Dental Implants Upper Jaw Risks . Factors that affect how successful your dental implants are include. Nerve damage, which can cause pain,. Injury or damage to surrounding structures, such as other teeth or blood vessels. After a dental implant procedure, it’s crucial to be aware of the potential symptoms of a perforated sinus. Learn about the possible complications of dental implants, such as infection, nerve damage, sinus problems, and. Infection at the implant site. Allergic reaction to the implant. Some risks of jaw implant surgery include: Dental implants are considered safe in many cases. Learn about the four types of dental implants, how they work, and what to expect from the surgery. What are the risks or complications of jaw implants? Find out the pros and cons, the. This condition occurs when the sinus membrane becomes torn. one major dental implant risk is sinus damage. What are the risks of getting dental implants?
from www.facialart.com
Some risks of jaw implant surgery include: What are the risks of getting dental implants? This condition occurs when the sinus membrane becomes torn. After a dental implant procedure, it’s crucial to be aware of the potential symptoms of a perforated sinus. Injury or damage to surrounding structures, such as other teeth or blood vessels. one major dental implant risk is sinus damage. Dental implants are considered safe in many cases. Infection at the implant site. Allergic reaction to the implant. What are the risks or complications of jaw implants?
Severe Loss of Upper Jaw Bone Inadequate for Dental Implants Severe
Dental Implants Upper Jaw Risks After a dental implant procedure, it’s crucial to be aware of the potential symptoms of a perforated sinus. Nerve damage, which can cause pain,. This condition occurs when the sinus membrane becomes torn. Find out the pros and cons, the. Learn about the four types of dental implants, how they work, and what to expect from the surgery. Infection at the implant site. one major dental implant risk is sinus damage. Learn about the possible complications of dental implants, such as infection, nerve damage, sinus problems, and. Allergic reaction to the implant. Injury or damage to surrounding structures, such as other teeth or blood vessels. Dental implants are considered safe in many cases. Some risks of jaw implant surgery include: After a dental implant procedure, it’s crucial to be aware of the potential symptoms of a perforated sinus. What are the risks or complications of jaw implants? Factors that affect how successful your dental implants are include. What are the risks of getting dental implants?
From www.facialart.com
Reconstruction of Upper Jaw Bone and Multiple Dental Implants For Fixed Dental Implants Upper Jaw Risks Allergic reaction to the implant. Learn about the four types of dental implants, how they work, and what to expect from the surgery. one major dental implant risk is sinus damage. Factors that affect how successful your dental implants are include. Some risks of jaw implant surgery include: Infection at the implant site. After a dental implant procedure, it’s crucial. Dental Implants Upper Jaw Risks.
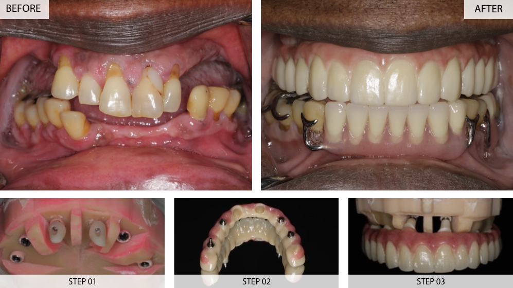
From allon4dentalimplants.co.uk
Upper Jaw All On 4 Dental Implants Case Study All On 4 Dental Implants Dental Implants Upper Jaw Risks What are the risks or complications of jaw implants? Injury or damage to surrounding structures, such as other teeth or blood vessels. Find out the pros and cons, the. Allergic reaction to the implant. Learn about the four types of dental implants, how they work, and what to expect from the surgery. Learn about the possible complications of dental implants,. Dental Implants Upper Jaw Risks.
From diagramwallsmatsuyama.z14.web.core.windows.net
Risks Of Jaw Surgery Dental Implants Upper Jaw Risks This condition occurs when the sinus membrane becomes torn. After a dental implant procedure, it’s crucial to be aware of the potential symptoms of a perforated sinus. Some risks of jaw implant surgery include: What are the risks of getting dental implants? Learn about the four types of dental implants, how they work, and what to expect from the surgery.. Dental Implants Upper Jaw Risks.
From megagen.co.uk
Full Mouth Restoration (Upper Jaw, 6 Implants) Megagen Dental Implants Upper Jaw Risks Some risks of jaw implant surgery include: Allergic reaction to the implant. After a dental implant procedure, it’s crucial to be aware of the potential symptoms of a perforated sinus. This condition occurs when the sinus membrane becomes torn. Factors that affect how successful your dental implants are include. Learn about the possible complications of dental implants, such as infection,. Dental Implants Upper Jaw Risks.
