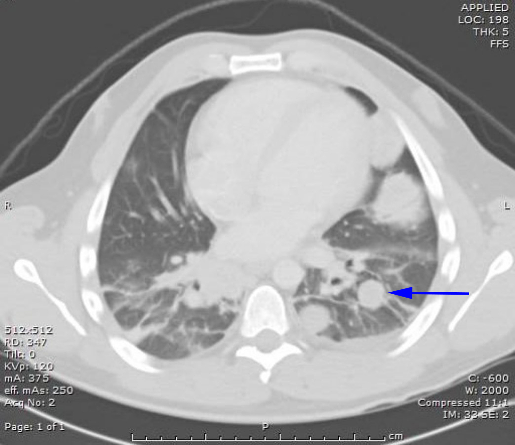
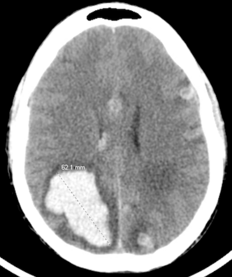
Testicular Cancer Brain Metastases . Testicular cancer with neurological symptoms indicates brain metastases. Our study evaluated the incidence, imaging characteristics, and prognosis of brain metastases originating from primary. There is no clear consensus on treatment due to the rarity of the condition and the lack of data. Common treatments for brain metastases from testicular primary cancers include surgical resection, whole brain radiation (wbrt), stereotactic radiosurgery (srs), or combinations of these methods. Vol 397 february 27, 2021. We found that brain tumors from testicular cancer are very rare, found in just 0.4% of the patients we studied. Testicular cancer with neurological symptoms indicates brain metastases.
from www.cureus.com
Testicular cancer with neurological symptoms indicates brain metastases. We found that brain tumors from testicular cancer are very rare, found in just 0.4% of the patients we studied. Common treatments for brain metastases from testicular primary cancers include surgical resection, whole brain radiation (wbrt), stereotactic radiosurgery (srs), or combinations of these methods. There is no clear consensus on treatment due to the rarity of the condition and the lack of data. Testicular cancer with neurological symptoms indicates brain metastases. Vol 397 february 27, 2021. Our study evaluated the incidence, imaging characteristics, and prognosis of brain metastases originating from primary.
Cureus Pure Testicular Choriocarcinoma with Dermatological, Brain
Testicular Cancer Brain Metastases We found that brain tumors from testicular cancer are very rare, found in just 0.4% of the patients we studied. Common treatments for brain metastases from testicular primary cancers include surgical resection, whole brain radiation (wbrt), stereotactic radiosurgery (srs), or combinations of these methods. Testicular cancer with neurological symptoms indicates brain metastases. Testicular cancer with neurological symptoms indicates brain metastases. Vol 397 february 27, 2021. Our study evaluated the incidence, imaging characteristics, and prognosis of brain metastases originating from primary. We found that brain tumors from testicular cancer are very rare, found in just 0.4% of the patients we studied. There is no clear consensus on treatment due to the rarity of the condition and the lack of data.
From www.researchgate.net
(PDF) Imaging features of brain metastases from testicular cancer Testicular Cancer Brain Metastases Testicular cancer with neurological symptoms indicates brain metastases. Vol 397 february 27, 2021. We found that brain tumors from testicular cancer are very rare, found in just 0.4% of the patients we studied. Testicular cancer with neurological symptoms indicates brain metastases. Our study evaluated the incidence, imaging characteristics, and prognosis of brain metastases originating from primary. Common treatments for brain. Testicular Cancer Brain Metastases.
From bmcresnotes.biomedcentral.com
Metastasectomy as optimal treatment for late relapsing solitary brain Testicular Cancer Brain Metastases Testicular cancer with neurological symptoms indicates brain metastases. Vol 397 february 27, 2021. Testicular cancer with neurological symptoms indicates brain metastases. Common treatments for brain metastases from testicular primary cancers include surgical resection, whole brain radiation (wbrt), stereotactic radiosurgery (srs), or combinations of these methods. Our study evaluated the incidence, imaging characteristics, and prognosis of brain metastases originating from primary.. Testicular Cancer Brain Metastases.
