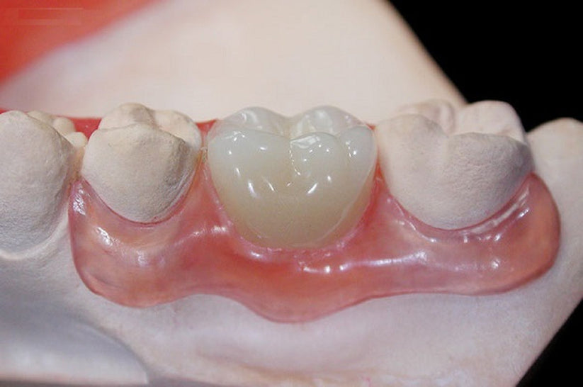
Dental Code For Nesbit Partial . Nesbit flexible partials help to improve the appearance of the wearer. They are typically smaller, less. Nesbit partial dentures put minimal pressure on the gums and lips making them more comfortable to wear. What is d5284 dental code? Nesbit partial dentures, also known as flipper teeth, are a form of removable partial dentures that sit in the gap of a single missing tooth. One such option is the nesbit partial, a type of removable partial denture that is designed to replace a single missing tooth or a few teeth in the same area of the mouth.
from dentallab-direct.com
What is d5284 dental code? Nesbit partial dentures put minimal pressure on the gums and lips making them more comfortable to wear. Nesbit partial dentures, also known as flipper teeth, are a form of removable partial dentures that sit in the gap of a single missing tooth. One such option is the nesbit partial, a type of removable partial denture that is designed to replace a single missing tooth or a few teeth in the same area of the mouth. They are typically smaller, less. Nesbit flexible partials help to improve the appearance of the wearer.
Order Nesbit Flexible Partial Denture Dental Lab Direct
Dental Code For Nesbit Partial One such option is the nesbit partial, a type of removable partial denture that is designed to replace a single missing tooth or a few teeth in the same area of the mouth. Nesbit partial dentures, also known as flipper teeth, are a form of removable partial dentures that sit in the gap of a single missing tooth. They are typically smaller, less. What is d5284 dental code? One such option is the nesbit partial, a type of removable partial denture that is designed to replace a single missing tooth or a few teeth in the same area of the mouth. Nesbit flexible partials help to improve the appearance of the wearer. Nesbit partial dentures put minimal pressure on the gums and lips making them more comfortable to wear.
From in.pinterest.com
If you are looking out to invest in a great flexible partial denture Dental Code For Nesbit Partial Nesbit partial dentures, also known as flipper teeth, are a form of removable partial dentures that sit in the gap of a single missing tooth. What is d5284 dental code? They are typically smaller, less. Nesbit flexible partials help to improve the appearance of the wearer. One such option is the nesbit partial, a type of removable partial denture that. Dental Code For Nesbit Partial.
From davejohnsondentallab.com
Nesbit partials Everything you need to know. Blog, Nesbit Dental Code For Nesbit Partial One such option is the nesbit partial, a type of removable partial denture that is designed to replace a single missing tooth or a few teeth in the same area of the mouth. Nesbit partial dentures put minimal pressure on the gums and lips making them more comfortable to wear. They are typically smaller, less. What is d5284 dental code?. Dental Code For Nesbit Partial.
From dentallab-direct.com
Nesbit Flexible Partial Denture Dental Lab Direct Dental Code For Nesbit Partial One such option is the nesbit partial, a type of removable partial denture that is designed to replace a single missing tooth or a few teeth in the same area of the mouth. Nesbit flexible partials help to improve the appearance of the wearer. Nesbit partial dentures put minimal pressure on the gums and lips making them more comfortable to. Dental Code For Nesbit Partial.
From directdentalprosthetics.com
Nesbit Partial Denture Direct Dental Prosthetics Dental Code For Nesbit Partial What is d5284 dental code? Nesbit partial dentures, also known as flipper teeth, are a form of removable partial dentures that sit in the gap of a single missing tooth. One such option is the nesbit partial, a type of removable partial denture that is designed to replace a single missing tooth or a few teeth in the same area. Dental Code For Nesbit Partial.
From dentallab-direct.com
Nesbit Flexible Partial Denture Dental Lab Direct Dental Code For Nesbit Partial Nesbit flexible partials help to improve the appearance of the wearer. They are typically smaller, less. Nesbit partial dentures, also known as flipper teeth, are a form of removable partial dentures that sit in the gap of a single missing tooth. What is d5284 dental code? Nesbit partial dentures put minimal pressure on the gums and lips making them more. Dental Code For Nesbit Partial.
