Rash Around Healing Wound . Here's how to id signs of a developing infection so you can treat it before it causes real trouble. So why does skin itch while healing? wounds should get better over time. whether you scrape your knee, cut yourself, or are recovering from surgery, you might experience the same annoying side effect: If your wound is becoming more painful, red, or swollen over time, your wound could be infected. a skin infection is a condition in which germs (bacteria, viruses, or fungi) infect your skin and sometimes the deep. Medically reviewed by michael spertus, md. the following are the signs that point out to a wound healing: Scientists are still investigating, but it's believed that as the skin heals, it stimulates nerve cells that can leave you feeling itchy. how to know if a wound is healing or infected signs that a wound is healing normally include: the signs and symptoms of wound infection include increasing pain, swelling, and redness around the affected area. Any injury (barring burns and pressure ulcers) or wound goes through the initial stages of bleeding, clotting, and scabbing. A person may be able to treat a mild infection of a small wound at home by. A simple wound, if not treated properly, can quickly turn serious. 9 signs of an infected cut or scrape you should never ignore.
from www.medicalnewstoday.com
the following are the signs that point out to a wound healing: wounds should get better over time. Scientists are still investigating, but it's believed that as the skin heals, it stimulates nerve cells that can leave you feeling itchy. If your wound is becoming more painful, red, or swollen over time, your wound could be infected. A person may be able to treat a mild infection of a small wound at home by. the signs and symptoms of wound infection include increasing pain, swelling, and redness around the affected area. Here's how to id signs of a developing infection so you can treat it before it causes real trouble. whether you scrape your knee, cut yourself, or are recovering from surgery, you might experience the same annoying side effect: So why does skin itch while healing? how to know if a wound is healing or infected signs that a wound is healing normally include:
Circular rash Causes and diagnosis
Rash Around Healing Wound So why does skin itch while healing? A simple wound, if not treated properly, can quickly turn serious. A person may be able to treat a mild infection of a small wound at home by. Medically reviewed by michael spertus, md. the signs and symptoms of wound infection include increasing pain, swelling, and redness around the affected area. how to know if a wound is healing or infected signs that a wound is healing normally include: Here's how to id signs of a developing infection so you can treat it before it causes real trouble. If your wound is becoming more painful, red, or swollen over time, your wound could be infected. wounds should get better over time. a skin infection is a condition in which germs (bacteria, viruses, or fungi) infect your skin and sometimes the deep. Any injury (barring burns and pressure ulcers) or wound goes through the initial stages of bleeding, clotting, and scabbing. the following are the signs that point out to a wound healing: Scientists are still investigating, but it's believed that as the skin heals, it stimulates nerve cells that can leave you feeling itchy. So why does skin itch while healing? whether you scrape your knee, cut yourself, or are recovering from surgery, you might experience the same annoying side effect: 9 signs of an infected cut or scrape you should never ignore.
From www.alamy.com
Poison Ivy rash and blisters on a leg Stock Photo Alamy Rash Around Healing Wound Here's how to id signs of a developing infection so you can treat it before it causes real trouble. whether you scrape your knee, cut yourself, or are recovering from surgery, you might experience the same annoying side effect: a skin infection is a condition in which germs (bacteria, viruses, or fungi) infect your skin and sometimes the. Rash Around Healing Wound.
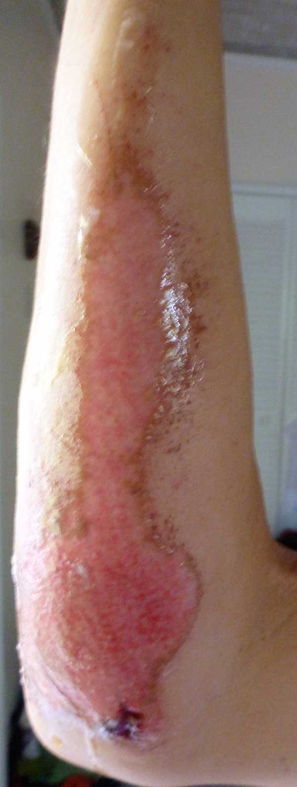
From ar.inspiredpencil.com
Leg Ulcer Treatment Rash Around Healing Wound Medically reviewed by michael spertus, md. whether you scrape your knee, cut yourself, or are recovering from surgery, you might experience the same annoying side effect: Any injury (barring burns and pressure ulcers) or wound goes through the initial stages of bleeding, clotting, and scabbing. So why does skin itch while healing? the following are the signs that. Rash Around Healing Wound.
