How Can I Fix My Grinded Teeth . It can cause pain, damage and disturbed sleep. One common treatment approach providers use is behavior modification, which reinforces positive actions, not negative ones. Learn how to fix teeth grinding damage with dental crowns, veneers, or gum tissue repair. Teeth grinding is when you clench your jaw and grind your teeth, often related to stress or anxiety. This overuse of your jaw muscles can. If you have bruxism, you can take steps to make you less prone to grinding your teeth. This material is applied to the edge of the teeth to cover the worn. In overview, options involve restoring teeth to the bite that caused the problems and patching teeth, or considering a more comprehensive approach to restore the teeth to a better physiologic bite (i.e align your new tires before you take them on the road). When you grind or clench your teeth while sleeping, your jaws can create a lot of pressure. Mouth exercises and massages can help reduce pain and relieve muscle tension caused by. Find out how to stop bruxism and. If there is lack of space, you can do 1 of 2 things: Treatment for teeth grinding involves managing discomfort and avoiding triggers. Orthodontics to intrude/move your lower teeth down into the gum, or gum.
from www.youtube.com
This overuse of your jaw muscles can. Learn how to fix teeth grinding damage with dental crowns, veneers, or gum tissue repair. In overview, options involve restoring teeth to the bite that caused the problems and patching teeth, or considering a more comprehensive approach to restore the teeth to a better physiologic bite (i.e align your new tires before you take them on the road). It can cause pain, damage and disturbed sleep. Mouth exercises and massages can help reduce pain and relieve muscle tension caused by. This material is applied to the edge of the teeth to cover the worn. If there is lack of space, you can do 1 of 2 things: Orthodontics to intrude/move your lower teeth down into the gum, or gum. Teeth grinding is when you clench your jaw and grind your teeth, often related to stress or anxiety. If you have bruxism, you can take steps to make you less prone to grinding your teeth.
How to Stop Teeth Grinding (Without Going to the Dentist) YouTube
How Can I Fix My Grinded Teeth This overuse of your jaw muscles can. Find out how to stop bruxism and. Learn how to fix teeth grinding damage with dental crowns, veneers, or gum tissue repair. This overuse of your jaw muscles can. It can cause pain, damage and disturbed sleep. One common treatment approach providers use is behavior modification, which reinforces positive actions, not negative ones. Orthodontics to intrude/move your lower teeth down into the gum, or gum. Treatment for teeth grinding involves managing discomfort and avoiding triggers. This material is applied to the edge of the teeth to cover the worn. Teeth grinding is when you clench your jaw and grind your teeth, often related to stress or anxiety. In overview, options involve restoring teeth to the bite that caused the problems and patching teeth, or considering a more comprehensive approach to restore the teeth to a better physiologic bite (i.e align your new tires before you take them on the road). If you have bruxism, you can take steps to make you less prone to grinding your teeth. Mouth exercises and massages can help reduce pain and relieve muscle tension caused by. If there is lack of space, you can do 1 of 2 things: When you grind or clench your teeth while sleeping, your jaws can create a lot of pressure.
From onpointdental.com.au
How to Fix Teeth Grinding On Point Dental How Can I Fix My Grinded Teeth If you have bruxism, you can take steps to make you less prone to grinding your teeth. One common treatment approach providers use is behavior modification, which reinforces positive actions, not negative ones. Teeth grinding is when you clench your jaw and grind your teeth, often related to stress or anxiety. Find out how to stop bruxism and. Learn how. How Can I Fix My Grinded Teeth.
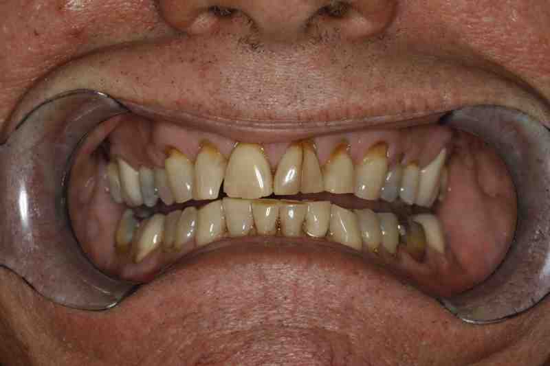
From www.youtube.com
Bonding Worn Anterior Teeth Dental Minute with Dr Steven T. Cutbirth How Can I Fix My Grinded Teeth It can cause pain, damage and disturbed sleep. Orthodontics to intrude/move your lower teeth down into the gum, or gum. This overuse of your jaw muscles can. In overview, options involve restoring teeth to the bite that caused the problems and patching teeth, or considering a more comprehensive approach to restore the teeth to a better physiologic bite (i.e align. How Can I Fix My Grinded Teeth.
