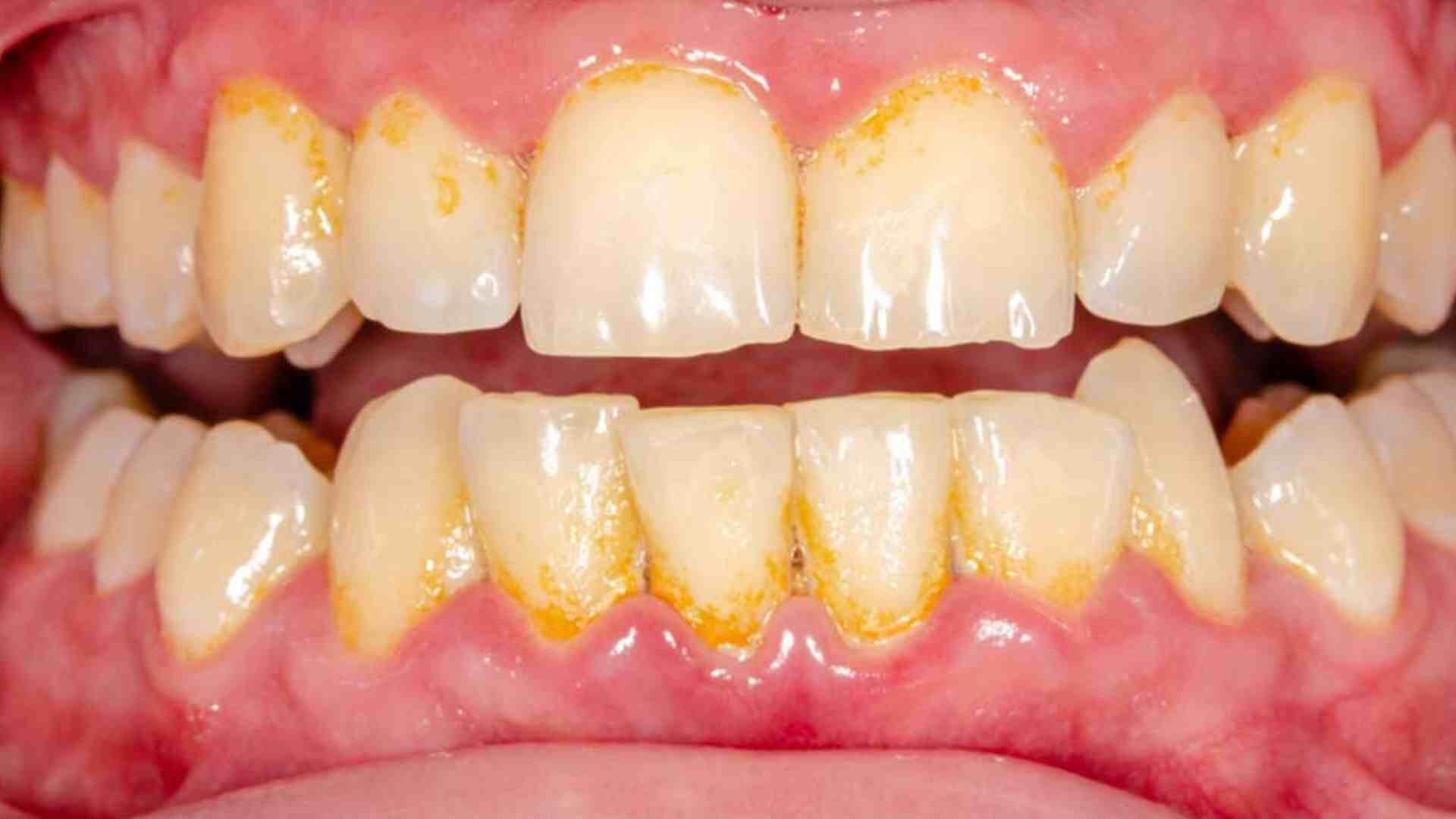
How To Remove Tartar From Dentures Without Dentist . Find out when to see a dentist for a professional. Find out the signs of tartar buildup, the natural remedies, and the prevention tips. Use warm water to soften the tartar for easier removal. A generic strategy for cleaning dentures. How to remove tartar from teeth without a dentist. Get tips on how to prevent plaque buildup and maintain a healthy smile. Why removing plaque from dentures is important. How to remove plaque from dentures. You can remove tartar from teeth without a dentist using baking soda, oil pulling, aloe vera, orange peels, or a dental pick at. Learn what tartar (calculus) is, how it affects your oral health, and how to remove it at home or with a dentist. Learn how to prevent and treat plaque and tartar buildup at home with baking soda, coconut oil, and good oral hygiene. Discover natural ways on how to remove tartar from teeth without dentist. Don't try to remove tartar from your teeth by yourself.
