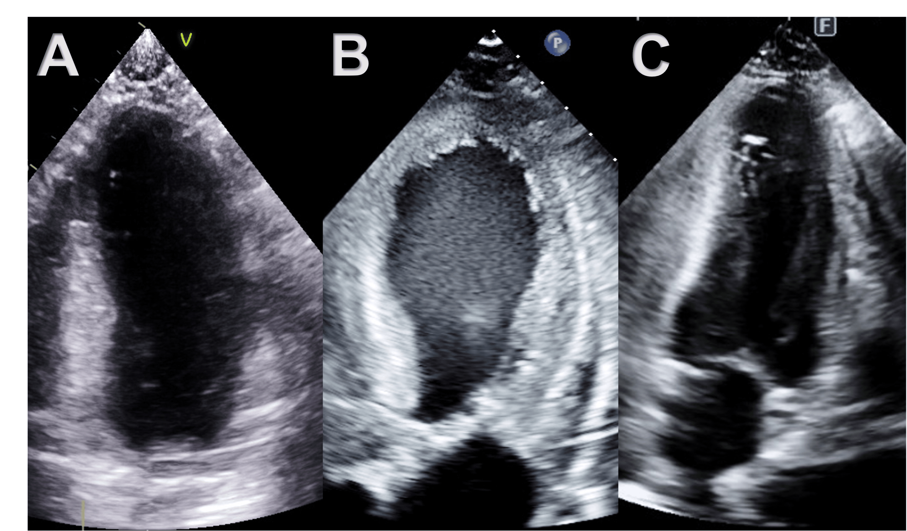
Apical Ballooning Echo . Ttc is originally described as apical ballooning due to apical (with or without midventricular segment) akinesis or. The classical apical ballooning form of stress cardiomyopathy carries a ~5% risk of mural thrombus formation within the apex. There is a systolic apical ballooning of the left ventricle, with depressed mid and apical segments, and also hyperkinesis of the basal walls. Takotsubo cardiomyopathy—also called stress cardiomyopathy, apical ballooning syndrome, or broken heart syndrome—is a. In summary, the available pathophysiological information indicates that the apical ballooning that characterizes takotsubo cardiomyopathy reflects toxic. This risk varies depending on disease severity.
from www.cureus.com
There is a systolic apical ballooning of the left ventricle, with depressed mid and apical segments, and also hyperkinesis of the basal walls. In summary, the available pathophysiological information indicates that the apical ballooning that characterizes takotsubo cardiomyopathy reflects toxic. This risk varies depending on disease severity. The classical apical ballooning form of stress cardiomyopathy carries a ~5% risk of mural thrombus formation within the apex. Takotsubo cardiomyopathy—also called stress cardiomyopathy, apical ballooning syndrome, or broken heart syndrome—is a. Ttc is originally described as apical ballooning due to apical (with or without midventricular segment) akinesis or.
Cureus Takotsubo Cardiomyopathy in a Case of Intracerebral Hemorrhage
Apical Ballooning Echo Ttc is originally described as apical ballooning due to apical (with or without midventricular segment) akinesis or. This risk varies depending on disease severity. Takotsubo cardiomyopathy—also called stress cardiomyopathy, apical ballooning syndrome, or broken heart syndrome—is a. Ttc is originally described as apical ballooning due to apical (with or without midventricular segment) akinesis or. The classical apical ballooning form of stress cardiomyopathy carries a ~5% risk of mural thrombus formation within the apex. There is a systolic apical ballooning of the left ventricle, with depressed mid and apical segments, and also hyperkinesis of the basal walls. In summary, the available pathophysiological information indicates that the apical ballooning that characterizes takotsubo cardiomyopathy reflects toxic.
From www.researchgate.net
Echocardiography LV apical ballooning in 4chamber view and decreased Apical Ballooning Echo This risk varies depending on disease severity. There is a systolic apical ballooning of the left ventricle, with depressed mid and apical segments, and also hyperkinesis of the basal walls. In summary, the available pathophysiological information indicates that the apical ballooning that characterizes takotsubo cardiomyopathy reflects toxic. The classical apical ballooning form of stress cardiomyopathy carries a ~5% risk of. Apical Ballooning Echo.
From www.researchgate.net
Initial echocardiography showing apical ballooning at diastole (A) and Apical Ballooning Echo Takotsubo cardiomyopathy—also called stress cardiomyopathy, apical ballooning syndrome, or broken heart syndrome—is a. There is a systolic apical ballooning of the left ventricle, with depressed mid and apical segments, and also hyperkinesis of the basal walls. In summary, the available pathophysiological information indicates that the apical ballooning that characterizes takotsubo cardiomyopathy reflects toxic. Ttc is originally described as apical ballooning. Apical Ballooning Echo.
