What Is Femoral Reaming . Femoral shaft fractures are a common orthopedic injury occurring in. Reaming results in elevated temperature and pressure within the intramedullary cavity, which may adversely affect bone healing. Ream close to endosteal cortex, which has strongest cancellous bone; Reaming also increases the area of. In general, reamed nailing allows the use of larger diameter implants and may therefore provide greater. If the medullary canal is narrow, it may be necessary to enlarge it by reaming to allow the insertion of a larger diameter nail with sufficient strength. 60 patients with femoral shaft fractures were examined. Table 1 shows the frequency distribution of age and sex of.
from www.youtube.com
If the medullary canal is narrow, it may be necessary to enlarge it by reaming to allow the insertion of a larger diameter nail with sufficient strength. Reaming also increases the area of. 60 patients with femoral shaft fractures were examined. Reaming results in elevated temperature and pressure within the intramedullary cavity, which may adversely affect bone healing. Table 1 shows the frequency distribution of age and sex of. In general, reamed nailing allows the use of larger diameter implants and may therefore provide greater. Femoral shaft fractures are a common orthopedic injury occurring in. Ream close to endosteal cortex, which has strongest cancellous bone;
Surgical Technique Femur Interlocking Nail Matrix Meditec YouTube
What Is Femoral Reaming If the medullary canal is narrow, it may be necessary to enlarge it by reaming to allow the insertion of a larger diameter nail with sufficient strength. 60 patients with femoral shaft fractures were examined. Reaming also increases the area of. Femoral shaft fractures are a common orthopedic injury occurring in. Table 1 shows the frequency distribution of age and sex of. Reaming results in elevated temperature and pressure within the intramedullary cavity, which may adversely affect bone healing. In general, reamed nailing allows the use of larger diameter implants and may therefore provide greater. Ream close to endosteal cortex, which has strongest cancellous bone; If the medullary canal is narrow, it may be necessary to enlarge it by reaming to allow the insertion of a larger diameter nail with sufficient strength.
From www.orthoracle.com
Femoral shaft fracture Open femoral fracture bone defect treated with What Is Femoral Reaming Table 1 shows the frequency distribution of age and sex of. In general, reamed nailing allows the use of larger diameter implants and may therefore provide greater. Reaming results in elevated temperature and pressure within the intramedullary cavity, which may adversely affect bone healing. Femoral shaft fractures are a common orthopedic injury occurring in. Ream close to endosteal cortex, which. What Is Femoral Reaming.
From www.semanticscholar.org
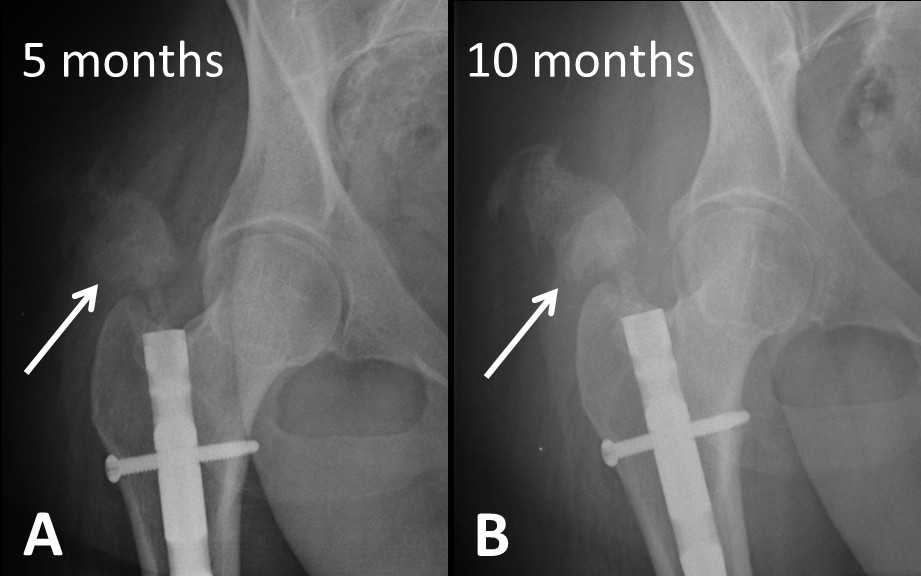
Figure 1 from An unpredictable complication of femoral reaming When What Is Femoral Reaming Table 1 shows the frequency distribution of age and sex of. Reaming results in elevated temperature and pressure within the intramedullary cavity, which may adversely affect bone healing. If the medullary canal is narrow, it may be necessary to enlarge it by reaming to allow the insertion of a larger diameter nail with sufficient strength. Femoral shaft fractures are a. What Is Femoral Reaming.