from naturalremedyproject.com
Don't try to remove tartar from your teeth by yourself. A generic strategy for cleaning dentures. Learn what tartar (calculus) is, how it affects your oral health, and how to remove it at home or with a dentist. Discover natural ways on how to remove tartar from teeth without dentist. Use warm water to soften the tartar for easier removal. How to remove tartar from teeth without a dentist. Learn how to prevent and treat plaque and tartar buildup at home with baking soda, coconut oil, and good oral hygiene. You can remove tartar from teeth without a dentist using baking soda, oil pulling, aloe vera, orange peels, or a dental pick at. How to remove plaque from dentures. Get tips on how to prevent plaque buildup and maintain a healthy smile.
How to Remove Tartar from Teeth without Dentist Natural Remedy Project
How To Remove Tartar From Dentures Without Dentist Find out the signs of tartar buildup, the natural remedies, and the prevention tips. You can remove tartar from teeth without a dentist using baking soda, oil pulling, aloe vera, orange peels, or a dental pick at. Why removing plaque from dentures is important. Learn what tartar (calculus) is, how it affects your oral health, and how to remove it at home or with a dentist. Use warm water to soften the tartar for easier removal. How to remove plaque from dentures. A generic strategy for cleaning dentures. Get tips on how to prevent plaque buildup and maintain a healthy smile. Learn how to prevent and treat plaque and tartar buildup at home with baking soda, coconut oil, and good oral hygiene. Find out the signs of tartar buildup, the natural remedies, and the prevention tips. How to remove tartar from teeth without a dentist. Don't try to remove tartar from your teeth by yourself. Discover natural ways on how to remove tartar from teeth without dentist. Find out when to see a dentist for a professional.
From www.emergencydentistsusa.com
How to Remove Tartar from Teeth Without a Dentist Tips to Control How To Remove Tartar From Dentures Without Dentist How to remove tartar from teeth without a dentist. Discover natural ways on how to remove tartar from teeth without dentist. A generic strategy for cleaning dentures. You can remove tartar from teeth without a dentist using baking soda, oil pulling, aloe vera, orange peels, or a dental pick at. Learn what tartar (calculus) is, how it affects your oral. How To Remove Tartar From Dentures Without Dentist.
From hlthmom.blogspot.com
How to get rid of tartar at home without going to the dentist Healthy Mom How To Remove Tartar From Dentures Without Dentist Don't try to remove tartar from your teeth by yourself. Discover natural ways on how to remove tartar from teeth without dentist. Find out when to see a dentist for a professional. A generic strategy for cleaning dentures. Find out the signs of tartar buildup, the natural remedies, and the prevention tips. You can remove tartar from teeth without a. How To Remove Tartar From Dentures Without Dentist.
From www.emergencydentistsusa.com
How to Remove Tartar from Teeth Without a Dentist Tips to Control How To Remove Tartar From Dentures Without Dentist Learn what tartar (calculus) is, how it affects your oral health, and how to remove it at home or with a dentist. You can remove tartar from teeth without a dentist using baking soda, oil pulling, aloe vera, orange peels, or a dental pick at. Get tips on how to prevent plaque buildup and maintain a healthy smile. Discover natural. How To Remove Tartar From Dentures Without Dentist.
