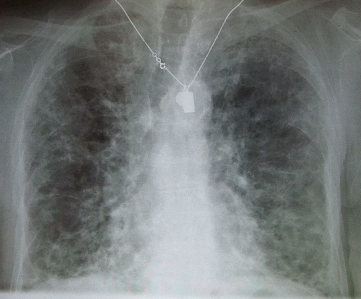
What Do Dark Spots On An X Ray Mean . If your doctor discovers a spot on your lung during an imaging study, you may worry about what it means for your health. Structures that block radiation appear white, and structures that let radiation through appear black. It is sometimes called a spot on the lung or a. (anything larger than 3 centimeters is considered as a mass.) nodules. In some cases, though, more tests might be required to ensure the. These spots are called pulmonary nodules. A nodule is defined as a lesion measuring 3 centimeters or smaller in diameter, says lung specialist louis lam, md.
from ar.inspiredpencil.com
If your doctor discovers a spot on your lung during an imaging study, you may worry about what it means for your health. In some cases, though, more tests might be required to ensure the. (anything larger than 3 centimeters is considered as a mass.) nodules. It is sometimes called a spot on the lung or a. These spots are called pulmonary nodules. Structures that block radiation appear white, and structures that let radiation through appear black. A nodule is defined as a lesion measuring 3 centimeters or smaller in diameter, says lung specialist louis lam, md.
Radiology X Ray
What Do Dark Spots On An X Ray Mean (anything larger than 3 centimeters is considered as a mass.) nodules. These spots are called pulmonary nodules. Structures that block radiation appear white, and structures that let radiation through appear black. In some cases, though, more tests might be required to ensure the. It is sometimes called a spot on the lung or a. A nodule is defined as a lesion measuring 3 centimeters or smaller in diameter, says lung specialist louis lam, md. If your doctor discovers a spot on your lung during an imaging study, you may worry about what it means for your health. (anything larger than 3 centimeters is considered as a mass.) nodules.
From fyoslhqwp.blob.core.windows.net
What Do Dark Spots On An X Ray Mean at Karen Newberry blog What Do Dark Spots On An X Ray Mean It is sometimes called a spot on the lung or a. A nodule is defined as a lesion measuring 3 centimeters or smaller in diameter, says lung specialist louis lam, md. (anything larger than 3 centimeters is considered as a mass.) nodules. If your doctor discovers a spot on your lung during an imaging study, you may worry about what. What Do Dark Spots On An X Ray Mean.
From exyjmxahx.blob.core.windows.net
What Does A Shadow On Dental X Ray Mean at Jennifer West blog What Do Dark Spots On An X Ray Mean These spots are called pulmonary nodules. If your doctor discovers a spot on your lung during an imaging study, you may worry about what it means for your health. Structures that block radiation appear white, and structures that let radiation through appear black. It is sometimes called a spot on the lung or a. (anything larger than 3 centimeters is. What Do Dark Spots On An X Ray Mean.
From webdmd.org
Black Spots on Teeth Causes and Treatment DMD What Do Dark Spots On An X Ray Mean Structures that block radiation appear white, and structures that let radiation through appear black. It is sometimes called a spot on the lung or a. If your doctor discovers a spot on your lung during an imaging study, you may worry about what it means for your health. (anything larger than 3 centimeters is considered as a mass.) nodules. In. What Do Dark Spots On An X Ray Mean.
From www.bci.org.au
Metastatic Bone Disease Fact Sheet Westmead BCI What Do Dark Spots On An X Ray Mean It is sometimes called a spot on the lung or a. Structures that block radiation appear white, and structures that let radiation through appear black. These spots are called pulmonary nodules. A nodule is defined as a lesion measuring 3 centimeters or smaller in diameter, says lung specialist louis lam, md. If your doctor discovers a spot on your lung. What Do Dark Spots On An X Ray Mean.
From informaconnect.com
The Science Behind XRay Imaging What Do Dark Spots On An X Ray Mean In some cases, though, more tests might be required to ensure the. If your doctor discovers a spot on your lung during an imaging study, you may worry about what it means for your health. A nodule is defined as a lesion measuring 3 centimeters or smaller in diameter, says lung specialist louis lam, md. (anything larger than 3 centimeters. What Do Dark Spots On An X Ray Mean.
From www.carestream.com
Understanding Radiology Exposure Indicators Everything Rad What Do Dark Spots On An X Ray Mean It is sometimes called a spot on the lung or a. A nodule is defined as a lesion measuring 3 centimeters or smaller in diameter, says lung specialist louis lam, md. In some cases, though, more tests might be required to ensure the. (anything larger than 3 centimeters is considered as a mass.) nodules. Structures that block radiation appear white,. What Do Dark Spots On An X Ray Mean.