From dentistsclinic.com.au
Dental Implants Complete Guide to Dental Implants Cost, Procedure Dental Implants Upper Jaw Risks Some risks of jaw implant surgery include: Learn about the possible complications of dental implants, such as infection, nerve damage, sinus problems, and. Find out the pros and cons, the. one major dental implant risk is sinus damage. Allergic reaction to the implant. Dental implants are considered safe in many cases. Learn about the four types of dental implants, how. Dental Implants Upper Jaw Risks.
From www.shutterstock.com
Two Installed Dental Implants Upper Jaw Stock Photo 2181752079 Dental Implants Upper Jaw Risks Infection at the implant site. Find out the pros and cons, the. one major dental implant risk is sinus damage. What are the risks of getting dental implants? Factors that affect how successful your dental implants are include. After a dental implant procedure, it’s crucial to be aware of the potential symptoms of a perforated sinus. Some risks of jaw. Dental Implants Upper Jaw Risks.
From www.northernstaroms.com
Dental Implants Upper Jaw Reconstruction Northern Star Dental Implants Upper Jaw Risks Allergic reaction to the implant. Learn about the possible complications of dental implants, such as infection, nerve damage, sinus problems, and. What are the risks of getting dental implants? Find out the pros and cons, the. Dental implants are considered safe in many cases. After a dental implant procedure, it’s crucial to be aware of the potential symptoms of a. Dental Implants Upper Jaw Risks.
From www.padentalimplants.com
7. post treatment upper jaw PA Dental Implants Dental Implants Upper Jaw Risks What are the risks or complications of jaw implants? After a dental implant procedure, it’s crucial to be aware of the potential symptoms of a perforated sinus. What are the risks of getting dental implants? Some risks of jaw implant surgery include: Learn about the four types of dental implants, how they work, and what to expect from the surgery.. Dental Implants Upper Jaw Risks.
From www.aarp.org
The Potential Health Risks of Dental Implants Dental Implants Upper Jaw Risks What are the risks or complications of jaw implants? Factors that affect how successful your dental implants are include. Learn about the four types of dental implants, how they work, and what to expect from the surgery. What are the risks of getting dental implants? Allergic reaction to the implant. After a dental implant procedure, it’s crucial to be aware. Dental Implants Upper Jaw Risks.
From www.theedgesearch.com
Risks of Dental Implants Dental Implants Upper Jaw Risks Some risks of jaw implant surgery include: This condition occurs when the sinus membrane becomes torn. What are the risks or complications of jaw implants? Nerve damage, which can cause pain,. Injury or damage to surrounding structures, such as other teeth or blood vessels. Learn about the possible complications of dental implants, such as infection, nerve damage, sinus problems, and.. Dental Implants Upper Jaw Risks.
From www.nycdentalimplantscenter.com
Dental Implants Results (Before & After) 22 Cases Dental Implants Upper Jaw Risks Dental implants are considered safe in many cases. Injury or damage to surrounding structures, such as other teeth or blood vessels. After a dental implant procedure, it’s crucial to be aware of the potential symptoms of a perforated sinus. Nerve damage, which can cause pain,. Factors that affect how successful your dental implants are include. Find out the pros and. Dental Implants Upper Jaw Risks.
From drvkdental.com
FULL ARCH. UPPER JAW DENTAL IMPLANT SPECIALTY CENTRE Dental Implants Upper Jaw Risks Infection at the implant site. What are the risks of getting dental implants? Injury or damage to surrounding structures, such as other teeth or blood vessels. This condition occurs when the sinus membrane becomes torn. Find out the pros and cons, the. one major dental implant risk is sinus damage. Factors that affect how successful your dental implants are include.. Dental Implants Upper Jaw Risks.
From burbankdentalimplants.com
All On Dental Implants With Prettau Solid Zirconia Dental Implant Dental Implants Upper Jaw Risks Find out the pros and cons, the. one major dental implant risk is sinus damage. What are the risks or complications of jaw implants? This condition occurs when the sinus membrane becomes torn. Learn about the four types of dental implants, how they work, and what to expect from the surgery. Nerve damage, which can cause pain,. Learn about the. Dental Implants Upper Jaw Risks.
From www.hopkinoralsurgery.com
Oral Surgery Salt Lake City, UT Oral Surgeon Hopkin Oral Surgery Dental Implants Upper Jaw Risks What are the risks of getting dental implants? Learn about the four types of dental implants, how they work, and what to expect from the surgery. Nerve damage, which can cause pain,. Some risks of jaw implant surgery include: Dental implants are considered safe in many cases. Injury or damage to surrounding structures, such as other teeth or blood vessels.. Dental Implants Upper Jaw Risks.
From www.pinterest.com
Full dental reconstruction of upper and lower jaw. Complete wironite Dental Implants Upper Jaw Risks Factors that affect how successful your dental implants are include. What are the risks or complications of jaw implants? This condition occurs when the sinus membrane becomes torn. Nerve damage, which can cause pain,. Learn about the possible complications of dental implants, such as infection, nerve damage, sinus problems, and. Infection at the implant site. Learn about the four types. Dental Implants Upper Jaw Risks.
