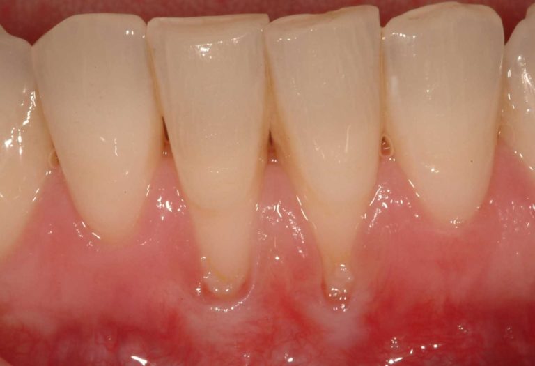
Mouthwash Causing Gum Recession . Healthy gums fit snugly around. There are many mouthwashes you can buy to help improve gum health, like cloysys healthy. However, oral hygiene changes can stop gum recession, and some treatments can reconstruct gum tissue. However, receding gums can also occur in people with good oral hygiene. Poor oral hygiene and periodontal disease contribute to gingival recession. While mouthwash can’t reverse gum recession, it can help manage symptoms and prevent further complications. Receding gums cannot grow back. It’s caused by a number of factors,. Gum recession is when your gum tissue pulls away from your teeth, exposing the roots underneath.
from www.youtube.com
However, receding gums can also occur in people with good oral hygiene. While mouthwash can’t reverse gum recession, it can help manage symptoms and prevent further complications. It’s caused by a number of factors,. Healthy gums fit snugly around. Poor oral hygiene and periodontal disease contribute to gingival recession. However, oral hygiene changes can stop gum recession, and some treatments can reconstruct gum tissue. There are many mouthwashes you can buy to help improve gum health, like cloysys healthy. Receding gums cannot grow back. Gum recession is when your gum tissue pulls away from your teeth, exposing the roots underneath.
Best Mouthwash for Receding Gums Stop Gum Recession Now YouTube
Mouthwash Causing Gum Recession Receding gums cannot grow back. However, oral hygiene changes can stop gum recession, and some treatments can reconstruct gum tissue. It’s caused by a number of factors,. Gum recession is when your gum tissue pulls away from your teeth, exposing the roots underneath. Receding gums cannot grow back. However, receding gums can also occur in people with good oral hygiene. There are many mouthwashes you can buy to help improve gum health, like cloysys healthy. Healthy gums fit snugly around. While mouthwash can’t reverse gum recession, it can help manage symptoms and prevent further complications. Poor oral hygiene and periodontal disease contribute to gingival recession.
From community.bulksupplements.com
Receding Gums Symptoms, Causes & Treatment Mouthwash Causing Gum Recession Gum recession is when your gum tissue pulls away from your teeth, exposing the roots underneath. There are many mouthwashes you can buy to help improve gum health, like cloysys healthy. While mouthwash can’t reverse gum recession, it can help manage symptoms and prevent further complications. Receding gums cannot grow back. It’s caused by a number of factors,. Poor oral. Mouthwash Causing Gum Recession.
From mydentaladvocate.com
Best Mouthwash for Gum Recession Mouthwash Causing Gum Recession While mouthwash can’t reverse gum recession, it can help manage symptoms and prevent further complications. Healthy gums fit snugly around. Gum recession is when your gum tissue pulls away from your teeth, exposing the roots underneath. Poor oral hygiene and periodontal disease contribute to gingival recession. However, receding gums can also occur in people with good oral hygiene. It’s caused. Mouthwash Causing Gum Recession.
From dentistforlife.net
Understanding Gum Recession Causes, Symptoms, and Treatment Mouthwash Causing Gum Recession However, oral hygiene changes can stop gum recession, and some treatments can reconstruct gum tissue. There are many mouthwashes you can buy to help improve gum health, like cloysys healthy. It’s caused by a number of factors,. Poor oral hygiene and periodontal disease contribute to gingival recession. Gum recession is when your gum tissue pulls away from your teeth, exposing. Mouthwash Causing Gum Recession.