From www.researchgate.net
(PDF) Testicular nonseminomatous germ cell tumors (NSGCT) and brain Testicular Cancer Brain Metastases Our study evaluated the incidence, imaging characteristics, and prognosis of brain metastases originating from primary. There is no clear consensus on treatment due to the rarity of the condition and the lack of data. Vol 397 february 27, 2021. Testicular cancer with neurological symptoms indicates brain metastases. We found that brain tumors from testicular cancer are very rare, found in. Testicular Cancer Brain Metastases.
From www.scribd.com
Brain Metastases From Testicular Tumors PDF Brain Tumor Metastasis Testicular Cancer Brain Metastases Testicular cancer with neurological symptoms indicates brain metastases. Common treatments for brain metastases from testicular primary cancers include surgical resection, whole brain radiation (wbrt), stereotactic radiosurgery (srs), or combinations of these methods. We found that brain tumors from testicular cancer are very rare, found in just 0.4% of the patients we studied. Testicular cancer with neurological symptoms indicates brain metastases.. Testicular Cancer Brain Metastases.
From www.mayoclinic.org
Brain metastases Symptoms and causes Mayo Clinic Testicular Cancer Brain Metastases There is no clear consensus on treatment due to the rarity of the condition and the lack of data. Vol 397 february 27, 2021. Testicular cancer with neurological symptoms indicates brain metastases. Common treatments for brain metastases from testicular primary cancers include surgical resection, whole brain radiation (wbrt), stereotactic radiosurgery (srs), or combinations of these methods. Our study evaluated the. Testicular Cancer Brain Metastases.
From radiopaedia.org
Cerebral metastases testicular choriocarcinoma Image Testicular Cancer Brain Metastases There is no clear consensus on treatment due to the rarity of the condition and the lack of data. Testicular cancer with neurological symptoms indicates brain metastases. Vol 397 february 27, 2021. Testicular cancer with neurological symptoms indicates brain metastases. Common treatments for brain metastases from testicular primary cancers include surgical resection, whole brain radiation (wbrt), stereotactic radiosurgery (srs), or. Testicular Cancer Brain Metastases.
From www.mdpi.com
Cancers Free FullText SiteSpecific Metastasis and Survival in Testicular Cancer Brain Metastases Testicular cancer with neurological symptoms indicates brain metastases. Common treatments for brain metastases from testicular primary cancers include surgical resection, whole brain radiation (wbrt), stereotactic radiosurgery (srs), or combinations of these methods. There is no clear consensus on treatment due to the rarity of the condition and the lack of data. Testicular cancer with neurological symptoms indicates brain metastases. Our. Testicular Cancer Brain Metastases.
From www.cureus.com
Cureus Brain Metastases as Presenting Feature in 'Burned Out Testicular Cancer Brain Metastases Our study evaluated the incidence, imaging characteristics, and prognosis of brain metastases originating from primary. Testicular cancer with neurological symptoms indicates brain metastases. We found that brain tumors from testicular cancer are very rare, found in just 0.4% of the patients we studied. Common treatments for brain metastases from testicular primary cancers include surgical resection, whole brain radiation (wbrt), stereotactic. Testicular Cancer Brain Metastases.
From www.researchgate.net
Imaging identifying the primary tumor and the brain metastasis, as well Testicular Cancer Brain Metastases Testicular cancer with neurological symptoms indicates brain metastases. Common treatments for brain metastases from testicular primary cancers include surgical resection, whole brain radiation (wbrt), stereotactic radiosurgery (srs), or combinations of these methods. Vol 397 february 27, 2021. We found that brain tumors from testicular cancer are very rare, found in just 0.4% of the patients we studied. Our study evaluated. Testicular Cancer Brain Metastases.
From onco.com
Risk Factor & Causes Of Testicular Cancer Testicular Cancer Brain Metastases Vol 397 february 27, 2021. Testicular cancer with neurological symptoms indicates brain metastases. Our study evaluated the incidence, imaging characteristics, and prognosis of brain metastases originating from primary. Common treatments for brain metastases from testicular primary cancers include surgical resection, whole brain radiation (wbrt), stereotactic radiosurgery (srs), or combinations of these methods. There is no clear consensus on treatment due. Testicular Cancer Brain Metastases.
