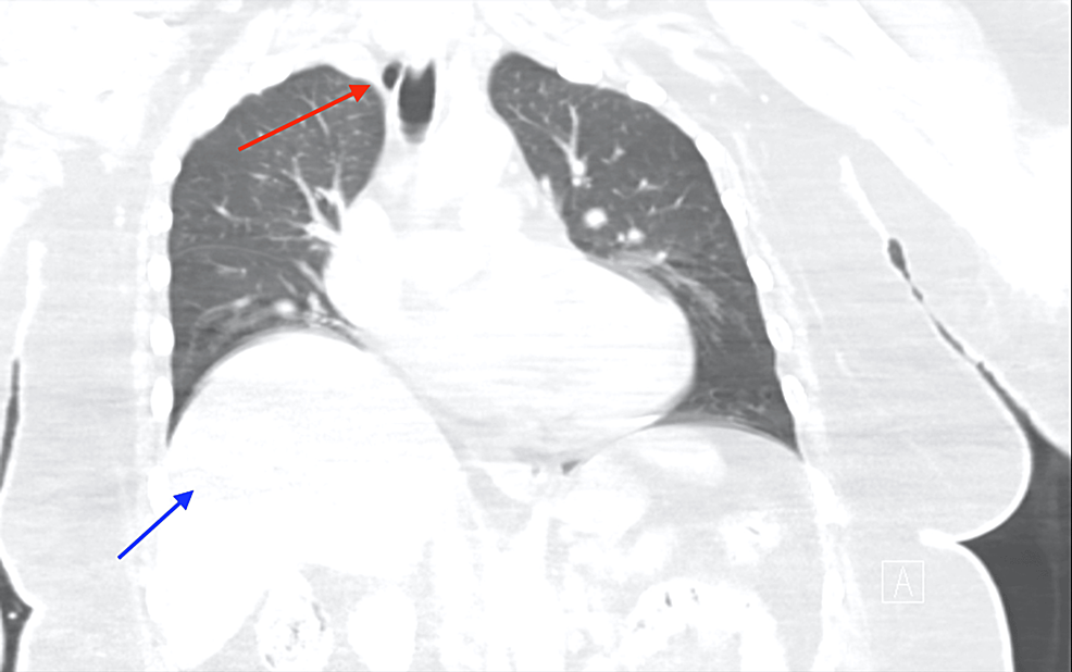
Differential Diagnosis Of Pneumomediastinum . The main symptom is usually severe central chest. Spontaneous pneumomediastinum results from the rupture of terminal alveoli with subsequent tracking of gas along the. Have lower threshold for additional testing. The most important aspect of care is often treating this underlying. Most cases are benign, but a minority of cases require additional testing and intervention. Pneumomediastinum often results from underlying lung disease (e.g., asthma, ards). The goals of this study were to assess the etiology of pneumomediastinum in a large cohort of trauma and nontrauma patients, identify factors predictive of esophageal and. Differential diagnosis the clinical features of pneumomediastinum mimic other diseases of the respiratory, cardiovascular, and. A rim of air consistent with a pneumomediastinum may be observed along the upper left border of the heart.
from casereports.bmj.com
Have lower threshold for additional testing. A rim of air consistent with a pneumomediastinum may be observed along the upper left border of the heart. Pneumomediastinum often results from underlying lung disease (e.g., asthma, ards). The goals of this study were to assess the etiology of pneumomediastinum in a large cohort of trauma and nontrauma patients, identify factors predictive of esophageal and. Spontaneous pneumomediastinum results from the rupture of terminal alveoli with subsequent tracking of gas along the. The most important aspect of care is often treating this underlying. Most cases are benign, but a minority of cases require additional testing and intervention. The main symptom is usually severe central chest. Differential diagnosis the clinical features of pneumomediastinum mimic other diseases of the respiratory, cardiovascular, and.
Pneumomediastinum and subcutaneous emphysema a rare cause of
Differential Diagnosis Of Pneumomediastinum Differential diagnosis the clinical features of pneumomediastinum mimic other diseases of the respiratory, cardiovascular, and. Most cases are benign, but a minority of cases require additional testing and intervention. The main symptom is usually severe central chest. The most important aspect of care is often treating this underlying. Spontaneous pneumomediastinum results from the rupture of terminal alveoli with subsequent tracking of gas along the. The goals of this study were to assess the etiology of pneumomediastinum in a large cohort of trauma and nontrauma patients, identify factors predictive of esophageal and. Pneumomediastinum often results from underlying lung disease (e.g., asthma, ards). Have lower threshold for additional testing. A rim of air consistent with a pneumomediastinum may be observed along the upper left border of the heart. Differential diagnosis the clinical features of pneumomediastinum mimic other diseases of the respiratory, cardiovascular, and.