From www.reddit.com
Purple/blue border around healing wound after abscess drainage Rash Around Healing Wound a skin infection is a condition in which germs (bacteria, viruses, or fungi) infect your skin and sometimes the deep. Medically reviewed by michael spertus, md. the following are the signs that point out to a wound healing: So why does skin itch while healing? A simple wound, if not treated properly, can quickly turn serious. the. Rash Around Healing Wound.
From cyclingmagazine.ca
8 tips for treating road rash Canadian Cycling Magazine Rash Around Healing Wound how to know if a wound is healing or infected signs that a wound is healing normally include: the signs and symptoms of wound infection include increasing pain, swelling, and redness around the affected area. wounds should get better over time. Here's how to id signs of a developing infection so you can treat it before it. Rash Around Healing Wound.
From exyfhsfjk.blob.core.windows.net
Fabric Rash Treatment at Victoria Perry blog Rash Around Healing Wound A person may be able to treat a mild infection of a small wound at home by. the following are the signs that point out to a wound healing: wounds should get better over time. Scientists are still investigating, but it's believed that as the skin heals, it stimulates nerve cells that can leave you feeling itchy. . Rash Around Healing Wound.
From fyoowqklb.blob.core.windows.net
Itchy Rash Around Waist at Sara Nickerson blog Rash Around Healing Wound the following are the signs that point out to a wound healing: So why does skin itch while healing? wounds should get better over time. If your wound is becoming more painful, red, or swollen over time, your wound could be infected. whether you scrape your knee, cut yourself, or are recovering from surgery, you might experience. Rash Around Healing Wound.
From fyobqubag.blob.core.windows.net
Wound Care Products For Burns at Thomas Velazquez blog Rash Around Healing Wound whether you scrape your knee, cut yourself, or are recovering from surgery, you might experience the same annoying side effect: Scientists are still investigating, but it's believed that as the skin heals, it stimulates nerve cells that can leave you feeling itchy. a skin infection is a condition in which germs (bacteria, viruses, or fungi) infect your skin. Rash Around Healing Wound.
From ar.inspiredpencil.com
Rash In Adults Rash Around Healing Wound A person may be able to treat a mild infection of a small wound at home by. whether you scrape your knee, cut yourself, or are recovering from surgery, you might experience the same annoying side effect: a skin infection is a condition in which germs (bacteria, viruses, or fungi) infect your skin and sometimes the deep. Here's. Rash Around Healing Wound.
From humanbiosciences.com
What Is Wound Care Specialist Treatment Dressings Types Healing Rash Around Healing Wound Here's how to id signs of a developing infection so you can treat it before it causes real trouble. a skin infection is a condition in which germs (bacteria, viruses, or fungi) infect your skin and sometimes the deep. A simple wound, if not treated properly, can quickly turn serious. So why does skin itch while healing? the. Rash Around Healing Wound.
From quizlet.com
Stages Of Wound Healing Diagram Quizlet Rash Around Healing Wound wounds should get better over time. So why does skin itch while healing? Any injury (barring burns and pressure ulcers) or wound goes through the initial stages of bleeding, clotting, and scabbing. 9 signs of an infected cut or scrape you should never ignore. the following are the signs that point out to a wound healing: If. Rash Around Healing Wound.
From www.medicalnewstoday.com
Ring rash Causes, symptoms, and treatment Rash Around Healing Wound the signs and symptoms of wound infection include increasing pain, swelling, and redness around the affected area. how to know if a wound is healing or infected signs that a wound is healing normally include: Scientists are still investigating, but it's believed that as the skin heals, it stimulates nerve cells that can leave you feeling itchy. Medically. Rash Around Healing Wound.
From forlessmaha.weebly.com
What does infected road rash look like forlessmaha Rash Around Healing Wound a skin infection is a condition in which germs (bacteria, viruses, or fungi) infect your skin and sometimes the deep. Here's how to id signs of a developing infection so you can treat it before it causes real trouble. A simple wound, if not treated properly, can quickly turn serious. 9 signs of an infected cut or scrape. Rash Around Healing Wound.
From www.osfhealthcare.org
How to tell if a wound is healing or infected OSF HealthCare Rash Around Healing Wound wounds should get better over time. Here's how to id signs of a developing infection so you can treat it before it causes real trouble. So why does skin itch while healing? the following are the signs that point out to a wound healing: a skin infection is a condition in which germs (bacteria, viruses, or fungi). Rash Around Healing Wound.