From healthreportlive.com
How to Remove Tartar From Your Teeth (Without a Dentist) Health Report How To Remove Tartar From Dentures Without Dentist Get tips on how to prevent plaque buildup and maintain a healthy smile. A generic strategy for cleaning dentures. Discover natural ways on how to remove tartar from teeth without dentist. You can remove tartar from teeth without a dentist using baking soda, oil pulling, aloe vera, orange peels, or a dental pick at. Find out the signs of tartar. How To Remove Tartar From Dentures Without Dentist.
From nondon.net
How to Remove Tartar Buildup from Teeth without dentist helps How To Remove Tartar From Dentures Without Dentist Learn how to prevent and treat plaque and tartar buildup at home with baking soda, coconut oil, and good oral hygiene. You can remove tartar from teeth without a dentist using baking soda, oil pulling, aloe vera, orange peels, or a dental pick at. Learn what tartar (calculus) is, how it affects your oral health, and how to remove it. How To Remove Tartar From Dentures Without Dentist.
From www.pinterest.ch
Tartar How you can remove it yourself without visiting the dentist How To Remove Tartar From Dentures Without Dentist A generic strategy for cleaning dentures. How to remove tartar from teeth without a dentist. You can remove tartar from teeth without a dentist using baking soda, oil pulling, aloe vera, orange peels, or a dental pick at. How to remove plaque from dentures. Don't try to remove tartar from your teeth by yourself. Get tips on how to prevent. How To Remove Tartar From Dentures Without Dentist.
From brighterimagelab.com
How to Remove Tartar From Teeth Without a Dentist PressOn Veneers How To Remove Tartar From Dentures Without Dentist Get tips on how to prevent plaque buildup and maintain a healthy smile. Find out when to see a dentist for a professional. Why removing plaque from dentures is important. How to remove tartar from teeth without a dentist. Use warm water to soften the tartar for easier removal. You can remove tartar from teeth without a dentist using baking. How To Remove Tartar From Dentures Without Dentist.
From plantationsmiles.com
10 Natural Ways To Remove Tartar From Teeth Without Dentist! How To Remove Tartar From Dentures Without Dentist Learn what tartar (calculus) is, how it affects your oral health, and how to remove it at home or with a dentist. Find out the signs of tartar buildup, the natural remedies, and the prevention tips. Use warm water to soften the tartar for easier removal. Learn how to prevent and treat plaque and tartar buildup at home with baking. How To Remove Tartar From Dentures Without Dentist.
From drkingadentistry.com
How to Remove Tartar From Teeth Without Dentist? Get Tartar Off Naturally How To Remove Tartar From Dentures Without Dentist Don't try to remove tartar from your teeth by yourself. Why removing plaque from dentures is important. How to remove plaque from dentures. A generic strategy for cleaning dentures. You can remove tartar from teeth without a dentist using baking soda, oil pulling, aloe vera, orange peels, or a dental pick at. Learn what tartar (calculus) is, how it affects. How To Remove Tartar From Dentures Without Dentist.
From usefulzone7.netlify.app
17+ How to remove tartar from teeth without dentist info usefulzone7 How To Remove Tartar From Dentures Without Dentist How to remove tartar from teeth without a dentist. Learn what tartar (calculus) is, how it affects your oral health, and how to remove it at home or with a dentist. Find out the signs of tartar buildup, the natural remedies, and the prevention tips. How to remove plaque from dentures. A generic strategy for cleaning dentures. Don't try to. How To Remove Tartar From Dentures Without Dentist.
From www.thatviralfeed.com
Here Is How You Can Remove Tartar At Home Without Visiting the Dentist How To Remove Tartar From Dentures Without Dentist A generic strategy for cleaning dentures. You can remove tartar from teeth without a dentist using baking soda, oil pulling, aloe vera, orange peels, or a dental pick at. How to remove tartar from teeth without a dentist. Learn what tartar (calculus) is, how it affects your oral health, and how to remove it at home or with a dentist.. How To Remove Tartar From Dentures Without Dentist.
