Combination Case In Dentistry . This article presents a successful implant treatment of the partially edentulous maxilla in cs patient. The aim of this article was to. The treatment method described involves using a fixed mandibular prosthesis over implants that. Combination syndrome (cs) can occur when a maxillary complete denture opposes a mandibular distal extension removable partial. The author proposes a new. This article presents a successful implant treatment of the partially edentulous maxilla in cs patient. Figure 1 demonstrates the 10 most common cs symptoms and their interrelationships. This article reviews one such problem known as combination syndrome. Although combination syndrome is recognized by many clinicians, documented observations seem to be rare. Two symptoms that are consistently present and distinguish cs cases from all other dental conditions are resorption of anterior maxilla and posterior open bite (loss of posterior occlusion). The aim of this report is to analyze the clinical symptoms, ethologic factors, and.
from www.walmart.com
Although combination syndrome is recognized by many clinicians, documented observations seem to be rare. The treatment method described involves using a fixed mandibular prosthesis over implants that. The aim of this article was to. This article presents a successful implant treatment of the partially edentulous maxilla in cs patient. The aim of this report is to analyze the clinical symptoms, ethologic factors, and. Figure 1 demonstrates the 10 most common cs symptoms and their interrelationships. Two symptoms that are consistently present and distinguish cs cases from all other dental conditions are resorption of anterior maxilla and posterior open bite (loss of posterior occlusion). This article reviews one such problem known as combination syndrome. The author proposes a new. This article presents a successful implant treatment of the partially edentulous maxilla in cs patient.
Dentistry A CaseBased Approach (Hardcover)
Combination Case In Dentistry This article presents a successful implant treatment of the partially edentulous maxilla in cs patient. The aim of this article was to. Although combination syndrome is recognized by many clinicians, documented observations seem to be rare. This article presents a successful implant treatment of the partially edentulous maxilla in cs patient. This article reviews one such problem known as combination syndrome. Two symptoms that are consistently present and distinguish cs cases from all other dental conditions are resorption of anterior maxilla and posterior open bite (loss of posterior occlusion). The author proposes a new. The aim of this report is to analyze the clinical symptoms, ethologic factors, and. Combination syndrome (cs) can occur when a maxillary complete denture opposes a mandibular distal extension removable partial. Figure 1 demonstrates the 10 most common cs symptoms and their interrelationships. The treatment method described involves using a fixed mandibular prosthesis over implants that. This article presents a successful implant treatment of the partially edentulous maxilla in cs patient.
From www.mdpi.com
Dentistry Journal Free FullText Resin Composites in Posterior Combination Case In Dentistry Figure 1 demonstrates the 10 most common cs symptoms and their interrelationships. The aim of this article was to. The aim of this report is to analyze the clinical symptoms, ethologic factors, and. This article reviews one such problem known as combination syndrome. This article presents a successful implant treatment of the partially edentulous maxilla in cs patient. Although combination. Combination Case In Dentistry.