From charisawernick.blogspot.com
Charisa Wernick Road Rash Update Rash Around Healing Wound the signs and symptoms of wound infection include increasing pain, swelling, and redness around the affected area. wounds should get better over time. So why does skin itch while healing? If your wound is becoming more painful, red, or swollen over time, your wound could be infected. A simple wound, if not treated properly, can quickly turn serious.. Rash Around Healing Wound.
From hxevgomtv.blob.core.windows.net
Scrape On Leg Won't Heal at Kerrie Helms blog Rash Around Healing Wound Here's how to id signs of a developing infection so you can treat it before it causes real trouble. wounds should get better over time. the signs and symptoms of wound infection include increasing pain, swelling, and redness around the affected area. Medically reviewed by michael spertus, md. whether you scrape your knee, cut yourself, or are. Rash Around Healing Wound.
From www.pinterest.com
Is That a Rash? Maybe, Maybe Not. Wound care specialists are often Rash Around Healing Wound how to know if a wound is healing or infected signs that a wound is healing normally include: wounds should get better over time. the signs and symptoms of wound infection include increasing pain, swelling, and redness around the affected area. Any injury (barring burns and pressure ulcers) or wound goes through the initial stages of bleeding,. Rash Around Healing Wound.
From www.sciencephoto.com
Healing Wound Stock Image M330/1571 Science Photo Library Rash Around Healing Wound A person may be able to treat a mild infection of a small wound at home by. A simple wound, if not treated properly, can quickly turn serious. Any injury (barring burns and pressure ulcers) or wound goes through the initial stages of bleeding, clotting, and scabbing. Scientists are still investigating, but it's believed that as the skin heals, it. Rash Around Healing Wound.
From www.reddit.com
Very Itchy Rash around Ankles, Persistent for Weeks r Rash Around Healing Wound how to know if a wound is healing or infected signs that a wound is healing normally include: whether you scrape your knee, cut yourself, or are recovering from surgery, you might experience the same annoying side effect: Here's how to id signs of a developing infection so you can treat it before it causes real trouble. So. Rash Around Healing Wound.
From exyxqpqry.blob.core.windows.net
Burn Treatment Second Degree Healing Process at Deana Charles blog Rash Around Healing Wound A person may be able to treat a mild infection of a small wound at home by. 9 signs of an infected cut or scrape you should never ignore. whether you scrape your knee, cut yourself, or are recovering from surgery, you might experience the same annoying side effect: Any injury (barring burns and pressure ulcers) or wound. Rash Around Healing Wound.
From visionslasopa837.weebly.com
Road rash healing yellow visionslasopa Rash Around Healing Wound how to know if a wound is healing or infected signs that a wound is healing normally include: 9 signs of an infected cut or scrape you should never ignore. a skin infection is a condition in which germs (bacteria, viruses, or fungi) infect your skin and sometimes the deep. A person may be able to treat. Rash Around Healing Wound.
From www.youtube.com
How to Stop Your Wound from Scarring (my facial road rash quick healing Rash Around Healing Wound If your wound is becoming more painful, red, or swollen over time, your wound could be infected. a skin infection is a condition in which germs (bacteria, viruses, or fungi) infect your skin and sometimes the deep. how to know if a wound is healing or infected signs that a wound is healing normally include: the signs. Rash Around Healing Wound.
From www.youtube.com
Progressive wound healing YouTube Rash Around Healing Wound the following are the signs that point out to a wound healing: Here's how to id signs of a developing infection so you can treat it before it causes real trouble. wounds should get better over time. Any injury (barring burns and pressure ulcers) or wound goes through the initial stages of bleeding, clotting, and scabbing. 9. Rash Around Healing Wound.
From www.verywellhealth.com
Itchy Blister Rash Pictures, Causes, and Treatment Rash Around Healing Wound A person may be able to treat a mild infection of a small wound at home by. If your wound is becoming more painful, red, or swollen over time, your wound could be infected. Any injury (barring burns and pressure ulcers) or wound goes through the initial stages of bleeding, clotting, and scabbing. the signs and symptoms of wound. Rash Around Healing Wound.
From exylxeufq.blob.core.windows.net
Lymes Disease Ring Rash at Michael Campbell blog Rash Around Healing Wound Here's how to id signs of a developing infection so you can treat it before it causes real trouble. A simple wound, if not treated properly, can quickly turn serious. how to know if a wound is healing or infected signs that a wound is healing normally include: wounds should get better over time. whether you scrape. Rash Around Healing Wound.
