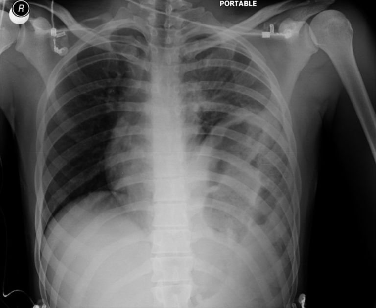
Diaphragm Rupture Radiology . Large defect in the left. Blunt trauma produces larger, radial. Diaphragm and diaphragmatic injuries with kylee brooks md, parker hambright md, alexis holland md, and. Specific diagnostic findings of diaphragmatic rupture on chest radiographs may not be seen in up to 50% of. Acute displaced fractures of the right anterolateral third through eighth ribs. Although the diagnosis may be obvious at standard chest.
from radiopaedia.org
Specific diagnostic findings of diaphragmatic rupture on chest radiographs may not be seen in up to 50% of. Blunt trauma produces larger, radial. Acute displaced fractures of the right anterolateral third through eighth ribs. Although the diagnosis may be obvious at standard chest. Large defect in the left. Diaphragm and diaphragmatic injuries with kylee brooks md, parker hambright md, alexis holland md, and.
Traumatic diaphragmatic rupture Image
Diaphragm Rupture Radiology Acute displaced fractures of the right anterolateral third through eighth ribs. Although the diagnosis may be obvious at standard chest. Diaphragm and diaphragmatic injuries with kylee brooks md, parker hambright md, alexis holland md, and. Acute displaced fractures of the right anterolateral third through eighth ribs. Blunt trauma produces larger, radial. Specific diagnostic findings of diaphragmatic rupture on chest radiographs may not be seen in up to 50% of. Large defect in the left.
From www.atlas.mudr.org
Radiology case Rupture of the diaphragm, diaphragmatic hernia Diaphragm Rupture Radiology Blunt trauma produces larger, radial. Specific diagnostic findings of diaphragmatic rupture on chest radiographs may not be seen in up to 50% of. Diaphragm and diaphragmatic injuries with kylee brooks md, parker hambright md, alexis holland md, and. Large defect in the left. Acute displaced fractures of the right anterolateral third through eighth ribs. Although the diagnosis may be obvious. Diaphragm Rupture Radiology.
From radiopaedia.org
Traumatic diaphragmatic rupture Image Diaphragm Rupture Radiology Acute displaced fractures of the right anterolateral third through eighth ribs. Diaphragm and diaphragmatic injuries with kylee brooks md, parker hambright md, alexis holland md, and. Although the diagnosis may be obvious at standard chest. Blunt trauma produces larger, radial. Specific diagnostic findings of diaphragmatic rupture on chest radiographs may not be seen in up to 50% of. Large defect. Diaphragm Rupture Radiology.
From radiologykey.com
Traumatic Diaphragmatic Rupture Radiology Key Diaphragm Rupture Radiology Although the diagnosis may be obvious at standard chest. Acute displaced fractures of the right anterolateral third through eighth ribs. Large defect in the left. Specific diagnostic findings of diaphragmatic rupture on chest radiographs may not be seen in up to 50% of. Blunt trauma produces larger, radial. Diaphragm and diaphragmatic injuries with kylee brooks md, parker hambright md, alexis. Diaphragm Rupture Radiology.
From radiopaedia.org
Diaphragmatic rupture Radiology Reference Article Diaphragm Rupture Radiology Diaphragm and diaphragmatic injuries with kylee brooks md, parker hambright md, alexis holland md, and. Acute displaced fractures of the right anterolateral third through eighth ribs. Although the diagnosis may be obvious at standard chest. Blunt trauma produces larger, radial. Large defect in the left. Specific diagnostic findings of diaphragmatic rupture on chest radiographs may not be seen in up. Diaphragm Rupture Radiology.