From nagato.cc
How To Remove Tartar From Teeth Without Dentist With Braces How To Remove Tartar From Dentures Without Dentist Use warm water to soften the tartar for easier removal. Find out when to see a dentist for a professional. How to remove tartar from teeth without a dentist. Find out the signs of tartar buildup, the natural remedies, and the prevention tips. Don't try to remove tartar from your teeth by yourself. Why removing plaque from dentures is important.. How To Remove Tartar From Dentures Without Dentist.
From www.fhdc.co.uk
How To Remove Tartar From Teeth Without Dentist Intervention How To Remove Tartar From Dentures Without Dentist Discover natural ways on how to remove tartar from teeth without dentist. Find out the signs of tartar buildup, the natural remedies, and the prevention tips. How to remove tartar from teeth without a dentist. Find out when to see a dentist for a professional. How to remove plaque from dentures. A generic strategy for cleaning dentures. Use warm water. How To Remove Tartar From Dentures Without Dentist.
From www.youtube.com
How to remove tartar from teeth without a dentist YouTube How To Remove Tartar From Dentures Without Dentist How to remove plaque from dentures. Use warm water to soften the tartar for easier removal. A generic strategy for cleaning dentures. You can remove tartar from teeth without a dentist using baking soda, oil pulling, aloe vera, orange peels, or a dental pick at. Find out the signs of tartar buildup, the natural remedies, and the prevention tips. Discover. How To Remove Tartar From Dentures Without Dentist.
From enoughinfo.com
How To Remove Tartar From Teeth Without Dentist EnoughInfo Daily How To Remove Tartar From Dentures Without Dentist You can remove tartar from teeth without a dentist using baking soda, oil pulling, aloe vera, orange peels, or a dental pick at. A generic strategy for cleaning dentures. Find out when to see a dentist for a professional. How to remove tartar from teeth without a dentist. Learn how to prevent and treat plaque and tartar buildup at home. How To Remove Tartar From Dentures Without Dentist.
From www.pinterest.com
Baking Soda For Teeth Tartar, Remove Tarter From Teeth, Teeth Tartar How To Remove Tartar From Dentures Without Dentist How to remove tartar from teeth without a dentist. Learn what tartar (calculus) is, how it affects your oral health, and how to remove it at home or with a dentist. Why removing plaque from dentures is important. Learn how to prevent and treat plaque and tartar buildup at home with baking soda, coconut oil, and good oral hygiene. You. How To Remove Tartar From Dentures Without Dentist.
From www.jacksonavedental.com
How To Remove Tartar Without a Dentist The Truth 1311 Jackson Ave How To Remove Tartar From Dentures Without Dentist Get tips on how to prevent plaque buildup and maintain a healthy smile. Discover natural ways on how to remove tartar from teeth without dentist. Find out when to see a dentist for a professional. How to remove tartar from teeth without a dentist. Don't try to remove tartar from your teeth by yourself. A generic strategy for cleaning dentures.. How To Remove Tartar From Dentures Without Dentist.
From www.higsondental.com
BEST Tartar Removal Near You How Much Does Tartar Removal Cost How To Remove Tartar From Dentures Without Dentist Learn how to prevent and treat plaque and tartar buildup at home with baking soda, coconut oil, and good oral hygiene. You can remove tartar from teeth without a dentist using baking soda, oil pulling, aloe vera, orange peels, or a dental pick at. How to remove tartar from teeth without a dentist. Why removing plaque from dentures is important.. How To Remove Tartar From Dentures Without Dentist.
From www.womanandhome.com
How to remove tartar from teeth without a dentist Woman & Home How To Remove Tartar From Dentures Without Dentist Discover natural ways on how to remove tartar from teeth without dentist. You can remove tartar from teeth without a dentist using baking soda, oil pulling, aloe vera, orange peels, or a dental pick at. Don't try to remove tartar from your teeth by yourself. Learn how to prevent and treat plaque and tartar buildup at home with baking soda,. How To Remove Tartar From Dentures Without Dentist.