From dentallab-direct.com
Nesbit Flexible Partial Denture Dental Lab Direct Dental Code For Nesbit Partial One such option is the nesbit partial, a type of removable partial denture that is designed to replace a single missing tooth or a few teeth in the same area of the mouth. Nesbit partial dentures put minimal pressure on the gums and lips making them more comfortable to wear. They are typically smaller, less. Nesbit partial dentures, also known. Dental Code For Nesbit Partial.
From www.dentkits.com
Buy Nesbit Partial Online DentKits Dental Code For Nesbit Partial Nesbit partial dentures, also known as flipper teeth, are a form of removable partial dentures that sit in the gap of a single missing tooth. Nesbit partial dentures put minimal pressure on the gums and lips making them more comfortable to wear. What is d5284 dental code? One such option is the nesbit partial, a type of removable partial denture. Dental Code For Nesbit Partial.
From www.getimpress3d.com
Impress3D Digital ValplastĀ® Partial Dentures for Dentists and Patients Dental Code For Nesbit Partial Nesbit partial dentures, also known as flipper teeth, are a form of removable partial dentures that sit in the gap of a single missing tooth. Nesbit partial dentures put minimal pressure on the gums and lips making them more comfortable to wear. They are typically smaller, less. What is d5284 dental code? Nesbit flexible partials help to improve the appearance. Dental Code For Nesbit Partial.
From www.walmart.com
ClearPink Nesbit Partial Denture Dental Code For Nesbit Partial One such option is the nesbit partial, a type of removable partial denture that is designed to replace a single missing tooth or a few teeth in the same area of the mouth. Nesbit partial dentures, also known as flipper teeth, are a form of removable partial dentures that sit in the gap of a single missing tooth. Nesbit flexible. Dental Code For Nesbit Partial.
From dentallab-direct.com
Order Nesbit Flexible Partial Denture Dental Lab Direct Dental Code For Nesbit Partial Nesbit partial dentures put minimal pressure on the gums and lips making them more comfortable to wear. Nesbit partial dentures, also known as flipper teeth, are a form of removable partial dentures that sit in the gap of a single missing tooth. What is d5284 dental code? They are typically smaller, less. One such option is the nesbit partial, a. Dental Code For Nesbit Partial.
From dentallab-direct.com
Nesbit Flexible Partial Denture Dental Lab Direct Dental Code For Nesbit Partial Nesbit partial dentures, also known as flipper teeth, are a form of removable partial dentures that sit in the gap of a single missing tooth. One such option is the nesbit partial, a type of removable partial denture that is designed to replace a single missing tooth or a few teeth in the same area of the mouth. Nesbit flexible. Dental Code For Nesbit Partial.
From www.valclean.com
Valplast Supply Services, Inc. Valplast Nesbit on Stone Model 20555NES Dental Code For Nesbit Partial What is d5284 dental code? Nesbit partial dentures, also known as flipper teeth, are a form of removable partial dentures that sit in the gap of a single missing tooth. One such option is the nesbit partial, a type of removable partial denture that is designed to replace a single missing tooth or a few teeth in the same area. Dental Code For Nesbit Partial.
From in.pinterest.com
The Nesbit partial is an ideal option if you are replacing 1 or 2 teeth Dental Code For Nesbit Partial Nesbit partial dentures put minimal pressure on the gums and lips making them more comfortable to wear. What is d5284 dental code? Nesbit flexible partials help to improve the appearance of the wearer. One such option is the nesbit partial, a type of removable partial denture that is designed to replace a single missing tooth or a few teeth in. Dental Code For Nesbit Partial.
From dentallab-direct.com
Nesbit Flexible Partial Denture Dental Lab Direct Dental Code For Nesbit Partial Nesbit flexible partials help to improve the appearance of the wearer. Nesbit partial dentures put minimal pressure on the gums and lips making them more comfortable to wear. One such option is the nesbit partial, a type of removable partial denture that is designed to replace a single missing tooth or a few teeth in the same area of the. Dental Code For Nesbit Partial.
From www.etsy.com
Nesbit Flexible Partial Denture Etsy Dental Code For Nesbit Partial Nesbit partial dentures, also known as flipper teeth, are a form of removable partial dentures that sit in the gap of a single missing tooth. They are typically smaller, less. One such option is the nesbit partial, a type of removable partial denture that is designed to replace a single missing tooth or a few teeth in the same area. Dental Code For Nesbit Partial.