From www.researchgate.net
Computed tomography of rightsided diaphragm rupture and herniated Diaphragm Rupture Radiology Although the diagnosis may be obvious at standard chest. Blunt trauma produces larger, radial. Specific diagnostic findings of diaphragmatic rupture on chest radiographs may not be seen in up to 50% of. Large defect in the left. Acute displaced fractures of the right anterolateral third through eighth ribs. Diaphragm and diaphragmatic injuries with kylee brooks md, parker hambright md, alexis. Diaphragm Rupture Radiology.
From radiopaedia.org
Diaphragmatic rupture Radiology Reference Article Diaphragm Rupture Radiology Acute displaced fractures of the right anterolateral third through eighth ribs. Blunt trauma produces larger, radial. Specific diagnostic findings of diaphragmatic rupture on chest radiographs may not be seen in up to 50% of. Large defect in the left. Diaphragm and diaphragmatic injuries with kylee brooks md, parker hambright md, alexis holland md, and. Although the diagnosis may be obvious. Diaphragm Rupture Radiology.
From www.youtube.com
Diaphragmatic Rupture & CXR Sign Radiology YouTube Diaphragm Rupture Radiology Acute displaced fractures of the right anterolateral third through eighth ribs. Diaphragm and diaphragmatic injuries with kylee brooks md, parker hambright md, alexis holland md, and. Blunt trauma produces larger, radial. Large defect in the left. Specific diagnostic findings of diaphragmatic rupture on chest radiographs may not be seen in up to 50% of. Although the diagnosis may be obvious. Diaphragm Rupture Radiology.
From www.cureus.com
A Case of Traumatic Diaphragm Rupture A Differential Diagnosis Not to Diaphragm Rupture Radiology Although the diagnosis may be obvious at standard chest. Large defect in the left. Blunt trauma produces larger, radial. Diaphragm and diaphragmatic injuries with kylee brooks md, parker hambright md, alexis holland md, and. Acute displaced fractures of the right anterolateral third through eighth ribs. Specific diagnostic findings of diaphragmatic rupture on chest radiographs may not be seen in up. Diaphragm Rupture Radiology.
From radiopaedia.org
Diaphragmatic rupture Radiology Reference Article Diaphragm Rupture Radiology Acute displaced fractures of the right anterolateral third through eighth ribs. Diaphragm and diaphragmatic injuries with kylee brooks md, parker hambright md, alexis holland md, and. Large defect in the left. Blunt trauma produces larger, radial. Although the diagnosis may be obvious at standard chest. Specific diagnostic findings of diaphragmatic rupture on chest radiographs may not be seen in up. Diaphragm Rupture Radiology.
From pubs.rsna.org
Imaging of Diaphragmatic Injury A Diagnostic Challenge? RadioGraphics Diaphragm Rupture Radiology Specific diagnostic findings of diaphragmatic rupture on chest radiographs may not be seen in up to 50% of. Although the diagnosis may be obvious at standard chest. Diaphragm and diaphragmatic injuries with kylee brooks md, parker hambright md, alexis holland md, and. Large defect in the left. Acute displaced fractures of the right anterolateral third through eighth ribs. Blunt trauma. Diaphragm Rupture Radiology.
From www.cureus.com
Cureus Liver in the Chest A Case of a Large Traumatic Diaphragmatic Diaphragm Rupture Radiology Specific diagnostic findings of diaphragmatic rupture on chest radiographs may not be seen in up to 50% of. Diaphragm and diaphragmatic injuries with kylee brooks md, parker hambright md, alexis holland md, and. Large defect in the left. Acute displaced fractures of the right anterolateral third through eighth ribs. Blunt trauma produces larger, radial. Although the diagnosis may be obvious. Diaphragm Rupture Radiology.
From pubs.rsna.org
Imaging of Diaphragmatic Injury A Diagnostic Challenge? RadioGraphics Diaphragm Rupture Radiology Acute displaced fractures of the right anterolateral third through eighth ribs. Blunt trauma produces larger, radial. Although the diagnosis may be obvious at standard chest. Large defect in the left. Diaphragm and diaphragmatic injuries with kylee brooks md, parker hambright md, alexis holland md, and. Specific diagnostic findings of diaphragmatic rupture on chest radiographs may not be seen in up. Diaphragm Rupture Radiology.
