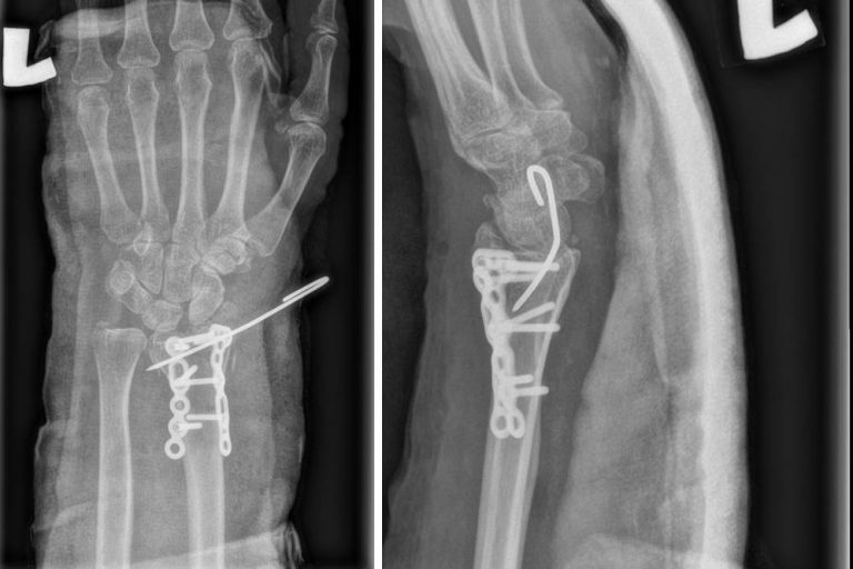
Barton Fracture X Ray . It is also sometimes termed the dorsal type barton fracture to distinguish it. A barton fracture can be described as volar (more common) or dorsal (less common), depending on whether the volar or dorsal rim of the radius is involved. This type of broken bone can happen. A barton fracture is a painful, dislocated wrist fracture that causes swelling and numb or tingling fingertips. Barton fractures are fractures of the distal radius. The reverse barton fracture is an articular fracture of the distal radius with dislocation in which the articular surface of the radius remains in contact with the carpus;
from www.pinterest.com
The reverse barton fracture is an articular fracture of the distal radius with dislocation in which the articular surface of the radius remains in contact with the carpus; Barton fractures are fractures of the distal radius. A barton fracture is a painful, dislocated wrist fracture that causes swelling and numb or tingling fingertips. A barton fracture can be described as volar (more common) or dorsal (less common), depending on whether the volar or dorsal rim of the radius is involved. It is also sometimes termed the dorsal type barton fracture to distinguish it. This type of broken bone can happen.
Barton's fracture hand (or distal joint) articulated to distal
Barton Fracture X Ray A barton fracture is a painful, dislocated wrist fracture that causes swelling and numb or tingling fingertips. It is also sometimes termed the dorsal type barton fracture to distinguish it. A barton fracture can be described as volar (more common) or dorsal (less common), depending on whether the volar or dorsal rim of the radius is involved. This type of broken bone can happen. Barton fractures are fractures of the distal radius. The reverse barton fracture is an articular fracture of the distal radius with dislocation in which the articular surface of the radius remains in contact with the carpus; A barton fracture is a painful, dislocated wrist fracture that causes swelling and numb or tingling fingertips.
From www.slideshare.net
Distal End Radius Fractures Colles, Smiths & Bartons Barton Fracture X Ray It is also sometimes termed the dorsal type barton fracture to distinguish it. A barton fracture is a painful, dislocated wrist fracture that causes swelling and numb or tingling fingertips. Barton fractures are fractures of the distal radius. A barton fracture can be described as volar (more common) or dorsal (less common), depending on whether the volar or dorsal rim. Barton Fracture X Ray.
From www.youtube.com
Barton's fracture Forearm fracture Distal radius fracture Intra Barton Fracture X Ray A barton fracture is a painful, dislocated wrist fracture that causes swelling and numb or tingling fingertips. The reverse barton fracture is an articular fracture of the distal radius with dislocation in which the articular surface of the radius remains in contact with the carpus; This type of broken bone can happen. Barton fractures are fractures of the distal radius.. Barton Fracture X Ray.
From www.researchgate.net
Reverse (volar) Barton fracture. (a) PA radiograph of the right wrist Barton Fracture X Ray This type of broken bone can happen. A barton fracture is a painful, dislocated wrist fracture that causes swelling and numb or tingling fingertips. Barton fractures are fractures of the distal radius. It is also sometimes termed the dorsal type barton fracture to distinguish it. A barton fracture can be described as volar (more common) or dorsal (less common), depending. Barton Fracture X Ray.