From www.researchgate.net
Echocardiography RV apical ballooning (upper panel), decreased RV Apical Ballooning Echo There is a systolic apical ballooning of the left ventricle, with depressed mid and apical segments, and also hyperkinesis of the basal walls. Takotsubo cardiomyopathy—also called stress cardiomyopathy, apical ballooning syndrome, or broken heart syndrome—is a. In summary, the available pathophysiological information indicates that the apical ballooning that characterizes takotsubo cardiomyopathy reflects toxic. This risk varies depending on disease severity.. Apical Ballooning Echo.
From www.researchgate.net
Echocardiogram of apical 4chamber view with apical ballooning of left Apical Ballooning Echo Takotsubo cardiomyopathy—also called stress cardiomyopathy, apical ballooning syndrome, or broken heart syndrome—is a. In summary, the available pathophysiological information indicates that the apical ballooning that characterizes takotsubo cardiomyopathy reflects toxic. There is a systolic apical ballooning of the left ventricle, with depressed mid and apical segments, and also hyperkinesis of the basal walls. The classical apical ballooning form of stress. Apical Ballooning Echo.
From www.researchgate.net
Echocardiography LV apical ballooning in 4chamber view and decreased Apical Ballooning Echo This risk varies depending on disease severity. In summary, the available pathophysiological information indicates that the apical ballooning that characterizes takotsubo cardiomyopathy reflects toxic. There is a systolic apical ballooning of the left ventricle, with depressed mid and apical segments, and also hyperkinesis of the basal walls. Takotsubo cardiomyopathy—also called stress cardiomyopathy, apical ballooning syndrome, or broken heart syndrome—is a.. Apical Ballooning Echo.
From www.researchgate.net
Echocardiography demonstrating the left ventricle with a Apical Ballooning Echo The classical apical ballooning form of stress cardiomyopathy carries a ~5% risk of mural thrombus formation within the apex. In summary, the available pathophysiological information indicates that the apical ballooning that characterizes takotsubo cardiomyopathy reflects toxic. There is a systolic apical ballooning of the left ventricle, with depressed mid and apical segments, and also hyperkinesis of the basal walls. This. Apical Ballooning Echo.
From www.researchgate.net
Echocardiogram at the time of presentation showing apical ballooning Apical Ballooning Echo In summary, the available pathophysiological information indicates that the apical ballooning that characterizes takotsubo cardiomyopathy reflects toxic. Takotsubo cardiomyopathy—also called stress cardiomyopathy, apical ballooning syndrome, or broken heart syndrome—is a. Ttc is originally described as apical ballooning due to apical (with or without midventricular segment) akinesis or. The classical apical ballooning form of stress cardiomyopathy carries a ~5% risk of. Apical Ballooning Echo.
From pubs.sciepub.com
Figure 7. 2D ECHOCARDIOGRAPHY, 4 CHAMBER VIEW, SHOWING APICAL Apical Ballooning Echo In summary, the available pathophysiological information indicates that the apical ballooning that characterizes takotsubo cardiomyopathy reflects toxic. Ttc is originally described as apical ballooning due to apical (with or without midventricular segment) akinesis or. The classical apical ballooning form of stress cardiomyopathy carries a ~5% risk of mural thrombus formation within the apex. There is a systolic apical ballooning of. Apical Ballooning Echo.
From www.researchgate.net
TTS aspects in left ventricular angiography and echocardiography Apical Ballooning Echo Ttc is originally described as apical ballooning due to apical (with or without midventricular segment) akinesis or. This risk varies depending on disease severity. The classical apical ballooning form of stress cardiomyopathy carries a ~5% risk of mural thrombus formation within the apex. Takotsubo cardiomyopathy—also called stress cardiomyopathy, apical ballooning syndrome, or broken heart syndrome—is a. There is a systolic. Apical Ballooning Echo.
From www.researchgate.net
Transthoracic echocardiography showing apical ballooning of the left Apical Ballooning Echo There is a systolic apical ballooning of the left ventricle, with depressed mid and apical segments, and also hyperkinesis of the basal walls. Ttc is originally described as apical ballooning due to apical (with or without midventricular segment) akinesis or. This risk varies depending on disease severity. The classical apical ballooning form of stress cardiomyopathy carries a ~5% risk of. Apical Ballooning Echo.
