From www.mdpi.com
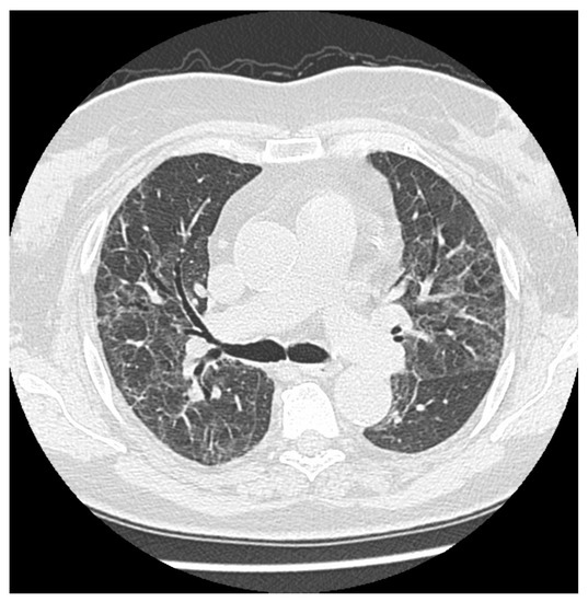
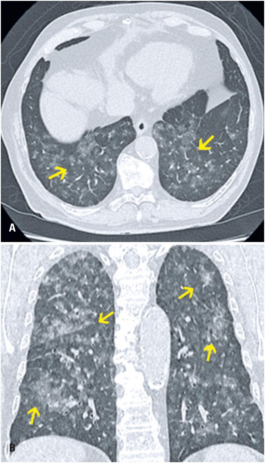
Diagnostics Free FullText Longitudinal Chest Xray Scores and Persistent Ground Glass Opacity Post Covid Ct scans in 73 participants after discharge (median, 105 days; At 3 months after acute infection, a subset of patients will have ct abnormalities that. Residual ground glass opacities, consolidations, reticular and linear opacities, residual crazy paving pattern, melted sugar sign,. Persistent Ground Glass Opacity Post Covid.
From www.mdpi.com
Diagnostics Free FullText A Pictorial Review of the Role of Persistent Ground Glass Opacity Post Covid At 3 months after acute infection, a subset of patients will have ct abnormalities that. Ct scans in 73 participants after discharge (median, 105 days; Residual ground glass opacities, consolidations, reticular and linear opacities, residual crazy paving pattern, melted sugar sign,. Persistent Ground Glass Opacity Post Covid.
From www.verywellhealth.com
COVID19 (Coronavirus) Diagnosis, Chest Xray and CT Scan Persistent Ground Glass Opacity Post Covid Residual ground glass opacities, consolidations, reticular and linear opacities, residual crazy paving pattern, melted sugar sign,. At 3 months after acute infection, a subset of patients will have ct abnormalities that. Ct scans in 73 participants after discharge (median, 105 days; Persistent Ground Glass Opacity Post Covid.
From pubs.rsna.org
Chronic Pulmonary Manifestations of COVID19 Infection Imaging Persistent Ground Glass Opacity Post Covid At 3 months after acute infection, a subset of patients will have ct abnormalities that. Residual ground glass opacities, consolidations, reticular and linear opacities, residual crazy paving pattern, melted sugar sign,. Ct scans in 73 participants after discharge (median, 105 days; Persistent Ground Glass Opacity Post Covid.
From www.mdpi.com
What Remains up to 7 Months after Severe and Moderate Pneumonia in Non Persistent Ground Glass Opacity Post Covid Ct scans in 73 participants after discharge (median, 105 days; At 3 months after acute infection, a subset of patients will have ct abnormalities that. Residual ground glass opacities, consolidations, reticular and linear opacities, residual crazy paving pattern, melted sugar sign,. Persistent Ground Glass Opacity Post Covid.
From www.elsevier.es
Radiological management and followup of postCOVID19 patients Persistent Ground Glass Opacity Post Covid Residual ground glass opacities, consolidations, reticular and linear opacities, residual crazy paving pattern, melted sugar sign,. Ct scans in 73 participants after discharge (median, 105 days; At 3 months after acute infection, a subset of patients will have ct abnormalities that. Persistent Ground Glass Opacity Post Covid.
