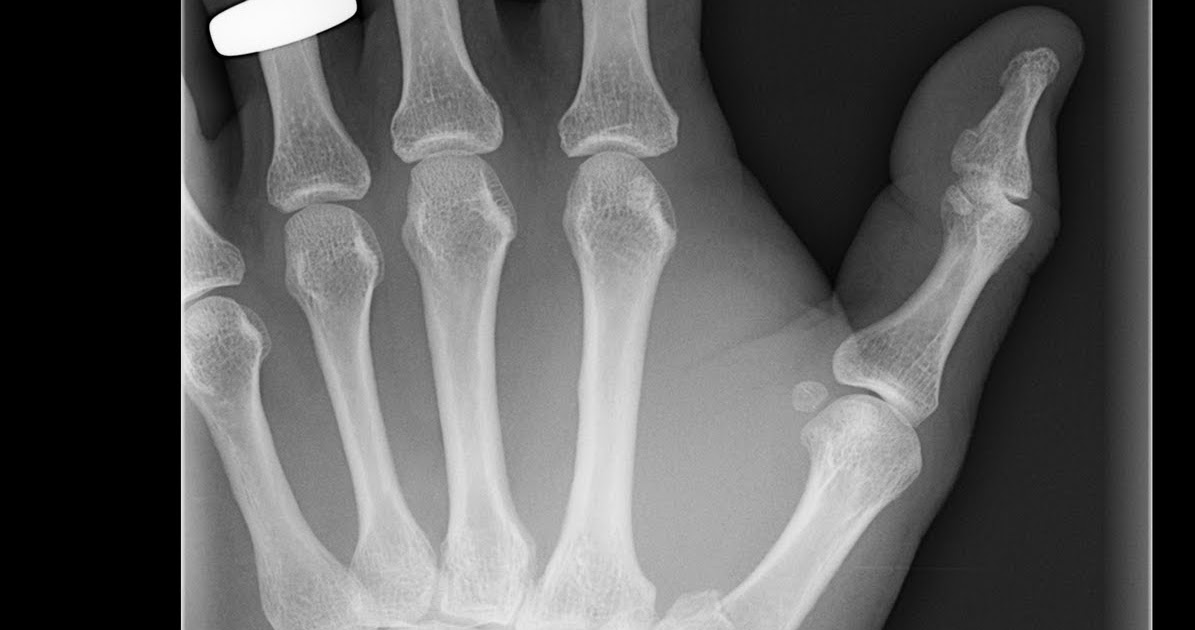
Bennett's Fracture X Ray . traction radiography may be used to assess the degree of comminution in appropriate fractures (eg, bennett, rolando,. a bennett fracture is a fracture of the articular surface in the base of first metacarpal bone and is considered as an unstable fracture. They need to be distinguished from epibasal. determining the optimal treatment method for bennett’s fractures remain a challenge and has been the subject. the bennett fracture is the most common fracture involving the base of the thumb. It is important to distinguish it. a bennett fracture is a fracture of the base of the thumb resulting from forced abduction of the first metacarpal. This fracture refers to an intraarticular fracture that separates the palmar.
from www.theplasticsfella.com
It is important to distinguish it. a bennett fracture is a fracture of the base of the thumb resulting from forced abduction of the first metacarpal. the bennett fracture is the most common fracture involving the base of the thumb. a bennett fracture is a fracture of the articular surface in the base of first metacarpal bone and is considered as an unstable fracture. determining the optimal treatment method for bennett’s fractures remain a challenge and has been the subject. They need to be distinguished from epibasal. This fracture refers to an intraarticular fracture that separates the palmar. traction radiography may be used to assess the degree of comminution in appropriate fractures (eg, bennett, rolando,.
Fracture XRays, Diagnosis, Treatment.
Bennett's Fracture X Ray They need to be distinguished from epibasal. the bennett fracture is the most common fracture involving the base of the thumb. It is important to distinguish it. a bennett fracture is a fracture of the articular surface in the base of first metacarpal bone and is considered as an unstable fracture. traction radiography may be used to assess the degree of comminution in appropriate fractures (eg, bennett, rolando,. determining the optimal treatment method for bennett’s fractures remain a challenge and has been the subject. This fracture refers to an intraarticular fracture that separates the palmar. They need to be distinguished from epibasal. a bennett fracture is a fracture of the base of the thumb resulting from forced abduction of the first metacarpal.
From www.cureus.com
Cureus Combined Fracture Dislocation and Trapezium Fracture Bennett's Fracture X Ray They need to be distinguished from epibasal. a bennett fracture is a fracture of the articular surface in the base of first metacarpal bone and is considered as an unstable fracture. It is important to distinguish it. a bennett fracture is a fracture of the base of the thumb resulting from forced abduction of the first metacarpal. . Bennett's Fracture X Ray.