From radiopaedia.org
Diaphragmatic rupture Image Diaphragm Rupture Radiology Large defect in the left. Although the diagnosis may be obvious at standard chest. Blunt trauma produces larger, radial. Diaphragm and diaphragmatic injuries with kylee brooks md, parker hambright md, alexis holland md, and. Specific diagnostic findings of diaphragmatic rupture on chest radiographs may not be seen in up to 50% of. Acute displaced fractures of the right anterolateral third. Diaphragm Rupture Radiology.
From www.clinicalradiologyonline.net
Imaging of diaphragmatic rupture after trauma Clinical Radiology Diaphragm Rupture Radiology Acute displaced fractures of the right anterolateral third through eighth ribs. Diaphragm and diaphragmatic injuries with kylee brooks md, parker hambright md, alexis holland md, and. Specific diagnostic findings of diaphragmatic rupture on chest radiographs may not be seen in up to 50% of. Large defect in the left. Although the diagnosis may be obvious at standard chest. Blunt trauma. Diaphragm Rupture Radiology.
From radiopaedia.org
Diaphragmatic rupture Radiology Reference Article Diaphragm Rupture Radiology Specific diagnostic findings of diaphragmatic rupture on chest radiographs may not be seen in up to 50% of. Blunt trauma produces larger, radial. Although the diagnosis may be obvious at standard chest. Large defect in the left. Acute displaced fractures of the right anterolateral third through eighth ribs. Diaphragm and diaphragmatic injuries with kylee brooks md, parker hambright md, alexis. Diaphragm Rupture Radiology.
From www.ajronline.org
The “Dependent Viscera” Sign in CT Diagnosis of Blunt Traumatic Diaphragm Rupture Radiology Diaphragm and diaphragmatic injuries with kylee brooks md, parker hambright md, alexis holland md, and. Large defect in the left. Specific diagnostic findings of diaphragmatic rupture on chest radiographs may not be seen in up to 50% of. Acute displaced fractures of the right anterolateral third through eighth ribs. Blunt trauma produces larger, radial. Although the diagnosis may be obvious. Diaphragm Rupture Radiology.
From radiologykey.com
Traumatic Diaphragmatic Rupture Radiology Key Diaphragm Rupture Radiology Although the diagnosis may be obvious at standard chest. Acute displaced fractures of the right anterolateral third through eighth ribs. Large defect in the left. Specific diagnostic findings of diaphragmatic rupture on chest radiographs may not be seen in up to 50% of. Blunt trauma produces larger, radial. Diaphragm and diaphragmatic injuries with kylee brooks md, parker hambright md, alexis. Diaphragm Rupture Radiology.
From www.animalia-life.club
Traumatic Diaphragmatic Hernia Diaphragm Rupture Radiology Large defect in the left. Specific diagnostic findings of diaphragmatic rupture on chest radiographs may not be seen in up to 50% of. Diaphragm and diaphragmatic injuries with kylee brooks md, parker hambright md, alexis holland md, and. Although the diagnosis may be obvious at standard chest. Blunt trauma produces larger, radial. Acute displaced fractures of the right anterolateral third. Diaphragm Rupture Radiology.
From radiopaedia.org
Diaphragmatic rupture Radiology Reference Article Diaphragm Rupture Radiology Blunt trauma produces larger, radial. Acute displaced fractures of the right anterolateral third through eighth ribs. Specific diagnostic findings of diaphragmatic rupture on chest radiographs may not be seen in up to 50% of. Diaphragm and diaphragmatic injuries with kylee brooks md, parker hambright md, alexis holland md, and. Large defect in the left. Although the diagnosis may be obvious. Diaphragm Rupture Radiology.
From pubs.rsna.org
CT of Blunt Diaphragmatic Rupture RadioGraphics Diaphragm Rupture Radiology Large defect in the left. Specific diagnostic findings of diaphragmatic rupture on chest radiographs may not be seen in up to 50% of. Blunt trauma produces larger, radial. Acute displaced fractures of the right anterolateral third through eighth ribs. Although the diagnosis may be obvious at standard chest. Diaphragm and diaphragmatic injuries with kylee brooks md, parker hambright md, alexis. Diaphragm Rupture Radiology.