From litfl.com
Barton fracture • LITFL • Medical Eponym Library Barton Fracture X Ray A barton fracture is a painful, dislocated wrist fracture that causes swelling and numb or tingling fingertips. The reverse barton fracture is an articular fracture of the distal radius with dislocation in which the articular surface of the radius remains in contact with the carpus; A barton fracture can be described as volar (more common) or dorsal (less common), depending. Barton Fracture X Ray.
From www.animalia-life.club
Barton Fracture Barton Fracture X Ray A barton fracture is a painful, dislocated wrist fracture that causes swelling and numb or tingling fingertips. The reverse barton fracture is an articular fracture of the distal radius with dislocation in which the articular surface of the radius remains in contact with the carpus; This type of broken bone can happen. Barton fractures are fractures of the distal radius.. Barton Fracture X Ray.
From www.osteosynthesis.org
Volar Barton fracture dislocation distal radius Barton Fracture X Ray This type of broken bone can happen. It is also sometimes termed the dorsal type barton fracture to distinguish it. The reverse barton fracture is an articular fracture of the distal radius with dislocation in which the articular surface of the radius remains in contact with the carpus; A barton fracture can be described as volar (more common) or dorsal. Barton Fracture X Ray.
From www.ajronline.org
Fracture of the Distal Radius Epidemiology and Premanagement Barton Fracture X Ray It is also sometimes termed the dorsal type barton fracture to distinguish it. A barton fracture is a painful, dislocated wrist fracture that causes swelling and numb or tingling fingertips. The reverse barton fracture is an articular fracture of the distal radius with dislocation in which the articular surface of the radius remains in contact with the carpus; Barton fractures. Barton Fracture X Ray.
From radiologycases.my
Barton fracture Radiology Cases Barton Fracture X Ray A barton fracture can be described as volar (more common) or dorsal (less common), depending on whether the volar or dorsal rim of the radius is involved. It is also sometimes termed the dorsal type barton fracture to distinguish it. Barton fractures are fractures of the distal radius. A barton fracture is a painful, dislocated wrist fracture that causes swelling. Barton Fracture X Ray.
From ar.inspiredpencil.com
Barton Fracture Barton Fracture X Ray Barton fractures are fractures of the distal radius. A barton fracture is a painful, dislocated wrist fracture that causes swelling and numb or tingling fingertips. The reverse barton fracture is an articular fracture of the distal radius with dislocation in which the articular surface of the radius remains in contact with the carpus; This type of broken bone can happen.. Barton Fracture X Ray.
From www.radiologymasterclass.co.uk
Trauma Xray Upper limb gallery 2 Distal radius fracture Barton Fracture X Ray Barton fractures are fractures of the distal radius. The reverse barton fracture is an articular fracture of the distal radius with dislocation in which the articular surface of the radius remains in contact with the carpus; A barton fracture is a painful, dislocated wrist fracture that causes swelling and numb or tingling fingertips. It is also sometimes termed the dorsal. Barton Fracture X Ray.
From www.pinterest.com
Reverse Barton fracture Radiology Reference Article Barton Fracture X Ray This type of broken bone can happen. A barton fracture is a painful, dislocated wrist fracture that causes swelling and numb or tingling fingertips. Barton fractures are fractures of the distal radius. It is also sometimes termed the dorsal type barton fracture to distinguish it. The reverse barton fracture is an articular fracture of the distal radius with dislocation in. Barton Fracture X Ray.
From radiologycases.my
Barton fracture Radiology Cases Barton Fracture X Ray A barton fracture is a painful, dislocated wrist fracture that causes swelling and numb or tingling fingertips. A barton fracture can be described as volar (more common) or dorsal (less common), depending on whether the volar or dorsal rim of the radius is involved. It is also sometimes termed the dorsal type barton fracture to distinguish it. Barton fractures are. Barton Fracture X Ray.
From sites.uw.edu
Common Distal Radial Fractures UW Emergency Radiology Barton Fracture X Ray A barton fracture is a painful, dislocated wrist fracture that causes swelling and numb or tingling fingertips. It is also sometimes termed the dorsal type barton fracture to distinguish it. A barton fracture can be described as volar (more common) or dorsal (less common), depending on whether the volar or dorsal rim of the radius is involved. This type of. Barton Fracture X Ray.