From www.wikidoc.org
Classification of the fracture wikidoc Bennett's Fracture X Ray a bennett fracture is a fracture of the base of the thumb resulting from forced abduction of the first metacarpal. a bennett fracture is a fracture of the articular surface in the base of first metacarpal bone and is considered as an unstable fracture. determining the optimal treatment method for bennett’s fractures remain a challenge and has. Bennett's Fracture X Ray.
From wikidoc.org
Reverse fracturedislocation wikidoc Bennett's Fracture X Ray a bennett fracture is a fracture of the base of the thumb resulting from forced abduction of the first metacarpal. They need to be distinguished from epibasal. It is important to distinguish it. This fracture refers to an intraarticular fracture that separates the palmar. the bennett fracture is the most common fracture involving the base of the thumb.. Bennett's Fracture X Ray.
From www.theplasticsfella.com
Fracture XRays, Diagnosis, Treatment. Bennett's Fracture X Ray They need to be distinguished from epibasal. a bennett fracture is a fracture of the base of the thumb resulting from forced abduction of the first metacarpal. It is important to distinguish it. determining the optimal treatment method for bennett’s fractures remain a challenge and has been the subject. the bennett fracture is the most common fracture. Bennett's Fracture X Ray.
From www.theplasticsfella.com
Fracture XRays, Diagnosis, Treatment. Bennett's Fracture X Ray the bennett fracture is the most common fracture involving the base of the thumb. This fracture refers to an intraarticular fracture that separates the palmar. They need to be distinguished from epibasal. traction radiography may be used to assess the degree of comminution in appropriate fractures (eg, bennett, rolando,. a bennett fracture is a fracture of the. Bennett's Fracture X Ray.
From healthjade.net
fracture causes, symptoms, diagnosis, treatment & prognosis Bennett's Fracture X Ray a bennett fracture is a fracture of the base of the thumb resulting from forced abduction of the first metacarpal. traction radiography may be used to assess the degree of comminution in appropriate fractures (eg, bennett, rolando,. It is important to distinguish it. the bennett fracture is the most common fracture involving the base of the thumb.. Bennett's Fracture X Ray.
From litfl.com
fracture • LITFL • Medical Eponym Library Bennett's Fracture X Ray the bennett fracture is the most common fracture involving the base of the thumb. It is important to distinguish it. a bennett fracture is a fracture of the base of the thumb resulting from forced abduction of the first metacarpal. a bennett fracture is a fracture of the articular surface in the base of first metacarpal bone. Bennett's Fracture X Ray.
From www.cureus.com
Cureus Combined Fracture Dislocation and Trapezium Fracture Bennett's Fracture X Ray a bennett fracture is a fracture of the base of the thumb resulting from forced abduction of the first metacarpal. a bennett fracture is a fracture of the articular surface in the base of first metacarpal bone and is considered as an unstable fracture. the bennett fracture is the most common fracture involving the base of the. Bennett's Fracture X Ray.
From radiologycases.blogspot.com
Radiology Cases Fracture Bennett's Fracture X Ray a bennett fracture is a fracture of the articular surface in the base of first metacarpal bone and is considered as an unstable fracture. a bennett fracture is a fracture of the base of the thumb resulting from forced abduction of the first metacarpal. They need to be distinguished from epibasal. It is important to distinguish it. . Bennett's Fracture X Ray.
From radiopaedia.org
Reverse fracture dislocation Image Bennett's Fracture X Ray the bennett fracture is the most common fracture involving the base of the thumb. traction radiography may be used to assess the degree of comminution in appropriate fractures (eg, bennett, rolando,. determining the optimal treatment method for bennett’s fractures remain a challenge and has been the subject. They need to be distinguished from epibasal. It is important. Bennett's Fracture X Ray.
From www.joionline.net
Fracture Break At The Base of Your Thumb Bennett's Fracture X Ray traction radiography may be used to assess the degree of comminution in appropriate fractures (eg, bennett, rolando,. It is important to distinguish it. a bennett fracture is a fracture of the articular surface in the base of first metacarpal bone and is considered as an unstable fracture. This fracture refers to an intraarticular fracture that separates the palmar.. Bennett's Fracture X Ray.
From www.istockphoto.com
Fracture X Ray Stock Photo Download Image Now Bone Fracture Bennett's Fracture X Ray the bennett fracture is the most common fracture involving the base of the thumb. They need to be distinguished from epibasal. determining the optimal treatment method for bennett’s fractures remain a challenge and has been the subject. a bennett fracture is a fracture of the articular surface in the base of first metacarpal bone and is considered. Bennett's Fracture X Ray.