From radiopaedia.org
Diaphragmatic rupture Radiology Reference Article Diaphragm Rupture Radiology Blunt trauma produces larger, radial. Diaphragm and diaphragmatic injuries with kylee brooks md, parker hambright md, alexis holland md, and. Specific diagnostic findings of diaphragmatic rupture on chest radiographs may not be seen in up to 50% of. Acute displaced fractures of the right anterolateral third through eighth ribs. Although the diagnosis may be obvious at standard chest. Large defect. Diaphragm Rupture Radiology.
From radiopaedia.org
Diaphragmatic rupture Radiology Reference Article Diaphragm Rupture Radiology Large defect in the left. Although the diagnosis may be obvious at standard chest. Blunt trauma produces larger, radial. Specific diagnostic findings of diaphragmatic rupture on chest radiographs may not be seen in up to 50% of. Diaphragm and diaphragmatic injuries with kylee brooks md, parker hambright md, alexis holland md, and. Acute displaced fractures of the right anterolateral third. Diaphragm Rupture Radiology.
From radiopaedia.org
Diaphragmatic rupture Radiology Reference Article Diaphragm Rupture Radiology Diaphragm and diaphragmatic injuries with kylee brooks md, parker hambright md, alexis holland md, and. Acute displaced fractures of the right anterolateral third through eighth ribs. Specific diagnostic findings of diaphragmatic rupture on chest radiographs may not be seen in up to 50% of. Blunt trauma produces larger, radial. Although the diagnosis may be obvious at standard chest. Large defect. Diaphragm Rupture Radiology.
From jetem.org
Traumatic Diaphragmatic Rupture. CXR Annotated. JETem 2019 JETem Diaphragm Rupture Radiology Diaphragm and diaphragmatic injuries with kylee brooks md, parker hambright md, alexis holland md, and. Acute displaced fractures of the right anterolateral third through eighth ribs. Although the diagnosis may be obvious at standard chest. Blunt trauma produces larger, radial. Specific diagnostic findings of diaphragmatic rupture on chest radiographs may not be seen in up to 50% of. Large defect. Diaphragm Rupture Radiology.
From pediatricimaging.org
Pediatric Diaphragmatic Rupture Pediatric Radiology Reference Article Diaphragm Rupture Radiology Specific diagnostic findings of diaphragmatic rupture on chest radiographs may not be seen in up to 50% of. Blunt trauma produces larger, radial. Acute displaced fractures of the right anterolateral third through eighth ribs. Although the diagnosis may be obvious at standard chest. Large defect in the left. Diaphragm and diaphragmatic injuries with kylee brooks md, parker hambright md, alexis. Diaphragm Rupture Radiology.
From www.ajronline.org
Helical CT of Blunt Diaphragmatic Rupture AJR Diaphragm Rupture Radiology Blunt trauma produces larger, radial. Although the diagnosis may be obvious at standard chest. Specific diagnostic findings of diaphragmatic rupture on chest radiographs may not be seen in up to 50% of. Diaphragm and diaphragmatic injuries with kylee brooks md, parker hambright md, alexis holland md, and. Large defect in the left. Acute displaced fractures of the right anterolateral third. Diaphragm Rupture Radiology.
From radiopaedia.org
Traumatic diaphragmatic rupture Image Diaphragm Rupture Radiology Specific diagnostic findings of diaphragmatic rupture on chest radiographs may not be seen in up to 50% of. Blunt trauma produces larger, radial. Acute displaced fractures of the right anterolateral third through eighth ribs. Diaphragm and diaphragmatic injuries with kylee brooks md, parker hambright md, alexis holland md, and. Although the diagnosis may be obvious at standard chest. Large defect. Diaphragm Rupture Radiology.