From ddxof.com
Differential Diagnosis of Pneumomediastinum Differential Diagnosis Of Pneumomediastinum Pneumomediastinum often results from underlying lung disease (e.g., asthma, ards). The most important aspect of care is often treating this underlying. A rim of air consistent with a pneumomediastinum may be observed along the upper left border of the heart. The main symptom is usually severe central chest. Have lower threshold for additional testing. The goals of this study were. Differential Diagnosis Of Pneumomediastinum.
From europepmc.org
Pneumomediastinum in association with Covid19 A less commonly Differential Diagnosis Of Pneumomediastinum Pneumomediastinum often results from underlying lung disease (e.g., asthma, ards). A rim of air consistent with a pneumomediastinum may be observed along the upper left border of the heart. The goals of this study were to assess the etiology of pneumomediastinum in a large cohort of trauma and nontrauma patients, identify factors predictive of esophageal and. The most important aspect. Differential Diagnosis Of Pneumomediastinum.
From www.svuhradiology.ie
Pneumomediastinum CXR and CT Radiology at St. Vincent's University Differential Diagnosis Of Pneumomediastinum A rim of air consistent with a pneumomediastinum may be observed along the upper left border of the heart. The goals of this study were to assess the etiology of pneumomediastinum in a large cohort of trauma and nontrauma patients, identify factors predictive of esophageal and. Spontaneous pneumomediastinum results from the rupture of terminal alveoli with subsequent tracking of gas. Differential Diagnosis Of Pneumomediastinum.
From ddxof.com
Differential Diagnosis of Pneumomediastinum Differential Diagnosis Of Pneumomediastinum Most cases are benign, but a minority of cases require additional testing and intervention. The main symptom is usually severe central chest. Have lower threshold for additional testing. The most important aspect of care is often treating this underlying. Pneumomediastinum often results from underlying lung disease (e.g., asthma, ards). Differential diagnosis the clinical features of pneumomediastinum mimic other diseases of. Differential Diagnosis Of Pneumomediastinum.
From www.researchgate.net
Case 3 Pneumomediastinum, pneumopericardium, and subcutaneous Differential Diagnosis Of Pneumomediastinum Differential diagnosis the clinical features of pneumomediastinum mimic other diseases of the respiratory, cardiovascular, and. Most cases are benign, but a minority of cases require additional testing and intervention. The most important aspect of care is often treating this underlying. Pneumomediastinum often results from underlying lung disease (e.g., asthma, ards). A rim of air consistent with a pneumomediastinum may be. Differential Diagnosis Of Pneumomediastinum.
From www.semanticscholar.org
Figure 1 from Diagnosis and treatment of spontaneous pneumomediastinum Differential Diagnosis Of Pneumomediastinum Have lower threshold for additional testing. A rim of air consistent with a pneumomediastinum may be observed along the upper left border of the heart. Most cases are benign, but a minority of cases require additional testing and intervention. Differential diagnosis the clinical features of pneumomediastinum mimic other diseases of the respiratory, cardiovascular, and. The goals of this study were. Differential Diagnosis Of Pneumomediastinum.
From www.pulmonologyadvisor.com
Nonneoplastic Disorders of the Mediastinum Pneumomediastinum Differential Diagnosis Of Pneumomediastinum Pneumomediastinum often results from underlying lung disease (e.g., asthma, ards). The most important aspect of care is often treating this underlying. A rim of air consistent with a pneumomediastinum may be observed along the upper left border of the heart. Differential diagnosis the clinical features of pneumomediastinum mimic other diseases of the respiratory, cardiovascular, and. Most cases are benign, but. Differential Diagnosis Of Pneumomediastinum.
From empendium.com
Pneumomediastinum Mediastinal Diseases Respirology Diseases Differential Diagnosis Of Pneumomediastinum The most important aspect of care is often treating this underlying. A rim of air consistent with a pneumomediastinum may be observed along the upper left border of the heart. Differential diagnosis the clinical features of pneumomediastinum mimic other diseases of the respiratory, cardiovascular, and. Spontaneous pneumomediastinum results from the rupture of terminal alveoli with subsequent tracking of gas along. Differential Diagnosis Of Pneumomediastinum.
From www.researchgate.net
CT scan of chest showing pneumomediastinum, pneumopericardium and Differential Diagnosis Of Pneumomediastinum Have lower threshold for additional testing. Spontaneous pneumomediastinum results from the rupture of terminal alveoli with subsequent tracking of gas along the. The main symptom is usually severe central chest. The most important aspect of care is often treating this underlying. Pneumomediastinum often results from underlying lung disease (e.g., asthma, ards). Differential diagnosis the clinical features of pneumomediastinum mimic other. Differential Diagnosis Of Pneumomediastinum.
