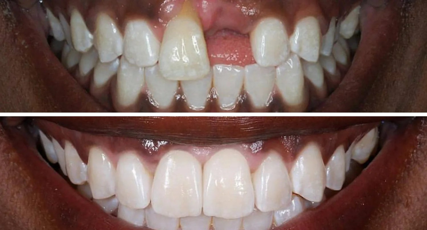
Can I Do Veneers With Missing Teeth . Molar crowns can be attached to a bridge to save costs, but each veneer is attached to a single tooth to restore a more natural smile. Can veneers be applied to missing teeth? Veneers can be a viable option for individuals with missing teeth, offering a way to enhance their smile and restore their confidence. Veneers are a popular treatment option to make teeth look better, but can you get veneers with missing teeth? Veneers are typically used to cover existing teeth, so they cannot be directly applied to gaps where teeth are missing. While veneers can enhance your smile by covering gaps, misalignments, and stains, dental implants might be a better choice for missing teeth. The primary reason that veneers are not an option for patients who are missing teeth is that they are created individually and are typically applied to the front, visible teeth. You can’t get traditional veneers with missing teeth, because they need to be attached to existing teeth. You can get veneers if you have missing teeth, with the exception that the veneers will only be applied to the teeth that are. Here is everything you need to.
from www.pinterest.com
Can veneers be applied to missing teeth? Molar crowns can be attached to a bridge to save costs, but each veneer is attached to a single tooth to restore a more natural smile. The primary reason that veneers are not an option for patients who are missing teeth is that they are created individually and are typically applied to the front, visible teeth. Veneers are a popular treatment option to make teeth look better, but can you get veneers with missing teeth? Here is everything you need to. You can get veneers if you have missing teeth, with the exception that the veneers will only be applied to the teeth that are. You can’t get traditional veneers with missing teeth, because they need to be attached to existing teeth. Veneers are typically used to cover existing teeth, so they cannot be directly applied to gaps where teeth are missing. While veneers can enhance your smile by covering gaps, misalignments, and stains, dental implants might be a better choice for missing teeth. Veneers can be a viable option for individuals with missing teeth, offering a way to enhance their smile and restore their confidence.
Missing Tooth A1 Veneer Kit Front 6 Teeth Shade A1 white False teeth
Can I Do Veneers With Missing Teeth Veneers are typically used to cover existing teeth, so they cannot be directly applied to gaps where teeth are missing. Molar crowns can be attached to a bridge to save costs, but each veneer is attached to a single tooth to restore a more natural smile. Here is everything you need to. While veneers can enhance your smile by covering gaps, misalignments, and stains, dental implants might be a better choice for missing teeth. The primary reason that veneers are not an option for patients who are missing teeth is that they are created individually and are typically applied to the front, visible teeth. Veneers are typically used to cover existing teeth, so they cannot be directly applied to gaps where teeth are missing. Veneers are a popular treatment option to make teeth look better, but can you get veneers with missing teeth? Veneers can be a viable option for individuals with missing teeth, offering a way to enhance their smile and restore their confidence. You can’t get traditional veneers with missing teeth, because they need to be attached to existing teeth. You can get veneers if you have missing teeth, with the exception that the veneers will only be applied to the teeth that are. Can veneers be applied to missing teeth?
From cesoxkqz.blob.core.windows.net
How Much Are Veneers Front Teeth at Clarence Robinson blog Can I Do Veneers With Missing Teeth Molar crowns can be attached to a bridge to save costs, but each veneer is attached to a single tooth to restore a more natural smile. While veneers can enhance your smile by covering gaps, misalignments, and stains, dental implants might be a better choice for missing teeth. You can’t get traditional veneers with missing teeth, because they need to. Can I Do Veneers With Missing Teeth.
From www.desertcart.com.eg
Buy Instant Veneers Dentures Covering Missing Teeth Denture Tooth Can I Do Veneers With Missing Teeth Here is everything you need to. You can’t get traditional veneers with missing teeth, because they need to be attached to existing teeth. While veneers can enhance your smile by covering gaps, misalignments, and stains, dental implants might be a better choice for missing teeth. The primary reason that veneers are not an option for patients who are missing teeth. Can I Do Veneers With Missing Teeth.
From www.snoringmouthpieceguide.com
Can I use a snoring mouthpiece with full or partial dentures, bridges Can I Do Veneers With Missing Teeth You can’t get traditional veneers with missing teeth, because they need to be attached to existing teeth. Molar crowns can be attached to a bridge to save costs, but each veneer is attached to a single tooth to restore a more natural smile. The primary reason that veneers are not an option for patients who are missing teeth is that. Can I Do Veneers With Missing Teeth.