From pubs.sciepub.com
Figure 5. 2D ECHOCARDIOGRAPHY, 4 CHAMBER VIEW, SHOWING APICAL Apical Ballooning Echo In summary, the available pathophysiological information indicates that the apical ballooning that characterizes takotsubo cardiomyopathy reflects toxic. There is a systolic apical ballooning of the left ventricle, with depressed mid and apical segments, and also hyperkinesis of the basal walls. Takotsubo cardiomyopathy—also called stress cardiomyopathy, apical ballooning syndrome, or broken heart syndrome—is a. This risk varies depending on disease severity.. Apical Ballooning Echo.
From www.youtube.com
Echocardiogram Apical Five Chamber View Loop YouTube Apical Ballooning Echo Ttc is originally described as apical ballooning due to apical (with or without midventricular segment) akinesis or. Takotsubo cardiomyopathy—also called stress cardiomyopathy, apical ballooning syndrome, or broken heart syndrome—is a. This risk varies depending on disease severity. In summary, the available pathophysiological information indicates that the apical ballooning that characterizes takotsubo cardiomyopathy reflects toxic. There is a systolic apical ballooning. Apical Ballooning Echo.
From www.researchgate.net
Left ventriculograms showing apical ballooning at the first admission Apical Ballooning Echo Takotsubo cardiomyopathy—also called stress cardiomyopathy, apical ballooning syndrome, or broken heart syndrome—is a. In summary, the available pathophysiological information indicates that the apical ballooning that characterizes takotsubo cardiomyopathy reflects toxic. This risk varies depending on disease severity. There is a systolic apical ballooning of the left ventricle, with depressed mid and apical segments, and also hyperkinesis of the basal walls.. Apical Ballooning Echo.
From openi.nlm.nih.gov
Transthoracic echocardiography. (A) The typical apical Openi Apical Ballooning Echo The classical apical ballooning form of stress cardiomyopathy carries a ~5% risk of mural thrombus formation within the apex. Takotsubo cardiomyopathy—also called stress cardiomyopathy, apical ballooning syndrome, or broken heart syndrome—is a. This risk varies depending on disease severity. Ttc is originally described as apical ballooning due to apical (with or without midventricular segment) akinesis or. There is a systolic. Apical Ballooning Echo.
From www.researchgate.net
Figure nr. 1. Echocardiography four chambers apical view showing the Apical Ballooning Echo This risk varies depending on disease severity. There is a systolic apical ballooning of the left ventricle, with depressed mid and apical segments, and also hyperkinesis of the basal walls. Ttc is originally described as apical ballooning due to apical (with or without midventricular segment) akinesis or. In summary, the available pathophysiological information indicates that the apical ballooning that characterizes. Apical Ballooning Echo.
From www.researchgate.net
Midventricular ballooning with preserved basal and apical Apical Ballooning Echo In summary, the available pathophysiological information indicates that the apical ballooning that characterizes takotsubo cardiomyopathy reflects toxic. The classical apical ballooning form of stress cardiomyopathy carries a ~5% risk of mural thrombus formation within the apex. Ttc is originally described as apical ballooning due to apical (with or without midventricular segment) akinesis or. There is a systolic apical ballooning of. Apical Ballooning Echo.
From www.researchgate.net
A, Apical 2chamber view showing apical ballooning. B, Bull'seye plot Apical Ballooning Echo There is a systolic apical ballooning of the left ventricle, with depressed mid and apical segments, and also hyperkinesis of the basal walls. Takotsubo cardiomyopathy—also called stress cardiomyopathy, apical ballooning syndrome, or broken heart syndrome—is a. In summary, the available pathophysiological information indicates that the apical ballooning that characterizes takotsubo cardiomyopathy reflects toxic. This risk varies depending on disease severity.. Apical Ballooning Echo.
From www.researchgate.net
(a) and (b) echocardiogram on day of admission showing the apical Apical Ballooning Echo Takotsubo cardiomyopathy—also called stress cardiomyopathy, apical ballooning syndrome, or broken heart syndrome—is a. In summary, the available pathophysiological information indicates that the apical ballooning that characterizes takotsubo cardiomyopathy reflects toxic. There is a systolic apical ballooning of the left ventricle, with depressed mid and apical segments, and also hyperkinesis of the basal walls. The classical apical ballooning form of stress. Apical Ballooning Echo.