From radfacts.blogspot.com
Radshare fracture Bennett's Fracture X Ray a bennett fracture is a fracture of the base of the thumb resulting from forced abduction of the first metacarpal. a bennett fracture is a fracture of the articular surface in the base of first metacarpal bone and is considered as an unstable fracture. traction radiography may be used to assess the degree of comminution in appropriate. Bennett's Fracture X Ray.
From litfl.com
fracture • LITFL • Medical Eponym Library Bennett's Fracture X Ray This fracture refers to an intraarticular fracture that separates the palmar. determining the optimal treatment method for bennett’s fractures remain a challenge and has been the subject. a bennett fracture is a fracture of the articular surface in the base of first metacarpal bone and is considered as an unstable fracture. the bennett fracture is the most. Bennett's Fracture X Ray.
From www.ace-pt.org
Fracture Alexandria Thumb Rehabilitation Arlington Bennett's Fracture X Ray a bennett fracture is a fracture of the base of the thumb resulting from forced abduction of the first metacarpal. traction radiography may be used to assess the degree of comminution in appropriate fractures (eg, bennett, rolando,. a bennett fracture is a fracture of the articular surface in the base of first metacarpal bone and is considered. Bennett's Fracture X Ray.
From healthjade.net
fracture causes, symptoms, diagnosis, treatment & prognosis Bennett's Fracture X Ray traction radiography may be used to assess the degree of comminution in appropriate fractures (eg, bennett, rolando,. determining the optimal treatment method for bennett’s fractures remain a challenge and has been the subject. It is important to distinguish it. a bennett fracture is a fracture of the articular surface in the base of first metacarpal bone and. Bennett's Fracture X Ray.
From www.theplasticsfella.com
Fracture XRays, Diagnosis, Treatment. Bennett's Fracture X Ray It is important to distinguish it. They need to be distinguished from epibasal. traction radiography may be used to assess the degree of comminution in appropriate fractures (eg, bennett, rolando,. a bennett fracture is a fracture of the articular surface in the base of first metacarpal bone and is considered as an unstable fracture. a bennett fracture. Bennett's Fracture X Ray.
From www.pinterest.com
fracture Fracture dislocation, Medical anatomy, Bennett's Fracture X Ray This fracture refers to an intraarticular fracture that separates the palmar. determining the optimal treatment method for bennett’s fractures remain a challenge and has been the subject. traction radiography may be used to assess the degree of comminution in appropriate fractures (eg, bennett, rolando,. It is important to distinguish it. They need to be distinguished from epibasal. . Bennett's Fracture X Ray.
From www.researchgate.net
Preoperative radiograph showing fracture. Download Scientific Bennett's Fracture X Ray a bennett fracture is a fracture of the articular surface in the base of first metacarpal bone and is considered as an unstable fracture. traction radiography may be used to assess the degree of comminution in appropriate fractures (eg, bennett, rolando,. This fracture refers to an intraarticular fracture that separates the palmar. the bennett fracture is the. Bennett's Fracture X Ray.
From www.ncbi.nlm.nih.gov
Fracture StatPearls NCBI Bookshelf Bennett's Fracture X Ray determining the optimal treatment method for bennett’s fractures remain a challenge and has been the subject. It is important to distinguish it. a bennett fracture is a fracture of the articular surface in the base of first metacarpal bone and is considered as an unstable fracture. traction radiography may be used to assess the degree of comminution. Bennett's Fracture X Ray.
From www.jhandsurg.org
Thumb Trauma Fractures, Rolando Fractures, and Ulnar Bennett's Fracture X Ray This fracture refers to an intraarticular fracture that separates the palmar. determining the optimal treatment method for bennett’s fractures remain a challenge and has been the subject. traction radiography may be used to assess the degree of comminution in appropriate fractures (eg, bennett, rolando,. the bennett fracture is the most common fracture involving the base of the. Bennett's Fracture X Ray.
From www.youtube.com
Fracture Dislocation Base of the Thumb Fracture 1st Bennett's Fracture X Ray a bennett fracture is a fracture of the base of the thumb resulting from forced abduction of the first metacarpal. It is important to distinguish it. This fracture refers to an intraarticular fracture that separates the palmar. traction radiography may be used to assess the degree of comminution in appropriate fractures (eg, bennett, rolando,. the bennett fracture. Bennett's Fracture X Ray.
From www.researchgate.net
Small fragment fracture of the right thumb (a), treated with Bennett's Fracture X Ray They need to be distinguished from epibasal. determining the optimal treatment method for bennett’s fractures remain a challenge and has been the subject. It is important to distinguish it. This fracture refers to an intraarticular fracture that separates the palmar. traction radiography may be used to assess the degree of comminution in appropriate fractures (eg, bennett, rolando,. . Bennett's Fracture X Ray.