From www.amazon.co.uk
Gum Regrowth Drops,Gum Recession Treatment for Gum Health,Gum Repair Mouthwash Causing Gum Recession Poor oral hygiene and periodontal disease contribute to gingival recession. However, receding gums can also occur in people with good oral hygiene. Gum recession is when your gum tissue pulls away from your teeth, exposing the roots underneath. Healthy gums fit snugly around. There are many mouthwashes you can buy to help improve gum health, like cloysys healthy. While mouthwash. Mouthwash Causing Gum Recession.
From www.toothstars.co.uk
Help with Receding Gums ToothStars Mouthwash Causing Gum Recession Poor oral hygiene and periodontal disease contribute to gingival recession. Gum recession is when your gum tissue pulls away from your teeth, exposing the roots underneath. However, oral hygiene changes can stop gum recession, and some treatments can reconstruct gum tissue. It’s caused by a number of factors,. While mouthwash can’t reverse gum recession, it can help manage symptoms and. Mouthwash Causing Gum Recession.
From harmonydentalstudio.com
What is Gum Recession and How Can it be Treated? Harmony Dental Mouthwash Causing Gum Recession Healthy gums fit snugly around. Poor oral hygiene and periodontal disease contribute to gingival recession. While mouthwash can’t reverse gum recession, it can help manage symptoms and prevent further complications. However, receding gums can also occur in people with good oral hygiene. It’s caused by a number of factors,. Gum recession is when your gum tissue pulls away from your. Mouthwash Causing Gum Recession.
From www.withersperio.com
Gum Recession Fairfax, VA Periodontist Dr. Withers Mouthwash Causing Gum Recession Receding gums cannot grow back. While mouthwash can’t reverse gum recession, it can help manage symptoms and prevent further complications. It’s caused by a number of factors,. Gum recession is when your gum tissue pulls away from your teeth, exposing the roots underneath. However, receding gums can also occur in people with good oral hygiene. There are many mouthwashes you. Mouthwash Causing Gum Recession.
From floridassmiles.com
How to Recognize Early Signs of Gum Recession West Palm Beach Dentist Mouthwash Causing Gum Recession Poor oral hygiene and periodontal disease contribute to gingival recession. There are many mouthwashes you can buy to help improve gum health, like cloysys healthy. While mouthwash can’t reverse gum recession, it can help manage symptoms and prevent further complications. Healthy gums fit snugly around. However, oral hygiene changes can stop gum recession, and some treatments can reconstruct gum tissue.. Mouthwash Causing Gum Recession.
From paperiocenter.com
Treatment of Gum Recession Periodontist in Enola & Camp Hill Area Mouthwash Causing Gum Recession Poor oral hygiene and periodontal disease contribute to gingival recession. It’s caused by a number of factors,. There are many mouthwashes you can buy to help improve gum health, like cloysys healthy. Receding gums cannot grow back. However, oral hygiene changes can stop gum recession, and some treatments can reconstruct gum tissue. Gum recession is when your gum tissue pulls. Mouthwash Causing Gum Recession.
From alanaforet.blogspot.com
how to treat gum recession Alana Foret Mouthwash Causing Gum Recession It’s caused by a number of factors,. However, oral hygiene changes can stop gum recession, and some treatments can reconstruct gum tissue. While mouthwash can’t reverse gum recession, it can help manage symptoms and prevent further complications. There are many mouthwashes you can buy to help improve gum health, like cloysys healthy. However, receding gums can also occur in people. Mouthwash Causing Gum Recession.
From www.youtube.com
What causes gum recession & how to stop receding gums? YouTube Mouthwash Causing Gum Recession While mouthwash can’t reverse gum recession, it can help manage symptoms and prevent further complications. However, oral hygiene changes can stop gum recession, and some treatments can reconstruct gum tissue. However, receding gums can also occur in people with good oral hygiene. It’s caused by a number of factors,. Poor oral hygiene and periodontal disease contribute to gingival recession. Receding. Mouthwash Causing Gum Recession.
