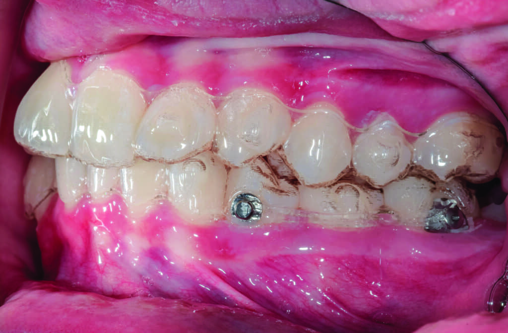
Aligner Buttons . The clear precision aligner buttons® immediately became the only way we bond buttons with clear aligners! Invisalign smartforce attachments, also known as invisalign buttons or simply attachments, are tiny, almost invisible bumps placed on your teeth during invisalign treatment. Some of these attachments may adhere to your teeth while others may be. There are many different types of aligner attachments including bumps, buttons, engagers, and more. Rubber bands are often used with braces, but they work the same way with invisalign! Invisalign buttons, also called invisalign hooks, are used as anchors to attach rubber bands that apply persistent pressure to the jaws to guide the upper and lower jaw into proper alignment. Perfectly manufactured, fits great on the.
from www.tocdental.com
Invisalign buttons, also called invisalign hooks, are used as anchors to attach rubber bands that apply persistent pressure to the jaws to guide the upper and lower jaw into proper alignment. Rubber bands are often used with braces, but they work the same way with invisalign! There are many different types of aligner attachments including bumps, buttons, engagers, and more. The clear precision aligner buttons® immediately became the only way we bond buttons with clear aligners! Perfectly manufactured, fits great on the. Some of these attachments may adhere to your teeth while others may be. Invisalign smartforce attachments, also known as invisalign buttons or simply attachments, are tiny, almost invisible bumps placed on your teeth during invisalign treatment.
Precision Aligner Buttons Bondable Attachments TOC Dental
Aligner Buttons The clear precision aligner buttons® immediately became the only way we bond buttons with clear aligners! Perfectly manufactured, fits great on the. Invisalign smartforce attachments, also known as invisalign buttons or simply attachments, are tiny, almost invisible bumps placed on your teeth during invisalign treatment. Some of these attachments may adhere to your teeth while others may be. There are many different types of aligner attachments including bumps, buttons, engagers, and more. The clear precision aligner buttons® immediately became the only way we bond buttons with clear aligners! Rubber bands are often used with braces, but they work the same way with invisalign! Invisalign buttons, also called invisalign hooks, are used as anchors to attach rubber bands that apply persistent pressure to the jaws to guide the upper and lower jaw into proper alignment.
From www.dynaflex.com
DynaFlex Aligner Buttons There are many different types of aligner attachments including bumps, buttons, engagers, and more. Perfectly manufactured, fits great on the. Invisalign buttons, also called invisalign hooks, are used as anchors to attach rubber bands that apply persistent pressure to the jaws to guide the upper and lower jaw into proper alignment. The clear precision aligner buttons® immediately became the only. Aligner Buttons.
From www.angelaligner.com
angelButton Angel Aligner Aligner Buttons Perfectly manufactured, fits great on the. The clear precision aligner buttons® immediately became the only way we bond buttons with clear aligners! Some of these attachments may adhere to your teeth while others may be. Invisalign buttons, also called invisalign hooks, are used as anchors to attach rubber bands that apply persistent pressure to the jaws to guide the upper. Aligner Buttons.
From www.greinerorthodontics.de
Aligner Button Greiner Orthodontics Aligner Buttons Invisalign smartforce attachments, also known as invisalign buttons or simply attachments, are tiny, almost invisible bumps placed on your teeth during invisalign treatment. There are many different types of aligner attachments including bumps, buttons, engagers, and more. Invisalign buttons, also called invisalign hooks, are used as anchors to attach rubber bands that apply persistent pressure to the jaws to guide. Aligner Buttons.
From www.orthopracticeus.com
Staging clear aligners Orthodontic Practice US Dental Publication Aligner Buttons Some of these attachments may adhere to your teeth while others may be. The clear precision aligner buttons® immediately became the only way we bond buttons with clear aligners! Invisalign smartforce attachments, also known as invisalign buttons or simply attachments, are tiny, almost invisible bumps placed on your teeth during invisalign treatment. Rubber bands are often used with braces, but. Aligner Buttons.