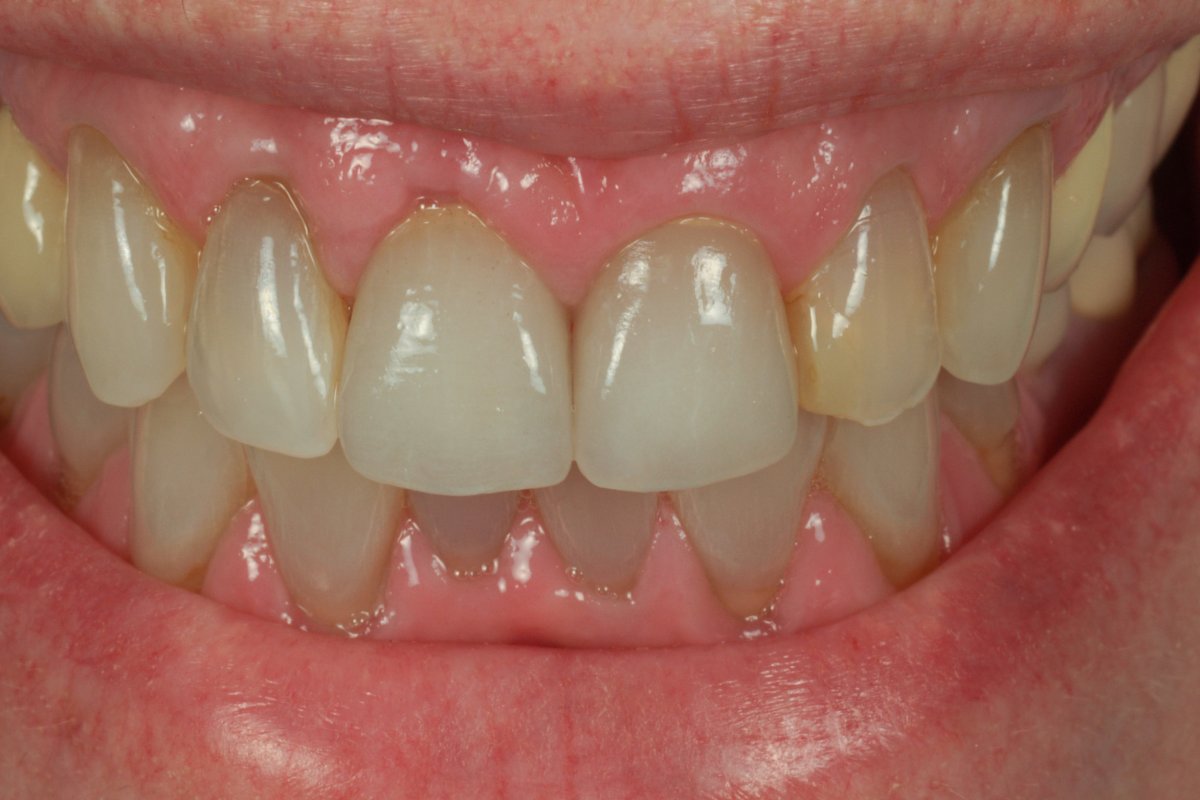
From nycomprehensivedentistry.com
Cosmetic Dentistry Case 1 New York Comprehensive Dentistry Combination Case In Dentistry Figure 1 demonstrates the 10 most common cs symptoms and their interrelationships. This article reviews one such problem known as combination syndrome. Two symptoms that are consistently present and distinguish cs cases from all other dental conditions are resorption of anterior maxilla and posterior open bite (loss of posterior occlusion). Combination syndrome (cs) can occur when a maxillary complete denture. Combination Case In Dentistry.
From bazaar.shopclues.com
Buy Dentosmile Slim Aligner Case/Aligner and Retainer Case/Dental Combination Case In Dentistry The aim of this article was to. This article presents a successful implant treatment of the partially edentulous maxilla in cs patient. The treatment method described involves using a fixed mandibular prosthesis over implants that. Two symptoms that are consistently present and distinguish cs cases from all other dental conditions are resorption of anterior maxilla and posterior open bite (loss. Combination Case In Dentistry.
From www.bangkokdentalimplant.com
Dental Implant Cases at Dental Implant Clinic Combination Case In Dentistry Two symptoms that are consistently present and distinguish cs cases from all other dental conditions are resorption of anterior maxilla and posterior open bite (loss of posterior occlusion). The aim of this report is to analyze the clinical symptoms, ethologic factors, and. The author proposes a new. Figure 1 demonstrates the 10 most common cs symptoms and their interrelationships. This. Combination Case In Dentistry.
From www.youtube.com
Completing a 28Unit All Ceramic Case Dental Lab Learning YouTube Combination Case In Dentistry The author proposes a new. This article presents a successful implant treatment of the partially edentulous maxilla in cs patient. Although combination syndrome is recognized by many clinicians, documented observations seem to be rare. Two symptoms that are consistently present and distinguish cs cases from all other dental conditions are resorption of anterior maxilla and posterior open bite (loss of. Combination Case In Dentistry.
From www.dentistryiq.com
Choosing a combination of dental implants and drilling procedures that Combination Case In Dentistry Although combination syndrome is recognized by many clinicians, documented observations seem to be rare. Figure 1 demonstrates the 10 most common cs symptoms and their interrelationships. This article presents a successful implant treatment of the partially edentulous maxilla in cs patient. The aim of this report is to analyze the clinical symptoms, ethologic factors, and. This article reviews one such. Combination Case In Dentistry.
From www.justdentalcare.com.au
Dental cases Combination Case In Dentistry This article reviews one such problem known as combination syndrome. Figure 1 demonstrates the 10 most common cs symptoms and their interrelationships. Two symptoms that are consistently present and distinguish cs cases from all other dental conditions are resorption of anterior maxilla and posterior open bite (loss of posterior occlusion). This article presents a successful implant treatment of the partially. Combination Case In Dentistry.