From www.merckmanuals.com
Gum Recession Mouth and Dental Disorders Merck Manuals Consumer Version Mouthwash Causing Gum Recession There are many mouthwashes you can buy to help improve gum health, like cloysys healthy. It’s caused by a number of factors,. Gum recession is when your gum tissue pulls away from your teeth, exposing the roots underneath. Receding gums cannot grow back. However, receding gums can also occur in people with good oral hygiene. Poor oral hygiene and periodontal. Mouthwash Causing Gum Recession.
From auroradentalgroup.com
How to Stop Gum Recession Aurora Dental Group Mouthwash Causing Gum Recession Gum recession is when your gum tissue pulls away from your teeth, exposing the roots underneath. It’s caused by a number of factors,. Receding gums cannot grow back. Poor oral hygiene and periodontal disease contribute to gingival recession. Healthy gums fit snugly around. However, oral hygiene changes can stop gum recession, and some treatments can reconstruct gum tissue. While mouthwash. Mouthwash Causing Gum Recession.
From www.brisbanesmiles.com.au
What Is Gum Recession and How to Treat It Brisbane Smiles Mouthwash Causing Gum Recession Gum recession is when your gum tissue pulls away from your teeth, exposing the roots underneath. However, oral hygiene changes can stop gum recession, and some treatments can reconstruct gum tissue. There are many mouthwashes you can buy to help improve gum health, like cloysys healthy. Healthy gums fit snugly around. While mouthwash can’t reverse gum recession, it can help. Mouthwash Causing Gum Recession.
From www.youtube.com
Best Mouthwash for Receding Gums Stop Gum Recession Now YouTube Mouthwash Causing Gum Recession However, oral hygiene changes can stop gum recession, and some treatments can reconstruct gum tissue. Receding gums cannot grow back. It’s caused by a number of factors,. Gum recession is when your gum tissue pulls away from your teeth, exposing the roots underneath. While mouthwash can’t reverse gum recession, it can help manage symptoms and prevent further complications. Poor oral. Mouthwash Causing Gum Recession.
From gumdiseaseguide.org
Can Mouthwash Treat Gum Recession? Gum Disease Guide Mouthwash Causing Gum Recession There are many mouthwashes you can buy to help improve gum health, like cloysys healthy. While mouthwash can’t reverse gum recession, it can help manage symptoms and prevent further complications. Poor oral hygiene and periodontal disease contribute to gingival recession. However, oral hygiene changes can stop gum recession, and some treatments can reconstruct gum tissue. Receding gums cannot grow back.. Mouthwash Causing Gum Recession.
From gumdiseaseguide.org
How Is Gum Recession Measured? Gum Disease Guide Mouthwash Causing Gum Recession Receding gums cannot grow back. However, receding gums can also occur in people with good oral hygiene. However, oral hygiene changes can stop gum recession, and some treatments can reconstruct gum tissue. There are many mouthwashes you can buy to help improve gum health, like cloysys healthy. Gum recession is when your gum tissue pulls away from your teeth, exposing. Mouthwash Causing Gum Recession.
From enamel.clinic
Gum recession Causes and treatment Enamel Clinics Mouthwash Causing Gum Recession However, receding gums can also occur in people with good oral hygiene. While mouthwash can’t reverse gum recession, it can help manage symptoms and prevent further complications. Healthy gums fit snugly around. There are many mouthwashes you can buy to help improve gum health, like cloysys healthy. Gum recession is when your gum tissue pulls away from your teeth, exposing. Mouthwash Causing Gum Recession.
From createsmiles.com
Gum Recession CreateSmiles by Dr. Brad Lockhart Tustin Dentist Mouthwash Causing Gum Recession However, oral hygiene changes can stop gum recession, and some treatments can reconstruct gum tissue. Receding gums cannot grow back. Healthy gums fit snugly around. There are many mouthwashes you can buy to help improve gum health, like cloysys healthy. It’s caused by a number of factors,. Poor oral hygiene and periodontal disease contribute to gingival recession. Gum recession is. Mouthwash Causing Gum Recession.