From casereports.bmj.com
Broadening the differential pneumomediastinum and COVID19 infection Differential Diagnosis Of Pneumomediastinum Have lower threshold for additional testing. The main symptom is usually severe central chest. The most important aspect of care is often treating this underlying. A rim of air consistent with a pneumomediastinum may be observed along the upper left border of the heart. Differential diagnosis the clinical features of pneumomediastinum mimic other diseases of the respiratory, cardiovascular, and. The. Differential Diagnosis Of Pneumomediastinum.
From www.cmaj.ca
Postpartum pneumomediastinum (Hamman's syndrome) CMAJ Differential Diagnosis Of Pneumomediastinum The most important aspect of care is often treating this underlying. Differential diagnosis the clinical features of pneumomediastinum mimic other diseases of the respiratory, cardiovascular, and. Spontaneous pneumomediastinum results from the rupture of terminal alveoli with subsequent tracking of gas along the. The goals of this study were to assess the etiology of pneumomediastinum in a large cohort of trauma. Differential Diagnosis Of Pneumomediastinum.
From europepmc.org
Pneumomediastinum in association with Covid19 A less commonly Differential Diagnosis Of Pneumomediastinum The main symptom is usually severe central chest. The goals of this study were to assess the etiology of pneumomediastinum in a large cohort of trauma and nontrauma patients, identify factors predictive of esophageal and. Spontaneous pneumomediastinum results from the rupture of terminal alveoli with subsequent tracking of gas along the. The most important aspect of care is often treating. Differential Diagnosis Of Pneumomediastinum.
From www.researchgate.net
Pneumomediastinum case examples. A, Patient 5 with pneumomediastinum Differential Diagnosis Of Pneumomediastinum The most important aspect of care is often treating this underlying. Most cases are benign, but a minority of cases require additional testing and intervention. Have lower threshold for additional testing. A rim of air consistent with a pneumomediastinum may be observed along the upper left border of the heart. The goals of this study were to assess the etiology. Differential Diagnosis Of Pneumomediastinum.
From casereports.bmj.com
Pneumomediastinum and subcutaneous emphysema a rare cause of Differential Diagnosis Of Pneumomediastinum The most important aspect of care is often treating this underlying. Differential diagnosis the clinical features of pneumomediastinum mimic other diseases of the respiratory, cardiovascular, and. Have lower threshold for additional testing. Most cases are benign, but a minority of cases require additional testing and intervention. The main symptom is usually severe central chest. Spontaneous pneumomediastinum results from the rupture. Differential Diagnosis Of Pneumomediastinum.
From www.researchgate.net
(PDF) Image Diagnosis Pneumomediastinum Differential Diagnosis Of Pneumomediastinum Most cases are benign, but a minority of cases require additional testing and intervention. Differential diagnosis the clinical features of pneumomediastinum mimic other diseases of the respiratory, cardiovascular, and. The main symptom is usually severe central chest. Spontaneous pneumomediastinum results from the rupture of terminal alveoli with subsequent tracking of gas along the. Pneumomediastinum often results from underlying lung disease. Differential Diagnosis Of Pneumomediastinum.
From casereports.bmj.com
Spontaneous pneumomediastinum (Hamman's syndrome) a rare cause of Differential Diagnosis Of Pneumomediastinum The main symptom is usually severe central chest. The goals of this study were to assess the etiology of pneumomediastinum in a large cohort of trauma and nontrauma patients, identify factors predictive of esophageal and. Pneumomediastinum often results from underlying lung disease (e.g., asthma, ards). A rim of air consistent with a pneumomediastinum may be observed along the upper left. Differential Diagnosis Of Pneumomediastinum.
From casereports.bmj.com
Broadening the differential pneumomediastinum and COVID19 infection Differential Diagnosis Of Pneumomediastinum The goals of this study were to assess the etiology of pneumomediastinum in a large cohort of trauma and nontrauma patients, identify factors predictive of esophageal and. Have lower threshold for additional testing. Spontaneous pneumomediastinum results from the rupture of terminal alveoli with subsequent tracking of gas along the. Pneumomediastinum often results from underlying lung disease (e.g., asthma, ards). The. Differential Diagnosis Of Pneumomediastinum.
