Radiology Van Syndrome . the authors provide an updated review of the molecular cytogenetics and clinical features of. The growth of cysts or tumors. vhl is a rare disorder caused by a faulty gene. It is named after the two doctors who first described the disease, and affects.
from www.semanticscholar.org
vhl is a rare disorder caused by a faulty gene. the authors provide an updated review of the molecular cytogenetics and clinical features of. It is named after the two doctors who first described the disease, and affects. The growth of cysts or tumors.
Figure 2 from Canavan disease CT and MR imaging of the brain
Radiology Van Syndrome the authors provide an updated review of the molecular cytogenetics and clinical features of. It is named after the two doctors who first described the disease, and affects. The growth of cysts or tumors. the authors provide an updated review of the molecular cytogenetics and clinical features of. vhl is a rare disorder caused by a faulty gene.
From mss-ijmsr.com
Van Buchem disease A rare sclerosing dysplasia Indian Journal of Radiology Van Syndrome The growth of cysts or tumors. vhl is a rare disorder caused by a faulty gene. It is named after the two doctors who first described the disease, and affects. the authors provide an updated review of the molecular cytogenetics and clinical features of. Radiology Van Syndrome.
From www.indianradiology.com
Van der knaap disease, a megalencephalic leukoencephalopathy Sumer's Radiology Van Syndrome vhl is a rare disorder caused by a faulty gene. The growth of cysts or tumors. the authors provide an updated review of the molecular cytogenetics and clinical features of. It is named after the two doctors who first described the disease, and affects. Radiology Van Syndrome.
From onlinelibrary.wiley.com
Therapy monitoring of skeletal metastases with whole‐body diffusion MRI Radiology Van Syndrome It is named after the two doctors who first described the disease, and affects. the authors provide an updated review of the molecular cytogenetics and clinical features of. The growth of cysts or tumors. vhl is a rare disorder caused by a faulty gene. Radiology Van Syndrome.
From mss-ijmsr.com
Van Buchem disease A rare sclerosing dysplasia Indian Journal of Radiology Van Syndrome vhl is a rare disorder caused by a faulty gene. the authors provide an updated review of the molecular cytogenetics and clinical features of. It is named after the two doctors who first described the disease, and affects. The growth of cysts or tumors. Radiology Van Syndrome.
From mss-ijmsr.com
Van Buchem disease A rare sclerosing dysplasia Indian Journal of Radiology Van Syndrome vhl is a rare disorder caused by a faulty gene. the authors provide an updated review of the molecular cytogenetics and clinical features of. The growth of cysts or tumors. It is named after the two doctors who first described the disease, and affects. Radiology Van Syndrome.
From www.semanticscholar.org
Figure 2 from Canavan disease CT and MR imaging of the brain Radiology Van Syndrome It is named after the two doctors who first described the disease, and affects. vhl is a rare disorder caused by a faulty gene. The growth of cysts or tumors. the authors provide an updated review of the molecular cytogenetics and clinical features of. Radiology Van Syndrome.
From pubs.rsna.org
Case 308 Van WykGrumbach Syndrome Radiology Radiology Van Syndrome The growth of cysts or tumors. It is named after the two doctors who first described the disease, and affects. vhl is a rare disorder caused by a faulty gene. the authors provide an updated review of the molecular cytogenetics and clinical features of. Radiology Van Syndrome.
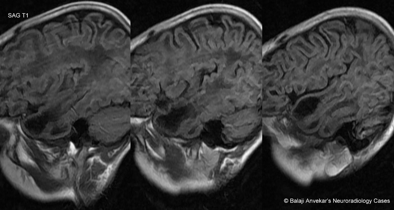
From www.neuroradiologycases.com
Dr Balaji Anvekar FRCR Van Der Knaap Leukoencephalopathy MRI Radiology Van Syndrome The growth of cysts or tumors. It is named after the two doctors who first described the disease, and affects. vhl is a rare disorder caused by a faulty gene. the authors provide an updated review of the molecular cytogenetics and clinical features of. Radiology Van Syndrome.
From www.ausmed.com.au
WernickeKorsakoff Syndrome (WKS) Ausmed Radiology Van Syndrome It is named after the two doctors who first described the disease, and affects. The growth of cysts or tumors. the authors provide an updated review of the molecular cytogenetics and clinical features of. vhl is a rare disorder caused by a faulty gene. Radiology Van Syndrome.