From support.clearcorrect.com
How to Use Button Cutouts with Aligners ClearCorrect Support Aligner Buttons Perfectly manufactured, fits great on the. The clear precision aligner buttons® immediately became the only way we bond buttons with clear aligners! Some of these attachments may adhere to your teeth while others may be. Rubber bands are often used with braces, but they work the same way with invisalign! Invisalign smartforce attachments, also known as invisalign buttons or simply. Aligner Buttons.
From www.orthotechnology.com
Composite Buttons for Aligners Ortho Technology Aligner Buttons Invisalign smartforce attachments, also known as invisalign buttons or simply attachments, are tiny, almost invisible bumps placed on your teeth during invisalign treatment. Some of these attachments may adhere to your teeth while others may be. There are many different types of aligner attachments including bumps, buttons, engagers, and more. Perfectly manufactured, fits great on the. The clear precision aligner. Aligner Buttons.
From orthodonticproductsonline.com
Incorporating Button Auxiliaries with Aligners for Severe Rotations Aligner Buttons The clear precision aligner buttons® immediately became the only way we bond buttons with clear aligners! There are many different types of aligner attachments including bumps, buttons, engagers, and more. Perfectly manufactured, fits great on the. Invisalign buttons, also called invisalign hooks, are used as anchors to attach rubber bands that apply persistent pressure to the jaws to guide the. Aligner Buttons.
From www.dynaflex.com
DynaFlex Aligner Buttons Invisalign buttons, also called invisalign hooks, are used as anchors to attach rubber bands that apply persistent pressure to the jaws to guide the upper and lower jaw into proper alignment. Invisalign smartforce attachments, also known as invisalign buttons or simply attachments, are tiny, almost invisible bumps placed on your teeth during invisalign treatment. There are many different types of. Aligner Buttons.
From www.orthocare.co.uk
Aligner Triangular Buttons Aligner Buttons Invisalign smartforce attachments, also known as invisalign buttons or simply attachments, are tiny, almost invisible bumps placed on your teeth during invisalign treatment. There are many different types of aligner attachments including bumps, buttons, engagers, and more. Rubber bands are often used with braces, but they work the same way with invisalign! Perfectly manufactured, fits great on the. The clear. Aligner Buttons.
From orthodonticproductsonline.com
The Inventor’s Path Orthodontic Products Aligner Buttons There are many different types of aligner attachments including bumps, buttons, engagers, and more. Invisalign buttons, also called invisalign hooks, are used as anchors to attach rubber bands that apply persistent pressure to the jaws to guide the upper and lower jaw into proper alignment. The clear precision aligner buttons® immediately became the only way we bond buttons with clear. Aligner Buttons.
From www.youtube.com
Precision Aligner Buttons YouTube Aligner Buttons Rubber bands are often used with braces, but they work the same way with invisalign! Invisalign buttons, also called invisalign hooks, are used as anchors to attach rubber bands that apply persistent pressure to the jaws to guide the upper and lower jaw into proper alignment. The clear precision aligner buttons® immediately became the only way we bond buttons with. Aligner Buttons.
From www.mainortho.com.au
PRECISION ALIGNER BUTTONS Main Orthodontics Aligner Buttons Some of these attachments may adhere to your teeth while others may be. Rubber bands are often used with braces, but they work the same way with invisalign! There are many different types of aligner attachments including bumps, buttons, engagers, and more. Invisalign smartforce attachments, also known as invisalign buttons or simply attachments, are tiny, almost invisible bumps placed on. Aligner Buttons.
From ortodoncia10.com
Precision Aligner Buttons vuelve a ser nominado como mejor producto de Aligner Buttons Invisalign buttons, also called invisalign hooks, are used as anchors to attach rubber bands that apply persistent pressure to the jaws to guide the upper and lower jaw into proper alignment. Some of these attachments may adhere to your teeth while others may be. Invisalign smartforce attachments, also known as invisalign buttons or simply attachments, are tiny, almost invisible bumps. Aligner Buttons.
From orthodonticproductsonline.com
Incorporating Button Auxiliaries with Aligners for Severe Rotations Aligner Buttons There are many different types of aligner attachments including bumps, buttons, engagers, and more. The clear precision aligner buttons® immediately became the only way we bond buttons with clear aligners! Rubber bands are often used with braces, but they work the same way with invisalign! Invisalign smartforce attachments, also known as invisalign buttons or simply attachments, are tiny, almost invisible. Aligner Buttons.