From publishing.rcseng.ac.uk
Spontaneous pneumomediastinum presenting as rhinolalia and chest pain Differential Diagnosis Of Pneumomediastinum Differential diagnosis the clinical features of pneumomediastinum mimic other diseases of the respiratory, cardiovascular, and. A rim of air consistent with a pneumomediastinum may be observed along the upper left border of the heart. Most cases are benign, but a minority of cases require additional testing and intervention. Pneumomediastinum often results from underlying lung disease (e.g., asthma, ards). The goals. Differential Diagnosis Of Pneumomediastinum.
From www.researchgate.net
FIGURE The schematic diagram of the mechanisms of pneumothorax Differential Diagnosis Of Pneumomediastinum Have lower threshold for additional testing. Spontaneous pneumomediastinum results from the rupture of terminal alveoli with subsequent tracking of gas along the. Pneumomediastinum often results from underlying lung disease (e.g., asthma, ards). The main symptom is usually severe central chest. The most important aspect of care is often treating this underlying. Most cases are benign, but a minority of cases. Differential Diagnosis Of Pneumomediastinum.
From casereports.bmj.com
Spontaneous pneumomediastinum an important differential in acute chest Differential Diagnosis Of Pneumomediastinum A rim of air consistent with a pneumomediastinum may be observed along the upper left border of the heart. Differential diagnosis the clinical features of pneumomediastinum mimic other diseases of the respiratory, cardiovascular, and. The most important aspect of care is often treating this underlying. Most cases are benign, but a minority of cases require additional testing and intervention. Pneumomediastinum. Differential Diagnosis Of Pneumomediastinum.
From mavink.com
Pneumomediastinum Diagram Differential Diagnosis Of Pneumomediastinum Pneumomediastinum often results from underlying lung disease (e.g., asthma, ards). The goals of this study were to assess the etiology of pneumomediastinum in a large cohort of trauma and nontrauma patients, identify factors predictive of esophageal and. Most cases are benign, but a minority of cases require additional testing and intervention. The most important aspect of care is often treating. Differential Diagnosis Of Pneumomediastinum.
From www.semanticscholar.org
Figure 2 from IMAGING DIAGNOSISSPONTANEOUS PNEUMOMEDIASTINUM SECONDARY Differential Diagnosis Of Pneumomediastinum The goals of this study were to assess the etiology of pneumomediastinum in a large cohort of trauma and nontrauma patients, identify factors predictive of esophageal and. Have lower threshold for additional testing. The main symptom is usually severe central chest. A rim of air consistent with a pneumomediastinum may be observed along the upper left border of the heart.. Differential Diagnosis Of Pneumomediastinum.
From www.researchgate.net
Radiograph at 5 days of life. Diagnosis of pneumomediastinum versus Differential Diagnosis Of Pneumomediastinum The most important aspect of care is often treating this underlying. Differential diagnosis the clinical features of pneumomediastinum mimic other diseases of the respiratory, cardiovascular, and. Pneumomediastinum often results from underlying lung disease (e.g., asthma, ards). The goals of this study were to assess the etiology of pneumomediastinum in a large cohort of trauma and nontrauma patients, identify factors predictive. Differential Diagnosis Of Pneumomediastinum.
From www.semanticscholar.org
Figure 4 from Pneumomediastinum in the neonate. Semantic Scholar Differential Diagnosis Of Pneumomediastinum The most important aspect of care is often treating this underlying. Most cases are benign, but a minority of cases require additional testing and intervention. The main symptom is usually severe central chest. Differential diagnosis the clinical features of pneumomediastinum mimic other diseases of the respiratory, cardiovascular, and. Pneumomediastinum often results from underlying lung disease (e.g., asthma, ards). Have lower. Differential Diagnosis Of Pneumomediastinum.
From www.osmosis.org
Tension Pneumothorax What Is It, Causes, Signs, Symptoms, Diagnosis Differential Diagnosis Of Pneumomediastinum Spontaneous pneumomediastinum results from the rupture of terminal alveoli with subsequent tracking of gas along the. The main symptom is usually severe central chest. The most important aspect of care is often treating this underlying. The goals of this study were to assess the etiology of pneumomediastinum in a large cohort of trauma and nontrauma patients, identify factors predictive of. Differential Diagnosis Of Pneumomediastinum.
From www.researchgate.net
(PDF) Broadening the differential pneumomediastinum and COVID19 infection Differential Diagnosis Of Pneumomediastinum Have lower threshold for additional testing. Differential diagnosis the clinical features of pneumomediastinum mimic other diseases of the respiratory, cardiovascular, and. Pneumomediastinum often results from underlying lung disease (e.g., asthma, ards). The main symptom is usually severe central chest. Most cases are benign, but a minority of cases require additional testing and intervention. A rim of air consistent with a. Differential Diagnosis Of Pneumomediastinum.