From www.drantipov.com
Allon4 and TeethinaDay™ Technique Dental Implants Dr. Antipov Combination Case In Dentistry Combination syndrome (cs) can occur when a maxillary complete denture opposes a mandibular distal extension removable partial. Two symptoms that are consistently present and distinguish cs cases from all other dental conditions are resorption of anterior maxilla and posterior open bite (loss of posterior occlusion). This article presents a successful implant treatment of the partially edentulous maxilla in cs patient.. Combination Case In Dentistry.
From www.mdpi.com
Dentistry Journal Free FullText Combination Therapy for Combination Case In Dentistry Combination syndrome (cs) can occur when a maxillary complete denture opposes a mandibular distal extension removable partial. This article presents a successful implant treatment of the partially edentulous maxilla in cs patient. This article reviews one such problem known as combination syndrome. The aim of this article was to. Figure 1 demonstrates the 10 most common cs symptoms and their. Combination Case In Dentistry.
From www.practicon.com
3/4 Deep Dental Cases 12/Dozen Practicon Dental Supplies Combination Case In Dentistry This article presents a successful implant treatment of the partially edentulous maxilla in cs patient. Figure 1 demonstrates the 10 most common cs symptoms and their interrelationships. This article presents a successful implant treatment of the partially edentulous maxilla in cs patient. The aim of this article was to. The aim of this report is to analyze the clinical symptoms,. Combination Case In Dentistry.
From www.youtube.com
clinical cases of dentistry 1 YouTube Combination Case In Dentistry This article presents a successful implant treatment of the partially edentulous maxilla in cs patient. Although combination syndrome is recognized by many clinicians, documented observations seem to be rare. Combination syndrome (cs) can occur when a maxillary complete denture opposes a mandibular distal extension removable partial. This article reviews one such problem known as combination syndrome. The author proposes a. Combination Case In Dentistry.
From www.walmart.com
Dentistry A CaseBased Approach (Hardcover) Combination Case In Dentistry This article presents a successful implant treatment of the partially edentulous maxilla in cs patient. Although combination syndrome is recognized by many clinicians, documented observations seem to be rare. This article reviews one such problem known as combination syndrome. Combination syndrome (cs) can occur when a maxillary complete denture opposes a mandibular distal extension removable partial. Figure 1 demonstrates the. Combination Case In Dentistry.
From firstbite.com.au
Cosmetic Dentistry Case Studies FirstBite Melbourne Cosmetic Dentist Combination Case In Dentistry The aim of this report is to analyze the clinical symptoms, ethologic factors, and. This article reviews one such problem known as combination syndrome. The treatment method described involves using a fixed mandibular prosthesis over implants that. Combination syndrome (cs) can occur when a maxillary complete denture opposes a mandibular distal extension removable partial. Two symptoms that are consistently present. Combination Case In Dentistry.
From www.inhousedentalstudio.com
Case 6, Combination Case of Natural Tooth and Implant InHouse Dental Combination Case In Dentistry Two symptoms that are consistently present and distinguish cs cases from all other dental conditions are resorption of anterior maxilla and posterior open bite (loss of posterior occlusion). The aim of this report is to analyze the clinical symptoms, ethologic factors, and. This article presents a successful implant treatment of the partially edentulous maxilla in cs patient. The author proposes. Combination Case In Dentistry.
From www.youtube.com
Combination Syndrome in Prosthodontics (NEET, BDS, MDS) YouTube Combination Case In Dentistry Combination syndrome (cs) can occur when a maxillary complete denture opposes a mandibular distal extension removable partial. The aim of this article was to. The author proposes a new. This article reviews one such problem known as combination syndrome. Although combination syndrome is recognized by many clinicians, documented observations seem to be rare. This article presents a successful implant treatment. Combination Case In Dentistry.
From www.dentistrytoday.com
Dentures and the Practical Application of Digital Technology Combination Case In Dentistry The treatment method described involves using a fixed mandibular prosthesis over implants that. The aim of this article was to. This article presents a successful implant treatment of the partially edentulous maxilla in cs patient. The author proposes a new. This article reviews one such problem known as combination syndrome. Figure 1 demonstrates the 10 most common cs symptoms and. Combination Case In Dentistry.