From www.dynaflex.com
DynaFlex Aligner Buttons Some of these attachments may adhere to your teeth while others may be. Invisalign smartforce attachments, also known as invisalign buttons or simply attachments, are tiny, almost invisible bumps placed on your teeth during invisalign treatment. Perfectly manufactured, fits great on the. There are many different types of aligner attachments including bumps, buttons, engagers, and more. Rubber bands are often. Aligner Buttons.
From orthopracticeus.com
Orthodontic News MidAtlantic Ortho Announces The Launch Of Precision Aligner Buttons Perfectly manufactured, fits great on the. Some of these attachments may adhere to your teeth while others may be. Rubber bands are often used with braces, but they work the same way with invisalign! Invisalign buttons, also called invisalign hooks, are used as anchors to attach rubber bands that apply persistent pressure to the jaws to guide the upper and. Aligner Buttons.
From orthoby.ch
Precision Aligner Buttons ORTHOBY Feldmann Dental Aligner Buttons Invisalign buttons, also called invisalign hooks, are used as anchors to attach rubber bands that apply persistent pressure to the jaws to guide the upper and lower jaw into proper alignment. Rubber bands are often used with braces, but they work the same way with invisalign! Some of these attachments may adhere to your teeth while others may be. Invisalign. Aligner Buttons.
From www.dynaflex.com
DynaFlex Aligner Buttons Invisalign smartforce attachments, also known as invisalign buttons or simply attachments, are tiny, almost invisible bumps placed on your teeth during invisalign treatment. Some of these attachments may adhere to your teeth while others may be. Perfectly manufactured, fits great on the. The clear precision aligner buttons® immediately became the only way we bond buttons with clear aligners! There are. Aligner Buttons.
From www.mainortho.com.au
PRECISION ALIGNER BUTTONS Main Orthodontics Aligner Buttons The clear precision aligner buttons® immediately became the only way we bond buttons with clear aligners! Rubber bands are often used with braces, but they work the same way with invisalign! Some of these attachments may adhere to your teeth while others may be. Perfectly manufactured, fits great on the. There are many different types of aligner attachments including bumps,. Aligner Buttons.
From medent.vn
PrecisionAlignerButton Medent Aligner Buttons Some of these attachments may adhere to your teeth while others may be. Invisalign buttons, also called invisalign hooks, are used as anchors to attach rubber bands that apply persistent pressure to the jaws to guide the upper and lower jaw into proper alignment. There are many different types of aligner attachments including bumps, buttons, engagers, and more. Invisalign smartforce. Aligner Buttons.
From www.greinerorthodontics.de
Aligner Button Greiner Orthodontics Aligner Buttons The clear precision aligner buttons® immediately became the only way we bond buttons with clear aligners! Perfectly manufactured, fits great on the. There are many different types of aligner attachments including bumps, buttons, engagers, and more. Invisalign buttons, also called invisalign hooks, are used as anchors to attach rubber bands that apply persistent pressure to the jaws to guide the. Aligner Buttons.
From www.seasons-of-smiles.com
What do Invisalign buttons look like? • Seasons of Smiles Dental Aligner Buttons Invisalign smartforce attachments, also known as invisalign buttons or simply attachments, are tiny, almost invisible bumps placed on your teeth during invisalign treatment. The clear precision aligner buttons® immediately became the only way we bond buttons with clear aligners! Invisalign buttons, also called invisalign hooks, are used as anchors to attach rubber bands that apply persistent pressure to the jaws. Aligner Buttons.
From www.youtube.com
How Buttons Help Clear Aligners YouTube Aligner Buttons The clear precision aligner buttons® immediately became the only way we bond buttons with clear aligners! Perfectly manufactured, fits great on the. Some of these attachments may adhere to your teeth while others may be. Invisalign buttons, also called invisalign hooks, are used as anchors to attach rubber bands that apply persistent pressure to the jaws to guide the upper. Aligner Buttons.
From www.dynaflex.com
DynaFlex Aligner Buttons Invisalign buttons, also called invisalign hooks, are used as anchors to attach rubber bands that apply persistent pressure to the jaws to guide the upper and lower jaw into proper alignment. The clear precision aligner buttons® immediately became the only way we bond buttons with clear aligners! Invisalign smartforce attachments, also known as invisalign buttons or simply attachments, are tiny,. Aligner Buttons.
From www.tocdental.com
Precision Aligner Buttons Bondable Attachments TOC Dental Aligner Buttons Perfectly manufactured, fits great on the. There are many different types of aligner attachments including bumps, buttons, engagers, and more. The clear precision aligner buttons® immediately became the only way we bond buttons with clear aligners! Invisalign smartforce attachments, also known as invisalign buttons or simply attachments, are tiny, almost invisible bumps placed on your teeth during invisalign treatment. Invisalign. Aligner Buttons.