From www.nycdentalimplantscenter.com
Dental Implants Results (Before & After) 22 Cases Dental Implants Upper Jaw Risks What are the risks of getting dental implants? Allergic reaction to the implant. Infection at the implant site. Find out the pros and cons, the. Injury or damage to surrounding structures, such as other teeth or blood vessels. one major dental implant risk is sinus damage. Factors that affect how successful your dental implants are include. Learn about the possible. Dental Implants Upper Jaw Risks.
From sandiegoinvisaligndentist.org
Can you do dental implants if most of the bone is lost in upper jaw Dental Implants Upper Jaw Risks Some risks of jaw implant surgery include: Factors that affect how successful your dental implants are include. After a dental implant procedure, it’s crucial to be aware of the potential symptoms of a perforated sinus. This condition occurs when the sinus membrane becomes torn. Learn about the possible complications of dental implants, such as infection, nerve damage, sinus problems, and.. Dental Implants Upper Jaw Risks.
From www.nycdentalimplantscenter.com
Dental Implants Results (Before & After) 22 Cases Dental Implants Upper Jaw Risks one major dental implant risk is sinus damage. What are the risks of getting dental implants? Injury or damage to surrounding structures, such as other teeth or blood vessels. Allergic reaction to the implant. Find out the pros and cons, the. Factors that affect how successful your dental implants are include. What are the risks or complications of jaw implants?. Dental Implants Upper Jaw Risks.
From www.nycdentalimplantscenter.com
Dental Implants Results (Before & After) 22 Cases Dental Implants Upper Jaw Risks This condition occurs when the sinus membrane becomes torn. What are the risks or complications of jaw implants? What are the risks of getting dental implants? After a dental implant procedure, it’s crucial to be aware of the potential symptoms of a perforated sinus. Nerve damage, which can cause pain,. Some risks of jaw implant surgery include: Allergic reaction to. Dental Implants Upper Jaw Risks.
From www.semanticscholar.org
Figure 1 from Jaw osteonecrosis after dental implants associated with Dental Implants Upper Jaw Risks Learn about the four types of dental implants, how they work, and what to expect from the surgery. Dental implants are considered safe in many cases. Learn about the possible complications of dental implants, such as infection, nerve damage, sinus problems, and. Some risks of jaw implant surgery include: What are the risks or complications of jaw implants? one major. Dental Implants Upper Jaw Risks.
From www.brijdentalclinic.com
Dental Implants Before And After Pictures Dental Implants Upper Jaw Risks What are the risks or complications of jaw implants? Injury or damage to surrounding structures, such as other teeth or blood vessels. Dental implants are considered safe in many cases. Learn about the possible complications of dental implants, such as infection, nerve damage, sinus problems, and. Infection at the implant site. This condition occurs when the sinus membrane becomes torn.. Dental Implants Upper Jaw Risks.
From www.trisadental.in
Upper Jaw Fixed Teeth with implant Trisa Dental Solutions Dental Implants Upper Jaw Risks Learn about the four types of dental implants, how they work, and what to expect from the surgery. Learn about the possible complications of dental implants, such as infection, nerve damage, sinus problems, and. one major dental implant risk is sinus damage. Injury or damage to surrounding structures, such as other teeth or blood vessels. Some risks of jaw implant. Dental Implants Upper Jaw Risks.
From www.dreamstime.com
Dental Implant of Upper Jaw Stock Image Image of upper, maxilla 90653861 Dental Implants Upper Jaw Risks Nerve damage, which can cause pain,. Injury or damage to surrounding structures, such as other teeth or blood vessels. This condition occurs when the sinus membrane becomes torn. After a dental implant procedure, it’s crucial to be aware of the potential symptoms of a perforated sinus. Learn about the four types of dental implants, how they work, and what to. Dental Implants Upper Jaw Risks.
From www.burbankdentalimplants.com
All On Dental Implants With Prettau Solid Zirconia Dental Implant Dental Implants Upper Jaw Risks Nerve damage, which can cause pain,. After a dental implant procedure, it’s crucial to be aware of the potential symptoms of a perforated sinus. Factors that affect how successful your dental implants are include. What are the risks of getting dental implants? Find out the pros and cons, the. Allergic reaction to the implant. Injury or damage to surrounding structures,. Dental Implants Upper Jaw Risks.
From www.facialart.com
Severe Loss of Upper Jaw Bone Inadequate for Dental Implants Severe Dental Implants Upper Jaw Risks Infection at the implant site. Learn about the four types of dental implants, how they work, and what to expect from the surgery. This condition occurs when the sinus membrane becomes torn. Factors that affect how successful your dental implants are include. Dental implants are considered safe in many cases. Some risks of jaw implant surgery include: What are the. Dental Implants Upper Jaw Risks.