From www.healthkart.com
Dark Spots on Face Common Causes and Remedies HealthKart What Do Dark Spots On An X Ray Mean (anything larger than 3 centimeters is considered as a mass.) nodules. Structures that block radiation appear white, and structures that let radiation through appear black. It is sometimes called a spot on the lung or a. In some cases, though, more tests might be required to ensure the. A nodule is defined as a lesion measuring 3 centimeters or smaller. What Do Dark Spots On An X Ray Mean.
From www.sexizpix.com
Black Spots On Ct Scan Of Abdomen And Pelvis Sexiz Pix What Do Dark Spots On An X Ray Mean If your doctor discovers a spot on your lung during an imaging study, you may worry about what it means for your health. (anything larger than 3 centimeters is considered as a mass.) nodules. In some cases, though, more tests might be required to ensure the. Structures that block radiation appear white, and structures that let radiation through appear black.. What Do Dark Spots On An X Ray Mean.
From hubpages.com
Dark Lung Spots on XRay hubpages What Do Dark Spots On An X Ray Mean (anything larger than 3 centimeters is considered as a mass.) nodules. If your doctor discovers a spot on your lung during an imaging study, you may worry about what it means for your health. These spots are called pulmonary nodules. Structures that block radiation appear white, and structures that let radiation through appear black. In some cases, though, more tests. What Do Dark Spots On An X Ray Mean.
From www.myfamilydentist.ca
XRay Pathology My Family Dentist What Do Dark Spots On An X Ray Mean These spots are called pulmonary nodules. A nodule is defined as a lesion measuring 3 centimeters or smaller in diameter, says lung specialist louis lam, md. In some cases, though, more tests might be required to ensure the. If your doctor discovers a spot on your lung during an imaging study, you may worry about what it means for your. What Do Dark Spots On An X Ray Mean.
From www.facialart.com
How Dental Infections and Oral Pathology can be Missed on Bitewing X What Do Dark Spots On An X Ray Mean It is sometimes called a spot on the lung or a. (anything larger than 3 centimeters is considered as a mass.) nodules. These spots are called pulmonary nodules. A nodule is defined as a lesion measuring 3 centimeters or smaller in diameter, says lung specialist louis lam, md. Structures that block radiation appear white, and structures that let radiation through. What Do Dark Spots On An X Ray Mean.
From www.bmj.com
The role of chest radiography in confirming covid19 pneumonia The BMJ What Do Dark Spots On An X Ray Mean It is sometimes called a spot on the lung or a. These spots are called pulmonary nodules. (anything larger than 3 centimeters is considered as a mass.) nodules. In some cases, though, more tests might be required to ensure the. A nodule is defined as a lesion measuring 3 centimeters or smaller in diameter, says lung specialist louis lam, md.. What Do Dark Spots On An X Ray Mean.
From www.nih.gov
NIH Clinical Center provides one of the largest publicly available What Do Dark Spots On An X Ray Mean These spots are called pulmonary nodules. (anything larger than 3 centimeters is considered as a mass.) nodules. If your doctor discovers a spot on your lung during an imaging study, you may worry about what it means for your health. It is sometimes called a spot on the lung or a. Structures that block radiation appear white, and structures that. What Do Dark Spots On An X Ray Mean.
From hubpages.com
Dark Lung Spots on XRay hubpages What Do Dark Spots On An X Ray Mean These spots are called pulmonary nodules. Structures that block radiation appear white, and structures that let radiation through appear black. It is sometimes called a spot on the lung or a. A nodule is defined as a lesion measuring 3 centimeters or smaller in diameter, says lung specialist louis lam, md. If your doctor discovers a spot on your lung. What Do Dark Spots On An X Ray Mean.
From www.youtube.com
How the Xray works? Basics with examples Radiology YouTube What Do Dark Spots On An X Ray Mean It is sometimes called a spot on the lung or a. In some cases, though, more tests might be required to ensure the. These spots are called pulmonary nodules. Structures that block radiation appear white, and structures that let radiation through appear black. If your doctor discovers a spot on your lung during an imaging study, you may worry about. What Do Dark Spots On An X Ray Mean.
From www.fastmed.com
The ABCs of Dark Skin Spots What Do Dark Spots On An X Ray Mean If your doctor discovers a spot on your lung during an imaging study, you may worry about what it means for your health. These spots are called pulmonary nodules. A nodule is defined as a lesion measuring 3 centimeters or smaller in diameter, says lung specialist louis lam, md. It is sometimes called a spot on the lung or a.. What Do Dark Spots On An X Ray Mean.