From onlinelibrary.wiley.com
Canavan disease Clinical features and recent advances in research Radiology Van Syndrome the authors provide an updated review of the molecular cytogenetics and clinical features of. vhl is a rare disorder caused by a faulty gene. It is named after the two doctors who first described the disease, and affects. The growth of cysts or tumors. Radiology Van Syndrome.
From www.goldbamboo.com
Ellisvan Creveld syndrome as related to Bone Fracture Pictures Radiology Van Syndrome the authors provide an updated review of the molecular cytogenetics and clinical features of. The growth of cysts or tumors. vhl is a rare disorder caused by a faulty gene. It is named after the two doctors who first described the disease, and affects. Radiology Van Syndrome.
From mss-ijmsr.com
Van Buchem disease A rare sclerosing dysplasia Indian Journal of Radiology Van Syndrome The growth of cysts or tumors. vhl is a rare disorder caused by a faulty gene. It is named after the two doctors who first described the disease, and affects. the authors provide an updated review of the molecular cytogenetics and clinical features of. Radiology Van Syndrome.
From clinicalimagingscience.org
Ellis Van Creveld Syndrome with Synpolydactyly, an Antenatal Diagnosis Radiology Van Syndrome The growth of cysts or tumors. vhl is a rare disorder caused by a faulty gene. It is named after the two doctors who first described the disease, and affects. the authors provide an updated review of the molecular cytogenetics and clinical features of. Radiology Van Syndrome.
From www.pinterest.com
Cotton wool appearance of bone Radiology Reference Article Radiology Van Syndrome the authors provide an updated review of the molecular cytogenetics and clinical features of. The growth of cysts or tumors. vhl is a rare disorder caused by a faulty gene. It is named after the two doctors who first described the disease, and affects. Radiology Van Syndrome.
From pubs.rsna.org
Ménétrier Disease RadioGraphics Radiology Van Syndrome It is named after the two doctors who first described the disease, and affects. the authors provide an updated review of the molecular cytogenetics and clinical features of. The growth of cysts or tumors. vhl is a rare disorder caused by a faulty gene. Radiology Van Syndrome.
From www.mdpi.com
Children Free FullText Split Notochord Syndrome with Spinal Column Radiology Van Syndrome vhl is a rare disorder caused by a faulty gene. It is named after the two doctors who first described the disease, and affects. The growth of cysts or tumors. the authors provide an updated review of the molecular cytogenetics and clinical features of. Radiology Van Syndrome.
From mss-ijmsr.com
Van Buchem disease A rare sclerosing dysplasia Indian Journal of Radiology Van Syndrome vhl is a rare disorder caused by a faulty gene. It is named after the two doctors who first described the disease, and affects. the authors provide an updated review of the molecular cytogenetics and clinical features of. The growth of cysts or tumors. Radiology Van Syndrome.
From www.clinicalradiologyonline.net
van NeckOdelberg disease a common but poorly known and often Radiology Van Syndrome the authors provide an updated review of the molecular cytogenetics and clinical features of. vhl is a rare disorder caused by a faulty gene. It is named after the two doctors who first described the disease, and affects. The growth of cysts or tumors. Radiology Van Syndrome.
From www.pinterest.com
Ollier disease Radiology Case Radiology Radiology Van Syndrome The growth of cysts or tumors. It is named after the two doctors who first described the disease, and affects. vhl is a rare disorder caused by a faulty gene. the authors provide an updated review of the molecular cytogenetics and clinical features of. Radiology Van Syndrome.
From mss-ijmsr.com
Van Buchem disease A rare sclerosing dysplasia Indian Journal of Radiology Van Syndrome The growth of cysts or tumors. It is named after the two doctors who first described the disease, and affects. vhl is a rare disorder caused by a faulty gene. the authors provide an updated review of the molecular cytogenetics and clinical features of. Radiology Van Syndrome.
From www.clinicalradiologyonline.net
van NeckOdelberg disease a common but poorly known and often Radiology Van Syndrome It is named after the two doctors who first described the disease, and affects. vhl is a rare disorder caused by a faulty gene. The growth of cysts or tumors. the authors provide an updated review of the molecular cytogenetics and clinical features of. Radiology Van Syndrome.
From radsource.us
Scheuermann’s Disease Radsource Radiology Van Syndrome the authors provide an updated review of the molecular cytogenetics and clinical features of. It is named after the two doctors who first described the disease, and affects. The growth of cysts or tumors. vhl is a rare disorder caused by a faulty gene. Radiology Van Syndrome.