From www.fiddleheaddental.com
Fiddlehead Dental Fiddlehead Dental How Can I Fix My Grinded Teeth Find out how to stop bruxism and. Learn how to fix teeth grinding damage with dental crowns, veneers, or gum tissue repair. If there is lack of space, you can do 1 of 2 things: Mouth exercises and massages can help reduce pain and relieve muscle tension caused by. If you have bruxism, you can take steps to make you. How Can I Fix My Grinded Teeth.
From www.pinterest.com
Tooth Grinding Possible Causes & What You Can Do How Can I Fix My Grinded Teeth Teeth grinding is when you clench your jaw and grind your teeth, often related to stress or anxiety. One common treatment approach providers use is behavior modification, which reinforces positive actions, not negative ones. Orthodontics to intrude/move your lower teeth down into the gum, or gum. This material is applied to the edge of the teeth to cover the worn.. How Can I Fix My Grinded Teeth.
From alquilercastilloshinchables.info
8 Photos How To Temporarily Fix A Broken Tooth At Home And Description How Can I Fix My Grinded Teeth Learn how to fix teeth grinding damage with dental crowns, veneers, or gum tissue repair. Orthodontics to intrude/move your lower teeth down into the gum, or gum. One common treatment approach providers use is behavior modification, which reinforces positive actions, not negative ones. Teeth grinding is when you clench your jaw and grind your teeth, often related to stress or. How Can I Fix My Grinded Teeth.
From www.lambtonfamilydental.com
The Nightly Grind Teeth Grinding Causes, Risks, Cures for Bruxism How Can I Fix My Grinded Teeth Mouth exercises and massages can help reduce pain and relieve muscle tension caused by. Treatment for teeth grinding involves managing discomfort and avoiding triggers. Learn how to fix teeth grinding damage with dental crowns, veneers, or gum tissue repair. Teeth grinding is when you clench your jaw and grind your teeth, often related to stress or anxiety. This material is. How Can I Fix My Grinded Teeth.
From www.youtube.com
How to Stop Teeth Grinding (Without Going to the Dentist) YouTube How Can I Fix My Grinded Teeth It can cause pain, damage and disturbed sleep. Learn how to fix teeth grinding damage with dental crowns, veneers, or gum tissue repair. If you have bruxism, you can take steps to make you less prone to grinding your teeth. This overuse of your jaw muscles can. When you grind or clench your teeth while sleeping, your jaws can create. How Can I Fix My Grinded Teeth.
From www.positivemed.com
7 Tips to Reduce Teeth Grinding PositiveMed How Can I Fix My Grinded Teeth Mouth exercises and massages can help reduce pain and relieve muscle tension caused by. If you have bruxism, you can take steps to make you less prone to grinding your teeth. It can cause pain, damage and disturbed sleep. This material is applied to the edge of the teeth to cover the worn. In overview, options involve restoring teeth to. How Can I Fix My Grinded Teeth.
From tmjandsleeptreatment.com
Grinding your Teeth Dr. Wenrick's Blog Dentist & TMJ Specialist How Can I Fix My Grinded Teeth Mouth exercises and massages can help reduce pain and relieve muscle tension caused by. Orthodontics to intrude/move your lower teeth down into the gum, or gum. Learn how to fix teeth grinding damage with dental crowns, veneers, or gum tissue repair. One common treatment approach providers use is behavior modification, which reinforces positive actions, not negative ones. It can cause. How Can I Fix My Grinded Teeth.