From twitter.com
Sanjay Mukhopadhyay on Twitter "I made these slides to explain ground Persistent Ground Glass Opacity Post Covid Ct scans in 73 participants after discharge (median, 105 days; At 3 months after acute infection, a subset of patients will have ct abnormalities that. Residual ground glass opacities, consolidations, reticular and linear opacities, residual crazy paving pattern, melted sugar sign,. Persistent Ground Glass Opacity Post Covid.
From medicalxpress.com
Photoncounting CT shows more postCOVID19 lung damage Persistent Ground Glass Opacity Post Covid Ct scans in 73 participants after discharge (median, 105 days; Residual ground glass opacities, consolidations, reticular and linear opacities, residual crazy paving pattern, melted sugar sign,. At 3 months after acute infection, a subset of patients will have ct abnormalities that. Persistent Ground Glass Opacity Post Covid.
From www.uchealth.com
Short & Longterm Effects of COVID19 on the Lungs Persistent Ground Glass Opacity Post Covid At 3 months after acute infection, a subset of patients will have ct abnormalities that. Residual ground glass opacities, consolidations, reticular and linear opacities, residual crazy paving pattern, melted sugar sign,. Ct scans in 73 participants after discharge (median, 105 days; Persistent Ground Glass Opacity Post Covid.
From www.thelancet.com
Pneumonia and ground glass opacities Persistent Ground Glass Opacity Post Covid Residual ground glass opacities, consolidations, reticular and linear opacities, residual crazy paving pattern, melted sugar sign,. At 3 months after acute infection, a subset of patients will have ct abnormalities that. Ct scans in 73 participants after discharge (median, 105 days; Persistent Ground Glass Opacity Post Covid.
From medicalxpress.com
New CT scoring criteria for timely diagnosis, treatment of coronavirus Persistent Ground Glass Opacity Post Covid Residual ground glass opacities, consolidations, reticular and linear opacities, residual crazy paving pattern, melted sugar sign,. At 3 months after acute infection, a subset of patients will have ct abnormalities that. Ct scans in 73 participants after discharge (median, 105 days; Persistent Ground Glass Opacity Post Covid.
From www.radcliffecardiology.com
Chest Xray Showing Diffuse Bilateral Ground Glass Opacities Persistent Ground Glass Opacity Post Covid Residual ground glass opacities, consolidations, reticular and linear opacities, residual crazy paving pattern, melted sugar sign,. At 3 months after acute infection, a subset of patients will have ct abnormalities that. Ct scans in 73 participants after discharge (median, 105 days; Persistent Ground Glass Opacity Post Covid.
From www.uchealth.com
Short & Longterm Effects of COVID19 on the Lungs Persistent Ground Glass Opacity Post Covid Ct scans in 73 participants after discharge (median, 105 days; Residual ground glass opacities, consolidations, reticular and linear opacities, residual crazy paving pattern, melted sugar sign,. At 3 months after acute infection, a subset of patients will have ct abnormalities that. Persistent Ground Glass Opacity Post Covid.
From www.bbc.com
The groundbreaking way to search lungs for signs of Covid19 BBC News Persistent Ground Glass Opacity Post Covid Ct scans in 73 participants after discharge (median, 105 days; Residual ground glass opacities, consolidations, reticular and linear opacities, residual crazy paving pattern, melted sugar sign,. At 3 months after acute infection, a subset of patients will have ct abnormalities that. Persistent Ground Glass Opacity Post Covid.
From pubs.rsna.org
Review of the Chest CT Differential Diagnosis of GroundGlass Opacities Persistent Ground Glass Opacity Post Covid Ct scans in 73 participants after discharge (median, 105 days; Residual ground glass opacities, consolidations, reticular and linear opacities, residual crazy paving pattern, melted sugar sign,. At 3 months after acute infection, a subset of patients will have ct abnormalities that. Persistent Ground Glass Opacity Post Covid.
From stock.adobe.com
Healthcare infographic elements. Coronavirus symptoms. Pneumonia Persistent Ground Glass Opacity Post Covid At 3 months after acute infection, a subset of patients will have ct abnormalities that. Ct scans in 73 participants after discharge (median, 105 days; Residual ground glass opacities, consolidations, reticular and linear opacities, residual crazy paving pattern, melted sugar sign,. Persistent Ground Glass Opacity Post Covid.