From musculoskeletalkey.com
Subtrochanteric Femur Fractures Musculoskeletal Key What Is Femoral Reaming Reaming also increases the area of. Reaming results in elevated temperature and pressure within the intramedullary cavity, which may adversely affect bone healing. 60 patients with femoral shaft fractures were examined. Ream close to endosteal cortex, which has strongest cancellous bone; Table 1 shows the frequency distribution of age and sex of. In general, reamed nailing allows the use of. What Is Femoral Reaming.
From jmedicalcasereports.biomedcentral.com
Heterotopic ossification in the reaming tract of a percutaneous What Is Femoral Reaming Reaming results in elevated temperature and pressure within the intramedullary cavity, which may adversely affect bone healing. Table 1 shows the frequency distribution of age and sex of. Ream close to endosteal cortex, which has strongest cancellous bone; If the medullary canal is narrow, it may be necessary to enlarge it by reaming to allow the insertion of a larger. What Is Femoral Reaming.
From www.arthroplastyjournal.org
Use of a Custom Stemless Anatomic Femoral Component for an Incarcerated What Is Femoral Reaming 60 patients with femoral shaft fractures were examined. If the medullary canal is narrow, it may be necessary to enlarge it by reaming to allow the insertion of a larger diameter nail with sufficient strength. Reaming results in elevated temperature and pressure within the intramedullary cavity, which may adversely affect bone healing. Ream close to endosteal cortex, which has strongest. What Is Femoral Reaming.
From orthobullets.com
Femoral Shaft Fractures Trauma Orthobullets What Is Femoral Reaming If the medullary canal is narrow, it may be necessary to enlarge it by reaming to allow the insertion of a larger diameter nail with sufficient strength. 60 patients with femoral shaft fractures were examined. Reaming also increases the area of. Reaming results in elevated temperature and pressure within the intramedullary cavity, which may adversely affect bone healing. Ream close. What Is Femoral Reaming.
From www.youtube.com
Surgical Technique Femur Interlocking Nail Matrix Meditec YouTube What Is Femoral Reaming If the medullary canal is narrow, it may be necessary to enlarge it by reaming to allow the insertion of a larger diameter nail with sufficient strength. Ream close to endosteal cortex, which has strongest cancellous bone; Table 1 shows the frequency distribution of age and sex of. Reaming also increases the area of. In general, reamed nailing allows the. What Is Femoral Reaming.
From www.slideserve.com
PPT Femoral Shaft Fractures PowerPoint Presentation, free download What Is Femoral Reaming Table 1 shows the frequency distribution of age and sex of. Ream close to endosteal cortex, which has strongest cancellous bone; Femoral shaft fractures are a common orthopedic injury occurring in. Reaming also increases the area of. In general, reamed nailing allows the use of larger diameter implants and may therefore provide greater. Reaming results in elevated temperature and pressure. What Is Femoral Reaming.
From www.researchgate.net
(a) Femoral broaching and reaming can only be initiated when adequate What Is Femoral Reaming If the medullary canal is narrow, it may be necessary to enlarge it by reaming to allow the insertion of a larger diameter nail with sufficient strength. Femoral shaft fractures are a common orthopedic injury occurring in. Ream close to endosteal cortex, which has strongest cancellous bone; Reaming also increases the area of. In general, reamed nailing allows the use. What Is Femoral Reaming.