From 128harleystreetdentalsuite.com
How To Stop Grinding Teeth? 128 Harley Street Dental How Can I Fix My Grinded Teeth It can cause pain, damage and disturbed sleep. If you have bruxism, you can take steps to make you less prone to grinding your teeth. This overuse of your jaw muscles can. When you grind or clench your teeth while sleeping, your jaws can create a lot of pressure. This material is applied to the edge of the teeth to. How Can I Fix My Grinded Teeth.
From www.drlufidrleah.com
FACT SHEET TEETH GRINDING/BRUXISM How Can I Fix My Grinded Teeth Orthodontics to intrude/move your lower teeth down into the gum, or gum. If you have bruxism, you can take steps to make you less prone to grinding your teeth. This material is applied to the edge of the teeth to cover the worn. Treatment for teeth grinding involves managing discomfort and avoiding triggers. One common treatment approach providers use is. How Can I Fix My Grinded Teeth.
From www.vdsclinic.com
How to Fix Worn Down Teeth Treatment and Repair Vancouver How Can I Fix My Grinded Teeth Treatment for teeth grinding involves managing discomfort and avoiding triggers. This material is applied to the edge of the teeth to cover the worn. Teeth grinding is when you clench your jaw and grind your teeth, often related to stress or anxiety. If there is lack of space, you can do 1 of 2 things: When you grind or clench. How Can I Fix My Grinded Teeth.
From www.shoredental.com.au
Teeth Grinding Dentist Neutral Bay Shore Dental How Can I Fix My Grinded Teeth Learn how to fix teeth grinding damage with dental crowns, veneers, or gum tissue repair. Orthodontics to intrude/move your lower teeth down into the gum, or gum. If you have bruxism, you can take steps to make you less prone to grinding your teeth. This material is applied to the edge of the teeth to cover the worn. If there. How Can I Fix My Grinded Teeth.
From www.pinterest.com
Dentists Reveal 5 Signs You Are Grinding Teeth at Night (And How to Fix How Can I Fix My Grinded Teeth Find out how to stop bruxism and. If you have bruxism, you can take steps to make you less prone to grinding your teeth. If there is lack of space, you can do 1 of 2 things: This material is applied to the edge of the teeth to cover the worn. Teeth grinding is when you clench your jaw and. How Can I Fix My Grinded Teeth.
From drroze.com
Teeth grinding causes and treatments Dr Roze Biodental Clinic Dubai How Can I Fix My Grinded Teeth If you have bruxism, you can take steps to make you less prone to grinding your teeth. Teeth grinding is when you clench your jaw and grind your teeth, often related to stress or anxiety. Mouth exercises and massages can help reduce pain and relieve muscle tension caused by. In overview, options involve restoring teeth to the bite that caused. How Can I Fix My Grinded Teeth.
From terreyhillsdental.com.au
Tooth grinding and clenching Services Terrey Hills Dental How Can I Fix My Grinded Teeth If there is lack of space, you can do 1 of 2 things: In overview, options involve restoring teeth to the bite that caused the problems and patching teeth, or considering a more comprehensive approach to restore the teeth to a better physiologic bite (i.e align your new tires before you take them on the road). If you have bruxism,. How Can I Fix My Grinded Teeth.
From lakeforestdentalarts.com
Results of bruxism Replace the enamel lost from tooth grinding How Can I Fix My Grinded Teeth Mouth exercises and massages can help reduce pain and relieve muscle tension caused by. If you have bruxism, you can take steps to make you less prone to grinding your teeth. In overview, options involve restoring teeth to the bite that caused the problems and patching teeth, or considering a more comprehensive approach to restore the teeth to a better. How Can I Fix My Grinded Teeth.
From www.sleepfoundation.org
How to Stop Grinding Teeth Effective Prevention Strategies How Can I Fix My Grinded Teeth Find out how to stop bruxism and. It can cause pain, damage and disturbed sleep. One common treatment approach providers use is behavior modification, which reinforces positive actions, not negative ones. Teeth grinding is when you clench your jaw and grind your teeth, often related to stress or anxiety. In overview, options involve restoring teeth to the bite that caused. How Can I Fix My Grinded Teeth.