From klabsbdph.blob.core.windows.net
Clip On Veneers For Missing Teeth at Joshua Hyatt blog Can I Do Veneers With Missing Teeth You can’t get traditional veneers with missing teeth, because they need to be attached to existing teeth. Molar crowns can be attached to a bridge to save costs, but each veneer is attached to a single tooth to restore a more natural smile. You can get veneers if you have missing teeth, with the exception that the veneers will only. Can I Do Veneers With Missing Teeth.
From www.shinysmileveneers.com
Can You Get Veneers with Missing Teeth? (5 Solutions) Shiny Smile Veneers Can I Do Veneers With Missing Teeth Veneers can be a viable option for individuals with missing teeth, offering a way to enhance their smile and restore their confidence. Veneers are typically used to cover existing teeth, so they cannot be directly applied to gaps where teeth are missing. The primary reason that veneers are not an option for patients who are missing teeth is that they. Can I Do Veneers With Missing Teeth.
From pearlcosmeticdds.com
Cracked front teeth fixed with veneers Pearl Cosmetic DDS Can I Do Veneers With Missing Teeth The primary reason that veneers are not an option for patients who are missing teeth is that they are created individually and are typically applied to the front, visible teeth. Can veneers be applied to missing teeth? Veneers are typically used to cover existing teeth, so they cannot be directly applied to gaps where teeth are missing. While veneers can. Can I Do Veneers With Missing Teeth.
From ihtwealthmanagement.com
Veneers False teeth snap on instant Smile veneers Cosmetic Teeth Can I Do Veneers With Missing Teeth Veneers can be a viable option for individuals with missing teeth, offering a way to enhance their smile and restore their confidence. Veneers are typically used to cover existing teeth, so they cannot be directly applied to gaps where teeth are missing. Veneers are a popular treatment option to make teeth look better, but can you get veneers with missing. Can I Do Veneers With Missing Teeth.
From joiujxwjz.blob.core.windows.net
Best Teeth Whitening For Crowns And Veneers at Sidney blog Can I Do Veneers With Missing Teeth Veneers are typically used to cover existing teeth, so they cannot be directly applied to gaps where teeth are missing. Here is everything you need to. Can veneers be applied to missing teeth? The primary reason that veneers are not an option for patients who are missing teeth is that they are created individually and are typically applied to the. Can I Do Veneers With Missing Teeth.
From joihidwei.blob.core.windows.net
Can Veneer Be Stripped And Restained at Paul Eaton blog Can I Do Veneers With Missing Teeth The primary reason that veneers are not an option for patients who are missing teeth is that they are created individually and are typically applied to the front, visible teeth. You can get veneers if you have missing teeth, with the exception that the veneers will only be applied to the teeth that are. While veneers can enhance your smile. Can I Do Veneers With Missing Teeth.
From www.pinterest.com
Missing Tooth A1 Veneer Kit Front 6 Teeth Shade A1 white False teeth Can I Do Veneers With Missing Teeth Veneers are typically used to cover existing teeth, so they cannot be directly applied to gaps where teeth are missing. The primary reason that veneers are not an option for patients who are missing teeth is that they are created individually and are typically applied to the front, visible teeth. You can get veneers if you have missing teeth, with. Can I Do Veneers With Missing Teeth.
From joihgftyf.blob.core.windows.net
Bleach Shade Veneers at Wendy Henderson blog Can I Do Veneers With Missing Teeth Molar crowns can be attached to a bridge to save costs, but each veneer is attached to a single tooth to restore a more natural smile. You can’t get traditional veneers with missing teeth, because they need to be attached to existing teeth. Can veneers be applied to missing teeth? Veneers are typically used to cover existing teeth, so they. Can I Do Veneers With Missing Teeth.
From cejzkqlo.blob.core.windows.net
Can I Put Veneers After Braces at John Banks blog Can I Do Veneers With Missing Teeth Can veneers be applied to missing teeth? Veneers can be a viable option for individuals with missing teeth, offering a way to enhance their smile and restore their confidence. You can get veneers if you have missing teeth, with the exception that the veneers will only be applied to the teeth that are. Here is everything you need to. While. Can I Do Veneers With Missing Teeth.
From sabkadentist.com
How long do teeth veneers last? Can I Do Veneers With Missing Teeth The primary reason that veneers are not an option for patients who are missing teeth is that they are created individually and are typically applied to the front, visible teeth. Can veneers be applied to missing teeth? You can get veneers if you have missing teeth, with the exception that the veneers will only be applied to the teeth that. Can I Do Veneers With Missing Teeth.
From ar.inspiredpencil.com
Teeth Veneers Before And After Can I Do Veneers With Missing Teeth Here is everything you need to. While veneers can enhance your smile by covering gaps, misalignments, and stains, dental implants might be a better choice for missing teeth. Veneers are typically used to cover existing teeth, so they cannot be directly applied to gaps where teeth are missing. Veneers can be a viable option for individuals with missing teeth, offering. Can I Do Veneers With Missing Teeth.