From radiologycases.my
Barton fracture Radiology Cases Barton Fracture X Ray A barton fracture is a painful, dislocated wrist fracture that causes swelling and numb or tingling fingertips. A barton fracture can be described as volar (more common) or dorsal (less common), depending on whether the volar or dorsal rim of the radius is involved. Barton fractures are fractures of the distal radius. This type of broken bone can happen. It. Barton Fracture X Ray.
From www.cureus.com
Cureus Volar Barton Fracture and Ulnar Styloid Fracture With Distal Barton Fracture X Ray A barton fracture can be described as volar (more common) or dorsal (less common), depending on whether the volar or dorsal rim of the radius is involved. It is also sometimes termed the dorsal type barton fracture to distinguish it. Barton fractures are fractures of the distal radius. The reverse barton fracture is an articular fracture of the distal radius. Barton Fracture X Ray.
From www.researchgate.net
Triquetral fracture. (a) PA radiograph of the right wrist demonstrates Barton Fracture X Ray This type of broken bone can happen. A barton fracture can be described as volar (more common) or dorsal (less common), depending on whether the volar or dorsal rim of the radius is involved. It is also sometimes termed the dorsal type barton fracture to distinguish it. Barton fractures are fractures of the distal radius. A barton fracture is a. Barton Fracture X Ray.
From www.slideshare.net
Barton’s fracture Barton Fracture X Ray A barton fracture is a painful, dislocated wrist fracture that causes swelling and numb or tingling fingertips. A barton fracture can be described as volar (more common) or dorsal (less common), depending on whether the volar or dorsal rim of the radius is involved. This type of broken bone can happen. Barton fractures are fractures of the distal radius. The. Barton Fracture X Ray.
From geekymedics.com
Wrist Xray Interpretation OSCE Guide Geeky Medics Barton Fracture X Ray The reverse barton fracture is an articular fracture of the distal radius with dislocation in which the articular surface of the radius remains in contact with the carpus; A barton fracture can be described as volar (more common) or dorsal (less common), depending on whether the volar or dorsal rim of the radius is involved. A barton fracture is a. Barton Fracture X Ray.
From fractures.thecommonvein.net
Barton’s Fracture Bone Fractures Barton Fracture X Ray This type of broken bone can happen. Barton fractures are fractures of the distal radius. A barton fracture can be described as volar (more common) or dorsal (less common), depending on whether the volar or dorsal rim of the radius is involved. The reverse barton fracture is an articular fracture of the distal radius with dislocation in which the articular. Barton Fracture X Ray.
From proper-cooking.info
Barton Fracture Barton Fracture X Ray The reverse barton fracture is an articular fracture of the distal radius with dislocation in which the articular surface of the radius remains in contact with the carpus; A barton fracture is a painful, dislocated wrist fracture that causes swelling and numb or tingling fingertips. A barton fracture can be described as volar (more common) or dorsal (less common), depending. Barton Fracture X Ray.
From radiopaedia.org
Barton fracture dorsal type Image Barton Fracture X Ray A barton fracture is a painful, dislocated wrist fracture that causes swelling and numb or tingling fingertips. Barton fractures are fractures of the distal radius. A barton fracture can be described as volar (more common) or dorsal (less common), depending on whether the volar or dorsal rim of the radius is involved. This type of broken bone can happen. It. Barton Fracture X Ray.
From radiologycases.my
Barton fracture Radiology Cases Barton Fracture X Ray Barton fractures are fractures of the distal radius. It is also sometimes termed the dorsal type barton fracture to distinguish it. This type of broken bone can happen. A barton fracture is a painful, dislocated wrist fracture that causes swelling and numb or tingling fingertips. A barton fracture can be described as volar (more common) or dorsal (less common), depending. Barton Fracture X Ray.
From litfl.com
Barton fracture • LITFL • Medical Eponym Library Barton Fracture X Ray It is also sometimes termed the dorsal type barton fracture to distinguish it. A barton fracture is a painful, dislocated wrist fracture that causes swelling and numb or tingling fingertips. Barton fractures are fractures of the distal radius. This type of broken bone can happen. The reverse barton fracture is an articular fracture of the distal radius with dislocation in. Barton Fracture X Ray.
From radiopaedia.org
Barton fracture dorsal type Image Barton Fracture X Ray A barton fracture can be described as volar (more common) or dorsal (less common), depending on whether the volar or dorsal rim of the radius is involved. The reverse barton fracture is an articular fracture of the distal radius with dislocation in which the articular surface of the radius remains in contact with the carpus; This type of broken bone. Barton Fracture X Ray.