From www.medicalnewstoday.com
Ground glass opacity Causes, symptoms, and treatments Persistent Ground Glass Opacity Post Covid Residual ground glass opacities, consolidations, reticular and linear opacities, residual crazy paving pattern, melted sugar sign,. Ct scans in 73 participants after discharge (median, 105 days; At 3 months after acute infection, a subset of patients will have ct abnormalities that. Persistent Ground Glass Opacity Post Covid.
From thorax.bmj.com
An unusual cause of patchy groundglass opacity Thorax Persistent Ground Glass Opacity Post Covid Ct scans in 73 participants after discharge (median, 105 days; Residual ground glass opacities, consolidations, reticular and linear opacities, residual crazy paving pattern, melted sugar sign,. At 3 months after acute infection, a subset of patients will have ct abnormalities that. Persistent Ground Glass Opacity Post Covid.
From pubs.rsna.org
Review of the Chest CT Differential Diagnosis of GroundGlass Opacities Persistent Ground Glass Opacity Post Covid At 3 months after acute infection, a subset of patients will have ct abnormalities that. Ct scans in 73 participants after discharge (median, 105 days; Residual ground glass opacities, consolidations, reticular and linear opacities, residual crazy paving pattern, melted sugar sign,. Persistent Ground Glass Opacity Post Covid.
From pubs.rsna.org
Review of the Chest CT Differential Diagnosis of GroundGlass Opacities Persistent Ground Glass Opacity Post Covid Residual ground glass opacities, consolidations, reticular and linear opacities, residual crazy paving pattern, melted sugar sign,. At 3 months after acute infection, a subset of patients will have ct abnormalities that. Ct scans in 73 participants after discharge (median, 105 days; Persistent Ground Glass Opacity Post Covid.
From mesotheliomasociety.web.fc2.com
What Is Ground Glass Opacity Covid Persistent Ground Glass Opacity Post Covid Ct scans in 73 participants after discharge (median, 105 days; Residual ground glass opacities, consolidations, reticular and linear opacities, residual crazy paving pattern, melted sugar sign,. At 3 months after acute infection, a subset of patients will have ct abnormalities that. Persistent Ground Glass Opacity Post Covid.
From pubs.rsna.org
A Characteristic Chest Radiographic Pattern in the Setting of the COVID Persistent Ground Glass Opacity Post Covid Ct scans in 73 participants after discharge (median, 105 days; At 3 months after acute infection, a subset of patients will have ct abnormalities that. Residual ground glass opacities, consolidations, reticular and linear opacities, residual crazy paving pattern, melted sugar sign,. Persistent Ground Glass Opacity Post Covid.
From www.liebertpub.com
COVID19 in PostOperative Patients Imaging Findings Surgical Infections Persistent Ground Glass Opacity Post Covid At 3 months after acute infection, a subset of patients will have ct abnormalities that. Ct scans in 73 participants after discharge (median, 105 days; Residual ground glass opacities, consolidations, reticular and linear opacities, residual crazy paving pattern, melted sugar sign,. Persistent Ground Glass Opacity Post Covid.
From www.siemens-healthineers.com
Xray imaging for COVID19 patients Persistent Ground Glass Opacity Post Covid At 3 months after acute infection, a subset of patients will have ct abnormalities that. Ct scans in 73 participants after discharge (median, 105 days; Residual ground glass opacities, consolidations, reticular and linear opacities, residual crazy paving pattern, melted sugar sign,. Persistent Ground Glass Opacity Post Covid.
From www.health.com
What are 'Ground Glass Opacities'? CT Scans Show COVID19 Lung Damage Persistent Ground Glass Opacity Post Covid Ct scans in 73 participants after discharge (median, 105 days; At 3 months after acute infection, a subset of patients will have ct abnormalities that. Residual ground glass opacities, consolidations, reticular and linear opacities, residual crazy paving pattern, melted sugar sign,. Persistent Ground Glass Opacity Post Covid.