From www.youtube.com
How To Remove Tartar Without A Dentist YouTube How To Remove Tartar From Dentures Without Dentist Get tips on how to prevent plaque buildup and maintain a healthy smile. Learn how to prevent and treat plaque and tartar buildup at home with baking soda, coconut oil, and good oral hygiene. How to remove tartar from teeth without a dentist. A generic strategy for cleaning dentures. You can remove tartar from teeth without a dentist using baking. How To Remove Tartar From Dentures Without Dentist.
From www.pinterest.com
Tartar How you can remove it yourself without visiting the dentist in How To Remove Tartar From Dentures Without Dentist Get tips on how to prevent plaque buildup and maintain a healthy smile. Why removing plaque from dentures is important. Don't try to remove tartar from your teeth by yourself. Learn how to prevent and treat plaque and tartar buildup at home with baking soda, coconut oil, and good oral hygiene. How to remove tartar from teeth without a dentist.. How To Remove Tartar From Dentures Without Dentist.
From www.worldhab.com
How to Remove Tartar from Teeth without a Dentist How To Remove Tartar From Dentures Without Dentist Discover natural ways on how to remove tartar from teeth without dentist. Why removing plaque from dentures is important. Get tips on how to prevent plaque buildup and maintain a healthy smile. Find out when to see a dentist for a professional. Use warm water to soften the tartar for easier removal. Learn what tartar (calculus) is, how it affects. How To Remove Tartar From Dentures Without Dentist.
From accessdentalclinics.com
How to Remove Tartar From Dentures Instantly Effective Tips How To Remove Tartar From Dentures Without Dentist How to remove tartar from teeth without a dentist. Get tips on how to prevent plaque buildup and maintain a healthy smile. Learn what tartar (calculus) is, how it affects your oral health, and how to remove it at home or with a dentist. Use warm water to soften the tartar for easier removal. Discover natural ways on how to. How To Remove Tartar From Dentures Without Dentist.
From www.internationalhealth24.com
How To Remove Tartar From Teeth Without Dentist? 3 HACKS How To Remove Tartar From Dentures Without Dentist Discover natural ways on how to remove tartar from teeth without dentist. A generic strategy for cleaning dentures. Use warm water to soften the tartar for easier removal. How to remove tartar from teeth without a dentist. Don't try to remove tartar from your teeth by yourself. How to remove plaque from dentures. You can remove tartar from teeth without. How To Remove Tartar From Dentures Without Dentist.
From www.cdhp.org
How To Remove Tartar From Teeth Without Dentist? (9 Home Remedies) How To Remove Tartar From Dentures Without Dentist Get tips on how to prevent plaque buildup and maintain a healthy smile. How to remove tartar from teeth without a dentist. Find out the signs of tartar buildup, the natural remedies, and the prevention tips. Why removing plaque from dentures is important. Find out when to see a dentist for a professional. Don't try to remove tartar from your. How To Remove Tartar From Dentures Without Dentist.
From tediamedia.com
8 Natural Ways to Remove Tartar Without A Dentist Tedia Media How To Remove Tartar From Dentures Without Dentist Why removing plaque from dentures is important. A generic strategy for cleaning dentures. Don't try to remove tartar from your teeth by yourself. Find out the signs of tartar buildup, the natural remedies, and the prevention tips. You can remove tartar from teeth without a dentist using baking soda, oil pulling, aloe vera, orange peels, or a dental pick at.. How To Remove Tartar From Dentures Without Dentist.
From dentalknowledgehub.com
How To Remove Tartar From Teeth Without Dentist Dental Knowledge Hub How To Remove Tartar From Dentures Without Dentist How to remove tartar from teeth without a dentist. Learn what tartar (calculus) is, how it affects your oral health, and how to remove it at home or with a dentist. Why removing plaque from dentures is important. Discover natural ways on how to remove tartar from teeth without dentist. Use warm water to soften the tartar for easier removal.. How To Remove Tartar From Dentures Without Dentist.