From www.semanticscholar.org
Figure 4 from An unpredictable complication of femoral reaming When What Is Femoral Reaming Ream close to endosteal cortex, which has strongest cancellous bone; In general, reamed nailing allows the use of larger diameter implants and may therefore provide greater. If the medullary canal is narrow, it may be necessary to enlarge it by reaming to allow the insertion of a larger diameter nail with sufficient strength. Femoral shaft fractures are a common orthopedic. What Is Femoral Reaming.
From slidetodoc.com
Femoral Shaft Fractures Robert F Ostrum MD Cooper What Is Femoral Reaming Reaming also increases the area of. Table 1 shows the frequency distribution of age and sex of. Reaming results in elevated temperature and pressure within the intramedullary cavity, which may adversely affect bone healing. 60 patients with femoral shaft fractures were examined. Ream close to endosteal cortex, which has strongest cancellous bone; Femoral shaft fractures are a common orthopedic injury. What Is Femoral Reaming.
From www.researchgate.net
Diagram of the minimally invasive fixatorassisted nailing technique What Is Femoral Reaming 60 patients with femoral shaft fractures were examined. Ream close to endosteal cortex, which has strongest cancellous bone; Reaming also increases the area of. In general, reamed nailing allows the use of larger diameter implants and may therefore provide greater. If the medullary canal is narrow, it may be necessary to enlarge it by reaming to allow the insertion of. What Is Femoral Reaming.
From www.semanticscholar.org
Figure 4 from Reaming Technique of the Femoral Diaphysis in Cementless What Is Femoral Reaming Reaming results in elevated temperature and pressure within the intramedullary cavity, which may adversely affect bone healing. Reaming also increases the area of. 60 patients with femoral shaft fractures were examined. If the medullary canal is narrow, it may be necessary to enlarge it by reaming to allow the insertion of a larger diameter nail with sufficient strength. Femoral shaft. What Is Femoral Reaming.
From www.researchgate.net
Femoral Channel Reamer (Trigen IM Nail System 14mm Channel What Is Femoral Reaming In general, reamed nailing allows the use of larger diameter implants and may therefore provide greater. Table 1 shows the frequency distribution of age and sex of. Femoral shaft fractures are a common orthopedic injury occurring in. 60 patients with femoral shaft fractures were examined. Reaming also increases the area of. Ream close to endosteal cortex, which has strongest cancellous. What Is Femoral Reaming.
From www.researchgate.net
Proximal femur megaspacer implantation. (a) Advancement of the reaming What Is Femoral Reaming Reaming also increases the area of. Table 1 shows the frequency distribution of age and sex of. Reaming results in elevated temperature and pressure within the intramedullary cavity, which may adversely affect bone healing. In general, reamed nailing allows the use of larger diameter implants and may therefore provide greater. If the medullary canal is narrow, it may be necessary. What Is Femoral Reaming.
From www.researchgate.net
Left Visualization of the relative decrease in femoral shaft wall What Is Femoral Reaming Ream close to endosteal cortex, which has strongest cancellous bone; 60 patients with femoral shaft fractures were examined. Reaming results in elevated temperature and pressure within the intramedullary cavity, which may adversely affect bone healing. Femoral shaft fractures are a common orthopedic injury occurring in. Table 1 shows the frequency distribution of age and sex of. In general, reamed nailing. What Is Femoral Reaming.
From www.researchgate.net
(PDF) The importance of reaming the posterior femoral cortex before What Is Femoral Reaming Ream close to endosteal cortex, which has strongest cancellous bone; Table 1 shows the frequency distribution of age and sex of. If the medullary canal is narrow, it may be necessary to enlarge it by reaming to allow the insertion of a larger diameter nail with sufficient strength. Reaming results in elevated temperature and pressure within the intramedullary cavity, which. What Is Femoral Reaming.
From 52.62.202.235
Lars ACL The Bone School What Is Femoral Reaming Reaming also increases the area of. Table 1 shows the frequency distribution of age and sex of. In general, reamed nailing allows the use of larger diameter implants and may therefore provide greater. Reaming results in elevated temperature and pressure within the intramedullary cavity, which may adversely affect bone healing. Ream close to endosteal cortex, which has strongest cancellous bone;. What Is Femoral Reaming.