From www.aafp.org
Testicular Cancer Diagnosis and Treatment AAFP Testicular Cancer Brain Metastases There is no clear consensus on treatment due to the rarity of the condition and the lack of data. We found that brain tumors from testicular cancer are very rare, found in just 0.4% of the patients we studied. Testicular cancer with neurological symptoms indicates brain metastases. Our study evaluated the incidence, imaging characteristics, and prognosis of brain metastases originating. Testicular Cancer Brain Metastases.
From ar.iiarjournals.org
Overall Survival After WholeBrain Radiation Therapy for Intracerebral Testicular Cancer Brain Metastases Testicular cancer with neurological symptoms indicates brain metastases. Testicular cancer with neurological symptoms indicates brain metastases. There is no clear consensus on treatment due to the rarity of the condition and the lack of data. We found that brain tumors from testicular cancer are very rare, found in just 0.4% of the patients we studied. Our study evaluated the incidence,. Testicular Cancer Brain Metastases.
From www.vectorstock.com
Testicular cancer infographic with explanation Vector Image Testicular Cancer Brain Metastases Vol 397 february 27, 2021. We found that brain tumors from testicular cancer are very rare, found in just 0.4% of the patients we studied. There is no clear consensus on treatment due to the rarity of the condition and the lack of data. Testicular cancer with neurological symptoms indicates brain metastases. Common treatments for brain metastases from testicular primary. Testicular Cancer Brain Metastases.
From www.frontiersin.org
Frontiers SingleCell RNA Sequencing of Metastatic Testicular Testicular Cancer Brain Metastases Our study evaluated the incidence, imaging characteristics, and prognosis of brain metastases originating from primary. Testicular cancer with neurological symptoms indicates brain metastases. There is no clear consensus on treatment due to the rarity of the condition and the lack of data. Common treatments for brain metastases from testicular primary cancers include surgical resection, whole brain radiation (wbrt), stereotactic radiosurgery. Testicular Cancer Brain Metastases.
From www.cureus.com
Cureus Medical Literature Writing With ChatGPT A Rare Case of Testicular Cancer Brain Metastases There is no clear consensus on treatment due to the rarity of the condition and the lack of data. Our study evaluated the incidence, imaging characteristics, and prognosis of brain metastases originating from primary. We found that brain tumors from testicular cancer are very rare, found in just 0.4% of the patients we studied. Vol 397 february 27, 2021. Common. Testicular Cancer Brain Metastases.
From www.youtube.com
Understanding Testicular Cancer YouTube Testicular Cancer Brain Metastases Testicular cancer with neurological symptoms indicates brain metastases. Common treatments for brain metastases from testicular primary cancers include surgical resection, whole brain radiation (wbrt), stereotactic radiosurgery (srs), or combinations of these methods. We found that brain tumors from testicular cancer are very rare, found in just 0.4% of the patients we studied. Vol 397 february 27, 2021. Our study evaluated. Testicular Cancer Brain Metastases.
From www.renalandurologynews.com
Metastasis Site Affects Risk of Dying From Testicular Germ Cell Cancer Testicular Cancer Brain Metastases Testicular cancer with neurological symptoms indicates brain metastases. Common treatments for brain metastases from testicular primary cancers include surgical resection, whole brain radiation (wbrt), stereotactic radiosurgery (srs), or combinations of these methods. Testicular cancer with neurological symptoms indicates brain metastases. Vol 397 february 27, 2021. There is no clear consensus on treatment due to the rarity of the condition and. Testicular Cancer Brain Metastases.
From www.cancertodaymag.org
Treating Brain Metastases Cancer Today Testicular Cancer Brain Metastases Our study evaluated the incidence, imaging characteristics, and prognosis of brain metastases originating from primary. Testicular cancer with neurological symptoms indicates brain metastases. Common treatments for brain metastases from testicular primary cancers include surgical resection, whole brain radiation (wbrt), stereotactic radiosurgery (srs), or combinations of these methods. Testicular cancer with neurological symptoms indicates brain metastases. Vol 397 february 27, 2021.. Testicular Cancer Brain Metastases.
From www.brainlab.org
How Common Are Brain Metastases? Testicular Cancer Brain Metastases Testicular cancer with neurological symptoms indicates brain metastases. Vol 397 february 27, 2021. Testicular cancer with neurological symptoms indicates brain metastases. Our study evaluated the incidence, imaging characteristics, and prognosis of brain metastases originating from primary. There is no clear consensus on treatment due to the rarity of the condition and the lack of data. Common treatments for brain metastases. Testicular Cancer Brain Metastases.