From treetia.blogspot.com
How To Remove Tartar From Teeth At Home Instantly How to Remove How To Remove Tartar From Dentures Without Dentist Learn what tartar (calculus) is, how it affects your oral health, and how to remove it at home or with a dentist. Why removing plaque from dentures is important. How to remove plaque from dentures. A generic strategy for cleaning dentures. Use warm water to soften the tartar for easier removal. Find out the signs of tartar buildup, the natural. How To Remove Tartar From Dentures Without Dentist.
From naturalremedyproject.com
How to Remove Tartar from Teeth without Dentist Natural Remedy Project How To Remove Tartar From Dentures Without Dentist Learn how to prevent and treat plaque and tartar buildup at home with baking soda, coconut oil, and good oral hygiene. Discover natural ways on how to remove tartar from teeth without dentist. How to remove plaque from dentures. Learn what tartar (calculus) is, how it affects your oral health, and how to remove it at home or with a. How To Remove Tartar From Dentures Without Dentist.
From www.cdhp.org
How To Remove Tartar From Teeth Without Dentist? (9 Home Remedies) How To Remove Tartar From Dentures Without Dentist Discover natural ways on how to remove tartar from teeth without dentist. Don't try to remove tartar from your teeth by yourself. Learn what tartar (calculus) is, how it affects your oral health, and how to remove it at home or with a dentist. Learn how to prevent and treat plaque and tartar buildup at home with baking soda, coconut. How To Remove Tartar From Dentures Without Dentist.
From accessdentalclinics.com
How to Remove Plaque & Tartar From Teeth (Without Dentist) How To Remove Tartar From Dentures Without Dentist Discover natural ways on how to remove tartar from teeth without dentist. Don't try to remove tartar from your teeth by yourself. Use warm water to soften the tartar for easier removal. Get tips on how to prevent plaque buildup and maintain a healthy smile. How to remove tartar from teeth without a dentist. Find out the signs of tartar. How To Remove Tartar From Dentures Without Dentist.
From nondon.net
How to Remove Tartar Buildup from Teeth without dentist helps How To Remove Tartar From Dentures Without Dentist Discover natural ways on how to remove tartar from teeth without dentist. Use warm water to soften the tartar for easier removal. A generic strategy for cleaning dentures. Learn how to prevent and treat plaque and tartar buildup at home with baking soda, coconut oil, and good oral hygiene. Don't try to remove tartar from your teeth by yourself. Find. How To Remove Tartar From Dentures Without Dentist.
From www.youtube.com
How To Remove Tartar From Teeth Without Dentist Remove Black Plaque How To Remove Tartar From Dentures Without Dentist How to remove tartar from teeth without a dentist. Don't try to remove tartar from your teeth by yourself. Why removing plaque from dentures is important. Find out when to see a dentist for a professional. Find out the signs of tartar buildup, the natural remedies, and the prevention tips. A generic strategy for cleaning dentures. You can remove tartar. How To Remove Tartar From Dentures Without Dentist.
From mentonfamilydental.com
How To Remove Tartar And Plaque From Your Teeth Without A Dentist? How To Remove Tartar From Dentures Without Dentist Learn how to prevent and treat plaque and tartar buildup at home with baking soda, coconut oil, and good oral hygiene. Find out the signs of tartar buildup, the natural remedies, and the prevention tips. Don't try to remove tartar from your teeth by yourself. Find out when to see a dentist for a professional. A generic strategy for cleaning. How To Remove Tartar From Dentures Without Dentist.
From www.primallifeorganics.com
How to Remove Tartar From Your Teeth (Without A Dentist!) Primal Life How To Remove Tartar From Dentures Without Dentist How to remove plaque from dentures. How to remove tartar from teeth without a dentist. Don't try to remove tartar from your teeth by yourself. Learn how to prevent and treat plaque and tartar buildup at home with baking soda, coconut oil, and good oral hygiene. Get tips on how to prevent plaque buildup and maintain a healthy smile. Find. How To Remove Tartar From Dentures Without Dentist.