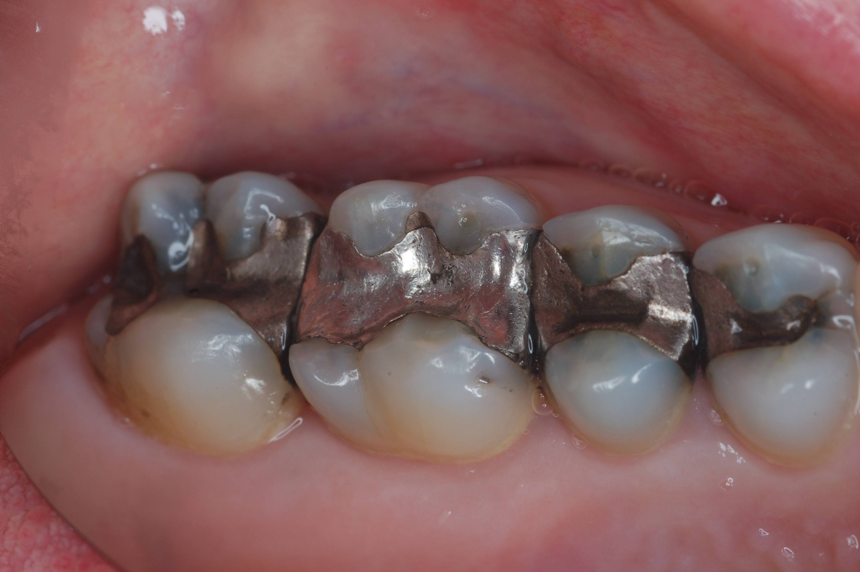
Amalgam Fillings Broke . If you are curious about the signs of a dental filling going bad, read on to learn more about three common signs that you should have your filling replaced. Call a dentist to get your lost filling fixed. If your filling is damaged or loose, the filling can be removed and you can be fitted with composite resin fillings or another material. For example, amalgam fillings and gold fillings are much less brittle than composite and glass ionomer fillings and so are less susceptible to damage from. Certain types of dental fillings, like mercury and silver amalgam, oxidize and turn black over time. If it’s a front tooth (incisor or. Cracked tooth syndrome occurs when a large silver amalgam filling acts as a wedge cracking the tooth structure around the. If you notice a black spot inside your tooth, you may be looking at an old dental filling. If your permanent or temporary filling is loose or has fallen out, make sure you give it proper care. A broken amalgam filling can pose several risks to your dental health: A cracked or broken filling can create gaps where bacteria can enter, leading to further tooth decay.
from www.youtube.com
Call a dentist to get your lost filling fixed. If it’s a front tooth (incisor or. A broken amalgam filling can pose several risks to your dental health: If your filling is damaged or loose, the filling can be removed and you can be fitted with composite resin fillings or another material. If you are curious about the signs of a dental filling going bad, read on to learn more about three common signs that you should have your filling replaced. For example, amalgam fillings and gold fillings are much less brittle than composite and glass ionomer fillings and so are less susceptible to damage from. Cracked tooth syndrome occurs when a large silver amalgam filling acts as a wedge cracking the tooth structure around the. If your permanent or temporary filling is loose or has fallen out, make sure you give it proper care. A cracked or broken filling can create gaps where bacteria can enter, leading to further tooth decay. If you notice a black spot inside your tooth, you may be looking at an old dental filling.
Safe Removal of Amalgam Tooth Fillings YouTube
Amalgam Fillings Broke Cracked tooth syndrome occurs when a large silver amalgam filling acts as a wedge cracking the tooth structure around the. A broken amalgam filling can pose several risks to your dental health: If you notice a black spot inside your tooth, you may be looking at an old dental filling. Call a dentist to get your lost filling fixed. A cracked or broken filling can create gaps where bacteria can enter, leading to further tooth decay. If your filling is damaged or loose, the filling can be removed and you can be fitted with composite resin fillings or another material. For example, amalgam fillings and gold fillings are much less brittle than composite and glass ionomer fillings and so are less susceptible to damage from. Certain types of dental fillings, like mercury and silver amalgam, oxidize and turn black over time. Cracked tooth syndrome occurs when a large silver amalgam filling acts as a wedge cracking the tooth structure around the. If your permanent or temporary filling is loose or has fallen out, make sure you give it proper care. If it’s a front tooth (incisor or. If you are curious about the signs of a dental filling going bad, read on to learn more about three common signs that you should have your filling replaced.
