Partial Dentures Before And After Pictures . Partial dentures are secured by your remaining teeth, allowing you to eat, speak, and laugh as if you had all of your natural teeth. Partial dentures before and after. Partial dentures are removable prosthetic appliances that replace two or more missing teeth. Individuals experiencing tooth loss often find solace in the transformative effects of partial dentures. This article explores the journey. Depending on the type of material used and the. Take a look at some of these before and after pictures from actual richton dental care patients and imagine the possibilities for your own smile! Partial dentures are meticulously designed to match the color, shape, and size of the existing teeth. They are used when you're missing specific teeth throughout. See these different before & after cases of full and partial dentures done at our monticello mn office. To learn more, contact southside dental center. The ‘before’ photos may showcase gaps or visibly damaged front teeth, while the ‘after’ photos reveal a harmonious blend that seamlessly integrates with the natural smile.
from appledentures.ca
See these different before & after cases of full and partial dentures done at our monticello mn office. To learn more, contact southside dental center. Partial dentures before and after. Depending on the type of material used and the. Partial dentures are secured by your remaining teeth, allowing you to eat, speak, and laugh as if you had all of your natural teeth. Take a look at some of these before and after pictures from actual richton dental care patients and imagine the possibilities for your own smile! This article explores the journey. Individuals experiencing tooth loss often find solace in the transformative effects of partial dentures. The ‘before’ photos may showcase gaps or visibly damaged front teeth, while the ‘after’ photos reveal a harmonious blend that seamlessly integrates with the natural smile. Partial dentures are removable prosthetic appliances that replace two or more missing teeth.
Cast Partial upper denture
Partial Dentures Before And After Pictures This article explores the journey. Partial dentures are removable prosthetic appliances that replace two or more missing teeth. They are used when you're missing specific teeth throughout. Individuals experiencing tooth loss often find solace in the transformative effects of partial dentures. Depending on the type of material used and the. See these different before & after cases of full and partial dentures done at our monticello mn office. Partial dentures are secured by your remaining teeth, allowing you to eat, speak, and laugh as if you had all of your natural teeth. The ‘before’ photos may showcase gaps or visibly damaged front teeth, while the ‘after’ photos reveal a harmonious blend that seamlessly integrates with the natural smile. Partial dentures before and after. Partial dentures are meticulously designed to match the color, shape, and size of the existing teeth. Take a look at some of these before and after pictures from actual richton dental care patients and imagine the possibilities for your own smile! This article explores the journey. To learn more, contact southside dental center.
From mungfali.com
Removable Partial Denture Before And After Partial Dentures Before And After Pictures Partial dentures before and after. Partial dentures are meticulously designed to match the color, shape, and size of the existing teeth. Partial dentures are removable prosthetic appliances that replace two or more missing teeth. Partial dentures are secured by your remaining teeth, allowing you to eat, speak, and laugh as if you had all of your natural teeth. The ‘before’. Partial Dentures Before And After Pictures.