From www.researchgate.net
Classification scheme of pneumomediastinum. Pneumomediastinum can be Differential Diagnosis Of Pneumomediastinum Most cases are benign, but a minority of cases require additional testing and intervention. The main symptom is usually severe central chest. Spontaneous pneumomediastinum results from the rupture of terminal alveoli with subsequent tracking of gas along the. Pneumomediastinum often results from underlying lung disease (e.g., asthma, ards). The goals of this study were to assess the etiology of pneumomediastinum. Differential Diagnosis Of Pneumomediastinum.
From www.cureus.com
Cureus Tracheal Diverticulum Mimicking Pneumomediastinum A Case Differential Diagnosis Of Pneumomediastinum Differential diagnosis the clinical features of pneumomediastinum mimic other diseases of the respiratory, cardiovascular, and. The most important aspect of care is often treating this underlying. A rim of air consistent with a pneumomediastinum may be observed along the upper left border of the heart. The goals of this study were to assess the etiology of pneumomediastinum in a large. Differential Diagnosis Of Pneumomediastinum.
From www.wikiradiography.net
Pneumomediastinum wikiRadiography Differential Diagnosis Of Pneumomediastinum The main symptom is usually severe central chest. Spontaneous pneumomediastinum results from the rupture of terminal alveoli with subsequent tracking of gas along the. The most important aspect of care is often treating this underlying. The goals of this study were to assess the etiology of pneumomediastinum in a large cohort of trauma and nontrauma patients, identify factors predictive of. Differential Diagnosis Of Pneumomediastinum.
From www.cureus.com
Tracheal Diverticulum Mimicking Pneumomediastinum A Case Report Differential Diagnosis Of Pneumomediastinum Pneumomediastinum often results from underlying lung disease (e.g., asthma, ards). The main symptom is usually severe central chest. The most important aspect of care is often treating this underlying. Have lower threshold for additional testing. Differential diagnosis the clinical features of pneumomediastinum mimic other diseases of the respiratory, cardiovascular, and. Spontaneous pneumomediastinum results from the rupture of terminal alveoli with. Differential Diagnosis Of Pneumomediastinum.
From radiopaedia.org
Image Differential Diagnosis Of Pneumomediastinum A rim of air consistent with a pneumomediastinum may be observed along the upper left border of the heart. Spontaneous pneumomediastinum results from the rupture of terminal alveoli with subsequent tracking of gas along the. The goals of this study were to assess the etiology of pneumomediastinum in a large cohort of trauma and nontrauma patients, identify factors predictive of. Differential Diagnosis Of Pneumomediastinum.
From onlinelibrary.wiley.com
Spontaneous complete resolution of pneumomediastinum and pneumatosis Differential Diagnosis Of Pneumomediastinum Differential diagnosis the clinical features of pneumomediastinum mimic other diseases of the respiratory, cardiovascular, and. Pneumomediastinum often results from underlying lung disease (e.g., asthma, ards). Have lower threshold for additional testing. Most cases are benign, but a minority of cases require additional testing and intervention. The main symptom is usually severe central chest. The most important aspect of care is. Differential Diagnosis Of Pneumomediastinum.
From europepmc.org
Pneumomediastinum in association with Covid19 A less commonly Differential Diagnosis Of Pneumomediastinum Most cases are benign, but a minority of cases require additional testing and intervention. The most important aspect of care is often treating this underlying. The main symptom is usually severe central chest. A rim of air consistent with a pneumomediastinum may be observed along the upper left border of the heart. Have lower threshold for additional testing. Pneumomediastinum often. Differential Diagnosis Of Pneumomediastinum.
From mavink.com
Pneumomediastinum Diagram Differential Diagnosis Of Pneumomediastinum Spontaneous pneumomediastinum results from the rupture of terminal alveoli with subsequent tracking of gas along the. The most important aspect of care is often treating this underlying. Have lower threshold for additional testing. Most cases are benign, but a minority of cases require additional testing and intervention. The main symptom is usually severe central chest. The goals of this study. Differential Diagnosis Of Pneumomediastinum.
From lungs.thecommonvein.net
Pneumomediastinum Lungs Differential Diagnosis Of Pneumomediastinum Most cases are benign, but a minority of cases require additional testing and intervention. The goals of this study were to assess the etiology of pneumomediastinum in a large cohort of trauma and nontrauma patients, identify factors predictive of esophageal and. Spontaneous pneumomediastinum results from the rupture of terminal alveoli with subsequent tracking of gas along the. The most important. Differential Diagnosis Of Pneumomediastinum.