From www.smilesbypayet.com
Charlotte Dentist Silver Dental Fillings are Safe & LongLasting Amalgam Fillings Broke A cracked or broken filling can create gaps where bacteria can enter, leading to further tooth decay. If you are curious about the signs of a dental filling going bad, read on to learn more about three common signs that you should have your filling replaced. For example, amalgam fillings and gold fillings are much less brittle than composite and. Amalgam Fillings Broke.
From www.dentaly.org
Amalgam vs. Composite Fillings Which is Best for You? Amalgam Fillings Broke Cracked tooth syndrome occurs when a large silver amalgam filling acts as a wedge cracking the tooth structure around the. If your filling is damaged or loose, the filling can be removed and you can be fitted with composite resin fillings or another material. A broken amalgam filling can pose several risks to your dental health: If it’s a front. Amalgam Fillings Broke.
From ar.inspiredpencil.com
Cavity Side Of Molar Amalgam Fillings Broke If it’s a front tooth (incisor or. A cracked or broken filling can create gaps where bacteria can enter, leading to further tooth decay. If you notice a black spot inside your tooth, you may be looking at an old dental filling. Certain types of dental fillings, like mercury and silver amalgam, oxidize and turn black over time. Call a. Amalgam Fillings Broke.
From kitchenerfamilydentist.com
Top 3 Secrets About Amalgam Filling Removal Enamel Republic Amalgam Fillings Broke If you notice a black spot inside your tooth, you may be looking at an old dental filling. For example, amalgam fillings and gold fillings are much less brittle than composite and glass ionomer fillings and so are less susceptible to damage from. If your permanent or temporary filling is loose or has fallen out, make sure you give it. Amalgam Fillings Broke.
From caffeinateddentist.blogspot.com
A BLOG ABOUT LIFE AND DENTISTRY Cracked Amalgam Fillings Amalgam Fillings Broke A broken amalgam filling can pose several risks to your dental health: Cracked tooth syndrome occurs when a large silver amalgam filling acts as a wedge cracking the tooth structure around the. If you notice a black spot inside your tooth, you may be looking at an old dental filling. If your filling is damaged or loose, the filling can. Amalgam Fillings Broke.
From www.teviotdentalpractice.com
21Old Amalgam Filling Teviot Dental Amalgam Fillings Broke A broken amalgam filling can pose several risks to your dental health: If your permanent or temporary filling is loose or has fallen out, make sure you give it proper care. Cracked tooth syndrome occurs when a large silver amalgam filling acts as a wedge cracking the tooth structure around the. If it’s a front tooth (incisor or. For example,. Amalgam Fillings Broke.
From novasmiles.co.uk
The problem with large metal (amalgam) fillings — Nova Smiles Amalgam Fillings Broke Certain types of dental fillings, like mercury and silver amalgam, oxidize and turn black over time. If you are curious about the signs of a dental filling going bad, read on to learn more about three common signs that you should have your filling replaced. Call a dentist to get your lost filling fixed. If you notice a black spot. Amalgam Fillings Broke.
From myholisticdentist.com
Safe Silver Filling Removal Remove Toxic Amalgam Amalgam Fillings Broke Call a dentist to get your lost filling fixed. A cracked or broken filling can create gaps where bacteria can enter, leading to further tooth decay. If you notice a black spot inside your tooth, you may be looking at an old dental filling. For example, amalgam fillings and gold fillings are much less brittle than composite and glass ionomer. Amalgam Fillings Broke.