From www.youtube.com
Clear Precision Aligner Buttons YouTube Aligner Buttons Some of these attachments may adhere to your teeth while others may be. The clear precision aligner buttons® immediately became the only way we bond buttons with clear aligners! Rubber bands are often used with braces, but they work the same way with invisalign! Invisalign buttons, also called invisalign hooks, are used as anchors to attach rubber bands that apply. Aligner Buttons.
From www.youtube.com
Precision Aligner Buttons Clear YouTube Aligner Buttons Rubber bands are often used with braces, but they work the same way with invisalign! The clear precision aligner buttons® immediately became the only way we bond buttons with clear aligners! Some of these attachments may adhere to your teeth while others may be. Invisalign buttons, also called invisalign hooks, are used as anchors to attach rubber bands that apply. Aligner Buttons.
From affinitydentalcare.ca
Clear Aligner and Class II Crosselastics Affinity Dental Care Burlington Aligner Buttons Perfectly manufactured, fits great on the. Some of these attachments may adhere to your teeth while others may be. The clear precision aligner buttons® immediately became the only way we bond buttons with clear aligners! Invisalign buttons, also called invisalign hooks, are used as anchors to attach rubber bands that apply persistent pressure to the jaws to guide the upper. Aligner Buttons.
From www.youtube.com
Introducing Precision Aligner Buttons YouTube Aligner Buttons Invisalign buttons, also called invisalign hooks, are used as anchors to attach rubber bands that apply persistent pressure to the jaws to guide the upper and lower jaw into proper alignment. Some of these attachments may adhere to your teeth while others may be. There are many different types of aligner attachments including bumps, buttons, engagers, and more. Rubber bands. Aligner Buttons.
From www.orthotechnology.com
OrthoFlex Round Composite Buttons Ortho Technology Aligner Buttons The clear precision aligner buttons® immediately became the only way we bond buttons with clear aligners! Rubber bands are often used with braces, but they work the same way with invisalign! Some of these attachments may adhere to your teeth while others may be. There are many different types of aligner attachments including bumps, buttons, engagers, and more. Invisalign smartforce. Aligner Buttons.
From pristinealigner.com
ATTACHMENTS In Clear Aligner PRISTINE CLEAR ALIGNERS Aligner Buttons The clear precision aligner buttons® immediately became the only way we bond buttons with clear aligners! There are many different types of aligner attachments including bumps, buttons, engagers, and more. Invisalign buttons, also called invisalign hooks, are used as anchors to attach rubber bands that apply persistent pressure to the jaws to guide the upper and lower jaw into proper. Aligner Buttons.
From www.dynaflex.com
DynaFlex Aligner Buttons There are many different types of aligner attachments including bumps, buttons, engagers, and more. Invisalign smartforce attachments, also known as invisalign buttons or simply attachments, are tiny, almost invisible bumps placed on your teeth during invisalign treatment. Rubber bands are often used with braces, but they work the same way with invisalign! The clear precision aligner buttons® immediately became the. Aligner Buttons.
From orthodontictreatmenthq.com
Clinical Pearl Incorporating Button Auxiliaries with Aligners for Aligner Buttons Some of these attachments may adhere to your teeth while others may be. Invisalign buttons, also called invisalign hooks, are used as anchors to attach rubber bands that apply persistent pressure to the jaws to guide the upper and lower jaw into proper alignment. There are many different types of aligner attachments including bumps, buttons, engagers, and more. The clear. Aligner Buttons.
From www.tocdental.com
Precision Aligner Buttons Bondable Attachments TOC Dental Aligner Buttons Perfectly manufactured, fits great on the. The clear precision aligner buttons® immediately became the only way we bond buttons with clear aligners! Rubber bands are often used with braces, but they work the same way with invisalign! There are many different types of aligner attachments including bumps, buttons, engagers, and more. Invisalign smartforce attachments, also known as invisalign buttons or. Aligner Buttons.
From ortodoncia10.com
Precision Aligner Buttons Ortodoncia10 Aligner Buttons Perfectly manufactured, fits great on the. The clear precision aligner buttons® immediately became the only way we bond buttons with clear aligners! Some of these attachments may adhere to your teeth while others may be. Invisalign buttons, also called invisalign hooks, are used as anchors to attach rubber bands that apply persistent pressure to the jaws to guide the upper. Aligner Buttons.