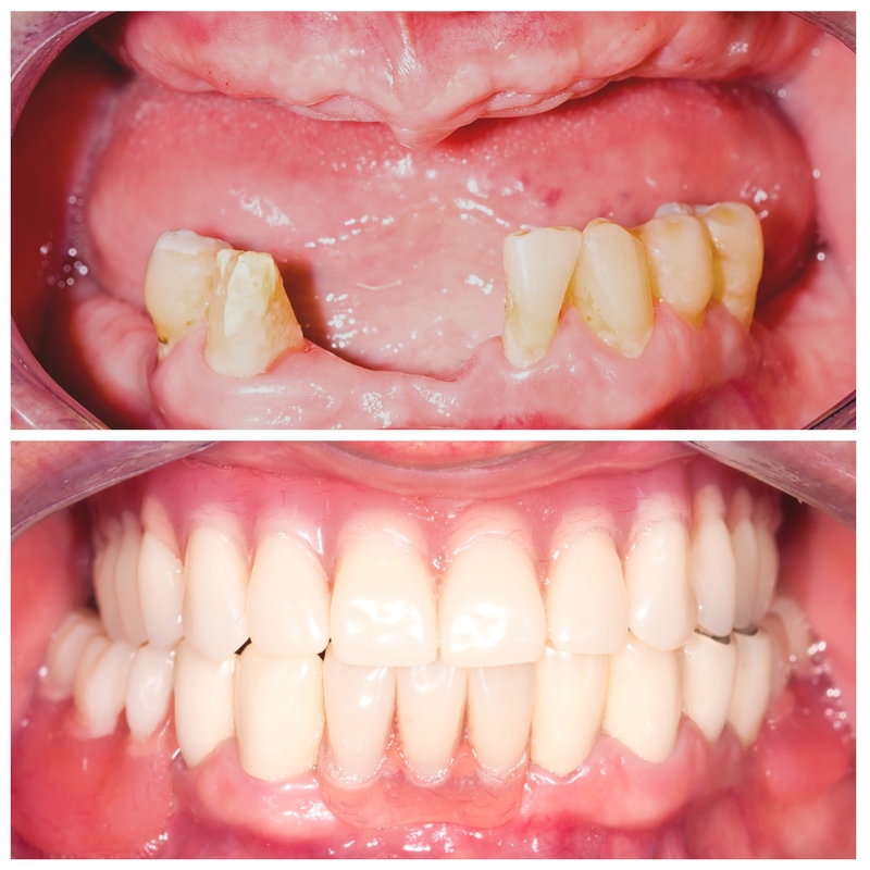
From www.qualitydentalcarefl.com
Results from Crowns & Denture Lakeland FL Dentist Near Me Partial Dentures Before And After Pictures Partial dentures before and after. Partial dentures are secured by your remaining teeth, allowing you to eat, speak, and laugh as if you had all of your natural teeth. Depending on the type of material used and the. Individuals experiencing tooth loss often find solace in the transformative effects of partial dentures. The ‘before’ photos may showcase gaps or visibly. Partial Dentures Before And After Pictures.
From ar.inspiredpencil.com
Partial Dentures Before And After Partial Dentures Before And After Pictures The ‘before’ photos may showcase gaps or visibly damaged front teeth, while the ‘after’ photos reveal a harmonious blend that seamlessly integrates with the natural smile. Individuals experiencing tooth loss often find solace in the transformative effects of partial dentures. This article explores the journey. Partial dentures are meticulously designed to match the color, shape, and size of the existing. Partial Dentures Before And After Pictures.
From ar.inspiredpencil.com
Partial Denture Before And After Partial Dentures Before And After Pictures To learn more, contact southside dental center. Take a look at some of these before and after pictures from actual richton dental care patients and imagine the possibilities for your own smile! Partial dentures are removable prosthetic appliances that replace two or more missing teeth. Partial dentures before and after. See these different before & after cases of full and. Partial Dentures Before And After Pictures.
From appledentures.ca
Partial denture with the Invisible clips Partial Dentures Before And After Pictures Partial dentures are meticulously designed to match the color, shape, and size of the existing teeth. See these different before & after cases of full and partial dentures done at our monticello mn office. Partial dentures are secured by your remaining teeth, allowing you to eat, speak, and laugh as if you had all of your natural teeth. Individuals experiencing. Partial Dentures Before And After Pictures.
From ar.inspiredpencil.com
Partial Denture Before And After Partial Dentures Before And After Pictures Depending on the type of material used and the. Individuals experiencing tooth loss often find solace in the transformative effects of partial dentures. See these different before & after cases of full and partial dentures done at our monticello mn office. Partial dentures before and after. Partial dentures are removable prosthetic appliances that replace two or more missing teeth. This. Partial Dentures Before And After Pictures.
From ar.inspiredpencil.com
Partial Dentures Before And After Partial Dentures Before And After Pictures Partial dentures are secured by your remaining teeth, allowing you to eat, speak, and laugh as if you had all of your natural teeth. This article explores the journey. Partial dentures before and after. The ‘before’ photos may showcase gaps or visibly damaged front teeth, while the ‘after’ photos reveal a harmonious blend that seamlessly integrates with the natural smile.. Partial Dentures Before And After Pictures.