From mss-ijmsr.com
Van Buchem disease A rare sclerosing dysplasia Indian Journal of Radiology Van Syndrome The growth of cysts or tumors. It is named after the two doctors who first described the disease, and affects. vhl is a rare disorder caused by a faulty gene. the authors provide an updated review of the molecular cytogenetics and clinical features of. Radiology Van Syndrome.
From www.semanticscholar.org
Figure 2 from Osteogenesis imperfecta of the temporal bone CT and MR Radiology Van Syndrome the authors provide an updated review of the molecular cytogenetics and clinical features of. The growth of cysts or tumors. vhl is a rare disorder caused by a faulty gene. It is named after the two doctors who first described the disease, and affects. Radiology Van Syndrome.
From sumerdoc.blogspot.com
Van der knaap disease, a megalencephalic leukoencephalopathy Sumer's Radiology Van Syndrome The growth of cysts or tumors. vhl is a rare disorder caused by a faulty gene. the authors provide an updated review of the molecular cytogenetics and clinical features of. It is named after the two doctors who first described the disease, and affects. Radiology Van Syndrome.
From pubs.rsna.org
Case 308 Van WykGrumbach Syndrome Radiology Radiology Van Syndrome the authors provide an updated review of the molecular cytogenetics and clinical features of. The growth of cysts or tumors. It is named after the two doctors who first described the disease, and affects. vhl is a rare disorder caused by a faulty gene. Radiology Van Syndrome.
From www.cmaj.ca
Lemierre syndrome early recognition and management CMAJ Radiology Van Syndrome the authors provide an updated review of the molecular cytogenetics and clinical features of. It is named after the two doctors who first described the disease, and affects. The growth of cysts or tumors. vhl is a rare disorder caused by a faulty gene. Radiology Van Syndrome.
From plaza.umin.ac.jp
Diagnostic Imaging of White Matter Abnormalities Congenital cerebral Radiology Van Syndrome It is named after the two doctors who first described the disease, and affects. the authors provide an updated review of the molecular cytogenetics and clinical features of. The growth of cysts or tumors. vhl is a rare disorder caused by a faulty gene. Radiology Van Syndrome.
From in.pinterest.com
Sclerostosis very similar to Van Buchem disease, except for the Radiology Van Syndrome The growth of cysts or tumors. vhl is a rare disorder caused by a faulty gene. the authors provide an updated review of the molecular cytogenetics and clinical features of. It is named after the two doctors who first described the disease, and affects. Radiology Van Syndrome.
From openi.nlm.nih.gov
A patient with Crohn disease. MRI enterography examinat Openi Radiology Van Syndrome the authors provide an updated review of the molecular cytogenetics and clinical features of. vhl is a rare disorder caused by a faulty gene. The growth of cysts or tumors. It is named after the two doctors who first described the disease, and affects. Radiology Van Syndrome.
From www.cell.com
Van Buchem Disease (Hyperostosis Corticalis Generalisata) Maps to Radiology Van Syndrome The growth of cysts or tumors. It is named after the two doctors who first described the disease, and affects. the authors provide an updated review of the molecular cytogenetics and clinical features of. vhl is a rare disorder caused by a faulty gene. Radiology Van Syndrome.
From medicalchemy-neuroscience.blogspot.com
Posterior Reversible Encephalopathy Syndrome (PRES) Medicalchemy Radiology Van Syndrome the authors provide an updated review of the molecular cytogenetics and clinical features of. vhl is a rare disorder caused by a faulty gene. The growth of cysts or tumors. It is named after the two doctors who first described the disease, and affects. Radiology Van Syndrome.
From www.clinicalradiologyonline.net
van NeckOdelberg disease a common but poorly known and often Radiology Van Syndrome It is named after the two doctors who first described the disease, and affects. vhl is a rare disorder caused by a faulty gene. The growth of cysts or tumors. the authors provide an updated review of the molecular cytogenetics and clinical features of. Radiology Van Syndrome.
From www.semanticscholar.org
Figure 1 from Superior mesenteric artery syndrome (Wilkie Syndrome Radiology Van Syndrome It is named after the two doctors who first described the disease, and affects. The growth of cysts or tumors. the authors provide an updated review of the molecular cytogenetics and clinical features of. vhl is a rare disorder caused by a faulty gene. Radiology Van Syndrome.
From www.youtube.com
LeggCalvePerthes Disease Plain Radiography YouTube Radiology Van Syndrome The growth of cysts or tumors. It is named after the two doctors who first described the disease, and affects. the authors provide an updated review of the molecular cytogenetics and clinical features of. vhl is a rare disorder caused by a faulty gene. Radiology Van Syndrome.