From www.sjdentistry.com
Teeth Grinding or Bruxism — Stephen Johansen Dentistry How Can I Fix My Grinded Teeth Orthodontics to intrude/move your lower teeth down into the gum, or gum. Mouth exercises and massages can help reduce pain and relieve muscle tension caused by. Treatment for teeth grinding involves managing discomfort and avoiding triggers. In overview, options involve restoring teeth to the bite that caused the problems and patching teeth, or considering a more comprehensive approach to restore. How Can I Fix My Grinded Teeth.
From aminoco.com
Stop Grinding Your Teeth! Bruxism Explained The Amino Company How Can I Fix My Grinded Teeth This overuse of your jaw muscles can. When you grind or clench your teeth while sleeping, your jaws can create a lot of pressure. In overview, options involve restoring teeth to the bite that caused the problems and patching teeth, or considering a more comprehensive approach to restore the teeth to a better physiologic bite (i.e align your new tires. How Can I Fix My Grinded Teeth.
From www.smilesbypayet.com
Teeth Grinding Bruxism Dental Nightguard Dentist Charlotte NC How Can I Fix My Grinded Teeth Treatment for teeth grinding involves managing discomfort and avoiding triggers. Mouth exercises and massages can help reduce pain and relieve muscle tension caused by. Teeth grinding is when you clench your jaw and grind your teeth, often related to stress or anxiety. Find out how to stop bruxism and. If there is lack of space, you can do 1 of. How Can I Fix My Grinded Teeth.
From theperfectsmilekc.com
Smile Spotlight Amy Veneers Transform Teeth Grinding Damage How Can I Fix My Grinded Teeth One common treatment approach providers use is behavior modification, which reinforces positive actions, not negative ones. Treatment for teeth grinding involves managing discomfort and avoiding triggers. Mouth exercises and massages can help reduce pain and relieve muscle tension caused by. When you grind or clench your teeth while sleeping, your jaws can create a lot of pressure. Learn how to. How Can I Fix My Grinded Teeth.
From www.gireorthodontics.com
Will Your Braces Stop Your Teeth Grinding? How Can I Fix My Grinded Teeth Find out how to stop bruxism and. It can cause pain, damage and disturbed sleep. If there is lack of space, you can do 1 of 2 things: Learn how to fix teeth grinding damage with dental crowns, veneers, or gum tissue repair. Orthodontics to intrude/move your lower teeth down into the gum, or gum. Treatment for teeth grinding involves. How Can I Fix My Grinded Teeth.
From www.samaritandentalarts.com
How to Stop Grinding My Teeth! Samaritan Dental Arts How Can I Fix My Grinded Teeth It can cause pain, damage and disturbed sleep. Mouth exercises and massages can help reduce pain and relieve muscle tension caused by. Teeth grinding is when you clench your jaw and grind your teeth, often related to stress or anxiety. One common treatment approach providers use is behavior modification, which reinforces positive actions, not negative ones. Orthodontics to intrude/move your. How Can I Fix My Grinded Teeth.
From metrodentalcare.com
Lifestyle Adjustments and Treatments for Teeth Grinding Metro Dental Care How Can I Fix My Grinded Teeth It can cause pain, damage and disturbed sleep. This material is applied to the edge of the teeth to cover the worn. One common treatment approach providers use is behavior modification, which reinforces positive actions, not negative ones. This overuse of your jaw muscles can. Find out how to stop bruxism and. If you have bruxism, you can take steps. How Can I Fix My Grinded Teeth.
From sandiegoinvisaligndentist.org
Cosmetic dentistry for teeth from grinding Dental News Network How Can I Fix My Grinded Teeth Learn how to fix teeth grinding damage with dental crowns, veneers, or gum tissue repair. Treatment for teeth grinding involves managing discomfort and avoiding triggers. It can cause pain, damage and disturbed sleep. Orthodontics to intrude/move your lower teeth down into the gum, or gum. This overuse of your jaw muscles can. If you have bruxism, you can take steps. How Can I Fix My Grinded Teeth.
