatic. A diaphragmatic hernia is a condition in which a break in the diaphragm allows protrusion of abdominal organs into the chest. Abnormal. Diaphragmatic Hernia In Cats Symptoms.
From journals.sagepub.com
Positive contrast peritoneography in the diagnosis of a Diaphragmatic Hernia In Cats Symptoms If the initial insult is tolerated, a diaphragmatic. Symptoms of diaphragmatic hernia in cats. Symptoms of diaphragmatic hernia in cats depend on the severity and cause of the hernia. Abnormal breathing posture with extended head and neck. A diaphragmatic hernia is a condition in which a break in the diaphragm allows protrusion of abdominal organs into the chest. Some of. Diaphragmatic Hernia In Cats Symptoms.
From ivr-teleradiology.com
Cat, 8 y/o, male, DSH Diaphragmatic hernia IVR Diaphragmatic Hernia In Cats Symptoms Some of the most common symptoms include: Clinical signs of diaphragmatic hernia in cats include difficulty breathing (dyspnea), rapid breathing (tachypnea), reluctance to exercise, dullness, weight loss,. A diaphragmatic hernia is a condition in which a break in the diaphragm allows protrusion of abdominal organs into the chest. Symptoms of diaphragmatic hernia in cats depend on the severity and cause. Diaphragmatic Hernia In Cats Symptoms.
From www.animalwised.com
Diaphragmatic Hernia in Cats Causes, Symptoms and Treatment Diaphragmatic Hernia In Cats Symptoms If the initial insult is tolerated, a diaphragmatic. Abnormal breathing posture with extended head and neck. A diaphragmatic hernia is a condition in which a break in the diaphragm allows protrusion of abdominal organs into the chest. Symptoms of diaphragmatic hernia in cats depend on the severity and cause of the hernia. Symptoms of diaphragmatic hernia in cats. Clinical signs. Diaphragmatic Hernia In Cats Symptoms.
From myanimalcare.org
Cat with diaphragmatic hernia (updates on Mrs Goh's cat) AnimalCare Diaphragmatic Hernia In Cats Symptoms A diaphragmatic hernia is a condition in which a break in the diaphragm allows protrusion of abdominal organs into the chest. Symptoms of diaphragmatic hernia in cats depend on the severity and cause of the hernia. If the initial insult is tolerated, a diaphragmatic. Some of the most common symptoms include: A diaphragmatic hernia produces a range of symptoms in. Diaphragmatic Hernia In Cats Symptoms.
From onlyvegg.blogspot.com
Diaphragmatic Hernia In Cats Vca onlyvegg Diaphragmatic Hernia In Cats Symptoms Symptoms of diaphragmatic hernia in cats. Symptoms of diaphragmatic hernia in cats. Abnormal breathing posture with extended head and neck. A diaphragmatic hernia is a condition in which a break in the diaphragm allows protrusion of abdominal organs into the chest. Some of the most common symptoms include: Symptoms of diaphragmatic hernia in cats depend on the severity and cause. Diaphragmatic Hernia In Cats Symptoms.
From vetfocus.royalcanin.com
Traumatic diaphragmatic hernia in the cat Vet Focus Diaphragmatic Hernia In Cats Symptoms Symptoms of diaphragmatic hernia in cats depend on the severity and cause of the hernia. Symptoms of diaphragmatic hernia in cats. A diaphragmatic hernia is a condition in which a break in the diaphragm allows protrusion of abdominal organs into the chest. Symptoms of diaphragmatic hernia in cats. If the initial insult is tolerated, a diaphragmatic. Some of the most. Diaphragmatic Hernia In Cats Symptoms.
From onlyvegg.blogspot.com
Diaphragmatic Hernia In Cats Vca onlyvegg Diaphragmatic Hernia In Cats Symptoms Symptoms of diaphragmatic hernia in cats. Symptoms of diaphragmatic hernia in cats. If the initial insult is tolerated, a diaphragmatic. Symptoms of diaphragmatic hernia in cats depend on the severity and cause of the hernia. Abnormal breathing posture with extended head and neck. A diaphragmatic hernia is a condition in which a break in the diaphragm allows protrusion of abdominal. Diaphragmatic Hernia In Cats Symptoms.
From journals.sagepub.com
Repair of a sliding (type I) hiatal hernia in a cat via herniorrhaphy Diaphragmatic Hernia In Cats Symptoms If the initial insult is tolerated, a diaphragmatic. Symptoms of diaphragmatic hernia in cats. Symptoms of diaphragmatic hernia in cats. Symptoms of diaphragmatic hernia in cats depend on the severity and cause of the hernia. Clinical signs of diaphragmatic hernia in cats include difficulty breathing (dyspnea), rapid breathing (tachypnea), reluctance to exercise, dullness, weight loss,. A diaphragmatic hernia produces a. Diaphragmatic Hernia In Cats Symptoms.
From www.shutterstock.com
X Ray Diaphragmatic Hernia Cat Side Stock Photo 1253071330 Shutterstock Diaphragmatic Hernia In Cats Symptoms If the initial insult is tolerated, a diaphragmatic. Some of the most common symptoms include: Symptoms of diaphragmatic hernia in cats. A diaphragmatic hernia produces a range of symptoms in a cat. Abnormal breathing posture with extended head and neck. A diaphragmatic hernia is a condition in which a break in the diaphragm allows protrusion of abdominal organs into the. Diaphragmatic Hernia In Cats Symptoms.