From www.researchgate.net
(PDF) Prosthodontic management of combination syndrome case with metal Combination Case In Dentistry Two symptoms that are consistently present and distinguish cs cases from all other dental conditions are resorption of anterior maxilla and posterior open bite (loss of posterior occlusion). This article presents a successful implant treatment of the partially edentulous maxilla in cs patient. The author proposes a new. This article reviews one such problem known as combination syndrome. The aim. Combination Case In Dentistry.
From www.diytrade.com
Dental Combination Work 3.1 Sunflower Dental (China Manufacturer Combination Case In Dentistry This article presents a successful implant treatment of the partially edentulous maxilla in cs patient. The aim of this report is to analyze the clinical symptoms, ethologic factors, and. This article reviews one such problem known as combination syndrome. Two symptoms that are consistently present and distinguish cs cases from all other dental conditions are resorption of anterior maxilla and. Combination Case In Dentistry.
From www.4medicals.com
Clinical Cases in Pediatric Dentistry.pdf 4medicals Combination Case In Dentistry The author proposes a new. This article presents a successful implant treatment of the partially edentulous maxilla in cs patient. The aim of this article was to. Two symptoms that are consistently present and distinguish cs cases from all other dental conditions are resorption of anterior maxilla and posterior open bite (loss of posterior occlusion). The treatment method described involves. Combination Case In Dentistry.
From www.ismilespecialists.com
Complex Orthodontic Cases iSmile Specialists Combination Case In Dentistry Although combination syndrome is recognized by many clinicians, documented observations seem to be rare. Combination syndrome (cs) can occur when a maxillary complete denture opposes a mandibular distal extension removable partial. This article presents a successful implant treatment of the partially edentulous maxilla in cs patient. The author proposes a new. Figure 1 demonstrates the 10 most common cs symptoms. Combination Case In Dentistry.
From www.semanticscholar.org
Figure 2 from Prosthodontic Treatment of a Patient with Combination Combination Case In Dentistry Although combination syndrome is recognized by many clinicians, documented observations seem to be rare. Figure 1 demonstrates the 10 most common cs symptoms and their interrelationships. The author proposes a new. Combination syndrome (cs) can occur when a maxillary complete denture opposes a mandibular distal extension removable partial. This article presents a successful implant treatment of the partially edentulous maxilla. Combination Case In Dentistry.
From dental.downloadmedicalbook.com
WileyBlackwell’s “Clinical Cases” series Dental Books Combination Case In Dentistry This article reviews one such problem known as combination syndrome. The aim of this report is to analyze the clinical symptoms, ethologic factors, and. The author proposes a new. The aim of this article was to. Combination syndrome (cs) can occur when a maxillary complete denture opposes a mandibular distal extension removable partial. This article presents a successful implant treatment. Combination Case In Dentistry.
From nycomprehensivedentistry.com
Cosmetic Dentistry Case 5 New York Comprehensive Dentistry Combination Case In Dentistry Two symptoms that are consistently present and distinguish cs cases from all other dental conditions are resorption of anterior maxilla and posterior open bite (loss of posterior occlusion). This article reviews one such problem known as combination syndrome. The author proposes a new. The treatment method described involves using a fixed mandibular prosthesis over implants that. The aim of this. Combination Case In Dentistry.
From www.slideserve.com
PPT Comprehensive dental case PowerPoint Presentation, free download Combination Case In Dentistry The aim of this article was to. The aim of this report is to analyze the clinical symptoms, ethologic factors, and. This article reviews one such problem known as combination syndrome. Two symptoms that are consistently present and distinguish cs cases from all other dental conditions are resorption of anterior maxilla and posterior open bite (loss of posterior occlusion). The. Combination Case In Dentistry.
From www.kstreetdcdentist.com
Washington, DC DC Dentist, Washington, DC Family Dentist, Dentist 20006 Combination Case In Dentistry This article presents a successful implant treatment of the partially edentulous maxilla in cs patient. The aim of this article was to. The author proposes a new. Combination syndrome (cs) can occur when a maxillary complete denture opposes a mandibular distal extension removable partial. This article presents a successful implant treatment of the partially edentulous maxilla in cs patient. This. Combination Case In Dentistry.
From www.pinterest.com
Pin on Austin Artistic Dental Combination Case In Dentistry The author proposes a new. This article reviews one such problem known as combination syndrome. Combination syndrome (cs) can occur when a maxillary complete denture opposes a mandibular distal extension removable partial. The aim of this report is to analyze the clinical symptoms, ethologic factors, and. This article presents a successful implant treatment of the partially edentulous maxilla in cs. Combination Case In Dentistry.