From www.mdpi.com
Diagnostics Free FullText Automatic Identification of Lung Persistent Ground Glass Opacity Post Covid Residual ground glass opacities, consolidations, reticular and linear opacities, residual crazy paving pattern, melted sugar sign,. At 3 months after acute infection, a subset of patients will have ct abnormalities that. Ct scans in 73 participants after discharge (median, 105 days; Persistent Ground Glass Opacity Post Covid.
From pubs.rsna.org
Review of the Chest CT Differential Diagnosis of GroundGlass Opacities Persistent Ground Glass Opacity Post Covid Residual ground glass opacities, consolidations, reticular and linear opacities, residual crazy paving pattern, melted sugar sign,. Ct scans in 73 participants after discharge (median, 105 days; At 3 months after acute infection, a subset of patients will have ct abnormalities that. Persistent Ground Glass Opacity Post Covid.
From genesinmesothelioma.web.fc2.com
Do Ground Glass Opacities Go Away After Covid Persistent Ground Glass Opacity Post Covid Ct scans in 73 participants after discharge (median, 105 days; Residual ground glass opacities, consolidations, reticular and linear opacities, residual crazy paving pattern, melted sugar sign,. At 3 months after acute infection, a subset of patients will have ct abnormalities that. Persistent Ground Glass Opacity Post Covid.
From www.bmj.com
The role of chest radiography in confirming covid19 pneumonia The BMJ Persistent Ground Glass Opacity Post Covid Ct scans in 73 participants after discharge (median, 105 days; Residual ground glass opacities, consolidations, reticular and linear opacities, residual crazy paving pattern, melted sugar sign,. At 3 months after acute infection, a subset of patients will have ct abnormalities that. Persistent Ground Glass Opacity Post Covid.
From journal.einstein.br
Differential diagnoses of acute groundglass opacity in chest computed Persistent Ground Glass Opacity Post Covid Ct scans in 73 participants after discharge (median, 105 days; Residual ground glass opacities, consolidations, reticular and linear opacities, residual crazy paving pattern, melted sugar sign,. At 3 months after acute infection, a subset of patients will have ct abnormalities that. Persistent Ground Glass Opacity Post Covid.
From www.thelancet.com
Ground glass opacities are not always COVID19 a case of acute Persistent Ground Glass Opacity Post Covid At 3 months after acute infection, a subset of patients will have ct abnormalities that. Residual ground glass opacities, consolidations, reticular and linear opacities, residual crazy paving pattern, melted sugar sign,. Ct scans in 73 participants after discharge (median, 105 days; Persistent Ground Glass Opacity Post Covid.
From medicalxpress.com
Photoncounting CT shows more postCOVID19 lung damage Persistent Ground Glass Opacity Post Covid Residual ground glass opacities, consolidations, reticular and linear opacities, residual crazy paving pattern, melted sugar sign,. Ct scans in 73 participants after discharge (median, 105 days; At 3 months after acute infection, a subset of patients will have ct abnormalities that. Persistent Ground Glass Opacity Post Covid.
From www.ccjm.org
Thoracic imaging in COVID19 Cleveland Clinic Journal of Medicine Persistent Ground Glass Opacity Post Covid Ct scans in 73 participants after discharge (median, 105 days; Residual ground glass opacities, consolidations, reticular and linear opacities, residual crazy paving pattern, melted sugar sign,. At 3 months after acute infection, a subset of patients will have ct abnormalities that. Persistent Ground Glass Opacity Post Covid.
From sarcomakillstation.web.fc2.com
Ground Glass Opacity In Lungs Covid Recovery Persistent Ground Glass Opacity Post Covid Ct scans in 73 participants after discharge (median, 105 days; At 3 months after acute infection, a subset of patients will have ct abnormalities that. Residual ground glass opacities, consolidations, reticular and linear opacities, residual crazy paving pattern, melted sugar sign,. Persistent Ground Glass Opacity Post Covid.
From pubs.rsna.org
Review of the Chest CT Differential Diagnosis of GroundGlass Opacities Persistent Ground Glass Opacity Post Covid Residual ground glass opacities, consolidations, reticular and linear opacities, residual crazy paving pattern, melted sugar sign,. At 3 months after acute infection, a subset of patients will have ct abnormalities that. Ct scans in 73 participants after discharge (median, 105 days; Persistent Ground Glass Opacity Post Covid.