From myholisticdentist.com
What is Holistic Dentistry and What Makes It Different? Integrative Amalgam Fillings Broke Call a dentist to get your lost filling fixed. If you notice a black spot inside your tooth, you may be looking at an old dental filling. If your filling is damaged or loose, the filling can be removed and you can be fitted with composite resin fillings or another material. A cracked or broken filling can create gaps where. Amalgam Fillings Broke.
From ross-family-dentistry.com
amalgamfilling Loveland Dentist Ross Family Dentistry Anne Ross Amalgam Fillings Broke If you notice a black spot inside your tooth, you may be looking at an old dental filling. Call a dentist to get your lost filling fixed. A cracked or broken filling can create gaps where bacteria can enter, leading to further tooth decay. Cracked tooth syndrome occurs when a large silver amalgam filling acts as a wedge cracking the. Amalgam Fillings Broke.
From www.lowellfamilydentistry.com
Silver Fillings ( Known as Amalgam), Cosmetic Dentistry Lowell IN Amalgam Fillings Broke Call a dentist to get your lost filling fixed. Cracked tooth syndrome occurs when a large silver amalgam filling acts as a wedge cracking the tooth structure around the. If your permanent or temporary filling is loose or has fallen out, make sure you give it proper care. Certain types of dental fillings, like mercury and silver amalgam, oxidize and. Amalgam Fillings Broke.
From www.reddit.com
A chunk of tooth broke away from my molar(LL6) with mostly old amalgam Amalgam Fillings Broke Cracked tooth syndrome occurs when a large silver amalgam filling acts as a wedge cracking the tooth structure around the. Call a dentist to get your lost filling fixed. Certain types of dental fillings, like mercury and silver amalgam, oxidize and turn black over time. For example, amalgam fillings and gold fillings are much less brittle than composite and glass. Amalgam Fillings Broke.
From www.mercuryfreedentist.com
Amalgam Filling Removal Amity, AR Arkadelphia, AR Mercury Amalgam Fillings Broke If your permanent or temporary filling is loose or has fallen out, make sure you give it proper care. A broken amalgam filling can pose several risks to your dental health: Cracked tooth syndrome occurs when a large silver amalgam filling acts as a wedge cracking the tooth structure around the. A cracked or broken filling can create gaps where. Amalgam Fillings Broke.
From drsehmi.co.uk
Broken Fillings Should I Call My Dentist? Dr Gurs Sehmi Amalgam Fillings Broke Call a dentist to get your lost filling fixed. If you are curious about the signs of a dental filling going bad, read on to learn more about three common signs that you should have your filling replaced. If your filling is damaged or loose, the filling can be removed and you can be fitted with composite resin fillings or. Amalgam Fillings Broke.
From www.orangectdentist.com
Lost or Broken Filling Calcaterra Dentistry Orange, Woodbridge CT Amalgam Fillings Broke If your permanent or temporary filling is loose or has fallen out, make sure you give it proper care. A broken amalgam filling can pose several risks to your dental health: Call a dentist to get your lost filling fixed. A cracked or broken filling can create gaps where bacteria can enter, leading to further tooth decay. Cracked tooth syndrome. Amalgam Fillings Broke.
From www.animalia-life.club
Chipped Tooth Repair Molar Amalgam Fillings Broke Call a dentist to get your lost filling fixed. Cracked tooth syndrome occurs when a large silver amalgam filling acts as a wedge cracking the tooth structure around the. Certain types of dental fillings, like mercury and silver amalgam, oxidize and turn black over time. If your permanent or temporary filling is loose or has fallen out, make sure you. Amalgam Fillings Broke.
From www.dentistry33.com
IAMOT highlights study on amalgam fillings Dentistry33 Amalgam Fillings Broke For example, amalgam fillings and gold fillings are much less brittle than composite and glass ionomer fillings and so are less susceptible to damage from. A cracked or broken filling can create gaps where bacteria can enter, leading to further tooth decay. Call a dentist to get your lost filling fixed. Certain types of dental fillings, like mercury and silver. Amalgam Fillings Broke.