From radiopaedia.org
Diaphragmatic rupture Radiology Reference Article Diaphragm Rupture Radiology Blunt trauma produces larger, radial. Although the diagnosis may be obvious at standard chest. Diaphragm and diaphragmatic injuries with kylee brooks md, parker hambright md, alexis holland md, and. Specific diagnostic findings of diaphragmatic rupture on chest radiographs may not be seen in up to 50% of. Acute displaced fractures of the right anterolateral third through eighth ribs. Large defect. Diaphragm Rupture Radiology.
From radiopaedia.org
Diaphragmatic rupture Radiology Reference Article Diaphragm Rupture Radiology Blunt trauma produces larger, radial. Diaphragm and diaphragmatic injuries with kylee brooks md, parker hambright md, alexis holland md, and. Although the diagnosis may be obvious at standard chest. Large defect in the left. Acute displaced fractures of the right anterolateral third through eighth ribs. Specific diagnostic findings of diaphragmatic rupture on chest radiographs may not be seen in up. Diaphragm Rupture Radiology.
From radiologykey.com
Traumatic Diaphragmatic Rupture Radiology Key Diaphragm Rupture Radiology Blunt trauma produces larger, radial. Large defect in the left. Acute displaced fractures of the right anterolateral third through eighth ribs. Diaphragm and diaphragmatic injuries with kylee brooks md, parker hambright md, alexis holland md, and. Specific diagnostic findings of diaphragmatic rupture on chest radiographs may not be seen in up to 50% of. Although the diagnosis may be obvious. Diaphragm Rupture Radiology.
From radiopaedia.org
Diaphragmatic rupture Radiology Reference Article Diaphragm Rupture Radiology Large defect in the left. Blunt trauma produces larger, radial. Diaphragm and diaphragmatic injuries with kylee brooks md, parker hambright md, alexis holland md, and. Specific diagnostic findings of diaphragmatic rupture on chest radiographs may not be seen in up to 50% of. Acute displaced fractures of the right anterolateral third through eighth ribs. Although the diagnosis may be obvious. Diaphragm Rupture Radiology.
From radrounds.com
Diaphragmatic rupture radRounds Radiology Network Diaphragm Rupture Radiology Large defect in the left. Blunt trauma produces larger, radial. Although the diagnosis may be obvious at standard chest. Acute displaced fractures of the right anterolateral third through eighth ribs. Diaphragm and diaphragmatic injuries with kylee brooks md, parker hambright md, alexis holland md, and. Specific diagnostic findings of diaphragmatic rupture on chest radiographs may not be seen in up. Diaphragm Rupture Radiology.
From pediatricimaging.org
Pediatric Diaphragmatic Rupture Pediatric Radiology Reference Article Diaphragm Rupture Radiology Specific diagnostic findings of diaphragmatic rupture on chest radiographs may not be seen in up to 50% of. Although the diagnosis may be obvious at standard chest. Diaphragm and diaphragmatic injuries with kylee brooks md, parker hambright md, alexis holland md, and. Large defect in the left. Blunt trauma produces larger, radial. Acute displaced fractures of the right anterolateral third. Diaphragm Rupture Radiology.
From radiologykey.com
Traumatic Diaphragmatic Rupture Radiology Key Diaphragm Rupture Radiology Large defect in the left. Acute displaced fractures of the right anterolateral third through eighth ribs. Blunt trauma produces larger, radial. Although the diagnosis may be obvious at standard chest. Diaphragm and diaphragmatic injuries with kylee brooks md, parker hambright md, alexis holland md, and. Specific diagnostic findings of diaphragmatic rupture on chest radiographs may not be seen in up. Diaphragm Rupture Radiology.
From www.clinicalradiologyonline.net
Imaging of diaphragmatic rupture after trauma Clinical Radiology Diaphragm Rupture Radiology Blunt trauma produces larger, radial. Acute displaced fractures of the right anterolateral third through eighth ribs. Large defect in the left. Although the diagnosis may be obvious at standard chest. Diaphragm and diaphragmatic injuries with kylee brooks md, parker hambright md, alexis holland md, and. Specific diagnostic findings of diaphragmatic rupture on chest radiographs may not be seen in up. Diaphragm Rupture Radiology.