From www.templedentaltrails.com
Smile Gallery Partial Dentures to Close Gap in Teeth Dentist Partial Dentures Before And After Pictures Individuals experiencing tooth loss often find solace in the transformative effects of partial dentures. Take a look at some of these before and after pictures from actual richton dental care patients and imagine the possibilities for your own smile! Partial dentures are meticulously designed to match the color, shape, and size of the existing teeth. Partial dentures are secured by. Partial Dentures Before And After Pictures.
From www.waltondental.com
Top Rated Crowns & Bridges Dentist Greenwood Walton Dentistry Partial Dentures Before And After Pictures They are used when you're missing specific teeth throughout. Take a look at some of these before and after pictures from actual richton dental care patients and imagine the possibilities for your own smile! Depending on the type of material used and the. To learn more, contact southside dental center. Partial dentures are removable prosthetic appliances that replace two or. Partial Dentures Before And After Pictures.
From jujamass.weebly.com
Digital techniques for creating partial dentures jujamass Partial Dentures Before And After Pictures Partial dentures are meticulously designed to match the color, shape, and size of the existing teeth. Depending on the type of material used and the. Individuals experiencing tooth loss often find solace in the transformative effects of partial dentures. The ‘before’ photos may showcase gaps or visibly damaged front teeth, while the ‘after’ photos reveal a harmonious blend that seamlessly. Partial Dentures Before And After Pictures.
From www.raberdental.com
Removable Partial Dentures Smile Gallery Raber Dental, Kidron Dentist Partial Dentures Before And After Pictures This article explores the journey. Depending on the type of material used and the. Partial dentures are removable prosthetic appliances that replace two or more missing teeth. Take a look at some of these before and after pictures from actual richton dental care patients and imagine the possibilities for your own smile! Individuals experiencing tooth loss often find solace in. Partial Dentures Before And After Pictures.
From synergydental.org.uk
Before and After Full/Partial Dentures • Synergy Dental Clinic Partial Dentures Before And After Pictures The ‘before’ photos may showcase gaps or visibly damaged front teeth, while the ‘after’ photos reveal a harmonious blend that seamlessly integrates with the natural smile. Partial dentures are removable prosthetic appliances that replace two or more missing teeth. Individuals experiencing tooth loss often find solace in the transformative effects of partial dentures. This article explores the journey. They are. Partial Dentures Before And After Pictures.
From www.ssdentalcenter.com
Southside Dental Center's Smile Gallery Upper and Lower Partial Partial Dentures Before And After Pictures This article explores the journey. Depending on the type of material used and the. See these different before & after cases of full and partial dentures done at our monticello mn office. Partial dentures are removable prosthetic appliances that replace two or more missing teeth. To learn more, contact southside dental center. Partial dentures are secured by your remaining teeth,. Partial Dentures Before And After Pictures.
From mungfali.com
Removable Partial Denture Before And After Partial Dentures Before And After Pictures Partial dentures before and after. To learn more, contact southside dental center. Partial dentures are secured by your remaining teeth, allowing you to eat, speak, and laugh as if you had all of your natural teeth. This article explores the journey. See these different before & after cases of full and partial dentures done at our monticello mn office. Depending. Partial Dentures Before And After Pictures.
From www.pinterest.com
Before and After Patient was missing several teeth and did not want to Partial Dentures Before And After Pictures Individuals experiencing tooth loss often find solace in the transformative effects of partial dentures. To learn more, contact southside dental center. Partial dentures are secured by your remaining teeth, allowing you to eat, speak, and laugh as if you had all of your natural teeth. See these different before & after cases of full and partial dentures done at our. Partial Dentures Before And After Pictures.
From easypeasyskincare.com
Before And After Partial Dentures 2024Easy Peasy Skincare Partial Dentures Before And After Pictures Individuals experiencing tooth loss often find solace in the transformative effects of partial dentures. Partial dentures are secured by your remaining teeth, allowing you to eat, speak, and laugh as if you had all of your natural teeth. Take a look at some of these before and after pictures from actual richton dental care patients and imagine the possibilities for. Partial Dentures Before And After Pictures.