From www.youtube.com
Safe Removal of Amalgam Tooth Fillings YouTube Amalgam Fillings Broke Certain types of dental fillings, like mercury and silver amalgam, oxidize and turn black over time. For example, amalgam fillings and gold fillings are much less brittle than composite and glass ionomer fillings and so are less susceptible to damage from. If your filling is damaged or loose, the filling can be removed and you can be fitted with composite. Amalgam Fillings Broke.
From smile-ohm.co.uk
The Six Fracture Modes of Teeth Graeme Milicich The British Dental Amalgam Fillings Broke Cracked tooth syndrome occurs when a large silver amalgam filling acts as a wedge cracking the tooth structure around the. A broken amalgam filling can pose several risks to your dental health: If you are curious about the signs of a dental filling going bad, read on to learn more about three common signs that you should have your filling. Amalgam Fillings Broke.
From www.cranbournenorthdental.com.au
Amalgam fillings are they bad for me? Cranbourne North Dental Amalgam Fillings Broke Cracked tooth syndrome occurs when a large silver amalgam filling acts as a wedge cracking the tooth structure around the. If your filling is damaged or loose, the filling can be removed and you can be fitted with composite resin fillings or another material. For example, amalgam fillings and gold fillings are much less brittle than composite and glass ionomer. Amalgam Fillings Broke.
From www.reddit.com
A chunk of tooth broke away from my molar(LL6) with mostly old amalgam Amalgam Fillings Broke For example, amalgam fillings and gold fillings are much less brittle than composite and glass ionomer fillings and so are less susceptible to damage from. Call a dentist to get your lost filling fixed. If you are curious about the signs of a dental filling going bad, read on to learn more about three common signs that you should have. Amalgam Fillings Broke.
From www.barkerdentalcare.co.uk
What is the difference? Amalgam vs. ToothColoured Fillings Barker Amalgam Fillings Broke A cracked or broken filling can create gaps where bacteria can enter, leading to further tooth decay. Call a dentist to get your lost filling fixed. If your filling is damaged or loose, the filling can be removed and you can be fitted with composite resin fillings or another material. If you notice a black spot inside your tooth, you. Amalgam Fillings Broke.
From marylandholisticdentist.com
Mercury Amalgam Fillings Compared to Composites Amalgam Fillings Broke Cracked tooth syndrome occurs when a large silver amalgam filling acts as a wedge cracking the tooth structure around the. A broken amalgam filling can pose several risks to your dental health: A cracked or broken filling can create gaps where bacteria can enter, leading to further tooth decay. If it’s a front tooth (incisor or. Certain types of dental. Amalgam Fillings Broke.
From www.slideserve.com
PPT What Is The Difference Between A Porcelain Filling And An Amalgam Amalgam Fillings Broke If you notice a black spot inside your tooth, you may be looking at an old dental filling. If you are curious about the signs of a dental filling going bad, read on to learn more about three common signs that you should have your filling replaced. Call a dentist to get your lost filling fixed. Certain types of dental. Amalgam Fillings Broke.
From timbercrest.dental
Tooth Colored Fillings Timbercrest Dental Center, Appleton WI Amalgam Fillings Broke A cracked or broken filling can create gaps where bacteria can enter, leading to further tooth decay. If it’s a front tooth (incisor or. If your permanent or temporary filling is loose or has fallen out, make sure you give it proper care. If your filling is damaged or loose, the filling can be removed and you can be fitted. Amalgam Fillings Broke.
From leedervilledental.com.au
Replacement of Amalgam Fillings Amalgam Fillings Broke If you notice a black spot inside your tooth, you may be looking at an old dental filling. If it’s a front tooth (incisor or. A broken amalgam filling can pose several risks to your dental health: For example, amalgam fillings and gold fillings are much less brittle than composite and glass ionomer fillings and so are less susceptible to. Amalgam Fillings Broke.