From www.upstate.edu
Exposure Issues Radiology SUNY Upstate What Do Dark Spots On An X Ray Mean Structures that block radiation appear white, and structures that let radiation through appear black. (anything larger than 3 centimeters is considered as a mass.) nodules. A nodule is defined as a lesion measuring 3 centimeters or smaller in diameter, says lung specialist louis lam, md. These spots are called pulmonary nodules. In some cases, though, more tests might be required. What Do Dark Spots On An X Ray Mean.
From www.slideserve.com
PPT How Do XRays Work PowerPoint Presentation, free download ID What Do Dark Spots On An X Ray Mean These spots are called pulmonary nodules. In some cases, though, more tests might be required to ensure the. Structures that block radiation appear white, and structures that let radiation through appear black. A nodule is defined as a lesion measuring 3 centimeters or smaller in diameter, says lung specialist louis lam, md. (anything larger than 3 centimeters is considered as. What Do Dark Spots On An X Ray Mean.
From www.verywellhealth.com
Chest XRay for the Diagnosis of Lung Cancer What Do Dark Spots On An X Ray Mean (anything larger than 3 centimeters is considered as a mass.) nodules. These spots are called pulmonary nodules. In some cases, though, more tests might be required to ensure the. It is sometimes called a spot on the lung or a. If your doctor discovers a spot on your lung during an imaging study, you may worry about what it means. What Do Dark Spots On An X Ray Mean.
From exyxoctlm.blob.core.windows.net
What Does A Shadow Mean On A Chest X Ray at Debbie Russell blog What Do Dark Spots On An X Ray Mean These spots are called pulmonary nodules. (anything larger than 3 centimeters is considered as a mass.) nodules. It is sometimes called a spot on the lung or a. A nodule is defined as a lesion measuring 3 centimeters or smaller in diameter, says lung specialist louis lam, md. If your doctor discovers a spot on your lung during an imaging. What Do Dark Spots On An X Ray Mean.
From hubpages.com
Dark Lung Spots on XRay HubPages What Do Dark Spots On An X Ray Mean If your doctor discovers a spot on your lung during an imaging study, you may worry about what it means for your health. In some cases, though, more tests might be required to ensure the. These spots are called pulmonary nodules. A nodule is defined as a lesion measuring 3 centimeters or smaller in diameter, says lung specialist louis lam,. What Do Dark Spots On An X Ray Mean.
From jamar-has-mcdowell.blogspot.com
What Do Shadows on a Chest X Ray Mean JamarhasMcdowell What Do Dark Spots On An X Ray Mean These spots are called pulmonary nodules. If your doctor discovers a spot on your lung during an imaging study, you may worry about what it means for your health. Structures that block radiation appear white, and structures that let radiation through appear black. It is sometimes called a spot on the lung or a. In some cases, though, more tests. What Do Dark Spots On An X Ray Mean.
From www.thoughtco.com
X Ray Definition and Properties (X Radiation) What Do Dark Spots On An X Ray Mean A nodule is defined as a lesion measuring 3 centimeters or smaller in diameter, says lung specialist louis lam, md. If your doctor discovers a spot on your lung during an imaging study, you may worry about what it means for your health. It is sometimes called a spot on the lung or a. (anything larger than 3 centimeters is. What Do Dark Spots On An X Ray Mean.
From www.bjmp.org
Spotted Bone A Spot Diagnosis British Journal of Medical Practitioners What Do Dark Spots On An X Ray Mean It is sometimes called a spot on the lung or a. In some cases, though, more tests might be required to ensure the. These spots are called pulmonary nodules. A nodule is defined as a lesion measuring 3 centimeters or smaller in diameter, says lung specialist louis lam, md. (anything larger than 3 centimeters is considered as a mass.) nodules.. What Do Dark Spots On An X Ray Mean.
From www.bjmp.org
Spotted Bone A Spot Diagnosis British Journal of Medical Practitioners What Do Dark Spots On An X Ray Mean A nodule is defined as a lesion measuring 3 centimeters or smaller in diameter, says lung specialist louis lam, md. (anything larger than 3 centimeters is considered as a mass.) nodules. In some cases, though, more tests might be required to ensure the. Structures that block radiation appear white, and structures that let radiation through appear black. If your doctor. What Do Dark Spots On An X Ray Mean.