From streitzdental.com
Before and After Photos of Dental Implants and Cosmetic Dentistry Partial Dentures Before And After Pictures Individuals experiencing tooth loss often find solace in the transformative effects of partial dentures. They are used when you're missing specific teeth throughout. To learn more, contact southside dental center. Partial dentures are secured by your remaining teeth, allowing you to eat, speak, and laugh as if you had all of your natural teeth. Partial dentures before and after. Take. Partial Dentures Before And After Pictures.
From mungfali.com
Upper Partial Dentures Before And After Partial Dentures Before And After Pictures To learn more, contact southside dental center. See these different before & after cases of full and partial dentures done at our monticello mn office. The ‘before’ photos may showcase gaps or visibly damaged front teeth, while the ‘after’ photos reveal a harmonious blend that seamlessly integrates with the natural smile. Take a look at some of these before and. Partial Dentures Before And After Pictures.
From smilecentervillarica.com
Dentures and Partials Smile Center Villa Rica Partial Dentures Before And After Pictures Depending on the type of material used and the. Individuals experiencing tooth loss often find solace in the transformative effects of partial dentures. They are used when you're missing specific teeth throughout. See these different before & after cases of full and partial dentures done at our monticello mn office. Partial dentures are removable prosthetic appliances that replace two or. Partial Dentures Before And After Pictures.
From www.denturesuk.com
Before and After Dentures Kevin Manners Denture Clinics Partial Dentures Before And After Pictures Partial dentures are secured by your remaining teeth, allowing you to eat, speak, and laugh as if you had all of your natural teeth. Individuals experiencing tooth loss often find solace in the transformative effects of partial dentures. This article explores the journey. Partial dentures are removable prosthetic appliances that replace two or more missing teeth. Partial dentures are meticulously. Partial Dentures Before And After Pictures.
From ar.inspiredpencil.com
Partial Dentures Before And After Partial Dentures Before And After Pictures Take a look at some of these before and after pictures from actual richton dental care patients and imagine the possibilities for your own smile! This article explores the journey. Partial dentures are secured by your remaining teeth, allowing you to eat, speak, and laugh as if you had all of your natural teeth. Partial dentures are removable prosthetic appliances. Partial Dentures Before And After Pictures.
From www.nolandentureclinic.com
I’m Only Missing A Couple Teeth So Why Do I Need A Partial Denture Partial Dentures Before And After Pictures Partial dentures are meticulously designed to match the color, shape, and size of the existing teeth. Partial dentures are removable prosthetic appliances that replace two or more missing teeth. The ‘before’ photos may showcase gaps or visibly damaged front teeth, while the ‘after’ photos reveal a harmonious blend that seamlessly integrates with the natural smile. Individuals experiencing tooth loss often. Partial Dentures Before And After Pictures.
From ar.inspiredpencil.com
Partial Denture Before And After Partial Dentures Before And After Pictures Partial dentures are meticulously designed to match the color, shape, and size of the existing teeth. This article explores the journey. Partial dentures before and after. To learn more, contact southside dental center. Depending on the type of material used and the. They are used when you're missing specific teeth throughout. See these different before & after cases of full. Partial Dentures Before And After Pictures.
From mungfali.com
Removable Partial Denture Before And After Partial Dentures Before And After Pictures Partial dentures are meticulously designed to match the color, shape, and size of the existing teeth. Partial dentures are secured by your remaining teeth, allowing you to eat, speak, and laugh as if you had all of your natural teeth. The ‘before’ photos may showcase gaps or visibly damaged front teeth, while the ‘after’ photos reveal a harmonious blend that. Partial Dentures Before And After Pictures.
From www.frontierdentalohio.com
Dentures & Partial Dentures Medina OH Before and After Photos Partial Dentures Before And After Pictures To learn more, contact southside dental center. Partial dentures are meticulously designed to match the color, shape, and size of the existing teeth. Depending on the type of material used and the. This article explores the journey. Partial dentures are secured by your remaining teeth, allowing you to eat, speak, and laugh as if you had all of your natural. Partial Dentures Before And After Pictures.
From www.envysmile.com
Brooklyn Affordable Dentures (Full or Partial, Dental Denture Repair) Partial Dentures Before And After Pictures See these different before & after cases of full and partial dentures done at our monticello mn office. Depending on the type of material used and the. The ‘before’ photos may showcase gaps or visibly damaged front teeth, while the ‘after’ photos reveal a harmonious blend that seamlessly integrates with the natural smile. Take a look at some of these. Partial Dentures Before And After Pictures.