From expertdental.in
9 risk factors that increase Teeth Grinding Risk factors for Bruxism How Can I Fix My Grinded Teeth This material is applied to the edge of the teeth to cover the worn. This overuse of your jaw muscles can. If there is lack of space, you can do 1 of 2 things: Orthodontics to intrude/move your lower teeth down into the gum, or gum. Find out how to stop bruxism and. Learn how to fix teeth grinding damage. How Can I Fix My Grinded Teeth.
From www.youtube.com
The Best 2 Remedies for Teeth Grinding (Bruxism) YouTube How Can I Fix My Grinded Teeth Orthodontics to intrude/move your lower teeth down into the gum, or gum. If there is lack of space, you can do 1 of 2 things: Mouth exercises and massages can help reduce pain and relieve muscle tension caused by. One common treatment approach providers use is behavior modification, which reinforces positive actions, not negative ones. It can cause pain, damage. How Can I Fix My Grinded Teeth.
From www.smilesbypayet.com
How Does Your Dentist Know You Grind Your Teeth? Charlotte Dentist How Can I Fix My Grinded Teeth Teeth grinding is when you clench your jaw and grind your teeth, often related to stress or anxiety. This overuse of your jaw muscles can. It can cause pain, damage and disturbed sleep. Find out how to stop bruxism and. Orthodontics to intrude/move your lower teeth down into the gum, or gum. In overview, options involve restoring teeth to the. How Can I Fix My Grinded Teeth.
From drsalimkapadiadental.com
Teeth Grinding Causes, Symptoms, and Treatment Options Dr. Salim How Can I Fix My Grinded Teeth If you have bruxism, you can take steps to make you less prone to grinding your teeth. If there is lack of space, you can do 1 of 2 things: This overuse of your jaw muscles can. This material is applied to the edge of the teeth to cover the worn. In overview, options involve restoring teeth to the bite. How Can I Fix My Grinded Teeth.
From sandiegoinvisaligndentist.org
Cosmetic dentistry for teeth from grinding Dental News Network How Can I Fix My Grinded Teeth When you grind or clench your teeth while sleeping, your jaws can create a lot of pressure. Treatment for teeth grinding involves managing discomfort and avoiding triggers. In overview, options involve restoring teeth to the bite that caused the problems and patching teeth, or considering a more comprehensive approach to restore the teeth to a better physiologic bite (i.e align. How Can I Fix My Grinded Teeth.
From www.elitecosmeticdentistry.com
Dentist san diego teeth grinding Elite Dentists How Can I Fix My Grinded Teeth Treatment for teeth grinding involves managing discomfort and avoiding triggers. One common treatment approach providers use is behavior modification, which reinforces positive actions, not negative ones. Mouth exercises and massages can help reduce pain and relieve muscle tension caused by. Find out how to stop bruxism and. If you have bruxism, you can take steps to make you less prone. How Can I Fix My Grinded Teeth.
From www.energeticsinstitute.com.au
Bruxism TMJ Teeth Grinding Energetics Institute How Can I Fix My Grinded Teeth One common treatment approach providers use is behavior modification, which reinforces positive actions, not negative ones. In overview, options involve restoring teeth to the bite that caused the problems and patching teeth, or considering a more comprehensive approach to restore the teeth to a better physiologic bite (i.e align your new tires before you take them on the road). If. How Can I Fix My Grinded Teeth.
From txdentalimplants.com
Bruxism (Teeth Grinding) How Can I Fix My Grinded Teeth Mouth exercises and massages can help reduce pain and relieve muscle tension caused by. If there is lack of space, you can do 1 of 2 things: This material is applied to the edge of the teeth to cover the worn. This overuse of your jaw muscles can. Teeth grinding is when you clench your jaw and grind your teeth,. How Can I Fix My Grinded Teeth.
From www.smilearizonadentistry.com
Expert Advice on How to Fix Grinded Teeth How Can I Fix My Grinded Teeth Treatment for teeth grinding involves managing discomfort and avoiding triggers. This overuse of your jaw muscles can. In overview, options involve restoring teeth to the bite that caused the problems and patching teeth, or considering a more comprehensive approach to restore the teeth to a better physiologic bite (i.e align your new tires before you take them on the road).. How Can I Fix My Grinded Teeth.