From fity.club
Xrays Spine What Do Dark Spots On An X Ray Mean (anything larger than 3 centimeters is considered as a mass.) nodules. If your doctor discovers a spot on your lung during an imaging study, you may worry about what it means for your health. These spots are called pulmonary nodules. A nodule is defined as a lesion measuring 3 centimeters or smaller in diameter, says lung specialist louis lam, md.. What Do Dark Spots On An X Ray Mean.
From www.pinterest.fr
Dark Lung Spots on XRay Lunges, Thoracic cavity, Black lungs What Do Dark Spots On An X Ray Mean These spots are called pulmonary nodules. Structures that block radiation appear white, and structures that let radiation through appear black. A nodule is defined as a lesion measuring 3 centimeters or smaller in diameter, says lung specialist louis lam, md. If your doctor discovers a spot on your lung during an imaging study, you may worry about what it means. What Do Dark Spots On An X Ray Mean.
From fyoslhqwp.blob.core.windows.net
What Do Dark Spots On An X Ray Mean at Karen Newberry blog What Do Dark Spots On An X Ray Mean These spots are called pulmonary nodules. (anything larger than 3 centimeters is considered as a mass.) nodules. If your doctor discovers a spot on your lung during an imaging study, you may worry about what it means for your health. In some cases, though, more tests might be required to ensure the. A nodule is defined as a lesion measuring. What Do Dark Spots On An X Ray Mean.
From geekymedics.com
Abdominal Xray Interpretation (AXR) Radiology OSCE Geeky Medics What Do Dark Spots On An X Ray Mean Structures that block radiation appear white, and structures that let radiation through appear black. (anything larger than 3 centimeters is considered as a mass.) nodules. A nodule is defined as a lesion measuring 3 centimeters or smaller in diameter, says lung specialist louis lam, md. If your doctor discovers a spot on your lung during an imaging study, you may. What Do Dark Spots On An X Ray Mean.
From www.verywellhealth.com
XRays Uses, Procedure, Results What Do Dark Spots On An X Ray Mean It is sometimes called a spot on the lung or a. These spots are called pulmonary nodules. Structures that block radiation appear white, and structures that let radiation through appear black. In some cases, though, more tests might be required to ensure the. If your doctor discovers a spot on your lung during an imaging study, you may worry about. What Do Dark Spots On An X Ray Mean.
From mydentaladvocate.com
White Spot on Dental XRay? (Best Advice) What Do Dark Spots On An X Ray Mean If your doctor discovers a spot on your lung during an imaging study, you may worry about what it means for your health. Structures that block radiation appear white, and structures that let radiation through appear black. In some cases, though, more tests might be required to ensure the. These spots are called pulmonary nodules. (anything larger than 3 centimeters. What Do Dark Spots On An X Ray Mean.
From discover.hubpages.com
Dark Lung Spots on XRay HubPages What Do Dark Spots On An X Ray Mean In some cases, though, more tests might be required to ensure the. These spots are called pulmonary nodules. Structures that block radiation appear white, and structures that let radiation through appear black. (anything larger than 3 centimeters is considered as a mass.) nodules. A nodule is defined as a lesion measuring 3 centimeters or smaller in diameter, says lung specialist. What Do Dark Spots On An X Ray Mean.
From fyoslhqwp.blob.core.windows.net
What Do Dark Spots On An X Ray Mean at Karen Newberry blog What Do Dark Spots On An X Ray Mean (anything larger than 3 centimeters is considered as a mass.) nodules. A nodule is defined as a lesion measuring 3 centimeters or smaller in diameter, says lung specialist louis lam, md. In some cases, though, more tests might be required to ensure the. These spots are called pulmonary nodules. Structures that block radiation appear white, and structures that let radiation. What Do Dark Spots On An X Ray Mean.
From www.researchgate.net
Lumbar anteroposterior Xray radiograph. Point O on the coronal plane What Do Dark Spots On An X Ray Mean If your doctor discovers a spot on your lung during an imaging study, you may worry about what it means for your health. Structures that block radiation appear white, and structures that let radiation through appear black. It is sometimes called a spot on the lung or a. These spots are called pulmonary nodules. A nodule is defined as a. What Do Dark Spots On An X Ray Mean.
From ar.inspiredpencil.com
Radiology X Ray What Do Dark Spots On An X Ray Mean In some cases, though, more tests might be required to ensure the. If your doctor discovers a spot on your lung during an imaging study, you may worry about what it means for your health. It is sometimes called a spot on the lung or a. Structures that block radiation appear white, and structures that let radiation through appear black.. What Do Dark Spots On An X Ray Mean.