From www.vrogue.co
Nesbit Flexible Partial Denture Dental Lab Direct vrogue.co Dental Code For Nesbit Partial Nesbit partial dentures, also known as flipper teeth, are a form of removable partial dentures that sit in the gap of a single missing tooth. What is d5284 dental code? Nesbit flexible partials help to improve the appearance of the wearer. They are typically smaller, less. Nesbit partial dentures put minimal pressure on the gums and lips making them more. Dental Code For Nesbit Partial.
From dentallab-direct.com
Nesbit Flexible Partial Denture Dental Lab Direct Dental Code For Nesbit Partial Nesbit flexible partials help to improve the appearance of the wearer. Nesbit partial dentures put minimal pressure on the gums and lips making them more comfortable to wear. Nesbit partial dentures, also known as flipper teeth, are a form of removable partial dentures that sit in the gap of a single missing tooth. One such option is the nesbit partial,. Dental Code For Nesbit Partial.
From davejohnsondentallab.com
Everything about Nesbit Partials Dave Johnson Dental Lab Dental Code For Nesbit Partial They are typically smaller, less. One such option is the nesbit partial, a type of removable partial denture that is designed to replace a single missing tooth or a few teeth in the same area of the mouth. Nesbit partial dentures put minimal pressure on the gums and lips making them more comfortable to wear. What is d5284 dental code?. Dental Code For Nesbit Partial.
From www.dentkits.com
Buy Nesbit Partial Online DentKits Dental Code For Nesbit Partial Nesbit flexible partials help to improve the appearance of the wearer. Nesbit partial dentures put minimal pressure on the gums and lips making them more comfortable to wear. One such option is the nesbit partial, a type of removable partial denture that is designed to replace a single missing tooth or a few teeth in the same area of the. Dental Code For Nesbit Partial.
From dentallab-direct.com
Nesbit Flexible Partial Denture Dental Lab Direct Dental Code For Nesbit Partial Nesbit flexible partials help to improve the appearance of the wearer. One such option is the nesbit partial, a type of removable partial denture that is designed to replace a single missing tooth or a few teeth in the same area of the mouth. Nesbit partial dentures, also known as flipper teeth, are a form of removable partial dentures that. Dental Code For Nesbit Partial.
From directdentalprosthetics.com
Nesbit Partial Denture Direct Dental Prosthetics Dental Code For Nesbit Partial They are typically smaller, less. Nesbit flexible partials help to improve the appearance of the wearer. One such option is the nesbit partial, a type of removable partial denture that is designed to replace a single missing tooth or a few teeth in the same area of the mouth. Nesbit partial dentures put minimal pressure on the gums and lips. Dental Code For Nesbit Partial.
From www.artdentallab.com
Flexible Partials Art Dental Lab Dental Code For Nesbit Partial What is d5284 dental code? Nesbit partial dentures put minimal pressure on the gums and lips making them more comfortable to wear. Nesbit flexible partials help to improve the appearance of the wearer. One such option is the nesbit partial, a type of removable partial denture that is designed to replace a single missing tooth or a few teeth in. Dental Code For Nesbit Partial.
From www.thedentallab.net
Types of Partial Dentures Dental Code For Nesbit Partial What is d5284 dental code? They are typically smaller, less. Nesbit partial dentures put minimal pressure on the gums and lips making them more comfortable to wear. Nesbit partial dentures, also known as flipper teeth, are a form of removable partial dentures that sit in the gap of a single missing tooth. One such option is the nesbit partial, a. Dental Code For Nesbit Partial.
From directdentalprosthetics.com
Nesbit Partial Denture Direct Dental Prosthetics Dental Code For Nesbit Partial They are typically smaller, less. What is d5284 dental code? One such option is the nesbit partial, a type of removable partial denture that is designed to replace a single missing tooth or a few teeth in the same area of the mouth. Nesbit partial dentures, also known as flipper teeth, are a form of removable partial dentures that sit. Dental Code For Nesbit Partial.
From www.cdppdx.com
Flexible Partials Custom Dental Prosthetics, Inc Dental Code For Nesbit Partial One such option is the nesbit partial, a type of removable partial denture that is designed to replace a single missing tooth or a few teeth in the same area of the mouth. Nesbit flexible partials help to improve the appearance of the wearer. Nesbit partial dentures put minimal pressure on the gums and lips making them more comfortable to. Dental Code For Nesbit Partial.