From www.209nycdental.com
Affordable Dentures NYC Manhattan Denture Specialist 209 NYC Dental Partial Dentures Before And After Pictures They are used when you're missing specific teeth throughout. Take a look at some of these before and after pictures from actual richton dental care patients and imagine the possibilities for your own smile! Partial dentures are meticulously designed to match the color, shape, and size of the existing teeth. Partial dentures are secured by your remaining teeth, allowing you. Partial Dentures Before And After Pictures.
From ar.inspiredpencil.com
Partial Dentures Before And After Partial Dentures Before And After Pictures The ‘before’ photos may showcase gaps or visibly damaged front teeth, while the ‘after’ photos reveal a harmonious blend that seamlessly integrates with the natural smile. Partial dentures are meticulously designed to match the color, shape, and size of the existing teeth. Depending on the type of material used and the. See these different before & after cases of full. Partial Dentures Before And After Pictures.
From learningjoan.com
What Are Partial Dentures? Before And After Partial Dentures Partial Dentures Before And After Pictures Partial dentures are removable prosthetic appliances that replace two or more missing teeth. Partial dentures before and after. They are used when you're missing specific teeth throughout. Take a look at some of these before and after pictures from actual richton dental care patients and imagine the possibilities for your own smile! This article explores the journey. See these different. Partial Dentures Before And After Pictures.
From www.dentistofnaples.com
New Before and After Implant Supported Dentures Partial Dentures Before And After Pictures Individuals experiencing tooth loss often find solace in the transformative effects of partial dentures. Depending on the type of material used and the. Partial dentures before and after. They are used when you're missing specific teeth throughout. Take a look at some of these before and after pictures from actual richton dental care patients and imagine the possibilities for your. Partial Dentures Before And After Pictures.
From appledentures.ca
Cast Partial upper denture Partial Dentures Before And After Pictures Partial dentures are meticulously designed to match the color, shape, and size of the existing teeth. They are used when you're missing specific teeth throughout. See these different before & after cases of full and partial dentures done at our monticello mn office. Partial dentures are secured by your remaining teeth, allowing you to eat, speak, and laugh as if. Partial Dentures Before And After Pictures.
From mungfali.com
Removable Partial Denture Before And After Partial Dentures Before And After Pictures This article explores the journey. Partial dentures are secured by your remaining teeth, allowing you to eat, speak, and laugh as if you had all of your natural teeth. To learn more, contact southside dental center. Partial dentures before and after. See these different before & after cases of full and partial dentures done at our monticello mn office. Partial. Partial Dentures Before And After Pictures.
From www.ssdentalcenter.com
Southside Dental Center's Smile Gallery Upper and Lower Partial Partial Dentures Before And After Pictures Depending on the type of material used and the. This article explores the journey. Partial dentures are removable prosthetic appliances that replace two or more missing teeth. Partial dentures are meticulously designed to match the color, shape, and size of the existing teeth. The ‘before’ photos may showcase gaps or visibly damaged front teeth, while the ‘after’ photos reveal a. Partial Dentures Before And After Pictures.
From synergydental.org.uk
Before and After Full/Partial Dentures • Synergy Dental Clinics Partial Dentures Before And After Pictures See these different before & after cases of full and partial dentures done at our monticello mn office. Take a look at some of these before and after pictures from actual richton dental care patients and imagine the possibilities for your own smile! Partial dentures are removable prosthetic appliances that replace two or more missing teeth. Individuals experiencing tooth loss. Partial Dentures Before And After Pictures.
From bakerdentureclinic.ca
Partial Denture Treatment Baker Lanoue Denture Clinic Partial Dentures Before And After Pictures Partial dentures before and after. They are used when you're missing specific teeth throughout. See these different before & after cases of full and partial dentures done at our monticello mn office. To learn more, contact southside dental center. Partial dentures are removable prosthetic appliances that replace two or more missing teeth. Depending on the type of material used and. Partial Dentures Before And After Pictures.