From www.youtube.com
Gum recession, Causes, symptoms, treatment How to identify receding Mouthwash Causing Gum Recession There are many mouthwashes you can buy to help improve gum health, like cloysys healthy. Gum recession is when your gum tissue pulls away from your teeth, exposing the roots underneath. It’s caused by a number of factors,. Healthy gums fit snugly around. However, oral hygiene changes can stop gum recession, and some treatments can reconstruct gum tissue. Receding gums. Mouthwash Causing Gum Recession.
From www.drangeldds.com
What's Causing My Gum Recession? Mouthwash Causing Gum Recession While mouthwash can’t reverse gum recession, it can help manage symptoms and prevent further complications. Receding gums cannot grow back. However, oral hygiene changes can stop gum recession, and some treatments can reconstruct gum tissue. Healthy gums fit snugly around. However, receding gums can also occur in people with good oral hygiene. Gum recession is when your gum tissue pulls. Mouthwash Causing Gum Recession.
From expertdental.in
A Detailed Note on Gum Recession Expert Dental Care Mouthwash Causing Gum Recession However, oral hygiene changes can stop gum recession, and some treatments can reconstruct gum tissue. Receding gums cannot grow back. It’s caused by a number of factors,. However, receding gums can also occur in people with good oral hygiene. There are many mouthwashes you can buy to help improve gum health, like cloysys healthy. While mouthwash can’t reverse gum recession,. Mouthwash Causing Gum Recession.
From www.youtube.com
Best Mouthwash for Receding Gums 5 Best Mouthwashes For Receding Gums Mouthwash Causing Gum Recession Poor oral hygiene and periodontal disease contribute to gingival recession. There are many mouthwashes you can buy to help improve gum health, like cloysys healthy. However, receding gums can also occur in people with good oral hygiene. Healthy gums fit snugly around. However, oral hygiene changes can stop gum recession, and some treatments can reconstruct gum tissue. Gum recession is. Mouthwash Causing Gum Recession.
From finessedental.com.au
Orthodontics in Sydney Can Orthodontic Treatment Cause Gum Recession Mouthwash Causing Gum Recession However, receding gums can also occur in people with good oral hygiene. Gum recession is when your gum tissue pulls away from your teeth, exposing the roots underneath. Healthy gums fit snugly around. Poor oral hygiene and periodontal disease contribute to gingival recession. While mouthwash can’t reverse gum recession, it can help manage symptoms and prevent further complications. There are. Mouthwash Causing Gum Recession.
From mydentaladvocate.com
Best Mouthwash for Gum Recession Mouthwash Causing Gum Recession Poor oral hygiene and periodontal disease contribute to gingival recession. There are many mouthwashes you can buy to help improve gum health, like cloysys healthy. Healthy gums fit snugly around. However, oral hygiene changes can stop gum recession, and some treatments can reconstruct gum tissue. However, receding gums can also occur in people with good oral hygiene. Gum recession is. Mouthwash Causing Gum Recession.
From www.youtube.com
SEVERE Gum Recession from ORTHODONTICS YouTube Mouthwash Causing Gum Recession There are many mouthwashes you can buy to help improve gum health, like cloysys healthy. Gum recession is when your gum tissue pulls away from your teeth, exposing the roots underneath. It’s caused by a number of factors,. However, oral hygiene changes can stop gum recession, and some treatments can reconstruct gum tissue. Poor oral hygiene and periodontal disease contribute. Mouthwash Causing Gum Recession.
From ariadentalcare.com
All You Need to Know About Gum Recession Surgery Mouthwash Causing Gum Recession However, oral hygiene changes can stop gum recession, and some treatments can reconstruct gum tissue. However, receding gums can also occur in people with good oral hygiene. Poor oral hygiene and periodontal disease contribute to gingival recession. There are many mouthwashes you can buy to help improve gum health, like cloysys healthy. Receding gums cannot grow back. While mouthwash can’t. Mouthwash Causing Gum Recession.