From www.radshare.net
Barton fracture Radiology Case Barton Fracture X Ray A barton fracture is a painful, dislocated wrist fracture that causes swelling and numb or tingling fingertips. Barton fractures are fractures of the distal radius. The reverse barton fracture is an articular fracture of the distal radius with dislocation in which the articular surface of the radius remains in contact with the carpus; This type of broken bone can happen.. Barton Fracture X Ray.
From www.animalia-life.club
Barton Fracture Barton Fracture X Ray The reverse barton fracture is an articular fracture of the distal radius with dislocation in which the articular surface of the radius remains in contact with the carpus; This type of broken bone can happen. Barton fractures are fractures of the distal radius. A barton fracture can be described as volar (more common) or dorsal (less common), depending on whether. Barton Fracture X Ray.
From www.pinterest.com
Barton's fracture hand (or distal joint) articulated to distal Barton Fracture X Ray A barton fracture can be described as volar (more common) or dorsal (less common), depending on whether the volar or dorsal rim of the radius is involved. This type of broken bone can happen. A barton fracture is a painful, dislocated wrist fracture that causes swelling and numb or tingling fingertips. It is also sometimes termed the dorsal type barton. Barton Fracture X Ray.
From radiopaedia.org
Barton fracture Image Barton Fracture X Ray This type of broken bone can happen. The reverse barton fracture is an articular fracture of the distal radius with dislocation in which the articular surface of the radius remains in contact with the carpus; A barton fracture can be described as volar (more common) or dorsal (less common), depending on whether the volar or dorsal rim of the radius. Barton Fracture X Ray.
From www.animalia-life.club
Barton Fracture Barton Fracture X Ray It is also sometimes termed the dorsal type barton fracture to distinguish it. A barton fracture is a painful, dislocated wrist fracture that causes swelling and numb or tingling fingertips. The reverse barton fracture is an articular fracture of the distal radius with dislocation in which the articular surface of the radius remains in contact with the carpus; Barton fractures. Barton Fracture X Ray.
From www.animalia-life.club
Barton Fracture Barton Fracture X Ray It is also sometimes termed the dorsal type barton fracture to distinguish it. A barton fracture can be described as volar (more common) or dorsal (less common), depending on whether the volar or dorsal rim of the radius is involved. Barton fractures are fractures of the distal radius. The reverse barton fracture is an articular fracture of the distal radius. Barton Fracture X Ray.
From www.imageinterpretation.co.uk
The Wrist Barton Fracture X Ray This type of broken bone can happen. A barton fracture is a painful, dislocated wrist fracture that causes swelling and numb or tingling fingertips. Barton fractures are fractures of the distal radius. The reverse barton fracture is an articular fracture of the distal radius with dislocation in which the articular surface of the radius remains in contact with the carpus;. Barton Fracture X Ray.
From www.ricardokaempf.com.br
Fratura de Barton Barton Fracture X Ray A barton fracture can be described as volar (more common) or dorsal (less common), depending on whether the volar or dorsal rim of the radius is involved. The reverse barton fracture is an articular fracture of the distal radius with dislocation in which the articular surface of the radius remains in contact with the carpus; Barton fractures are fractures of. Barton Fracture X Ray.
From www.pinterest.com.mx
Barton fracture Radiology Case Radiology Barton Fracture X Ray Barton fractures are fractures of the distal radius. A barton fracture can be described as volar (more common) or dorsal (less common), depending on whether the volar or dorsal rim of the radius is involved. The reverse barton fracture is an articular fracture of the distal radius with dislocation in which the articular surface of the radius remains in contact. Barton Fracture X Ray.
From www.animalia-life.club
Barton Fracture Barton Fracture X Ray Barton fractures are fractures of the distal radius. It is also sometimes termed the dorsal type barton fracture to distinguish it. A barton fracture can be described as volar (more common) or dorsal (less common), depending on whether the volar or dorsal rim of the radius is involved. A barton fracture is a painful, dislocated wrist fracture that causes swelling. Barton Fracture X Ray.
From mavink.com
Fractura De Barton Dorsal Barton Fracture X Ray It is also sometimes termed the dorsal type barton fracture to distinguish it. Barton fractures are fractures of the distal radius. A barton fracture can be described as volar (more common) or dorsal (less common), depending on whether the volar or dorsal rim of the radius is involved. This type of broken bone can happen. A barton fracture is a. Barton Fracture X Ray.