From www.illustratedverdict.com
Stock Hip Replacement — Illustrated Verdict What Is Femoral Reaming Table 1 shows the frequency distribution of age and sex of. Femoral shaft fractures are a common orthopedic injury occurring in. If the medullary canal is narrow, it may be necessary to enlarge it by reaming to allow the insertion of a larger diameter nail with sufficient strength. Reaming also increases the area of. In general, reamed nailing allows the. What Is Femoral Reaming.
From www.slideserve.com
PPT Hip Arthroplasty PowerPoint Presentation, free download ID745056 What Is Femoral Reaming Reaming also increases the area of. 60 patients with femoral shaft fractures were examined. Femoral shaft fractures are a common orthopedic injury occurring in. In general, reamed nailing allows the use of larger diameter implants and may therefore provide greater. Reaming results in elevated temperature and pressure within the intramedullary cavity, which may adversely affect bone healing. Table 1 shows. What Is Femoral Reaming.
From www.mdpi.com
Medicina Free FullText Femoral Tunnel Geometry and Graft What Is Femoral Reaming Reaming also increases the area of. Femoral shaft fractures are a common orthopedic injury occurring in. 60 patients with femoral shaft fractures were examined. Reaming results in elevated temperature and pressure within the intramedullary cavity, which may adversely affect bone healing. Table 1 shows the frequency distribution of age and sex of. In general, reamed nailing allows the use of. What Is Femoral Reaming.
From www.jpmer.com
Uncoiling of Flexible Reamer during Closed Nailing for Shaft Femur Fracture What Is Femoral Reaming Table 1 shows the frequency distribution of age and sex of. In general, reamed nailing allows the use of larger diameter implants and may therefore provide greater. If the medullary canal is narrow, it may be necessary to enlarge it by reaming to allow the insertion of a larger diameter nail with sufficient strength. Reaming results in elevated temperature and. What Is Femoral Reaming.
From www.researchgate.net
Lateral view of the right femur with an inserted virtual reamer. Blue What Is Femoral Reaming Ream close to endosteal cortex, which has strongest cancellous bone; Reaming results in elevated temperature and pressure within the intramedullary cavity, which may adversely affect bone healing. Table 1 shows the frequency distribution of age and sex of. In general, reamed nailing allows the use of larger diameter implants and may therefore provide greater. If the medullary canal is narrow,. What Is Femoral Reaming.
From www.cureus.com
Cureus Anteromedial Portal Reference Technique for Femoral Tunnel What Is Femoral Reaming Table 1 shows the frequency distribution of age and sex of. In general, reamed nailing allows the use of larger diameter implants and may therefore provide greater. 60 patients with femoral shaft fractures were examined. Reaming results in elevated temperature and pressure within the intramedullary cavity, which may adversely affect bone healing. Ream close to endosteal cortex, which has strongest. What Is Femoral Reaming.
From slideplayer.com
Reduction—femoral shaft fracture ppt download What Is Femoral Reaming Ream close to endosteal cortex, which has strongest cancellous bone; Reaming also increases the area of. In general, reamed nailing allows the use of larger diameter implants and may therefore provide greater. 60 patients with femoral shaft fractures were examined. If the medullary canal is narrow, it may be necessary to enlarge it by reaming to allow the insertion of. What Is Femoral Reaming.
From jmedicalcasereports.biomedcentral.com
Heterotopic ossification in the reaming tract of a percutaneous What Is Femoral Reaming In general, reamed nailing allows the use of larger diameter implants and may therefore provide greater. Table 1 shows the frequency distribution of age and sex of. If the medullary canal is narrow, it may be necessary to enlarge it by reaming to allow the insertion of a larger diameter nail with sufficient strength. Reaming results in elevated temperature and. What Is Femoral Reaming.