From www.ewanbramley.com
Prevent Receding Gums with these top tips Ewan Bramley Dental Care Mouthwash Causing Gum Recession Gum recession is when your gum tissue pulls away from your teeth, exposing the roots underneath. However, oral hygiene changes can stop gum recession, and some treatments can reconstruct gum tissue. Poor oral hygiene and periodontal disease contribute to gingival recession. While mouthwash can’t reverse gum recession, it can help manage symptoms and prevent further complications. There are many mouthwashes. Mouthwash Causing Gum Recession.
From www.drmclemoredentistry.com
Gum Recession Surgery Dentist In Montgomery, AL McLemore Dentistry, LLC Mouthwash Causing Gum Recession However, receding gums can also occur in people with good oral hygiene. Healthy gums fit snugly around. It’s caused by a number of factors,. However, oral hygiene changes can stop gum recession, and some treatments can reconstruct gum tissue. Gum recession is when your gum tissue pulls away from your teeth, exposing the roots underneath. Poor oral hygiene and periodontal. Mouthwash Causing Gum Recession.
From dublincornersdental.com
Gum Recession Dublin Corners Dental Mouthwash Causing Gum Recession Poor oral hygiene and periodontal disease contribute to gingival recession. However, receding gums can also occur in people with good oral hygiene. However, oral hygiene changes can stop gum recession, and some treatments can reconstruct gum tissue. Healthy gums fit snugly around. It’s caused by a number of factors,. Receding gums cannot grow back. While mouthwash can’t reverse gum recession,. Mouthwash Causing Gum Recession.
From www.youtube.com
How to Stop Gum Recession? 7 Effective Tips to Stop Receding Gums Mouthwash Causing Gum Recession Receding gums cannot grow back. It’s caused by a number of factors,. Gum recession is when your gum tissue pulls away from your teeth, exposing the roots underneath. Poor oral hygiene and periodontal disease contribute to gingival recession. However, receding gums can also occur in people with good oral hygiene. While mouthwash can’t reverse gum recession, it can help manage. Mouthwash Causing Gum Recession.
From www.pinterest.com
Taking good care of your mouth is the best way to prevent receding gums Mouthwash Causing Gum Recession There are many mouthwashes you can buy to help improve gum health, like cloysys healthy. However, oral hygiene changes can stop gum recession, and some treatments can reconstruct gum tissue. Healthy gums fit snugly around. Gum recession is when your gum tissue pulls away from your teeth, exposing the roots underneath. However, receding gums can also occur in people with. Mouthwash Causing Gum Recession.
From www.youtube.com
Dentist Explains Every Cause of RECEDING GUMS & How to Stop Gum Loss Mouthwash Causing Gum Recession Receding gums cannot grow back. While mouthwash can’t reverse gum recession, it can help manage symptoms and prevent further complications. There are many mouthwashes you can buy to help improve gum health, like cloysys healthy. Poor oral hygiene and periodontal disease contribute to gingival recession. Healthy gums fit snugly around. It’s caused by a number of factors,. However, receding gums. Mouthwash Causing Gum Recession.
From rivervalleyperio.com
Gum Recession Treatment River Valley Periodontics & Implant Dentistry Mouthwash Causing Gum Recession However, oral hygiene changes can stop gum recession, and some treatments can reconstruct gum tissue. It’s caused by a number of factors,. There are many mouthwashes you can buy to help improve gum health, like cloysys healthy. Poor oral hygiene and periodontal disease contribute to gingival recession. While mouthwash can’t reverse gum recession, it can help manage symptoms and prevent. Mouthwash Causing Gum Recession.
From gosoundcast.com
Best Mouthwash for Gum Recession A Guide to Choosing the Right One Mouthwash Causing Gum Recession Receding gums cannot grow back. However, oral hygiene changes can stop gum recession, and some treatments can reconstruct gum tissue. Gum recession is when your gum tissue pulls away from your teeth, exposing the roots underneath. However, receding gums can also occur in people with good oral hygiene. There are many mouthwashes you can buy to help improve gum health,. Mouthwash Causing Gum Recession.