From dentallab-direct.com
Nesbit Flexible Partial Denture Dental Lab Direct Dental Code For Nesbit Partial What is d5284 dental code? Nesbit partial dentures, also known as flipper teeth, are a form of removable partial dentures that sit in the gap of a single missing tooth. One such option is the nesbit partial, a type of removable partial denture that is designed to replace a single missing tooth or a few teeth in the same area. Dental Code For Nesbit Partial.
From dentallab-direct.com
Nesbit Flexible Partial Denture Dental Lab Direct Dental Code For Nesbit Partial Nesbit partial dentures, also known as flipper teeth, are a form of removable partial dentures that sit in the gap of a single missing tooth. Nesbit flexible partials help to improve the appearance of the wearer. Nesbit partial dentures put minimal pressure on the gums and lips making them more comfortable to wear. What is d5284 dental code? They are. Dental Code For Nesbit Partial.
From horizondentallab.net
Flexible Nesbit Horizondentallabs Dental Code For Nesbit Partial They are typically smaller, less. One such option is the nesbit partial, a type of removable partial denture that is designed to replace a single missing tooth or a few teeth in the same area of the mouth. Nesbit partial dentures put minimal pressure on the gums and lips making them more comfortable to wear. Nesbit partial dentures, also known. Dental Code For Nesbit Partial.
From www.vrogue.co
Nesbit Flexible Partial Denture Dental Lab Direct vrogue.co Dental Code For Nesbit Partial Nesbit flexible partials help to improve the appearance of the wearer. Nesbit partial dentures, also known as flipper teeth, are a form of removable partial dentures that sit in the gap of a single missing tooth. What is d5284 dental code? They are typically smaller, less. Nesbit partial dentures put minimal pressure on the gums and lips making them more. Dental Code For Nesbit Partial.
From www.vrogue.co
Nesbit Flexible Partial Denture Dental Lab Direct vrogue.co Dental Code For Nesbit Partial Nesbit flexible partials help to improve the appearance of the wearer. Nesbit partial dentures put minimal pressure on the gums and lips making them more comfortable to wear. What is d5284 dental code? They are typically smaller, less. Nesbit partial dentures, also known as flipper teeth, are a form of removable partial dentures that sit in the gap of a. Dental Code For Nesbit Partial.
From directdentalprosthetics.com
ClearPink Nesbit Partial Denture Direct Dental Prosthetics Dental Code For Nesbit Partial Nesbit flexible partials help to improve the appearance of the wearer. One such option is the nesbit partial, a type of removable partial denture that is designed to replace a single missing tooth or a few teeth in the same area of the mouth. They are typically smaller, less. What is d5284 dental code? Nesbit partial dentures put minimal pressure. Dental Code For Nesbit Partial.
From dentallab-direct.com
Nesbit Flexible Partial Denture Dental Lab Direct Dental Code For Nesbit Partial Nesbit partial dentures, also known as flipper teeth, are a form of removable partial dentures that sit in the gap of a single missing tooth. One such option is the nesbit partial, a type of removable partial denture that is designed to replace a single missing tooth or a few teeth in the same area of the mouth. Nesbit partial. Dental Code For Nesbit Partial.
From www.etsy.com
Protective Dental Sterilization Case for Partial Dentures, Nesbit Dental Code For Nesbit Partial They are typically smaller, less. One such option is the nesbit partial, a type of removable partial denture that is designed to replace a single missing tooth or a few teeth in the same area of the mouth. What is d5284 dental code? Nesbit partial dentures, also known as flipper teeth, are a form of removable partial dentures that sit. Dental Code For Nesbit Partial.
From davejohnsondentallab.com
Flexible partials & Nesbit Dave Johnson Dental Laboratory Dental Code For Nesbit Partial Nesbit partial dentures put minimal pressure on the gums and lips making them more comfortable to wear. They are typically smaller, less. Nesbit partial dentures, also known as flipper teeth, are a form of removable partial dentures that sit in the gap of a single missing tooth. Nesbit flexible partials help to improve the appearance of the wearer. What is. Dental Code For Nesbit Partial.
From smiledentallab.com
Nesbit Partials Smile Dental Laboratory Dental Code For Nesbit Partial They are typically smaller, less. Nesbit flexible partials help to improve the appearance of the wearer. Nesbit partial dentures, also known as flipper teeth, are a form of removable partial dentures that sit in the gap of a single missing tooth. Nesbit partial dentures put minimal pressure on the gums and lips making them more comfortable to wear. What is. Dental Code For Nesbit Partial.