From pearlcosmeticdds.com
Cracked front teeth fixed with veneers Pearl Cosmetic DDS Can I Do Veneers With Missing Teeth Veneers can be a viable option for individuals with missing teeth, offering a way to enhance their smile and restore their confidence. You can’t get traditional veneers with missing teeth, because they need to be attached to existing teeth. Here is everything you need to. Can veneers be applied to missing teeth? Molar crowns can be attached to a bridge. Can I Do Veneers With Missing Teeth.
From www.animalia-life.club
Teeth Veneers Before And After Can I Do Veneers With Missing Teeth The primary reason that veneers are not an option for patients who are missing teeth is that they are created individually and are typically applied to the front, visible teeth. Veneers are a popular treatment option to make teeth look better, but can you get veneers with missing teeth? Veneers are typically used to cover existing teeth, so they cannot. Can I Do Veneers With Missing Teeth.
From www.drdc.co.uk
Veneers Dartford Veneer Teeth Cosmetic Dentist Crayford Can I Do Veneers With Missing Teeth Molar crowns can be attached to a bridge to save costs, but each veneer is attached to a single tooth to restore a more natural smile. Veneers are typically used to cover existing teeth, so they cannot be directly applied to gaps where teeth are missing. While veneers can enhance your smile by covering gaps, misalignments, and stains, dental implants. Can I Do Veneers With Missing Teeth.
From klabsbdph.blob.core.windows.net
Clip On Veneers For Missing Teeth at Joshua Hyatt blog Can I Do Veneers With Missing Teeth Veneers are a popular treatment option to make teeth look better, but can you get veneers with missing teeth? Molar crowns can be attached to a bridge to save costs, but each veneer is attached to a single tooth to restore a more natural smile. Can veneers be applied to missing teeth? The primary reason that veneers are not an. Can I Do Veneers With Missing Teeth.
From theperfectsmilekc.com
Smile Spotlight Erin Restore Missing Tooth with Dental Implant & Crown Can I Do Veneers With Missing Teeth You can get veneers if you have missing teeth, with the exception that the veneers will only be applied to the teeth that are. The primary reason that veneers are not an option for patients who are missing teeth is that they are created individually and are typically applied to the front, visible teeth. Can veneers be applied to missing. Can I Do Veneers With Missing Teeth.
From www.monavaledental.com.au
How long do veneers last? Hint it depends on the material Can I Do Veneers With Missing Teeth Here is everything you need to. Can veneers be applied to missing teeth? You can get veneers if you have missing teeth, with the exception that the veneers will only be applied to the teeth that are. The primary reason that veneers are not an option for patients who are missing teeth is that they are created individually and are. Can I Do Veneers With Missing Teeth.
From marylebonesmileclinic.co.uk
Veneers for Missing Teeth Can Veneers Fix Missing Teeth? Can I Do Veneers With Missing Teeth Molar crowns can be attached to a bridge to save costs, but each veneer is attached to a single tooth to restore a more natural smile. While veneers can enhance your smile by covering gaps, misalignments, and stains, dental implants might be a better choice for missing teeth. Veneers are typically used to cover existing teeth, so they cannot be. Can I Do Veneers With Missing Teeth.
From dxoesthyk.blob.core.windows.net
How Are Veneers Attached To Teeth at Katherine Shuford blog Can I Do Veneers With Missing Teeth While veneers can enhance your smile by covering gaps, misalignments, and stains, dental implants might be a better choice for missing teeth. Veneers are a popular treatment option to make teeth look better, but can you get veneers with missing teeth? Molar crowns can be attached to a bridge to save costs, but each veneer is attached to a single. Can I Do Veneers With Missing Teeth.
From www.drpearlywhites.com
How Veneers Can Fix Your Teeth Can I Do Veneers With Missing Teeth Here is everything you need to. You can get veneers if you have missing teeth, with the exception that the veneers will only be applied to the teeth that are. Veneers are typically used to cover existing teeth, so they cannot be directly applied to gaps where teeth are missing. Veneers are a popular treatment option to make teeth look. Can I Do Veneers With Missing Teeth.
From www.pinterest.com
Do you have missing or stained teeth but think you don't qualify for Can I Do Veneers With Missing Teeth Here is everything you need to. Molar crowns can be attached to a bridge to save costs, but each veneer is attached to a single tooth to restore a more natural smile. Veneers are typically used to cover existing teeth, so they cannot be directly applied to gaps where teeth are missing. The primary reason that veneers are not an. Can I Do Veneers With Missing Teeth.
From animalia-life.club
Why Do I Have Long Canine Teeth Can I Do Veneers With Missing Teeth Veneers can be a viable option for individuals with missing teeth, offering a way to enhance their smile and restore their confidence. Veneers are typically used to cover existing teeth, so they cannot be directly applied to gaps where teeth are missing. Here is everything you need to. You can’t get traditional veneers with missing teeth, because they need to. Can I Do Veneers With Missing Teeth.