From www.neurosurgicalatlas.com
Metastasis The Neurosurgical Atlas, by Aaron CohenGadol, M.D. Testicular Cancer Brain Metastases Testicular cancer with neurological symptoms indicates brain metastases. There is no clear consensus on treatment due to the rarity of the condition and the lack of data. Our study evaluated the incidence, imaging characteristics, and prognosis of brain metastases originating from primary. Vol 397 february 27, 2021. Testicular cancer with neurological symptoms indicates brain metastases. Common treatments for brain metastases. Testicular Cancer Brain Metastases.
From www.medicinekeys.com
Brain metastases Medicine Keys for MRCPs Testicular Cancer Brain Metastases We found that brain tumors from testicular cancer are very rare, found in just 0.4% of the patients we studied. Common treatments for brain metastases from testicular primary cancers include surgical resection, whole brain radiation (wbrt), stereotactic radiosurgery (srs), or combinations of these methods. Testicular cancer with neurological symptoms indicates brain metastases. Our study evaluated the incidence, imaging characteristics, and. Testicular Cancer Brain Metastases.
From www.svuhradiology.ie
Brain metastases Radiology at St. Vincent's University Hospital Testicular Cancer Brain Metastases Common treatments for brain metastases from testicular primary cancers include surgical resection, whole brain radiation (wbrt), stereotactic radiosurgery (srs), or combinations of these methods. There is no clear consensus on treatment due to the rarity of the condition and the lack of data. Testicular cancer with neurological symptoms indicates brain metastases. We found that brain tumors from testicular cancer are. Testicular Cancer Brain Metastases.
From www.cureus.com
Medical Literature Writing With ChatGPT A Rare Case of Choriocarcinoma Testicular Cancer Brain Metastases We found that brain tumors from testicular cancer are very rare, found in just 0.4% of the patients we studied. Common treatments for brain metastases from testicular primary cancers include surgical resection, whole brain radiation (wbrt), stereotactic radiosurgery (srs), or combinations of these methods. Vol 397 february 27, 2021. Testicular cancer with neurological symptoms indicates brain metastases. There is no. Testicular Cancer Brain Metastases.
From www.cureus.com
Cureus Pure Testicular Choriocarcinoma with Dermatological, Brain Testicular Cancer Brain Metastases We found that brain tumors from testicular cancer are very rare, found in just 0.4% of the patients we studied. Our study evaluated the incidence, imaging characteristics, and prognosis of brain metastases originating from primary. Common treatments for brain metastases from testicular primary cancers include surgical resection, whole brain radiation (wbrt), stereotactic radiosurgery (srs), or combinations of these methods. There. Testicular Cancer Brain Metastases.
From ar.iiarjournals.org
Overall Survival After WholeBrain Radiation Therapy for Intracerebral Testicular Cancer Brain Metastases There is no clear consensus on treatment due to the rarity of the condition and the lack of data. Vol 397 february 27, 2021. We found that brain tumors from testicular cancer are very rare, found in just 0.4% of the patients we studied. Testicular cancer with neurological symptoms indicates brain metastases. Testicular cancer with neurological symptoms indicates brain metastases.. Testicular Cancer Brain Metastases.
From bmcresnotes.biomedcentral.com
Metastasectomy as optimal treatment for late relapsing solitary brain Testicular Cancer Brain Metastases Our study evaluated the incidence, imaging characteristics, and prognosis of brain metastases originating from primary. Testicular cancer with neurological symptoms indicates brain metastases. Common treatments for brain metastases from testicular primary cancers include surgical resection, whole brain radiation (wbrt), stereotactic radiosurgery (srs), or combinations of these methods. Vol 397 february 27, 2021. We found that brain tumors from testicular cancer. Testicular Cancer Brain Metastases.
From www.spandidos-publications.com
Locoregional surgical treatment improves the prognosis in patients with Testicular Cancer Brain Metastases We found that brain tumors from testicular cancer are very rare, found in just 0.4% of the patients we studied. Our study evaluated the incidence, imaging characteristics, and prognosis of brain metastases originating from primary. Vol 397 february 27, 2021. Common treatments for brain metastases from testicular primary cancers include surgical resection, whole brain radiation (wbrt), stereotactic radiosurgery (srs), or. Testicular Cancer Brain Metastases.