From peelhousedental.co.uk
Peelhouse Dental Care The Downside to Amalgam Fillings Amalgam Fillings Broke If it’s a front tooth (incisor or. If your filling is damaged or loose, the filling can be removed and you can be fitted with composite resin fillings or another material. Call a dentist to get your lost filling fixed. Cracked tooth syndrome occurs when a large silver amalgam filling acts as a wedge cracking the tooth structure around the.. Amalgam Fillings Broke.
From dentalartssandiego.com
Filling Fell Out Dental Conditions in San Diego Dental Arts San Diego Amalgam Fillings Broke If you are curious about the signs of a dental filling going bad, read on to learn more about three common signs that you should have your filling replaced. A cracked or broken filling can create gaps where bacteria can enter, leading to further tooth decay. If it’s a front tooth (incisor or. A broken amalgam filling can pose several. Amalgam Fillings Broke.
From www.docklandsdental.ie
Dental Emergency Dublin Dental Implants Docklands Dental Amalgam Fillings Broke A broken amalgam filling can pose several risks to your dental health: If your permanent or temporary filling is loose or has fallen out, make sure you give it proper care. If your filling is damaged or loose, the filling can be removed and you can be fitted with composite resin fillings or another material. For example, amalgam fillings and. Amalgam Fillings Broke.
From www.spadental.co.uk
What's in an amalgam filling? Is it safe? SpaDental Group Amalgam Fillings Broke Call a dentist to get your lost filling fixed. A cracked or broken filling can create gaps where bacteria can enter, leading to further tooth decay. If your permanent or temporary filling is loose or has fallen out, make sure you give it proper care. Certain types of dental fillings, like mercury and silver amalgam, oxidize and turn black over. Amalgam Fillings Broke.
From dentalplus.co.nz
The REAL problem with Amalgam fillings DentalPlus Amalgam Fillings Broke If your filling is damaged or loose, the filling can be removed and you can be fitted with composite resin fillings or another material. A cracked or broken filling can create gaps where bacteria can enter, leading to further tooth decay. Call a dentist to get your lost filling fixed. Certain types of dental fillings, like mercury and silver amalgam,. Amalgam Fillings Broke.
From www.vrogue.co
Restorations Fillings And Bonding Ismile Dental Singa vrogue.co Amalgam Fillings Broke Certain types of dental fillings, like mercury and silver amalgam, oxidize and turn black over time. If your filling is damaged or loose, the filling can be removed and you can be fitted with composite resin fillings or another material. If your permanent or temporary filling is loose or has fallen out, make sure you give it proper care. Cracked. Amalgam Fillings Broke.
From www.youtube.com
Old amalgam filling replacement & reconstruction of cusps. 🦷 YouTube Amalgam Fillings Broke If it’s a front tooth (incisor or. Cracked tooth syndrome occurs when a large silver amalgam filling acts as a wedge cracking the tooth structure around the. If your filling is damaged or loose, the filling can be removed and you can be fitted with composite resin fillings or another material. For example, amalgam fillings and gold fillings are much. Amalgam Fillings Broke.
From dentalasanything.com.au
Why amalgam fillings should be replaced by resin fillings Amalgam Fillings Broke If it’s a front tooth (incisor or. If you are curious about the signs of a dental filling going bad, read on to learn more about three common signs that you should have your filling replaced. For example, amalgam fillings and gold fillings are much less brittle than composite and glass ionomer fillings and so are less susceptible to damage. Amalgam Fillings Broke.
From www.drsurya.com
Amalgam Filling Dr. Surya & Associates Amalgam Fillings Broke If your filling is damaged or loose, the filling can be removed and you can be fitted with composite resin fillings or another material. Cracked tooth syndrome occurs when a large silver amalgam filling acts as a wedge cracking the tooth structure around the. A broken amalgam filling can pose several risks to your dental health: If it’s a front. Amalgam Fillings Broke.