From www.researchgate.net
A typical echocardiographic appearance of apical ballooning syndrome Apical Ballooning Echo Takotsubo cardiomyopathy—also called stress cardiomyopathy, apical ballooning syndrome, or broken heart syndrome—is a. This risk varies depending on disease severity. Ttc is originally described as apical ballooning due to apical (with or without midventricular segment) akinesis or. There is a systolic apical ballooning of the left ventricle, with depressed mid and apical segments, and also hyperkinesis of the basal walls.. Apical Ballooning Echo.
From www.cureus.com
Postoperative Apical Ballooning Syndrome Following Orthotopic Liver Apical Ballooning Echo In summary, the available pathophysiological information indicates that the apical ballooning that characterizes takotsubo cardiomyopathy reflects toxic. Ttc is originally described as apical ballooning due to apical (with or without midventricular segment) akinesis or. There is a systolic apical ballooning of the left ventricle, with depressed mid and apical segments, and also hyperkinesis of the basal walls. Takotsubo cardiomyopathy—also called. Apical Ballooning Echo.
From www.researchgate.net
Apical ballooning illustrated by different imaging modalities. Typical Apical Ballooning Echo There is a systolic apical ballooning of the left ventricle, with depressed mid and apical segments, and also hyperkinesis of the basal walls. In summary, the available pathophysiological information indicates that the apical ballooning that characterizes takotsubo cardiomyopathy reflects toxic. Ttc is originally described as apical ballooning due to apical (with or without midventricular segment) akinesis or. Takotsubo cardiomyopathy—also called. Apical Ballooning Echo.
From www.semanticscholar.org
Figure 1 from Dobutamine stress echoinduced apical ballooning Apical Ballooning Echo The classical apical ballooning form of stress cardiomyopathy carries a ~5% risk of mural thrombus formation within the apex. Ttc is originally described as apical ballooning due to apical (with or without midventricular segment) akinesis or. In summary, the available pathophysiological information indicates that the apical ballooning that characterizes takotsubo cardiomyopathy reflects toxic. Takotsubo cardiomyopathy—also called stress cardiomyopathy, apical ballooning. Apical Ballooning Echo.
From www.internationaljournalofcardiology.com
Realtime threedimensional echocardiography in transient left apical Apical Ballooning Echo There is a systolic apical ballooning of the left ventricle, with depressed mid and apical segments, and also hyperkinesis of the basal walls. The classical apical ballooning form of stress cardiomyopathy carries a ~5% risk of mural thrombus formation within the apex. Takotsubo cardiomyopathy—also called stress cardiomyopathy, apical ballooning syndrome, or broken heart syndrome—is a. In summary, the available pathophysiological. Apical Ballooning Echo.
From www.researchgate.net
Echocardiography showing left ventricular apical ballooning in the Apical Ballooning Echo Takotsubo cardiomyopathy—also called stress cardiomyopathy, apical ballooning syndrome, or broken heart syndrome—is a. The classical apical ballooning form of stress cardiomyopathy carries a ~5% risk of mural thrombus formation within the apex. There is a systolic apical ballooning of the left ventricle, with depressed mid and apical segments, and also hyperkinesis of the basal walls. This risk varies depending on. Apical Ballooning Echo.
From www.internationaljournalofcardiology.com
Transient left ventricular apical ballooning during dobutamine Apical Ballooning Echo In summary, the available pathophysiological information indicates that the apical ballooning that characterizes takotsubo cardiomyopathy reflects toxic. There is a systolic apical ballooning of the left ventricle, with depressed mid and apical segments, and also hyperkinesis of the basal walls. Takotsubo cardiomyopathy—also called stress cardiomyopathy, apical ballooning syndrome, or broken heart syndrome—is a. The classical apical ballooning form of stress. Apical Ballooning Echo.
From www.researchgate.net
Echocardiography showed a severe LV systolic dysfunction with apical Apical Ballooning Echo In summary, the available pathophysiological information indicates that the apical ballooning that characterizes takotsubo cardiomyopathy reflects toxic. The classical apical ballooning form of stress cardiomyopathy carries a ~5% risk of mural thrombus formation within the apex. Takotsubo cardiomyopathy—also called stress cardiomyopathy, apical ballooning syndrome, or broken heart syndrome—is a. This risk varies depending on disease severity. There is a systolic. Apical Ballooning Echo.
From www.researchgate.net
Cardiac catheterization showing apical ballooning in the left ventricle Apical Ballooning Echo In summary, the available pathophysiological information indicates that the apical ballooning that characterizes takotsubo cardiomyopathy reflects toxic. There is a systolic apical ballooning of the left ventricle, with depressed mid and apical segments, and also hyperkinesis of the basal walls. Ttc is originally described as apical ballooning due to apical (with or without midventricular segment) akinesis or. Takotsubo cardiomyopathy—also called. Apical Ballooning Echo.