From www.injuryjournal.com
A technique for extraction of the distal segment of a broken femoral What Is Femoral Reaming If the medullary canal is narrow, it may be necessary to enlarge it by reaming to allow the insertion of a larger diameter nail with sufficient strength. 60 patients with femoral shaft fractures were examined. Reaming also increases the area of. Table 1 shows the frequency distribution of age and sex of. Femoral shaft fractures are a common orthopedic injury. What Is Femoral Reaming.
From orthopedicreviews.openmedicalpublishing.org
The ReamerIrrigatorAspirator (RIA) System for the treatment of What Is Femoral Reaming Ream close to endosteal cortex, which has strongest cancellous bone; Reaming results in elevated temperature and pressure within the intramedullary cavity, which may adversely affect bone healing. Table 1 shows the frequency distribution of age and sex of. If the medullary canal is narrow, it may be necessary to enlarge it by reaming to allow the insertion of a larger. What Is Femoral Reaming.
From www.researchgate.net
Schematic of a reamonly technique. (A) Removal of the calcar What Is Femoral Reaming Reaming results in elevated temperature and pressure within the intramedullary cavity, which may adversely affect bone healing. Femoral shaft fractures are a common orthopedic injury occurring in. Reaming also increases the area of. If the medullary canal is narrow, it may be necessary to enlarge it by reaming to allow the insertion of a larger diameter nail with sufficient strength.. What Is Femoral Reaming.
From www.slideserve.com
PPT Femoral Shaft Fractures PowerPoint Presentation, free download What Is Femoral Reaming 60 patients with femoral shaft fractures were examined. Femoral shaft fractures are a common orthopedic injury occurring in. Reaming also increases the area of. If the medullary canal is narrow, it may be necessary to enlarge it by reaming to allow the insertion of a larger diameter nail with sufficient strength. Ream close to endosteal cortex, which has strongest cancellous. What Is Femoral Reaming.
From www.slideserve.com
PPT Femoral Shaft Fractures PowerPoint Presentation, free download What Is Femoral Reaming 60 patients with femoral shaft fractures were examined. Ream close to endosteal cortex, which has strongest cancellous bone; Reaming also increases the area of. Table 1 shows the frequency distribution of age and sex of. If the medullary canal is narrow, it may be necessary to enlarge it by reaming to allow the insertion of a larger diameter nail with. What Is Femoral Reaming.
From nail.ftempo.com
Intramedullary Nailing Femur Recovery Nail Ftempo What Is Femoral Reaming Ream close to endosteal cortex, which has strongest cancellous bone; If the medullary canal is narrow, it may be necessary to enlarge it by reaming to allow the insertion of a larger diameter nail with sufficient strength. Table 1 shows the frequency distribution of age and sex of. 60 patients with femoral shaft fractures were examined. Reaming results in elevated. What Is Femoral Reaming.
From www.researchgate.net
(A) A simple femoral shaft fracture. (B) Preparation of the nail inlet What Is Femoral Reaming If the medullary canal is narrow, it may be necessary to enlarge it by reaming to allow the insertion of a larger diameter nail with sufficient strength. Femoral shaft fractures are a common orthopedic injury occurring in. Reaming also increases the area of. Ream close to endosteal cortex, which has strongest cancellous bone; Table 1 shows the frequency distribution of. What Is Femoral Reaming.
From musculoskeletalkey.com
Uncemented Tapered Femoral Components Musculoskeletal Key What Is Femoral Reaming Ream close to endosteal cortex, which has strongest cancellous bone; Table 1 shows the frequency distribution of age and sex of. Femoral shaft fractures are a common orthopedic injury occurring in. Reaming results in elevated temperature and pressure within the intramedullary cavity, which may adversely affect bone healing. 60 patients with femoral shaft fractures were examined. Reaming also increases the. What Is Femoral Reaming.
From www.pinterest.co.uk
Pin on Illustration Medical What Is Femoral Reaming 60 patients with femoral shaft fractures were examined. If the medullary canal is narrow, it may be necessary to enlarge it by reaming to allow the insertion of a larger diameter nail with sufficient strength. Ream close to endosteal cortex, which has strongest cancellous bone; Femoral shaft fractures are a common orthopedic injury occurring in. Reaming results in elevated temperature. What Is Femoral Reaming.