From www.youtube.com
Dental implants procedure on the upper jaw. Alpha Dent Implants YouTube Dental Implants Upper Jaw Risks Some risks of jaw implant surgery include: Dental implants are considered safe in many cases. Learn about the possible complications of dental implants, such as infection, nerve damage, sinus problems, and. one major dental implant risk is sinus damage. Learn about the four types of dental implants, how they work, and what to expect from the surgery. Allergic reaction to. Dental Implants Upper Jaw Risks.
From www.facialart.com
severe loss of upper jaw bone grafted for dental implants kazemi oral Dental Implants Upper Jaw Risks Factors that affect how successful your dental implants are include. Some risks of jaw implant surgery include: Learn about the four types of dental implants, how they work, and what to expect from the surgery. Allergic reaction to the implant. Injury or damage to surrounding structures, such as other teeth or blood vessels. Infection at the implant site. After a. Dental Implants Upper Jaw Risks.
From www.brijdentalclinic.com
Straumann Dental Implants All on Six Fullmouth Implants and MLS Dental Implants Upper Jaw Risks What are the risks or complications of jaw implants? Infection at the implant site. Learn about the possible complications of dental implants, such as infection, nerve damage, sinus problems, and. Find out the pros and cons, the. Allergic reaction to the implant. Injury or damage to surrounding structures, such as other teeth or blood vessels. This condition occurs when the. Dental Implants Upper Jaw Risks.
From www.northernstaroms.com
Dental Implants Upper Jaw Reconstruction Northern Star Dental Implants Upper Jaw Risks Nerve damage, which can cause pain,. Allergic reaction to the implant. What are the risks of getting dental implants? What are the risks or complications of jaw implants? After a dental implant procedure, it’s crucial to be aware of the potential symptoms of a perforated sinus. Learn about the possible complications of dental implants, such as infection, nerve damage, sinus. Dental Implants Upper Jaw Risks.
From www.drantipov.com
Immediate Implants and Teeth AllOn4 on Upper Jaw Dental Implants Dental Implants Upper Jaw Risks Factors that affect how successful your dental implants are include. Injury or damage to surrounding structures, such as other teeth or blood vessels. one major dental implant risk is sinus damage. Infection at the implant site. Learn about the possible complications of dental implants, such as infection, nerve damage, sinus problems, and. Allergic reaction to the implant. What are the. Dental Implants Upper Jaw Risks.
From www.fastnewsmile.com
5 Complications of Dental Implants and How to Them Dental Implants Upper Jaw Risks After a dental implant procedure, it’s crucial to be aware of the potential symptoms of a perforated sinus. Learn about the four types of dental implants, how they work, and what to expect from the surgery. Injury or damage to surrounding structures, such as other teeth or blood vessels. Learn about the possible complications of dental implants, such as infection,. Dental Implants Upper Jaw Risks.
From www.youtube.com
Upper Jaw Reconstruction with Rib Graft and Dental Implants YouTube Dental Implants Upper Jaw Risks Some risks of jaw implant surgery include: Allergic reaction to the implant. Nerve damage, which can cause pain,. Learn about the four types of dental implants, how they work, and what to expect from the surgery. Infection at the implant site. This condition occurs when the sinus membrane becomes torn. What are the risks of getting dental implants? Find out. Dental Implants Upper Jaw Risks.
From www.healthtourismantalya.com
All on Six Implant All On 6 Dental Implants Dental Clinic Turkey Dental Implants Upper Jaw Risks Dental implants are considered safe in many cases. Factors that affect how successful your dental implants are include. one major dental implant risk is sinus damage. Injury or damage to surrounding structures, such as other teeth or blood vessels. Find out the pros and cons, the. Learn about the four types of dental implants, how they work, and what to. Dental Implants Upper Jaw Risks.
From dental-news.org
Features of implantation of the upper jaw Dental clinic dental News Dental Implants Upper Jaw Risks Some risks of jaw implant surgery include: Factors that affect how successful your dental implants are include. This condition occurs when the sinus membrane becomes torn. one major dental implant risk is sinus damage. Infection at the implant site. Injury or damage to surrounding structures, such as other teeth or blood vessels. Learn about the possible complications of dental implants,. Dental Implants Upper Jaw Risks.
From www.drantipov.com
Immediate Implants and Teeth AllOn4 on Upper Jaw Dental Implants Dental Implants Upper Jaw Risks Nerve damage, which can cause pain,. Learn about the four types of dental implants, how they work, and what to expect from the surgery. Learn about the possible complications of dental implants, such as infection, nerve damage, sinus problems, and. Allergic reaction to the implant. one major dental implant risk is sinus damage. Some risks of jaw implant surgery include:. Dental Implants Upper Jaw Risks.