From www.smilesolutionsfargo.com
What to Expect With Dental Veneers Smile Solutions Can I Do Veneers With Missing Teeth Veneers are typically used to cover existing teeth, so they cannot be directly applied to gaps where teeth are missing. You can get veneers if you have missing teeth, with the exception that the veneers will only be applied to the teeth that are. Molar crowns can be attached to a bridge to save costs, but each veneer is attached. Can I Do Veneers With Missing Teeth.
From www.dayodental.com
Are Veneers Permanent? Can I Do Veneers With Missing Teeth Here is everything you need to. The primary reason that veneers are not an option for patients who are missing teeth is that they are created individually and are typically applied to the front, visible teeth. Veneers are a popular treatment option to make teeth look better, but can you get veneers with missing teeth? Veneers are typically used to. Can I Do Veneers With Missing Teeth.
From www.youtube.com
Can veneers replace missing teeth? Dr. Kusum Bashetty YouTube Can I Do Veneers With Missing Teeth You can get veneers if you have missing teeth, with the exception that the veneers will only be applied to the teeth that are. Veneers can be a viable option for individuals with missing teeth, offering a way to enhance their smile and restore their confidence. While veneers can enhance your smile by covering gaps, misalignments, and stains, dental implants. Can I Do Veneers With Missing Teeth.
From beyondinfinitydental.com.au
Veneers with Missing Teeth — Can They Work Together? Can I Do Veneers With Missing Teeth Veneers are typically used to cover existing teeth, so they cannot be directly applied to gaps where teeth are missing. While veneers can enhance your smile by covering gaps, misalignments, and stains, dental implants might be a better choice for missing teeth. Here is everything you need to. Can veneers be applied to missing teeth? Veneers are a popular treatment. Can I Do Veneers With Missing Teeth.
From klaqivblc.blob.core.windows.net
Veneers For My Front Teeth at Cristopher Turner blog Can I Do Veneers With Missing Teeth Molar crowns can be attached to a bridge to save costs, but each veneer is attached to a single tooth to restore a more natural smile. Veneers can be a viable option for individuals with missing teeth, offering a way to enhance their smile and restore their confidence. Veneers are typically used to cover existing teeth, so they cannot be. Can I Do Veneers With Missing Teeth.
From www.withasmileveneers.com
Clip On Veneers Temporary Veneers Withasmile Veneers Can I Do Veneers With Missing Teeth You can’t get traditional veneers with missing teeth, because they need to be attached to existing teeth. Here is everything you need to. Veneers are typically used to cover existing teeth, so they cannot be directly applied to gaps where teeth are missing. While veneers can enhance your smile by covering gaps, misalignments, and stains, dental implants might be a. Can I Do Veneers With Missing Teeth.
From dxogoyptv.blob.core.windows.net
Veneers Front 4 Teeth Cost at Oscar Hicks blog Can I Do Veneers With Missing Teeth Veneers are typically used to cover existing teeth, so they cannot be directly applied to gaps where teeth are missing. You can’t get traditional veneers with missing teeth, because they need to be attached to existing teeth. While veneers can enhance your smile by covering gaps, misalignments, and stains, dental implants might be a better choice for missing teeth. Can. Can I Do Veneers With Missing Teeth.
From www.redlandsdental.com.au
Enhance Your Smile with Dental Veneers Can I Do Veneers With Missing Teeth Can veneers be applied to missing teeth? While veneers can enhance your smile by covering gaps, misalignments, and stains, dental implants might be a better choice for missing teeth. Veneers can be a viable option for individuals with missing teeth, offering a way to enhance their smile and restore their confidence. Molar crowns can be attached to a bridge to. Can I Do Veneers With Missing Teeth.
From everysmile.co.za
Achieving A Perfect Smile Can Veneers Help With Missing Teeth? Can I Do Veneers With Missing Teeth Molar crowns can be attached to a bridge to save costs, but each veneer is attached to a single tooth to restore a more natural smile. Veneers are typically used to cover existing teeth, so they cannot be directly applied to gaps where teeth are missing. Veneers can be a viable option for individuals with missing teeth, offering a way. Can I Do Veneers With Missing Teeth.
From blog.dentalplans.com
Can Porcelain Veneers Fix Crooked Teeth? DentalPlans Blog Can I Do Veneers With Missing Teeth You can get veneers if you have missing teeth, with the exception that the veneers will only be applied to the teeth that are. Veneers are a popular treatment option to make teeth look better, but can you get veneers with missing teeth? The primary reason that veneers are not an option for patients who are missing teeth is that. Can I Do Veneers With Missing Teeth.