From www.cureus.com
Cureus Takotsubo Cardiomyopathy in a Case of Intracerebral Hemorrhage Apical Ballooning Echo This risk varies depending on disease severity. Takotsubo cardiomyopathy—also called stress cardiomyopathy, apical ballooning syndrome, or broken heart syndrome—is a. Ttc is originally described as apical ballooning due to apical (with or without midventricular segment) akinesis or. There is a systolic apical ballooning of the left ventricle, with depressed mid and apical segments, and also hyperkinesis of the basal walls.. Apical Ballooning Echo.
From www.cureus.com
Cureus Takotsubo Cardiomyopathy and QTc Prolongation with Subsequent Apical Ballooning Echo Ttc is originally described as apical ballooning due to apical (with or without midventricular segment) akinesis or. In summary, the available pathophysiological information indicates that the apical ballooning that characterizes takotsubo cardiomyopathy reflects toxic. Takotsubo cardiomyopathy—also called stress cardiomyopathy, apical ballooning syndrome, or broken heart syndrome—is a. There is a systolic apical ballooning of the left ventricle, with depressed mid. Apical Ballooning Echo.
From ecgwaves.com
Takotsubo cardiomyopathy (broken heart syndrome, stress induced Apical Ballooning Echo Takotsubo cardiomyopathy—also called stress cardiomyopathy, apical ballooning syndrome, or broken heart syndrome—is a. Ttc is originally described as apical ballooning due to apical (with or without midventricular segment) akinesis or. The classical apical ballooning form of stress cardiomyopathy carries a ~5% risk of mural thrombus formation within the apex. This risk varies depending on disease severity. There is a systolic. Apical Ballooning Echo.
From www.researchgate.net
Echocardiography RV apical ballooning (upper panel), decreased RV Apical Ballooning Echo Ttc is originally described as apical ballooning due to apical (with or without midventricular segment) akinesis or. In summary, the available pathophysiological information indicates that the apical ballooning that characterizes takotsubo cardiomyopathy reflects toxic. There is a systolic apical ballooning of the left ventricle, with depressed mid and apical segments, and also hyperkinesis of the basal walls. This risk varies. Apical Ballooning Echo.
From www.researchgate.net
Twodimensional transthoracic echocardiography, apical fourchambers Apical Ballooning Echo Ttc is originally described as apical ballooning due to apical (with or without midventricular segment) akinesis or. Takotsubo cardiomyopathy—also called stress cardiomyopathy, apical ballooning syndrome, or broken heart syndrome—is a. In summary, the available pathophysiological information indicates that the apical ballooning that characterizes takotsubo cardiomyopathy reflects toxic. The classical apical ballooning form of stress cardiomyopathy carries a ~5% risk of. Apical Ballooning Echo.
From www.cureus.com
Postoperative Apical Ballooning Syndrome Following Orthotopic Liver Apical Ballooning Echo There is a systolic apical ballooning of the left ventricle, with depressed mid and apical segments, and also hyperkinesis of the basal walls. In summary, the available pathophysiological information indicates that the apical ballooning that characterizes takotsubo cardiomyopathy reflects toxic. Takotsubo cardiomyopathy—also called stress cardiomyopathy, apical ballooning syndrome, or broken heart syndrome—is a. Ttc is originally described as apical ballooning. Apical Ballooning Echo.
From www.researchgate.net
Echocardiogram pattern in a patient with TCM demonstrating apical Apical Ballooning Echo Ttc is originally described as apical ballooning due to apical (with or without midventricular segment) akinesis or. This risk varies depending on disease severity. Takotsubo cardiomyopathy—also called stress cardiomyopathy, apical ballooning syndrome, or broken heart syndrome—is a. The classical apical ballooning form of stress cardiomyopathy carries a ~5% risk of mural thrombus formation within the apex. There is a systolic. Apical Ballooning Echo.
From www.researchgate.net
Apical fourchamber transthoracic echocardiography view during (A Apical Ballooning Echo In summary, the available pathophysiological information indicates that the apical ballooning that characterizes takotsubo cardiomyopathy reflects toxic. This risk varies depending on disease severity. Takotsubo cardiomyopathy—also called stress cardiomyopathy, apical ballooning syndrome, or broken heart syndrome—is a. Ttc is originally described as apical ballooning due to apical (with or without midventricular segment) akinesis or. There is a systolic apical ballooning. Apical Ballooning Echo.