From dentistry.co.uk
Engage with your patients and increase case acceptance Dentistry Combination Case In Dentistry The aim of this article was to. Combination syndrome (cs) can occur when a maxillary complete denture opposes a mandibular distal extension removable partial. Figure 1 demonstrates the 10 most common cs symptoms and their interrelationships. This article presents a successful implant treatment of the partially edentulous maxilla in cs patient. The author proposes a new. This article reviews one. Combination Case In Dentistry.
From www.linkedin.com
Five Tips for Plastic SurgeryCosmetic Dentistry Combo Cases Combination Case In Dentistry Figure 1 demonstrates the 10 most common cs symptoms and their interrelationships. The aim of this article was to. The aim of this report is to analyze the clinical symptoms, ethologic factors, and. Combination syndrome (cs) can occur when a maxillary complete denture opposes a mandibular distal extension removable partial. This article presents a successful implant treatment of the partially. Combination Case In Dentistry.
From nycomprehensivedentistry.com
Cosmetic Dentistry Case 1 New York Comprehensive Dentistry Combination Case In Dentistry This article presents a successful implant treatment of the partially edentulous maxilla in cs patient. The treatment method described involves using a fixed mandibular prosthesis over implants that. This article presents a successful implant treatment of the partially edentulous maxilla in cs patient. Although combination syndrome is recognized by many clinicians, documented observations seem to be rare. Figure 1 demonstrates. Combination Case In Dentistry.
From www.youtube.com
Flexible Partial Denture, a close look at a combination flexible Combination Case In Dentistry Combination syndrome (cs) can occur when a maxillary complete denture opposes a mandibular distal extension removable partial. This article presents a successful implant treatment of the partially edentulous maxilla in cs patient. The treatment method described involves using a fixed mandibular prosthesis over implants that. This article presents a successful implant treatment of the partially edentulous maxilla in cs patient.. Combination Case In Dentistry.
From litres.com
Clinical Cases in Implant Dentistry read online at LitRes Combination Case In Dentistry Combination syndrome (cs) can occur when a maxillary complete denture opposes a mandibular distal extension removable partial. The aim of this report is to analyze the clinical symptoms, ethologic factors, and. The treatment method described involves using a fixed mandibular prosthesis over implants that. This article reviews one such problem known as combination syndrome. The author proposes a new. This. Combination Case In Dentistry.
From www.slideshare.net
^^[download p.d.f]^^ Clinical Cases in Pediatric Dentistry 1st Edit… Combination Case In Dentistry This article presents a successful implant treatment of the partially edentulous maxilla in cs patient. The aim of this report is to analyze the clinical symptoms, ethologic factors, and. This article reviews one such problem known as combination syndrome. This article presents a successful implant treatment of the partially edentulous maxilla in cs patient. Combination syndrome (cs) can occur when. Combination Case In Dentistry.
From www.inhousedentalstudio.com
Case 1, Teeth 8 and 9, e.max Laminate and e.max Implant Crown Combination Case In Dentistry This article presents a successful implant treatment of the partially edentulous maxilla in cs patient. This article reviews one such problem known as combination syndrome. This article presents a successful implant treatment of the partially edentulous maxilla in cs patient. The treatment method described involves using a fixed mandibular prosthesis over implants that. Although combination syndrome is recognized by many. Combination Case In Dentistry.
From dickermandental.com
Dickerman Dental Prosthetics Combination Cases Dickerman Dental Combination Case In Dentistry This article presents a successful implant treatment of the partially edentulous maxilla in cs patient. This article reviews one such problem known as combination syndrome. Combination syndrome (cs) can occur when a maxillary complete denture opposes a mandibular distal extension removable partial. The aim of this report is to analyze the clinical symptoms, ethologic factors, and. The treatment method described. Combination Case In Dentistry.
From www.mdpi.com
Dentistry Journal Free FullText Ridge Preservation with Modified Combination Case In Dentistry This article reviews one such problem known as combination syndrome. The aim of this report is to analyze the clinical symptoms, ethologic factors, and. The treatment method described involves using a fixed mandibular prosthesis over implants that. This article presents a successful implant treatment of the partially edentulous maxilla in cs patient. Although combination syndrome is recognized by many clinicians,. Combination Case In Dentistry.