From www.cureus.com
Cureus Pure Testicular Choriocarcinoma with Dermatological, Brain Testicular Cancer Brain Metastases We found that brain tumors from testicular cancer are very rare, found in just 0.4% of the patients we studied. There is no clear consensus on treatment due to the rarity of the condition and the lack of data. Vol 397 february 27, 2021. Testicular cancer with neurological symptoms indicates brain metastases. Testicular cancer with neurological symptoms indicates brain metastases.. Testicular Cancer Brain Metastases.
From www.researchgate.net
Brain CT of a young man with testicular germ cell tumor is showing Testicular Cancer Brain Metastases Common treatments for brain metastases from testicular primary cancers include surgical resection, whole brain radiation (wbrt), stereotactic radiosurgery (srs), or combinations of these methods. Testicular cancer with neurological symptoms indicates brain metastases. We found that brain tumors from testicular cancer are very rare, found in just 0.4% of the patients we studied. Testicular cancer with neurological symptoms indicates brain metastases.. Testicular Cancer Brain Metastases.
From www.rff.com
Testicular Cancer Staging Distant Metastasis (M) Testicular Cancer Brain Metastases There is no clear consensus on treatment due to the rarity of the condition and the lack of data. Our study evaluated the incidence, imaging characteristics, and prognosis of brain metastases originating from primary. Vol 397 february 27, 2021. Testicular cancer with neurological symptoms indicates brain metastases. Common treatments for brain metastases from testicular primary cancers include surgical resection, whole. Testicular Cancer Brain Metastases.
From www.cureus.com
Cureus Pure Testicular Choriocarcinoma with Dermatological, Brain Testicular Cancer Brain Metastases Our study evaluated the incidence, imaging characteristics, and prognosis of brain metastases originating from primary. Common treatments for brain metastases from testicular primary cancers include surgical resection, whole brain radiation (wbrt), stereotactic radiosurgery (srs), or combinations of these methods. Testicular cancer with neurological symptoms indicates brain metastases. Testicular cancer with neurological symptoms indicates brain metastases. Vol 397 february 27, 2021.. Testicular Cancer Brain Metastases.
From www.frontiersin.org
Frontiers TMEtargeted approaches of brain metastases and its Testicular Cancer Brain Metastases Testicular cancer with neurological symptoms indicates brain metastases. Our study evaluated the incidence, imaging characteristics, and prognosis of brain metastases originating from primary. There is no clear consensus on treatment due to the rarity of the condition and the lack of data. Common treatments for brain metastases from testicular primary cancers include surgical resection, whole brain radiation (wbrt), stereotactic radiosurgery. Testicular Cancer Brain Metastases.
From healthjade.net
Cancer metastasis causes, symptoms and metastasis survival rate Testicular Cancer Brain Metastases Vol 397 february 27, 2021. Our study evaluated the incidence, imaging characteristics, and prognosis of brain metastases originating from primary. We found that brain tumors from testicular cancer are very rare, found in just 0.4% of the patients we studied. Common treatments for brain metastases from testicular primary cancers include surgical resection, whole brain radiation (wbrt), stereotactic radiosurgery (srs), or. Testicular Cancer Brain Metastases.
From www.cureus.com
Cureus Brain Metastases as Presenting Feature in 'Burned Out Testicular Cancer Brain Metastases Testicular cancer with neurological symptoms indicates brain metastases. Common treatments for brain metastases from testicular primary cancers include surgical resection, whole brain radiation (wbrt), stereotactic radiosurgery (srs), or combinations of these methods. Our study evaluated the incidence, imaging characteristics, and prognosis of brain metastases originating from primary. We found that brain tumors from testicular cancer are very rare, found in. Testicular Cancer Brain Metastases.
From www.thelancet.com
Testicular cancer with neurological symptoms indicates brain metastases Testicular Cancer Brain Metastases Our study evaluated the incidence, imaging characteristics, and prognosis of brain metastases originating from primary. We found that brain tumors from testicular cancer are very rare, found in just 0.4% of the patients we studied. Vol 397 february 27, 2021. There is no clear consensus on treatment due to the rarity of the condition and the lack of data. Testicular. Testicular Cancer Brain Metastases.