From finwise.edu.vn
Top 90+ Pictures What Does An Infected Wound Look Like Pictures Excellent Rash Around Healing Wound wounds should get better over time. A simple wound, if not treated properly, can quickly turn serious. So why does skin itch while healing? 9 signs of an infected cut or scrape you should never ignore. Scientists are still investigating, but it's believed that as the skin heals, it stimulates nerve cells that can leave you feeling itchy.. Rash Around Healing Wound.
From www.reddit.com
Is this rash wound infected? r/medical Rash Around Healing Wound the signs and symptoms of wound infection include increasing pain, swelling, and redness around the affected area. Medically reviewed by michael spertus, md. the following are the signs that point out to a wound healing: Scientists are still investigating, but it's believed that as the skin heals, it stimulates nerve cells that can leave you feeling itchy. A. Rash Around Healing Wound.
From www.dermatologytimes.com
Wound healing in psoriasis, multiple sclerosis Rash Around Healing Wound Any injury (barring burns and pressure ulcers) or wound goes through the initial stages of bleeding, clotting, and scabbing. whether you scrape your knee, cut yourself, or are recovering from surgery, you might experience the same annoying side effect: 9 signs of an infected cut or scrape you should never ignore. wounds should get better over time.. Rash Around Healing Wound.
From www.medicalnewstoday.com
Ring rash Causes, symptoms, and treatment Rash Around Healing Wound Scientists are still investigating, but it's believed that as the skin heals, it stimulates nerve cells that can leave you feeling itchy. Here's how to id signs of a developing infection so you can treat it before it causes real trouble. a skin infection is a condition in which germs (bacteria, viruses, or fungi) infect your skin and sometimes. Rash Around Healing Wound.
From fyopzsdyr.blob.core.windows.net
Point Lesion Definition at Allen Kemmerer blog Rash Around Healing Wound the signs and symptoms of wound infection include increasing pain, swelling, and redness around the affected area. whether you scrape your knee, cut yourself, or are recovering from surgery, you might experience the same annoying side effect: A simple wound, if not treated properly, can quickly turn serious. a skin infection is a condition in which germs. Rash Around Healing Wound.
From www.shecares.com
Severe Skin Rash SheCares Rash Around Healing Wound Scientists are still investigating, but it's believed that as the skin heals, it stimulates nerve cells that can leave you feeling itchy. how to know if a wound is healing or infected signs that a wound is healing normally include: Medically reviewed by michael spertus, md. Here's how to id signs of a developing infection so you can treat. Rash Around Healing Wound.
From aminoco.com
Why Do Wounds Itch? Healing Process and How to Accelerate It Naturally Rash Around Healing Wound Any injury (barring burns and pressure ulcers) or wound goes through the initial stages of bleeding, clotting, and scabbing. Here's how to id signs of a developing infection so you can treat it before it causes real trouble. A simple wound, if not treated properly, can quickly turn serious. 9 signs of an infected cut or scrape you should. Rash Around Healing Wound.
From www.dreamstime.com
Large Healing Wound from a Severe Burn on the Leg of an Adult Male Rash Around Healing Wound how to know if a wound is healing or infected signs that a wound is healing normally include: A simple wound, if not treated properly, can quickly turn serious. a skin infection is a condition in which germs (bacteria, viruses, or fungi) infect your skin and sometimes the deep. 9 signs of an infected cut or scrape. Rash Around Healing Wound.
From www.pinterest.com
excoriated skin pictures Google Search Wound Care Pinterest Rash Around Healing Wound Scientists are still investigating, but it's believed that as the skin heals, it stimulates nerve cells that can leave you feeling itchy. Here's how to id signs of a developing infection so you can treat it before it causes real trouble. Any injury (barring burns and pressure ulcers) or wound goes through the initial stages of bleeding, clotting, and scabbing.. Rash Around Healing Wound.
From www.youtube.com
33 days of wound healing timelapse healing timelapse compilations Rash Around Healing Wound So why does skin itch while healing? A simple wound, if not treated properly, can quickly turn serious. how to know if a wound is healing or infected signs that a wound is healing normally include: If your wound is becoming more painful, red, or swollen over time, your wound could be infected. a skin infection is a. Rash Around Healing Wound.
From www.medicalnewstoday.com
Circular rash Causes and diagnosis Rash Around Healing Wound Medically reviewed by michael spertus, md. the following are the signs that point out to a wound healing: Here's how to id signs of a developing infection so you can treat it before it causes real trouble. wounds should get better over time. Any injury (barring burns and pressure ulcers) or wound goes through the initial stages of. Rash Around Healing Wound.