From www.theplasticsfella.com
Fracture XRays, Diagnosis, Treatment. Bennett's Fracture X Ray They need to be distinguished from epibasal. the bennett fracture is the most common fracture involving the base of the thumb. a bennett fracture is a fracture of the base of the thumb resulting from forced abduction of the first metacarpal. It is important to distinguish it. determining the optimal treatment method for bennett’s fractures remain a. Bennett's Fracture X Ray.
From radiopaedia.org
fracture Image Bennett's Fracture X Ray traction radiography may be used to assess the degree of comminution in appropriate fractures (eg, bennett, rolando,. They need to be distinguished from epibasal. a bennett fracture is a fracture of the base of the thumb resulting from forced abduction of the first metacarpal. the bennett fracture is the most common fracture involving the base of the. Bennett's Fracture X Ray.
From radshare.net
fracture Radiology Case Bennett's Fracture X Ray They need to be distinguished from epibasal. the bennett fracture is the most common fracture involving the base of the thumb. This fracture refers to an intraarticular fracture that separates the palmar. It is important to distinguish it. a bennett fracture is a fracture of the articular surface in the base of first metacarpal bone and is considered. Bennett's Fracture X Ray.
From ar.inspiredpencil.com
Fracture Bennett's Fracture X Ray a bennett fracture is a fracture of the articular surface in the base of first metacarpal bone and is considered as an unstable fracture. This fracture refers to an intraarticular fracture that separates the palmar. They need to be distinguished from epibasal. the bennett fracture is the most common fracture involving the base of the thumb. It is. Bennett's Fracture X Ray.
From www.schreibermd.com
Fracture Raleigh Hand Surgery — Joseph J. Schreiber, MD Bennett's Fracture X Ray It is important to distinguish it. They need to be distinguished from epibasal. traction radiography may be used to assess the degree of comminution in appropriate fractures (eg, bennett, rolando,. the bennett fracture is the most common fracture involving the base of the thumb. a bennett fracture is a fracture of the base of the thumb resulting. Bennett's Fracture X Ray.
From www.joionline.net
Fracture Break At The Base of Your Thumb Bennett's Fracture X Ray a bennett fracture is a fracture of the base of the thumb resulting from forced abduction of the first metacarpal. This fracture refers to an intraarticular fracture that separates the palmar. They need to be distinguished from epibasal. a bennett fracture is a fracture of the articular surface in the base of first metacarpal bone and is considered. Bennett's Fracture X Ray.
From www.svuhradiology.ie
fracture Radiology at St. Vincent's University Hospital Bennett's Fracture X Ray the bennett fracture is the most common fracture involving the base of the thumb. It is important to distinguish it. This fracture refers to an intraarticular fracture that separates the palmar. They need to be distinguished from epibasal. a bennett fracture is a fracture of the articular surface in the base of first metacarpal bone and is considered. Bennett's Fracture X Ray.
From www.youtube.com
Fracture Tiny Fractures and Big Problems YouTube Bennett's Fracture X Ray traction radiography may be used to assess the degree of comminution in appropriate fractures (eg, bennett, rolando,. This fracture refers to an intraarticular fracture that separates the palmar. They need to be distinguished from epibasal. determining the optimal treatment method for bennett’s fractures remain a challenge and has been the subject. a bennett fracture is a fracture. Bennett's Fracture X Ray.
From ar.inspiredpencil.com
Fracture Bennett's Fracture X Ray traction radiography may be used to assess the degree of comminution in appropriate fractures (eg, bennett, rolando,. a bennett fracture is a fracture of the articular surface in the base of first metacarpal bone and is considered as an unstable fracture. the bennett fracture is the most common fracture involving the base of the thumb. determining. Bennett's Fracture X Ray.
From litfl.com
fracture • LITFL • Medical Eponym Library Bennett's Fracture X Ray This fracture refers to an intraarticular fracture that separates the palmar. a bennett fracture is a fracture of the articular surface in the base of first metacarpal bone and is considered as an unstable fracture. traction radiography may be used to assess the degree of comminution in appropriate fractures (eg, bennett, rolando,. They need to be distinguished from. Bennett's Fracture X Ray.
From atlas.mudr.org
Radiology case fracture Bennett's Fracture X Ray They need to be distinguished from epibasal. the bennett fracture is the most common fracture involving the base of the thumb. It is important to distinguish it. a bennett fracture is a fracture of the articular surface in the base of first metacarpal bone and is considered as an unstable fracture. This fracture refers to an intraarticular fracture. Bennett's Fracture X Ray.
From radiopaedia.org
fracture Image Bennett's Fracture X Ray They need to be distinguished from epibasal. a bennett fracture is a fracture of the articular surface in the base of first metacarpal bone and is considered as an unstable fracture. the bennett fracture is the most common fracture involving the base of the thumb. It is important to distinguish it. determining the optimal treatment method for. Bennett's Fracture X Ray.